Rabbit anti-Human TIM-3 (T Cell Immunoglobulin and Mucin Domain-containing 3, Hepatitis A Virus Cellular Receptor 2, HAVCR 2, HAVCR2, HAVCR-2, Kidney Injury Molecule 3, KIM-3) Monoclonal Antibody | anti-TIM-3 antibody
TIM-3 (T Cell Immunoglobulin and Mucin Domain-containing 3, Hepatitis A Virus Cellular Receptor 2, HAVCR 2, HAVCR2, HAVCR-2, Kidney Injury Molecule 3, KIM-3)
Western Blot: 1:1000,. Incubate membrane with diluted primary antibody in 5% BSA, 1X TBS, 0.1% Tween-20 at 4 degree C with gentle shaking, overnight.
Immunohistochemistry (Paraffin): 1:400 Requires HIER using EDTA, pH 8.0 prior to staining.
Immunoprecipitation: 1:50
WB (Western Blot)
(Western blot analysis of extracts from 293T cells, untransfected (-) or transfected with a construct expressing full-length human Myc/DDK- tagged TIM-3 (hTIM-3-Myc/DDK; +), using TIM-3 Rabbit mAb.)
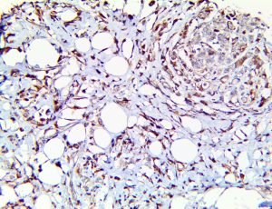
IHC (Immunohistchemistry)
(Immunohistochemical analysis of paraffin-embedded human lung carcinoma using TIM-3 Rabbit mAb. Note staining of alveolar macrophages.)
FCM (Flow Cytometry)
(Flow cytometric analysis of Jurkat cells (blue) and primary CD4+ T cells (green) using AAA26909. Controls were run on Jurkat cells (orange) and primary CD4+ T cells (red) using concentration-matched Rabbit mAb IgG Isotype Control. Anti-rabbit IgG (H+L), F(ab’)2 fragment was used as a secondary antibody. CD4+ T cells were purified from human blood and stimulated for 9 days using beads coated with CD3 and CD28 antibodies in the presence of Human Interleukin-2 (hIL-2) (6.7ng/ml))
IHC (Immunohistochemistry)
(Immunohistochemical analysis of paraffin-embedded human tonsil using AAA26909.)
IHC (Immunohistochemistry)
(Immunohistochemical analysis of paraffin-embedded cell pellets, primary CD4+ T cells (left) and HT-29 cells (right), using AAA26909 T cells were purified from human blood and stimulated for 7 days using beads coated with CD3 and CD28 antibodies in the presence of Human Interleukin-2 (hIL-2) (6.7ng/ml).)
IHC (Immunohistochemistry)
(Immunohistochemical analysis of paraffin-embedded human colon carcinoma using AAA26909.)
WB (Western Blot)
(Western Blot analysis of extracts from primary human CD4+ T cells and various cell lines using AAA26909 (upper) or B-Actin Rabbit mAb (lower). CD4+ T cells were purified from human blood and stimulated for 9 days using beads coated with CD3 and CD28 antibodies in the presence of Human Interleukin-2 (hIL-2) (6.7ng/ml).)
NCBI and Uniprot Product Information
Customer Reviews
Loading reviews...
Share Your Experience
Similar Products
Product Notes
The TIM-3 havcr2 (Catalog #AAA26909) is an Antibody produced from Rabbit and is intended for research purposes only. The product is available for immediate purchase. The TIM-3 (T Cell Immunoglobulin and Mucin Domain-containing 3, Hepatitis A Virus Cellular Receptor 2, HAVCR 2, HAVCR2, HAVCR-2, Kidney Injury Molecule 3, KIM-3) reacts with Human and may cross-react with other species as described in the data sheet. AAA Biotech's TIM-3 (T Cell Immunoglobulin and Mucin Domain-containing 3, Hepatitis A Virus Cellular Receptor 2, HAVCR 2, HAVCR2, HAVCR-2, Kidney Injury Molecule 3, KIM-3) can be used in a range of immunoassay formats including, but not limited to, FCM/FACS (Flow Cytometry), IHC (Immunohistochemistry), IP (Immunoprecipitation), WB (Western Blot). Flow Cytometry: 1:50 Western Blot: 1:1000,. Incubate membrane with diluted primary antibody in 5% BSA, 1X TBS, 0.1% Tween-20 at 4 degree C with gentle shaking, overnight. Immunohistochemistry (Paraffin): 1:400 Requires HIER using EDTA, pH 8.0 prior to staining. Immunoprecipitation: 1:50. Researchers should empirically determine the suitability of the TIM-3 havcr2 for an application not listed in the data sheet. Researchers commonly develop new applications and it is an integral, important part of the investigative research process. It is sometimes possible for the material contained within the vial of "TIM-3 (T Cell Immunoglobulin and Mucin Domain-containing 3, Hepatitis A Virus Cellular Receptor 2, HAVCR 2, HAVCR2, HAVCR-2, Kidney Injury Molecule 3, KIM-3), Monoclonal Antibody" to become dispersed throughout the inside of the vial, particularly around the seal of said vial, during shipment and storage. We always suggest centrifuging these vials to consolidate all of the liquid away from the lid and to the bottom of the vial prior to opening. Please be advised that certain products may require dry ice for shipping and that, if this is the case, an additional dry ice fee may also be required.Precautions
All products in the AAA Biotech catalog are strictly for research-use only, and are absolutely not suitable for use in any sort of medical, therapeutic, prophylactic, in-vivo, or diagnostic capacity. By purchasing a product from AAA Biotech, you are explicitly certifying that said products will be properly tested and used in line with industry standard. AAA Biotech and its authorized distribution partners reserve the right to refuse to fulfill any order if we have any indication that a purchaser may be intending to use a product outside of our accepted criteria.Disclaimer
Though we do strive to guarantee the information represented in this datasheet, AAA Biotech cannot be held responsible for any oversights or imprecisions. AAA Biotech reserves the right to adjust any aspect of this datasheet at any time and without notice. It is the responsibility of the customer to inform AAA Biotech of any product performance issues observed or experienced within 30 days of receipt of said product. To see additional details on this or any of our other policies, please see our Terms & Conditions page.Item has been added to Shopping Cart
If you are ready to order, navigate to Shopping Cart and get ready to checkout.
