Mouse YAP1 Monoclonal Antibody | anti-YAP1 antibody
YAP1 (BSB-146)
Reactivity
Human, Mouse, Rat
Synonyms
YAP1, Antibody; YAP1 (BSB-146); yap1; yap-1; Yes-Associated Protein 1; anti-yap1; anti-yap-1; anti YAP; anti YAP1; anti-YAP; 65 kDa Yes associated protein; YAP; YAP2; YAP65; Yes associated protein 1; yes associated protein 2; YKI; Yorkie homolog; yes associated protein beta; yes associated protein delta; anti-YAP1 antibody
Host
Mouse
Reactivity
Human, Mouse, Rat
Clonality
Monoclonal
Isotype
IgG1
Clone Number
BSB-146
Form/Format
Paraffin, Frozen
YAP1 is a mouse monoclonal antibody derived from cell culture supernatant that is concentrated, dialyzed, filter sterilized and diluted in buffer pH7.5, containing BSA and sodium azide as a preservative.
YAP1 is a mouse monoclonal antibody derived from cell culture supernatant that is concentrated, dialyzed, filter sterilized and diluted in buffer pH7.5, containing BSA and sodium azide as a preservative.
Immunogen
Synthetic peptide corresponding to the C-terminus of the human YAP1 protein.
Control
Testis, Placenta, Breast, Fallopian Tube, Transitional Cell Carcinoma, HER2 Negative Breast Cancer
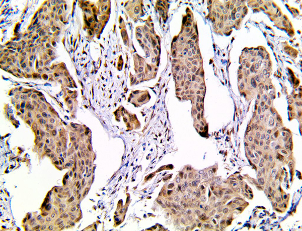
Localization
Cytoplasmic, Nuclear
Product Limitations
Due to inherent variability present in immunohistochemical procedures (including fixation time of tissues, dilution factor of antibody, retrieval method utilized, and incubation time), optimal performance should be established through the use of positive and negative controls. Results should be interpreted by a qualified medical professional.
Control
Placenta, Breast, Fallopian Tube, Testis, Transitional Cell Carcinoma, HER2 Negative Breast Cancer
Application
Lung Cancer, Head and Neck Cancer, Breast Cancer,Colon and Gastrointestinal Cancer, Liver Cancer,Gallbladder and Pancreatic Cancer, Kidney and Urothelial Cancer, Neural and Neuroendocrine Cancer
Specimen Preparation
Paraffin sections:
The antibody can be used on formalin-fixed paraffin-embedded (FFPE) tissue sections. Ensure tissue undergoes appropriate fixation for best results. Pre-treatment of tissues with heat-induced epitope retrieval (HIER) is recommended using ImmunoDNA Retriever with Citrate (Please inquire), ImmunoDNA Retriever with EDTA (Please inquire), or ImmunoDNA Digestor (Please inquire).Tissue should remain hydrated via use of Immuno/DNAWasher solutions (Please inquire).
Frozen sections and cell preparations:The antibody can be used on acetone-fixed frozen sections and acetone-fixed cell preparations.
IHC Protocol:
1. Cut and mount 3-5 micron formalin-fixed paraffin-embedded tissues on positivelycharged slides such as Hydrophilic Plus Slides (please inquire).
2. Air dryfor 2 hours at 58° C.
3. Deparaffinize, dehydrate and rehydrate tissues.
4. Subject tissues to heat induced epitope retrieval (HIER) using a suitable retrieval solution such as ImmunoDNA Retriever with Citrate (please inquire) or EDTA (please inquire).
5. Any of three heating methods may be used:
a.TintoRetriever Pressure Cooker or Equivalent Place tissues/slides in a staining dish or coplin jar containing the ImmunoDNA Retriever with Citrate or EDTA and place on trivet in the pressure cooker. Add 1-2 inches of distilled water to the pressure cooker and turn heat to high. Incubate for 15 minutes. Open and immediately transfer slides to room temperature.
b.TintoRetriever PT Module or Water Bath Method Place tissues/slides in a pre-warmed staining dish or coplin jar containing the ImmunoDNA Retriever with Citrate or EDTA at 95°-99° C. Incubate for 30-60 minutes.
c. Conventional Steamer Method Place tissues/slides in a pre-warmed staining dish or coplin jar containing the ImmunoDNA Retriever with Citrate or EDTA in a steamer, cover and steam for 30-60 minutes.
6. After heat treatment, transfer slides in ImmunoDNA Retriever with Citrate or EDTA to room temperature and let stand for 15-20 minutes.
7. For manual IHC, perform antibodyincubation at ambient temperature. For automated IHC methods, perform antibodyincubation according to instrument manufacturer’s instructions.
8.Wash slides with ImmunoDNA washer or DI water.
9. Continue IHC protocol.Wash slides between each step with ImmunoDNA washer solution.
The antibody can be used on formalin-fixed paraffin-embedded (FFPE) tissue sections. Ensure tissue undergoes appropriate fixation for best results. Pre-treatment of tissues with heat-induced epitope retrieval (HIER) is recommended using ImmunoDNA Retriever with Citrate (Please inquire), ImmunoDNA Retriever with EDTA (Please inquire), or ImmunoDNA Digestor (Please inquire).Tissue should remain hydrated via use of Immuno/DNAWasher solutions (Please inquire).
Frozen sections and cell preparations:The antibody can be used on acetone-fixed frozen sections and acetone-fixed cell preparations.
IHC Protocol:
1. Cut and mount 3-5 micron formalin-fixed paraffin-embedded tissues on positivelycharged slides such as Hydrophilic Plus Slides (please inquire).
2. Air dryfor 2 hours at 58° C.
3. Deparaffinize, dehydrate and rehydrate tissues.
4. Subject tissues to heat induced epitope retrieval (HIER) using a suitable retrieval solution such as ImmunoDNA Retriever with Citrate (please inquire) or EDTA (please inquire).
5. Any of three heating methods may be used:
a.TintoRetriever Pressure Cooker or Equivalent Place tissues/slides in a staining dish or coplin jar containing the ImmunoDNA Retriever with Citrate or EDTA and place on trivet in the pressure cooker. Add 1-2 inches of distilled water to the pressure cooker and turn heat to high. Incubate for 15 minutes. Open and immediately transfer slides to room temperature.
b.TintoRetriever PT Module or Water Bath Method Place tissues/slides in a pre-warmed staining dish or coplin jar containing the ImmunoDNA Retriever with Citrate or EDTA at 95°-99° C. Incubate for 30-60 minutes.
c. Conventional Steamer Method Place tissues/slides in a pre-warmed staining dish or coplin jar containing the ImmunoDNA Retriever with Citrate or EDTA in a steamer, cover and steam for 30-60 minutes.
6. After heat treatment, transfer slides in ImmunoDNA Retriever with Citrate or EDTA to room temperature and let stand for 15-20 minutes.
7. For manual IHC, perform antibodyincubation at ambient temperature. For automated IHC methods, perform antibodyincubation according to instrument manufacturer’s instructions.
8.Wash slides with ImmunoDNA washer or DI water.
9. Continue IHC protocol.Wash slides between each step with ImmunoDNA washer solution.
Preparation and Storage
Store at 2-8 degree C (Control Slides: Store at 20-25 degree C)
This product is stable up to the expiration date on the product label.
Do not use after expiration date listed on the package label. Temperature fluctuations should be avoided. Store appropriately when not in use, and avoid prolonged exposure to room temperature conditions.
This product is stable up to the expiration date on the product label.
Do not use after expiration date listed on the package label. Temperature fluctuations should be avoided. Store appropriately when not in use, and avoid prolonged exposure to room temperature conditions.
Related Product Information for anti-YAP1 antibody
Yes-Associated Protein 1 (YAP1) is a regulatory protein that binds the Src family tyrosine kinase YES, promotes transcriptional activation of cyclin E and inhibition of caspase-induced apoptosis. YAP1 is found in the cytoplasm, though transported into the nucleus to perform its roles in proliferation and assist in tissue repair and growth. YAP1 is essential for cancer growth, contributing to stem-cell-like features of proliferation and metastasis and inducing these features in neighboring cells. YAP1 may be upregulated or have higher nuclear localization in more malignant and metastatic tumors, as seen in Lung, Breast, Colorectal, Liver, Gastric, Pancreatic, and Brain Cancers.
YAP1 antibody It is frequently overexpressed in Mammary carcinoma, Glioblastoma and Squamous Cell Carcinoma, Pancreatic, Oral, Cervical, Ovarian and Lung Cancers. YAP1 has been found to be expressed in fetal and adult brain regions known to harbor neural progenitor cells but there was little YAP1 immunoreactivity in the adult cerebral cortex. YAP1 protein was also readily detected in the nuclei of human brain tumors. In Medulloblastoma, expression varied between histologic subtypes and was most prominent in Nodular/Desmoplastic tumors. In Gliomas it was frequently expressed in infiltrating Astrocytomas and Oligodendrogliomas, but rarely in Pilocytic Astrocytomas. YAP1 antibody immunoreactivity has been found in the nuclei of tumor cells in 64.8% of Clear Cell Renal Cell Carcinoma (ccRCC) patients, whereas only 24.1% of tumors revealed cytoplasmic YAP1 expression with ccRCC patients having cytoplasmic YAP1 immunoexpression had significantly shorter OS (median = 26.8 months) than patients without cytoplasmic YAP1 and concluded that increased cytoplasmic YAP1 (HR = 4.53) and decreased LATS1 immunoreactivity levels (HR = 0.90) were associated with worse prognosis, being independent prognostic factors. These results suggest that YAP1 and LATS1 can be considered as new prognostic factors in ccRCC.
YAP1 antibody It is frequently overexpressed in Mammary carcinoma, Glioblastoma and Squamous Cell Carcinoma, Pancreatic, Oral, Cervical, Ovarian and Lung Cancers. YAP1 has been found to be expressed in fetal and adult brain regions known to harbor neural progenitor cells but there was little YAP1 immunoreactivity in the adult cerebral cortex. YAP1 protein was also readily detected in the nuclei of human brain tumors. In Medulloblastoma, expression varied between histologic subtypes and was most prominent in Nodular/Desmoplastic tumors. In Gliomas it was frequently expressed in infiltrating Astrocytomas and Oligodendrogliomas, but rarely in Pilocytic Astrocytomas. YAP1 antibody immunoreactivity has been found in the nuclei of tumor cells in 64.8% of Clear Cell Renal Cell Carcinoma (ccRCC) patients, whereas only 24.1% of tumors revealed cytoplasmic YAP1 expression with ccRCC patients having cytoplasmic YAP1 immunoexpression had significantly shorter OS (median = 26.8 months) than patients without cytoplasmic YAP1 and concluded that increased cytoplasmic YAP1 (HR = 4.53) and decreased LATS1 immunoreactivity levels (HR = 0.90) were associated with worse prognosis, being independent prognostic factors. These results suggest that YAP1 and LATS1 can be considered as new prognostic factors in ccRCC.
Customer Reviews
Loading reviews...
Share Your Experience
Similar Products
Product Notes
The YAP1 (Catalog #AAA59397) is an Antibody produced from Mouse and is intended for research purposes only. The product is available for immediate purchase. The YAP1 (BSB-146) reacts with Human, Mouse, Rat and may cross-react with other species as described in the data sheet. It is sometimes possible for the material contained within the vial of "YAP1, Monoclonal Antibody" to become dispersed throughout the inside of the vial, particularly around the seal of said vial, during shipment and storage. We always suggest centrifuging these vials to consolidate all of the liquid away from the lid and to the bottom of the vial prior to opening. Please be advised that certain products may require dry ice for shipping and that, if this is the case, an additional dry ice fee may also be required.Precautions
All products in the AAA Biotech catalog are strictly for research-use only, and are absolutely not suitable for use in any sort of medical, therapeutic, prophylactic, in-vivo, or diagnostic capacity. By purchasing a product from AAA Biotech, you are explicitly certifying that said products will be properly tested and used in line with industry standard. AAA Biotech and its authorized distribution partners reserve the right to refuse to fulfill any order if we have any indication that a purchaser may be intending to use a product outside of our accepted criteria.Disclaimer
Though we do strive to guarantee the information represented in this datasheet, AAA Biotech cannot be held responsible for any oversights or imprecisions. AAA Biotech reserves the right to adjust any aspect of this datasheet at any time and without notice. It is the responsibility of the customer to inform AAA Biotech of any product performance issues observed or experienced within 30 days of receipt of said product. To see additional details on this or any of our other policies, please see our Terms & Conditions page.Item has been added to Shopping Cart
If you are ready to order, navigate to Shopping Cart and get ready to checkout.
