Mouse anti-Human TFE3 Monoclonal Antibody | anti-TFE3 antibody
TFE3 Mouse anti-Human Monoclonal (Concentrated) Antibody
Gene Names
TFE3; TFEA; RCCP2; RCCX1; bHLHe33
Reactivity
Human
Applications
Western Blot, Immunohistochemistry, ELISA
Purity
Protein A/G purified
Synonyms
TFE3, Antibody; TFE3 Mouse anti-Human Monoclonal (Concentrated) Antibody; PathPlus TFE3 Antibody (Concentrated); TFE3; BHLHe33; Transcription factor E3; RCCX1; TFEA; RCCP2; anti-TFE3 antibody
Host
Mouse
Reactivity
Human
Clonality
Monoclonal
Isotype
IgG1
Purity/Purification
Protein A/G purified
Form/Format
Tris, pH7.3-7.7, 1% BSA, <0.1% Sodium Azide
Applicable Applications for anti-TFE3 antibody
WB (Western Blot), IHC (Immunohistochemistry), ELISA
Target
Human TFE3
Immunogen
Recombinant human TFE3.
Conjugation
Concentrated Unconjugated
Preparation and Storage
Store at 2 degree C to 8 degree C. Do not freeze.
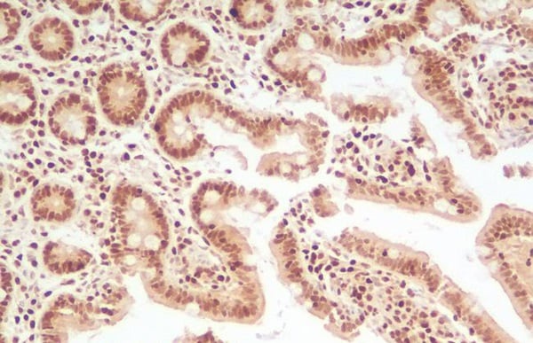
IHC (Immunohiostchemistry)
(TFE3 Antibody-Human Small Intestine: Formalin-Fixed, Paraffin-Embedded (FFPE))
Related Product Information for anti-TFE3 antibody
TFE3 antibody is an unconjugated mouse monoclonal antibody to human TFE3. Validated for ELISA, IHC and WB.
TFE3 (Transcription factor binding to IGHM enhancer 3) is a nuclear protein that promotes the expression of genes downstream to TGF-beta signaling. Chromosomal translocations between this gene (located on Xp11.2) and other genes promote growth and proliferation, and oncogenic activation. Translocation or overexpression of this gene has been implicated in renal cell carcinoma, lung adenocarcinoma, alveolar soft-part sarcoma, papillary thyroid carcinoma, melanoma, and mesotheliomas. It is expressed in a wide variety of tissues, and is nuclear in localization.
TFE3 (Transcription factor binding to IGHM enhancer 3) is a nuclear protein that promotes the expression of genes downstream to TGF-beta signaling. Chromosomal translocations between this gene (located on Xp11.2) and other genes promote growth and proliferation, and oncogenic activation. Translocation or overexpression of this gene has been implicated in renal cell carcinoma, lung adenocarcinoma, alveolar soft-part sarcoma, papillary thyroid carcinoma, melanoma, and mesotheliomas. It is expressed in a wide variety of tissues, and is nuclear in localization.
References
AmJSurgPathol 2009 33:1894; Histopath 1993, 23:439
NCBI and Uniprot Product Information
NCBI GI #
NCBI GeneID
NCBI Accession #
NCBI GenBank Nucleotide #
Molecular Weight
61,521 Da
NCBI Official Full Name
transcription factor E3
NCBI Official Synonym Full Names
transcription factor binding to IGHM enhancer 3
NCBI Official Symbol
TFE3
NCBI Official Synonym Symbols
TFEA; RCCP2; RCCX1; bHLHe33
NCBI Protein Information
transcription factor E3; Transcription factor for IgH enhancer; transcription factor E family, member A; class E basic helix-loop-helix protein 33
UniProt Protein Name
Transcription factor E3
UniProt Gene Name
TFE3
UniProt Synonym Gene Names
BHLHE33; bHLHe33
UniProt Entry Name
TFE3_HUMAN
Customer Reviews
Loading reviews...
Share Your Experience
Similar Products
Product Notes
The TFE3 tfe3 (Catalog #AAA163092) is an Antibody produced from Mouse and is intended for research purposes only. The product is available for immediate purchase. The TFE3 Mouse anti-Human Monoclonal (Concentrated) Antibody reacts with Human and may cross-react with other species as described in the data sheet. AAA Biotech's TFE3 can be used in a range of immunoassay formats including, but not limited to, WB (Western Blot), IHC (Immunohistochemistry), ELISA. Researchers should empirically determine the suitability of the TFE3 tfe3 for an application not listed in the data sheet. Researchers commonly develop new applications and it is an integral, important part of the investigative research process. It is sometimes possible for the material contained within the vial of "TFE3, Monoclonal Antibody" to become dispersed throughout the inside of the vial, particularly around the seal of said vial, during shipment and storage. We always suggest centrifuging these vials to consolidate all of the liquid away from the lid and to the bottom of the vial prior to opening. Please be advised that certain products may require dry ice for shipping and that, if this is the case, an additional dry ice fee may also be required.Precautions
All products in the AAA Biotech catalog are strictly for research-use only, and are absolutely not suitable for use in any sort of medical, therapeutic, prophylactic, in-vivo, or diagnostic capacity. By purchasing a product from AAA Biotech, you are explicitly certifying that said products will be properly tested and used in line with industry standard. AAA Biotech and its authorized distribution partners reserve the right to refuse to fulfill any order if we have any indication that a purchaser may be intending to use a product outside of our accepted criteria.Disclaimer
Though we do strive to guarantee the information represented in this datasheet, AAA Biotech cannot be held responsible for any oversights or imprecisions. AAA Biotech reserves the right to adjust any aspect of this datasheet at any time and without notice. It is the responsibility of the customer to inform AAA Biotech of any product performance issues observed or experienced within 30 days of receipt of said product. To see additional details on this or any of our other policies, please see our Terms & Conditions page.Item has been added to Shopping Cart
If you are ready to order, navigate to Shopping Cart and get ready to checkout.
