Mouse anti-Human P16INK4a Monoclonal Antibody | anti-ARF antibody
P16INK4a Mouse Monoclonal Antibody [Clone CDKN2A/4499]
Gene Names
CDKN2A; ARF; MLM; P14; P16; P19; CMM2; INK4; MTS1; TP16; CDK4I; CDKN2; INK4A; MTS-1; P14ARF; P19ARF; P16INK4; P16INK4A; P16-INK4A
Reactivity
Human
Applications
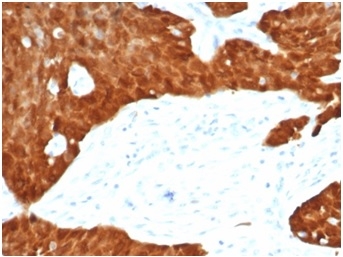
Immunohistochemistry
Synonyms
P16INK4a, Antibody; P16INK4a Mouse Monoclonal Antibody [Clone CDKN2A/4499]; CDK4 inhibitor p16 INK4; CDK4I; CDKN2A; Cell cycle negative regulator beta; CMM2; Cyclin dependent kinase 4 inhibitor A; Melanoma p16 inhibits CDK4; MLM; MTS1; Multiple tumor suppressor 1; p14; p16; p19; P19ARF; TP16; anti-ARF antibody
Host
Mouse
Reactivity
Human
Clonality
Monoclonal
Isotype
Mouse/IgG2a, kappa
Clone Number
CDKN2A/4499
Form/Format
200ug/ml of Ab purified from Bioreactor Concentrate by Protein A/G. Prepared in 10mM PBS with0. 05% BSA & 0. 05% azide. Also available WITHOUT BSA & azide at 1.0mg/ml.
Concentration
Purified Ab with BSA and Azide at 200ug/ml
OR
Purified Ab WITHOUT BSA and Azide at 1.0mg/ml (varies by lot)
OR
Purified Ab WITHOUT BSA and Azide at 1.0mg/ml (varies by lot)
Applicable Applications for anti-ARF antibody
IHC (Immunohistochemistry)
Immunogen
Purifiedrecombinantprokaryoticfull-lengthhumanp16INK4aprotein
Cellular Localization
Nuclear and cytoplasmic
Positive Control
Cervical squamous cell carcinoma.
Hu-chromosome Location
9p21.3
Unigene
512599
Preparation and Storage
Antibody with azide: store at 2 to 8 degree C
Antibody without azide: store at -20 to -80 degree C
Antibody is stable for 24 months. Non-hazardous. No MSDS required.
Antibody without azide: store at -20 to -80 degree C
Antibody is stable for 24 months. Non-hazardous. No MSDS required.
Related Product Information for anti-ARF antibody
p16INK4a is a tumor suppressor protein. It is a specificinhibitor of cdk4/cdk6, and a tumorsuppressor involved inthe pathogenesis of a variety of malignancies. Recentanalyses of the p16INK4a gene revealed homozygousdeletions, nonsense, missense, or frameshift mutations inseveral human cancers. Although the frequency of p16INK4aabnormalities is higher in tumor derived cell lines than inunselected primary tumors, significant subsets of clinicalcases with aberrant p16INK4a gene have been reportedamong melanomas, gliomas, esophageal, pancreatic, lung,and urinary bladdercarcinomas, and some types of leukemia. Expression of p16INK4a (p16 positive) is highly correlatedwith human papilloma virus (HPV) infection in head and necksquamous cell carcinomas (HNSCC). p16 status is animportant prognostic indicator in HNSCC and the p16positive/HPV16 negative group is likely a distinct subgrouplacking any HPV genotype.
NCBI and Uniprot Product Information
NCBI GI #
NCBI GeneID
NCBI Accession #
NCBI GenBank Nucleotide #
Molecular Weight
16,533 Da
NCBI Official Full Name
cyclin-dependent kinase inhibitor 2A isoform p16INK4a
NCBI Official Synonym Full Names
cyclin-dependent kinase inhibitor 2A
NCBI Official Symbol
CDKN2A
NCBI Official Synonym Symbols
ARF; MLM; P14; P16; P19; CMM2; INK4; MTS1; TP16; CDK4I; CDKN2; INK4A; MTS-1; P14ARF; P19ARF; P16INK4; P16INK4A; P16-INK4A
NCBI Protein Information
cyclin-dependent kinase inhibitor 2A; CDK4 inhibitor p16-INK4; multiple tumor suppressor 1; cell cycle negative regulator beta; cyclin-dependent kinase 4 inhibitor A; cyclin-dependent kinase inhibitor 2A (melanoma, p16, inhibits CDK4)
UniProt Protein Name
Cyclin-dependent kinase inhibitor 2A, isoforms 1/2/3
UniProt Gene Name
CDKN2A
UniProt Synonym Gene Names
CDKN2; MTS1; CDK4I; MTS-1; p16-INK4; p16INK4A
UniProt Entry Name
CD2A1_HUMAN
Customer Reviews
Loading reviews...
Share Your Experience
Similar Products
Product Notes
The ARF cdkn2a (Catalog #AAA215520) is an Antibody produced from Mouse and is intended for research purposes only. The product is available for immediate purchase. The P16INK4a Mouse Monoclonal Antibody [Clone CDKN2A/4499] reacts with Human and may cross-react with other species as described in the data sheet. AAA Biotech's P16INK4a can be used in a range of immunoassay formats including, but not limited to, IHC (Immunohistochemistry). Researchers should empirically determine the suitability of the ARF cdkn2a for an application not listed in the data sheet. Researchers commonly develop new applications and it is an integral, important part of the investigative research process. It is sometimes possible for the material contained within the vial of "P16INK4a, Monoclonal Antibody" to become dispersed throughout the inside of the vial, particularly around the seal of said vial, during shipment and storage. We always suggest centrifuging these vials to consolidate all of the liquid away from the lid and to the bottom of the vial prior to opening. Please be advised that certain products may require dry ice for shipping and that, if this is the case, an additional dry ice fee may also be required.Precautions
All products in the AAA Biotech catalog are strictly for research-use only, and are absolutely not suitable for use in any sort of medical, therapeutic, prophylactic, in-vivo, or diagnostic capacity. By purchasing a product from AAA Biotech, you are explicitly certifying that said products will be properly tested and used in line with industry standard. AAA Biotech and its authorized distribution partners reserve the right to refuse to fulfill any order if we have any indication that a purchaser may be intending to use a product outside of our accepted criteria.Disclaimer
Though we do strive to guarantee the information represented in this datasheet, AAA Biotech cannot be held responsible for any oversights or imprecisions. AAA Biotech reserves the right to adjust any aspect of this datasheet at any time and without notice. It is the responsibility of the customer to inform AAA Biotech of any product performance issues observed or experienced within 30 days of receipt of said product. To see additional details on this or any of our other policies, please see our Terms & Conditions page.Item has been added to Shopping Cart
If you are ready to order, navigate to Shopping Cart and get ready to checkout.
