Mouse anti-Human Nucleoside Diphosphate Kinase A/nm23-H1 Monoclonal Antibody | anti-NME1 antibody
Nucleoside Diphosphate Kinase A/nm23-H1 Mouse Monoclonal Antibody [Clone NME1/2737]
Gene Names
NME1; NB; AWD; NBS; GAAD; NDKA; NM23; NDPKA; NDPK-A; NM23-H1
Reactivity
Human
Applications
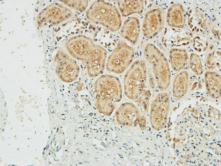
Immunohistochemistry, Western Blot, ELISA
Synonyms
Nucleoside Diphosphate Kinase A/nm23-H1, Antibody; Nucleoside Diphosphate Kinase A/nm23-H1 Mouse Monoclonal Antibody [Clone NME1/2737]; AWD; Granzyme A activated DNase (GAAD); GZMA activated DNase; Metastasis inhibition factor NM23; NBS; NDKA; NM23; nm23-H1; NM23-M1; NM23H1B, included; NME/NM23 nucleoside diphosphate kinase 1; Nme1; NME1-NME2 spliced read-through transcript, included; Non-metastatic cells 1, protein (NM23A) expressed in; Nonmetastatic cells 1, protein expressed in; Nonmetastatic protein 23; Tumor metastatic process-associated protein; anti-NME1 antibody
Host
Mouse
Reactivity
Human
Clonality
Monoclonal
Isotype
Mouse/IgG1, kappa
Clone Number
NME1/2737
Form/Format
200ug/ml of Ab purified from Bioreactor Concentrate by Protein A/G. Prepared in 10mM PBS with 0. 05% BSA & 0. 05% azide. Also available WITHOUT BSA & azide at 1.0mg/ml.
Concentration
Purified Ab with BSA and Azide at 200ug/ml
OR
Purified Ab WITHOUT BSA and Azide at 1.0mg/ml (varies by lot)
OR
Purified Ab WITHOUT BSA and Azide at 1.0mg/ml (varies by lot)
Applicable Applications for anti-NME1 antibody
IHC (Immunohistochemistry), WB (Western Blot), ELISA
Immunogen
Recombinant full-length human NME1 protein
Cellular Localization
Cytoplasm, Nucleus, Cell-cycle dependent nuclear localization
Positive Control
HeLa, A549 or Jurkat cells. Ubiquitously expressed in all tissues.
Hu-chromosome Location
17q21.33
Unigene
463456
Preparation and Storage
Antibody with azide: store at 2 to 8 degree C
Antibody without azide: store at -20 to -80 degree C
Antibody is stable for 24 months. Non-hazardous. No MSDS required.
Antibody without azide: store at -20 to -80 degree C
Antibody is stable for 24 months. Non-hazardous. No MSDS required.
Related Product Information for anti-NME1 antibody
The nm23 gene, a potential suppressor of metastasis, was originally identified by differential hybridization between two murine melanoma sub-lines, one with a high and the second with a low metastatic capacity. Highly metastatic sub-lines exhibit much lower levels of nm23 than less metastatic cells. Based on sequence analysis, nm23 appears highly related to nucleotide diphosphate kinases (NDP). In humans, NDP kinases A and B are identical to two isotypes of human nm23 homologs, namely nm23-H1 and H2, respectively. nm23-H2 is identical in sequence to PuF, a transcription factor that binds to nuclease hypersensitive elements at positions 142 to 115 of the human c-Myc promotor.
NCBI and Uniprot Product Information
NCBI GI #
NCBI GeneID
NCBI Accession #
NCBI GenBank Nucleotide #
Molecular Weight
17,149 Da
NCBI Official Full Name
nucleoside diphosphate kinase A isoform b
NCBI Official Synonym Full Names
NME/NM23 nucleoside diphosphate kinase 1
NCBI Official Symbol
NME1
NCBI Official Synonym Symbols
NB; AWD; NBS; GAAD; NDKA; NM23; NDPKA; NDPK-A; NM23-H1
NCBI Protein Information
nucleoside diphosphate kinase A; NDP kinase A; granzyme A-activated DNase; metastasis inhibition factor nm23; tumor metastatic process-associated protein; non-metastatic cells 1, protein (NM23A) expressed in
UniProt Protein Name
Nucleoside diphosphate kinase A
UniProt Gene Name
NME1
UniProt Synonym Gene Names
NDPKA; NM23; NDK A; NDP kinase A; GAAD
UniProt Entry Name
NDKA_HUMAN
Customer Reviews
Loading reviews...
Share Your Experience
Similar Products
Product Notes
The NME1 nme1 (Catalog #AAA215825) is an Antibody produced from Mouse and is intended for research purposes only. The product is available for immediate purchase. The Nucleoside Diphosphate Kinase A/nm23-H1 Mouse Monoclonal Antibody [Clone NME1/2737] reacts with Human and may cross-react with other species as described in the data sheet. AAA Biotech's Nucleoside Diphosphate Kinase A/nm23-H1 can be used in a range of immunoassay formats including, but not limited to, IHC (Immunohistochemistry), WB (Western Blot), ELISA. Researchers should empirically determine the suitability of the NME1 nme1 for an application not listed in the data sheet. Researchers commonly develop new applications and it is an integral, important part of the investigative research process. It is sometimes possible for the material contained within the vial of "Nucleoside Diphosphate Kinase A/nm23-H1, Monoclonal Antibody" to become dispersed throughout the inside of the vial, particularly around the seal of said vial, during shipment and storage. We always suggest centrifuging these vials to consolidate all of the liquid away from the lid and to the bottom of the vial prior to opening. Please be advised that certain products may require dry ice for shipping and that, if this is the case, an additional dry ice fee may also be required.Precautions
All products in the AAA Biotech catalog are strictly for research-use only, and are absolutely not suitable for use in any sort of medical, therapeutic, prophylactic, in-vivo, or diagnostic capacity. By purchasing a product from AAA Biotech, you are explicitly certifying that said products will be properly tested and used in line with industry standard. AAA Biotech and its authorized distribution partners reserve the right to refuse to fulfill any order if we have any indication that a purchaser may be intending to use a product outside of our accepted criteria.Disclaimer
Though we do strive to guarantee the information represented in this datasheet, AAA Biotech cannot be held responsible for any oversights or imprecisions. AAA Biotech reserves the right to adjust any aspect of this datasheet at any time and without notice. It is the responsibility of the customer to inform AAA Biotech of any product performance issues observed or experienced within 30 days of receipt of said product. To see additional details on this or any of our other policies, please see our Terms & Conditions page.Item has been added to Shopping Cart
If you are ready to order, navigate to Shopping Cart and get ready to checkout.
