Rabbit anti-Human Neuronal-Nuclei (NeuN) Monoclonal Antibody | anti-RBFOX3 antibody
Neuronal-Nuclei (NeuN) (Neuronal Marker) Recombinant Rabbit Monoclonal Antibody [Clone NeuN/6694R]
Gene Names
RBFOX3; FOX3; NEUN; FOX-3; HRNBP3
Reactivity
Human
Applications
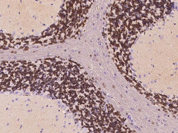
Immunohistochemistry
Synonyms
Neuronal-Nuclei (NeuN), Antibody; Neuronal-Nuclei (NeuN) (Neuronal Marker) Recombinant Rabbit Monoclonal Antibody [Clone NeuN/6694R]; Neuronal-Nuclei (NeuN) (Neuronal Marker); FLJ56884; FLJ58356; fox1 homolog C; Fox3; FOX3NeuN; hexaribonucleotide binding protein 3 (HRNBP3); neuronal nuclei; Rbfox3; RNA binding protein, fox 1 homolog (C. elegans) 3; anti-RBFOX3 antibody
Host
Rabbit
Reactivity
Human
Clonality
Monoclonal
Isotype
Rabbit/IgG, kappa
Clone Number
NeuN/6694R
Form/Format
200ug/ml of Ab purified from Bioreactor Concentrate by Protein A/G. Prepared in 10mM PBS with 0. 05% BSA & 0. 05% azide. Also available WITHOUT BSA & azide at 1.0mg/ml.
Concentration
Purified Ab with BSA and Azide at 200ug/ml
OR
Purified Ab WITHOUT BSA and Azide at 1.0mg/ml (varies by lot)
OR
Purified Ab WITHOUT BSA and Azide at 1.0mg/ml (varies by lot)
Applicable Applications for anti-RBFOX3 antibody
IHC (Immunohistochemistry)
Antibody Type
Recombinant Antibody
Immunogen
A synthetic peptide corresponding to residues within aa 30-60 of human NeuN protein (exact sequence is proprietary)
Cellular Localization
Nucleus, Cytoplasm
Positive Control
Brain tissue.
Hu-chromosome Location
17q25.3
Unigene
135229
Preparation and Storage
Antibody with azide: store at 2 to 8 degree C
Antibody without azide: store at -20 to -80 degree C
Antibody is stable for 24 months. Non-hazardous. No MSDS required.
Antibody without azide: store at -20 to -80 degree C
Antibody is stable for 24 months. Non-hazardous. No MSDS required.
Related Product Information for anti-RBFOX3 antibody
NeuN antibody specifically recognizes the DNA-binding, neuron-specific protein NeuN, which is present in most CNS and PNS neuronal cell types of all vertebrates tested. NeuN protein distributions are apparently restricted to neuronal nuclei and some proximal neuronal processes in both fetal and adult brain although, some neurons fail to be recognized by NeuN at all ages: INL retinal cells, Cajal-Retzius cells, Purkinje cells, inferior olivary and dentate nucleus neurons, and sympathetic ganglion cells are examples. Immunohistochemically detectable NeuN protein first appears at developmental timepoints that correspond with the withdrawal of the neuron from the cell cycle and/or with the initiation of terminal differentiation of the neuro. Immunoreactivity appears around E9. 5 in the mouse neural tube and is extensive throughout the developing nervous system by E12. 5. Strong nuclear staining suggests a nuclear regulatory protein function; however, no evidence currently exists as to whether the NeuN protein antigen has a function in the distal cytoplasm or whether it is merely synthesized there before being transported back into the nucleus. No difference between protein isolated from purified nuclei and whole brain extract on immunoblots has been found.
NCBI and Uniprot Product Information
NCBI GI #
NCBI GeneID
Molecular Weight
Calculated MW: 33kDa/35kDa
Observed MW: 50kDa
Observed MW: 50kDa
NCBI Official Full Name
RNA binding protein fox-1 homolog 3
NCBI Official Synonym Full Names
RNA binding protein, fox-1 homolog (C. elegans) 3
NCBI Official Symbol
RBFOX3
NCBI Official Synonym Symbols
FOX3; NEUN; FOX-3; HRNBP3
NCBI Protein Information
RNA binding protein fox-1 homolog 3; fox-1 homolog C; neuronal nuclei; hexaribonucleotide binding protein 3
UniProt Protein Name
RNA binding protein fox-1 homolog 3
UniProt Gene Name
RBFOX3
UniProt Entry Name
RFOX3_HUMAN
Customer Reviews
Loading reviews...
Share Your Experience
Similar Products
Product Notes
The RBFOX3 rbfox3 (Catalog #AAA215576) is an Antibody produced from Rabbit and is intended for research purposes only. The product is available for immediate purchase. The Neuronal-Nuclei (NeuN) (Neuronal Marker) Recombinant Rabbit Monoclonal Antibody [Clone NeuN/6694R] reacts with Human and may cross-react with other species as described in the data sheet. AAA Biotech's Neuronal-Nuclei (NeuN) can be used in a range of immunoassay formats including, but not limited to, IHC (Immunohistochemistry). Researchers should empirically determine the suitability of the RBFOX3 rbfox3 for an application not listed in the data sheet. Researchers commonly develop new applications and it is an integral, important part of the investigative research process. It is sometimes possible for the material contained within the vial of "Neuronal-Nuclei (NeuN), Monoclonal Antibody" to become dispersed throughout the inside of the vial, particularly around the seal of said vial, during shipment and storage. We always suggest centrifuging these vials to consolidate all of the liquid away from the lid and to the bottom of the vial prior to opening. Please be advised that certain products may require dry ice for shipping and that, if this is the case, an additional dry ice fee may also be required.Precautions
All products in the AAA Biotech catalog are strictly for research-use only, and are absolutely not suitable for use in any sort of medical, therapeutic, prophylactic, in-vivo, or diagnostic capacity. By purchasing a product from AAA Biotech, you are explicitly certifying that said products will be properly tested and used in line with industry standard. AAA Biotech and its authorized distribution partners reserve the right to refuse to fulfill any order if we have any indication that a purchaser may be intending to use a product outside of our accepted criteria.Disclaimer
Though we do strive to guarantee the information represented in this datasheet, AAA Biotech cannot be held responsible for any oversights or imprecisions. AAA Biotech reserves the right to adjust any aspect of this datasheet at any time and without notice. It is the responsibility of the customer to inform AAA Biotech of any product performance issues observed or experienced within 30 days of receipt of said product. To see additional details on this or any of our other policies, please see our Terms & Conditions page.Item has been added to Shopping Cart
If you are ready to order, navigate to Shopping Cart and get ready to checkout.
