Loading...

Skip to main content
Call us at +1-800-604-9114 for more information about our products or contact us online Need help? +1-800-604-9114 or contact us

Filters


Clonality

Type

Reactivity

Gene Name

Isotype

Host

Application

Clone

Phospho Antibodies

Phospho-specific antibodies’ typical purpose is to enable researchers to detect changes in proteins. They will exclusively bind to the amino acid sequence on a protein that has been phosphorylated (which is both a physical & chemical change) and do not bind to the same amino acid sequence on said protein if it lacks said phosphorylation. This aids in being able to clearly see and understand the data produced from this particular protein modification.


Viewing 3300-3350 of 5298 product results


product-image-AAA243187_IHC13.jpg IHC (Immunohiostchemistry) (Immunohistochemical analysis of paraffin-embedded human lung carcinoma tissue using Estrogen Receptor-alpha (Phospho-Tyr537) antibody (left)or the same antibody preincubated with blocking peptide (right).)

ESR1, Polyclonal Antibody (Cat# AAA243187)

No reviews yet
Full Name
Phospho-ESR1 (Tyr537) Antibody
Gene Names
ESR1; ER; ESR; Era; ESRA; NR3A1
Reactivity
Human, Mouse
Applications
Immunohistochemistry, Western Blot
Purity
Antibodies were produced by immunizing rabbits with synthetic phosphopeptide and KLH conjugates. Antibodies were purified by affinity-chromatography using epitope-specific phosphopeptide. Non-phospho specific antibodies were removed by chromatography usin
Pricing
product-image-AAA302073_WB13.jpg WB (Western Blot) (Western blot analysis of extracts from HT29 cells, treated with serum or calf intestinal phosphatase (CIP), using alpha-catenin (Phospho-Ser641) Antibody.)

alpha-catenin, Polyclonal Antibody (Cat# AAA302073)

No reviews yet
Full Name
alpha-catenin (Phospho-Ser641) Antibody
Gene Names
CTNNA1; CAP102
Reactivity
Human, Mouse
Applications
Western Blot
Purity
Antibodies were produced by immunizing rabbits with synthetic phosphopeptide and KLH conjugates. Antibodies were purified by affinity-chromatography using epitope-specific phosphopeptide. Non-phospho specific antibodies were removed by chromatogramphy usi
Pricing
product-image-AAA302238_IHC13.jpg IHC (Immunohiostchemistry) (Immunohistochemical analysis of paraffin-embedded human breast carcinoma tissue using FOS (Phospho-Thr232) antibody (left)or the same antibody preincubated with blocking peptide (right).)

FOS, Polyclonal Antibody (Cat# AAA302238)

No reviews yet
Full Name
FOS (Phospho-Thr232) Antibody
Gene Names
FOS; p55; AP-1; C-FOS
Reactivity
Human
Applications
Immunohistochemistry, Western Blot
Purity
Antibodies were produced by immunizing rabbits with synthetic phosphopeptide and KLH conjugates. Antibodies were purified by affinity-chromatography using epitope-specific phosphopeptide. Non-phospho specific antibodies were removed by chromatogramphy usi
Pricing
product-image-AAA302156_IHC13.jpg IHC (Immunohiostchemistry) (Immunohistochemical analysis of paraffin-embedded human breast carcinoma tissue using Elk1(Phospho-Ser389) Antibody (left) or the same antibody preincubated with blocking peptide(right).)

Elk1, Polyclonal Antibody (Cat# AAA302156)

No reviews yet
Full Name
Elk1 (Phospho-Ser389) Antibody
Reactivity
Human, Mouse, Rat
Applications
Immunohistochemistry, Western Blot
Purity
Antibodies were produced by immunizing rabbits with synthetic phosphopeptide and KLH conjugates. Antibodies were purified by affinity-chromatography using epitope-specific phosphopeptide. Non-phospho specific antibodies were removed by chromatogramphy usi
Pricing
product-image-AAA302190_WB13.jpg WB (Western Blot) (Western Blot analysis of KB PC-3 cells using Phospho-SHIP-1 (Y1021) Polyclonal Antibody)

SHIP-1, Polyclonal Antibody (Cat# AAA302190)

No reviews yet
Full Name
SHIP-1 (Phospho-Tyr1021) Polyclonal Antibody
Gene Names
INPP5D; SHIP; SHIP1; SHIP-1; hp51CN; SIP-145; p150Ship
Reactivity
Human, Mouse, Rat
Applications
Western Blot
Purity
The antibody was affinity-purified from rabbit antiserum by affinity-chromatography using epitope-specific immunogen.
Pricing
product-image-AAA302210_IHC13.jpg IHC (Immunohiostchemistry) (Immunohistochemistry analysis of paraffin-embedded human breast carcinoma tissue using UBF (Phospho-Ser484) antibody. The picture on the right is treated with the synthesized peptide.)

UBF, Polyclonal Antibody (Cat# AAA302210)

No reviews yet
Full Name
UBF (Phospho-Ser484) Antibody
Gene Names
UBTF; UBF; UBF1; UBF2; UBF-1; NOR-90
Reactivity
Human, Mouse, Rat
Applications
Immunohistochemistry, Western Blot
Purity
Antibodies were produced by immunizing rabbits with synthetic phosphopeptide and KLH conjugates. Antibodies were purified by affinity-chromatography using epitope-specific phosphopeptide. Non-phospho specific antibodies were removed by chromatogramphy usi
Pricing
product-image-AAA302036_IHC13.jpg IHC (Immunohiostchemistry) (Immunohistochemical analysis of paraffin-embedded human colon carcinoma tissue using C/EBP-a (phospho-Ser21) antibody (left)or the same antibody preincubated with blocking peptide (right).)

C/EBP-alpha, Polyclonal Antibody (Cat# AAA302036)

No reviews yet
Full Name
C/EBP-alpha (Phospho-Ser21) Antibody
Gene Names
CEBPA; CEBP; C/EBP-alpha
Reactivity
Human, Mouse, Rat
Applications
Immunohistochemistry, Western Blot
Purity
Antibodies were produced by immunizing rabbits with synthetic phosphopeptide and KLH conjugates. Antibodies were purified by affinity-chromatography using epitope-specific phosphopeptide. Non-phospho specific antibodies were removed by chromatogramphy usi
Pricing
product-image-AAA302842_IHC13.jpg IHC (Immunohiostchemistry) (Immunohistochemical analysis of paraffin-embedded human breast carcinoma tissue using c-Jun(Phospho-Thr91) Antibody (left) or the same antibody preincubated with blocking peptide(right).)

c-Jun, Polyclonal Antibody (Cat# AAA302842)

No reviews yet
Full Name
c-Jun (Phospho-Thr91) Antibody
Gene Names
JUN; AP1; AP-1; c-Jun
Reactivity
Human, Mouse, Rat
Applications
Immunohistochemistry, Western Blot
Purity
Antibodies were produced by immunizing rabbits with synthetic phosphopeptide and KLH conjugates. Antibodies were purified by affinity-chromatography using epitope-specific phosphopeptide. Non-phospho specific antibodies were removed by chromatogramphy usi
Pricing
product-image-AAA302858_WB11.jpg WB (Western Blot) (Western blot analysis of extracts from 3T3 cells, treated with serum or calf intestinal phosphatase (CIP), using MARCKS (phospho-Ser170) Antibody.)

MARCKS, Polyclonal Antibody (Cat# AAA302858)

No reviews yet
Full Name
MARCKS (phospho-Ser170) Antibody
Gene Names
MARCKS; MACS; 80K-L; PKCSL; PRKCSL
Reactivity
Human
Applications
Immunohistochemistry, Western Blot
Purity
Antibodies were produced by immunizing rabbits with synthetic phosphopeptide and KLH conjugates. Antibodies were purified by affinity-chromatography using epitope-specific phosphopeptide. Non-phospho specific antibodies were removed by chromatogramphy usi
Pricing
product-image-AAA302863_IF11.jpg IF (Immunofluorescence) (Immunofluorescence staining of methanol-fixed Hela cells using PAK1(Phospho-Thr212) Antibody.)

PAK1, Polyclonal Antibody (Cat# AAA302863)

No reviews yet
Full Name
PAK1 (Phospho-Thr212) Antibody
Gene Names
PAK1; PAKalpha
Reactivity
Human, Mouse, Rat
Applications
Immunofluorescence, Immunohistochemistry, Western Blot
Purity
Antibodies were produced by immunizing rabbits with synthetic phosphopeptide and KLH conjugates. Antibodies were purified by affinity-chromatography using epitope-specific phosphopeptide. Non-phospho specific antibodies were removed by chromatogramphy usi
Pricing
product-image-AAA302690_IHC13.jpg IHC (Immunohiostchemistry) (Immunohistochemistry analysis of paraffin-embedded human brain tissue, using Mst1/2 (Phospho-Thr183) antibody. The picture on the right is treated with the synthesized peptide.)

Mst1/2, Polyclonal Antibody (Cat# AAA302690)

No reviews yet
Full Name
Mst1/2 (Phospho-Thr183) Antibody
Gene Names
STK4; KRS2; MST1; YSK3; TIIAC
Reactivity
Human, Mouse
Applications
Immunohistochemistry, Western Blot
Purity
Antibodies were produced by immunizing rabbits with synthetic phosphopeptide and KLH conjugates. Antibodies were purified by affinity-chromatography using epitope-specific phosphopeptide. Non-phospho specific antibodies were removed by chromatogramphy usi
Pricing
product-image-AAA302932_WB13.jpg WB (Western Blot) (Western blot analysis of extracts from HT29 cells, treated with CA or calf intestinal phosphatase (CIP), using IkappaB-beta (Phospho-Ser23) Antibody.)

IkappaB-beta, Polyclonal Antibody (Cat# AAA302932)

No reviews yet
Full Name
IkappaB-beta (Phospho-Ser23) Antibody
Gene Names
NFKBIB; IKBB; TRIP9
Reactivity
Human, Mouse, Rat
Applications
Immunohistochemistry, Western Blot
Purity
Antibodies were produced by immunizing rabbits with synthetic phosphopeptide and KLH conjugates. Antibodies were purified by affinity-chromatography using epitope-specific phosphopeptide. Non-phospho specific antibodies were removed by chromatogramphy usi
Pricing
product-image-AAA302935_IF13.jpg IF (Immunofluorescence) (Immunofluorescence staining of methanol-fixed Hela cells using PKD/PKCm(Phospho-Ser738) Antibody.)

PKD/PKCu, Polyclonal Antibody (Cat# AAA302935)

No reviews yet
Full Name
PKD/PKCu (Phospho-Ser738) Antibody
Gene Names
PRKD1; PKD; PKCM; PRKCM; PKC-MU
Reactivity
Human, Mouse, Rat
Applications
Immunofluorescence, Western Blot
Purity
Antibodies were produced by immunizing rabbits with synthetic phosphopeptide and KLH conjugates. Antibodies were purified by affinity-chromatography using epitope-specific phosphopeptide. Non-phospho specific antibodies were removed by chromatogramphy usi
Pricing
product-image-AAA302953_WB15.jpg WB (Western Blot) (Western blot analysis of COLO 3T3 using p-PEA-15 (S116) antibody.)

PEA-15, Polyclonal Antibody (Cat# AAA302953)

No reviews yet
Full Name
PEA-15 (Phospho-Ser116) Polyclonal Antibody
Gene Names
PEA15; PED; MAT1; HMAT1; MAT1H; PEA-15; HUMMAT1H
Reactivity
Human, Mouse, Rat, Monkey
Applications
Immunohistochemistry, Western Blot
Purity
The antibody was affinity-purified from rabbit antiserum by affinity-chromatography using epitope-specific immunogen.
Pricing
product-image-AAA302987_IF13.jpg IF (Immunofluorescence) (Immunofluorescence staining of methanol-fixed Hela cells using JunB(Phospho-Ser79) Antibody.)

JunB, Polyclonal Antibody (Cat# AAA302987)

No reviews yet
Full Name
JunB (Phospho-Ser79) Antibody
Gene Names
JUNB; AP-1
Reactivity
Human, Mouse, Rat
Applications
Immunofluorescence, Immunohistochemistry
Purity
Antibodies were produced by immunizing rabbits with synthetic phosphopeptide and KLH conjugates. Antibodies were purified by affinity-chromatography using epitope-specific phosphopeptide. Non-phospho specific antibodies were removed by chromatogramphy usi
Pricing
product-image-AAA302776_WB13.jpg WB (Western Blot) (Western Blot analysis of PC3 cells using Phospho-PFK-2 car (S483) Polyclonal Antibody)

PFK-2 car, Polyclonal Antibody (Cat# AAA302776)

No reviews yet
Full Name
PFK-2 car (Phospho-Ser483) Polyclonal Antibody
Gene Names
PFKFB2; PFK-2/FBPase-2
Reactivity
Human, Mouse, Rat
Applications
Immunohistochemistry, Western Blot
Purity
The antibody was affinity-purified from rabbit antiserum by affinity-chromatography using epitope-specific immunogen.
Pricing
product-image-AAA303003_IHC13.jpg IHC (Immunohiostchemistry) (Immunohistochemical analysis of paraffin-embedded human breast carcinoma tissue using MAPKAPK2 (Phospho-Thr334) antibody. The picture on the right is treated with the synthesized peptide.)

MAPKAPK2, Polyclonal Antibody (Cat# AAA303003)

No reviews yet
Full Name
MAPKAPK2 (Phospho-Thr334) Antibody
Gene Names
MAPKAPK2; MK2; MK-2; MAPKAP-K2
Reactivity
Human, Mouse, Rat
Applications
Immunohistochemistry, Western Blot
Purity
Antibodies were produced by immunizing rabbits with synthetic phosphopeptide and KLH conjugates. Antibodies were purified by affinity-chromatography using epitope-specific phosphopeptide. Non-phospho specific antibodies were removed by chromatogramphy usi
Pricing
product-image-AAA303037_IF11.jpg IF (Immunofluorescence) (Immunofluorescence staining of methanol-fixed MCF7 cells using PTEN (phospho-Ser370) antibody (, Red).)

PTEN, Polyclonal Antibody (Cat# AAA303037)

No reviews yet
Full Name
PTEN(Phospho-Ser370) Antibody
Gene Names
PTEN; BZS; DEC; CWS1; GLM2; MHAM; TEP1; MMAC1; PTEN1; 10q23del
Reactivity
Human, Mouse, Rat
Applications
Immunofluorescence, Immunohistochemistry, Western Blot
Purity
Antibodies were produced by immunizing rabbits with synthetic phosphopeptide and KLH conjugates. Antibodies were purified by affinity-chromatography using epitope-specific phosphopeptide. Non-phospho specific antibodies were removed by chromatogramphy usi
Pricing
product-image-AAA303049_IHC13.jpg IHC (Immunohiostchemistry) (Immunohistochemical analysis of paraffin-embedded human breast carcinoma tissue using BRCA1(Phospho-Ser1423) Antibody (left) or the same antibody preincubated with blocking peptide(right).)

BRCA1, Polyclonal Antibody (Cat# AAA303049)

No reviews yet
Full Name
BRCA1 (Phospho-Ser1423) Antibody
Gene Names
BRCA1; IRIS; PSCP; BRCAI; BRCC1; FANCS; PNCA4; RNF53; BROVCA1; PPP1R53
Reactivity
Human
Applications
Immunohistochemistry, Western Blot
Purity
Antibodies were produced by immunizing rabbits with synthetic phosphopeptide and KLH conjugates. Antibodies were purified by affinity-chromatography using epitope-specific phosphopeptide. Non-phospho specific antibodies were removed by chromatogramphy usi
Pricing
product-image-AAA302462_IHC13.jpg IHC (Immunohiostchemistry) (Immunohistochemical analysis of paraffin-embedded human tonsil carcinoma tissue using VASP(Phospho-Ser239) Antibody (left) or the same antibody preincubated with blocking peptide(right).)

VASP, Polyclonal Antibody (Cat# AAA302462)

No reviews yet
Full Name
VASP (Phospho-Ser239) Antibody
Reactivity
Human, Mouse, Rat
Applications
Immunohistochemistry, Western Blot
Purity
Antibodies were produced by immunizing rabbits with synthetic phosphopeptide and KLH conjugates. Antibodies were purified by affinity-chromatography using epitope-specific phosphopeptide. Non-phospho specific antibodies were removed by chromatogramphy usi
Pricing
product-image-AAA302413_WB11.jpg WB (Western Blot) (Western blot analysis of extracts from 293 cells, treated with calf intestinal phosphatase (CIP), using Keratin 8 (Phospho-Ser74) Antibody.)

Keratin 8, Polyclonal Antibody (Cat# AAA302413)

No reviews yet
Full Name
Keratin 8 (Phospho-Ser74) Antibody
Gene Names
KRT8; K8; KO; CK8; CK-8; CYK8; K2C8; CARD2
Reactivity
Human
Applications
Immunofluorescence, Western Blot
Purity
Antibodies were produced by immunizing rabbits with synthetic phosphopeptide and KLH conjugates. Antibodies were purified by affinity-chromatography using epitope-specific phosphopeptide. Non-phospho specific antibodies were removed by chromatogramphy usi
Pricing
product-image-AAA303344_WB13.jpg WB (Western Blot) (Western Blot analysis of HELA A431 cells using Phospho-EphB1/2 (Y594/604) Polyclonal Antibody)

EphB1/2, Polyclonal Antibody (Cat# AAA303344)

No reviews yet
Full Name
EphB1/2 (Phospho-Tyr594/604) Polyclonal Antibody
Gene Names
EPHB1; ELK; NET; Hek6; EPHT2
Reactivity
Human, Mouse, Rat
Applications
Immunofluorescence, Western Blot
Purity
The antibody was affinity-purified from rabbit antiserum by affinity-chromatography using epitope-specific immunogen.
Pricing
product-image-AAA303348_WB10.jpg WB (Western Blot) (Western blot analysis of extracts from Hela cells, treated with Anisomycin or calf intestinal phosphatase (CIP), using HSP27 (Phospho-Ser15) Antibody.)

HSP27, Polyclonal Antibody (Cat# AAA303348)

No reviews yet
Full Name
HSP27 (Phospho-Ser15) Antibody
Gene Names
HSPB1; CMT2F; HMN2B; HSP27; HSP28; Hsp25; SRP27; HS.76067; HEL-S-102
Reactivity
Human
Applications
Immunofluorescence, Immunohistochemistry, Western Blot
Purity
Antibodies were produced by immunizing rabbits with synthetic phosphopeptide and KLH conjugates. Antibodies were purified by affinity-chromatography using epitope-specific phosphopeptide. Non-phospho specific antibodies were removed by chromatogramphy usi
Pricing
product-image-AAA303318_WB15.jpg WB (Western Blot) (Western blot analysis of extracts from SW626 cells using b-Catenin(Phospho-Thr41/Ser45) Antibody (Lane 2) and the same antibody preincubated with blocking peptide(Lane1).)

beta-Catenin, Polyclonal Antibody (Cat# AAA303318)

No reviews yet
Full Name
beta-Catenin (Phospho-Thr41/Ser45) Antibody
Gene Names
CTNNB1; CTNNB; MRD19; armadillo
Reactivity
Human, Mouse, Rat
Applications
Western Blot
Pricing
product-image-AAA303320_IF10.jpg IF (Immunofluorescence) (Immunofluorescence staining of methanol-fixed Hela cells using Histone H3.1 (Phospho-Ser10) Antibody.)

Histone H3.1, Polyclonal Antibody (Cat# AAA303320)

No reviews yet
Full Name
Histone H3.1 (Phospho-Ser10) Antibody
Gene Names
HIST1H3A; H3/A; H3FA
Reactivity
Human, Mouse, Rat
Applications
Immunofluorescence, Immunohistochemistry, Western Blot
Purity
Antibodies were produced by immunizing rabbits with synthetic phosphopeptide and KLH conjugates. Antibodies were purified by affinity-chromatography using epitope-specific phosphopeptide. Non-phospho specific antibodies were removed by chromatogramphy usi
Pricing
product-image-AAA303532_IF11.jpg IF (Immunofluorescence) (Immunofluorescence staining of methanol-fixed Hela cells using PDK1(Phospho-Ser241) Antibody.)

PDK1, Polyclonal Antibody (Cat# AAA303532)

No reviews yet
Full Name
PDK1 (Phospho-Ser241) Antibody
Gene Names
PDPK1; PDK1; PDPK2; PDPK2P; PRO0461
Reactivity
Human, Mouse, Rat
Applications
Immunofluorescence, Immunohistochemistry, Western Blot
Purity
Antibodies were produced by immunizing rabbits with synthetic phosphopeptide and KLH conjugates. Antibodies were purified by affinity-chromatography using epitope-specific phosphopeptide. Non-phospho specific antibodies were removed by chromatogramphy usi
Pricing
product-image-AAA303544_IHC13.jpg IHC (Immunohiostchemistry) (Immunohistochemical analysis of paraffin-embedded human lung carcinoma tissue using eIF4G(Phospho-Ser1232) Antibody (left) or the same antibody preincubated with blocking peptide(right).)

eIF4G, Polyclonal Antibody (Cat# AAA303544)

No reviews yet
Full Name
eIF4G (phospho-Ser1231) Antibody
Gene Names
EIF4G1; P220; EIF4F; EIF4G; EIF4GI; PARK18; EIF-4G1
Reactivity
Human
Applications
Immunohistochemistry, Western Blot
Purity
Antibodies were produced by immunizing rabbits with synthetic phosphopeptide and KLH conjugates. Antibodies were purified by affinity-chromatography using epitope-specific phosphopeptide. Non-phospho specific antibodies were removed by chromatogramphy usi
Pricing
product-image-AAA304136_IHC13.jpg IHC (Immunohiostchemistry) (Immunohistochemical analysis of paraffin-embedded human breast carcinoma tissue using b-Catenin(Phospho-Ser37) Antibody (left) or the same antibody preincubated with blocking peptide(right).)

beta-Catenin, Polyclonal Antibody (Cat# AAA304136)

No reviews yet
Full Name
beta-Catenin (Phospho-Ser37) Antibody
Gene Names
CTNNB1; CTNNB; MRD19; armadillo
Reactivity
Human, Mouse, Rat
Applications
Immunohistochemistry, Western Blot
Purity
Antibodies were produced by immunizing rabbits with synthetic phosphopeptide and KLH conjugates. Antibodies were purified by affinity-chromatography using epitope-specific phosphopeptide. Non-phospho specific antibodies were removed by chromatogramphy usi
Pricing
product-image-AAA303473_IHC13.jpg IHC (Immunohiostchemistry) (Immunohistochemical analysis of paraffin-embedded human breast carcinoma tissue using Rb(Phospho-Ser807) Antibody (left) or the same antibody preincubated with blocking peptide(right).)

Rb, Polyclonal Antibody (Cat# AAA303473)

No reviews yet
Full Name
Rb (Phospho-Ser807) Antibody
Gene Names
RB1; RB; pRb; OSRC; pp110; p105-Rb; PPP1R130
Reactivity
Human, Mouse, Rat
Applications
Immunohistochemistry, Western Blot
Purity
Antibodies were produced by immunizing rabbits with synthetic phosphopeptide and KLH conjugates. Antibodies were purified by affinity-chromatography using epitope-specific phosphopeptide. Non-phospho specific antibodies were removed by chromatogramphy usi
Pricing
product-image-AAA304036_WB13.jpg WB (Western Blot) (Western blot analysis of extracts from Hela cells, treated with PMA or calf intestinal phosphatase (CIP), using p90RSK (Phospho-Ser352) Antibody.)

p90RSK, Polyclonal Antibody (Cat# AAA304036)

No reviews yet
Full Name
p90RSK (Phospho-Ser352) Antibody
Gene Names
RPS6KA1; RSK; HU-1; RSK1; p90Rsk; MAPKAPK1A
Reactivity
Human, Mouse, Rat
Applications
Western Blot
Purity
Antibodies were produced by immunizing rabbits with synthetic phosphopeptide and KLH conjugates. Antibodies were purified by affinity-chromatography using epitope-specific phosphopeptide. Non-phospho specific antibodies were removed by chromatogramphy usi
Pricing
product-image-AAA303839_IHC13.jpg IHC (Immunohiostchemistry) (Immunohistochemical analysis of paraffin-embedded human brain tissue using MER/SKY (Phospho-Tyr749/681) antibody (left)or the same antibody preincubated with blocking peptide (right).)

MER/SKY, Polyclonal Antibody (Cat# AAA303839)

No reviews yet
Full Name
MER/SKY (Phospho-Tyr749/681) Antibody
Gene Names
MERTK; MER; RP38; c-Eyk; c-mer; Tyro12
Reactivity
Human, Mouse
Applications
Immunohistochemistry, Western Blot
Pricing
product-image-AAA303874_IHC13.jpg IHC (Immunohiostchemistry) (Immunohistochemical analysis of paraffin-embedded human breast carcinoma tissue using CREB(Phospho-Ser129) Antibody (left) or the same antibody preincubated with blocking peptide(right).)

CREB, Polyclonal Antibody (Cat# AAA303874)

No reviews yet
Full Name
CREB (Phospho-Ser129) Antibody
Gene Names
CREB1; CREB
Reactivity
Human, Mouse, Rat
Applications
Immunohistochemistry, Western Blot
Purity
Antibodies were produced by immunizing rabbits with synthetic phosphopeptide and KLH conjugates. Antibodies were purified by affinity-chromatography using epitope-specific phosphopeptide. Non-phospho specific antibodies were removed by chromatogramphy usi
Pricing
product-image-AAA307988_IF11.jpg IF (Immunofluorescence) (Immunofluorescence staining of methanol-fixed MCF7 cells using HER2(Phospho-Tyr877) Antibody.)

HER2, Polyclonal Antibody (Cat# AAA307988)

No reviews yet
Full Name
HER2 (Phospho-Tyr877) Antibody
Gene Names
ERBB2; NEU; NGL; HER2; TKR1; CD340; HER-2; MLN 19; HER-2/neu
Reactivity
Human, Mouse, Rat
Applications
Immunofluorescence, Immunohistochemistry, Western Blot
Purity
Antibodies were produced by immunizing rabbits with synthetic phosphopeptide and KLH conjugates. Antibodies were purified by affinity-chromatography using epitope-specific phosphopeptide. Non-phospho specific antibodies were removed by chromatogramphy usi
Pricing
product-image-AAA308059_IHC11.jpg IHC (Immunohistochemisry) (Immunohistochemical analysis of paraffin-embedded human breast carcinoma tissue using HDAC4/HDAC5/HDAC9(Phospho-Ser246/259/220) Antibody (left) or the same antibody preincubated with blocking peptide(right).)

HDAC4/HDAC5/HDAC9, Polyclonal Antibody (Cat# AAA308059)

No reviews yet
Full Name
HDAC4/HDAC5/HDAC9 (phospho-Ser246/259/220) Antibody
Gene Names
HDAC4; HD4; AHO3; BDMR; HDACA; HA6116; HDAC-4; HDAC-A
Reactivity
Human
Applications
Immunohistochemistry, Western Blot
Purity
Antibodies were produced by immunizing rabbits with synthetic phosphopeptide and KLH conjugates. Antibodies were purified by affinity-chromatography using epitope-specific phosphopeptide. Non-phospho specific antibodies were removed by chromatogramphy usi
Pricing
product-image-AAA308080_WB13.jpg WB (Western Blot) (Western blot analysis of extract from U87 cells transfected with either PKCd siRNA targeting or control siRNA were treated withWnt3a (100 ng ml 1) for 8 h. WB was performed with nuclearlysates of the cells with the beta-catenin (Phospho-Ser715) Antibody.)

beta-catenin, Polyclonal Antibody (Cat# AAA308080)

No reviews yet
Full Name
beta-catenin (Phospho-Ser715) Antibody
Gene Names
CTNNB1; CTNNB; MRD19; armadillo
Reactivity
Human, Mouse, Rat
Applications
Immunohistochemistry, Western Blot
Purity
Antibodies were produced by immunizing rabbits with synthetic phosphopeptide and KLH conjugates. Antibodies were purified by affinity-chromatography using epitope-specific phosphopeptide. Non-phospho specific antibodies were removed by chromatogramphy usi
Pricing
product-image-AAA308179_IF13.jpg IF (Immunofluorescence) (Immunofluorescence staining of methanol-fixed Hela cells using synapsin(Phospho-Ser9) Antibody.)

synapsin, Polyclonal Antibody (Cat# AAA308179)

No reviews yet
Full Name
synapsin (Phospho-Ser9) Antibody
Gene Names
SYN1; SYNI; SYN1a; SYN1b
Reactivity
Human, Mouse, Rat
Applications
Immunofluorescence, Western Blot
Purity
Antibodies were produced by immunizing rabbits with synthetic phosphopeptide and KLH conjugates. Antibodies were purified by affinity-chromatography using epitope-specific phosphopeptide. Non-phospho specific antibodies were removed by chromatogramphy usi
Pricing
product-image-AAA308234_IHC13.jpg IHC (Immunohiostchemistry) (Immunohistochemical analysis of paraffin-embedded human breast carcinoma tissue using IRS-1(Phospho-Ser639) Antibody (left) or the same antibody preincubated with blocking peptide(right).)

IRS-1, Polyclonal Antibody (Cat# AAA308234)

No reviews yet
Full Name
IRS-1 (Phospho-Ser639) Antibody
Gene Names
IRS1; HIRS-1
Reactivity
Human, Mouse, Rat
Applications
Immunohistochemistry, Western Blot
Purity
Antibodies were produced by immunizing rabbits with synthetic phosphopeptide and KLH conjugates. Antibodies were purified by affinity-chromatography using epitope-specific phosphopeptide. Non-phospho specific antibodies were removed by chromatogramphy usi
Pricing

FCG2B, Polyclonal Antibody (Cat# AAA312723)

No reviews yet
Full Name
FCG2B (Phospho-Tyr292) Conjugated Antibody
Gene Names
FCGR2B; CD32; FCG2; CD32B; FCGR2; IGFR2
Reactivity
Human
Pricing

RIP3, Polyclonal Antibody (Cat# AAA312725)

No reviews yet
Full Name
RIP3 (Phospho-S232) Conjugated Antibody
Gene Names
Ripk3; Rip3; AW107945; 2610528K09Rik
Reactivity
Mouse, Rat
Pricing
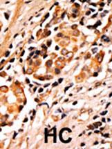
product-image-AAA289535_IHC13.jpg IHC (Immunohiostchemistry) (Formalin-fixed and paraffin-embedded human cancer tissue reacted with the primary antibody, which was peroxidase-conjugated to the secondary antibody, followed by AEC staining. This data demonstrates the use of this antibody for immunohistochemistry; clinical relevance has not been evaluated. BC = breast carcinoma; HC = hepatocarcinoma.)

Bi-Phospho-GSK3B (S21/29), Polyclonal Antibody (Cat# AAA289535)

No reviews yet
Full Name
Bi-Phospho-GSK3B (S21/29) Antibody
Reactivity
Human, mouse
Applications
Immunohistochemistry, Western Blot
Purity
Peptide Affinity Purified Rabbit Polyclonal Antibody (Pab)
Pricing
product-image-AAA289567_IHC13.jpg IHC (Immunohiostchemistry) (Immunohistochemistry analysis of paraffin-embedded human brain tissue using VE-Cadherin (Phospho-Tyr731) antibody.)

VE-Cadherin (Phospho-Tyr731), Polyclonal Antibody (Cat# AAA289567)

No reviews yet
Full Name
VE-Cadherin (Phospho-Tyr731) Antibody
Gene Names
CDH5; 7B4; CD144
Reactivity
Human, mouse
Applications
Immunohistochemistry, Western Blot
Purity
Purified Rabbit Polyclonal Antibody (Pab)
Pricing
product-image-AAA289223_IHC13.jpg IHC (Immunohiostchemistry) (Formalin-fixed and paraffin-embedded human cancer tissue reacted with the primary antibody, which was peroxidase-conjugated to the secondary antibody, followed by AEC staining. This data demonstrates the use of this antibody for immunohistochemistry; clinical relevance has not been evaluated. BC = breast carcinoma; HC = hepatocarcinoma.)

Phospho-Caspase 6 (S257), Polyclonal Antibody (Cat# AAA289223)

No reviews yet
Full Name
Phospho-Caspase 6 (S257) Antibody
Gene Names
CASP6; MCH2
Reactivity
Human (Predicted Reactivity: Bovine, Mouse, Rat)
Applications
Immunohistochemistry, Western Blot
Purity
Peptide Affinity Purified Rabbit Polyclonal Antibody (Pab)
Pricing
product-image-AAA314843_IF11.jpg IF (Immunofluorescence) (Immunofluorescent analysis of A549 cells treated with TGF?? , using Phospho-Smad3 (S423 + S425) Antibody.)

Smad3, Monoclonal Recombinant Antibody (Cat# AAA314843)

No reviews yet
Full Name
Smad3 (Phospho-Ser423/Ser425) Rabbit mAb
Gene Names
SMAD3; LDS3; LDS1C; MADH3; JV15-2; HSPC193; HsT17436
Reactivity
Human, Mouse
Applications
Immunofluorescence, Immunocytochemistry, Immunohistochemistry, Western Blot
Purity
Affinity-chromatography
Pricing
product-image-AAA304712_IHC13.jpg IHC (Immunohiostchemistry) (Immunohistochemical analysis of paraffin-embedded human brain tissue, using CtBP1 (Phospho-Ser422) antibody (left)or the same antibody preincubated with blocking peptide (right).)

CtBP1, Polyclonal Antibody (Cat# AAA304712)

No reviews yet
Full Name
CtBP1 (Phospho-Ser422) Antibody
Gene Names
CTBP1; BARS
Reactivity
Human, Mouse, Rat
Applications
Immunohistochemistry, Western Blot
Purity
Antibodies were produced by immunizing rabbits with synthetic phosphopeptide and KLH conjugates. Antibodies were purified by affinity-chromatography using epitope-specific phosphopeptide. Non-phospho specific antibodies were removed by chromatogramphy usi
Pricing
product-image-AAA304738_IHC11.jpg IHC (Immunohistochemisry) (Immunohistochemistry analysis of paraffin-embedded human colon carcinoma tissue, using ATRIP (Phospho-Ser224) antibody. The picture on the right is treated with the synthesized peptide.)

ATRIP, Polyclonal Antibody (Cat# AAA304738)

No reviews yet
Full Name
ATRIP (Phospho-Ser224) Antibody
Reactivity
Human
Applications
Immunohistochemistry, Western Blot
Purity
Antibodies were produced by immunizing rabbits with synthetic phosphopeptide and KLH conjugates. Antibodies were purified by affinity-chromatography using epitope-specific phosphopeptide. Non-phospho specific antibodies were removed by chromatogramphy usi
Pricing
product-image-AAA305293_IF11.jpg IF (Immunofluorescence) (Immunofluorescence staining of methanol-fixed A549 cells using PKA a/b CAT (Phospho-Thr197) Antibody.)

PKA alpha/beta CAT, Polyclonal Antibody (Cat# AAA305293)

No reviews yet
Full Name
PKA alpha/beta CAT (Phospho-Thr197) Antibody
Gene Names
PRKACA; PKACA; PPNAD4
Reactivity
Human, Mouse
Applications
Immunofluorescence, Immunohistochemistry, Western Blot
Purity
Antibodies were produced by immunizing rabbits with synthetic phosphopeptide and KLH conjugates. Antibodies were purified by affinity-chromatography using epitope-specific phosphopeptide. Non-phospho specific antibodies were removed by chromatogramphy usi
Pricing
product-image-AAA305313_IHC13.jpg IHC (Immunohiostchemistry) (Immunohistochemical analysis of paraffin-embedded human breast carcinoma tissue using STAT5A(Phospho-Tyr694) Antibody (left) or the same antibody preincubated with blocking peptide(right).)

STAT5A, Polyclonal Antibody (Cat# AAA305313)

No reviews yet
Full Name
STAT5A (Phospho-Tyr694) Antibody
Gene Names
STAT5A; MGF; STAT5
Reactivity
Human, Mouse, Rat
Applications
Immunohistochemistry, Western Blot
Purity
Antibodies were produced by immunizing rabbits with synthetic phosphopeptide and KLH conjugates. Antibodies were purified by affinity-chromatography using epitope-specific phosphopeptide. Non-phospho specific antibodies were removed by chromatogramphy usi
Pricing
product-image-AAA305509_IHC13.jpg IHC (Immunohiostchemistry) (Immunohistochemical analysis of paraffin-embedded human placenta tissue using PAK1/2 (Phospho-Ser199) antibody (left)or the same antibody preincubated with blocking peptide (right).)

PAK1, Polyclonal Antibody (Cat# AAA305509)

No reviews yet
Full Name
PAK1 (Phospho-Ser199) Antibody
Gene Names
PAK1; PAKalpha
Reactivity
Human
Applications
Immunohistochemistry, Western Blot
Purity
Antibodies were produced by immunizing rabbits with synthetic phosphopeptide and KLH conjugates. Antibodies were purified by affinity-chromatography using epitope-specific phosphopeptide. Non-phospho specific antibodies were removed by chromatogramphy usi
Pricing
product-image-AAA305207_IHC13.jpg IHC (Immunohiostchemistry) (Immunohistochemical analysis of paraffin-embedded human breast carcinoma tissue using cdc25A(Phospho-Ser76) Antibody (left) or the same antibody preincubated with blocking peptide(right).)

cdc25A, Polyclonal Antibody (Cat# AAA305207)

No reviews yet
Full Name
cdc25A (Phospho-Ser76) Antibody
Gene Names
CDC25A; CDC25A2
Reactivity
Human, Mouse, Rat
Applications
Immunohistochemistry, Western Blot
Purity
Antibodies were produced by immunizing rabbits with synthetic phosphopeptide and KLH conjugates. Antibodies were purified by affinity-chromatography using epitope-specific phosphopeptide. Non-phospho specific antibodies were removed by chromatogramphy usi
Pricing
product-image-AAA305707_IF11.jpg IF (Immunofluorescence) (Immunofluorescence staining of methanol-fixed MCF7 cells using p70 S6 Kinase(Phospho-Ser411) Antibody.)

p70 S6 Kinase, Polyclonal Antibody (Cat# AAA305707)

No reviews yet
Full Name
p70 S6 Kinase (Phospho-Ser411) Antibody
Reactivity
Human, Mouse, Rat
Applications
Immunofluorescence, Immunohistochemistry, Western Blot
Purity
Antibodies were produced by immunizing rabbits with synthetic phosphopeptide and KLH conjugates. Antibodies were purified by affinity-chromatography using epitope-specific phosphopeptide. Non-phospho specific antibodies were removed by chromatogramphy usi
Pricing

What Are Phospho Antibodies?


Protein phosphorylation is a process where a phosphate group is added to certain amino acid residues of a protein – usually serine (S), threonine (T), or tyrosine (Y) - by enzymes called kinases. This process is integral in controlling cellular signaling, cellular growth, and other biological functions.


Our catalog includes a wide range of phospho-specific antibodies that can accurately detect this important marker. They perform strongly in widely-used laboratory applications such as Western blot, flow cytometry, immunohistochemistry, and immunofluorescence microscopy. We value your trust in us and are committed to providing top-quality products and services. All of our antibodies are guaranteed to work for the applications and species indicated on our website & associated product pages.


What Are The Key Applications of Phospho Antibodies?


1. Western Blotting


One of the first steps a researcher can take in utilizing these phospho-specific antibodies, is to check if the antibody works using a technique referred to as “Western blot”. For those unfamiliar, Western Blot aids in showing whether the protein that the antibody recognizes is appearing at the correct/expected size. These phospho-specific antibodies should also be able to detect changes in the target protein’s phosphorylation (on/off state) when cells are stimulated in certain ways.


2. Staining of Fixed Cells (Immunocytochemistry)


Another routine use of these phospho-specific antibodies, is to test if the antibody is able to demonstrate similar performance when used on fixed cells (intact cells that have been preserved) as it did in the Western blot tests. It is an important aspect in many cases to confirm that the antibody works in actual intact cell samples. Ideally, the method used for cellular fixation should be the same as what is used in pathology labs (like using 10% formalin). To check if the antibody works well in tissue sections (FFPE), researchers will often test it on fixed cells that are processed similar to tissue samples.


3. Specificity Tests Using Peptides


In order to make sure that the antibody is only binding to the right target:


  • Laboratory technicians will mix the antibody with phospho-peptides (short segments of the protein containing the phosphate group modification).

  • If the antibody signal disappears, it is confirmation that it is binding to the correct phosphorylated location.

  • A more robust test is to use both the phosphorylated and non-phosphorylated (dephosphorylated) versions of the protein. The antibody should react only with the phosphorylated one.

  • Another method sometimes utilized is to treat the sample with an enzyme, such as alkaline phosphatase, that specifically removes phosphate groups. If the antibody signal disappears after this, it also confirms specificity.


4. Genetic Confirmation


As a final step, scientists can genetically manipulate the nucleotide sequence and alter the target protein by removing the exact site where phosphorylation happens. If the antibody no longer appears to detect the modified protein, it is strong evidence supporting the antibody being specific for that phosphorylated site.


Why Buy Phospho Antibodies Through Us?


  • The production laboratory adheres to strict and consistent protocols prior to releasing any of these phospho-specific antibodies:

  • Standard methods and proper controls in all tests to ensure high quality.

  • These antibodies are tested and validated in different cell types and species.

  • High quality control criterion to ensure each batch is consistent, so you will obtain reliable results every time.


FAQ


1. What Are Phospho-Specific Antibodies?


Phospho-specific antibodies are made to detect proteins only when they have a phosphate group linked to a specific amino acid residue. This empowers scientists understand if a protein is "turned on" or active, based on its phosphorylation state.


2. How to Detect Phosphorylated Proteins in a Western Blot?


To find out if a protein is phosphorylated using Western blot:


  • Use a phospho-specific antibody that binds only to the phosphorylated form of the protein.

  • You can also use a “regular” antibody for the same amino acid sequence of the protein that the phospho-specific antibody is binding to (but in this case, this antibody will not bind if there is a phosphate group present) in order to compare how much of it is phosphorylated versus how much is non-phosphorylated (or “total” protein, if the “normal” antibody’s epitopes are non-phospho-site-specific).


3. How to Choose the Best Antibody?


Here are some simple tips to help you pick the right antibody:


  • Know your target

  • Match your sample characteristics

  • Confirm the intended use is appropriate

  • Check “host” and “type”

  • Check the “quality” of the presented data/images

  • Appraise whether the available validation meets your needs


Submit a Question

Please complete the form below and a representative will contact you as soon as possible.

Request more Information

Please complete the form below and a representative will contact you as soon as possible.

Request a Manual

Please complete the form below and a representative will contact you as soon as possible.

Request a Quote

Please complete the form below and a representative will contact you as soon as possible.