Rabbit PDGF B Monoclonal Antibody | anti-PDGFB antibody
Anti-PDGF B Rabbit Monoclonal Antibody
Gene Names
PDGFB; SIS; SSV; PDGF2; c-sis; PDGF-2
Reactivity
Human, Mouse, Rat
Applications
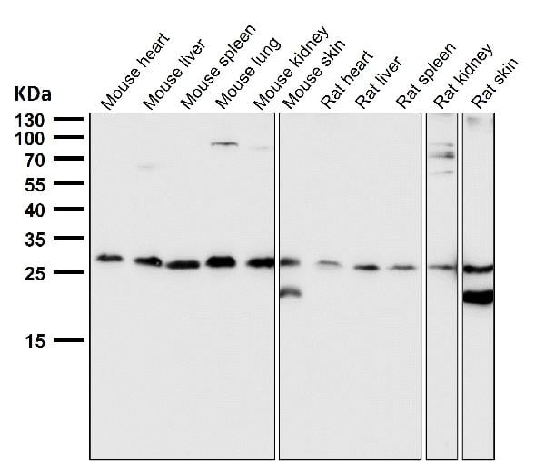
Western Blot
Purity
Affinity-chromatography
Synonyms
PDGF B, Antibody; Anti-PDGF B Rabbit Monoclonal Antibody; anti-PDGFB antibody
Host
Rabbit
Reactivity
Human, Mouse, Rat
Clonality
Monoclonal
Isotype
IgG
Clone Number
31P34
Purity/Purification
Affinity-chromatography
Form/Format
Liquid. Rabbit IgG in phosphate buffered saline, pH 7.4, 150mM NaCl, 0.02% sodium azide and 50% glycerol, 0.4-0.5mg/ml BSA.
Applicable Applications for anti-PDGFB antibody
WB (Western Blot)
Immunogen
A synthesized peptide derived from human PDGF B
Preparation and Storage
Store at -20 degree C for one year. For short term storage and frequent use, store at 4 degree C for up to one month. Avoid repeated freeze-thaw cycles.
Product Categories/Family for anti-PDGFB antibody
NCBI and Uniprot Product Information
NCBI GI #
NCBI GeneID
NCBI Accession #
NCBI GenBank Nucleotide #
Molecular Weight
27,283 Da
NCBI Official Full Name
platelet-derived growth factor subunit B isoform 1 preproprotein
NCBI Official Synonym Full Names
platelet-derived growth factor beta polypeptide
NCBI Official Symbol
PDGFB
NCBI Official Synonym Symbols
SIS; SSV; PDGF2; c-sis; PDGF-2
NCBI Protein Information
platelet-derived growth factor subunit B; becaplermin; PDGF, B chain; PDGF subunit B; proto-oncogene c-Sis; platelet-derived growth factor 2; platelet-derived growth factor B chain; platelet-derived growth factor, beta polypeptide (oncogene SIS); platelet
UniProt Protein Name
Platelet-derived growth factor subunit B
UniProt Gene Name
PDGFB
UniProt Synonym Gene Names
PDGF2; SIS; PDGF subunit B
UniProt Entry Name
PDGFB_HUMAN
Customer Reviews
Loading reviews...
Share Your Experience
Similar Products
Product Notes
The PDGFB pdgfb (Catalog #AAA128114) is an Antibody produced from Rabbit and is intended for research purposes only. The product is available for immediate purchase. The Anti-PDGF B Rabbit Monoclonal Antibody reacts with Human, Mouse, Rat and may cross-react with other species as described in the data sheet. AAA Biotech's PDGF B can be used in a range of immunoassay formats including, but not limited to, WB (Western Blot). Researchers should empirically determine the suitability of the PDGFB pdgfb for an application not listed in the data sheet. Researchers commonly develop new applications and it is an integral, important part of the investigative research process. It is sometimes possible for the material contained within the vial of "PDGF B, Monoclonal Antibody" to become dispersed throughout the inside of the vial, particularly around the seal of said vial, during shipment and storage. We always suggest centrifuging these vials to consolidate all of the liquid away from the lid and to the bottom of the vial prior to opening. Please be advised that certain products may require dry ice for shipping and that, if this is the case, an additional dry ice fee may also be required.Precautions
All products in the AAA Biotech catalog are strictly for research-use only, and are absolutely not suitable for use in any sort of medical, therapeutic, prophylactic, in-vivo, or diagnostic capacity. By purchasing a product from AAA Biotech, you are explicitly certifying that said products will be properly tested and used in line with industry standard. AAA Biotech and its authorized distribution partners reserve the right to refuse to fulfill any order if we have any indication that a purchaser may be intending to use a product outside of our accepted criteria.Disclaimer
Though we do strive to guarantee the information represented in this datasheet, AAA Biotech cannot be held responsible for any oversights or imprecisions. AAA Biotech reserves the right to adjust any aspect of this datasheet at any time and without notice. It is the responsibility of the customer to inform AAA Biotech of any product performance issues observed or experienced within 30 days of receipt of said product. To see additional details on this or any of our other policies, please see our Terms & Conditions page.Item has been added to Shopping Cart
If you are ready to order, navigate to Shopping Cart and get ready to checkout.
