Mouse TSH-Receptor Monoclonal Antibody | anti-TSHR antibody
TSH-Receptor, A-Chain (Thyroid Marker)
Gene Names
TSHR; LGR3; CHNG1; hTSHR-I
Reactivity
Human. Others not known.
Applications
Immunohistochemistry, Immunofluorescence, Flow Cytometry, Functional Assay
Synonyms
TSH-Receptor, Antibody; TSH-Receptor, A-Chain (Thyroid Marker); CHNG1; hTSHRI; LGR3; Thyroid-stimulating hormone receptor; Thyrotropin receptor; Thyrotropin receptor I; TSHR; anti-TSHR antibody
Host
Mouse
Reactivity
Human. Others not known.
Clonality
Monoclonal
Isotype
IgG1
Clone Number
SPM223
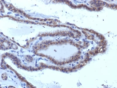
Specificity
Thyroid-stimulating hormone (TSH, also known as thyrotropin) is a glycoprotein involved in the control of thyroid structure and metabolism, which stimulates the release of the thyroid hormones. TSH is regulated by thyroid hormone (T3) and various retinoid compounds. TSH binds to the thyroid-stimulating hormone receptor (TSHR), which is cleaved into two subunits, A and B, and plays a major role in regulating thyroid function. The third cytoplasmic loop of TSHR has been identified as critical for its role in regulating inositol phosphate and cAMP formation. In Graves disease, an autoimmune disorder, TSHR is activated by autoantibodies, which may be stimulated by the cleavage of the A and B subunits.
Form/Format
200ug/ml of Ab purified from Bioreactor Concentrate by Protein A/G. Prepared in 10mM PBS with 0.05% BSA & 0.05% azide. Also available WITHOUT BSA & azide at 1.0mg/ml.
Sequence Length
764
Applicable Applications for anti-TSHR antibody
IHC (Immunohistochemistry), IF (Immunofluorescence), FCM/FACS (Flow Cytometry)
Immunogen
Recombinant human TSHR, A-Chain protein
Cellular Localization
Cytoplasmic
Hu-chromosome Location
14q31
Positive Control
293T Cells. Thyroid gland
Preparation and Storage
Antibody with azide - store at 2 to 8 degree C.
Antibody without azide - store at -20 to -80 degree C.
Antibody is stable for 24 months. Non-hazardous. No MSDS required.
Antibody without azide - store at -20 to -80 degree C.
Antibody is stable for 24 months. Non-hazardous. No MSDS required.
References
Tanaka, K., et al. 1999. Subunit structure of thyrotrophin receptors expressed on the cell surface. J. Biol. Chem. 274: 33979-33984.
NCBI and Uniprot Product Information
NCBI GI #
NCBI GeneID
NCBI Accession #
NCBI GenBank Nucleotide #
Molecular Weight
62kDa
NCBI Official Full Name
thyrotropin receptor isoform 1
NCBI Official Synonym Full Names
thyroid stimulating hormone receptor
NCBI Official Symbol
TSHR
NCBI Official Synonym Symbols
LGR3; CHNG1; hTSHR-I
NCBI Protein Information
thyrotropin receptor
UniProt Protein Name
Thyrotropin receptor
UniProt Gene Name
TSHR
UniProt Synonym Gene Names
LGR3; TSH-R
Customer Reviews
Loading reviews...
Share Your Experience
Similar Products
Product Notes
The TSHR tshr (Catalog #AAA214546) is an Antibody produced from Mouse and is intended for research purposes only. The product is available for immediate purchase. The TSH-Receptor, A-Chain (Thyroid Marker) reacts with Human. Others not known. and may cross-react with other species as described in the data sheet. AAA Biotech's TSH-Receptor can be used in a range of immunoassay formats including, but not limited to, IHC (Immunohistochemistry), IF (Immunofluorescence), FCM/FACS (Flow Cytometry). Researchers should empirically determine the suitability of the TSHR tshr for an application not listed in the data sheet. Researchers commonly develop new applications and it is an integral, important part of the investigative research process. It is sometimes possible for the material contained within the vial of "TSH-Receptor, Monoclonal Antibody" to become dispersed throughout the inside of the vial, particularly around the seal of said vial, during shipment and storage. We always suggest centrifuging these vials to consolidate all of the liquid away from the lid and to the bottom of the vial prior to opening. Please be advised that certain products may require dry ice for shipping and that, if this is the case, an additional dry ice fee may also be required.Precautions
All products in the AAA Biotech catalog are strictly for research-use only, and are absolutely not suitable for use in any sort of medical, therapeutic, prophylactic, in-vivo, or diagnostic capacity. By purchasing a product from AAA Biotech, you are explicitly certifying that said products will be properly tested and used in line with industry standard. AAA Biotech and its authorized distribution partners reserve the right to refuse to fulfill any order if we have any indication that a purchaser may be intending to use a product outside of our accepted criteria.Disclaimer
Though we do strive to guarantee the information represented in this datasheet, AAA Biotech cannot be held responsible for any oversights or imprecisions. AAA Biotech reserves the right to adjust any aspect of this datasheet at any time and without notice. It is the responsibility of the customer to inform AAA Biotech of any product performance issues observed or experienced within 30 days of receipt of said product. To see additional details on this or any of our other policies, please see our Terms & Conditions page.Item has been added to Shopping Cart
If you are ready to order, navigate to Shopping Cart and get ready to checkout.
