Loading...

Skip to main content
Call us at +1-800-604-9114 for more information about our products or contact us online Need help? +1-800-604-9114 or contact us

Filters


Clonality

Type

Reactivity

Gene Name

Isotype

Host

Application

Clone

Phospho Antibodies

Phospho-specific antibodies’ typical purpose is to enable researchers to detect changes in proteins. They will exclusively bind to the amino acid sequence on a protein that has been phosphorylated (which is both a physical & chemical change) and do not bind to the same amino acid sequence on said protein if it lacks said phosphorylation. This aids in being able to clearly see and understand the data produced from this particular protein modification.


Viewing 150-200 of 5298 product results


product-image-AAA31437_IHC6.jpg IHC (Immunohistchemistry) (At 1/100 staining Mouse brain tissue by IHC-P. The sample was formaldehyde fixed and a heat mediated antigen retrieval step in citrate buffer was performed. The sample was then blocked and incubated with the primary antibody at 4 degree C overnight. An HRP conjugated anti-Rabbit antibody was used as the secondary antibody.)

USF1, Polyclonal Antibody (Cat# AAA31437)

No reviews yet
Full Name
Phospho-USF1 (Thr153) Antibody
Gene Names
USF1; UEF; FCHL; MLTF; FCHL1; MLTFI; HYPLIP1; bHLHb11
Reactivity
Human, Mouse, Rat
Predicted Reactivity: Pig (100%), Bovine (100%), Rabbit (100%), Dog (100%)
Applications
Western Blot, Immunohistochemistry, Peptide ELISA
Purity
The antibody is from purified rabbit serum by affinity purification via sequential chromatography on phospho-peptide and non-phospho-peptide affinity columns.
Pricing
product-image-AAA31420_IHC8.jpg IHC (Immunohistochemistry) (At 1/100 staining Mouse heart tissue by IHC-P. The sample was formaldehyde fixed and a heat mediated antigen retrieval step in citrate buffer was performed. The sample was then blocked and incubated with the primary antibody at 4 degree C overnight. An HRP conjugated anti-Rabbit antibody was used as the secondary antibody.)

AR, Polyclonal Antibody (Cat# AAA31420)

No reviews yet
Full Name
Phospho-AR (Tyr535) Antibody
Gene Names
AR; KD; AIS; TFM; DHTR; SBMA; HYSP1; NR3C4; SMAX1; HUMARA
Reactivity
Human, Mouse, Rat, Monkey
Predicted Reactivity: Pig (92%), Bovine (85%), Sheep (85%), Rabbit (92%), Dog (92%)
Applications
Western Blot, Immunohistochemistry, Peptide ELISA
Purity
The antibody is from purified rabbit serum by affinity purification via sequential chromatography on phospho-peptide and non-phospho-peptide affinity columns.
Pricing
product-image-AAA28930_WB7.jpg WB (Western Blot) (Dilution: Western Blot: 1/500 - 1/2000. Immunohistochemistry: 1/100 - 1/300. Immunofluorescence: 1/200 - 1/1000. ELISA: 1/20000. Not yet tested in other applications.)

IRS-1, Polyclonal Antibody (Cat# AAA28930)

No reviews yet
Full Name
IRS-1 (phospho Ser636) Polyclonal Antibody
Gene Names
IRS1; HIRS-1
Reactivity
Human, Mouse, Rat
Applications
Western Blot, Immunohistochemistry, Immunofluorescence
Pricing
product-image-AAA31284_IHC6.jpg IHC (Immunohistchemistry) (At 1/100 staining Mouse heart tissue by IHC-P. The sample was formaldehyde fixed and a heat mediated antigen retrieval step in citrate buffer was performed. The sample was then blocked and incubated with the primary antibody at 4 degree C overnight. An HRP conjugated anti-Rabbit antibody was used as the secondary antibody.)

OTUB1, Polyclonal Antibody (Cat# AAA31284)

No reviews yet
Full Name
Phospho-OTUB1 (Ser16) Antibody
Gene Names
OTUB1; OTB1; OTU1; HSPC263
Reactivity
Human, Mouse, Rat
Applications
Immunohistochemistry, Peptide ELISA
Purity
The antibody is from purified rabbit serum by affinity purification via sequential chromatography on phospho-peptide and non-phospho-peptide affinity columns.
Pricing
product-image-AAA31425_APP7.jpg Application Data (At 25 degree C. The primary antibody was diluted at 1/200 and incubated with the sample for 1 hour at 37 degree C. An Alexa Fluor 594 conjugated goat anti-rabbit IgG (H+L) Ab, diluted at 1/600, was used as the secondary antibody.)

LIMK1, Polyclonal Antibody (Cat# AAA31425)

No reviews yet
Full Name
Phospho-LIMK1 (Ser310) Antibody
Gene Names
LIMK1; LIMK; LIMK-1
Reactivity
Human, Mouse, Rat
Predicted Reactivity: Pig (100%), Bovine (100%), Horse (100%), Sheep (100%), Rabbit (100%), Dog (88%), Chicken (100%)
Applications
Western Blot, Immunohistochemistry, Immunofluorescence, Immunocytochemistry, Peptide ELISA
Purity
The antibody is from purified rabbit serum by affinity purification via sequential chromatography on phospho-peptide and non-phospho-peptide affinity columns.
Pricing
product-image-AAA28951_WB7.jpg WB (Western Blot) (Dilution: IF: 1:50-200 Western Blot: 1/500 - 1/2000. Immunohistochemistry: 1/100 - 1/300. ELISA: 1/5000. Not yet tested in other applications.)

MYPT1, Polyclonal Antibody (Cat# AAA28951)

No reviews yet
Full Name
MYPT1 (phospho Thr853) Polyclonal Antibody
Gene Names
PPP1R12A; MBS; M130; MYPT1
Reactivity
Human, Mouse, Rat
Applications
Western Blot, Immunohistochemistry, Immunofluorescence
Pricing
product-image-AAA31383_IHC7.jpg IHC (Immunohistochemistry) (At 1/200 staining Human kidney tissue sections by IHC-P. The tissue was formaldehyde fixed and a heat mediated antigen retrieval step in citrate buffer was performed. The tissue was then blocked and incubated with the antibody for 1.5 hours at 22 degree C. An HRP conjugated goat anti-rabbit antibody was used as the secondary antibody.)

RhoA, Polyclonal Antibody (Cat# AAA31383)

No reviews yet
Full Name
Phospho-RhoA (Ser188) Antibody
Gene Names
RHOA; ARHA; ARH12; RHO12; RHOH12
Reactivity
Human, Mouse, Rat
Predicted Reactivity: Pig (100%), Bovine (100%), Sheep (100%), Dog (100%)
Applications
Western Blot, Immunohistochemistry, Peptide ELISA
Purity
The antibody is from purified rabbit serum by affinity purification via sequential chromatography on phospho-peptide and non-phospho-peptide affinity columns.
Pricing
product-image-AAA31442_IHC7.jpg IHC (Immunohistochemistry) (At 1/100 staining Human gastric cancer by IHC-P. The sample was formaldehyde fixed and a heat mediated antigen retrieval step in citrate buffer was performed. The sample was then blocked and incubated with the primary antibody at 4 degree C overnight. An HRP conjugated anti-Rabbit antibody was used as the secondary antibody.)

Abi 1, Polyclonal Antibody (Cat# AAA31442)

No reviews yet
Full Name
Phospho-Abi 1 (Tyr213) Antibody
Gene Names
ABI1; E3B1; ABI-1; ABLBP4; NAP1BP; SSH3BP; SSH3BP1
Reactivity
Human, Mouse, Rat
Predicted Reactivity: Pig (100%), Bovine (100%), Horse (100%), Sheep (100%), Rabbit (100%), Dog (100%), Chicken (100%), Xenopus (100%)
Applications
Western Blot, Immunohistochemistry, Peptide ELISA
Purity
The antibody is from purified rabbit serum by affinity purification via sequential chromatography on phospho-peptide and non-phospho-peptide affinity columns.
Pricing
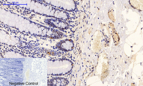
product-image-AAA31455_IHC7.jpg IHC (Immunohistochemistry) (At 1/100 staining Human colorectal cancer and adjacent normal tissues by IHC-P. The sample was formaldehyde fixed and a heat mediated antigen retrieval step in citrate buffer was performed. The sample was then blocked and incubated with the primary antibody at 4 degree C overnight. An HRP conjugated anti-Rabbit antibody was used as the secondary antibody.)

Bamacan, Polyclonal Antibody (Cat# AAA31455)

No reviews yet
Full Name
Phospho-Bamacan (Ser1083) Antibody
Gene Names
SMC3; BAM; BMH; HCAP; CDLS3; CSPG6; SMC3L1
Reactivity
Human, Mouse, Rat
Predicted Reactivity: Pig (100%), Horse (100%), Sheep (100%), Rabbit (100%), Dog (100%), Chicken (100%)
Applications
Western Blot, Immunohistochemistry, Peptide ELISA
Purity
The antibody is from purified rabbit serum by affinity purification via sequential chromatography on phospho-peptide and non-phospho-peptide affinity columns.
Pricing
product-image-AAA28945_IHC7.jpg IHC (Immunohistochemistry) (Dilution: IF: 1:50-200 Western Blot: 1/500 - 1/2000. Immunohistochemistry: 1/100 - 1/300. ELISA: 1/5000. Not yet tested in other applications.)

p38, Polyclonal Antibody (Cat# AAA28945)

No reviews yet
Full Name
p38 (phospho Thr180/Y182) Polyclonal Antibody
Gene Names
MAPK14; RK; p38; CSBP; EXIP; Mxi2; CSBP1; CSBP2; CSPB1; PRKM14; PRKM15; SAPK2A; p38ALPHA
Reactivity
Human, Mouse, Rat, Gp
Applications
Western Blot, Immunohistochemistry, Immunofluorescence
Pricing
product-image-AAA28952_IHC7.jpg IHC (Immunohistochemistry) (Dilution: IF: 1:50-200 Western Blot: 1/500 - 1/2000. Immunohistochemistry: 1/100 - 1/300. ELISA: 1/5000. Not yet tested in other applications.)

p38, Polyclonal Antibody (Cat# AAA28952)

No reviews yet
Full Name
p38 (phospho Tyr323) Polyclonal Antibody
Gene Names
MAPK14; RK; p38; CSBP; EXIP; Mxi2; CSBP1; CSBP2; CSPB1; PRKM14; PRKM15; SAPK2A; p38ALPHA
Reactivity
Human, Mouse, Rat
Applications
Western Blot, Immunohistochemistry, Immunofluorescence
Pricing
product-image-AAA27785_WB7.png WB (Western Blot) (Western blot analysis of extracts from serum-starved Hela treated with TPA (100 nM, 15 min), using Phospho-CREB (Ser133) rabbit monoclonal Antibody (#AAA27785) at 1:10000, 1:100000, 1:500000 dilution.(Validation Experiment))

CREB, Monoclonal Recombinant Antibody (Cat# AAA27785)

No reviews yet
Full Name
Phospho-CREB (Ser133) Antibody, Rabbit MAb
Reactivity
Human
Applications
Western Blot, Immunohistochemistry
Purity
Protein A
Pricing
product-image-AAA28949_WB7.jpg WB (Western Blot) (Dilution: IF: 1:50-200 Western Blot: 1/500 - 1/2000. Immunohistochemistry: 1/100 - 1/300. ELISA: 1/40000. Not yet tested in other applications.)

Smad3, Polyclonal Antibody (Cat# AAA28949)

No reviews yet
Full Name
Smad3 (phospho Ser425) Polyclonal Antibody
Gene Names
SMAD3; LDS3; LDS1C; MADH3; JV15-2; HSPC193; HsT17436
Reactivity
Human, Mouse, Rat
Applications
Western Blot, Immunohistochemistry, Immunofluorescence
Pricing
product-image-AAA29767_FCM6.jpg FCM (Flow Cytometry) (Flow cytometric analysis of MCF-7 cells with Phospho-Erk1 (T202)+Erk2 (T185) antibody at 1/50 dilution (red) compared with an unlabelled control (cells without incubation with primary antibody; black). Alexa Fluor 488-conjugated goat anti rabbit IgG was used as secondary antibody)

ERK1+Erk2, Monoclonal Antibody (Cat# AAA29767)

No reviews yet
Full Name
ERK1 (Phospho-T202)+Erk2 (Phospho-T185) Antibody
Gene Names
MAPK3; ERK1; ERT2; ERK-1; PRKM3; P44ERK1; P44MAPK; HS44KDAP; HUMKER1A; p44-ERK1; p44-MAPK
Reactivity
Human
Applications
Western Blot, Immunocytochemistry, Immunofluorescence, Immunohistochemistry, Immunoprecipitation, Flow Cytometry
Purity
ProA affinity purified
Pricing
product-image-AAA28950_IHC7.jpg IHC (Immunohistochemistry) (Dilution: IF: 1:50-200 Western Blot: 1/500 - 1/2000. Immunohistochemistry: 1/100 - 1/300. ELISA: 1/20000. Not yet tested in other applications.)

Akt, Polyclonal Antibody (Cat# AAA28950)

No reviews yet
Full Name
Akt (phospho Thr308) Polyclonal Antibody
Gene Names
AKT1; AKT; PKB; RAC; CWS6; PRKBA; PKB-ALPHA; RAC-ALPHA
Reactivity
Human, Mouse, Rat
Applications
Western Blot, Immunohistochemistry, Immunofluorescence
Pricing
product-image-AAA29769_ICC10.jpg ICC (Immunocytochemistry) (ICC staining Phospho-Rb (S807) in CRC cells (green). Cells were fixed in paraformaldehyde, permeabilised with 0.25% Triton X100/PBS.)

RB, Monoclonal Antibody (Cat# AAA29769)

No reviews yet
Full Name
Rb (Phospho-S807) Antibody
Gene Names
RB1; RB; pRb; OSRC; pp110; p105-Rb
Reactivity
Human, Mouse, Rat
Applications
Western Blot, Immunocytochemistry, Immunofluorescence, Immunohistochemistry, Immunoprecipitation
Purity
ProA affinity purified
Pricing
product-image-AAA29787_FCM9.jpg FCM (Flow Cytometry) (Flow cytometric analysis of Hela cells with Phospho-POLR2A (S5) antibody at 1/50 dilution (red) compared with an unlabelled control (cells without incubation with primary antibody; black). Alexa Fluor 488-conjugated goat anti rabbit IgG was used as the secondary antibody.)

POLR2A, Monoclonal Antibody (Cat# AAA29787)

No reviews yet
Full Name
POLR2A (Phospho-S5) Antibody
Gene Names
POLR2A; RPB1; RPO2; POLR2; POLRA; RPBh1; RPOL2; RpIILS; hsRPB1; hRPB220
Reactivity
Human, Mouse, Rat
Applications
Western Blot, Immunoprecipitation, Immunocytochemistry, Immunofluorescence, Immunohistochemistry, Flow Cytometry
Purity
ProA affinity purified
Pricing
product-image-AAA31409_APP6.jpg Application Data (At 25 degree C. The primary antibody was diluted at 1/200 and incubated with the sample for 1 hour at 37 degree C. An Alexa Fluor 594 conjugated goat anti-rabbit IgG (H+L) Ab, diluted at 1/600, was used as the secondary antibody.)

PKC delta, Polyclonal Antibody (Cat# AAA31409)

No reviews yet
Full Name
Phospho-PKC delta (Ser664) Antibody
Gene Names
PRKCD; MAY1; PKCD; nPKC-delta
Reactivity
Human, Mouse, Rat
Predicted Reactivity: Pig (82%), Bovine (91%), Horse (91%), Sheep (91%), Dog (91%), Chicken (91%), Xenopus (82%)
Applications
Western Blot, Immunohistochemistry, Immunofluorescence, Immunocytochemistry, Peptide ELISA
Purity
The antibody is from purified rabbit serum by affinity purification via sequential chromatography on phospho-peptide and non-phospho-peptide affinity columns.
Pricing
product-image-AAA31457_APP11.jpg Application Data (At 25 degree C. Samples were then incubated with primary Ab(At 37 degree C. An AlexaFluor594 conjugated goat anti-rabbit IgG(H+L) Ab(Red) and an AlexaFluor488 conjugated goat anti-mouse IgG(H+L) Ab(Green) were used as the secondary antibody.The nuclear counter stain is DAPI(blue).)

INCENP, Polyclonal Antibody (Cat# AAA31457)

No reviews yet
Full Name
Phospho-INCENP (Thr59) Antibody
Reactivity
Human, Mouse, Rat
Predicted Reactivity: Pig (100%), Zebrafish (100%), Horse (100%), Sheep (89%), Rabbit (100%), Dog (100%), Chicken (100%)
Applications
Western Blot, Immunohistochemistry, Immunofluorescence, Immunocytochemistry, Peptide ELISA
Purity
The antibody is from purified rabbit serum by affinity purification via sequential chromatography on phospho-peptide and non-phospho-peptide affinity columns.
Pricing
product-image-AAA31285_APP11.jpg Application Data (At 25 degree C. Samples were then incubated with primary Ab(At 37 degree C. An AlexaFluor594 conjugated goat anti-rabbit IgG(H+L) Ab(Red) and an AlexaFluor488 conjugated goat anti-mouse IgG(H+L) Ab(Green) were used as the secondary antibody.The nuclear counter stain is DAPI (blue).)

TOPBP1, Polyclonal Antibody (Cat# AAA31285)

No reviews yet
Full Name
Phospho-TOPBP1 (Ser1138) Antibody
Gene Names
TOPBP1; TOP2BP1
Reactivity
Human, Mouse, Rat
Applications
Immunohistochemistry, Immunofluorescence, Immunocytochemistry, Peptide ELISA
Purity
The antibody is from purified rabbit serum by affinity purification via sequential chromatography on phospho-peptide and non-phospho-peptide affinity columns.
Pricing
product-image-AAA31392_APP6.jpg Application Data (At 25 degree C. Samples were then incubated with primary Ab(At 37 degree C. An AlexaFluor594 conjugated goat anti-rabbit IgG(H+L) Ab(Red) and an AlexaFluor488 conjugated goat anti-mouse IgG(H+L) Ab(Green) were used as the secondary antibody.The nuclear counter stain is DAPI(blue).)

MARK2, Polyclonal Antibody (Cat# AAA31392)

No reviews yet
Full Name
Phospho-MARK2 (Thr596) Antibody
Gene Names
MARK2; EMK1; EMK-1; PAR-1; Par1b; Par-1b
Reactivity
Human, Mouse, Rat
Predicted Reactivity: Pig (100%), Bovine (100%), Horse (100%), Sheep (100%), Rabbit (100%), Dog (100%), Xenopus (100%)
Applications
Western Blot, Immunohistochemistry, Immunofluorescence, Immunocytochemistry, Peptide ELISA
Purity
The antibody is from purified rabbit serum by affinity purification via sequential chromatography on phospho-peptide and non-phospho-peptide affinity columns.
Pricing
product-image-AAA31421_IHC6.jpg IHC (Immunohistchemistry) (At 1/200 staining Human kidney tissue sections by IHC-P. The tissue was formaldehyde fixed and a heat mediated antigen retrieval step in citrate buffer was performed. The tissue was then blocked and incubated with the antibody for 1.5 hours at 22 degree C. An HRP conjugated goat anti-rabbit antibody was used as the secondary antibody.)

BAG3, Polyclonal Antibody (Cat# AAA31421)

No reviews yet
Full Name
Phospho-BAG3 (Tyr457) Antibody
Gene Names
BAG3; BIS; BAG-3; CAIR-1
Reactivity
Human, Mouse, Rat
Predicted Reactivity: Pig (100%), Bovine (100%), Horse (100%), Sheep (100%), Rabbit (100%), Dog (100%)
Applications
Western Blot, Immunohistochemistry, Peptide ELISA
Purity
The antibody is from purified rabbit serum by affinity purification via sequential chromatography on phospho-peptide and non-phospho-peptide affinity columns.
Pricing
product-image-AAA31359_IHC7.jpg IHC (Immunohistochemistry) (At 1/100 staining Rat heart tissue by IHC-P. The sample was formaldehyde fixed and a heat mediated antigen retrieval step in citrate buffer was performed. The sample was then blocked and incubated with the primary antibody at 4 degree C overnight. An HRP conjugated anti-Rabbit antibody was used as the secondary antibody.)

ULK1, Polyclonal Antibody (Cat# AAA31359)

No reviews yet
Full Name
Phospho-ULK1 (Ser757)[Ser758] Antibody
Gene Names
ULK1; ATG1; ATG1A; UNC51; hATG1; Unc51.1
Reactivity
Human, Mouse, Rat
Predicted Reactivity: Pig (100%), Bovine (100%), Horse (100%), Sheep (100%), Rabbit (100%), Dog (100%), Xenopus (88%)
Applications
Western Blot, Immunohistochemistry, Peptide ELISA
Purity
The antibody is from purified rabbit serum by affinity purification via sequential chromatography on phospho-peptide and non-phospho-peptide affinity columns.
Pricing
product-image-AAA31322_APP6.jpg Application Data (At 25 degree C. Samples were then incubated with primary Ab(At 37 degree C. An AlexaFluor594 conjugated goat anti-rabbit IgG(H+L) Ab(Red) and an AlexaFluor488 conjugated goat anti-mouse IgG(H+L) Ab(Green) were used as the secondary antibody.The nuclear counter stain is DAPI (blue).)

Histone H3, Polyclonal Antibody (Cat# AAA31322)

No reviews yet
Full Name
Phospho-Histone H3 (Thr3) Antibody
Gene Names
HIST1H3A; H3/A; H3FA
Reactivity
Human, Mouse, Rat
Applications
Immunohistochemistry, Immunofluorescence, Immunocytochemistry, Peptide ELISA
Purity
The antibody is from purified rabbit serum by affinity purification via sequential chromatography on phospho-peptide and non-phospho-peptide affinity columns.
Pricing
product-image-AAA31288_APP7.jpg Application Data (At 25 degree C. Samples were then incubated with primary Ab(At 37 degree C. An AlexaFluor594 conjugated goat anti-rabbit IgG(H+L) Ab(Red) and an AlexaFluor488 conjugated goat anti-mouse IgG(H+L) Ab(Green) were used as the secondary antibody.The nuclear counter stain is DAPI (blue).)

PFKFB3, Polyclonal Antibody (Cat# AAA31288)

No reviews yet
Full Name
Phospho-PFKFB3 (Ser461) Antibody
Gene Names
PFKFB3; PFK2; IPFK2
Reactivity
Human, Rat
Applications
Western Blot, Immunohistochemistry, Immunofluorescence, Immunocytochemistry, Peptide ELISA
Purity
The antibody is from purified rabbit serum by affinity purification via sequential chromatography on phospho-peptide and non-phospho-peptide affinity columns.
Pricing
product-image-AAA29770_ICC8.jpg ICC (Immunocytochemistry) (ICC staining Phospho-Smad5 (S463/465) in HepG2 cells (green). The nuclear counter stain is DAPI (blue). Cells were fixed in paraformaldehyde, permeabilised with 0.25% Triton X100/PBS.)

SMAD5, Monoclonal Antibody (Cat# AAA29770)

No reviews yet
Full Name
SMAD5 (Phospho-S463/465) Antibody
Gene Names
SMAD5; DWFC; JV5-1; MADH5
Reactivity
Human, Mouse, Rat, Zebrafish
Applications
Western Blot, Immunocytochemistry, Immunofluorescence, Immunohistochemistry, Immunoprecipitation, Flow Cytometry
Purity
ProA affinity purified
Pricing
product-image-AAA28957_IHC7.jpg IHC (Immunohistochemistry) (Dilution: IF: 1:50-200 Immunohistochemistry: 1/100 - 1/300. ELISA: 1/40000. Not yet tested in other applications.)

PERK, Polyclonal Antibody (Cat# AAA28957)

No reviews yet
Full Name
PERK (phospho Thr981) Polyclonal Antibody
Gene Names
EIF2AK3; PEK; WRS; PERK
Reactivity
Human, Mouse, Rat
Applications
Western Blot, Immunohistochemistry, Immunofluorescence
Pricing
product-image-AAA29772_ICC6.jpg ICC (Immunocytochemistry) (ICC staining Phospho-GSK3 (alpha+beta) (Y216+Y279) in MCF-7 cells (green). The nuclear counter stain is DAPI (blue). Cells were fixed in paraformaldehyde, permeabilised with 0.25% Triton X100/PBS.)

GSK3 (alpha+beta), Monoclonal Antibody (Cat# AAA29772)

No reviews yet
Full Name
GSK3 (alpha+beta) (Phospho-Y216+Y279) Antibody
Reactivity
Human, Mouse, Rat
Applications
Western Blot, Immunocytochemistry, Immunohistochemistry, Immunoprecipitation
Purity
ProA affinity purified
Pricing
product-image-AAA31324_IHC18.jpg IHC (Immunohistochemistry) (At 1/100 staining Human gastric cancer and adjacent normal tissues by IHC-P. The sample was formaldehyde fixed and a heat mediated antigen retrieval step in citrate buffer was performed. The sample was then blocked and incubated with the primary antibody at 4 degree C overnight. An HRP conjugated anti-Rabbit antibody was used as the secondary antibody.)

AIRE, Polyclonal Antibody (Cat# AAA31324)

No reviews yet
Full Name
Phospho-AIRE (Ser156) Antibody
Gene Names
AIRE; APS1; APSI; PGA1; AIRE1; APECED
Reactivity
Human, Mouse, Rat
Applications
Immunohistochemistry, Peptide ELISA
Purity
The antibody is from purified rabbit serum by affinity purification via sequential chromatography on phospho-peptide and non-phospho-peptide affinity columns.
Pricing
product-image-AAA23773_WB6.jpg WB (Western Blot) (Detection of human phospho KAP-1 (S824) by western blot. Samples: Whole cell lysate (10 ug) from HEK293T cells treated with 100 uM etoposide (+) or mock treated (-). Antibody: Affinity purified rabbit anti-phospho KAP-1 (S824) antibody (AAA23773 lot 6) used for WB at 0.04 ug/ml. Detection: Chemiluminescence with an exposure time of 10 seconds. Lower Panel: Rabbit anti-KAP1 antibody .)

KAP-1, Polyclonal Antibody (Cat# AAA23773)

No reviews yet
Full Name
Rabbit anti-Phospho KAP-1 (S824) Antibody, Affinity Purified
Gene Names
TRIM28; KAP1; TF1B; RNF96; TIF1B; PPP1R157
Reactivity
Human, Mouse
Applications
WB, IP, IHC, ICC, ICC-IF
Purity
Antigen Affinity Purified
Pricing
product-image-AAA29766_FCM8.jpg FCM (Flow Cytometry) (Flow cytometric analysis of Hela cells with Phospho-eIF-2a (S51) antibody at 1/50 dilution (blue) compared with an unlabelled control (cells without incubation with primary antibody; red). Alexa Fluor 488-conjugated goat anti rabbit IgG was used as the secondary antibody.)

eIF-2a, Monoclonal Antibody (Cat# AAA29766)

No reviews yet
Full Name
eIF-2a (Phospho-S51) Antibody
Gene Names
EIF2A; CDA02; EIF-2A; MST089; MSTP004; MSTP089
Reactivity
Human, Mouse, Rat
Applications
Western Blot, Immunohistochemistry, Flow Cytometry, Immunocytochemistry, Immunofluorescence, Immunohistochemistry, Immunoprecipitation, Flow Cytometry
Purity
ProA affinity purified
Pricing
product-image-AAA31388_APP6.jpg Application Data (At 25 degree C. The primary antibody was diluted at 1/200 and incubated with the sample for 1 hour at 37 degree C. An Alexa Fluor 594 conjugated goat anti-rabbit IgG (H+L) Ab, diluted at 1/600, was used as the secondary antibody.)

p27 Kip1, Polyclonal Antibody (Cat# AAA31388)

No reviews yet
Full Name
Phospho-p27 Kip1 (Ser178) Antibody
Gene Names
CDKN1B; KIP1; MEN4; CDKN4; MEN1B; P27KIP1
Reactivity
Human, Mouse, Rat
Predicted Reactivity: Bovine (100%), Sheep (100%), Rabbit (100%), Dog (100%)
Applications
Western Blot, Immunohistochemistry, Immunofluorescence, Immunocytochemistry, Peptide ELISA
Purity
The antibody is from purified rabbit serum by affinity purification via sequential chromatography on phospho-peptide and non-phospho-peptide affinity columns.
Pricing
product-image-AAA31423_IHC7.jpg IHC (Immunohistochemistry) (At 1/200 staining Human kidney tissue sections by IHC-P. The tissue was formaldehyde fixed and a heat mediated antigen retrieval step in citrate buffer was performed. The tissue was then blocked and incubated with the antibody for 1.5 hours at 22 degree C. An HRP conjugated goat anti-rabbit antibody was used as the secondary antibody.)

CtBP1/2, Polyclonal Antibody (Cat# AAA31423)

No reviews yet
Full Name
Phospho-CtBP1/2 (Ser158/Ser164) Antibody
Gene Names
CTBP1; BARS
Reactivity
Human, Mouse, Rat
Predicted Reactivity: Pig (100%), Zebrafish (82%), Bovine (100%), Horse (100%), Dog (100%), Chicken (100%), Xenopus (100%)
Applications
Western Blot, Immunohistochemistry, Peptide ELISA
Purity
The antibody is from purified rabbit serum by affinity purification via sequential chromatography on phospho-peptide and non-phospho-peptide affinity columns.
Pricing
product-image-AAA31385_APP8.jpg Application Data (At 25 degree C. Samples were then incubated with primary Ab(At 37 degree C. An AlexaFluor594 conjugated goat anti-rabbit IgG(H+L) Ab(Red) and an AlexaFluor488 conjugated goat anti-mouse IgG(H+L) Ab(Green) were used as the secondary antibody.The nuclear counter stain is DAPI(blue).)

TLK1, Polyclonal Antibody (Cat# AAA31385)

No reviews yet
Full Name
Phospho-TLK1 (Ser741) Antibody
Gene Names
TLK1; PKU-beta
Reactivity
Human, Mouse, Rat
Predicted Reactivity: Pig (100%), Bovine (100%), Horse (100%), Sheep (100%), Rabbit (100%), Dog (100%), Chicken (100%)
Applications
Western Blot, Immunohistochemistry, Immunofluorescence, Immunocytochemistry, Peptide ELISA
Purity
The antibody is from purified rabbit serum by affinity purification via sequential chromatography on phospho-peptide and non-phospho-peptide affinity columns.
Pricing
product-image-AAA31438_APP6.jpg Application Data (At 25 degree C. Samples were then incubated with primary Ab(At 37 degree C. An AlexaFluor594 conjugated goat anti-rabbit IgG(H+L) Ab(Red) and an AlexaFluor488 conjugated goat anti-mouse IgG(H+L) Ab(Green) were used as the secondary antibody.The nuclear counter stain is DAPI(blue).)

USP28, Polyclonal Antibody (Cat# AAA31438)

No reviews yet
Full Name
Phospho-USP28 (Ser714) Antibody
Reactivity
Human, Mouse, Monkey
Applications
Western Blot, Immunohistochemistry, Immunofluorescence, Immunocytochemistry, Peptide ELISA
Purity
The antibody is from purified rabbit serum by affinity purification via sequential chromatography on phospho-peptide and non-phospho-peptide affinity columns.
Pricing
product-image-AAA31431_APP10.jpg Application Data (At 25 degree C. The primary antibody was diluted at 1/200 and incubated with the sample for 1 hour at 37 degree C. An Alexa Fluor 594 conjugated goat anti-rabbit IgG (H+L) antibody(Red), diluted at 1/600, was used as secondary antibody.)

RAD17, Polyclonal Antibody (Cat# AAA31431)

No reviews yet
Full Name
Phospho-RAD17 (Ser646) Antibody
Gene Names
RAD17; CCYC; R24L; RAD24; HRAD17; RAD17SP
Reactivity
Human, Mouse, Rat
Predicted Reactivity: Pig (100%), Bovine (100%), Horse (100%), Sheep (100%)
Applications
Western Blot, Immunohistochemistry, Immunofluorescence, Immunocytochemistry, Peptide ELISA
Purity
The antibody is from purified rabbit serum by affinity purification via sequential chromatography on phospho-peptide and non-phospho-peptide affinity columns.
Pricing
product-image-AAA28946_IHC6.jpg IHC (Immunohistchemistry) (Dilution: Western Blot: 1/500 - 1/2000. Immunohistochemistry: 1/100 - 1/300. ELISA: 1/5000. Not yet tested in other applications.)

HBP1, Polyclonal Antibody (Cat# AAA28946)

No reviews yet
Full Name
HBP1 (phospho Ser402) Polyclonal Antibody
Reactivity
Human
Applications
Western Blot, Immunohistochemistry
Pricing
product-image-AAA31464_APP7.jpg Application Data (At 25 degree C. Samples were then incubated with primary Ab(At 37 degree C. An AlexaFluor594 conjugated goat anti-rabbit IgG(H+L) Ab(Red) and an AlexaFluor488 conjugated goat anti-mouse IgG(H+L) Ab(Green) were used as the secondary antibody.The nuclear counter stain is DAPI(blue).)

PDHA1/2, Polyclonal Antibody (Cat# AAA31464)

No reviews yet
Full Name
Phospho-PDHA1/2 (Ser293/Ser291) Antibody
Gene Names
PDHA1; PDHA; PHE1A; PDHCE1A
Reactivity
Human, Mouse, Rat
Predicted Reactivity: Pig (100%), Bovine (100%), Horse (100%), Sheep (100%), Rabbit (100%), Chicken (100%), Xenopus (100%)
Applications
Western Blot, Immunohistochemistry, Immunofluorescence, Immunocytochemistry, Peptide ELISA
Purity
The antibody is from purified rabbit serum by affinity purification via sequential chromatography on phospho-peptide and non-phospho-peptide affinity columns.
Pricing
product-image-AAA25090_WB7.jpg WB (Western Blot) (Western blot analysis of ENO3 over-expressed 293 cell line, cotransfected with ENO3 Validated Chimera RNAi (Lane 2) or non-transfected control (Lane 1). Blot probed with ENO3 monoclonal antibody. GAPDH (36.1kD) used as specificity and loading control.)

ENO3, Monoclonal Antibody (Cat# AAA25090)

No reviews yet
Full Name
ENO3 (Enolase 3, 2-phospho-D-glycerate Hydro-lyase, beta-Enolase, Muscle-specific Enolase, MSE, Skeletal Muscle Enolase) (FITC)
Gene Names
ENO3; MSE; GSD13
Reactivity
Human
Applications
Immunofluorescence, Immunohistochemistry, Western Blot
Purity
Purified by Protein A Affinity Chromatography.
Pricing
product-image-AAA29782_ICC6.jpg ICC (Immunocytochemistry) (ICC staining phospho-Estrogen Receptor alpha (S118) in HUVEC cells (green). The nuclear counter stain is DAPI (blue). Cells were fixed in paraformaldehyde, permeabilised with 0.25% Triton X100/PBS.)

Estrogen alpha, Monoclonal Antibody (Cat# AAA29782)

No reviews yet
Full Name
Estrogen Receptor alpha (Phospho-S118) Antibody
Gene Names
ESR1; ER; ESR; Era; ESRA; NR3A1
Reactivity
Human, Mouse, Rat
Applications
Western Blot, Immunocytochemistry, Immunofluorescence, Immunohistochemistry
Purity
ProA affinity purified
Pricing
product-image-AAA31365_IHC10.jpg IHC (Immunohistochemistry) (At 1/100 staining Human kidney cancer by IHC-P. The sample was formaldehyde fixed and a heat mediated antigen retrieval step in citrate buffer was performed. The sample was then blocked and incubated with the primary antibody at 4 degree C overnight. An HRP conjugated anti-Rabbit antibody was used as the secondary antibody.)

IRS1, Polyclonal Antibody (Cat# AAA31365)

No reviews yet
Full Name
Phospho-IRS1 (Ser616) Antibody
Gene Names
IRS1; HIRS-1
Reactivity
Human, Mouse, Rat
Predicted Reactivity: Pig (100%), Zebrafish (83%), Bovine (100%), Horse (100%), Sheep (100%), Rabbit (100%), Dog (100%)
Applications
Western Blot, Immunohistochemistry, Peptide ELISA
Purity
The antibody is from purified rabbit serum by affinity purification via sequential chromatography on phospho-peptide and non-phospho-peptide affinity columns.
Pricing
product-image-AAA31305_IHC16.jpg IHC (Immunohistochemistry) (At 1/100 staining Human gastric cancer and adjacent normal tissues by IHC-P. The sample was formaldehyde fixed and a heat mediated antigen retrieval step in citrate buffer was performed. The sample was then blocked and incubated with the primary antibody at 4 degree C overnight. An HRP conjugated anti-Rabbit antibody was used as the secondary antibody.)

Moesin/Ezrin/Radixin, Polyclonal Antibody (Cat# AAA31305)

No reviews yet
Full Name
Phospho-Moesin/Ezrin/Radixin (Thr558) Antibody
Gene Names
EZR; CVL; CVIL; VIL2
Reactivity
Human, Mouse, Rat
Applications
Immunohistochemistry, Peptide ELISA
Purity
The antibody is from purified rabbit serum by affinity purification via sequential chromatography on phospho-peptide and non-phospho-peptide affinity columns.
Pricing
product-image-AAA31411_IHC17.jpg IHC (Immunohistochemistry) (At 1/200 staining Human tonsil tissue sections by IHC-P. The tissue was formaldehyde fixed and a heat mediated antigen retrieval step in citrate buffer was performed. The tissue was then blocked and incubated with the antibody for 1.5 hours at 22 degree C. An HRP conjugated goat anti-rabbit antibody was used as the secondary antibody.)

TBK1, Polyclonal Antibody (Cat# AAA31411)

No reviews yet
Full Name
Phospho-TBK1 (Ser172) Antibody
Gene Names
TBK1; NAK; T2K
Reactivity
Human, Mouse, Rat
Predicted Reactivity: Pig (100%), Zebrafish (100%), Bovine (100%), Horse (100%), Sheep (100%), Rabbit (100%), Dog (100%), Chicken (100%), Xenopus (100%)
Applications
Western Blot, Immunohistochemistry, Peptide ELISA
Purity
The antibody is from purified rabbit serum by affinity purification via sequential chromatography on phospho-peptide and non-phospho-peptide affinity columns.
Pricing
product-image-AAA31426_IHC15.jpg IHC (Immunohistochemistry) (At 1/100 staining Human colorectal cancer by IHC-P. The sample was formaldehyde fixed and a heat mediated antigen retrieval step in citrate buffer was performed. The sample was then blocked and incubated with the primary antibody at 4 degree C overnight. An HRP conjugated anti-Rabbit antibody was used as the secondary antibody.)

CD227/MUC1, Polyclonal Antibody (Cat# AAA31426)

No reviews yet
Full Name
Phospho-CD227/MUC1 (Ser1227) Antibody
Gene Names
MUC1; EMA; PEM; PUM; KL-6; MAM6; PEMT; CD227; H23AG; MUC-1; CA 15-3; MUC-1/X; MUC1/ZD; MUC-1/SEC
Reactivity
Human, Mouse, Rat
Applications
Western Blot, Immunohistochemistry, Peptide ELISA
Purity
The antibody is from purified rabbit serum by affinity purification via sequential chromatography on phospho-peptide and non-phospho-peptide affinity columns.
Pricing
product-image-AAA31401_APP6.jpg Application Data (At 25 degree C. The primary antibody was diluted at 1/200 and incubated with the sample for 1 hour at 37 degree C. An Alexa Fluor 594 conjugated goat anti-rabbit IgG (H+L) Ab, diluted at 1/600, was used as the secondary antibody.)

Retinoblastoma, Polyclonal Antibody (Cat# AAA31401)

No reviews yet
Full Name
Phospho-Retinoblastoma (Ser788) Antibody
Gene Names
RB1; RB; pRb; OSRC; pp110; p105-Rb
Reactivity
Human, Mouse, Rat
Predicted Reactivity: Pig (100%), Bovine (100%), Horse (100%), Sheep (100%), Rabbit (100%), Dog (100%), Chicken (92%), Xenopus (92%)
Applications
Western Blot, Immunohistochemistry, Immunofluorescence, Immunocytochemistry, Peptide ELISA
Purity
The antibody is from purified rabbit serum by affinity purification via sequential chromatography on phospho-peptide and non-phospho-peptide affinity columns.
Pricing
product-image-AAA31304_APP7.jpg Application Data (At 25 degree C. Samples were then incubated with primary Ab(At 37 degree C. An AlexaFluor594 conjugated goat anti-rabbit IgG(H+L) Ab(Red) and an AlexaFluor488 conjugated goat anti-mouse IgG(H+L) Ab(Green) were used as the secondary antibody.The nuclear counter stain is DAPI (blue).)

RPA32/RPA2, Polyclonal Antibody (Cat# AAA31304)

No reviews yet
Full Name
Phospho-RPA32/RPA2 (Ser4/Ser8) Antibody
Gene Names
RPA2; REPA2; RPA32
Reactivity
Human, Mouse, Rat
Applications
Immunohistochemistry, Immunofluorescence, Immunocytochemistry, Peptide ELISA
Purity
The antibody is from purified rabbit serum by affinity purification via sequential chromatography on phospho-peptide and non-phospho-peptide affinity columns.
Pricing
product-image-AAA29781_ICC8.jpg ICC (Immunocytochemistry) (ICC staining Phospho-MEK1 (S218/S222) in NIH/3T3 cells (green). The nuclear counter stain is DAPI (blue). Cells were fixed in paraformaldehyde, permeabilised with 0.25% Triton X100/PBS.)

MEK1, Monoclonal Antibody (Cat# AAA29781)

No reviews yet
Full Name
MEK1 (Phospho-S218/S222) Antibody
Gene Names
MAP2K1; MEK1; MKK1; MAPKK1; PRKMK1
Reactivity
Human, Mouse, Rat
Applications
Western Blot, Immunocytochemistry, Immunofluorescence, Immunohistochemistry, Immunoprecipitation
Purity
ProA affinity purified
Pricing
product-image-AAA31430_APP11.jpg Application Data (At 25 degree C. Samples were then incubated with primary Ab(At 37 degree C. An AlexaFluor594 conjugated goat anti-rabbit IgG(H+L) Ab(Red) and an AlexaFluor488 conjugated goat anti-mouse IgG(H+L) Ab(Green) were used as the secondary antibody.The nuclear counter stain is DAPI(blue).)

PDX1, Polyclonal Antibody (Cat# AAA31430)

No reviews yet
Full Name
Phospho-PDX1 (Ser66) Antibody
Gene Names
PDX1; GSF; IPF1; IUF1; IDX-1; MODY4; PDX-1; STF-1
Reactivity
Human, Mouse, Rat
Predicted Reactivity: Pig (88%), Bovine (100%), Horse (100%), Sheep (100%), Rabbit (100%), Dog (100%), Chicken (88%), Xenopus (100%)
Applications
Western Blot, Immunohistochemistry, Immunofluorescence, Immunocytochemistry, Peptide ELISA
Purity
The antibody is from purified rabbit serum by affinity purification via sequential chromatography on phospho-peptide and non-phospho-peptide affinity columns.
Pricing
product-image-AAA17959_IHC.jpg IHC (Immunohistochemistry) (P-peptide-+ Immunohistochemistry analysis of paraffin-embedded human breast carcinoma tissue using PAK2 (Phospho-Ser197) antibody.)

PAK2, Antibody (Cat# AAA17959)

No reviews yet
Full Name
PAK2 (Phospho-Ser197) Antibody
Gene Names
PAK2; PAK65; PAKgamma
Reactivity
Human, Mouse, Rat
Applications
Immunohistochemistry
Purity
Affinity-purified fromrabbit antiserum by affinity-chromatography using epitope-specific phosphopeptide. The antibody against non-phosphopeptide was removed by chromatography using non-phosphopeptide corresponding to the phosphorylation site.
Pricing
product-image-AAA29777_ICC6.jpg ICC (Immunocytochemistry) (ICC staining Phospho-RSK1 p90 (T359+S363) in 293 cells (green). The nuclear counter stain is DAPI (blue). Cells were fixed in paraformaldehyde, permeabilised with 0.25% Triton X100/PBS.)

RSK1, Monoclonal Antibody (Cat# AAA29777)

No reviews yet
Full Name
RSK1 p90 (Phospho-T359+S363) Antibody
Gene Names
RPS6KA1; RSK; HU-1; RSK1; MAPKAPK1A
Reactivity
Human, Mouse, Rat
Applications
Western Blot, Immunocytochemistry, Immunofluorescence, Immunohistochemistry, Immunoprecipitation
Purity
ProA affinity purified
Pricing

What Are Phospho Antibodies?


Protein phosphorylation is a process where a phosphate group is added to certain amino acid residues of a protein – usually serine (S), threonine (T), or tyrosine (Y) - by enzymes called kinases. This process is integral in controlling cellular signaling, cellular growth, and other biological functions.


Our catalog includes a wide range of phospho-specific antibodies that can accurately detect this important marker. They perform strongly in widely-used laboratory applications such as Western blot, flow cytometry, immunohistochemistry, and immunofluorescence microscopy. We value your trust in us and are committed to providing top-quality products and services. All of our antibodies are guaranteed to work for the applications and species indicated on our website & associated product pages.


What Are The Key Applications of Phospho Antibodies?


1. Western Blotting


One of the first steps a researcher can take in utilizing these phospho-specific antibodies, is to check if the antibody works using a technique referred to as “Western blot”. For those unfamiliar, Western Blot aids in showing whether the protein that the antibody recognizes is appearing at the correct/expected size. These phospho-specific antibodies should also be able to detect changes in the target protein’s phosphorylation (on/off state) when cells are stimulated in certain ways.


2. Staining of Fixed Cells (Immunocytochemistry)


Another routine use of these phospho-specific antibodies, is to test if the antibody is able to demonstrate similar performance when used on fixed cells (intact cells that have been preserved) as it did in the Western blot tests. It is an important aspect in many cases to confirm that the antibody works in actual intact cell samples. Ideally, the method used for cellular fixation should be the same as what is used in pathology labs (like using 10% formalin). To check if the antibody works well in tissue sections (FFPE), researchers will often test it on fixed cells that are processed similar to tissue samples.


3. Specificity Tests Using Peptides


In order to make sure that the antibody is only binding to the right target:


  • Laboratory technicians will mix the antibody with phospho-peptides (short segments of the protein containing the phosphate group modification).

  • If the antibody signal disappears, it is confirmation that it is binding to the correct phosphorylated location.

  • A more robust test is to use both the phosphorylated and non-phosphorylated (dephosphorylated) versions of the protein. The antibody should react only with the phosphorylated one.

  • Another method sometimes utilized is to treat the sample with an enzyme, such as alkaline phosphatase, that specifically removes phosphate groups. If the antibody signal disappears after this, it also confirms specificity.


4. Genetic Confirmation


As a final step, scientists can genetically manipulate the nucleotide sequence and alter the target protein by removing the exact site where phosphorylation happens. If the antibody no longer appears to detect the modified protein, it is strong evidence supporting the antibody being specific for that phosphorylated site.


Why Buy Phospho Antibodies Through Us?


  • The production laboratory adheres to strict and consistent protocols prior to releasing any of these phospho-specific antibodies:

  • Standard methods and proper controls in all tests to ensure high quality.

  • These antibodies are tested and validated in different cell types and species.

  • High quality control criterion to ensure each batch is consistent, so you will obtain reliable results every time.


FAQ


1. What Are Phospho-Specific Antibodies?


Phospho-specific antibodies are made to detect proteins only when they have a phosphate group linked to a specific amino acid residue. This empowers scientists understand if a protein is "turned on" or active, based on its phosphorylation state.


2. How to Detect Phosphorylated Proteins in a Western Blot?


To find out if a protein is phosphorylated using Western blot:


  • Use a phospho-specific antibody that binds only to the phosphorylated form of the protein.

  • You can also use a “regular” antibody for the same amino acid sequence of the protein that the phospho-specific antibody is binding to (but in this case, this antibody will not bind if there is a phosphate group present) in order to compare how much of it is phosphorylated versus how much is non-phosphorylated (or “total” protein, if the “normal” antibody’s epitopes are non-phospho-site-specific).


3. How to Choose the Best Antibody?


Here are some simple tips to help you pick the right antibody:


  • Know your target

  • Match your sample characteristics

  • Confirm the intended use is appropriate

  • Check “host” and “type”

  • Check the “quality” of the presented data/images

  • Appraise whether the available validation meets your needs


Submit a Question

Please complete the form below and a representative will contact you as soon as possible.

Request more Information

Please complete the form below and a representative will contact you as soon as possible.

Request a Manual

Please complete the form below and a representative will contact you as soon as possible.

Request a Quote

Please complete the form below and a representative will contact you as soon as possible.