Mouse VE-Cadherin Monoclonal Antibody | anti-CDH5 antibody
VE-Cadherin mouse Monoclonal Antibody (8E5)
Gene Names
CDH5; 7B4; CD144
Reactivity
Human, Mouse, Rat
Applications
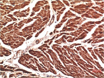
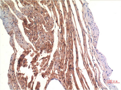
Immunohistochemistry
Synonyms
VE-Cadherin, Antibody; VE-Cadherin mouse Monoclonal Antibody (8E5); CDH5; anti-CDH5 antibody
Host
Mouse
Reactivity
Human, Mouse, Rat
Clonality
Monoclonal
Clone Number
8E5
Applicable Applications for anti-CDH5 antibody
IHC (Immunohistochemistry)
Preparation and Storage
Maintain refrigerated at 2-8 degree C for up to 2 weeks. For long term storage store at -20 degree C in small aliquots to prevent freeze-thaw cycles.
Related Product Information for anti-CDH5 antibody
Cadherins are calcium-dependent cell adhesion proteins. They preferentially interact with themselves in a homophilic manner in connecting cells; cadherins may thus contribute to the sorting of heterogeneous cell types. This cadherin may play a important role in endothelial cell biology through control of the cohesion and organization of the intercellular junctions. It associates with alpha-catenin forming a link to the cytoskeleton. Acts in concert with KRIT1 to establish and maintain correct endothelial cell polarity and vascular lumen. These effects are mediated by recruitment and activation of the Par polarity complex and RAP1B. Required for activation of PRKCZ and for the localization of phosphorylated PRKCZ, PARD3, TIAM1 and RAP1B to the cell junction.
NCBI and Uniprot Product Information
NCBI GI #
NCBI GeneID
NCBI Accession #
NCBI GenBank Nucleotide #
UniProt Accession #
Molecular Weight
87,528 Da
NCBI Official Full Name
cadherin-5 preproprotein
NCBI Official Synonym Full Names
cadherin 5, type 2 (vascular endothelium)
NCBI Official Symbol
CDH5
NCBI Official Synonym Symbols
7B4; CD144
NCBI Protein Information
cadherin-5; 7B4 antigen; VE-cadherin; cd144 antigen; endothelial-specific cadherin; vascular endothelial cadherin; cadherin 5, type 2, VE-cadherin (vascular epithelium)
UniProt Protein Name
Cadherin-5
UniProt Gene Name
CDH5
UniProt Synonym Gene Names
VE-cadherin
UniProt Entry Name
CADH5_HUMAN
Customer Reviews
Loading reviews...
Share Your Experience
Similar Products
Product Notes
The CDH5 cdh5 (Catalog #AAA293805) is an Antibody produced from Mouse and is intended for research purposes only. The product is available for immediate purchase. The VE-Cadherin mouse Monoclonal Antibody (8E5) reacts with Human, Mouse, Rat and may cross-react with other species as described in the data sheet. AAA Biotech's VE-Cadherin can be used in a range of immunoassay formats including, but not limited to, IHC (Immunohistochemistry). Researchers should empirically determine the suitability of the CDH5 cdh5 for an application not listed in the data sheet. Researchers commonly develop new applications and it is an integral, important part of the investigative research process. It is sometimes possible for the material contained within the vial of "VE-Cadherin, Monoclonal Antibody" to become dispersed throughout the inside of the vial, particularly around the seal of said vial, during shipment and storage. We always suggest centrifuging these vials to consolidate all of the liquid away from the lid and to the bottom of the vial prior to opening. Please be advised that certain products may require dry ice for shipping and that, if this is the case, an additional dry ice fee may also be required.Precautions
All products in the AAA Biotech catalog are strictly for research-use only, and are absolutely not suitable for use in any sort of medical, therapeutic, prophylactic, in-vivo, or diagnostic capacity. By purchasing a product from AAA Biotech, you are explicitly certifying that said products will be properly tested and used in line with industry standard. AAA Biotech and its authorized distribution partners reserve the right to refuse to fulfill any order if we have any indication that a purchaser may be intending to use a product outside of our accepted criteria.Disclaimer
Though we do strive to guarantee the information represented in this datasheet, AAA Biotech cannot be held responsible for any oversights or imprecisions. AAA Biotech reserves the right to adjust any aspect of this datasheet at any time and without notice. It is the responsibility of the customer to inform AAA Biotech of any product performance issues observed or experienced within 30 days of receipt of said product. To see additional details on this or any of our other policies, please see our Terms & Conditions page.Item has been added to Shopping Cart
If you are ready to order, navigate to Shopping Cart and get ready to checkout.
