Mouse anti-Human von Willebrand Factor/Factor VIII Related-Ag Monoclonal Antibody | anti-VWF antibody
von Willebrand Factor/Factor VIII Related-Ag (Endothelial Marker)
Gene Names
VWF; VWD; F8VWF
Reactivity
Human
Applications
Immunohistochemistry
Purity
Purified Ab with BSA and Azide at 200ug/ml OR Purified Ab WITHOUT BSA and Azide at 1.0mg/ml
Synonyms
von Willebrand Factor/Factor VIII Related-Ag, Antibody; von Willebrand Factor/Factor VIII Related-Ag (Endothelial Marker); Coagulation Factor VIII; Factor VIII Related Antigen; F8VWF; von Willebrand Antigen 2; von Willebrand Disease (vWD); anti-VWF antibody
Host
Mouse
Reactivity
Human
Clonality
Monoclonal
Isotype
IgG1, kappa
Clone Number
VWF/2480
Specificity
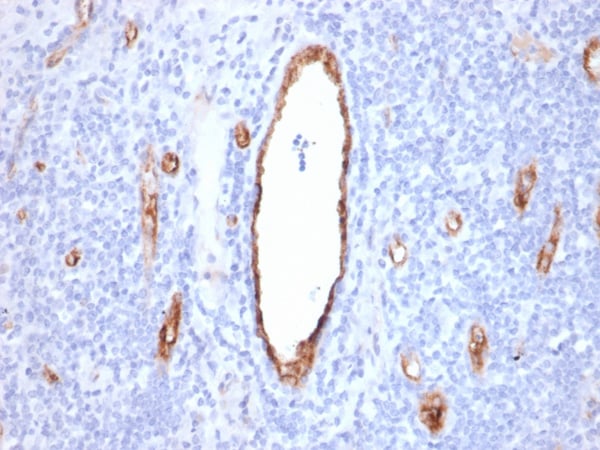
von Willebrand Factor (vWF) is a multimeric glycoprotein that is found in endothelial cells, plasma and platelets. It acts as a carrier protein for Factor VIII and promotes platelet adhesion and aggregation. vWF undergoes a variety of posttranslational modifications that influence the affinity and availability for Factor VIII, including cleavage of the propeptide and formation of N-terminal disulfide bonds. This antibody helps to establish the endothelial nature of some lesions of disputed histogenesis, e.g. Kaposi's sarcoma and cardiac myxoma. It is widely used for differentiating vascular lesions from those of other tissue differentiation within a panel of other vascular markers although not all tumors of endothelial differentiation contain this antigen.
Purity/Purification
Purified Ab with BSA and Azide at 200ug/ml OR Purified Ab WITHOUT BSA and Azide at 1.0mg/ml
Form/Format
200ug/ml of Ab Purified from Bioreactor Concentrate by Protein A/G. Prepared in 10mM PBS with 0.05% BSA & 0.05% azide. Also available WITHOUT BSA & azide at 1.0mg/ml.
Sequence Length
2813
Applicable Applications for anti-VWF antibody
IHC (Immunohistochemistry)
Positive Control
HUVEC cells. Tonsil.
Immunogen
Recombinant full-length human VWF protein
Cellular Localization
Cytoplasmic
Hu-chromosome Location
12p13.31
Preparation and Storage
Antibody with azide: store at 2 to 8 degree C.
Antibody without azide: store at -20 to -80 degree C.
Antibody is stable for 24 months. Non-hazardous. No MSDS required.
Antibody without azide: store at -20 to -80 degree C.
Antibody is stable for 24 months. Non-hazardous. No MSDS required.
References
1. Germann, B. et al. 2008. Pharmazie. 63: 303-307. 2. Motta, A. et al. 2009. J Biomater Sci Polym Ed. 20: 1875-1897.
NCBI and Uniprot Product Information
NCBI GI #
NCBI GeneID
NCBI Accession #
NCBI GenBank Nucleotide #
UniProt Accession #
Molecular Weight
250kDa
NCBI Official Full Name
von Willebrand factor preproprotein
NCBI Official Synonym Full Names
von Willebrand factor
NCBI Official Symbol
VWF
NCBI Official Synonym Symbols
VWD; F8VWF
NCBI Protein Information
von Willebrand factor
UniProt Protein Name
von Willebrand factor
UniProt Gene Name
VWF
UniProt Synonym Gene Names
F8VWF; vWF
UniProt Entry Name
VWF_HUMAN
Customer Reviews
Loading reviews...
Share Your Experience
Similar Products
Product Notes
The VWF vwf (Catalog #AAA215256) is an Antibody produced from Mouse and is intended for research purposes only. The product is available for immediate purchase. The von Willebrand Factor/Factor VIII Related-Ag (Endothelial Marker) reacts with Human and may cross-react with other species as described in the data sheet. AAA Biotech's von Willebrand Factor/Factor VIII Related-Ag can be used in a range of immunoassay formats including, but not limited to, IHC (Immunohistochemistry). Researchers should empirically determine the suitability of the VWF vwf for an application not listed in the data sheet. Researchers commonly develop new applications and it is an integral, important part of the investigative research process. It is sometimes possible for the material contained within the vial of "von Willebrand Factor/Factor VIII Related-Ag, Monoclonal Antibody" to become dispersed throughout the inside of the vial, particularly around the seal of said vial, during shipment and storage. We always suggest centrifuging these vials to consolidate all of the liquid away from the lid and to the bottom of the vial prior to opening. Please be advised that certain products may require dry ice for shipping and that, if this is the case, an additional dry ice fee may also be required.Precautions
All products in the AAA Biotech catalog are strictly for research-use only, and are absolutely not suitable for use in any sort of medical, therapeutic, prophylactic, in-vivo, or diagnostic capacity. By purchasing a product from AAA Biotech, you are explicitly certifying that said products will be properly tested and used in line with industry standard. AAA Biotech and its authorized distribution partners reserve the right to refuse to fulfill any order if we have any indication that a purchaser may be intending to use a product outside of our accepted criteria.Disclaimer
Though we do strive to guarantee the information represented in this datasheet, AAA Biotech cannot be held responsible for any oversights or imprecisions. AAA Biotech reserves the right to adjust any aspect of this datasheet at any time and without notice. It is the responsibility of the customer to inform AAA Biotech of any product performance issues observed or experienced within 30 days of receipt of said product. To see additional details on this or any of our other policies, please see our Terms & Conditions page.Item has been added to Shopping Cart
If you are ready to order, navigate to Shopping Cart and get ready to checkout.
