Mouse PAX5/BSAP Monoclonal Antibody | anti-PAX5 antibody
PAX5/BSAP (Early B-Cell Marker)
Gene Names
PAX5; ALL3; BSAP
Reactivity
Human. Others not tested.
Applications
Immunohistochemistry
Synonyms
PAX5/BSAP, Antibody; PAX5/BSAP (Early B-Cell Marker); B cell lineage specific activator; BSAP; EBB-1; KLP; Paired box 5; anti-PAX5 antibody
Host
Mouse
Reactivity
Human. Others not tested.
Clonality
Monoclonal
Isotype
IgG1
Clone Number
PAX5/2595
Specificity
The specificity of this monoclonal antibody to its intended target was validated by HuProtTM Array, containing more than 19, 000, full-length human proteins. The PAX5 gene is a member of the paired box (PAX) family of transcription factors. The central feature of this gene family is a novel, highly conserved DNA-binding domain, known as the paired box. The PAX proteins are important regulators in early development, and alterations in the expression of their genes are thought to contribute to neoplastic transformation. The PAX5 gene encodes the B-cell lineage specific activator protein (BSAP) that is expressed at early, but not late stages of B-cell differentiation. Its expression has also been detected in developing CNS and testis; therefore, PAX5 gene product may not only play an important role in B-cell differentiation, but also in neural development and spermatogenesis.
Form/Format
200ug/ml of Ab purified from Bioreactor Concentrate by Protein A/G. Prepared in 10mM PBS with 0.05% BSA & 0.05% azide. Also available WITHOUT BSA & azide at 1.0mg/ml.
Sequence Length
357
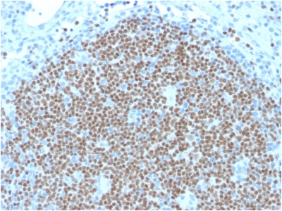
Applicable Applications for anti-PAX5 antibody
IHC (Immunohistochemistry)
Immunogen
Recombinant full-length human PAX5 protein
Cellular Localization
Nucleus
Hu-chromosome Location
9p13.2
Positive Control
DAUDI or Ramos Cells. Tonsil, spleen, Lymph Node or Colon Carcinoma.
References
Desouki MM, Post GR, Cherry D, Lazarchick J. PAX-5: a valuable immunohistochemical marker in the differential diagnosis of lymphoid neoplasms. Clin Med Res. 2010 Jul; 8(2):84-8.
NCBI and Uniprot Product Information
NCBI GI #
NCBI GeneID
NCBI Accession #
NCBI GenBank Nucleotide #
UniProt Accession #
Molecular Weight
42kDa
NCBI Official Full Name
paired box protein Pax-5 isoform 2
NCBI Official Synonym Full Names
paired box 5
NCBI Official Symbol
PAX5
NCBI Official Synonym Symbols
ALL3; BSAP
NCBI Protein Information
paired box protein Pax-5
UniProt Protein Name
Paired box protein Pax-5
UniProt Gene Name
PAX5
UniProt Synonym Gene Names
BSAP
Customer Reviews
Loading reviews...
Share Your Experience
Similar Products
Product Notes
The PAX5 pax5 (Catalog #AAA214673) is an Antibody produced from Mouse and is intended for research purposes only. The product is available for immediate purchase. The PAX5/BSAP (Early B-Cell Marker) reacts with Human. Others not tested. and may cross-react with other species as described in the data sheet. AAA Biotech's PAX5/BSAP can be used in a range of immunoassay formats including, but not limited to, IHC (Immunohistochemistry). Researchers should empirically determine the suitability of the PAX5 pax5 for an application not listed in the data sheet. Researchers commonly develop new applications and it is an integral, important part of the investigative research process. It is sometimes possible for the material contained within the vial of "PAX5/BSAP, Monoclonal Antibody" to become dispersed throughout the inside of the vial, particularly around the seal of said vial, during shipment and storage. We always suggest centrifuging these vials to consolidate all of the liquid away from the lid and to the bottom of the vial prior to opening. Please be advised that certain products may require dry ice for shipping and that, if this is the case, an additional dry ice fee may also be required.Precautions
All products in the AAA Biotech catalog are strictly for research-use only, and are absolutely not suitable for use in any sort of medical, therapeutic, prophylactic, in-vivo, or diagnostic capacity. By purchasing a product from AAA Biotech, you are explicitly certifying that said products will be properly tested and used in line with industry standard. AAA Biotech and its authorized distribution partners reserve the right to refuse to fulfill any order if we have any indication that a purchaser may be intending to use a product outside of our accepted criteria.Disclaimer
Though we do strive to guarantee the information represented in this datasheet, AAA Biotech cannot be held responsible for any oversights or imprecisions. AAA Biotech reserves the right to adjust any aspect of this datasheet at any time and without notice. It is the responsibility of the customer to inform AAA Biotech of any product performance issues observed or experienced within 30 days of receipt of said product. To see additional details on this or any of our other policies, please see our Terms & Conditions page.Item has been added to Shopping Cart
If you are ready to order, navigate to Shopping Cart and get ready to checkout.
