Loading...

Skip to main content
Call us at +1-800-604-9114 for more information about our products or contact us online Need help? +1-800-604-9114 or contact us

Filters


Clonality

Type

Reactivity

Gene Name

Isotype

Host

Application

Clone

Phospho Antibodies

Phospho-specific antibodies’ typical purpose is to enable researchers to detect changes in proteins. They will exclusively bind to the amino acid sequence on a protein that has been phosphorylated (which is both a physical & chemical change) and do not bind to the same amino acid sequence on said protein if it lacks said phosphorylation. This aids in being able to clearly see and understand the data produced from this particular protein modification.


Viewing 1650-1700 of 5298 product results


product-image-AAA318375_WB13.jpg WB (Western Blot) (Western blot analysis of lysates from Jurkat cells treated with EGF 200ng/ml 15', using PKC theta (Phospho-Ser695) Antibody.)

PKC theta, Polyclonal Antibody (Cat# AAA318375)

No reviews yet
Full Name
PKC theta (Phospho-Ser695) Antibody
Gene Names
PRKCQ; PRKCT; nPKC-theta
Reactivity
Human
Applications
Immunohistochemistry, Western Blot
Purity
Purified from rabbit antiserum by affinity-chromatography using phospho peptide. The antibody against non-phospho peptide was removed by chromatography using corresponding non-phospho peptide.
Pricing
product-image-AAA318388_WB13.jpg WB (Western Blot) (Western blot analysis of lysates from COS7 cells treated with serum 20% 15', using SP1 (Phospho-Thr739) Antibody.)

SP1, Polyclonal Antibody (Cat# AAA318388)

No reviews yet
Full Name
SP1 (Phospho-Thr739) Antibody
Reactivity
Human, Mouse, Rat
Applications
Western Blot
Purity
Purified from rabbit antiserum by affinity-chromatography using phospho peptide. The antibody against non-phospho peptide was removed by chromatography using corresponding non-phospho peptide.
Pricing
product-image-AAA318395_WB13.jpg WB (Western Blot) (Western blot analysis of lysates from Jurkat cells treated with PMA 125ng/ml 30', using TAL-1 (Phospho-Ser122) Antibody.)

TAL-1, Polyclonal Antibody (Cat# AAA318395)

No reviews yet
Full Name
TAL-1 (Phospho-Ser122) Antibody
Gene Names
TAL1; SCL; TCL5; tal-1; bHLHa17
Reactivity
Human, Mouse
Applications
Western Blot
Purity
Purified from rabbit antiserum by affinity-chromatography using phospho peptide. The antibody against non-phospho peptide was removed by chromatography using corresponding non-phospho peptide.
Pricing
product-image-AAA318330_WB13.jpg WB (Western Blot) (Western blot analysis of lysates from HepG2 cells treated with Ca2+ 40uM 30', using Integrin beta1 (Phospho-Thr789) Antibody.)

Integrin beta1, Polyclonal Antibody (Cat# AAA318330)

No reviews yet
Full Name
Integrin beta1 (Phospho-Thr789) Antibody
Gene Names
ITGB1; CD29; FNRB; MDF2; VLAB; GPIIA; MSK12; VLA-BETA
Reactivity
Human, Mouse, Rat
Applications
Immunohistochemistry, Western Blot
Purity
Purified from rabbit antiserum by affinity-chromatography using phospho peptide. The antibody against non-phospho peptide was removed by chromatography using corresponding non-phospho peptide.
Pricing
product-image-AAA318331_WB13.jpg WB (Western Blot) (Western blot analysis of lysates from HT29 cells treated with INSULIN 0.01U/ML 15', using IRF-3 (Phospho-Ser385) Antibody.)

IRF-3, Polyclonal Antibody (Cat# AAA318331)

No reviews yet
Full Name
IRF-3 (Phospho-Ser385) Antibody
Gene Names
IRF3; IIAE7
Reactivity
Human
Applications
Immunohistochemistry, Western Blot
Purity
Purified from rabbit antiserum by affinity-chromatography using phospho peptide. The antibody against non-phospho peptide was removed by chromatography using corresponding non-phospho peptide.
Pricing
product-image-AAA318332_WB13.jpg WB (Western Blot) (Western blot analysis of lysates from HepG2 cells treated with EGF 200ng/ml 30', using IRF-3 (Phospho-Ser386) Antibody.)

IRF-3, Polyclonal Antibody (Cat# AAA318332)

No reviews yet
Full Name
IRF-3 (Phospho-Ser386) Antibody
Gene Names
IRF3; IIAE7
Reactivity
Human
Applications
Western Blot
Purity
Purified from rabbit antiserum by affinity-chromatography using phospho peptide. The antibody against non-phospho peptide was removed by chromatography using corresponding non-phospho peptide.
Pricing
product-image-AAA318338_WB13.jpg WB (Western Blot) (Western blot analysis of lysates from HepG2 cells treated with Na3VO4 0.3mM 40', using JAK2 (Phospho-Tyr931) Antibody.)

JAK2, Polyclonal Antibody (Cat# AAA318338)

No reviews yet
Full Name
JAK2 (Phospho-Tyr931) Antibody
Gene Names
JAK2; JTK10; THCYT3
Reactivity
Human, Mouse, Rat
Applications
Immunohistochemistry, Western Blot
Purity
Purified from rabbit antiserum by affinity-chromatography using phospho peptide. The antibody against non-phospho peptide was removed by chromatography using corresponding non-phospho peptide.
Pricing
product-image-AAA318343_WB13.jpg WB (Western Blot) (Western blot analysis of lysates from Jurkat cells treated with IFN 2500U/ML 30', using LCK (Phospho-Ser59) Antibody.)

LCK, Polyclonal Antibody (Cat# AAA318343)

No reviews yet
Full Name
LCK (Phospho-Ser59) Antibody
Gene Names
LCK; LSK; YT16; IMD22; p56lck; pp58lck
Reactivity
Human, Mouse, Rat
Applications
Western Blot
Purity
Purified from rabbit antiserum by affinity-chromatography using phospho peptide. The antibody against non-phospho peptide was removed by chromatography using corresponding non-phospho peptide.
Pricing
product-image-AAA318345_WB13.jpg WB (Western Blot) (Western blot analysis of lysates from Jurkat cells, using Lck (Phospho-Tyr393) Antibody.)

Lck, Polyclonal Antibody (Cat# AAA318345)

No reviews yet
Full Name
Lck (Phospho-Tyr393) Antibody
Gene Names
LCK; LSK; YT16; IMD22; p56lck; pp58lck
Reactivity
Human, Mouse, Rat
Applications
Western Blot
Purity
Purified from rabbit antiserum by affinity-chromatography using phospho peptide. The antibody against non-phospho peptide was removed by chromatography using corresponding non-phospho peptide.
Pricing
product-image-AAA318352_WB13.jpg WB (Western Blot) (Western blot analysis of lysates from COS7 cells treated with UV 15', using MAPKAPK-2 (Phospho-Thr222) Antibody.)

MAPKAPK-2, Polyclonal Antibody (Cat# AAA318352)

No reviews yet
Full Name
MAPKAPK-2 (Phospho-Thr222) Antibody
Gene Names
MAPKAPK2; MK2; MK-2; MAPKAP-K2
Reactivity
Human, Mouse, Rat
Applications
Immunohistochemistry, Western Blot
Purity
Purified from rabbit antiserum by affinity-chromatography using phospho peptide. The antibody against non-phospho peptide was removed by chromatography using corresponding non-phospho peptide.
Pricing
product-image-AAA318365_WB13.jpg WB (Western Blot) (Western blot analysis of lysates from HeLa cells treated with nocodazole 1ug/ml 18h, using NPM (Phospho-Thr234) Antibody.)

NPM, Polyclonal Antibody (Cat# AAA318365)

No reviews yet
Full Name
NPM (Phospho-Thr234) Antibody
Gene Names
NPM1; B23; NPM
Reactivity
Human, Mouse, Rat
Applications
Western Blot
Purity
Purified from rabbit antiserum by affinity-chromatography using phospho peptide. The antibody against non-phospho peptide was removed by chromatography using corresponding non-phospho peptide.
Pricing
product-image-AAA318366_WB13.jpg WB (Western Blot) (Western blot analysis of lysates from HepG2 cells treated with serum 20% 15', using OSR1 (Phospho-Thr185) Antibody.)

OSR1, Polyclonal Antibody (Cat# AAA318366)

No reviews yet
Full Name
OSR1 (Phospho-Thr185) Antibody
Gene Names
OXSR1; OSR1
Reactivity
Human, Mouse
Applications
Immunohistochemistry, Western Blot
Purity
Purified from rabbit antiserum by affinity-chromatography using phospho peptide. The antibody against non-phospho peptide was removed by chromatography using corresponding non-phospho peptide.
Pricing
product-image-AAA316466_WB13.jpg WB (Western Blot) (Western blot analysis of lysates from 293 cells, using Catenin-beta (Phospho-Ser37) Antibody. The lane on the right is blocked with the phospho peptide.)

Catenin-beta, Polyclonal Antibody (Cat# AAA316466)

No reviews yet
Full Name
Catenin-beta (Phospho-Ser37) Antibody
Gene Names
CTNNB1; EVR7; CTNNB; MRD19; armadillo
Reactivity
Human, Mouse, Rat
Applications
Immunohistochemistry, Western Blot
Purity
Purified from rabbit antiserum by affinity-chromatography using phospho peptide. The antibody against non-phospho peptide was removed by chromatography using corresponding non-phospho peptide.
Pricing
product-image-AAA316491_WB13.jpg WB (Western Blot) (Western blot analysis of lysates from MCF7 cells treated with Estradiol, using Estrogen Receptor-alpha (Phospho-Ser118) Antibody. The lane on the left is blocked with the phospho peptide.)

Estrogen Receptor-alpha, Polyclonal Antibody (Cat# AAA316491)

No reviews yet
Full Name
Estrogen Receptor-alpha (Phospho-Ser118) Antibody
Gene Names
ESR1; ER; ESR; Era; ESRA; ESTRR; NR3A1
Reactivity
Human, Mouse
Applications
Immunohistochemistry, Western Blot
Purity
Purified from rabbit antiserum by affinity-chromatography using phospho peptide. The antibody against non-phospho peptide was removed by chromatography using corresponding non-phospho peptide.
Pricing
product-image-AAA316554_WB13.jpg WB (Western Blot) (Western blot analysis of lysates from RAW264.7 cells and 293 cells, using p38 MAPK (Phospho-Tyr182) Antibody. The lane on the right is blocked with the phospho peptide.)

p38 MAPK, Polyclonal Antibody (Cat# AAA316554)

No reviews yet
Full Name
p38 MAPK (Phospho-Tyr182) Antibody
Gene Names
MAPK14; RK; p38; CSBP; EXIP; Mxi2; CSBP1; CSBP2; CSPB1; PRKM14; PRKM15; SAPK2A; p38ALPHA
Reactivity
Human, Mouse, Rat
Applications
Immunohistochemistry, Western Blot
Purity
Purified from rabbit antiserum by affinity-chromatography using phospho peptide. The antibody against non-phospho peptide was removed by chromatography using corresponding non-phospho peptide.
Pricing
product-image-AAA316345_IHC13.jpg IHC (Immunohiostchemistry) (Immunohistochemistry analysis of paraffin-embedded human colon carcinoma, using 53BP1 (Phospho-Ser25) Antibody. The picture on the right is blocked with the phospho peptide.)

53BP1, Polyclonal Antibody (Cat# AAA316345)

No reviews yet
Full Name
53BP1 (Phospho-Ser25) Antibody
Gene Names
TP53BP1; TP53; p202; 53BP1; TDRD30; p53BP1
Reactivity
Human, Mouse, Rat
Applications
Immunofluorescence, Immunohistochemistry
Purity
Purified from rabbit antiserum by affinity-chromatography using phospho peptide. The antibody against non-phospho peptide was removed by chromatography using corresponding non-phospho peptide.
Pricing
product-image-AAA318268_WB13.jpg WB (Western Blot) (Western blot analysis of lysate from K562 cells, uisng phospho-PDLIM5 (Phospho-Tyr251) antibody.)

PDLIM5, Polyclonal Antibody (Cat# AAA318268)

No reviews yet
Full Name
PDLIM5 (Phospho-Tyr251) Antibody
Gene Names
PDLIM5; L9; ENH; LIM; ENH1
Reactivity
Human
Applications
Western Blot
Purity
Purified from rabbit antiserum by affinity-chromatography using phospho peptide. The antibody against non-phospho peptide was removed by chromatography using corresponding non-phospho peptide.
Pricing
product-image-AAA318270_WB13.jpg WB (Western Blot) (Western blot analysis of lysate from A549 cells, using phospho-Pragmin (Phospho-Tyr413) antibody.)

Pragmin, Polyclonal Antibody (Cat# AAA318270)

No reviews yet
Full Name
Pragmin (Phospho-Tyr413) Antibody
Gene Names
PRAG1; NACK; PEAK2; SGK223; PRAGMIN
Reactivity
Human, Mouse, Rat
Applications
Western Blot
Purity
Purified from rabbit antiserum by affinity-chromatography using phospho peptide. The antibody against non-phospho peptide was removed by chromatography using corresponding non-phospho peptide.
Pricing
product-image-AAA318272_WB13.jpg WB (Western Blot) (Western blot analysis of lysate from 293 cells, using phospho-Serhb (Phospho-Tyr246) antibody.)

Shb, Polyclonal Antibody (Cat# AAA318272)

No reviews yet
Full Name
Shb (Phospho-Tyr246) Antibody
Gene Names
SHB; bA3J10.2
Reactivity
Human, Mouse
Applications
Western Blot
Purity
Purified from rabbit antiserum by affinity-chromatography using phospho peptide. The antibody against non-phospho peptide was removed by chromatography using corresponding non-phospho peptide.
Pricing
product-image-AAA318275_WB13.jpg WB (Western Blot) (Western blot analysis of lysate from K562 cells, using phospho-Thrensin-2 (Phospho-Tyr483) antibody.)

Tensin-2, Polyclonal Antibody (Cat# AAA318275)

No reviews yet
Full Name
Tensin-2 (Phospho-Tyr483) Antibody
Gene Names
TNS2; C1TEN; TENC1; C1-TEN
Reactivity
Human, Mouse
Applications
Western Blot
Purity
Purified from rabbit antiserum by affinity-chromatography using phospho peptide. The antibody against non-phospho peptide was removed by chromatography using corresponding non-phospho peptide.
Pricing
product-image-AAA318276_WB13.jpg WB (Western Blot) (Western blot analysis of lysates from Jurkat cells treated with starved, using phospho-Thrrk A (Phospho-Tyr496) antibody.)

Trk A, Polyclonal Antibody (Cat# AAA318276)

No reviews yet
Full Name
Trk A (Phospho-Tyr496) Antibody
Gene Names
NTRK1; MTC; TRK; TRK1; TRKA; Trk-A; p140-TrkA
Reactivity
Human, Mouse, Rat
Applications
Western Blot
Purity
Purified from rabbit antiserum by affinity-chromatography using phospho peptide. The antibody against non-phospho peptide was removed by chromatography using corresponding non-phospho peptide.
Pricing
product-image-AAA318280_WB13.jpg WB (Western Blot) (Western blot analysis of lysates from COS7 cells treated with insulin 0.01U/ML 15', using 53BP1 (Phospho-Ser6) Antibody.)

53BP1, Polyclonal Antibody (Cat# AAA318280)

No reviews yet
Full Name
53BP1 (Phospho-Ser6) Antibody
Gene Names
TP53BP1; TP53; p202; 53BP1; TDRD30; p53BP1
Reactivity
Human, Mouse, Rat
Applications
Immunohistochemistry, Western Blot
Purity
Purified from rabbit antiserum by affinity-chromatography using phospho peptide. The antibody against non-phospho peptide was removed by chromatography using corresponding non-phospho peptide.
Pricing
product-image-AAA318281_WB13.jpg WB (Western Blot) (Western blot analysis of lysates from COS7 cells treated with EGF 200ng/ml 30', using ABL1 (Phospho-Thr735) Antibody.)

ABL1, Polyclonal Antibody (Cat# AAA318281)

No reviews yet
Full Name
ABL1 (Phospho-Thr735) Antibody
Gene Names
ABL1; ABL; JTK7; p150; c-ABL; v-abl; CHDSKM; c-ABL1; bcr/abl
Reactivity
Human, Mouse, Rat
Applications
Western Blot
Purity
Purified from rabbit antiserum by affinity-chromatography using phospho peptide. The antibody against non-phospho peptide was removed by chromatography using corresponding non-phospho peptide.
Pricing
product-image-AAA318284_WB13.jpg WB (Western Blot) (Western blot analysis of lysates from HepG2 cells treated with PMA 125ng/ml 30', using AML1 (Phospho-Ser435) Antibody.)

AML1, Polyclonal Antibody (Cat# AAA318284)

No reviews yet
Full Name
AML1 (Phospho-Ser435) Antibody
Gene Names
RUNX1; AML1; CBFA2; EVI-1; AMLCR1; PEBP2aB; CBF2alpha; AML1-EVI-1; PEBP2alpha
Reactivity
Human, Mouse, Rat
Applications
Western Blot
Purity
Purified from rabbit antiserum by affinity-chromatography using phospho peptide. The antibody against non-phospho peptide was removed by chromatography using corresponding non-phospho peptide.
Pricing
product-image-AAA318292_WB13.jpg WB (Western Blot) (Western blot analysis of lysates from 293 cells treated with EGF 200ng/ml 30', using Breast Tumor Kinase (Phospho-Tyr447) Antibody.)

Breast Tumor Kinase, Polyclonal Antibody (Cat# AAA318292)

No reviews yet
Full Name
Breast Tumor Kinase (Phospho-Tyr447) Antibody
Gene Names
PTK6; BRK
Reactivity
Human
Applications
Western Blot
Purity
Purified from rabbit antiserum by affinity-chromatography using phospho peptide. The antibody against non-phospho peptide was removed by chromatography using corresponding non-phospho peptide.
Pricing
product-image-AAA318296_WB13.jpg WB (Western Blot) (Western blot analysis of lysates from HepG2 cells treated with EGF 200ng/ml 5', using Caveolin 2 (Phospho-Tyr27) Antibody.)

Caveolin 2, Polyclonal Antibody (Cat# AAA318296)

No reviews yet
Full Name
Caveolin 2 (Phospho-Tyr27) Antibody
Gene Names
CAV2; CAV
Reactivity
Human
Applications
Western Blot
Purity
Purified from rabbit antiserum by affinity-chromatography using phospho peptide. The antibody against non-phospho peptide was removed by chromatography using corresponding non-phospho peptide.
Pricing
product-image-AAA318297_WB13.jpg WB (Western Blot) (Western blot analysis of lysates from HepG2 cells treated with nocodazole 1ug/ml 16h, using CD28 (Phospho-Tyr218) Antibody.)

CD28, Polyclonal Antibody (Cat# AAA318297)

No reviews yet
Full Name
CD28 (Phospho-Tyr218) Antibody
Gene Names
CD28; Tp44
Reactivity
Human, Mouse
Applications
Western Blot
Purity
Purified from rabbit antiserum by affinity-chromatography using phospho peptide. The antibody against non-phospho peptide was removed by chromatography using corresponding non-phospho peptide.
Pricing
product-image-AAA318299_WB13.jpg WB (Western Blot) (Western blot analysis of lysates from HeLa cells, using CDC2 (Phospho-Thr161) Antibody.)

CDC2, Polyclonal Antibody (Cat# AAA318299)

No reviews yet
Full Name
CDC2 (Phospho-Thr161) Antibody
Gene Names
CDK1; CDC2; CDC28A; P34CDC2
Reactivity
Human, Mouse, Rat
Applications
Immunohistochemistry, Western Blot
Purity
Purified from rabbit antiserum by affinity-chromatography using phospho peptide. The antibody against non-phospho peptide was removed by chromatography using corresponding non-phospho peptide.
Pricing
product-image-AAA318302_WB13.jpg WB (Western Blot) (Western blot analysis of lysates from K562 and HUVEC cells treated with PMA, using C-RAF (Phospho-Ser642) Antibody.)

C-RAF, Polyclonal Antibody (Cat# AAA318302)

No reviews yet
Full Name
C-RAF (Phospho-Ser642) Antibody
Reactivity
Human, Mouse, Rat
Applications
Western Blot
Purity
Purified from rabbit antiserum by affinity-chromatography using phospho peptide. The antibody against non-phospho peptide was removed by chromatography using corresponding non-phospho peptide.
Pricing
product-image-AAA318307_WB13.jpg WB (Western Blot) (Western blot analysis of lysates from COS7 cells treated with EGF 200ng/ml 30', using EGFR (Phospho-Tyr1069) Antibody.)

EGFR, Polyclonal Antibody (Cat# AAA318307)

No reviews yet
Full Name
EGFR (Phospho-Tyr1069) Antibody
Gene Names
EGFR; ERBB; HER1; mENA; ERBB1; PIG61; NISBD2
Reactivity
Human, Mouse, Rat
Applications
Western Blot
Purity
Purified from rabbit antiserum by affinity-chromatography using phospho peptide. The antibody against non-phospho peptide was removed by chromatography using corresponding non-phospho peptide.
Pricing
product-image-AAA318315_WB13.jpg WB (Western Blot) (Western blot analysis of lysates from COS7 cells treated with EGF 200ng/ml 30', using FLT3 (Phospho-Tyr599) Antibody.)

FLT3, Polyclonal Antibody (Cat# AAA318315)

No reviews yet
Full Name
FLT3 (Phospho-Tyr599) Antibody
Gene Names
FLT3; FLK2; STK1; CD135; FLK-2
Reactivity
Human, Mouse
Applications
Western Blot
Purity
Purified from rabbit antiserum by affinity-chromatography using phospho peptide. The antibody against non-phospho peptide was removed by chromatography using corresponding non-phospho peptide.
Pricing
product-image-AAA318317_WB13.jpg WB (Western Blot) (Western blot analysis of lysates from HepG2 cells treated with Na3VO4 0.3mM 40', using FLT3 (Phospho-Tyr969) Antibody.)

FLT3, Polyclonal Antibody (Cat# AAA318317)

No reviews yet
Full Name
FLT3 (Phospho-Tyr969) Antibody
Gene Names
FLT3; FLK2; STK1; CD135; FLK-2
Reactivity
Human
Applications
Immunohistochemistry, Western Blot
Purity
Purified from rabbit antiserum by affinity-chromatography using phospho peptide. The antibody against non-phospho peptide was removed by chromatography using corresponding non-phospho peptide.
Pricing
product-image-AAA318320_WB13.jpg WB (Western Blot) (Western blot analysis of lysates from mouse brain, using GRIN2B (Phospho-Ser1303) Antibody.)

GRIN2B, Polyclonal Antibody (Cat# AAA318320)

No reviews yet
Full Name
GRIN2B (Phospho-Ser1303) Antibody
Gene Names
GRIN2B; NR3; MRD6; NR2B; hNR3; EIEE27; GluN2B; NMDAR2B
Reactivity
Human, Mouse, Rat
Applications
Western Blot
Purity
Purified from rabbit antiserum by affinity-chromatography using phospho peptide. The antibody against non-phospho peptide was removed by chromatography using corresponding non-phospho peptide.
Pricing
product-image-AAA318321_WB13.jpg WB (Western Blot) (Western blot analysis of lysates from HT29 cells treated with insulin 0.01U/ml 15', using GRK2 (Phospho-Ser685) Antibody.)

GRK2, Polyclonal Antibody (Cat# AAA318321)

No reviews yet
Full Name
GRK2 (Phospho-Ser685) Antibody
Gene Names
GRK2; BARK1; ADRBK1; BETA-ARK1
Reactivity
Human, Mouse, Rat
Applications
Western Blot
Purity
Purified from rabbit antiserum by affinity-chromatography using phospho peptide. The antibody against non-phospho peptide was removed by chromatography using corresponding non-phospho peptide.
Pricing
product-image-AAA318322_WB13.jpg WB (Western Blot) (Western blot analysis of lysates from LOVO cells, using HDAC2 (Phospho-Ser394) Antibody.)

HDAC2, Polyclonal Antibody (Cat# AAA318322)

No reviews yet
Full Name
HDAC2 (Phospho-Ser394) Antibody
Gene Names
HDAC2; HD2; RPD3; YAF1
Reactivity
Human, Mouse, Rat
Applications
Western Blot
Purity
Purified from rabbit antiserum by affinity-chromatography using phospho peptide. The antibody against non-phospho peptide was removed by chromatography using corresponding non-phospho peptide.
Pricing
product-image-AAA318259_WB13.jpg WB (Western Blot) (Western blot analysis of lysates from Jurkat cells, using phospho-CD318 (Phospho-Tyr707) antibody.)

CD318, Polyclonal Antibody (Cat# AAA318259)

No reviews yet
Full Name
CD318 (Phospho-Tyr707) Antibody
Gene Names
CDCP1; CD318; TRASK; SIMA135
Reactivity
Human, Mouse
Applications
Western Blot
Purity
Purified from rabbit antiserum by affinity-chromatography using phospho peptide. The antibody against non-phospho peptide was removed by chromatography using corresponding non-phospho peptide.
Pricing
product-image-AAA318264_WB13.jpg WB (Western Blot) (Western blot analysis of lysates from A549 cells, using phospho-Hrs (Phospho-Tyr216) antibody.)

Hrs, Polyclonal Antibody (Cat# AAA318264)

No reviews yet
Full Name
Hrs (Phospho-Tyr216) Antibody
Gene Names
HGS; HRS
Reactivity
Human, Mouse, Rat
Applications
Western Blot
Purity
Purified from rabbit antiserum by affinity-chromatography using phospho peptide. The antibody against non-phospho peptide was removed by chromatography using corresponding non-phospho peptide.
Pricing
product-image-AAA36660_IP11.jpg IP (Immunoprecipitation) (Immunoprecipitation analysis of 200ug extracts of HT-29 cells treated by starvation using 2.5ug Phospho-CDK1-Y15 antibody. Western blot was performed from the immunoprecipitate using Phospho-CDK1-Y15 antibody at a dilition of 1:1000.)

CDK1-Y15, Antibody (Cat# AAA36660)

No reviews yet
Full Name
Phospho-CDK1-Y15 Polyclonal Antibody
Gene Names
CDK1; CDC2; CDC28A; P34CDC2
Reactivity
Human, Mouse, Rat
Applications
Immunofluorescence, Western Blot
Purity
Affinity Purification
Pricing
product-image-AAA36767_IF13.jpg IF (Immunofluorescence) (Immunofluorescence analysis of U2OS cells using Phospho-Jun-S243 antibody. Blue: DAPI for nuclear staining.)

c-Jun-S243, Antibody (Cat# AAA36767)

No reviews yet
Full Name
Phospho-c-Jun-S243 Polyclonal Antibody
Gene Names
JUN; AP1; AP-1; c-Jun
Reactivity
Human, Mouse, Rat
Applications
Immunofluorescence, Western Blot
Purity
Affinity Purification
Pricing
product-image-AAA36769_IF13.jpg IF (Immunofluorescence) (Immunofluorescence analysis of MCF-7 cells using Phospho-FOS-T232 antibody. Blue: DAPI for nuclear staining.)

FOS-T232, Antibody (Cat# AAA36769)

No reviews yet
Full Name
Phospho-FOS-T232 Polyclonal Antibody
Gene Names
FOS; p55; AP-1; C-FOS
Reactivity
Human, Mouse, Rat
Applications
Immunofluorescence, Western Blot
Purity
Affinity Purification
Pricing
product-image-AAA37357_IF13.jpg IF (Immunofluorescence) (Immunofluorescence staining of methanol-fixed HeLa cells using Phospho-CARM1-S228 antibody.)

CARM1-S228, Antibody (Cat# AAA37357)

No reviews yet
Full Name
Phospho-CARM1-S228 Polyclonal Antibody
Gene Names
CARM1; PRMT4
Reactivity
Human, Mouse, Rat
Applications
Immunofluorescence, Western Blot
Purity
Affinity Purification
Pricing
product-image-AAA37358_IHC13.jpg IHC (Immunohiostchemistry) (Immunohistochemistry of paraffin-embedded human breast carcinoma using Phospho-CDK2-T160 antibody.)

CDK2-T160, Antibody (Cat# AAA37358)

No reviews yet
Full Name
Phospho-CDK2-T160 Polyclonal Antibody
Gene Names
CDK2; CDKN2; p33(CDK2)
Reactivity
Human, Mouse, Rat
Applications
Immunohistochemistry, Western Blot
Purity
Affinity Purification
Pricing
product-image-AAA37417_IF11.jpg IF (Immunofluorescence) (Immunofluorescence staining of methanol-fixed HeLa cells using Phospho-MAPT-S262 antibody.)

MAPT-S262, Antibody (Cat# AAA37417)

No reviews yet
Full Name
Phospho-MAPT-S262 Polyclonal Antibody
Gene Names
MAPT; TAU; MSTD; PPND; DDPAC; MAPTL; MTBT1; MTBT2; FTDP-17; PPP1R103
Reactivity
Human, Mouse, Rat
Applications
Immunofluorescence, Immunohistochemistry, Western Blot
Purity
Affinity Purification
Pricing
product-image-AAA124529_WB13.jpg WB (Western Blot) (Western blot analysis of Phospho-Cdk1/2 (T14) expression in HeLa cell lysate treated with hydroxyurea (AAA124529).Electrophoresis was performed on a 5-20% SDS-PAGE gel at 70V (Stacking gel) / 90V (Resolving gel) for 2-3 hours. The sample well of each lane was loaded with 50ug of sample under reducing conditions.After Electrophoresis, proteins were transferred to a Nitrocellulose membrane at 150mA for 50-90 minutes. Blocked the membrane with 5% Non-fat Milk/ TBS for 1.5 hour at RT. The membrane was incubated with rabbit anti-CDK1 monoclonal antibody overnight at 4 degree C, then washed with TBS-0.1%Tween 3 times with 5 minutes each and probed with a goat anti-rabbit IgG-HRP secondary antibody at a dilution of 1:10000 for 1.5 hour at RT. The signal is developed using an Enhanced Chemiluminescent detection (ECL) kit with Tanon 5200 system. A specific band was detected for CDK1)

Cdk1/2, Monoclonal Antibody (Cat# AAA124529)

No reviews yet
Full Name
Anti-Phospho-Cdk1/2 (T14) Rabbit Monoclonal Antibody
Gene Names
CDK1; CDC2; CDC28A; P34CDC2
Reactivity
Human, Mouse, Rat
Applications
Western Blot, Immunohistochemistry, Immunoprecipitation
Purity
Affinity-chromatography
Pricing
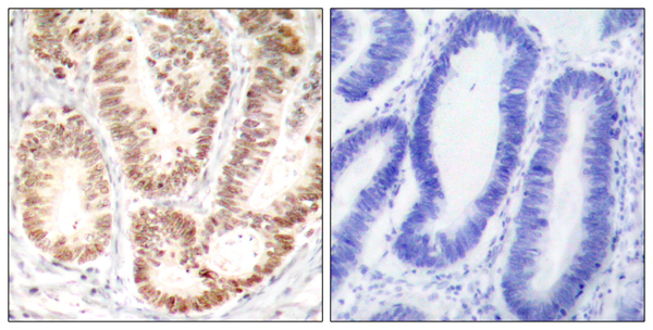
product-image-AAA243246_IHC13.jpg IHC (Immunohiostchemistry) (Immunohistochemistry analysis of paraffin-embedded human colon carcinoma tissue using MDM4 (Phospho-Ser367) antibody. The picture on the right is treated with the synthesized peptide.)

MDM4, Polyclonal Antibody (Cat# AAA243246)

No reviews yet
Full Name
Phospho-MDM4 (Ser367) Antibody
Gene Names
MDM4; HDMX; MDMX; MRP1
Reactivity
Human, Mouse, Rat
Applications
Immunohistochemistry, Western Blot
Purity
Antibodies were produced by immunizing rabbits with synthetic phosphopeptide and KLH conjugates. Antibodies were purified by affinity-chromatography using epitope-specific phosphopeptide. Non-phospho specific antibodies were removed by chromatography usin
Pricing
product-image-AAA243193_IF13.jpg IF (Immunofluorescence) (Immunofluorescence staining of methanol-fixed A549 cells using NMDAR1 (Phospho-Ser890) Antibody.)

GRIN1, Polyclonal Antibody (Cat# AAA243193)

No reviews yet
Full Name
Phospho-GRIN1 (Ser890) Antibody
Gene Names
GRIN1; NR1; MRD8; GluN1; NMDA1; NMDAR1
Reactivity
Human, Mouse, Rat
Applications
Immunofluorescence, Immunohistochemistry
Purity
Antibodies were produced by immunizing rabbits with synthetic phosphopeptide and KLH conjugates. Antibodies were purified by affinity-chromatography using epitope-specific phosphopeptide. Non-phospho specific antibodies were removed by chromatography usin
Pricing
product-image-AAA243316_IF11.jpg IF (Immunofluorescence) (Immunofluorescence staining of methanol-fixed Hela cells showing cytoplasmic, centrosomal and nuclear staining using p70 S6 Kinase(Phospho-Ser424) Antibody.)

RPS6KB1, Polyclonal Antibody (Cat# AAA243316)

No reviews yet
Full Name
Phospho-RPS6KB1 (Ser424) Antibody
Gene Names
RPS6KB1; S6K; PS6K; S6K1; STK14A; p70-S6K; p70 S6KA; p70-alpha; S6K-beta-1; p70(S6K)-alpha
Reactivity
Human, Mouse, Rat
Applications
Immunofluorescence, Immunohistochemistry, Western Blot
Purity
Antibodies were produced by immunizing rabbits with synthetic phosphopeptide and KLH conjugates. Antibodies were purified by affinity-chromatography using epitope-specific phosphopeptide. Non-phospho specific antibodies were removed by chromatography usin
Pricing
product-image-AAA243056_IHC13.jpg IHC (Immunohiostchemistry) (Immunohistochemical analysis of paraffin-embedded human breast carcinoma tissue using STAT4(Phospho-Tyr693) Antibody(left) or the same antibody preincubated with blocking peptide(right).)

STAT4, Polyclonal Antibody (Cat# AAA243056)

No reviews yet
Full Name
Phospho-STAT4 (Tyr693) Antibody
Gene Names
STAT4; SLEB11
Reactivity
Human, Mouse, Rat
Applications
Immunohistochemistry, Western Blot
Purity
Antibodies were produced by immunizing rabbits with synthetic phosphopeptide and KLH conjugates. Antibodies were purified by affinity-chromatography using epitope-specific phosphopeptide. Non-phospho specific antibodies were removed by chromatography usin
Pricing
product-image-AAA243143_IHC13.jpg IHC (Immunohiostchemistry) (Immunohistochemical analysis of paraffin-embedded human breast carcinoma tissue using PKCd(Phospho-Ser645) Antibody(left) or the same antibody preincubated with blocking peptide(right).)

PRKCD, Polyclonal Antibody (Cat# AAA243143)

No reviews yet
Full Name
Phospho-PRKCD (Ser645) Antibody
Gene Names
PRKCD; MAY1; PKCD; nPKC-delta
Reactivity
Human, Mouse, Rat
Applications
Immunohistochemistry, Western Blot
Purity
Antibodies were produced by immunizing rabbits with synthetic phosphopeptide and KLH conjugates. Antibodies were purified by affinity-chromatography using epitope-specific phosphopeptide. Non-phospho specific antibodies were removed by chromatography usin
Pricing
product-image-AAA314291_IHC13.jpg IHC (Immunohiostchemistry) (Immunohistochemistry of c-Jun (phospho S63) in paraffin-embedded Human breast cancer tissue using c-Jun (phospho S63) Rabbit mAb at dilution 1/20)

c Jun, Monoclonal Antibody (Cat# AAA314291)

No reviews yet
Full Name
Phospho-c Jun (Ser63) Rabbit mAb
Gene Names
JUN; AP1; AP-1; c-Jun
Reactivity
Human, Mouse, Rat
Applications
Immunohistochemistry, Western Blot
Purity
Affinity Purified
Pricing

What Are Phospho Antibodies?


Protein phosphorylation is a process where a phosphate group is added to certain amino acid residues of a protein – usually serine (S), threonine (T), or tyrosine (Y) - by enzymes called kinases. This process is integral in controlling cellular signaling, cellular growth, and other biological functions.


Our catalog includes a wide range of phospho-specific antibodies that can accurately detect this important marker. They perform strongly in widely-used laboratory applications such as Western blot, flow cytometry, immunohistochemistry, and immunofluorescence microscopy. We value your trust in us and are committed to providing top-quality products and services. All of our antibodies are guaranteed to work for the applications and species indicated on our website & associated product pages.


What Are The Key Applications of Phospho Antibodies?


1. Western Blotting


One of the first steps a researcher can take in utilizing these phospho-specific antibodies, is to check if the antibody works using a technique referred to as “Western blot”. For those unfamiliar, Western Blot aids in showing whether the protein that the antibody recognizes is appearing at the correct/expected size. These phospho-specific antibodies should also be able to detect changes in the target protein’s phosphorylation (on/off state) when cells are stimulated in certain ways.


2. Staining of Fixed Cells (Immunocytochemistry)


Another routine use of these phospho-specific antibodies, is to test if the antibody is able to demonstrate similar performance when used on fixed cells (intact cells that have been preserved) as it did in the Western blot tests. It is an important aspect in many cases to confirm that the antibody works in actual intact cell samples. Ideally, the method used for cellular fixation should be the same as what is used in pathology labs (like using 10% formalin). To check if the antibody works well in tissue sections (FFPE), researchers will often test it on fixed cells that are processed similar to tissue samples.


3. Specificity Tests Using Peptides


In order to make sure that the antibody is only binding to the right target:


  • Laboratory technicians will mix the antibody with phospho-peptides (short segments of the protein containing the phosphate group modification).

  • If the antibody signal disappears, it is confirmation that it is binding to the correct phosphorylated location.

  • A more robust test is to use both the phosphorylated and non-phosphorylated (dephosphorylated) versions of the protein. The antibody should react only with the phosphorylated one.

  • Another method sometimes utilized is to treat the sample with an enzyme, such as alkaline phosphatase, that specifically removes phosphate groups. If the antibody signal disappears after this, it also confirms specificity.


4. Genetic Confirmation


As a final step, scientists can genetically manipulate the nucleotide sequence and alter the target protein by removing the exact site where phosphorylation happens. If the antibody no longer appears to detect the modified protein, it is strong evidence supporting the antibody being specific for that phosphorylated site.


Why Buy Phospho Antibodies Through Us?


  • The production laboratory adheres to strict and consistent protocols prior to releasing any of these phospho-specific antibodies:

  • Standard methods and proper controls in all tests to ensure high quality.

  • These antibodies are tested and validated in different cell types and species.

  • High quality control criterion to ensure each batch is consistent, so you will obtain reliable results every time.


FAQ


1. What Are Phospho-Specific Antibodies?


Phospho-specific antibodies are made to detect proteins only when they have a phosphate group linked to a specific amino acid residue. This empowers scientists understand if a protein is "turned on" or active, based on its phosphorylation state.


2. How to Detect Phosphorylated Proteins in a Western Blot?


To find out if a protein is phosphorylated using Western blot:


  • Use a phospho-specific antibody that binds only to the phosphorylated form of the protein.

  • You can also use a “regular” antibody for the same amino acid sequence of the protein that the phospho-specific antibody is binding to (but in this case, this antibody will not bind if there is a phosphate group present) in order to compare how much of it is phosphorylated versus how much is non-phosphorylated (or “total” protein, if the “normal” antibody’s epitopes are non-phospho-site-specific).


3. How to Choose the Best Antibody?


Here are some simple tips to help you pick the right antibody:


  • Know your target

  • Match your sample characteristics

  • Confirm the intended use is appropriate

  • Check “host” and “type”

  • Check the “quality” of the presented data/images

  • Appraise whether the available validation meets your needs


Submit a Question

Please complete the form below and a representative will contact you as soon as possible.

Request more Information

Please complete the form below and a representative will contact you as soon as possible.

Request a Manual

Please complete the form below and a representative will contact you as soon as possible.

Request a Quote

Please complete the form below and a representative will contact you as soon as possible.