Loading...

Skip to main content
Call us at +1-800-604-9114 for more information about our products or contact us online Need help? +1-800-604-9114 or contact us

Filters


Clonality

Type

Reactivity

Gene Name

Isotype

Host

Application

Clone

Phospho Antibodies

Phospho-specific antibodies’ typical purpose is to enable researchers to detect changes in proteins. They will exclusively bind to the amino acid sequence on a protein that has been phosphorylated (which is both a physical & chemical change) and do not bind to the same amino acid sequence on said protein if it lacks said phosphorylation. This aids in being able to clearly see and understand the data produced from this particular protein modification.


Viewing 1200-1250 of 5298 product results


product-image-AAA321476_IF13.jpg IF (Immunofluorescence) (AAA321476 staining HepG2 cells(4h of LPS treatment) by IF/ICC. The samples were fixed with PFA and permeabilized in 0.1% Triton X-100,then blocked in 10% serum for 45 minutes at 25°C. Samples were then incubated with primary Ab(AAA321476 1:200) and mouse anti-beta tubulin Ab( 1:200) for 1 hour at 37°C. An AlexaFluor594 conjugated goat anti-rabbit IgG(H+L) Ab(Red) and an AlexaFluor488 conjugated goat anti-mouse IgG(H+L) Ab(Green) were used as the secondary Ab. The nuclear counter stain is DAPI(blue).)

c-Jun, Polyclonal Antibody (Cat# AAA321476)

No reviews yet
Full Name
Phospho-c-Jun (Thr91) Antibody
Gene Names
JUN; AP1; p39; AP-1; c-Jun
Reactivity
Human, Mouse, Rat
Applications
Immunohistochemistry, Western Blot
Purity
This antibody is from purified rabbit serum by affinity purification via sequential chromatography on phospho-and non-phospho-peptide affinity columns.
Pricing
product-image-AAA321477_WB10.jpg WB (Western Blot) (Western blot analysis of c-Jun phosphorylation expression in UV treated HeLa whole cell lysates, The lane on the left is treated with the antigen-specific peptide.)

c-Jun, Polyclonal Antibody (Cat# AAA321477)

No reviews yet
Full Name
Phospho-c-Jun (Ser73) Antibody
Gene Names
JUN; AP1; p39; AP-1; c-Jun
Reactivity
Human, Mouse, Rat, Zebrafish
Applications
Immunocytochemistry, Immunofluorescence, Immunohistochemistry, Western Blot
Purity
From purified rabbit serum by affinity purification via sequential chromatography on phospho-and non-phospho-peptide affinity columns.
Pricing
product-image-AAA321560_WB8.jpg WB (Western Blot) (Western blot analysis of Phospho-NF kappaB p105/p50 (Ser927) expression in various lysates)

NF kappaB p105/p50, Polyclonal Antibody (Cat# AAA321560)

No reviews yet
Full Name
Phospho-NF kappaB p105/p50 (Ser927) Antibody
Gene Names
NFKB1; p50; KBF1; p105; EBP-1; CVID12; NF-kB1; NFKB-p50; NFkappaB; NF-kappaB; NFKB-p105; NF-kappa-B1
Reactivity
Human, Mouse, Rat
Applications
Immunocytochemistry, Immunofluorescence, Immunohistochemistry, Western Blot
Purity
From purified rabbit serum by affinity purification via sequential chromatography on phospho-and non-phospho-peptide affinity columns.
Pricing
product-image-AAA321562_WB10.jpg WB (Western Blot) (Western blot analysis of Phospho-NF kappaB p105/p50 (Ser337) expression in various lysates)

NF kappaB p105/p50, Polyclonal Antibody (Cat# AAA321562)

No reviews yet
Full Name
Phospho-NF kappaB p105/p50 (Ser337) Antibody
Gene Names
NFKB1; p50; KBF1; p105; EBP-1; CVID12; NF-kB1; NFKB-p50; NFkappaB; NF-kappaB; NFKB-p105; NF-kappa-B1
Reactivity
Human, Mouse, Rat
Applications
Immunocytochemistry, Immunofluorescence, Immunohistochemistry, Western Blot
Purity
From purified rabbit serum by affinity purification via sequential chromatography on phospho-and non-phospho-peptide affinity columns.
Pricing
product-image-AAA321566_WB10.jpg WB (Western Blot) (Western blot analysis of Phospho-Synaptotagmin (Thr202) expression in various lysates)

Synaptotagmin, Polyclonal Antibody (Cat# AAA321566)

No reviews yet
Full Name
Phospho-Synaptotagmin (Thr202) Antibody
Gene Names
SYT1; P65; SYT; SVP65
Reactivity
Human, Mouse, Rat
Applications
Immunocytochemistry, Immunofluorescence, Immunohistochemistry, Western Blot
Purity
From purified rabbit serum by affinity purification via sequential chromatography on phospho-and non-phospho-peptide affinity columns.
Pricing
product-image-AAA321570_IHC10.jpg IHC (Immunohistochemistry) (AAA321570 at 1/100 staining human Lymphoma tissue sections by IHC-P. The tissue was formaldehyde fixed and a heat mediated antigen retrieval step in citrate buffer was performed. The tissue was then blocked and incubated with the antibody for 1.5 hours at 22 degree C. An HRP conjugated goat anti-rabbit antibody was used as the secondary.)

p70 S6 Kinase, Polyclonal Antibody (Cat# AAA321570)

No reviews yet
Full Name
Phospho-p70 S6 Kinase (Ser424) Antibody
Gene Names
RPS6KB1; S6K; PS6K; S6K1; STK14A; p70-S6K; p70 S6KA; p70-alpha; S6K-beta-1; p70(S6K)-alpha
Reactivity
Human, Mouse, Rat
Applications
Immunocytochemistry, Immunofluorescence, Immunohistochemistry, Western Blot
Purity
From purified rabbit serum by affinity purification via sequential chromatography on phospho-and non-phospho-peptide affinity columns.
Pricing
product-image-AAA321572_IHC10.jpg IHC (Immunohistochemistry) (AAA321572 at 1/50 staining human colon cancer tissue sections by IHC-P. The tissue was formaldehyde fixed and a heat mediated antigen retrieval step in citrate buffer was performed. The tissue was then blocked and incubated with the antibody for 1.5 hours at 22 degree C. An HRP conjugated goat anti-rabbit antibody was used as the secondary.)

GATA3, Polyclonal Antibody (Cat# AAA321572)

No reviews yet
Full Name
Phospho-GATA3 (Ser308) Antibody
Gene Names
GATA3; HDR; HDRS
Reactivity
Human, Mouse
Applications
Immunocytochemistry, Immunofluorescence, Western Blot
Purity
From purified rabbit serum by affinity purification via sequential chromatography on phospho-and non-phospho-peptide affinity columns.
Pricing
product-image-AAA321573_IF10.jpg IF (Immunofluorescence) (AAA321573 staining MCF7 by IF/ICC. The sample were fixed with PFA and permeabilized in 0.1% Triton X-100, then blocked in 10% serum for 45 minutes at 25 degree C. The primary antibody was diluted at 1/200 and incubated with the sample for 1 hour at 37 degree C. An Alexa Fluor 594 conjugated goat anti-rabbit IgG (H+L) Ab, diluted at 1/600, was used as the secondary antibody.)

Cyclin D1, Polyclonal Antibody (Cat# AAA321573)

No reviews yet
Full Name
Phospho-Cyclin D1 (Ser90) Antibody
Gene Names
CCND1; BCL1; PRAD1; U21B31; D11S287E
Reactivity
Human, Mouse, Rat
Applications
Immunocytochemistry, Immunofluorescence, Western Blot
Purity
From purified rabbit serum by affinity purification via sequential chromatography on phospho-and non-phospho-peptide affinity columns.
Pricing
product-image-AAA321574_IF13.jpg IF (Immunofluorescence) (AAA321574 staining MCF7 by IF/ICC. The sample were fixed with PFA and permeabilized in 0.1% Triton X-100, then blocked in 10% serum for 45 minutes at 25 degree C. The primary antibody was diluted at 1/200 and incubated with the sample for 1 hour at 37 degree C. An Alexa Fluor 594 conjugated goat anti-rabbit IgG (H+L) Ab, diluted at 1/600, was used as the secondary antibody.)

Cyclin E1, Polyclonal Antibody (Cat# AAA321574)

No reviews yet
Full Name
Phospho-Cyclin E1 (Thr395) Antibody
Gene Names
CCNE1; CCNE; pCCNE1
Reactivity
Human
Applications
Immunocytochemistry, Immunofluorescence, Immunohistochemistry, Western Blot
Purity
From purified rabbit serum by affinity purification via sequential chromatography on phospho-and non-phospho-peptide affinity columns.
Pricing
product-image-AAA321580_WB10.jpg WB (Western Blot) (Western blot analysis of Phospho-SHP-1 (Tyr536) expression in various lysates)

SHP-1, Polyclonal Antibody (Cat# AAA321580)

No reviews yet
Full Name
Phospho-SHP-1 (Tyr536) Antibody
Gene Names
PTPN6; HCP; HCPH; SHP1; SHP-1; HPTP1C; PTP-1C; SHP-1L; SH-PTP1
Reactivity
Human, Mouse, Rat
Applications
Immunocytochemistry, Immunofluorescence, Immunohistochemistry, Western Blot
Purity
From purified rabbit serum by affinity purification via sequential chromatography on phospho-and non-phospho-peptide affinity columns.
Pricing
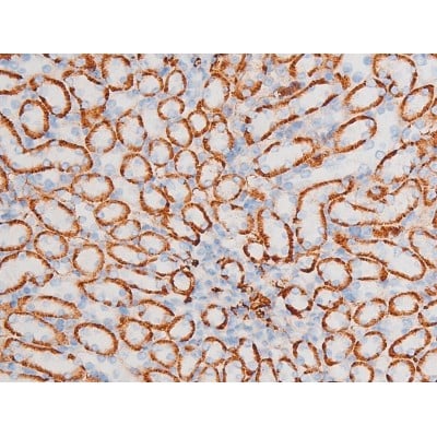
product-image-AAA321585_IHC10.jpg IHC (Immunohistochemistry) (AAA321585 at 1/100 staining human kidney tissue sections by IHC-P. The tissue was formaldehyde fixed and a heat mediated antigen retrieval step in citrate buffer was performed. The tissue was then blocked and incubated with the antibody for 1.5 hours at 22 degree C. An HRP conjugated goat anti-rabbit antibody was used as the secondary.)

Cyclin D3, Polyclonal Antibody (Cat# AAA321585)

No reviews yet
Full Name
Phospho-Cyclin D3 (Thr283) Antibody
Reactivity
Human, Mouse, Rat
Applications
Immunocytochemistry, Immunofluorescence, Immunohistochemistry, Western Blot
Purity
From purified rabbit serum by affinity purification via sequential chromatography on phospho-and non-phospho-peptide affinity columns.
Pricing
product-image-AAA321589_IF11.jpg IF (Immunofluorescence) (AAA321589 staining Hela by IF/ICC. The sample were fixed with PFA and permeabilized in 0.1% Triton X-100, then blocked in 10% serum for 45 minutes at 25 degree C. The primary antibody was diluted at 1/200 and incubated with the sample for 1 hour at 37 degree C. An Alexa Fluor 594 conjugated goat anti-rabbit IgG (H+L) Ab, diluted at 1/600, was used as the secondary antibody.)

Akt, Polyclonal Antibody (Cat# AAA321589)

No reviews yet
Full Name
Phospho-Akt (Thr308) Antibody
Gene Names
AKT1; AKT; PKB; RAC; CWS6; PRKBA; PKB-ALPHA; RAC-ALPHA
Reactivity
Human, Mouse, Rat
Applications
Immunocytochemistry, Immunofluorescence, Immunohistochemistry, Western Blot
Purity
From purified rabbit serum by affinity purification via sequential chromatography on phospho-and non-phospho-peptide affinity columns.
Pricing
product-image-AAA321591_IHC10.jpg IHC (Immunohistochemistry) (AAA321591 at 1/100 staining human breast carcinoma tissue sections by IHC-P. The tissue was formaldehyde fixed and a heat mediated antigen retrieval step in citrate buffer was performed. The tissue was then blocked and incubated with the antibody for 1.5 hours at 22 degree C. An HRP conjugated goat anti-rabbit antibody was used as the secondary.)

Akt2, Polyclonal Antibody (Cat# AAA321591)

No reviews yet
Full Name
Phospho-Akt2 (Ser474) Antibody
Gene Names
AKT2; PKBB; PRKBB; HIHGHH; PKBBETA; RAC-BETA
Reactivity
Human, Mouse, Rat
Applications
Immunocytochemistry, Immunofluorescence, Immunohistochemistry, Western Blot
Purity
From purified rabbit serum by affinity purification via sequential chromatography on phospho-and non-phospho-peptide affinity columns.
Pricing
product-image-AAA321597_IHC13.jpg IHC (Immunohiostchemistry) (AAA321597 at 1/100 staining human colon tissue sections by IHC-P. The tissue was formaldehyde fixed and a heat mediated antigen retrieval step in citrate buffer was performed. The tissue was then blocked and incubated with the antibody for 1.5 hours at 22 degree C. An HRP conjugated goat anti-rabbit antibody was used as the secondary.)

iNOS, Polyclonal Antibody (Cat# AAA321597)

No reviews yet
Full Name
Phospho-iNOS (Tyr151) Antibody
Gene Names
NOS2; NOS; INOS; NOS2A; HEP-NOS
Reactivity
Human, Mouse, Rat
Applications
Immunohistochemistry, Western Blot
Purity
Peptide affinity purification
Pricing
product-image-AAA321598_WB11.jpg WB (Western Blot) (Western blot analysis of Merlin phosphorylation expression in IFN-alpha treated HuvEc whole cell lysates, The lane on the left is treated with the antigen-specific peptide.)

Merlin, Polyclonal Antibody (Cat# AAA321598)

No reviews yet
Full Name
Phospho-Merlin (Ser518) Antibody
Gene Names
NF2; ACN; SCH; BANF
Reactivity
Human, Mouse, Rat
Applications
Immunocytochemistry, Immunofluorescence, Western Blot
Purity
From purified rabbit serum by affinity purification via sequential chromatography on phospho-and non-phospho-peptide affinity columns.
Pricing
product-image-AAA321602_WB11.jpg WB (Western Blot) (Western blot analysis of VEGFR2 phosphorylation expression in rat muscle tissue lysates, The lane on the right is treated with the antigen-specific peptide.)

VEGFR2, Polyclonal Antibody (Cat# AAA321602)

No reviews yet
Full Name
Phospho-VEGFR2 (Tyr1059) Antibody
Gene Names
KDR; FLK1; CD309; VEGFR; VEGFR2
Reactivity
Human, Mouse, Rat
Applications
Immunocytochemistry, Immunofluorescence, Western Blot
Purity
From purified rabbit serum by affinity purification via sequential chromatography on phospho-and non-phospho-peptide affinity columns.
Pricing
product-image-AAA321603_IHC10.jpg IHC (Immunohistochemistry) (AAA321603 at 1/100 staining human Skin cancer tissue sections by IHC-P. The tissue was formaldehyde fixed and a heat mediated antigen retrieval step in citrate buffer was performed. The tissue was then blocked and incubated with the antibody for 1.5 hours at 22 degree C. An HRP conjugated goat anti-rabbit antibody was used as the secondary.)

VEGFR2, Polyclonal Antibody (Cat# AAA321603)

No reviews yet
Full Name
Phospho-VEGFR2 (Tyr1214) Antibody
Gene Names
KDR; FLK1; CD309; VEGFR; VEGFR2
Reactivity
Human, Mouse, Rat
Applications
Immunocytochemistry, Immunofluorescence, Immunohistochemistry, Western Blot
Purity
From purified rabbit serum by affinity purification via sequential chromatography on phospho-and non-phospho-peptide affinity columns.
Pricing
product-image-AAA321604_IHC8.jpg IHC (Immunohistochemistry) (AAA321604 at 1/100 staining human Kidney tissue sections by IHC-P. The tissue was formaldehyde fixed and a heat mediated antigen retrieval step in citrate buffer was performed. The tissue was then blocked and incubated with the antibody for 1.5 hours at 22 degree C. An HRP conjugated goat anti-rabbit antibody was used as the secondary.)

VEGFR2, Polyclonal Antibody (Cat# AAA321604)

No reviews yet
Full Name
Phospho-VEGFR2 (Tyr951) Antibody
Gene Names
KDR; FLK1; CD309; VEGFR; VEGFR2
Reactivity
Human, Mouse, Rat.
Applications
Immunocytochemistry, Immunofluorescence, Immunohistochemistry, Western Blot
Purity
From purified rabbit serum by affinity purification via sequential chromatography on phospho-and non-phospho-peptide affinity columns.
Pricing
product-image-AAA321607_IHC11.jpg IHC (Immunohistochemisry) (AAA321607 at 1/100 staining Human lung cancer by IHC-P. The sample was formaldehyde fixed and a heat mediated antigen retrieval step in citrate buffer was performed. The sample was then blocked and incubated with the primary antibody at 4°C overnight. An HRP conjugated anti-Rabbit antibody was used as the secondary antibody.)

PPAR gamma, Polyclonal Antibody (Cat# AAA321607)

No reviews yet
Full Name
Phospho-PPAR gamma (Ser112) Antibody
Gene Names
PPARG; GLM1; CIMT1; NR1C3; PPARG1; PPARG2; PPARgamma
Reactivity
Human, Mouse, Rat
Applications
Immunocytochemistry, Immunofluorescence, Immunohistochemistry, Western Blot
Purity
Peptide affinity purification
Pricing
product-image-AAA321609_WB13.jpg WB (Western Blot) (Western blot analysis of Phospho-Synuclein alpha (Tyr136) expression in various lysates)

Synuclein alpha, Polyclonal Antibody (Cat# AAA321609)

No reviews yet
Full Name
Phospho-Synuclein alpha (Tyr136) Antibody
Gene Names
SNCA; PD1; NACP; PARK1; PARK4
Reactivity
Human, Mouse, Rat
Applications
Western Blot
Purity
From purified rabbit serum by affinity purification via sequential chromatography on phospho-and non-phospho-peptide affinity columns.
Pricing
product-image-AAA321615_IHC8.jpg IHC (Immunohistochemistry) (AAA321615 at 1/100 staining human kidney carcinoma tissue sections by IHC-P. The tissue was formaldehyde fixed and a heat mediated antigen retrieval step in citrate buffer was performed. The tissue was then blocked and incubated with the antibody for 1.5 hours at 22 degree C. An HRP conjugated goat anti-rabbit antibody was used as the secondary.)

HNF4 alpha, Polyclonal Antibody (Cat# AAA321615)

No reviews yet
Full Name
Phospho-HNF4 alpha (Ser313) Antibody
Gene Names
HNF4A; TCF; HNF4; MODY; FRTS4; MODY1; NR2A1; TCF14; HNF4a7; HNF4a8; HNF4a9; NR2A21; HNF4alpha
Reactivity
Human, Mouse, Rat
Applications
Immunocytochemistry, Immunofluorescence, Immunohistochemistry, Western Blot
Purity
From purified rabbit serum by affinity purification via sequential chromatography on phospho-and non-phospho-peptide affinity columns.
Pricing
product-image-AAA321616_IHC10.jpg IHC (Immunohistochemistry) (AAA321616 at 1/100 staining human brain tissue sections by IHC-P. The tissue was formaldehyde fixed and a heat mediated antigen retrieval step in citrate buffer was performed. The tissue was then blocked and incubated with the antibody for 1.5 hours at 22 degree C. An HRP conjugated goat anti-rabbit antibody was used as the secondary.)

COT, Polyclonal Antibody (Cat# AAA321616)

No reviews yet
Full Name
Phospho-COT (Thr290) Antibody
Gene Names
MAP3K8; COT; EST; ESTF; TPL2; AURA2; MEKK8; Tpl-2; c-COT
Reactivity
Human, Mouse, Rat
Applications
Immunocytochemistry, Immunofluorescence, Immunohistochemistry, Western Blot
Purity
From purified rabbit serum by affinity purification via sequential chromatography on phospho-and non-phospho-peptide affinity columns.
Pricing
product-image-AAA321617_IF10.jpg IF (Immunofluorescence) (AAA321617 staining 293 by IF/ICC. The sample were fixed with PFA and permeabilized in 0.1% Triton X-100, then blocked in 10% serum for 45 minutes at 25 degree C. The primary antibody was diluted at 1/200 and incubated with the sample for 1 hour at 37 degree C. An Alexa Fluor 594 conjugated goat anti-rabbit IgG (H+L) Ab, diluted at 1/600, was used as the secondary antibody.)

STAT5A, Polyclonal Antibody (Cat# AAA321617)

No reviews yet
Full Name
Phospho-STAT5A (Ser780) Antibody
Gene Names
STAT5A; MGF; STAT5
Reactivity
Human, Mouse, Rat
Applications
Immunoprecipitation, Immunocytochemistry, Immunofluorescence, Immunohistochemistry, Western Blot
Purity
From purified rabbit serum by affinity purification via sequential chromatography on phospho-and non-phospho-peptide affinity columns.
Pricing
product-image-AAA321619_IHC10.jpg IHC (Immunohistochemistry) (AAA321619 at 1/100 staining human brain tissue sections by IHC-P. The tissue was formaldehyde fixed and a heat mediated antigen retrieval step in citrate buffer was performed. The tissue was then blocked and incubated with the antibody for 1.5 hours at 22 degree C. An HRP conjugated goat anti-rabbit antibody was used as the secondary.)

GluR1, Polyclonal Antibody (Cat# AAA321619)

No reviews yet
Full Name
Phospho-GluR1 (Ser863) Antibody
Gene Names
GRIA1; GLUH1; GLUR1; GLURA; GluA1; HBGR1
Reactivity
Human, Mouse, Rat
Applications
Immunocytochemistry, Immunofluorescence, Immunohistochemistry, Western Blot
Purity
From purified rabbit serum by affinity purification via sequential chromatography on phospho-and non-phospho-peptide affinity columns.
Pricing
product-image-AAA321623_WB10.jpg WB (Western Blot) (Western blot analysis of ZAP-70 phosphorylation expression in Jurkat whole cell lysates, The lane on the left is treated with the antigen-specific peptide.)

ZAP-70, Polyclonal Antibody (Cat# AAA321623)

No reviews yet
Full Name
Phospho-ZAP-70 (Tyr493) Antibody
Gene Names
ZAP70; SRK; STD; TZK; STCD; IMD48; ADMIO2; ZAP-70
Reactivity
Human, Mouse, Rat
Applications
Immunocytochemistry, Immunofluorescence, Immunohistochemistry, Western Blot
Purity
From purified rabbit serum by affinity purification via sequential chromatography on phospho-and non-phospho-peptide affinity columns.
Pricing
product-image-AAA321625_WB11.jpg WB (Western Blot) (Western blot analysis of SAPK/JNK phosphorylation expression in Anisomycin treated HeLa whole cell lysates, The lane on the left is treated with the antigen-specific peptide.)

SAPK/JNK, Polyclonal Antibody (Cat# AAA321625)

No reviews yet
Full Name
Phospho-SAPK/JNK (Thr183) Antibody
Gene Names
MAPK8; JNK; JNK1; PRKM8; SAPK1; JNK-46; JNK1A2; SAPK1c; JNK21B1/2
Reactivity
Human, Mouse, Rat
Applications
Immunocytochemistry, Immunofluorescence, Immunohistochemistry, Western Blot
Purity
Peptide affinity purification
Pricing
product-image-AAA321627_IHC11.jpg IHC (Immunohistochemisry) (AAA321627 at 1/100 staining human brain tissue sections by IHC-P. The tissue was formaldehyde fixed and a heat mediated antigen retrieval step in citrate buffer was performed. The tissue was then blocked and incubated with the antibody for 1.5 hours at 22 degree C. An HRP conjugated goat anti-rabbit antibody was used as the secondary.)

SEK1/MKK4, Polyclonal Antibody (Cat# AAA321627)

No reviews yet
Full Name
Phospho-SEK1/MKK4 (Ser80) Antibody
Gene Names
MAP2K4; JNKK; MEK4; MKK4; SEK1; SKK1; JNKK1; SERK1; MAPKK4; PRKMK4; SAPKK1; SAPKK-1
Reactivity
Human, Mouse, Rat
Applications
Immunohistochemistry, Western Blot
Purity
From purified rabbit serum by affinity purification via sequential chromatography on phospho-and non-phospho-peptide affinity columns.
Pricing
product-image-AAA321629_WB10.jpg WB (Western Blot) (Western blot analysis of Phospho-CrkII (Tyr221) expression in various lysates)

CrkII, Polyclonal Antibody (Cat# AAA321629)

No reviews yet
Full Name
Phospho-CrkII (Tyr221) Antibody
Gene Names
CRK; p38; CRKII
Reactivity
Human, Mouse, Rat, Monkey
Applications
Immunocytochemistry, Immunofluorescence, Western Blot
Purity
From purified rabbit serum by affinity purification via sequential chromatography on phospho-and non-phospho-peptide affinity columns.
Pricing
product-image-AAA321637_WB13.jpg WB (Western Blot) (Western blot analysis of Paxillin phosphorylation expression in EGF treated HeLa whole cell lysates, The lane on the left is treated with the antigen-specific peptide.)

Paxillin, Polyclonal Antibody (Cat# AAA321637)

No reviews yet
Full Name
Phospho-Paxillin (Tyr118) Antibody
Reactivity
Human, Mouse, Rat
Applications
Western Blot
Purity
From purified rabbit serum by affinity purification via sequential chromatography on phospho-and non-phospho-peptide affinity columns.
Pricing
product-image-AAA321638_WB13.jpg WB (Western Blot) (Western blot analysis of Paxillin phosphorylation expression in Estradiol treated SK-OV3 whole cell lysates, The lane on the left is treated with the antigen-specific peptide.)

Paxillin, Polyclonal Antibody (Cat# AAA321638)

No reviews yet
Full Name
Phospho-Paxillin (Tyr31) Antibody
Reactivity
Human, Mouse, Rat
Applications
Western Blot
Purity
From purified rabbit serum by affinity purification via sequential chromatography on phospho-and non-phospho-peptide affinity columns.
Pricing
product-image-AAA321642_IHC11.jpg IHC (Immunohistochemisry) (AAA321642 at 1/100 staining human Lymphoma tissue sections by IHC-P. The tissue was formaldehyde fixed and a heat mediated antigen retrieval step in citrate buffer was performed. The tissue was then blocked and incubated with the antibody for 1.5 hours at 22 degree C. An HRP conjugated goat anti-rabbit antibody was used as the secondary.)

GSK3 alpha, Polyclonal Antibody (Cat# AAA321642)

No reviews yet
Full Name
Phospho-GSK3 alpha (Ser21) Antibody
Reactivity
Human, Mouse, Rat
Applications
Immunoprecipitation, Immunohistochemistry, Western Blot
Purity
From purified rabbit serum by affinity purification via sequential chromatography on phospho-and non-phospho-peptide affinity columns.
Pricing
product-image-AAA321644_WB11.jpg WB (Western Blot) (Western blot analysis of VASP phosphorylation expression in NIH-3T3 whole cell lysates, The lane on the left is treated with the antigen-specific peptide.)

VASP, Polyclonal Antibody (Cat# AAA321644)

No reviews yet
Full Name
Phospho-VASP (Ser239) Antibody
Reactivity
Human, Mouse, Rat
Applications
Immunocytochemistry, Immunofluorescence, Immunohistochemistry, Western Blot
Purity
From purified rabbit serum by affinity purification via sequential chromatography on phospho-and non-phospho-peptide affinity columns.
Pricing
product-image-AAA321650_WB8.jpg WB (Western Blot) (Western blot analysis of Phospho-LIMK1/2 (Thr508/505) expression in various lysates)

LIMK1/2, Polyclonal Antibody (Cat# AAA321650)

No reviews yet
Full Name
Phospho-LIMK1/2 (Thr508/505) Antibody
Gene Names
LIMK1; LIMK; LIMK-1
Reactivity
Human, Mouse, Rat
Applications
Immunocytochemistry, Immunofluorescence, Immunohistochemistry, Western Blot
Purity
From purified rabbit serum by affinity purification via sequential chromatography on phospho-and non-phospho-peptide affinity columns.
Pricing
product-image-AAA321654_WB10.jpg WB (Western Blot) (Western blot analysis of p130 Cas phosphorylation expression in NIH-3T3 whole cell lysates, The lane on the left is treated with the antigen-specific peptide.)

p130 Cas, Polyclonal Antibody (Cat# AAA321654)

No reviews yet
Full Name
Phospho-p130 Cas (Tyr410) Antibody
Gene Names
BCAR1; CAS; CAS1; CASS1; CRKAS; P130Cas
Reactivity
Human, Mouse, Rat
Applications
Immunocytochemistry, Immunofluorescence, Immunohistochemistry, Western Blot
Purity
From purified rabbit serum by affinity purification via sequential chromatography on phospho-and non-phospho-peptide affinity columns.
Pricing
product-image-AAA321661_WB8.jpg WB (Western Blot) (Western blot analysis of 14-3-3 zeta/delta phosphorylation expression in UV treated Jurkat whole cell lysates, The lane on the left is treated with the antigen-specific peptide.)

14-3-3 zeta/delta, Polyclonal Antibody (Cat# AAA321661)

No reviews yet
Full Name
Phospho-14-3-3 zeta/delta (Thr232) Antibody
Gene Names
YWHAZ; HEL4; YWHAD; KCIP-1; HEL-S-3; HEL-S-93; 14-3-3-zeta
Reactivity
Human, Mouse, Rat
Applications
Immunocytochemistry, Immunofluorescence, Immunohistochemistry, Western Blot
Purity
From purified rabbit serum by affinity purification via sequential chromatography on phospho-and non-phospho-peptide affinity columns.
Pricing
product-image-AAA321664_WB11.jpg WB (Western Blot) (Western blot analysis of ADAM 17 phosphorylation expression in K562UV treated whole cell lysates, The lane on the left is treated with the antigen-specific peptide.)

ADAM 17, Polyclonal Antibody (Cat# AAA321664)

No reviews yet
Full Name
Phospho-ADAM 17 (Thr735) Antibody
Gene Names
ADAM17; CSVP; TACE; NISBD; ADAM18; CD156B; NISBD1
Reactivity
Human, Mouse, Rat
Applications
Immunocytochemistry, Immunofluorescence, Western Blot
Purity
From purified rabbit serum by affinity purification via sequential chromatography on phospho-and non-phospho-peptide affinity columns.
Pricing
product-image-AAA321665_IF11.jpg IF (Immunofluorescence) (AAA321665 staining H2O2 treated Hela cells by IF/ICC. The samples were fixed with PFA and permeabilized in 0.1% Triton X-100,then blocked in 10% serum for 45 minutes at 25°C. Samples were then incubated with primary Ab(AF3362) and mouse anti-beta tubulin Ab for 1 hour at 37°C. An AlexaFluor594 conjugated goat anti-rabbit IgG(H+L) Ab(Red) and an AlexaFluor488 conjugated goat anti-mouse IgG(H+L) Ab(Green) were used as the secondary antibody. The nuclear counter stain is DAPI(blue).)

Smad3, Polyclonal Antibody (Cat# AAA321665)

No reviews yet
Full Name
Phospho-Smad3 (Ser425) Antibody
Gene Names
SMAD3; LDS3; LDS1C; MADH3; JV15-2; HSPC193; HsT17436
Reactivity
Human, Mouse, Rat
Applications
Immunocytochemistry, Immunofluorescence, Immunohistochemistry, Western Blot
Purity
Peptide Affinity Purification
Pricing
product-image-AAA321667_WB11.jpg WB (Western Blot) (Western blot analysis of Smad3 phosphorylation expression in Serum treated NIH-3T3 whole cell lysates, The lane on the left is treated with the antigen-specific peptide.)

Smad3, Polyclonal Antibody (Cat# AAA321667)

No reviews yet
Full Name
Phospho-Smad3 (Ser204) Antibody
Gene Names
SMAD3; LDS3; LDS1C; MADH3; JV15-2; HSPC193; HsT17436
Reactivity
Human, Mouse, Rat
Applications
Immunocytochemistry, Immunofluorescence, Western Blot
Purity
From purified rabbit serum by affinity purification via sequential chromatography on phospho-and non-phospho-peptide affinity columns.
Pricing
product-image-AAA321671_IF10.jpg IF (Immunofluorescence) (AAA321671 staining RAW264.7 by IF/ICC. The sample were fixed with PFA and permeabilized in 0.1% Triton X-100, then blocked in 10% serum for 45 minutes at 25 degree C. The primary antibody was diluted at 1/200 and incubated with the sample for 1 hour at 37 degree C. An Alexa Fluor 594 conjugated goat anti-rabbit IgG (H+L) Ab, diluted at 1/600, was used as the secondary antibody.)

NF kappaB p100/p52, Polyclonal Antibody (Cat# AAA321671)

No reviews yet
Full Name
Phospho-NF kappaB p100/p52 (Ser865) Antibody
Gene Names
NFKB2; p52; p100; H2TF1; LYT10; CVID10; LYT-10; NF-kB2; p49/p100
Reactivity
Human, Mouse, Rat
Applications
Immunoprecipitation, Immunocytochemistry, Immunofluorescence, Immunohistochemistry, Western Blot
Purity
From purified rabbit serum by affinity purification via sequential chromatography on phospho-and non-phospho-peptide affinity columns.
Pricing
product-image-AAA321678_IF10.jpg IF (Immunofluorescence) (AAA321678 staining HepG2 by IF/ICC. The sample were fixed with PFA and permeabilized in 0.1% Triton X-100, then blocked in 10% serum for 45 minutes at 25 degree C. The primary antibody was diluted at 1/200 and incubated with the sample for 1 hour at 37 degree C. An Alexa Fluor 594 conjugated goat anti-rabbit IgG (H+L) Ab, diluted at 1/600, was used as the secondary antibody.)

RelB, Polyclonal Antibody (Cat# AAA321678)

No reviews yet
Full Name
Phospho-RelB (Ser552) Antibody
Gene Names
RELB; IREL; I-REL; IMD53; REL-B
Reactivity
Human, Mouse
Applications
Immunocytochemistry, Immunofluorescence, Immunohistochemistry, Western Blot
Purity
From purified rabbit serum by affinity purification via sequential chromatography on phospho-and non-phospho-peptide affinity columns.
Pricing
product-image-AAA321681_IF11.jpg IF (Immunofluorescence) (AAA321681 staining NIH-3T3 by IF/ICC. The sample were fixed with PFA and permeabilized in 0.1% Triton X-100, then blocked in 10% serum for 45 minutes at 25 degree C. The primary antibody was diluted at 1/200 and incubated with the sample for 1 hour at 37 degree C. An Alexa Fluor 594 conjugated goat anti-rabbit IgG (H+L) Ab, diluted at 1/600, was used as the secondary antibody.)

MEK1, Polyclonal Antibody (Cat# AAA321681)

No reviews yet
Full Name
Phospho-MEK1 (Thr291) Antibody
Gene Names
MAP2K1; CFC3; MEK1; MKK1; MAPKK1; PRKMK1
Reactivity
Human, Mouse, Rat
Applications
Immunocytochemistry, Immunofluorescence, Western Blot
Purity
From purified rabbit serum by affinity purification via sequential chromatography on phospho-and non-phospho-peptide affinity columns.
Pricing
product-image-AAA321682_WB11.jpg WB (Western Blot) (Western blot analysis of Phospho-MEK1/2 (Ser217) expression in various lysates)

MEK1/2, Polyclonal Antibody (Cat# AAA321682)

No reviews yet
Full Name
Phospho-MEK1/2 (Ser217) Antibody
Gene Names
MAP2K1; CFC3; MEK1; MKK1; MAPKK1; PRKMK1
Reactivity
Human, Mouse, Rat
Applications
Immunohistochemistry, Western Blot
Purity
From purified rabbit serum by affinity purification via sequential chromatography on phospho-and non-phospho-peptide affinity columns.
Pricing
product-image-AAA321683_WB11.jpg WB (Western Blot) (Western blot analysis of Phospho-MEK1/2 (Ser221) expression in various lysates)

MEK1/2, Polyclonal Antibody (Cat# AAA321683)

No reviews yet
Full Name
Phospho-MEK1/2 (Ser221) Antibody
Gene Names
MAP2K1; CFC3; MEK1; MKK1; MAPKK1; PRKMK1
Reactivity
Human, Mouse, Rat
Applications
Immunohistochemistry, Western Blot
Purity
From purified rabbit serum by affinity purification via sequential chromatography on phospho-and non-phospho-peptide affinity columns.
Pricing
product-image-AAA321691_IHC13.jpg IHC (Immunohiostchemistry) (AAA321691 at 1/200 staining Rat ganstric tissue sections by IHC-P. The tissue was formaldehyde fixed and a heat mediated antigen retrieval step in citrate buffer was performed. The tissue was then blocked and incubated with the antibody for 1.5 hours at 22°C. An HRP conjugated goat anti-rabbit antibody was used as the secondary.)

Rel, Polyclonal Antibody (Cat# AAA321691)

No reviews yet
Full Name
Phospho-Rel (Ser503) Antibody
Gene Names
REL; C-Rel
Reactivity
Human, Mouse, Rat
Applications
Immunocytochemistry, Immunofluorescence, Immunohistochemistry, Western Blot
Purity
Purified rabbit serum by affinity purification via sequential chromatography on phospho-and non-phospho-peptide affinity columns.
Pricing
product-image-AAA321692_WB11.jpg WB (Western Blot) (Western blot analysis of Phospho-FAK (Tyr861) expression in various lysates)

FAK, Polyclonal Antibody (Cat# AAA321692)

No reviews yet
Full Name
Phospho-FAK (Tyr861) Antibody
Gene Names
PTK2; FAK; FADK; FAK1; FRNK; PPP1R71; p125FAK; pp125FAK
Reactivity
Human, Mouse, Rat
Applications
Immunocytochemistry, Immunofluorescence, Western Blot
Purity
From purified rabbit serum by affinity purification via sequential chromatography on phospho-and non-phospho-peptide affinity columns.
Pricing
product-image-AAA321693_WB11.jpg WB (Western Blot) (Western blot analysis of Phospho-FAK (Tyr925) expression in various lysates)

FAK, Polyclonal Antibody (Cat# AAA321693)

No reviews yet
Full Name
Phospho-FAK (Tyr925) Antibody
Gene Names
PTK2; FAK; FADK; FAK1; FRNK; PPP1R71; p125FAK; pp125FAK
Reactivity
Human, Mouse, Rat
Applications
Immunocytochemistry, Immunofluorescence, Western Blot
Purity
From purified rabbit serum by affinity purification via sequential chromatography on phospho-and non-phospho-peptide affinity columns.
Pricing
product-image-AAA321694_WB11.jpg WB (Western Blot) (Western blot analysis of Phospho-FAK (Ser843) Antibody expression in PMA treated HepG2 cells lysates.The lane on the right is treated with the antigen-specific peptide.)

FAK, Polyclonal Antibody (Cat# AAA321694)

No reviews yet
Full Name
Phospho-FAK (Ser843) Antibody
Gene Names
PTK2; FAK; FADK; FAK1; FRNK; PPP1R71; p125FAK; pp125FAK
Reactivity
Human, Mouse, Rat
Applications
Immunocytochemistry, Immunofluorescence, Western Blot
Purity
From purified rabbit serum by affinity purification via sequential chromatography on phospho-and non-phospho-peptide affinity columns.
Pricing
product-image-AAA321695_IHC10.jpg IHC (Immunohistochemistry) (AAA321695 at 1/100 staining Human prostate tissue by IHC-P. The sample was formaldehyde fixed and a heat mediated antigen retrieval step in citrate buffer was performed. The sample was then blocked and incubated with the antibody for 1.5 hours at 22 degree C. An HRP conjugated goat anti-rabbit antibody was used as the secondary.)

HSL, Polyclonal Antibody (Cat# AAA321695)

No reviews yet
Full Name
Phospho-HSL (Ser855/554) Antibody
Gene Names
LIPE; HSL; LHS; AOMS4; FPLD6
Reactivity
Human, Mouse, Rat
Applications
Immunocytochemistry, Immunofluorescence, Immunohistochemistry, Western Blot
Purity
From purified rabbit serum by affinity purification via sequential chromatography on phospho-and non-phospho-peptide affinity columns.
Pricing
product-image-AAA321696_WB11.jpg WB (Western Blot) (Western blot analysis of HSL phosphorylation expression in K562 whole cell lysates, The lane on the left is treated with the antigen-specific peptide.)

HSL, Polyclonal Antibody (Cat# AAA321696)

No reviews yet
Full Name
Phospho-HSL (Ser552) Antibody
Gene Names
LIPE; HSL; LHS; AOMS4; FPLD6
Reactivity
Human, Mouse, Rat
Applications
Immunocytochemistry, Immunofluorescence, Immunohistochemistry, Western Blot
Purity
From purified rabbit serum by affinity purification via sequential chromatography on phospho-and non-phospho-peptide affinity columns.
Pricing
product-image-AAA321698_WB8.jpg WB (Western Blot) (Western blot analysis of PKC zeta phosphorylation expression in PMA treated COS7 whole cell lysates, The lane on the left is treated with the antigen-specific peptide.)

PKC zeta, Polyclonal Antibody (Cat# AAA321698)

No reviews yet
Full Name
Phospho-PKC zeta (Thr560) Antibody
Gene Names
PRKCZ; PKC2; PKC-ZETA
Reactivity
Human, Mouse, Rat
Applications
Immunocytochemistry, Immunofluorescence, Immunohistochemistry, Western Blot
Purity
From purified rabbit serum by affinity purification via sequential chromatography on phospho-and non-phospho-peptide affinity columns.
Pricing

What Are Phospho Antibodies?


Protein phosphorylation is a process where a phosphate group is added to certain amino acid residues of a protein – usually serine (S), threonine (T), or tyrosine (Y) - by enzymes called kinases. This process is integral in controlling cellular signaling, cellular growth, and other biological functions.


Our catalog includes a wide range of phospho-specific antibodies that can accurately detect this important marker. They perform strongly in widely-used laboratory applications such as Western blot, flow cytometry, immunohistochemistry, and immunofluorescence microscopy. We value your trust in us and are committed to providing top-quality products and services. All of our antibodies are guaranteed to work for the applications and species indicated on our website & associated product pages.


What Are The Key Applications of Phospho Antibodies?


1. Western Blotting


One of the first steps a researcher can take in utilizing these phospho-specific antibodies, is to check if the antibody works using a technique referred to as “Western blot”. For those unfamiliar, Western Blot aids in showing whether the protein that the antibody recognizes is appearing at the correct/expected size. These phospho-specific antibodies should also be able to detect changes in the target protein’s phosphorylation (on/off state) when cells are stimulated in certain ways.


2. Staining of Fixed Cells (Immunocytochemistry)


Another routine use of these phospho-specific antibodies, is to test if the antibody is able to demonstrate similar performance when used on fixed cells (intact cells that have been preserved) as it did in the Western blot tests. It is an important aspect in many cases to confirm that the antibody works in actual intact cell samples. Ideally, the method used for cellular fixation should be the same as what is used in pathology labs (like using 10% formalin). To check if the antibody works well in tissue sections (FFPE), researchers will often test it on fixed cells that are processed similar to tissue samples.


3. Specificity Tests Using Peptides


In order to make sure that the antibody is only binding to the right target:


  • Laboratory technicians will mix the antibody with phospho-peptides (short segments of the protein containing the phosphate group modification).

  • If the antibody signal disappears, it is confirmation that it is binding to the correct phosphorylated location.

  • A more robust test is to use both the phosphorylated and non-phosphorylated (dephosphorylated) versions of the protein. The antibody should react only with the phosphorylated one.

  • Another method sometimes utilized is to treat the sample with an enzyme, such as alkaline phosphatase, that specifically removes phosphate groups. If the antibody signal disappears after this, it also confirms specificity.


4. Genetic Confirmation


As a final step, scientists can genetically manipulate the nucleotide sequence and alter the target protein by removing the exact site where phosphorylation happens. If the antibody no longer appears to detect the modified protein, it is strong evidence supporting the antibody being specific for that phosphorylated site.


Why Buy Phospho Antibodies Through Us?


  • The production laboratory adheres to strict and consistent protocols prior to releasing any of these phospho-specific antibodies:

  • Standard methods and proper controls in all tests to ensure high quality.

  • These antibodies are tested and validated in different cell types and species.

  • High quality control criterion to ensure each batch is consistent, so you will obtain reliable results every time.


FAQ


1. What Are Phospho-Specific Antibodies?


Phospho-specific antibodies are made to detect proteins only when they have a phosphate group linked to a specific amino acid residue. This empowers scientists understand if a protein is "turned on" or active, based on its phosphorylation state.


2. How to Detect Phosphorylated Proteins in a Western Blot?


To find out if a protein is phosphorylated using Western blot:


  • Use a phospho-specific antibody that binds only to the phosphorylated form of the protein.

  • You can also use a “regular” antibody for the same amino acid sequence of the protein that the phospho-specific antibody is binding to (but in this case, this antibody will not bind if there is a phosphate group present) in order to compare how much of it is phosphorylated versus how much is non-phosphorylated (or “total” protein, if the “normal” antibody’s epitopes are non-phospho-site-specific).


3. How to Choose the Best Antibody?


Here are some simple tips to help you pick the right antibody:


  • Know your target

  • Match your sample characteristics

  • Confirm the intended use is appropriate

  • Check “host” and “type”

  • Check the “quality” of the presented data/images

  • Appraise whether the available validation meets your needs


Submit a Question

Please complete the form below and a representative will contact you as soon as possible.

Request more Information

Please complete the form below and a representative will contact you as soon as possible.

Request a Manual

Please complete the form below and a representative will contact you as soon as possible.

Request a Quote

Please complete the form below and a representative will contact you as soon as possible.