Mouse Thrombomodulin/CD141 Monoclonal Antibody | anti-THBD antibody
Thrombomodulin/CD141 (Endothelial Cell Marker)
Gene Names
THBD; TM; THRM; AHUS6; BDCA3; CD141; THPH12
Reactivity
Human. Others not known.
Applications
Immunohistochemistry, Immunofluorescence, Flow Cytometry, Functional Assay, ELISA
Synonyms
Thrombomodulin/CD141, Antibody; Thrombomodulin/CD141 (Endothelial Cell Marker); AHUS6; BDCA3; CD141; Fetomodulin; Thbd; THPH12; THRM; Thrombomodulin (TM); anti-THBD antibody
Host
Mouse
Reactivity
Human. Others not known.
Clonality
Monoclonal
Isotype
IgG2a, kappa
Clone Number
THBD/1782
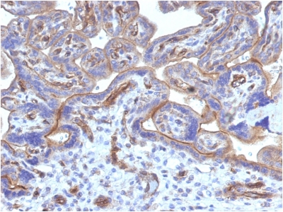
Specificity
It recognizes a protein of 75kDa, identified as Thrombomodulin. Thrombomodulin is a transmembrane glycoprotein with natural anticoagulant properties. It is normally expressed by a restricted number of cells, such as endothelial and mesothelial cells. In addition, synovial lining and syncytio-trophoblasts of placenta also express thrombomodulin. This protein is present in almost all of benign vascular tumors and majority of malignant vascular tumors (Kaposis sarcoma, angiosarcoma, and epithelioid hemangioendothelioma). Hence, anti-thrombomodulin serves as a sensitive marker for lymphatic endothelial cells and their tumors. Recently, thrombomodulin antibody has been used for mesothelial cells and malignant mesotheliomas.
Form/Format
200ug/ml of Ab purified from Bioreactor Concentrate by Protein A/G. Prepared in 10mM PBS with 0.05% BSA & 0.05% azide. Also available WITHOUT BSA & azide at 1.0mg/ml.
Sequence Length
575
Applicable Applications for anti-THBD antibody
IHC (Immunohistochemistry), IF (Immunofluorescence), FCM/FACS (Flow Cytometry), ELISA
Immunogen
Recombinant human Thrombomodulin protein fragment (aa69-194)
Cellular Localization
Cell Surface & Cytoplasmic
Hu-chromosome Location
20p11.2
Positive Control
THP1 Cells. Placenta, Angiosarcoma, Bladder or Cervical Carcinoma
Preparation and Storage
Antibody with azide - store at 2 to 8 degree C.
Antibody without azide - store at -20 to -80 degree C.
Antibody is stable for 24 months. Non-hazardous. No MSDS required.
Antibody without azide - store at -20 to -80 degree C.
Antibody is stable for 24 months. Non-hazardous. No MSDS required.
References
Appleton MA, Attanoos RL, Jasani B. Thrombomodulin as a marker of vascular and lymphatic tumours. Histopathology. 1996 Aug; 29(2):153-7.
NCBI and Uniprot Product Information
NCBI GI #
NCBI GeneID
NCBI Accession #
NCBI GenBank Nucleotide #
Molecular Weight
~100kDa
NCBI Official Full Name
thrombomodulin
NCBI Official Synonym Full Names
thrombomodulin
NCBI Official Symbol
THBD
NCBI Official Synonym Symbols
TM; THRM; AHUS6; BDCA3; CD141; THPH12
NCBI Protein Information
thrombomodulin
UniProt Protein Name
Thrombomodulin
UniProt Gene Name
THBD
UniProt Synonym Gene Names
THRM; TM
Customer Reviews
Loading reviews...
Share Your Experience
Similar Products
Product Notes
The THBD thbd (Catalog #AAA214533) is an Antibody produced from Mouse and is intended for research purposes only. The product is available for immediate purchase. The Thrombomodulin/CD141 (Endothelial Cell Marker) reacts with Human. Others not known. and may cross-react with other species as described in the data sheet. AAA Biotech's Thrombomodulin/CD141 can be used in a range of immunoassay formats including, but not limited to, IHC (Immunohistochemistry), IF (Immunofluorescence), FCM/FACS (Flow Cytometry), ELISA. Researchers should empirically determine the suitability of the THBD thbd for an application not listed in the data sheet. Researchers commonly develop new applications and it is an integral, important part of the investigative research process. It is sometimes possible for the material contained within the vial of "Thrombomodulin/CD141, Monoclonal Antibody" to become dispersed throughout the inside of the vial, particularly around the seal of said vial, during shipment and storage. We always suggest centrifuging these vials to consolidate all of the liquid away from the lid and to the bottom of the vial prior to opening. Please be advised that certain products may require dry ice for shipping and that, if this is the case, an additional dry ice fee may also be required.Precautions
All products in the AAA Biotech catalog are strictly for research-use only, and are absolutely not suitable for use in any sort of medical, therapeutic, prophylactic, in-vivo, or diagnostic capacity. By purchasing a product from AAA Biotech, you are explicitly certifying that said products will be properly tested and used in line with industry standard. AAA Biotech and its authorized distribution partners reserve the right to refuse to fulfill any order if we have any indication that a purchaser may be intending to use a product outside of our accepted criteria.Disclaimer
Though we do strive to guarantee the information represented in this datasheet, AAA Biotech cannot be held responsible for any oversights or imprecisions. AAA Biotech reserves the right to adjust any aspect of this datasheet at any time and without notice. It is the responsibility of the customer to inform AAA Biotech of any product performance issues observed or experienced within 30 days of receipt of said product. To see additional details on this or any of our other policies, please see our Terms & Conditions page.Item has been added to Shopping Cart
If you are ready to order, navigate to Shopping Cart and get ready to checkout.
