Rabbit Tyrosinase-Related Protein-1 (TYRP-1) Monoclonal Antibody | anti-TYRP-1 antibody
Tyrosinase-Related Protein-1 (TYRP-1) (Melanoma Marker)
Gene Names
TYRP1; TRP; CAS2; CATB; GP75; OCA3; TRP1; TYRP; b-PROTEIN
Reactivity
Human. Others not known.
Applications
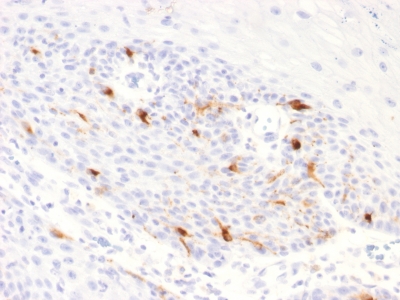
Immunohistochemistry, ELISA
Synonyms
Tyrosinase-Related Protein-1 (TYRP-1), Antibody; Tyrosinase-Related Protein-1 (TYRP-1) (Melanoma Marker); 5; 6 dihydroxyindole 2 carboxylic acid oxidase; 6-dihydroxyindole-2-carboxylic acid oxidase; Associated with iris pigmentation; CAS2; Catalase B (CATB); DHICA oxidase; Glycoprotein75 (GP75); Melanoma antigen gp75; Tyrosinase-related protein 1 (TYRP1); TYRRP; anti-TYRP-1 antibody
Host
Rabbit
Reactivity
Human. Others not known.
Clonality
Monoclonal
Isotype
IgG
Clone Number
TYRP1/2340R
Specificity
It reacts with a 75kDa melanocyte-specific gene product, identified as Tyrosinase-related protein-1 (TRP-1). It is involved in melanin synthesis. TRP1 is present on the melanosomal membranes of melanoma, normal melanocytes and nevi. Recent evidence suggests that TRP-1 is involved in maintaining stability of tyrosinase protein and modulating its catalytic activity. TRP-1 is also involved in maintenance of melanosome ultrastructure and affects melanocyte proliferation and cell death.
Form/Format
200ug/ml of Ab purified from Bioreactor Concentrate by Protein A/G. Prepared in 10mM PBS with 0.05% BSA & 0.05% azide. Also available WITHOUT BSA & azide at 1.0mg/ml.
Sequence Length
537
Applicable Applications for anti-TYRP-1 antibody
IHC (Immunohistochemistry), ELISA
Immunogen
Recombinant fragment of human TYRP1 protein (around aa 257-377)
Cellular Localization
Cytoplasmic
Hu-chromosome Location
9p23
Positive Control
SK-MEL-23, SK-MEL-19, SK-MEL-30, SK-MEL-37 cells. Human Skin or Melanoma.
Preparation and Storage
Antibody with azide - store at 2 to 8 degree C.
Antibody without azide - store at -20 to -80 degree C.
Antibody is stable for 24 months. Non-hazardous. No MSDS required.
Antibody without azide - store at -20 to -80 degree C.
Antibody is stable for 24 months. Non-hazardous. No MSDS required.
References
Orlow, S.J., et al. 1994. High-molecular-weight forms of tyrosinase and the tyrosinase-related proteins: evidence for a melanogenic complex. J. Invest. Dermatol. 103: 196-201.
NCBI and Uniprot Product Information
NCBI GI #
NCBI GeneID
NCBI Accession #
NCBI GenBank Nucleotide #
Molecular Weight
75kDa
NCBI Official Full Name
5,6-dihydroxyindole-2-carboxylic acid oxidase
NCBI Official Synonym Full Names
tyrosinase related protein 1
NCBI Official Symbol
TYRP1
NCBI Official Synonym Symbols
TRP; CAS2; CATB; GP75; OCA3; TRP1; TYRP; b-PROTEIN
NCBI Protein Information
5,6-dihydroxyindole-2-carboxylic acid oxidase
UniProt Protein Name
5,6-dihydroxyindole-2-carboxylic acid oxidase
UniProt Gene Name
TYRP1
UniProt Synonym Gene Names
; TRP-1; TRP1
Customer Reviews
Loading reviews...
Share Your Experience
Similar Products
Product Notes
The TYRP-1 tyrp1 (Catalog #AAA214551) is an Antibody produced from Rabbit and is intended for research purposes only. The product is available for immediate purchase. The Tyrosinase-Related Protein-1 (TYRP-1) (Melanoma Marker) reacts with Human. Others not known. and may cross-react with other species as described in the data sheet. AAA Biotech's Tyrosinase-Related Protein-1 (TYRP-1) can be used in a range of immunoassay formats including, but not limited to, IHC (Immunohistochemistry), ELISA. Researchers should empirically determine the suitability of the TYRP-1 tyrp1 for an application not listed in the data sheet. Researchers commonly develop new applications and it is an integral, important part of the investigative research process. It is sometimes possible for the material contained within the vial of "Tyrosinase-Related Protein-1 (TYRP-1), Monoclonal Antibody" to become dispersed throughout the inside of the vial, particularly around the seal of said vial, during shipment and storage. We always suggest centrifuging these vials to consolidate all of the liquid away from the lid and to the bottom of the vial prior to opening. Please be advised that certain products may require dry ice for shipping and that, if this is the case, an additional dry ice fee may also be required.Precautions
All products in the AAA Biotech catalog are strictly for research-use only, and are absolutely not suitable for use in any sort of medical, therapeutic, prophylactic, in-vivo, or diagnostic capacity. By purchasing a product from AAA Biotech, you are explicitly certifying that said products will be properly tested and used in line with industry standard. AAA Biotech and its authorized distribution partners reserve the right to refuse to fulfill any order if we have any indication that a purchaser may be intending to use a product outside of our accepted criteria.Disclaimer
Though we do strive to guarantee the information represented in this datasheet, AAA Biotech cannot be held responsible for any oversights or imprecisions. AAA Biotech reserves the right to adjust any aspect of this datasheet at any time and without notice. It is the responsibility of the customer to inform AAA Biotech of any product performance issues observed or experienced within 30 days of receipt of said product. To see additional details on this or any of our other policies, please see our Terms & Conditions page.Item has been added to Shopping Cart
If you are ready to order, navigate to Shopping Cart and get ready to checkout.
