Loading...

Skip to main content
Call us at +1-800-604-9114 for more information about our products or contact us online Need help? +1-800-604-9114 or contact us

Filters


Clonality

Type

Reactivity

Gene Name

Isotype

Host

Application

Clone

Phospho Antibodies

Phospho-specific antibodies’ typical purpose is to enable researchers to detect changes in proteins. They will exclusively bind to the amino acid sequence on a protein that has been phosphorylated (which is both a physical & chemical change) and do not bind to the same amino acid sequence on said protein if it lacks said phosphorylation. This aids in being able to clearly see and understand the data produced from this particular protein modification.


Viewing 200-250 of 5298 product results


product-image-AAA31406_APP6.jpg Application Data (At 25 degree C. The primary antibody was diluted at 1/200 and incubated with the sample for 1 hour at 37 degree C. An Alexa Fluor 594 conjugated goat anti-rabbit IgG (H+L) Ab, diluted at 1/600, was used as the secondary antibody.)

Mnk1, Polyclonal Antibody (Cat# AAA31406)

No reviews yet
Full Name
Phospho-Mnk1 (Thr250) Antibody
Gene Names
MKNK1; MNK1
Reactivity
Human, Mouse, Rat
Predicted Reactivity: Pig (100%), Zebrafish (100%), Bovine (100%), Horse (100%), Sheep (100%), Rabbit (100%), Dog (100%), Chicken (100%), Xenopus (100%)
Applications
Western Blot, Immunohistochemistry, Immunofluorescence, Immunocytochemistry, Peptide ELISA
Purity
The antibody is from purified rabbit serum by affinity purification via sequential chromatography on phospho-peptide and non-phospho-peptide affinity columns.
Pricing
product-image-AAA25679_WB7.jpg WB (Western Blot) (Western blot analysis of ENO3 over-expressed 293 cell line, cotransfected with ENO3 Validated Chimera RNAi (Lane 2) or non-transfected control (Lane 1). Blot probed with ENO3 monoclonal antibody. GAPDH (36.1kD) used as specificity and loading control.)

ENO3, Monoclonal Antibody (Cat# AAA25679)

No reviews yet
Full Name
ENO3 (Enolase 3, 2-phospho-D-glycerate Hydro-lyase, beta-Enolase, Muscle-specific Enolase, MSE, Skeletal Muscle Enolase) (PE)
Gene Names
ENO3; MSE; GSD13
Reactivity
Human
Applications
Immunofluorescence, Immunohistochemistry, Western Blot
Purity
Purified by Protein A Affinity Chromatography.
Pricing
product-image-AAA31445_APP7.jpg Application Data (At 25 degree C. Samples were then incubated with primary Ab(At 37 degree C. An AlexaFluor594 conjugated goat anti-rabbit IgG(H+L) Ab(Red) and an AlexaFluor488 conjugated goat anti-mouse IgG(H+L) Ab(Green) were used as the secondary antibody.The nuclear counter stain is DAPI(blue).)

CDK5, Polyclonal Antibody (Cat# AAA31445)

No reviews yet
Full Name
Phospho-CDK5 (Ser159) Antibody
Gene Names
CDK5; PSSALRE
Reactivity
Human, Mouse, Rat, Monkey
Predicted Reactivity: Zebrafish (100%), Bovine (100%), Horse (100%), Sheep (100%), Rabbit (100%), Dog (100%), Chicken (100%), Xenopus (100%)
Applications
Western Blot, Immunohistochemistry, Immunofluorescence, Immunocytochemistry, Peptide ELISA
Purity
The antibody is from purified rabbit serum by affinity purification via sequential chromatography on phospho-peptide and non-phospho-peptide affinity columns.
Pricing
product-image-AAA31328_APP6.jpg Application Data (At 25 degree C. Samples were then incubated with primary Ab(At 37 degree C. An AlexaFluor594 conjugated goat anti-rabbit IgG(H+L) Ab(Red) and an AlexaFluor488 conjugated goat anti-mouse IgG(H+L) Ab(Green) were used as the secondary antibody.The nuclear counter stain is DAPI (blue).)

MCM2, Polyclonal Antibody (Cat# AAA31328)

No reviews yet
Full Name
Phospho-MCM2 (Ser108) Antibody
Gene Names
MCM2; BM28; CCNL1; CDCL1; cdc19; D3S3194; MITOTIN
Reactivity
Human, Mouse, Rat
Applications
Western Blot, Immunohistochemistry, Immunofluorescence, Immunocytochemistry, Peptide ELISA
Purity
The antibody is from purified rabbit serum by affinity purification via sequential chromatography on phospho-peptide and non-phospho-peptide affinity columns.
Pricing
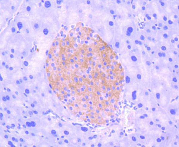
product-image-AAA31462_IHC6.jpg IHC (Immunohistchemistry) (At 1/100 staining Mouse liver tissue by IHC-P. The sample was formaldehyde fixed and a heat mediated antigen retrieval step in citrate buffer was performed. The sample was then blocked and incubated with the primary antibody at 4 degree C overnight. An HRP conjugated anti-Rabbit antibody was used as the secondary antibody.)

NDEL1, Polyclonal Antibody (Cat# AAA31462)

No reviews yet
Full Name
Phospho-NDEL1 (Thr219) Antibody
Gene Names
NDEL1; EOPA; NDE2; NUDEL; MITAP1; NDE1L1
Reactivity
Human, Mouse, Rat
Predicted Reactivity: Pig (100%), Bovine (100%), Horse (100%), Sheep (100%), Rabbit (100%), Dog (100%), Chicken (100%), Xenopus (100%)
Applications
Western Blot, Immunohistochemistry, Peptide ELISA
Purity
The antibody is from purified rabbit serum by affinity purification via sequential chromatography on phospho-peptide and non-phospho-peptide affinity columns.
Pricing
product-image-AAA31360_APP6.jpg Application Data (At 25 degree C. Samples were then incubated with primary Ab(At 37 degree C. An AlexaFluor594 conjugated goat anti-rabbit IgG(H+L) Ab(Red) and an AlexaFluor488 conjugated goat anti-mouse IgG(H+L) Ab(Green) were used as the secondary antibody.The nuclear counter stain is DAPI(blue).)

Bcl-2, Polyclonal Antibody (Cat# AAA31360)

No reviews yet
Full Name
Phospho-Bcl-2 (Thr56) Antibody
Gene Names
BCL2; Bcl-2; PPP1R50
Reactivity
Human, Mouse, Rat
Predicted Reactivity: Pig (86%), Bovine (83%)
Applications
Western Blot, Immunohistochemistry, Immunofluorescence, Immunocytochemistry, Peptide ELISA
Purity
The antibody is from purified rabbit serum by affinity purification via sequential chromatography on phospho-peptide and non-phospho-peptide affinity columns.
Pricing
product-image-AAA31366_IHC7.jpg IHC (Immunohistochemistry) (At 1/100 staining Mouse testis tissue by IHC-P. The sample was formaldehyde fixed and a heat mediated antigen retrieval step in citrate buffer was performed. The sample was then blocked and incubated with the primary antibody at 4 degree C overnight. An HRP conjugated anti-Rabbit antibody was used as the secondary antibody.)

IRS1, Polyclonal Antibody (Cat# AAA31366)

No reviews yet
Full Name
Phospho-IRS1 (Tyr896) Antibody
Gene Names
IRS1; HIRS-1
Reactivity
Human, Mouse, Rat
Predicted Reactivity: Pig (100%), Zebrafish (100%), Bovine (100%), Horse (100%), Sheep (100%), Rabbit (100%), Dog (100%)
Applications
Western Blot, Immunohistochemistry, Peptide ELISA
Purity
The antibody is from purified rabbit serum by affinity purification via sequential chromatography on phospho-peptide and non-phospho-peptide affinity columns.
Pricing
product-image-AAA29783_ICC7.jpg ICC (Immunocytochemistry) (ICC staining phospho -TrkB (Y817) in SH-SY-5Y cells (green). The nuclear counter stain is DAPI (blue). Cells were fixed in paraformaldehyde, permeabilised with 0.25% Triton X100/PBS.)

TrkB, Monoclonal Antibody (Cat# AAA29783)

No reviews yet
Full Name
TrkB (Phospho-Y817) Antibody
Gene Names
NTRK2; TRKB; trk-B; GP145-TrkB
Reactivity
Human, Mouse, Rat
Applications
Western Blot, Immunocytochemistry, Immunofluorescence, Immunohistochemistry, Immunoprecipitation
Purity
ProA affinity purified
Pricing
product-image-AAA31161_WB7.jpg WB (Western Blot) (Western blot analysis of Phospho-MOB1A (Tyr26) in lysates of 293 IFN 2500U/ml 30', using Phospho-MOB1A (Tyr26) Antibody.)

MOB1A, Polyclonal Antibody (Cat# AAA31161)

No reviews yet
Full Name
Phospho-MOB1A (Tyr26) Antibody
Gene Names
MOB1B; MATS2; MOB4A; MOBKL1A
Reactivity
Human, Mouse, Rat
Predicted: Bovine, Horse, Sheep, Rabbit, Dog, Xenopus
Applications
Western Blot, Immunohistochemistry, Peptide ELISA
Purity
Purified rabbit serum by affinity purification via sequential chromatography on phospho- and non-phospho-peptide affinity columns.
Pricing
product-image-AAA28937_IHC7.jpg IHC (Immunohistochemistry) (Dilution: WB 1:500-2000, IF 1:50-300, IHC 1:50-300 IHC 1:50-300)

p38, Polyclonal Antibody (Cat# AAA28937)

No reviews yet
Full Name
p38 (phospho Thr180) Polyclonal Antibody
Gene Names
MAPK14; RK; p38; CSBP; EXIP; Mxi2; CSBP1; CSBP2; CSPB1; PRKM14; PRKM15; SAPK2A; p38ALPHA
Reactivity
Human, Mouse, Rat, Monkey
Applications
Western Blot, Immunohistochemistry, Immunofluorescence
Pricing
product-image-AAA31402_IHC8.jpg IHC (Immunohistochemistry) (At 1/100 staining Human gastric cancer and adjacent normal tissues by IHC-P. The sample was formaldehyde fixed and a heat mediated antigen retrieval step in citrate buffer was performed. The sample was then blocked and incubated with the primary antibody at 4 degree C overnight. An HRP conjugated anti-Rabbit antibody was used as the secondary antibody.)

CAMKK1/2, Polyclonal Antibody (Cat# AAA31402)

No reviews yet
Full Name
Phospho-CAMKK1/2 (Ser458/Ser495) Antibody
Gene Names
CAMKK1; CAMKKA
Reactivity
Human, Mouse, Rat
Predicted Reactivity: Pig (100%), Bovine (100%), Sheep (100%), Rabbit (100%), Dog (100%), Chicken (100%), Xenopus (100%)
Applications
Western Blot, Immunohistochemistry, Peptide ELISA
Purity
The antibody is from purified rabbit serum by affinity purification via sequential chromatography on phospho-peptide and non-phospho-peptide affinity columns.
Pricing
product-image-AAA31404_APP6.jpg Application Data (At 25 degree C. The primary antibody was diluted at 1/200 and incubated with the sample for 1 hour at 37 degree C. An Alexa Fluor 594 conjugated goat anti-rabbit IgG (H+L) antibody(Red), diluted at 1/600, was used as secondary antibody.)

JAK3, Polyclonal Antibody (Cat# AAA31404)

No reviews yet
Full Name
Phospho-JAK3 (Tyr904) Antibody
Gene Names
JAK3; JAKL; LJAK; JAK-3; L-JAK; JAK3_HUMAN
Reactivity
Human, Mouse, Rat
Predicted Reactivity: Bovine (100%), Sheep (100%), Dog (100%)
Applications
Western Blot, Immunohistochemistry, Immunofluorescence, Immunocytochemistry, Peptide ELISA
Purity
The antibody is from purified rabbit serum by affinity purification via sequential chromatography on phospho-peptide and non-phospho-peptide affinity columns.
Pricing
product-image-AAA31289_IHC20.jpg IHC (Immunohistochemistry) (At 1/100 staining Human prostate cancer and adjacent normal tissues by IHC-P. The sample was formaldehyde fixed and a heat mediated antigen retrieval step in citrate buffer was performed. The sample was then blocked and incubated with the primary antibody at 4 degree C overnight. An HRP conjugated anti-Rabbit antibody was used as the secondary antibody.)

EEF1A2, Polyclonal Antibody (Cat# AAA31289)

No reviews yet
Full Name
Phospho-EEF1A2 (Ser358) Antibody
Gene Names
EEF1A2; HS1; STN; EF1A; STNL; EEF1AL; EF-1-alpha-2
Reactivity
Human, Mouse, Rat
Applications
Immunohistochemistry, Peptide ELISA
Purity
The antibody is from purified rabbit serum by affinity purification via sequential chromatography on phospho-peptide and non-phospho-peptide affinity columns.
Pricing
product-image-AAA31467_IHC6.jpg IHC (Immunohistchemistry) (At 1/100 staining Human prostate cancer and adjacent normal tissues by IHC-P. The sample was formaldehyde fixed and a heat mediated antigen retrieval step in citrate buffer was performed. The sample was then blocked and incubated with the primary antibody at 4 degree C overnight. An HRP conjugated anti-Rabbit antibody was used as the secondary antibody.)

TOPBP1, Polyclonal Antibody (Cat# AAA31467)

No reviews yet
Full Name
Phospho-TOPBP1 (Ser1159) Antibody
Gene Names
TOPBP1; TOP2BP1
Reactivity
Human, Mouse, Rat
Predicted Reactivity: Pig (100%), Zebrafish (80%), Bovine (100%), Horse (100%), Sheep (100%), Rabbit (100%), Dog (100%), Chicken (80%), Xenopus (80%)
Applications
Western Blot, Immunohistochemistry, Peptide ELISA
Purity
The antibody is from purified rabbit serum by affinity purification via sequential chromatography on phospho-peptide and non-phospho-peptide affinity columns.
Pricing
product-image-AAA31302_APP9.jpg Application Data (At 25 degree C. Samples were then incubated with primary Ab(At 37 degree C. An AlexaFluor594 conjugated goat anti-rabbit IgG(H+L) Ab(Red) and an AlexaFluor488 conjugated goat anti-mouse IgG(H+L) Ab(Green) were used as the secondary antibody.The nuclear counter stain is DAPI (blue).)

eIF4B, Polyclonal Antibody (Cat# AAA31302)

No reviews yet
Full Name
Phospho-eIF4B (Ser504) Antibody
Gene Names
EIF4B; EIF-4B; PRO1843
Reactivity
Human, Mouse, Rat
Applications
Western Blot, Immunohistochemistry, Immunofluorescence, Immunocytochemistry, Peptide ELISA
Purity
The antibody is from purified rabbit serum by affinity purification via sequential chromatography on phospho-peptide and non-phospho-peptide affinity columns.
Pricing
product-image-AAA31456_IHC7.jpg IHC (Immunohistochemistry) (At 1/100 staining Human esophageal cancer and adjacent normal tissues by IHC-P. The sample was formaldehyde fixed and a heat mediated antigen retrieval step in citrate buffer was performed. The sample was then blocked and incubated with the primary antibody at 4 degree C overnight. An HRP conjugated anti-Rabbit antibody was used as the secondary antibody.)

EIF2S2, Polyclonal Antibody (Cat# AAA31456)

No reviews yet
Full Name
Phospho-EIF2S2 (Ser2) Antibody
Gene Names
EIF2S2; EIF2; EIF2B; PPP1R67; EIF2beta; eIF-2-beta
Reactivity
Human, Mouse, Rat
Predicted Reactivity: Pig (100%), Zebrafish (100%), Bovine (100%), Horse (100%), Sheep (83%), Rabbit (100%), Dog (83%), Xenopus (100%)
Applications
Western Blot, Immunohistochemistry, Peptide ELISA
Purity
The antibody is from purified rabbit serum by affinity purification via sequential chromatography on phospho-peptide and non-phospho-peptide affinity columns.
Pricing
product-image-AAA29779_ICC7.jpg ICC (Immunocytochemistry) (ICC staining Phospho-eIF4E (S209) in 293 cells (green). The nuclear counter stain is DAPI (blue). Cells were fixed in paraformaldehyde, permeabilised with 0.25% Triton X100/PBS.)

eIF4E, Monoclonal Antibody (Cat# AAA29779)

No reviews yet
Full Name
eIF4E (Phospho-S209) Antibody
Gene Names
EIF4E; CBP; EIF4F; AUTS19; EIF4E1; EIF4EL1
Reactivity
Human, Mouse, Rat
Applications
Western Blot, Immunocytochemistry, Immunofluorescence, Immunohistochemistry, Immunoprecipitation
Purity
ProA affinity purified
Pricing
product-image-AAA31387_APP7.jpg Application Data (At 25 degree C. The primary antibody was diluted at 1/200 and incubated with the sample for 1 hour at 37 degree C. An Alexa Fluor 594 conjugated goat anti-rabbit IgG (H+L) Ab, diluted at 1/600, was used as the secondary antibody.)

p27 Kip1, Polyclonal Antibody (Cat# AAA31387)

No reviews yet
Full Name
Phospho-p27 Kip1 (Thr157) Antibody
Gene Names
CDKN1B; KIP1; MEN4; CDKN4; MEN1B; P27KIP1
Reactivity
Human, Mouse, Rat
Predicted Reactivity: Bovine (89%), Sheep (89%), Rabbit (100%), Dog (100%), Chicken (89%)
Applications
Western Blot, Immunohistochemistry, Immunofluorescence, Immunocytochemistry, Peptide ELISA
Purity
The antibody is from purified rabbit serum by affinity purification via sequential chromatography on phospho-peptide and non-phospho-peptide affinity columns.
Pricing
product-image-AAA31318_APP18.jpg Application Data (At 25 degree C. Samples were then incubated with primary Ab(At 37 degree C. An AlexaFluor594 conjugated goat anti-rabbit IgG(H+L) Ab(Red) and an AlexaFluor488 conjugated goat anti-mouse IgG(H+L) Ab(Green) were used as the secondary antibody.The nuclear counter stain is DAPI (blue).)

JIP1, Polyclonal Antibody (Cat# AAA31318)

No reviews yet
Full Name
Phospho-JIP1 (Thr103) Antibody
Gene Names
MAPK8IP1; IB1; JIP1; JIP-1; PRKM8IP
Reactivity
Human, Mouse, Rat
Applications
Immunohistochemistry, Immunofluorescence, Immunocytochemistry, Peptide ELISA
Purity
The antibody is from purified rabbit serum by affinity purification via sequential chromatography on phospho-peptide and non-phospho-peptide affinity columns.
Pricing
product-image-AAA23835_WB6.jpg WB (Western Blot) (Detection of human Phospho-MCM2 (S53) by western blot. Samples: Whole cell lysate (10 ug) from HDLM-2, HeLa, Jurkat, MCF-7, MOLT-4, Malme-3M, HEK293T, and Raji cells prepared using NETN lysis buffer. Antibody: Rabbit anti-Phospho-MCM2 (S53) recombinant monoclonal antibody (AAA23835 lot 1) used at 1:1000. Secondary: HRP-conjugated goat anti-rabbit IgG . Detection: Chemiluminescence with an exposure time of 30 seconds. Lower Panel: Rabbit anti-Actin recombinant monoclonal .)

MCM2, Monoclonal Recombinant Antibody (Cat# AAA23835)

No reviews yet
Full Name
Rabbit anti-Phospho MCM2 (S53) Recombinant Monoclonal Antibody [BLR108H]
Reactivity
Human, Mouse
Applications
Western Blot, Immunohistochemistry, Immunocytochemistry
Purity
Purified
Pricing
product-image-AAA31294_IHC8.jpg IHC (Immunohistochemistry) (At 1/100 staining Mouse kidney tissue by IHC-P. The sample was formaldehyde fixed and a heat mediated antigen retrieval step in citrate buffer was performed. The sample was then blocked and incubated with the primary antibody at 4 degree C overnight. An HRP conjugated anti-Rabbit antibody was used as the secondary antibody.)

YB1, Polyclonal Antibody (Cat# AAA31294)

No reviews yet
Full Name
Phospho-YB1 (Ser102) Antibody
Gene Names
YBX1; YB1; BP-8; CSDB; DBPB; YB-1; CSDA2; NSEP1; NSEP-1; MDR-NF1
Reactivity
Human, Mouse, Rat
Applications
Immunohistochemistry, Peptide ELISA
Purity
The antibody is from purified rabbit serum by affinity purification via sequential chromatography on phospho-peptide and non-phospho-peptide affinity columns.
Pricing
product-image-AAA28653_IHC6.jpg IHC (Immunohistchemistry) (Immunohistochemical analysis of (AAA28653) on paraffin-embedded Human breastcarcinoma tissue. Tissue was fixed withformaldehyde at room temperature. Heatinduced epitope retrieval was performed byEDTA buffer (pH9. 0). Samples wereincubated with primary antibody(1:100) for 1hour at room temperature. Undiluted CRFAnti-Polyvalent HRP Polymer antibody wasused as the secondary antibody.)

Phospho-CDC25A (S124), Polyclonal Antibody (Cat# AAA28653)

No reviews yet
Full Name
Phospho-CDC25A (S124) Antibody
Gene Names
CDC25A; CDC25A2
Reactivity
Human (Predicted Reactivity: Rat)
Applications
WB, EIA, IHC
Purity
Peptide Affinity Purified Rabbit Polyclonal Antibody (Pab)
Pricing
product-image-AAA29784_ICC7.jpg ICC (Immunocytochemistry) (ICC staining Phospho-JunD (S255) in MCF-7 cells (green). The nuclear counter stain is DAPI (blue). Cells were fixed in paraformaldehyde, permeabilised with 0.25% Triton X100/PBS.)

JunD, Monoclonal Antibody (Cat# AAA29784)

No reviews yet
Full Name
JunD (Phospho-S255) Antibody
Gene Names
JUND; AP-1
Reactivity
Human, Mouse, Rat
Applications
Western Blot, Immunohistochemistry, Immunocytochemistry, Immunofluorescence, Immunohistochemistry
Purity
ProA affinity purified
Pricing
product-image-AAA28926_IHC7.jpg IHC (Immunohistochemistry) (Dilution: Western Blot: 1/500 - 1/2000. Immunohistochemistry: 1/100 - 1/300. Immunofluorescence: 1/200 - 1/1000. ELISA: 1/10000. Not yet tested in other applications.)

ERK 1/2, Polyclonal Antibody (Cat# AAA28926)

No reviews yet
Full Name
ERK 1/2 (phospho Tyr204) Polyclonal Antibody
Gene Names
MAPK3; ERK1; ERT2; ERK-1; PRKM3; P44ERK1; P44MAPK; HS44KDAP; HUMKER1A; p44-ERK1; p44-MAPK
Reactivity
Human, Mouse, Rat
Applications
WB, IHC-P, IF
Pricing
product-image-AAA31293_IHC6.jpg IHC (Immunohistchemistry) (At 1/100 staining Human gastric cancer by IHC-P. The sample was formaldehyde fixed and a heat mediated antigen retrieval step in citrate buffer was performed. The sample was then blocked and incubated with the primary antibody at 4 degree C overnight. An HRP conjugated anti-Rabbit antibody was used as the secondary antibody.)

SRPK2, Polyclonal Antibody (Cat# AAA31293)

No reviews yet
Full Name
Phospho-SRPK2 (Ser494/Ser497) Antibody
Gene Names
SRPK2; SFRSK2
Reactivity
Human, Mouse, Rat
Applications
Immunohistochemistry, Peptide ELISA
Purity
The antibody is from purified rabbit serum by affinity purification via sequential chromatography on phospho-peptide and non-phospho-peptide affinity columns.
Pricing
product-image-AAA28953_IHC6.jpg IHC (Immunohistchemistry) (Dilution: Western Blot: 1/500 - 1/2000. Immunohistochemistry: 1/100 - 1/300. ELISA: 1/5000. Not yet tested in other applications.)

FAK, Polyclonal Antibody (Cat# AAA28953)

No reviews yet
Full Name
FAK (phospho Tyr397) Polyclonal Antibody
Gene Names
PTK2; FAK; FADK; FAK1; FRNK; PPP1R71; p125FAK; pp125FAK
Reactivity
Human, Mouse, Rat
Applications
Western Blot, Immunohistochemistry
Pricing
product-image-AAA28391_IF8.jpg IF (Immunofluorescence) (Immunofluorescence analysis of U-2 OS cells using Phospho-Histone H3-S10/T11 Rabbit pAb at dilution of 100 (40x lens). Blue: DAPI for nuclear staining.)

Phospho-Histone H3-S10/T11, Polyclonal Antibody (Cat# AAA28391)

No reviews yet
Full Name
Phospho-Histone H3-S10/T11 Rabbit pAb
Gene Names
HIST1H3A; H3/A; H3FA
Reactivity
Human, Mouse, Rat, Other (Wide Range)
Applications
WB, IHC, IF
Purity
Affinity purification
Pricing
product-image-AAA31405_APP9.jpg Application Data (At 25 degree C. The primary antibody was diluted at 1/200 and incubated with the sample for 1 hour at 37 degree C. An Alexa Fluor 594 conjugated goat anti-rabbit IgG (H+L) antibody(Red), diluted at 1/600, was used as secondary antibody.)

JAK3, Polyclonal Antibody (Cat# AAA31405)

No reviews yet
Full Name
Phospho-JAK3 (Tyr981) Antibody
Gene Names
JAK3; JAKL; LJAK; JAK-3; L-JAK; JAK3_HUMAN
Reactivity
Human, Mouse, Rat, Monkey
Predicted Reactivity: Pig (100%), Bovine (91%), Horse (100%), Sheep (100%), Dog (100%)
Applications
Western Blot, Immunohistochemistry, Immunofluorescence, Immunocytochemistry, Peptide ELISA
Purity
The antibody is from purified rabbit serum by affinity purification via sequential chromatography on phospho-peptide and non-phospho-peptide affinity columns.
Pricing
product-image-AAA31471_APP15.jpg Application Data (At 25 degree C. Samples were then incubated with primary Ab(At 37 degree C. An AlexaFluor594 conjugated goat anti-rabbit IgG(H+L) Ab(Red) and an AlexaFluor488 conjugated goat anti-mouse IgG(H+L) Ab(Green) were used as the secondary antibody.The nuclear counter stain is DAPI(blue).)

MLC2, Polyclonal Antibody (Cat# AAA31471)

No reviews yet
Full Name
Phospho-MLC2 (Ser15) Antibody
Gene Names
MYL2; MLC2; CMH10
Reactivity
Human, Mouse, Rat
Predicted Reactivity: Horse (100%), Sheep (100%), Rabbit (100%), Dog (100%), Chicken (100%)
Applications
Western Blot, Immunohistochemistry, Immunofluorescence, Immunocytochemistry, Peptide ELISA
Purity
The antibody is from purified rabbit serum by affinity purification via sequential chromatography on phospho-peptide and non-phospho-peptide affinity columns.
Pricing
product-image-AAA25384_WB7.jpg WB (Western Blot) (Western blot analysis of ENO3 over-expressed 293 cell line, cotransfected with ENO3 Validated Chimera RNAi (Lane 2) or non-transfected control (Lane 1). Blot probed with ENO3 monoclonal antibody. GAPDH (36.1kD) used as specificity and loading control.)

ENO3, Monoclonal Antibody (Cat# AAA25384)

No reviews yet
Full Name
ENO3 (Enolase 3, 2-phospho-D-glycerate Hydro-lyase, beta-Enolase, Muscle-specific Enolase, MSE, Skeletal Muscle Enolase) (HRP)
Gene Names
ENO3; MSE; GSD13
Reactivity
Human
Applications
Immunohistochemistry, Western Blot
Purity
Purified by Protein A Affinity Chromatography.
Pricing
product-image-AAA31331_IHC11.jpg IHC (Immunohistochemistry) (At 1/100 staining Human kidney cancer and adjacent normal tissues by IHC-P. The sample was formaldehyde fixed and a heat mediated antigen retrieval step in citrate buffer was performed. The sample was then blocked and incubated with the primary antibody at 4 degree C overnight. An HRP conjugated anti-Rabbit antibody was used as the secondary antibody.)

Smad5, Polyclonal Antibody (Cat# AAA31331)

No reviews yet
Full Name
Phospho-Smad5 (Ser463/Ser465) Antibody
Gene Names
SMAD5; DWFC; JV5-1; MADH5
Reactivity
Human, Mouse, Rat
Applications
Western Blot, Immunohistochemistry, Peptide ELISA
Purity
The antibody is from purified rabbit serum by affinity purification via sequential chromatography on phospho-peptide and non-phospho-peptide affinity columns.
Pricing
product-image-AAA31153_WB6.jpg WB (Western Blot) (Western blot analysis of Phospho-AML1 (Ser397) in lysates of Jurkat, using Phospho-AML1 (Ser397) Antibody.)

AML1, Polyclonal Antibody (Cat# AAA31153)

No reviews yet
Full Name
Phospho-AML1 (Ser397) Antibody
Gene Names
RUNX1; AML1; CBFA2; EVI-1; AMLCR1; PEBP2aB; CBF2alpha; AML1-EVI-1; PEBP2alpha
Reactivity
Human, Mouse, Rat
Predicted: Pig, Zebrafish, Bovine, Horse, Rabbit, Dog, Chicken, Xenopus
Applications
Western Blot, Immunohistochemistry, Peptide ELISA
Purity
Purified rabbit serum by affinity purification via sequential chromatography on phospho- and non-phospho-peptide affinity columns.
Pricing
product-image-AAA31412_APP9.jpg Application Data (At 25 degree C. Samples were then incubated with primary Ab(At 37 degree C. An AlexaFluor594 conjugated goat anti-rabbit IgG(H+L) Ab(Red) and an AlexaFluor488 conjugated goat anti-mouse IgG(H+L) Ab(Green) were used as the secondary antibody.The nuclear counter stain is DAPI(blue).)

FRS2, Polyclonal Antibody (Cat# AAA31412)

No reviews yet
Full Name
Phospho-FRS2 (Tyr196) Antibody
Gene Names
FRS2; SNT; SNT1; FRS2A; SNT-1; FRS2alpha
Reactivity
Human, Mouse, Rat
Predicted Reactivity: Pig (100%), Bovine (100%), Horse (100%), Sheep (100%), Rabbit (100%), Dog (100%), Chicken (100%)
Applications
Western Blot, Immunohistochemistry, Immunofluorescence, Immunocytochemistry, Peptide ELISA
Purity
The antibody is from purified rabbit serum by affinity purification via sequential chromatography on phospho-peptide and non-phospho-peptide affinity columns.
Pricing
product-image-AAA31326_IHC8.jpg IHC (Immunohistochemistry) (At 1/100 staining Mouse brain tissue by IHC-P. The sample was formaldehyde fixed and a heat mediated antigen retrieval step in citrate buffer was performed. The sample was then blocked and incubated with the primary antibody at 4 degree C overnight. An HRP conjugated anti-Rabbit antibody was used as the secondary antibody.)

HBP1, Polyclonal Antibody (Cat# AAA31326)

No reviews yet
Full Name
Phospho-HBP1 (Ser402) Antibody
Reactivity
Human, Mouse, Rat
Applications
Western Blot, Immunohistochemistry, Peptide ELISA
Purity
The antibody is from purified rabbit serum by affinity purification via sequential chromatography on phospho-peptide and non-phospho-peptide affinity columns.
Pricing
product-image-AAA31424_IHC6.jpg IHC (Immunohistchemistry) (At 1/200 staining Human lung cancer tissue sections by IHC-P. The tissue was formaldehyde fixed and a heat mediated antigen retrieval step in citrate buffer was performed. The tissue was then blocked and incubated with the antibody for 1.5 hours at 22 degree C. An HRP conjugated goat anti-rabbit antibody was used as the secondary antibody.)

CUTL1, Polyclonal Antibody (Cat# AAA31424)

No reviews yet
Full Name
Phospho-CUTL1 (Ser1237) Antibody
Gene Names
CUX1; CDP; CUX; p75; CASP; CDP1; COY1; Clox; p100; p110; p200; CUTL1; GOLIM6; CDP/Cut; Cux/CDP; Nbla10317
Reactivity
Human, Mouse, Rat
Predicted Reactivity: Pig (100%), Sheep (100%), Dog (100%), Xenopus (100%)
Applications
Western Blot, Immunohistochemistry, Peptide ELISA
Purity
The antibody is from purified rabbit serum by affinity purification via sequential chromatography on phospho-peptide and non-phospho-peptide affinity columns.
Pricing
product-image-AAA18969_SC.jpg Standard Curve (Sample)

Phospho-CAMP Response Element Binding Protein (pCREB), ELISA Kit (Cat# AAA18969)

No reviews yet
Full Name
Mouse Phospho-CAMP Response Element Binding Protein (pCREB) ELISA Kit
Reactivity
Mouse
Pricing
product-image-AAA28919_IHC7.jpg IHC (Immunohistochemistry) (Dilution: IF: 1:50-200 Western Blot: 1/500 - 1/2000. Immunohistochemistry: 1/100 - 1/300. ELISA: 1/40000. Not yet tested in other applications.)

Akt, Polyclonal Antibody (Cat# AAA28919)

No reviews yet
Full Name
Akt (phospho Ser473) Polyclonal Antibody
Gene Names
AKT1; AKT; PKB; RAC; CWS6; PRKBA; PKB-ALPHA; RAC-ALPHA
Reactivity
Human, Mouse, Rat
Applications
WB, IHC-P, IF
Pricing
product-image-AAA28921_IHC7.jpg IHC (Immunohistochemistry) (Dilution: IF: 1:50-200 Western Blot: 1/500 - 1/2000. Immunohistochemistry: 1/100 - 1/300. ELISA: 1/20000. Not yet tested in other applications.)

AP-1, Polyclonal Antibody (Cat# AAA28921)

No reviews yet
Full Name
AP-1 (phospho Ser63) Polyclonal Antibody
Gene Names
JUN; AP1; AP-1; c-Jun
Reactivity
Human, Mouse, Rat
Applications
WB, IHC-P, IF
Pricing
product-image-AAA27564_SC.jpg Standard Curve (Sample)

Phospho Tau (P181), ELISA Kit (Cat# AAA27564)

No reviews yet
Full Name
Human Phospho Tau (P181) ELISA Kit
Reactivity
Human
Pricing
product-image-AAA28920_IHC6.jpg IHC (Immunohistchemistry) (Dilution: Western Blot: 1/500 - 1/2000. Immunohistochemistry: 1/100 - 1/300. ELISA: 1/5000. Not yet tested in other applications.)

Akt1, Polyclonal Antibody (Cat# AAA28920)

No reviews yet
Full Name
Akt1 (phospho Thr450) Polyclonal Antibody
Gene Names
AKT1; AKT; PKB; RAC; CWS6; PRKBA; PKB-ALPHA; RAC-ALPHA
Reactivity
Human, Mouse, Rat
Applications
WB, IHC-P
Pricing
product-image-AAA24498_WB7.jpg WB (Western Blot) (Western blot analysis of ENO3 over-expressed 293 cell line, cotransfected with ENO3 Validated Chimera RNAi (Lane 2) or non-transfected control (Lane 1). Blot probed with ENO3 monoclonal antibody. GAPDH (36.1kD) used as specificity and loading control.)

ENO3, Monoclonal Antibody (Cat# AAA24498)

No reviews yet
Full Name
ENO3 (Enolase 3, 2-phospho-D-glycerate Hydro-lyase, beta-Enolase, Muscle-specific Enolase, MSE, Skeletal Muscle Enolase) APC
Gene Names
ENO3; MSE; GSD13
Reactivity
Human
Applications
EIA, IF, IHC, WB
Purity
Purified by Protein A Affinity Chromatography.
Pricing
product-image-AAA17990_WB2.jpg WB (Western Blot) (Western blot analysis of extracts from 293 cells using Src (Ab-529) antibody and Src (phospho-Tyr529) antibody (AAA17990, Lane 3 and 4).)

Src, Antibody (Cat# AAA17990)

No reviews yet
Full Name
Src (Phospho-Tyr529) Antibody
Gene Names
SRC; ASV; SRC1; THC6; c-SRC; p60-Src
Reactivity
Human, Mouse, Rat
Applications
WB, IHC
Purity
Affinity-purified from rabbit antiserum by affinity-chromatography using epitope-specific phosphopeptide. The antibody against non-phosphopeptide was removed by chromatography using non-phosphopeptide corresponding to the phosphorylation site.
Pricing
product-image-AAA17648_SC.jpg Standard Curve (Sample)

phospho Tau Protein, ELISA Kit (Cat# AAA17648)

No reviews yet
Full Name
Rat phospho Tau Protein ELISA Kit
Reactivity
Rat
Pricing
product-image-AAA28925_IHC7.jpg IHC (Immunohistochemistry) (Dilution: IF: 1:50-200 WB 1:500-2000, IHC 1:50-300 IHC 1:50-300)

ERK 1/2, Polyclonal Antibody (Cat# AAA28925)

No reviews yet
Full Name
ERK 1/2 (phospho Thr202) Polyclonal Antibody
Gene Names
MAPK3; ERK1; ERT2; ERK-1; PRKM3; P44ERK1; P44MAPK; HS44KDAP; HUMKER1A; p44-ERK1; p44-MAPK
Reactivity
Human, Mouse, Rat
Applications
WB, IHC-P, IF
Pricing
product-image-AAA23791_WB8.jpg WB (Western Blot) (Detection of human Phospho KAP-1 (S824) by western blot. Samples: Whole cell lysate (25 ug) from HEK293T cells treated with 100 uM etoposide (+) or mock treated (-) prepared using NETN lysis buffer. Antibody: Rabbit anti-Phospho KAP-1 (S824) recombinant monoclonal antibody [BL-246-7B5] (AAA23791 lot 4) used at 1:1000. Secondary: HRP-conjugated goat anti-rabbit IgG . Chemiluminescence with an exposure time of 3 seconds. Lower Panel: Rabbit anti-KAP1 recombinant monoclonal antibody [BL-248-2G6] .)

KAP-1, Monoclonal Recombinant Antibody (Cat# AAA23791)

No reviews yet
Full Name
Rabbit anti-Phospho KAP-1 (S824) Recombinant Monoclonal Antibody [BL-246-7B5]
Gene Names
TRIM28; KAP1; TF1B; RNF96; TIF1B; PPP1R157
Reactivity
Human, Mouse
Applications
WB, IP, IHC, ICC-IF, FC/FACS, SW-Size
Purity
Purified
Pricing
product-image-AAA28927_IHC7.jpg IHC (Immunohistochemistry) (Dilution: Western Blot: 1/500 - 1/2000. Immunohistochemistry: 1/100 - 1/300. Immunofluorescence: 1/200 - 1/1000. ELISA: 1/20000. Not yet tested in other applications.)

FoxO3A, Polyclonal Antibody (Cat# AAA28927)

No reviews yet
Full Name
FoxO3A (phospho Ser253) Polyclonal Antibody
Gene Names
FOXO3; FOXO2; AF6q21; FKHRL1; FOXO3A; FKHRL1P2
Reactivity
Human, Mouse, Rat
Applications
WB, IHC-P, IF
Pricing
product-image-AAA18002_IF.jpg IF (Immunofluorescence) (P-peptide-+ Immunofluorescence analysis of HeLa cells, using TGF beta Receptor I (Phospho-Ser165) antibody.)

TGF beta Receptor I, Antibody (Cat# AAA18002)

No reviews yet
Full Name
TGF beta Receptor I (Phospho-Ser165) Antibody
Gene Names
TGFBR1; AAT5; ALK5; ESS1; LDS1; MSSE; SKR4; TBRI; ALK-5; LDS1A; LDS2A; TBR-i; TGFR-1; ACVRLK4; tbetaR-I
Reactivity
Human, Mouse, Rat
Applications
IF, EIA, FC/FACS
Purity
Affinity-purified from rabbit antiserum by affinity-chromatography using epitope-specific phosphopeptide. The antibody against non-phosphopeptide was removed by chromatography using non-phosphopeptide corresponding to the phosphorylation site.
Pricing
product-image-AAA18001_IHC.jpg IHC (Immunohistochemistry) (Immunohistochemistry analysis of paraffin-embedded human brain tissue, using Kv4.2/KCND2 (Phospho-Ser616) antibody.)

Kv4.2/KCND2, Antibody (Cat# AAA18001)

No reviews yet
Full Name
Kv4.2/KCND2 (Phospho-Ser616) Antibody
Gene Names
KCND2; RK5; KV4.2
Reactivity
Human, Mouse, Rat
Applications
IHC, EIA
Pricing
product-image-AAA28923_IHC7.jpg IHC (Immunohistochemistry) (Dilution: IF: 1:50-200 Western Blot: 1/500 - 1/2000. Immunohistochemistry: 1/100 - 1/300. Immunoprecipitation: 2-5 ug/mg lysate. ELISA: 1/10000. Not yet tested in other applications.)

CREB-1, Polyclonal Antibody (Cat# AAA28923)

No reviews yet
Full Name
CREB-1 (phospho Ser133) Polyclonal Antibody
Gene Names
CREB1; CREB
Reactivity
Human, Mouse, Rat
Applications
WB, IHC-P, IF, IP
Pricing
product-image-AAA31291_IHC7.jpg IHC (Immunohistochemistry) (At 1/100 staining Mouse heart tissue by IHC-P. The sample was formaldehyde fixed and a heat mediated antigen retrieval step in citrate buffer was performed. The sample was then blocked and incubated with the primary antibody at 4 degree C overnight. An HRP conjugated anti-Rabbit antibody was used as the secondary antibody.)

ID2, Polyclonal Antibody (Cat# AAA31291)

No reviews yet
Full Name
Phospho-ID2 (Thr27) Antibody
Gene Names
ID2; GIG8; ID2A; ID2H; bHLHb26
Reactivity
Human, Mouse, Rat
Applications
Immunohistochemistry, Peptide ELISA
Purity
The antibody is from purified rabbit serum by affinity purification via sequential chromatography on phospho-peptide and non-phospho-peptide affinity columns.
Pricing

What Are Phospho Antibodies?


Protein phosphorylation is a process where a phosphate group is added to certain amino acid residues of a protein – usually serine (S), threonine (T), or tyrosine (Y) - by enzymes called kinases. This process is integral in controlling cellular signaling, cellular growth, and other biological functions.


Our catalog includes a wide range of phospho-specific antibodies that can accurately detect this important marker. They perform strongly in widely-used laboratory applications such as Western blot, flow cytometry, immunohistochemistry, and immunofluorescence microscopy. We value your trust in us and are committed to providing top-quality products and services. All of our antibodies are guaranteed to work for the applications and species indicated on our website & associated product pages.


What Are The Key Applications of Phospho Antibodies?


1. Western Blotting


One of the first steps a researcher can take in utilizing these phospho-specific antibodies, is to check if the antibody works using a technique referred to as “Western blot”. For those unfamiliar, Western Blot aids in showing whether the protein that the antibody recognizes is appearing at the correct/expected size. These phospho-specific antibodies should also be able to detect changes in the target protein’s phosphorylation (on/off state) when cells are stimulated in certain ways.


2. Staining of Fixed Cells (Immunocytochemistry)


Another routine use of these phospho-specific antibodies, is to test if the antibody is able to demonstrate similar performance when used on fixed cells (intact cells that have been preserved) as it did in the Western blot tests. It is an important aspect in many cases to confirm that the antibody works in actual intact cell samples. Ideally, the method used for cellular fixation should be the same as what is used in pathology labs (like using 10% formalin). To check if the antibody works well in tissue sections (FFPE), researchers will often test it on fixed cells that are processed similar to tissue samples.


3. Specificity Tests Using Peptides


In order to make sure that the antibody is only binding to the right target:


  • Laboratory technicians will mix the antibody with phospho-peptides (short segments of the protein containing the phosphate group modification).

  • If the antibody signal disappears, it is confirmation that it is binding to the correct phosphorylated location.

  • A more robust test is to use both the phosphorylated and non-phosphorylated (dephosphorylated) versions of the protein. The antibody should react only with the phosphorylated one.

  • Another method sometimes utilized is to treat the sample with an enzyme, such as alkaline phosphatase, that specifically removes phosphate groups. If the antibody signal disappears after this, it also confirms specificity.


4. Genetic Confirmation


As a final step, scientists can genetically manipulate the nucleotide sequence and alter the target protein by removing the exact site where phosphorylation happens. If the antibody no longer appears to detect the modified protein, it is strong evidence supporting the antibody being specific for that phosphorylated site.


Why Buy Phospho Antibodies Through Us?


  • The production laboratory adheres to strict and consistent protocols prior to releasing any of these phospho-specific antibodies:

  • Standard methods and proper controls in all tests to ensure high quality.

  • These antibodies are tested and validated in different cell types and species.

  • High quality control criterion to ensure each batch is consistent, so you will obtain reliable results every time.


FAQ


1. What Are Phospho-Specific Antibodies?


Phospho-specific antibodies are made to detect proteins only when they have a phosphate group linked to a specific amino acid residue. This empowers scientists understand if a protein is "turned on" or active, based on its phosphorylation state.


2. How to Detect Phosphorylated Proteins in a Western Blot?


To find out if a protein is phosphorylated using Western blot:


  • Use a phospho-specific antibody that binds only to the phosphorylated form of the protein.

  • You can also use a “regular” antibody for the same amino acid sequence of the protein that the phospho-specific antibody is binding to (but in this case, this antibody will not bind if there is a phosphate group present) in order to compare how much of it is phosphorylated versus how much is non-phosphorylated (or “total” protein, if the “normal” antibody’s epitopes are non-phospho-site-specific).


3. How to Choose the Best Antibody?


Here are some simple tips to help you pick the right antibody:


  • Know your target

  • Match your sample characteristics

  • Confirm the intended use is appropriate

  • Check “host” and “type”

  • Check the “quality” of the presented data/images

  • Appraise whether the available validation meets your needs


Submit a Question

Please complete the form below and a representative will contact you as soon as possible.

Request more Information

Please complete the form below and a representative will contact you as soon as possible.

Request a Manual

Please complete the form below and a representative will contact you as soon as possible.

Request a Quote

Please complete the form below and a representative will contact you as soon as possible.