Loading...

Skip to main content
Call us at +1-800-604-9114 for more information about our products or contact us online Need help? +1-800-604-9114 or contact us

Filters


Clonality

Type

Reactivity

Gene Name

Isotype

Host

Application

Clone

Phospho Antibodies

Phospho-specific antibodies’ typical purpose is to enable researchers to detect changes in proteins. They will exclusively bind to the amino acid sequence on a protein that has been phosphorylated (which is both a physical & chemical change) and do not bind to the same amino acid sequence on said protein if it lacks said phosphorylation. This aids in being able to clearly see and understand the data produced from this particular protein modification.


Viewing 1800-1850 of 5299 product results


product-image-AAA321777_WB11.jpg WB (Western Blot) (Western blot analysis of Phospho-ALK (Tyr1507) Antibody expression in anisomycin treated COS7 cells lysates.The lane on the right was treated with the antigen-specific peptide.)

ALK, Polyclonal Antibody (Cat# AAA321777)

Full Name
Phospho-ALK (Tyr1507) Antibody
Gene Names
ALK; CD246; NBLST3
Reactivity
Human, Mouse, Monkey
Applications
Immunocytochemistry, Immunofluorescence, Immunohistochemistry, Western Blot
Purity
Peptide affinity purification
Pricing
product-image-AAA42699_SC15.jpg Standard Curve (Sample)

phospho-inhibitory subunit of NF-kappaBalpha, pIKBalpha, ELISA Kit (Cat# AAA42699)

Full Name
Rat phospho-inhibitory subunit of NF-kappaBalpha, pIKBalpha ELISA Kit
Reactivity
Rat
Pricing
product-image-AAA284306_WB15.jpg WB (Western Blot) (FG Pancreatic Carcinoma Cell Lines stably expressing vector along (FG-V) the b3 integrin subunit (FG-b3) or a b3 truncation mutant (FG-759x).Phospho-Src-Y215 Antibody (AAA284306) was diluted 1:500 in 1% BSA/TBST and incubated Overnight at 4)

Phospho-SRC (Y215), Polyclonal Antibody (Cat# AAA284306)

Full Name
Phospho-SRC (Y215) Antibody
Gene Names
SRC; ASV; SRC1; c-SRC; p60-Src
Reactivity
Human (Predicted Reactivity: Mouse, Rat, Zebrafish, Chicken, Xenopus)
Applications
Western Blot
Purity
Peptide Affinity Purified Rabbit Polyclonal Antibody (Pab)
Pricing

mDia Phospho-Regulation, Antibody Sampler Kit (Cat# AAA71616)

Full Name
mDia Phospho-Regulation
Reactivity
Human, Rat, Mouse, Fish
Applications
Western Blot
Pricing

Phospho-Tyrosine, Serine, Threonine, Antibody Sampler Kit (Cat# AAA71678)

Full Name
Phospho-Tyrosine, Serine, Threonine
Reactivity
Human, Rat, Mouse, Chicken
Applications
Immunocytochemistry, Immunoprecipitation, Western Blot
Pricing
product-image-AAA71420_WB15.jpg WB (Western Blot) (The whole cell lysate derived from human umbilical vein endothelial cell was stimulated by VEGF-A for 20 min, then immunoprecipitated by Rabbit anti-VEGFR-2 followed by immune-probing with Rabbit anti phosphor-VEGFR-2 (pY951) (AAA71420) at 1:500. An immunoreactive band is observed around ~240kDa(lane 1). The lane 2 is a negative control.)

VEGFR-2 (pY951) (CD309), Antibody (Cat# AAA71420)

Full Name
Rabbit anti Phospho-VEGFR-2 (pTyr951)
Gene Names
KDR; FLK1; CD309; VEGFR; VEGFR2
Reactivity
Human, Mouse
Applications
Immunohistochemistry, Western Blot
Purity
The Rabbit IgG is purified by Site-specific Epitope Affinity Purification.
Pricing
product-image-AAA37416_IHC13.jpg IHC (Immunohiostchemistry) (Immunohistochemistry of paraffin-embedded human breast carcinoma using Phospho-STMN1-S25 antibody.)

STMN1-S25, Antibody (Cat# AAA37416)

Full Name
Phospho-STMN1-S25 Polyclonal Antibody
Gene Names
STMN1; Lag; SMN; OP18; PP17; PP19; PR22; LAP18; C1orf215
Reactivity
Human, Mouse, Rat
Applications
Immunohistochemistry, Western Blot
Purity
Affinity Purification
Pricing
product-image-AAA243344_IF11.jpg IF (Immunofluorescence) (Immunofluorescence staining of methanol-fixed A549 cells using ACK1 (Phospho-Tyr284) Antibody.)

TNK2, Polyclonal Antibody (Cat# AAA243344)

Full Name
Phospho-TNK2 (Tyr284) Antibody
Gene Names
TNK2; ACK; ACK1; ACK-1; p21cdc42Hs
Reactivity
Human, Mouse
Applications
Immunofluorescence, Immunohistochemistry, Western Blot
Purity
Antibodies were produced by immunizing rabbits with synthetic phosphopeptide and KLH conjugates. Antibodies were purified by affinity-chromatography using epitope-specific phosphopeptide. Non-phospho specific antibodies were removed by chromatography usin
Pricing
product-image-AAA243357_IHC10.jpg IHC (Immunohistochemistry) (Immunohistochemical analysis of paraffin-embedded human lung carcinoma tissue, using HER2 (Phospho-Tyr1248) Antibody.)

ERBB2, Polyclonal Antibody (Cat# AAA243357)

Full Name
Phospho-ERBB2 (Tyr1248) Antibody
Gene Names
ERBB2; NEU; NGL; HER2; TKR1; CD340; HER-2; MLN 19; HER-2/neu
Reactivity
Human, Mouse, Rat
Applications
Immunofluorescence, Immunohistochemistry, Western Blot
Purity
Antibodies were produced by immunizing rabbits with synthetic phosphopeptide and KLH conjugates. Antibodies were purified by affinity-chromatography using epitope-specific phosphopeptide. Non-phospho specific antibodies were removed by chromatography usin
Pricing
product-image-AAA243371_WB10.jpg WB (Western Blot) (Western blot analysis of extracts from PC12 cells, treated with PMA or calf intestinal phosphatase (CIP), using PKCtheta (Phospho-Ser676) Antibody.)

PRKCQ, Polyclonal Antibody (Cat# AAA243371)

Full Name
Phospho-PRKCQ (Ser676) Antibody
Gene Names
PRKCQ; PRKCT; nPKC-theta
Reactivity
Human, Mouse, Rat
Applications
Immunofluorescence, Immunohistochemistry, Western Blot
Purity
Antibodies were produced by immunizing rabbits with synthetic phosphopeptide and KLH conjugates. Antibodies were purified by affinity-chromatography using epitope-specific phosphopeptide. Non-phospho specific antibodies were removed by chromatography usin
Pricing
product-image-AAA243178_IHC13.jpg IHC (Immunohiostchemistry) (Immunohistochemical analysis of paraffin-embedded human breast carcinoma, using 4E-BP1 (phospho-Thr36) antibody.)

EIF4EBP1, Polyclonal Antibody (Cat# AAA243178)

Full Name
Phospho-EIF4EBP1 (Thr36) Antibody
Gene Names
EIF4EBP1; BP-1; 4EBP1; 4E-BP1; PHAS-I
Reactivity
Human, Mouse, Rat
Applications
Immunohistochemistry, Western Blot
Purity
Antibodies were produced by immunizing rabbits with synthetic phosphopeptide and KLH conjugates. Antibodies were purified by affinity-chromatography using epitope-specific phosphopeptide. Non-phospho specific antibodies were removed by chromatography usin
Pricing
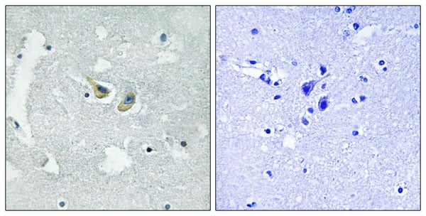
product-image-AAA243185_IHC13.jpg IHC (Immunohiostchemistry) (Immunohistochemical analysis of paraffin-embedded human breast carcinoma tissue, using p130 Cas (Phospho-Tyr410) antibody (left)or the same antibody preincubated with blocking peptide (right).)

BCAR1, Polyclonal Antibody (Cat# AAA243185)

Full Name
Phospho-BCAR1 (Tyr410) Antibody
Gene Names
BCAR1; CAS; CAS1; CASS1; CRKAS; P130Cas
Reactivity
Human, Mouse, Rat
Applications
Immunohistochemistry, Western Blot
Purity
Antibodies were produced by immunizing rabbits with synthetic phosphopeptide and KLH conjugates. Antibodies were purified by affinity-chromatography using epitope-specific phosphopeptide. Non-phospho specific antibodies were removed by chromatography usin
Pricing
product-image-AAA311046_ICC8.jpg ICC (Immunocytochemistry) (ICC staining ATM (phospho S1981) in SH-SY5Y cells (green). The nuclear counter stain is DAPI (blue). Cells were fixed in paraformaldehyde, permeabilised with 0.25% Triton X100/PBS.)

ATM, Monoclonal Antibody (Cat# AAA311046)

Full Name
ATM (Phospho-S1981) Antibody
Gene Names
ATM; AT1; ATA; ATC; ATD; ATE; ATDC; TEL1; TELO1
Reactivity
Human, Mouse, Rat
Applications
Immunoprecipitation, Immunohistochemistry, Immunofluorescence, Immunocytochemistry, Western Blot
Purity
ProA affinity purified
Pricing
product-image-AAA288409_DB15.jpg DB (Dot Blot) (Dot blot analysis of Phospho-PARP1-S782 Antibody Phospho-specific Pab (AAA288409) on nitrocellulose membrane. 50ng of Phospho-peptide or Non Phospho-peptide per dot were adsorbed. Antibody working concentrations are 0.6ug per ml.)

Phospho-PARP1 (S782), Polyclonal Antibody (Cat# AAA288409)

Full Name
Phospho-PARP1 (S782) Antibody
Gene Names
PARP1; PARP; PPOL; ADPRT; ARTD1; ADPRT1; PARP-1; ADPRT 1; pADPRT-1
Reactivity
Human (Predicted Reactivity: Bovine, Hamster, Mouse, Rat)
Applications
Dot Blot
Purity
This antibody is purified through a protein A column, followed by peptide affinity purification.
Pricing
product-image-AAA288461_IHC13.jpg IHC (Immunohiostchemistry) (Formalin-fixed and paraffin-embedded human cancer tissue reacted with the primary antibody, which was peroxidase-conjugated to the secondary antibody, followed by DAB staining. This data demonstrates the use of this antibody for immunohistochemistry; clinical relevance has not been evaluated. BC = breast carcinoma; HC = hepatocarcinoma.)

Phospho-TNFR (S274), Polyclonal Antibody (Cat# AAA288461)

Full Name
Phospho-TNFR (S274) Antibody
Gene Names
TNFRSF1A; FPF; MS5; p55; p60; TBP1; TNF-R; TNFAR; TNFR1; p55-R; CD120a; TNFR55; TNFR60; TNF-R-I; TNF-R55; TNFR1-d2
Reactivity
Human, mouse
Applications
Immunohistochemistry, Western Blot
Purity
Peptide Affinity Purified Rabbit Polyclonal Antibody (Pab)
Pricing
product-image-AAA288358_DB15.jpg DB (Dot Blot) (Dot blot analysis of mouse TSC2 Antibody (Phospho S1343) Phospho-specific Pab on nitrocellulose membrane. 50ng of Phospho-peptide or Non Phospho-peptide per dot were adsorbed. Antibody working concentrations are 0.6ug per ml.)

Phospho-mouse TSC2 (S1343), Polyclonal Antibody (Cat# AAA288358)

Full Name
Phospho-mouse TSC2 (S1343) Antibody
Reactivity
Mouse (Predicted Reactivity: Rat)
Applications
Dot Blot
Purity
Peptide Affinity Purified Rabbit Polyclonal Antibody (Pab)
Pricing
product-image-AAA288214_DB15.jpg DB (Dot Blot) (Dot blot analysis of anti-EIF4EBP1-pS111 Phospho-specific Pab (RB13351) on nitrocellulose membrane. 50ng of Phospho-peptide or Non Phospho-peptide per dot were adsorbed. Antibody working concentrations are 0.5ug per ml.)

Phospho-EIF4EBP1 (S111), Polyclonal Antibody (Cat# AAA288214)

Full Name
Phospho-EIF4EBP1 (S111) Antibody
Gene Names
EIF4EBP1; BP-1; 4EBP1; 4E-BP1; PHAS-I
Reactivity
Human (Predicted Reactivity: Mouse, Rat)
Applications
Dot Blot
Purity
Peptide Affinity Purified Rabbit Polyclonal Antibody (Pab)
Pricing
product-image-AAA288307_DB11.jpg DB (Dot Blot) (Dot blot analysis of Phospho-mouse ERBB2-Y1140 Antibody Phospho-specific Pab on nitrocellulose membrane. 50ng of Phospho-peptide or Non Phospho-peptide per dot were adsorbed. Antibody working concentrations are 0.6ug per ml.)

Phospho-M ERBB2 (Y1140), Polyclonal Antibody (Cat# AAA288307)

Full Name
Phospho-M ERBB2 (Y1140) Antibody
Gene Names
Erbb2; Neu; HER2; HER-2; c-neu; Erbb-2; c-erbB2; mKIAA3023
Reactivity
Human, mouse
Applications
Dot Blot, Western Blot
Purity
Peptide Affinity Purified Rabbit Polyclonal Antibody (Pab)
Pricing
product-image-AAA288234_IF13.jpg IF (Immunofluorescence) (Confocal immunofluorescent analysis of Phospho-TSC2-S1420 Antibody with MCF-7 cell followed by Alexa Fluor 488-conjugated goat anti-rabbit lgG (green).Actin filaments have been labeled with Alexa Fluor 555 phalloidin (red).DAPI was used to stain the cell nuclear (blue).)

Phospho-TSC2 (S1420), Polyclonal Antibody (Cat# AAA288234)

Full Name
Phospho-TSC2 (S1420) Antibody
Gene Names
TSC2; LAM; TSC4; PPP1R160
Reactivity
Human
Applications
Immunofluorescence, Dot Blot
Purity
Peptide Affinity Purified Rabbit Polyclonal Antibody (Pab)
Pricing
product-image-AAA288905_WB11.jpg WB (Western Blot) (Western blot analysis of ERK1/2 (arrow) using rabbit polyclonal P-MAPK(T202/Y204). HBEpC cell lysates either transiently induced (Lane 2) or noninduced with the EGF (Lane 1)(2 ug/lane).)

Bi-Phospho-ERK1/2 (T202/Y204), Polyclonal Antibody (Cat# AAA288905)

Full Name
Bi-Phospho-ERK1/2 (T202/Y204) Antibody
Gene Names
MAPK3; ERK1; ERT2; ERK-1; PRKM3; P44ERK1; P44MAPK; HS44KDAP; HUMKER1A; p44-ERK1; p44-MAPK
Reactivity
Human (Predicted Reactivity: Drosophila, Mouse, Rat)
Applications
Western Blot, Dot Blot
Purity
Peptide Affinity Purified Rabbit Polyclonal Antibody (Pab)
Pricing
product-image-AAA288691_IHC13.jpg IHC (Immunohiostchemistry) (Formalin-fixed and paraffin-embedded human cancer tissue reacted with the primary antibody, which was peroxidase-conjugated to the secondary antibody, followed by AEC staining. This data demonstrates the use of this antibody for immunohistochemistry; clinical relevance has not been evaluated. BC = breast carcinoma; HC = hepatocarcinoma.)

Phospho-NFKB (S536), Polyclonal Antibody (Cat# AAA288691)

Full Name
Phospho-NFKB (S536) Antibody
Gene Names
RELA; p65; NFKB3
Reactivity
Human, mouse
Applications
Immunohistochemistry, Western Blot
Purity
Peptide Affinity Purified Rabbit Polyclonal Antibody (Pab)
Pricing
product-image-AAA316581_WB13.jpg WB (Western Blot) (Western blot analysis of lysates from HeLa cells treated with IL-4, using STAT4 (Phospho-Tyr693) Antibody. The lane on the right is blocked with the phospho peptide.)

STAT4, Polyclonal Antibody (Cat# AAA316581)

Full Name
STAT4 (Phospho-Tyr693) Antibody
Gene Names
STAT4; SLEB11
Reactivity
Human, Mouse, Rat
Applications
Immunoprecipitation, Immunohistochemistry, Western Blot
Purity
Purified from rabbit antiserum by affinity-chromatography using phospho peptide. The antibody against non-phospho peptide was removed by chromatography using corresponding non-phospho peptide.
Pricing
product-image-AAA316582_WB13.jpg WB (Western Blot) (Western blot analysis of lysates from HeLa cells, using STAT5A (Phospho-Ser780) Antibody. The lane on the right is blocked with the phospho peptide.)

STAT5A, Polyclonal Antibody (Cat# AAA316582)

Full Name
STAT5A (Phospho-Ser780) Antibody
Gene Names
STAT5A; MGF; STAT5
Reactivity
Human, Mouse, Rat
Applications
Immunoprecipitation, Immunohistochemistry, Western Blot
Purity
Purified from rabbit antiserum by affinity-chromatography using phospho peptide. The antibody against non-phospho peptide was removed by chromatography using corresponding non-phospho peptide.
Pricing
product-image-AAA316584_WB13.jpg WB (Western Blot) (Western blot analysis of lysates from HeLa cells treated with IL-4, using STAT6 (Phospho-Tyr641) Antibody. The lane on the right is blocked with the phospho peptide.)

STAT6, Polyclonal Antibody (Cat# AAA316584)

Full Name
STAT6 (Phospho-Tyr641) Antibody
Gene Names
STAT6; STAT6B; STAT6C; D12S1644; IL-4-STAT
Reactivity
Human, Mouse, Rat
Applications
Immunohistochemistry, Western Blot
Purity
Purified from rabbit antiserum by affinity-chromatography using phospho peptide. The antibody against non-phospho peptide was removed by chromatography using corresponding non-phospho peptide.
Pricing
product-image-AAA316586_WB13.jpg WB (Western Blot) (Western blot analysis of lysates from Jurkat cells treated with PMA 1ng/ml 15', using Stathmin 1 (Phospho-Ser24) Antibody. The lane on the right is blocked with the phospho peptide.)

Stathmin 1, Polyclonal Antibody (Cat# AAA316586)

Full Name
Stathmin 1 (Phospho-Ser24) Antibody
Gene Names
STMN1; Lag; SMN; OP18; PP17; PP19; PR22; LAP18; C1orf215
Reactivity
Human, Mouse, Rat
Applications
Immunohistochemistry, Western Blot
Purity
Purified from rabbit antiserum by affinity-chromatography using phospho peptide. The antibody against non-phospho peptide was removed by chromatography using corresponding non-phospho peptide.
Pricing
product-image-AAA316597_WB13.jpg WB (Western Blot) (Western blot analysis of lysates from A549 cells treated with UV 15', using CDC25A (Phospho-Ser178) Antibody. The lane on the right is blocked with the phospho peptide.)

CDC25A, Polyclonal Antibody (Cat# AAA316597)

Full Name
CDC25A (Phospho-Ser178) Antibody
Gene Names
CDC25A; CDC25A2
Reactivity
Human, Mouse, Rat
Applications
Immunohistochemistry, Western Blot
Purity
Purified from rabbit antiserum by affinity-chromatography using phospho peptide. The antibody against non-phospho peptide was removed by chromatography using corresponding non-phospho peptide.
Pricing
product-image-AAA316602_WB13.jpg WB (Western Blot) (Western blot analysis of lysates from Jurkat cells treated with PMA 125ng/ml 30', using Retinoblastoma (Phospho-Ser608) Antibody. The lane on the right is blocked with the phospho peptide.)

Retinoblastoma, Polyclonal Antibody (Cat# AAA316602)

Full Name
Retinoblastoma (Phospho-Ser608) Antibody
Gene Names
RB1; RB; pRb; OSRC; pp110; p105-Rb; PPP1R130
Reactivity
Human, Mouse, Rat
Applications
Immunohistochemistry, Western Blot
Purity
Purified from rabbit antiserum by affinity-chromatography using phospho peptide. The antibody against non-phospho peptide was removed by chromatography using corresponding non-phospho peptide.
Pricing
product-image-AAA316604_WB13.jpg WB (Western Blot) (Western blot analysis of lysates from COS7 cells treated with nocodazole 1ug/ml 16h, using STMN1 (Phospho-Ser62) Antibody. The lane on the right is blocked with the phospho peptide.)

STMN1, Polyclonal Antibody (Cat# AAA316604)

Full Name
STMN1 (Phospho-Ser62) Antibody
Gene Names
STMN1; Lag; SMN; OP18; PP17; PP19; PR22; LAP18; C1orf215
Reactivity
Human, Mouse, Rat
Applications
Immunohistochemistry, Western Blot
Purity
Purified from rabbit antiserum by affinity-chromatography using phospho peptide. The antibody against non-phospho peptide was removed by chromatography using corresponding non-phospho peptide.
Pricing
product-image-AAA316605_WB13.jpg WB (Western Blot) (Western blot analysis of lysates from mouse brain, using Trk A (Phospho-Tyr701) Antibody. The lane on the right is blocked with the phospho peptide.)

Trk A, Polyclonal Antibody (Cat# AAA316605)

Full Name
Trk A (Phospho-Tyr701) Antibody
Gene Names
NTRK1; MTC; TRK; TRK1; TRKA; Trk-A; p140-TrkA
Reactivity
Human, Mouse, Rat
Applications
Immunohistochemistry, Western Blot
Purity
Purified from rabbit antiserum by affinity-chromatography using phospho peptide. The antibody against non-phospho peptide was removed by chromatography using corresponding non-phospho peptide.
Pricing
product-image-AAA316610_WB13.jpg WB (Western Blot) (Western blot analysis of lysates from HT29 cells treated with heat shock, using CK-1 alpha (Phospho-Tyr294) Antibody. The lane on the right is blocked with the phospho peptide.)

CK-1 alpha, Polyclonal Antibody (Cat# AAA316610)

Full Name
CK-1 alpha (Phospho-Tyr294) Antibody
Gene Names
CSNK1A1; CK1; CK1a; CKIa; HLCDGP1; PRO2975; HEL-S-77p
Reactivity
Human, Mouse, Rat
Applications
Immunohistochemistry, Western Blot
Purity
Purified from rabbit antiserum by affinity-chromatography using phospho peptide. The antibody against non-phospho peptide was removed by chromatography using corresponding non-phospho peptide.
Pricing
product-image-AAA316616_WB13.jpg WB (Western Blot) (Western blot analysis of lysates from Jurkat cells treated with PMA 125ng/ml 30', using MAP3K7 (Phospho-Ser439) Antibody. The lane on the right is blocked with the phospho peptide.)

MAP3K7, Polyclonal Antibody (Cat# AAA316616)

Full Name
MAP3K7 (Phospho-Ser439) Antibody
Gene Names
MAP3K7; CSCF; FMD2; TAK1; MEKK7; TGF1a
Reactivity
Human, Mouse, Rat
Applications
Immunohistochemistry, Western Blot
Purity
Purified from rabbit antiserum by affinity-chromatography using phospho peptide. The antibody against non-phospho peptide was removed by chromatography using corresponding non-phospho peptide.
Pricing
product-image-AAA316623_WB13.jpg WB (Western Blot) (Western blot analysis of lysates from HepG2 cells treated with serum 20% 15', using OSR1 (Phospho-Thr185) Antibody. The lane on the right is blocked with the phospho peptide.)

OSR1, Polyclonal Antibody (Cat# AAA316623)

Full Name
OSR1 (Phospho-Thr185) Antibody
Gene Names
OXSR1; OSR1
Reactivity
Human, Mouse
Applications
Immunohistochemistry, Western Blot
Purity
Purified from rabbit antiserum by affinity-chromatography using phospho peptide. The antibody against non-phospho peptide was removed by chromatography using corresponding non-phospho peptide.
Pricing
product-image-AAA316626_WB13.jpg WB (Western Blot) (Western blot analysis of lysates from Jurkat cells treated with starved 24h, using PKR (Phospho-Thr258) Antibody. The lane on the right is blocked with the phospho peptide.)

PKR, Polyclonal Antibody (Cat# AAA316626)

Full Name
PKR (Phospho-Thr258) Antibody
Gene Names
EIF2AK2; PKR; PRKR; EIF2AK1; PPP1R83
Reactivity
Human
Applications
Immunohistochemistry, Western Blot
Purity
Purified from rabbit antiserum by affinity-chromatography using phospho peptide. The antibody against non-phospho peptide was removed by chromatography using corresponding non-phospho peptide.
Pricing
product-image-AAA316630_WB13.jpg WB (Western Blot) (Western blot analysis of lysates from HeLa cells treated with serum 20% 15', using Trk C (Phospho-Tyr516) Antibody. The lane on the right is blocked with the phospho peptide.)

Trk C, Polyclonal Antibody (Cat# AAA316630)

Full Name
Trk C (Phospho-Tyr516) Antibody
Gene Names
NTRK3; TRKC; GP145-TrkC; gp145(trkC)
Reactivity
Human, Mouse, Rat
Applications
Immunohistochemistry, Western Blot
Purity
Purified from rabbit antiserum by affinity-chromatography using phospho peptide. The antibody against non-phospho peptide was removed by chromatography using corresponding non-phospho peptide.
Pricing
product-image-AAA316631_WB13.jpg WB (Western Blot) (Western blot analysis of lysates from K562 cells treated with Na3VO4 0.3nM 40', using SLP-76 (Phospho-Tyr128) Antibody. The lane on the right is blocked with the phospho peptide.)

SLP-76, Polyclonal Antibody (Cat# AAA316631)

Full Name
SLP-76 (Phospho-Tyr128) Antibody
Gene Names
LCP2; SLP76; SLP-76
Reactivity
Human, Mouse, Rat
Applications
Immunohistochemistry, Western Blot
Purity
Purified from rabbit antiserum by affinity-chromatography using phospho peptide. The antibody against non-phospho peptide was removed by chromatography using corresponding non-phospho peptide.
Pricing
product-image-AAA316645_WB13.jpg WB (Western Blot) (Western blot analysis of lysates from Jurkat cells treated with TNF 20ng/ml 30' and Jurkat cells treated with UV 15', using CtBP1 (Phospho-Ser422) Antibody. The lane on the right is blocked with the phospho peptide.)

CtBP1, Polyclonal Antibody (Cat# AAA316645)

Full Name
CtBP1 (Phospho-Ser422) Antibody
Gene Names
CTBP1; BARS
Reactivity
Human, Mouse, Rat
Applications
Immunohistochemistry, Western Blot
Purity
Purified from rabbit antiserum by affinity-chromatography using phospho peptide. The antibody against non-phospho peptide was removed by chromatography using corresponding non-phospho peptide.
Pricing
product-image-AAA316647_WB13.jpg WB (Western Blot) (Western blot analysis of lysates from Jurkat cells treated with IFN 2500U/ML 30', using Gab2 (Phospho-Tyr643) Antibody. The lane on the right is blocked with the phospho peptide.)

Gab2, Polyclonal Antibody (Cat# AAA316647)

Full Name
Gab2 (Phospho-Tyr643) Antibody
Reactivity
Human, Mouse, Rat
Applications
Immunohistochemistry, Western Blot
Purity
Purified from rabbit antiserum by affinity-chromatography using phospho peptide. The antibody against non-phospho peptide was removed by chromatography using corresponding non-phospho peptide.
Pricing
product-image-AAA316648_WB13.jpg WB (Western Blot) (Western blot analysis of lysates from HepG2 cells treated with PMA 125ng/ml 30', using Gab2 (Phospho-Ser623) Antibody. The lane on the right is blocked with the phospho peptide.)

Gab2, Polyclonal Antibody (Cat# AAA316648)

Full Name
Gab2 (Phospho-Ser623) Antibody
Reactivity
Human, Mouse, Rat
Applications
Immunohistochemistry, Western Blot
Purity
Purified from rabbit antiserum by affinity-chromatography using phospho peptide. The antibody against non-phospho peptide was removed by chromatography using corresponding non-phospho peptide.
Pricing
product-image-AAA316649_WB13.jpg WB (Western Blot) (Western blot analysis of lysates from RAW264.7 cells treated with UV 15', using MAPKAPK2 (Phospho-Ser272) Antibody. The lane on the right is blocked with the phospho peptide.)

MAPKAPK2, Polyclonal Antibody (Cat# AAA316649)

Full Name
MAPKAPK2 (Phospho-Ser272) Antibody
Gene Names
MAPKAPK2; MK2; MK-2; MAPKAP-K2
Reactivity
Human, Mouse, Rat
Applications
Immunohistochemistry, Western Blot
Purity
Purified from rabbit antiserum by affinity-chromatography using phospho peptide. The antibody against non-phospho peptide was removed by chromatography using corresponding non-phospho peptide.
Pricing
product-image-AAA316650_WB13.jpg WB (Western Blot) (Western blot analysis of lysates from K562 cells treated with Na3VO4 0.3nM 40', using MAPKAPK5 (Phospho-Thr182) Antibody. The lane on the right is blocked with the phospho peptide.)

MAPKAPK5, Polyclonal Antibody (Cat# AAA316650)

Full Name
MAPKAPK5 (Phospho-Thr182) Antibody
Gene Names
MAPKAPK5; MK5; MK-5; PRAK; MAPKAP-K5
Reactivity
Human, Mouse
Applications
Immunohistochemistry, Western Blot
Purity
Purified from rabbit antiserum by affinity-chromatography using phospho peptide. The antibody against non-phospho peptide was removed by chromatography using corresponding non-phospho peptide.
Pricing
product-image-AAA316651_WB13.jpg WB (Western Blot) (Western blot analysis of lysates from HeLa cells treated with calyculinA 50ng/ml 30', using MDM4 (Phospho-Ser367) Antibody. The lane on the right is blocked with the phospho peptide.)

MDM4, Polyclonal Antibody (Cat# AAA316651)

Full Name
MDM4 (Phospho-Ser367) Antibody
Gene Names
MDM4; HDMX; MDMX; MRP1
Reactivity
Human, Mouse, Rat
Applications
Immunohistochemistry, Western Blot
Purity
Purified from rabbit antiserum by affinity-chromatography using phospho peptide. The antibody against non-phospho peptide was removed by chromatography using corresponding non-phospho peptide.
Pricing
product-image-AAA316653_WB13.jpg WB (Western Blot) (Western blot analysis of lysates from K562 cells treated with heat shock, using MKP-1/2 (Phospho-Ser296/318) Antibody. The lane on the right is blocked with the phospho peptide.)

MKP-1/2, Polyclonal Antibody (Cat# AAA316653)

Full Name
MKP-1/2 (Phospho-Ser296/318) Antibody
Gene Names
DUSP1; HVH1; MKP1; CL100; MKP-1; PTPN10
Reactivity
Human, Mouse, Rat
Applications
Immunohistochemistry, Western Blot
Purity
Purified from rabbit antiserum by affinity-chromatography using phospho peptide. The antibody against non-phospho peptide was removed by chromatography using corresponding non-phospho peptide.
Pricing
product-image-AAA316654_WB13.jpg WB (Western Blot) (Western blot analysis of lysates from COLO205 cells treated with PMA 125ng/ml 30', using Mnk1 (Phospho-Thr385) Antibody. The lane on the right is blocked with the phospho peptide.)

Mnk1, Polyclonal Antibody (Cat# AAA316654)

Full Name
Mnk1 (Phospho-Thr385) Antibody
Gene Names
MKNK1; MNK1
Reactivity
Human, Mouse, Rat
Applications
Immunohistochemistry, Western Blot
Purity
Purified from rabbit antiserum by affinity-chromatography using phospho peptide. The antibody against non-phospho peptide was removed by chromatography using corresponding non-phospho peptide.
Pricing
product-image-AAA316656_WB13.jpg WB (Western Blot) (Western blot analysis of lysates from rat brain, using NudC (Phospho-Ser326) Antibody. The lane on the right is blocked with the phospho peptide.)

NudC, Polyclonal Antibody (Cat# AAA316656)

Full Name
NudC (Phospho-Ser326) Antibody
Gene Names
NUDC; HNUDC; MNUDC; NPD011
Reactivity
Human, Mouse, Rat
Applications
Immunohistochemistry, Western Blot
Purity
Purified from rabbit antiserum by affinity-chromatography using phospho peptide. The antibody against non-phospho peptide was removed by chromatography using corresponding non-phospho peptide.
Pricing
product-image-AAA316658_WB13.jpg WB (Western Blot) (Western blot analysis of lysates from HepG2 cells treated with TNF 20ng/ml 5', using p47 phox (Phospho-Ser345) Antibody. The lane on the right is blocked with the phospho peptide.)

p47 phox, Polyclonal Antibody (Cat# AAA316658)

Full Name
p47 phox (Phospho-Ser345) Antibody
Gene Names
NCF1; NCF1A; NOXO2; p47phox; SH3PXD1A
Reactivity
Human
Applications
Immunohistochemistry, Western Blot
Purity
Purified from rabbit antiserum by affinity-chromatography using phospho peptide. The antibody against non-phospho peptide was removed by chromatography using corresponding non-phospho peptide.
Pricing
product-image-AAA316661_WB13.jpg WB (Western Blot) (Western blot analysis of lysates from Jurkat cells treated with TNF 20ng/ml 30', using SREBP-1 (Phospho-Ser439) Antibody. The lane on the right is blocked with the phospho peptide.)

SREBP-1, Polyclonal Antibody (Cat# AAA316661)

Full Name
SREBP-1 (Phospho-Ser439) Antibody
Gene Names
SREBF1; SREBP1; bHLHd1
Reactivity
Human, Rat
Applications
Immunohistochemistry, Western Blot
Purity
Purified from rabbit antiserum by affinity-chromatography using phospho peptide. The antibody against non-phospho peptide was removed by chromatography using corresponding non-phospho peptide.
Pricing
product-image-AAA316664_WB13.jpg WB (Western Blot) (Western blot analysis of lysates from RAW264.7 cells treated with TNF 20ng/ml 5', using TOP2A (Phospho-Ser1525) Antibody. The lane on the right is blocked with the phospho peptide.)

TOP2A, Polyclonal Antibody (Cat# AAA316664)

Full Name
TOP2A (Phospho-Ser1525) Antibody
Gene Names
TOP2A; TOP2; TP2A
Reactivity
Human, Mouse, Rat
Applications
Immunohistochemistry, Western Blot
Purity
Purified from rabbit antiserum by affinity-chromatography using phospho peptide. The antibody against non-phospho peptide was removed by chromatography using corresponding non-phospho peptide.
Pricing
product-image-AAA316421_WB13.jpg WB (Western Blot) (Western blot analysis of lysates from COS7 cells treated with H2O2 100uM 30', using RAD52 (Phospho-Tyr104) Antibody. The lane on the right is blocked with the phospho peptide.)

RAD52, Polyclonal Antibody (Cat# AAA316421)

Full Name
RAD52 (Phospho-Tyr104) Antibody
Reactivity
Human, Mouse
Applications
Immunohistochemistry, Western Blot
Purity
Purified from rabbit antiserum by affinity-chromatography using phospho peptide. The antibody against non-phospho peptide was removed by chromatography using corresponding non-phospho peptide.
Pricing
product-image-AAA316424_WB11.jpg WB (Western Blot) (Western blot analysis of lysates from HepG2 cells treated with nocodazole 1ug/ml 16h, using Adrenergic Receptor beta2 (Phospho-Ser346) Antibody. The lane on the right is blocked with the phospho peptide.)

Adrenergic Receptor beta2, Polyclonal Antibody (Cat# AAA316424)

Full Name
Adrenergic Receptor beta2 (Phospho-Ser346) Antibody
Gene Names
ADRB2; BAR; B2AR; ADRBR; ADRB2R; BETA2AR
Reactivity
Human
Applications
Immunofluorescence, Immunohistochemistry, Western Blot
Purity
Purified from rabbit antiserum by affinity-chromatography using phospho peptide. The antibody against non-phospho peptide was removed by chromatography using corresponding non-phospho peptide.
Pricing
product-image-AAA316427_WB11.jpg WB (Western Blot) (Western blot analysis of lysates from HeLa cells treated with IGF 100ng/ml 10' and HUVEC cells treated with EGF 200ng/ml 30', using FANCA (Phospho-Ser1149) Antibody. The lane on the right is blocked with the phospho peptide.)

FANCA, Polyclonal Antibody (Cat# AAA316427)

Full Name
FANCA (Phospho-Ser1149) Antibody
Gene Names
FANCA; FA; FA1; FAA; FAH; FA-H; FACA; FANCH
Reactivity
Human
Applications
Immunofluorescence, Immunohistochemistry, Western Blot
Purity
Purified from rabbit antiserum by affinity-chromatography using phospho peptide. The antibody against non-phospho peptide was removed by chromatography using corresponding non-phospho peptide.
Pricing

What Are Phospho Antibodies?


Protein phosphorylation is a process where a phosphate group is added to certain amino acid residues of a protein – usually serine (S), threonine (T), or tyrosine (Y) - by enzymes called kinases. This process is integral in controlling cellular signaling, cellular growth, and other biological functions.


Our catalog includes a wide range of phospho-specific antibodies that can accurately detect this important marker. They perform strongly in widely-used laboratory applications such as Western blot, flow cytometry, immunohistochemistry, and immunofluorescence microscopy. We value your trust in us and are committed to providing top-quality products and services. All of our antibodies are guaranteed to work for the applications and species indicated on our website & associated product pages.


What Are The Key Applications of Phospho Antibodies?


1. Western Blotting


One of the first steps a researcher can take in utilizing these phospho-specific antibodies, is to check if the antibody works using a technique referred to as “Western blot”. For those unfamiliar, Western Blot aids in showing whether the protein that the antibody recognizes is appearing at the correct/expected size. These phospho-specific antibodies should also be able to detect changes in the target protein’s phosphorylation (on/off state) when cells are stimulated in certain ways.


2. Staining of Fixed Cells (Immunocytochemistry)


Another routine use of these phospho-specific antibodies, is to test if the antibody is able to demonstrate similar performance when used on fixed cells (intact cells that have been preserved) as it did in the Western blot tests. It is an important aspect in many cases to confirm that the antibody works in actual intact cell samples. Ideally, the method used for cellular fixation should be the same as what is used in pathology labs (like using 10% formalin). To check if the antibody works well in tissue sections (FFPE), researchers will often test it on fixed cells that are processed similar to tissue samples.


3. Specificity Tests Using Peptides


In order to make sure that the antibody is only binding to the right target:


  • Laboratory technicians will mix the antibody with phospho-peptides (short segments of the protein containing the phosphate group modification).

  • If the antibody signal disappears, it is confirmation that it is binding to the correct phosphorylated location.

  • A more robust test is to use both the phosphorylated and non-phosphorylated (dephosphorylated) versions of the protein. The antibody should react only with the phosphorylated one.

  • Another method sometimes utilized is to treat the sample with an enzyme, such as alkaline phosphatase, that specifically removes phosphate groups. If the antibody signal disappears after this, it also confirms specificity.


4. Genetic Confirmation


As a final step, scientists can genetically manipulate the nucleotide sequence and alter the target protein by removing the exact site where phosphorylation happens. If the antibody no longer appears to detect the modified protein, it is strong evidence supporting the antibody being specific for that phosphorylated site.


Why Buy Phospho Antibodies Through Us?


  • The production laboratory adheres to strict and consistent protocols prior to releasing any of these phospho-specific antibodies:

  • Standard methods and proper controls in all tests to ensure high quality.

  • These antibodies are tested and validated in different cell types and species.

  • High quality control criterion to ensure each batch is consistent, so you will obtain reliable results every time.


FAQ


1. What Are Phospho-Specific Antibodies?


Phospho-specific antibodies are made to detect proteins only when they have a phosphate group linked to a specific amino acid residue. This empowers scientists understand if a protein is "turned on" or active, based on its phosphorylation state.


2. How to Detect Phosphorylated Proteins in a Western Blot?


To find out if a protein is phosphorylated using Western blot:


  • Use a phospho-specific antibody that binds only to the phosphorylated form of the protein.

  • You can also use a “regular” antibody for the same amino acid sequence of the protein that the phospho-specific antibody is binding to (but in this case, this antibody will not bind if there is a phosphate group present) in order to compare how much of it is phosphorylated versus how much is non-phosphorylated (or “total” protein, if the “normal” antibody’s epitopes are non-phospho-site-specific).


3. How to Choose the Best Antibody?


Here are some simple tips to help you pick the right antibody:


  • Know your target

  • Match your sample characteristics

  • Confirm the intended use is appropriate

  • Check “host” and “type”

  • Check the “quality” of the presented data/images

  • Appraise whether the available validation meets your needs


Submit a Question

Please complete the form below and a representative will contact you as soon as possible.

Request more Information

Please complete the form below and a representative will contact you as soon as possible.

Request a Manual

Please complete the form below and a representative will contact you as soon as possible.

Request a Quote

Please complete the form below and a representative will contact you as soon as possible.