Loading...

Skip to main content
Call us at +1-800-604-9114 for more information about our products or contact us online Need help? +1-800-604-9114 or contact us

Filters


Clonality

Type

Reactivity

Gene Name

Isotype

Host

Application

Clone

Phospho Antibodies

Phospho-specific antibodies’ typical purpose is to enable researchers to detect changes in proteins. They will exclusively bind to the amino acid sequence on a protein that has been phosphorylated (which is both a physical & chemical change) and do not bind to the same amino acid sequence on said protein if it lacks said phosphorylation. This aids in being able to clearly see and understand the data produced from this particular protein modification.


Viewing 1400-1450 of 5299 product results


product-image-AAA321726_WB11.jpg WB (Western Blot) (Western blot analysis of Phospho-Cortactin (Tyr421) expression in various lysates)

Cortactin, Polyclonal Antibody (Cat# AAA321726)

Full Name
Phospho-Cortactin (Tyr421) Antibody
Gene Names
CTTN; EMS1
Reactivity
Human, Mouse, Rat
Applications
Immunocytochemistry, Immunofluorescence, Western Blot
Purity
From purified rabbit serum by affinity purification via sequential chromatography on phospho-and non-phospho-peptide affinity columns.
Pricing
product-image-AAA321729_IF10.jpg IF (Immunofluorescence) (AAA321729 staining HuvEc by IF/ICC. The sample were fixed with PFA and permeabilized in 0.1% Triton X-100, then blocked in 10% serum for 45 minutes at 25 degree C. The primary antibody was diluted at 1/200 and incubated with the sample for 1 hour at 37 degree C. An Alexa Fluor 594 conjugated goat anti-rabbit IgG (H+L) Ab, diluted at 1/600, was used as the secondary antibody.)

SMC1, Polyclonal Antibody (Cat# AAA321729)

Full Name
Phospho-SMC1 (Ser957) Antibody
Gene Names
SMC1A; SMC1; SMCB; CDLS2; SB1.8; SMC1L1; DXS423E; SMC1alpha
Reactivity
Human, Mouse
Applications
Immunocytochemistry, Immunofluorescence, Immunohistochemistry, Western Blot
Purity
From purified rabbit serum by affinity purification via sequential chromatography on phospho-and non-phospho-peptide affinity columns.
Pricing
product-image-AAA321743_WB10.jpg WB (Western Blot) (Western blot analysis of Phospho-p38 MAPK (Tyr182) expression in various lysates)

p38 MAPK, Polyclonal Antibody (Cat# AAA321743)

Full Name
Phospho-p38 MAPK (Tyr182) Antibody
Gene Names
MAPK14; RK; p38; CSBP; EXIP; Mxi2; CSBP1; CSBP2; CSPB1; PRKM14; PRKM15; SAPK2A; p38ALPHA
Reactivity
Human, Mouse, Rat
Applications
Immunocytochemistry, Immunofluorescence, Immunohistochemistry, Western Blot
Purity
From purified rabbit serum by affinity purification via sequential chromatography on phospho-and non-phospho-peptide affinity columns.
Pricing
product-image-AAA321762_WB13.jpg WB (Western Blot) (Western blot analysis of SirT1 phosphorylation expression in JK whole cell lysates, The lane on the left is treated with the antigen-specific peptide.)

SirT1, Polyclonal Antibody (Cat# AAA321762)

Full Name
Phospho-SirT1 (Ser47) Antibody
Gene Names
SIRT1; SIR2; SIR2L1; SIR2alpha
Reactivity
Human, Mouse
Applications
Western Blot
Purity
From purified rabbit serum by affinity purification via sequential chromatography on phospho-and non-phospho-peptide affinity columns.
Pricing
product-image-AAA321579_IF10.jpg IF (Immunofluorescence) (AAA321579 staining K562 by IF/ICC. The sample were fixed with PFA and permeabilized in 0.1% Triton X-100, then blocked in 10% serum for 45 minutes at 25 degree C. The primary antibody was diluted at 1/200 and incubated with the sample for 1 hour at 37 degree C. An Alexa Fluor 594 conjugated goat anti-rabbit IgG (H+L) Ab, diluted at 1/600, was used as the secondary antibody.)

MKP-1/2, Polyclonal Antibody (Cat# AAA321579)

Full Name
Phospho-MKP-1/2 (Ser296/318) Antibody
Gene Names
DUSP1; HVH1; MKP1; CL100; MKP-1; PTPN10
Reactivity
Human, Mouse, Rat
Applications
Immunocytochemistry, Immunofluorescence, Immunohistochemistry, Western Blot
Purity
From purified rabbit serum by affinity purification via sequential chromatography on phospho-and non-phospho-peptide affinity columns.
Pricing
product-image-AAA321596_WB8.jpg WB (Western Blot) (Western blot analysis of Phospho-Catenin beta (Tyr489)expression in various lysates)

Catenin beta, Polyclonal Antibody (Cat# AAA321596)

Full Name
Phospho-Catenin beta (Tyr489) Antibody
Gene Names
CTNNB1; EVR7; CTNNB; MRD19; armadillo
Reactivity
Human, Mouse, Rat
Applications
Immunocytochemistry, Immunofluorescence, Immunohistochemistry, Western Blot
Purity
From purified rabbit serum by affinity purification via sequential chromatography on phospho-and non-phospho-peptide affinity columns.
Pricing
product-image-AAA321647_IHC10.jpg IHC (Immunohistochemistry) (AAA321647 at 1/100 staining human Skin carcinoma tissue sections by IHC-P. The tissue was formaldehyde fixed and a heat mediated antigen retrieval step in citrate buffer was performed. The tissue was then blocked and incubated with the antibody for 1.5 hours at 22 degree C. An HRP conjugated goat anti-rabbit antibody was used as the secondary.)

ETK, Polyclonal Antibody (Cat# AAA321647)

Full Name
Phospho-ETK (Tyr566) Antibody
Gene Names
BMX; ETK; PSCTK2; PSCTK3
Reactivity
Human, Mouse
Applications
Immunocytochemistry, Immunofluorescence, Immunohistochemistry, Western Blot
Purity
From purified rabbit serum by affinity purification via sequential chromatography on phospho-and non-phospho-peptide affinity columns.
Pricing
product-image-AAA321648_WB10.jpg WB (Western Blot) (Western blot analysis of Phospho-STAT2 (Tyr690) expression in various lysates)

STAT2, Polyclonal Antibody (Cat# AAA321648)

Full Name
Phospho-STAT2 (Tyr690) Antibody
Gene Names
STAT2; P113; IMD44; ISGF-3; STAT113
Reactivity
Human, Rat
Applications
Immunocytochemistry, Immunofluorescence, Immunohistochemistry, Western Blot
Purity
The Ab is from purified rabbit serum by affinity purification via sequential chromatography on phospho-peptide and non-phospho-peptide affinity columns.
Pricing
product-image-AAA321710_WB11.jpg WB (Western Blot) (Western blot analysis of Phospho-FOXO1/3/4-pan (Thr24/32) expression in various lysates)

FOXO1/3/4-pan, Polyclonal Antibody (Cat# AAA321710)

Full Name
Phospho-FOXO1/3/4-pan (Thr24/32) Antibody
Gene Names
FOXO1; FKH1; FKHR; FOXO1A
Reactivity
Human, Mouse, Rat
Applications
Immunohistochemistry, Western Blot
Purity
From purified rabbit serum by affinity purification via sequential chromatography on phospho-and non-phospho-peptide affinity columns.
Pricing
product-image-AAA321341_WB13.jpg WB (Western Blot) (Western blot analysis of extracts of pc-3 cells treated with Calyculin A, using Phospho-KIF1B (Ser1487) Antibody.)

KIF1B, Polyclonal Antibody (Cat# AAA321341)

Full Name
Phospho-KIF1B (Ser1487) Antibody
Gene Names
KIF1B; KLP; CMT2; CMT2A; CMT2A1; HMSNII; NBLST1
Reactivity
Human, Mouse, Rat
Applications
Immunohistochemistry, Western Blot
Purity
From purified rabbit serum by affinity purification via sequential chromatography on phospho-and non-phospho-peptide affinity columns.
Pricing
product-image-AAA321438_IF11.jpg IF (Immunofluorescence) (AAA321438 staining HuvEc by IF/ICC. The sample were fixed with PFA and permeabilized in 0.1% Triton X-100, then blocked in 10% serum for 45 minutes at 25 degree C. The primary antibody was diluted at 1/200 and incubated with the sample for 1 hour at 37 degree C. An Alexa Fluor 594 conjugated goat anti-rabbit IgG (H+L) Ab, diluted at 1/600, was used as the secondary antibody.)

p95/NBS1, Polyclonal Antibody (Cat# AAA321438)

Full Name
Phospho-p95/NBS1 (Ser343) Antibody
Gene Names
NBN; ATV; NBS; P95; NBS1; AT-V1; AT-V2
Reactivity
Human, Rat
Applications
Immunocytochemistry, Immunofluorescence, Western Blot
Purity
From purified rabbit serum by affinity purification via sequential chromatography on phospho-and non-phospho-peptide affinity columns.
Pricing
product-image-AAA316619_WB13.jpg WB (Western Blot) (Western blot analysis of lysates from NIH/3T3 cells treated with insulin 0.01U/ml 15' and NIH/3T3 cells treated with EGF 200ng/ml 30', using MAP2K7 (Phospho-Ser271) Antibody. The lane on the right is blocked with the phospho peptide.)

MAP2K7, Polyclonal Antibody (Cat# AAA316619)

Full Name
MAP2K7 (Phospho-Ser271) Antibody
Gene Names
MAP2K7; MEK; MKK7; JNKK2; MEK 7; MAPKK7; PRKMK7; SAPKK4; SAPKK-4
Reactivity
Human, Mouse, Rat
Applications
Immunohistochemistry, Western Blot
Purity
Purified from rabbit antiserum by affinity-chromatography using phospho peptide. The antibody against non-phospho peptide was removed by chromatography using corresponding non-phospho peptide.
Pricing
product-image-AAA316646_WB13.jpg WB (Western Blot) (Western blot analysis of lysates from NIH/3T3 cells treated with UV 15', using Cyclin C (Phospho-Ser275) Antibody. The lane on the right is blocked with the phospho peptide.)

Cyclin C, Polyclonal Antibody (Cat# AAA316646)

Full Name
Cyclin C (Phospho-Ser275) Antibody
Gene Names
CCNC; CycC; SRB11; hSRB11
Reactivity
Human, Mouse, Rat
Applications
Immunohistochemistry, Western Blot
Purity
Purified from rabbit antiserum by affinity-chromatography using phospho peptide. The antibody against non-phospho peptide was removed by chromatography using corresponding non-phospho peptide.
Pricing
product-image-AAA316448_WB13.jpg WB (Western Blot) (Western blot analysis of lysates from A549 cells treated with Nocodazole 1ug/ml 16h, using Vimentin (Phospho-Ser56) Antibody. The lane on the right is blocked with the phospho peptide.)

Vimentin, Polyclonal Antibody (Cat# AAA316448)

Full Name
Vimentin (Phospho-Ser56) Antibody
Reactivity
Human
Applications
Immunohistochemistry, Western Blot
Purity
Purified from rabbit antiserum by affinity-chromatography using phospho peptide. The antibody against non-phospho peptide was removed by chromatography using corresponding non-phospho peptide.
Pricing
product-image-AAA316456_WB13.jpg WB (Western Blot) (Western blot analysis of lysates from HeLa cells treated with heat shock, using AMPK1 (Phospho-Ser485) Antibody. The lane on the right is blocked with the phospho peptide.)

AMPK1, Polyclonal Antibody (Cat# AAA316456)

Full Name
AMPK1 (Phospho-Ser496) Antibody
Gene Names
PRKAA1; AMPK; AMPKa1
Reactivity
Human, Mouse, Rat
Applications
Immunohistochemistry, Western Blot
Purity
Purified from rabbit antiserum by affinity-chromatography using phospho peptide. The antibody against non-phospho peptide was removed by chromatography using corresponding non-phospho peptide.
Pricing
product-image-AAA316472_WB13.jpg WB (Western Blot) (Western blot analysis of lysates from HUVEC cells treated with serum 20% 30', using CDC25C (Phospho-Ser216) Antibody. The lane on the right is blocked with the phospho peptide.)

CDC25C, Polyclonal Antibody (Cat# AAA316472)

Full Name
CDC25C (Phospho-Ser216) Antibody
Gene Names
CDC25C; CDC25; PPP1R60
Reactivity
Human
Applications
Immunohistochemistry, Western Blot
Purity
Purified from rabbit antiserum by affinity-chromatography using phospho peptide. The antibody against non-phospho peptide was removed by chromatography using corresponding non-phospho peptide.
Pricing
product-image-AAA316520_WB13.jpg WB (Western Blot) (Western blot analysis of lysates from K562 cells, using JAK2 (Phospho-Tyr221) Antibody. The lane on the right is blocked with the phospho peptide.)

JAK2, Polyclonal Antibody (Cat# AAA316520)

Full Name
JAK2 (Phospho-Tyr221) Antibody
Gene Names
JAK2; JTK10; THCYT3
Reactivity
Human, Mouse, Rat
Applications
Immunohistochemistry, Western Blot
Purity
Purified from rabbit antiserum by affinity-chromatography using phospho peptide. The antibody against non-phospho peptide was removed by chromatography using corresponding non-phospho peptide.
Pricing
product-image-AAA318378_WB13.jpg WB (Western Blot) (Western blot analysis of lysates from Jurkat cells treated with PMA 125ng/ml 30', using Retinoblastoma (Phospho-Ser608) Antibody.)

Retinoblastoma, Polyclonal Antibody (Cat# AAA318378)

Full Name
Retinoblastoma (Phospho-Ser608) Antibody
Gene Names
RB1; RB; pRb; OSRC; pp110; p105-Rb; PPP1R130
Reactivity
Human, Mouse, Rat
Applications
Immunohistochemistry, Western Blot
Purity
Purified from rabbit antiserum by affinity-chromatography using phospho peptide. The antibody against non-phospho peptide was removed by chromatography using corresponding non-phospho peptide.
Pricing
product-image-AAA318380_WB13.jpg WB (Western Blot) (Western blot analysis of lysates from Jurkat cells treated with PMA 125ng/ml 30' and Jurkat cells treated with insulin 0.01U/ml 15', using Retinoic Acid Receptor alpha (Phospho-Ser77) Antibody.)

Retinoic Acid Receptor alpha, Polyclonal Antibody (Cat# AAA318380)

Full Name
Retinoic Acid Receptor alpha (Phospho-Ser77) Antibody
Gene Names
RARA; RAR; NR1B1
Reactivity
Human, Mouse, Rat
Applications
Immunohistochemistry, Western Blot
Purity
Purified from rabbit antiserum by affinity-chromatography using phospho peptide. The antibody against non-phospho peptide was removed by chromatography using corresponding non-phospho peptide.
Pricing
product-image-AAA318381_WB13.jpg WB (Western Blot) (Western blot analysis of lysates from NIH/3T3 cells treated with Adriamycin 0.5ug/ml 24h, using RFA2 (Phospho-Ser33) Antibody.)

RFA2, Polyclonal Antibody (Cat# AAA318381)

Full Name
RFA2 (Phospho-Ser33) Antibody
Gene Names
RPA2; REPA2; RPA32; RP-A p32; RP-A p34
Reactivity
Human, Mouse, Rat
Applications
Western Blot
Purity
Purified from rabbit antiserum by affinity-chromatography using phospho peptide. The antibody against non-phospho peptide was removed by chromatography using corresponding non-phospho peptide.
Pricing
product-image-AAA318384_WB13.jpg WB (Western Blot) (Western blot analysis of lysates from HepG2 cells treated with nocodazole 1ug/ml 16h, using SAPK/JNK (Phospho-Tyr185) Antibody.)

SAPK/JNK, Polyclonal Antibody (Cat# AAA318384)

Full Name
SAPK/JNK (Phospho-Tyr185) Antibody
Gene Names
MAPK8; JNK; JNK1; PRKM8; SAPK1; JNK-46; JNK1A2; SAPK1c; JNK21B1/2
Reactivity
Human, Mouse, Rat
Applications
Immunohistochemistry, Western Blot
Purity
Purified from rabbit antiserum by affinity-chromatography using phospho peptide. The antibody against non-phospho peptide was removed by chromatography using corresponding non-phospho peptide.
Pricing
product-image-AAA318386_WB13.jpg WB (Western Blot) (Western blot analysis of lysates from K562 cells treated with Na3VO4 0.3nM 40', using SLP-76 (Phospho-Tyr128) Antibody.)

SLP-76, Polyclonal Antibody (Cat# AAA318386)

Full Name
SLP-76 (Phospho-Tyr128) Antibody
Gene Names
LCP2; SLP76; SLP-76
Reactivity
Human, Mouse, Rat
Applications
Immunohistochemistry, Western Blot
Purity
Purified from rabbit antiserum by affinity-chromatography using phospho peptide. The antibody against non-phospho peptide was removed by chromatography using corresponding non-phospho peptide.
Pricing
product-image-AAA318389_WB13.jpg WB (Western Blot) (Western blot analysis of lysates from Jurkat cells treated with EGF 200ng/ml 5', using Src (Phospho-Tyr216) Antibody.)

Src, Polyclonal Antibody (Cat# AAA318389)

Full Name
Src (Phospho-Tyr216) Antibody
Gene Names
SRC; ASV; SRC1; THC6; c-SRC; p60-Src
Reactivity
Human, Mouse, Rat
Applications
Western Blot
Purity
Purified from rabbit antiserum by affinity-chromatography using phospho peptide. The antibody against non-phospho peptide was removed by chromatography using corresponding non-phospho peptide.
Pricing
product-image-AAA318396_WB13.jpg WB (Western Blot) (Western blot analysis of lysates from HeLa cells, using Tau (Phospho-Ser262) Antibody.)

Tau, Polyclonal Antibody (Cat# AAA318396)

Full Name
Tau (Phospho-Ser262) Antibody
Gene Names
MAPT; TAU; MSTD; PPND; DDPAC; MAPTL; MTBT1; MTBT2; FTDP-17; PPP1R103
Reactivity
Human, Mouse, Rat
Applications
Western Blot
Purity
Purified from rabbit antiserum by affinity-chromatography using phospho peptide. The antibody against non-phospho peptide was removed by chromatography using corresponding non-phospho peptide.
Pricing
product-image-AAA318408_WB13.jpg WB (Western Blot) (Western blot analysis of lysates from COS7 cells treated with HU 2nM 24h, using YAP (Phospho-Ser127) Antibody.)

YAP, Polyclonal Antibody (Cat# AAA318408)

Full Name
YAP (Phospho-Ser127) Antibody
Gene Names
YAP1; YAP; YKI; COB1; YAP2; YAP65
Reactivity
Human, Mouse, Rat
Applications
Immunohistochemistry, Western Blot
Purity
Purified from rabbit antiserum by affinity-chromatography using phospho peptide. The antibody against non-phospho peptide was removed by chromatography using corresponding non-phospho peptide.
Pricing
product-image-AAA318285_WB13.jpg WB (Western Blot) (Western blot analysis of lysates from HepG2 cells treated with EGF 200ng/ml 30', using Artemis (Phospho-Ser516) Antibody.)

Artemis, Polyclonal Antibody (Cat# AAA318285)

Full Name
Artemis (Phospho-Ser516) Antibody
Gene Names
DCLRE1C; SCIDA; SNM1C; A-SCID; RS-SCID; DCLREC1C
Reactivity
Human, Mouse
Applications
Immunohistochemistry, Western Blot
Purity
Purified from rabbit antiserum by affinity-chromatography using phospho peptide. The antibody against non-phospho peptide was removed by chromatography using corresponding non-phospho peptide.
Pricing
product-image-AAA318286_WB13.jpg WB (Western Blot) (Western blot analysis of lysates from HT29 cells treated with Insulin 0.01U/ML 15', using ATF1 (Phospho-Ser63) Antibody.)

ATF1, Polyclonal Antibody (Cat# AAA318286)

Full Name
ATF1 (Phospho-Ser63) Antibody
Gene Names
ATF1; TREB36; EWS-ATF1; FUS/ATF-1
Reactivity
Human, Mouse
Applications
Western Blot
Purity
Purified from rabbit antiserum by affinity-chromatography using phospho peptide. The antibody against non-phospho peptide was removed by chromatography using corresponding non-phospho peptide.
Pricing
product-image-AAA318288_WB13.jpg WB (Western Blot) (Western blot analysis of lysates from 293, Jurkat and NIH/3T3 cells treated with Piclitaxel, using BCL2 (Phospho-Ser70) Antibody.)

BCL2, Polyclonal Antibody (Cat# AAA318288)

Full Name
BCL2 (Phospho-Ser70) Antibody
Gene Names
BCL2; Bcl-2; PPP1R50
Reactivity
Mouse, Rat
Applications
Western Blot
Purity
Purified from rabbit antiserum by affinity-chromatography using phospho peptide. The antibody against non-phospho peptide was removed by chromatography using corresponding non-phospho peptide.
Pricing
product-image-AAA318290_WB13.jpg WB (Western Blot) (Western blot analysis of lysates from K562 cells treated with EGF 200ng/ml 30', using B-Raf (Phospho-Thr753) Antibody.)

B-Raf, Polyclonal Antibody (Cat# AAA318290)

Full Name
B-Raf (Phospho-Thr753) Antibody
Gene Names
BRAF; NS7; B-raf; BRAF1; RAFB1; B-RAF1
Reactivity
Human, Mouse, Rat
Applications
Western Blot
Purity
Purified from rabbit antiserum by affinity-chromatography using phospho peptide. The antibody against non-phospho peptide was removed by chromatography using corresponding non-phospho peptide.
Pricing
product-image-AAA318291_WB13.jpg WB (Western Blot) (Western blot analysis of lysates from 293 cells treated with epo 20U/ml 15', using BRCA1 (Phospho-Ser1457) Antibody.)

BRCA1, Polyclonal Antibody (Cat# AAA318291)

Full Name
BRCA1 (Phospho-Ser1457) Antibody
Gene Names
BRCA1; IRIS; PSCP; BRCAI; BRCC1; FANCS; PNCA4; RNF53; BROVCA1; PPP1R53
Reactivity
Human
Applications
Western Blot
Purity
Purified from rabbit antiserum by affinity-chromatography using phospho peptide. The antibody against non-phospho peptide was removed by chromatography using corresponding non-phospho peptide.
Pricing
product-image-AAA318298_WB13.jpg WB (Western Blot) (Western blot analysis of lysates from HepG2 cells treated with TNF, using CD50/ICAM-3 (Phospho-Ser518) Antibody.)

CD50/ICAM-3, Polyclonal Antibody (Cat# AAA318298)

Full Name
CD50/ICAM-3 (Phospho-Ser518) Antibody
Gene Names
ICAM3; CD50; CDW50; ICAM-R
Reactivity
Human
Applications
Western Blot
Purity
Purified from rabbit antiserum by affinity-chromatography using phospho peptide. The antibody against non-phospho peptide was removed by chromatography using corresponding non-phospho peptide.
Pricing
product-image-AAA318308_WB13.jpg WB (Western Blot) (Western blot analysis of lysates from K562 cells treated with EGF 40nM 30', using eNOS (Phospho-Ser615) Antibody.)

eNOS, Polyclonal Antibody (Cat# AAA318308)

Full Name
eNOS (Phospho-Ser615) Antibody
Gene Names
NOS3; eNOS; ECNOS
Reactivity
Human, Mouse, Rat
Applications
Western Blot
Purity
Purified from rabbit antiserum by affinity-chromatography using phospho peptide. The antibody against non-phospho peptide was removed by chromatography using corresponding non-phospho peptide.
Pricing
product-image-AAA318314_WB13.jpg WB (Western Blot) (Western blot analysis of lysates from HeLa cells treated with IGF 100ng/ml 10' and HUVEC cells treated with EGF 200ng/ml 30', using FANCA (Phospho-Ser1149) Antibody.)

FANCA, Polyclonal Antibody (Cat# AAA318314)

Full Name
FANCA (Phospho-Ser1149) Antibody
Gene Names
FANCA; FA; FA1; FAA; FAH; FA-H; FACA; FANCH
Reactivity
Human
Applications
Immunohistochemistry, Western Blot
Purity
Purified from rabbit antiserum by affinity-chromatography using phospho peptide. The antibody against non-phospho peptide was removed by chromatography using corresponding non-phospho peptide.
Pricing
product-image-AAA318325_WB13.jpg WB (Western Blot) (Western blot analysis of lysates from 293 cells treated with heat shock, using Histone H2A.X (Phospho-Ser139) Antibody.)

Histone H2A.X, Polyclonal Antibody (Cat# AAA318325)

Full Name
Histone H2A.X (Phospho-Ser139) Antibody
Gene Names
H2AFX; H2AX; H2A.X; H2A/X
Reactivity
Human, Mouse, Rat
Applications
Western Blot
Purity
Purified from rabbit antiserum by affinity-chromatography using phospho peptide. The antibody against non-phospho peptide was removed by chromatography using corresponding non-phospho peptide.
Pricing
product-image-AAA318326_WB13.jpg WB (Western Blot) (Western blot analysis of Jurkat cells treated with TNF, using HS1 (Phospho-Tyr397) Antibody.)

HS1, Polyclonal Antibody (Cat# AAA318326)

Full Name
HS1 (Phospho-Tyr397) Antibody
Gene Names
HCLS1; HS1; p75; CTTNL; lckBP1
Reactivity
Human
Applications
Western Blot
Purity
Purified from rabbit antiserum by affinity-chromatography using phospho peptide. The antibody against non-phospho peptide was removed by chromatography using corresponding non-phospho peptide.
Pricing
product-image-AAA318342_WB13.jpg WB (Western Blot) (Western blot analysis of lysates from HeLa cells treated with paclitaxel 1uM 24h, using Lamin A (Phospho-Ser22) Antibody.)

Lamin A, Polyclonal Antibody (Cat# AAA318342)

Full Name
Lamin A (Phospho-Ser22) Antibody
Gene Names
LMNA; FPL; IDC; LFP; CDDC; EMD2; FPLD; HGPS; LDP1; LMN1; LMNC; MADA; PRO1; CDCD1; CMD1A; FPLD2; LMNL1; CMT2B1; LGMD1B
Reactivity
Human, Mouse, Rat
Applications
Western Blot
Purity
Purified from rabbit antiserum by affinity-chromatography using phospho peptide. The antibody against non-phospho peptide was removed by chromatography using corresponding non-phospho peptide.
Pricing
product-image-AAA318347_WB13.jpg WB (Western Blot) (Western blot analysis of lysates from NIH/3T3 cells treated with EGF, RAW264.7 cells treated with UV, and A549 cells treated with UV, using MAP2K1 (Phospho-Thr386) Antibody.)

MAP2K1, Polyclonal Antibody (Cat# AAA318347)

Full Name
MAP2K1 (Phospho-Thr386) Antibody
Gene Names
MAP2K1; CFC3; MEK1; MKK1; MAPKK1; PRKMK1
Reactivity
Human, Mouse, Rat
Applications
Western Blot
Purity
Purified from rabbit antiserum by affinity-chromatography using phospho peptide. The antibody against non-phospho peptide was removed by chromatography using corresponding non-phospho peptide.
Pricing
product-image-AAA318351_WB13.jpg WB (Western Blot) (Western blot analysis of lysates from RAW264.7 cells treated with UV 15', using MAPKAPK2 (Phospho-Ser272) Antibody.)

MAPKAPK2, Polyclonal Antibody (Cat# AAA318351)

Full Name
MAPKAPK2 (Phospho-Ser272) Antibody
Gene Names
MAPKAPK2; MK2; MK-2; MAPKAP-K2
Reactivity
Human, Mouse, Rat
Applications
Immunohistochemistry, Western Blot
Purity
Purified from rabbit antiserum by affinity-chromatography using phospho peptide. The antibody against non-phospho peptide was removed by chromatography using corresponding non-phospho peptide.
Pricing
product-image-AAA318358_WB13.jpg WB (Western Blot) (Western blot analysis of lysates from COS7 cells, using MITF (Phospho-Ser180/73) Antibody.)

MITF, Polyclonal Antibody (Cat# AAA318358)

Full Name
MITF (Phospho-Ser180/73) Antibody
Gene Names
MITF; MI; WS2; CMM8; WS2A; COMMAD; bHLHe32
Reactivity
Human, Mouse
Applications
Western Blot
Purity
Purified from rabbit antiserum by affinity-chromatography using phospho peptide. The antibody against non-phospho peptide was removed by chromatography using corresponding non-phospho peptide.
Pricing
product-image-AAA318359_WB13.jpg WB (Western Blot) (Western blot analysis of lysates from COLO205 cells treated with PMA 125ng/ml 30', using Mnk1 (Phospho-Thr385) Antibody.)

Mnk1, Polyclonal Antibody (Cat# AAA318359)

Full Name
Mnk1 (Phospho-Thr385) Antibody
Gene Names
MKNK1; MNK1
Reactivity
Human, Mouse, Rat
Applications
Immunohistochemistry, Western Blot
Purity
Purified from rabbit antiserum by affinity-chromatography using phospho peptide. The antibody against non-phospho peptide was removed by chromatography using corresponding non-phospho peptide.
Pricing
product-image-AAA318362_WB13.jpg WB (Western Blot) (Western blot analysis of lysates from HepG2 cells treated with Ca2+ 40uM 30', using NFAT3 (Phospho-Ser676) Antibody.)

NFAT3, Polyclonal Antibody (Cat# AAA318362)

Full Name
NFAT3 (Phospho-Ser676) Antibody
Gene Names
NFATC4; NFAT3; NF-AT3; NF-ATC4
Reactivity
Human, Mouse
Applications
Western Blot
Purity
Purified from rabbit antiserum by affinity-chromatography using phospho peptide. The antibody against non-phospho peptide was removed by chromatography using corresponding non-phospho peptide.
Pricing
product-image-AAA318363_WB13.jpg WB (Western Blot) (Western blot analysis of lysates from K562 cells treated with PMA 125ng/ml 30', using NMDAR1 (Phospho-Ser896) Antibody.)

NMDAR1, Polyclonal Antibody (Cat# AAA318363)

Full Name
NMDAR1 (Phospho-Ser896) Antibody
Gene Names
GRIN1; NR1; MRD8; GluN1; NMDA1; NDHMSD; NDHMSR; NMD-R1; NMDAR1
Reactivity
Human, Mouse, Rat
Applications
Immunohistochemistry, Western Blot
Purity
Purified from rabbit antiserum by affinity-chromatography using phospho peptide. The antibody against non-phospho peptide was removed by chromatography using corresponding non-phospho peptide.
Pricing
product-image-AAA318364_WB13.jpg WB (Western Blot) (Western blot analysis of lysates from Jurkat cells treated with TNF 20ng/ml 30', using NMDAR2B (Phospho-Tyr1336) Antibody.)

NMDAR2B, Polyclonal Antibody (Cat# AAA318364)

Full Name
NMDAR2B (Phospho-Tyr1336) Antibody
Gene Names
GRIN2B; NR3; MRD6; NR2B; hNR3; EIEE27; GluN2B; NMDAR2B
Reactivity
Human, Mouse, Rat
Applications
Immunohistochemistry, Western Blot
Purity
Purified from rabbit antiserum by affinity-chromatography using phospho peptide. The antibody against non-phospho peptide was removed by chromatography using corresponding non-phospho peptide.
Pricing
product-image-AAA318367_WB13.jpg WB (Western Blot) (Western blot analysis of lysates from HeLa cells treated with EGF or IFN-alpha, using p27 Kip1 (Phospho-Thr187) Antibody.)

p27 Kip1, Polyclonal Antibody (Cat# AAA318367)

Full Name
p27 Kip1 (Phospho-Thr187) Antibody
Gene Names
CDKN1B; KIP1; MEN4; CDKN4; MEN1B; P27KIP1
Reactivity
Human, Mouse, Rat
Applications
Western Blot
Purity
Purified from rabbit antiserum by affinity-chromatography using phospho peptide. The antibody against non-phospho peptide was removed by chromatography using corresponding non-phospho peptide.
Pricing
product-image-AAA318373_WB13.jpg WB (Western Blot) (Western blot analysis of lysates from COS7 cells treated with insulin 0.01U/ml 15', using Pin1 (Phospho-Ser16) Antibody.)

Pin1, Polyclonal Antibody (Cat# AAA318373)

Full Name
Pin1 (Phospho-Ser16) Antibody
Gene Names
PIN1; DOD; UBL5
Reactivity
Human, Mouse, Rat
Applications
Immunohistochemistry, Western Blot
Purity
Purified from rabbit antiserum by affinity-chromatography using phospho peptide. The antibody against non-phospho peptide was removed by chromatography using corresponding non-phospho peptide.
Pricing
product-image-AAA318376_WB13.jpg WB (Western Blot) (Western blot analysis of lysates from HepG2 cells treated with PMA 125ng/ml 30', using PKCD (Phospho-Tyr64) Antibody.)

PKCD, Polyclonal Antibody (Cat# AAA318376)

Full Name
PKCD (Phospho-Tyr64) Antibody
Reactivity
Human, Mouse, Rat
Applications
Western Blot
Purity
Purified from rabbit antiserum by affinity-chromatography using phospho peptide. The antibody against non-phospho peptide was removed by chromatography using corresponding non-phospho peptide.
Pricing
product-image-AAA318263_WB13.jpg WB (Western Blot) (Western blot analysis of lysates from K562 cells, using phospho-GRF-1 (Phospho-Tyr1087) antibody.)

GRF-1, Polyclonal Antibody (Cat# AAA318263)

Full Name
GRF-1 (Phospho-Tyr1087) Antibody
Gene Names
ARHGAP35; GRF-1; GRLF1; P190A; P190-A; p190RhoGAP; p190ARhoGAP
Reactivity
Human, Mouse, Rat
Applications
Western Blot
Purity
Purified from rabbit antiserum by affinity-chromatography using phospho peptide. The antibody against non-phospho peptide was removed by chromatography using corresponding non-phospho peptide.
Pricing
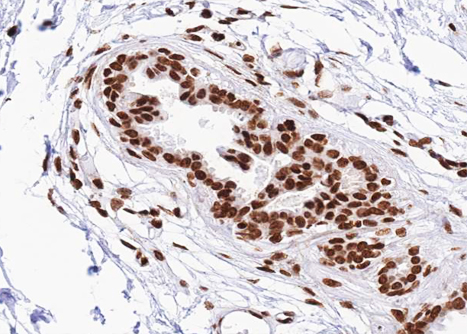
product-image-AAA318265_IHC11.jpg IHC (Immunohistochemisry) (Immunohistochemistry analysis of phospho-LKB1 (Phospho-Ser428) antibody in paraffin-embedded human breast carcinoma tissue.)

LKB1, Polyclonal Antibody (Cat# AAA318265)

Full Name
LKB1 (Phospho-Ser428) Antibody
Gene Names
STK11; PJS; LKB1; hLKB1
Reactivity
Human, Mouse
Applications
Immunohistochemistry, Western Blot
Purity
Purified from rabbit antiserum by affinity-chromatography using phospho peptide. The antibody against non-phospho peptide was removed by chromatography using corresponding non-phospho peptide.
Pricing
product-image-AAA318267_WB13.jpg WB (Western Blot) (Western blot analysis of lysate from HeLa cells using phospho-Paxillin (Phospho-Tyr88) antibody.)

Paxillin, Polyclonal Antibody (Cat# AAA318267)

Full Name
Paxillin (Phospho-Tyr88) Antibody
Reactivity
Human
Applications
Western Blot
Purity
Purified from rabbit antiserum by affinity-chromatography using phospho peptide. The antibody against non-phospho peptide was removed by chromatography using corresponding non-phospho peptide.
Pricing
product-image-AAA318277_WB13.jpg WB (Western Blot) (Western blot analysis of lysates from 293 cells, using phospho-Thryk 2 (Phospho-Tyr292) antibody.)

Tyk 2, Polyclonal Antibody (Cat# AAA318277)

Full Name
Tyk 2 (Phospho-Tyr292) Antibody
Gene Names
TYK2; JTK1; IMD35
Reactivity
Human
Applications
Western Blot
Purity
Purified from rabbit antiserum by affinity-chromatography using phospho peptide. The antibody against non-phospho peptide was removed by chromatography using corresponding non-phospho peptide.
Pricing

What Are Phospho Antibodies?


Protein phosphorylation is a process where a phosphate group is added to certain amino acid residues of a protein – usually serine (S), threonine (T), or tyrosine (Y) - by enzymes called kinases. This process is integral in controlling cellular signaling, cellular growth, and other biological functions.


Our catalog includes a wide range of phospho-specific antibodies that can accurately detect this important marker. They perform strongly in widely-used laboratory applications such as Western blot, flow cytometry, immunohistochemistry, and immunofluorescence microscopy. We value your trust in us and are committed to providing top-quality products and services. All of our antibodies are guaranteed to work for the applications and species indicated on our website & associated product pages.


What Are The Key Applications of Phospho Antibodies?


1. Western Blotting


One of the first steps a researcher can take in utilizing these phospho-specific antibodies, is to check if the antibody works using a technique referred to as “Western blot”. For those unfamiliar, Western Blot aids in showing whether the protein that the antibody recognizes is appearing at the correct/expected size. These phospho-specific antibodies should also be able to detect changes in the target protein’s phosphorylation (on/off state) when cells are stimulated in certain ways.


2. Staining of Fixed Cells (Immunocytochemistry)


Another routine use of these phospho-specific antibodies, is to test if the antibody is able to demonstrate similar performance when used on fixed cells (intact cells that have been preserved) as it did in the Western blot tests. It is an important aspect in many cases to confirm that the antibody works in actual intact cell samples. Ideally, the method used for cellular fixation should be the same as what is used in pathology labs (like using 10% formalin). To check if the antibody works well in tissue sections (FFPE), researchers will often test it on fixed cells that are processed similar to tissue samples.


3. Specificity Tests Using Peptides


In order to make sure that the antibody is only binding to the right target:


  • Laboratory technicians will mix the antibody with phospho-peptides (short segments of the protein containing the phosphate group modification).

  • If the antibody signal disappears, it is confirmation that it is binding to the correct phosphorylated location.

  • A more robust test is to use both the phosphorylated and non-phosphorylated (dephosphorylated) versions of the protein. The antibody should react only with the phosphorylated one.

  • Another method sometimes utilized is to treat the sample with an enzyme, such as alkaline phosphatase, that specifically removes phosphate groups. If the antibody signal disappears after this, it also confirms specificity.


4. Genetic Confirmation


As a final step, scientists can genetically manipulate the nucleotide sequence and alter the target protein by removing the exact site where phosphorylation happens. If the antibody no longer appears to detect the modified protein, it is strong evidence supporting the antibody being specific for that phosphorylated site.


Why Buy Phospho Antibodies Through Us?


  • The production laboratory adheres to strict and consistent protocols prior to releasing any of these phospho-specific antibodies:

  • Standard methods and proper controls in all tests to ensure high quality.

  • These antibodies are tested and validated in different cell types and species.

  • High quality control criterion to ensure each batch is consistent, so you will obtain reliable results every time.


FAQ


1. What Are Phospho-Specific Antibodies?


Phospho-specific antibodies are made to detect proteins only when they have a phosphate group linked to a specific amino acid residue. This empowers scientists understand if a protein is "turned on" or active, based on its phosphorylation state.


2. How to Detect Phosphorylated Proteins in a Western Blot?


To find out if a protein is phosphorylated using Western blot:


  • Use a phospho-specific antibody that binds only to the phosphorylated form of the protein.

  • You can also use a “regular” antibody for the same amino acid sequence of the protein that the phospho-specific antibody is binding to (but in this case, this antibody will not bind if there is a phosphate group present) in order to compare how much of it is phosphorylated versus how much is non-phosphorylated (or “total” protein, if the “normal” antibody’s epitopes are non-phospho-site-specific).


3. How to Choose the Best Antibody?


Here are some simple tips to help you pick the right antibody:


  • Know your target

  • Match your sample characteristics

  • Confirm the intended use is appropriate

  • Check “host” and “type”

  • Check the “quality” of the presented data/images

  • Appraise whether the available validation meets your needs


Submit a Question

Please complete the form below and a representative will contact you as soon as possible.

Request more Information

Please complete the form below and a representative will contact you as soon as possible.

Request a Manual

Please complete the form below and a representative will contact you as soon as possible.

Request a Quote

Please complete the form below and a representative will contact you as soon as possible.