Loading...

Skip to main content
Call us at +1-800-604-9114 for more information about our products or contact us online Need help? +1-800-604-9114 or contact us

Filters


Clonality

Type

Reactivity

Gene Name

Isotype

Host

Application

Clone

Phospho Antibodies

Phospho-specific antibodies’ typical purpose is to enable researchers to detect changes in proteins. They will exclusively bind to the amino acid sequence on a protein that has been phosphorylated (which is both a physical & chemical change) and do not bind to the same amino acid sequence on said protein if it lacks said phosphorylation. This aids in being able to clearly see and understand the data produced from this particular protein modification.


Viewing 3500-3550 of 5298 product results


product-image-AAA303106_WB11.jpg WB (Western Blot) (Western Blot analysis of HELA using Phospho-p38 (Y323) Polyclonal Antibody.)

p38, Polyclonal Antibody (Cat# AAA303106)

No reviews yet
Full Name
p38 (Phospho-Tyr323) Polyclonal Antibody
Gene Names
MAPK14; RK; p38; CSBP; EXIP; Mxi2; CSBP1; CSBP2; CSPB1; PRKM14; PRKM15; SAPK2A; p38ALPHA
Reactivity
Human, Mouse, Rat
Applications
Immunohistochemistry, Western Blot
Purity
The antibody was affinity-purified from rabbit antiserum by affinity-chromatography using epitope-specific immunogen.
Pricing

Phospho Cyclic AMP Response Element Binding Protein, ELISA Kit (Cat# AAA247360)

No reviews yet
Full Name
Mouse Phospho Cyclic AMP Response Element Binding Protein ELISA Kit
Reactivity
Mouse
Pricing
product-image-AAA247696_SC15.jpg Standard Curve (Sample)

Phospho Tau(s396), ELISA Kit (Cat# AAA247696)

No reviews yet
Full Name
Mouse Phospho Tau(s396) ELISA Kit
Reactivity
Mouse
Pricing
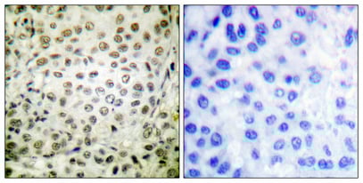
product-image-AAA301288_IHC10.jpg IHC (Immunohistochemistry) (Immunohistochemical analysis of paraffin-embedded human lung carcinoma tissue, using HER2 (Phospho-Tyr1248) Antibody.)

HER2, Polyclonal Antibody (Cat# AAA301288)

No reviews yet
Full Name
HER2 (Phospho-Tyr1248) Antibody
Gene Names
ERBB2; NEU; NGL; HER2; TKR1; CD340; HER-2; MLN 19; HER-2/neu
Reactivity
Human, Mouse, Rat
Applications
Immunofluorescence, Immunohistochemistry, Western Blot
Purity
Antibodies were produced by immunizing rabbits with synthetic phosphopeptide and KLH conjugates. Antibodies were purified by affinity-chromatography using epitope-specific phosphopeptide. Non-phospho specific antibodies were removed by chromatogramphy usi
Pricing
product-image-AAA301290_IF11.jpg IF (Immunofluorescence) (Immunofluorescence staining of methanol-fixed Hela cells using MAPKAPK-2(Phospho-Thr334) Antibody.)

MAPKAPK-2, Polyclonal Antibody (Cat# AAA301290)

No reviews yet
Full Name
MAPKAPK-2 (Phospho-Thr334) Antibody
Gene Names
MAPKAPK2; MK2; MK-2; MAPKAP-K2
Reactivity
Human, Mouse, Rat
Applications
Immunofluorescence, Immunohistochemistry, Western Blot
Purity
Antibodies were produced by immunizing rabbits with synthetic phosphopeptide and KLH conjugates. Antibodies were purified by affinity-chromatography using epitope-specific phosphopeptide. Non-phospho specific antibodies were removed by chromatogramphy usi
Pricing
product-image-AAA258879_IHC11.png IHC (Immunohistochemisry) (Immunochemical staining of human MAPK1 in human breast carcinoma with rabbit polyclonal antibody at 1:100 dilution, formalin-fixed paraffin embedded sections.)

ERK1/2, Polyclonal Antibody (Cat# AAA258879)

No reviews yet
Full Name
Phospho-ERK1/2 (Thr202, Tyr204) Antibody, Rabbit PAb, Antigen Affinity Purified
Reactivity
Human
Applications
Immunohistochemistry, Western Blot
Purity
Protein A & Antigen Affinity
Pricing
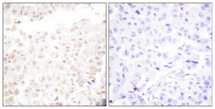
product-image-AAA301377_IHC13.jpg IHC (Immunohiostchemistry) (Immunohistochemical analysis of paraffin-embedded human breast carcinoma tissue using ATM(Phospho-Ser1981) Antibody (left) or the same antibody preincubated with blocking peptide(right).)

ATM, Polyclonal Antibody (Cat# AAA301377)

No reviews yet
Full Name
ATM (Phospho-Ser1981) Antibody
Gene Names
ATM; AT1; ATA; ATC; ATD; ATE; ATDC; TEL1; TELO1
Reactivity
Human
Applications
Immunohistochemistry, Western Blot
Purity
Antibodies were produced by immunizing rabbits with synthetic phosphopeptide and KLH conjugates. Antibodies were purified by affinity-chromatography using epitope-specific phosphopeptide. Non-phospho specific antibodies were removed by chromatogramphy usi
Pricing
product-image-AAA301416_IHC13.jpg IHC (Immunohiostchemistry) (Immunohistochemical analysis of paraffin-embedded human colon carcinoma tissue using 4E-BP1 (Phospho-Ser64) antibody (#A0401). The picture on the right is treated with the synthesized peptide.)

4E-BP1, Polyclonal Antibody (Cat# AAA301416)

No reviews yet
Full Name
4E-BP1 (Phospho-Ser64) Antibody
Gene Names
EIF4EBP1; BP-1; 4EBP1; 4E-BP1; PHAS-I
Reactivity
Human, Mouse, Rat
Applications
Immunohistochemistry, Western Blot
Purity
Antibodies were produced by immunizing rabbits with synthetic phosphopeptide and KLH conjugates. Antibodies were purified by affinity-chromatography using epitope-specific phosphopeptide. Non-phospho specific antibodies were removed by chromatogramphy usi
Pricing
product-image-AAA301459_WB13.jpg WB (Western Blot) (Western blot analysis of extracts from HT29 cells untreated or treated with UV, and MCF cells untreated or treated with Anisomycin using p53 (Phospho-Ser37) Antibody.)

p53, Polyclonal Antibody (Cat# AAA301459)

No reviews yet
Full Name
p53 (Phospho-Ser37) Antibody
Gene Names
TP53; P53; BCC7; LFS1; TRP53
Reactivity
Human
Applications
Immunofluorescence, Western Blot
Purity
Antibodies were produced by immunizing rabbits with synthetic phosphopeptide and KLH conjugates. Antibodies were purified by affinity-chromatography using epitope-specific phosphopeptide. Non-phospho specific antibodies were removed by chromatogramphy usi
Pricing

Phospho-STAT3 (Ser727), ELISA Kit (Cat# AAA247927)

No reviews yet
Full Name
Rat Phospho-STAT3 (Ser727) ELISA Kit
Reactivity
Rat
Applications
ELISA
Pricing

Phospho-Tau (Ser202, Thr205), ELISA Kit (Cat# AAA247930)

No reviews yet
Full Name
Porcine Phospho-Tau (Ser202, Thr205) ELISA Kit
Reactivity
Porcine
Applications
ELISA
Pricing
product-image-AAA284603_IF13.jpg IF (Immunofluorescence) (Confocal immunofluorescent analysis ofPhospho-ATM-pS1981 Antibody with Hela cell followed by Alexa Fluor 488-conjugated goat anti-rabbit lgG (green). DAPI was used to stain the cell nuclear (blue).)

Phospho-ATM (S1981), Polyclonal Antibody (Cat# AAA284603)

No reviews yet
Full Name
Phospho-ATM (S1981) Antibody
Gene Names
ATM; AT1; ATA; ATC; ATD; ATE; ATDC; TEL1; TELO1
Reactivity
Human
Applications
Dot Blot, Immunofluorescence
Purity
Peptide Affinity Purified Rabbit Polyclonal Antibody (Pab)
Pricing
product-image-AAA286819_IHC13.jpg IHC (Immunohiostchemistry) (Formalin-fixed and paraffin-embedded human cancer tissue reacted with the primary antibody, which was peroxidase-conjugated to the secondary antibody, followed by AEC staining. This data demonstrates the use of this antibody for immunohistochemistry; clinical relevance has not been evaluated. BC = breast carcinoma; HC = hepatocarcinoma.)

Phospho-CDC25A (S278), Polyclonal Antibody (Cat# AAA286819)

No reviews yet
Full Name
Phospho-CDC25A (S278) Antibody
Gene Names
CDC25A; CDC25A2
Reactivity
Human
Applications
Immunohistochemistry, Western Blot
Purity
Peptide Affinity Purified Rabbit Polyclonal Antibody (Pab)
Pricing
product-image-AAA286596_IHC11.jpg IHC (Immunohistochemisry) (Formalin-fixed and paraffin-embedded human cancer tissue reacted with the primary antibody, which was peroxidase-conjugated to the secondary antibody, followed by AEC staining. This data demonstrates the use of this antibody for immunohistochemistry; clinical relevance has not been evaluated. BC = breast carcinoma; HC = hepatocarcinoma.)

Phospho-STAT5a (S726), Polyclonal Antibody (Cat# AAA286596)

No reviews yet
Full Name
Phospho-STAT5a (S726) Antibody
Gene Names
STAT5A; MGF; STAT5
Reactivity
Human (Predicted Reactivity: Bovine, Pig)
Applications
Immunohistochemistry, Western Blot, Dot Blot
Purity
Peptide Affinity Purified Rabbit Polyclonal Antibody (Pab)
Pricing
product-image-AAA286351_DB13.jpg DB (Dot Blot) (Dot blot analysis of anti-TSC2-pS1798 Phospho-specific Pab (RB13393) on nitrocellulose membrane. 50ng of Phospho-peptide or Non Phospho-peptide per dot were adsorbed. Antibody working concentrations are 0.5ug per ml.)

Phospho-TSC2 (S1798), Polyclonal Antibody (Cat# AAA286351)

No reviews yet
Full Name
Phospho-TSC2 (S1798) Antibody
Gene Names
TSC2; LAM; TSC4; PPP1R160
Reactivity
Human
Applications
Dot Blot, Immunofluorescence
Purity
Peptide Affinity Purified Rabbit Polyclonal Antibody (Pab)
Pricing
product-image-AAA286863_IHC11.jpg IHC (Immunohistochemisry) (Formalin-fixed and paraffin-embedded human cancer tissue reacted with the primary antibody, which was peroxidase-conjugated to the secondary antibody, followed by AEC staining. This data demonstrates the use of this antibody for immunohistochemistry; clinical relevance has not been evaluated. BC = breast carcinoma; HC = hepatocarcinoma.)

Phospho-Bad (S99), Polyclonal Antibody (Cat# AAA286863)

No reviews yet
Full Name
Phospho-Bad (S99) Antibody
Gene Names
BAD; BBC2; BCL2L8
Reactivity
Human (Predicted Reactivity: Mouse, Rat)
Applications
Immunohistochemistry, Dot Blot, Immunofluorescence
Purity
Peptide Affinity Purified Rabbit Polyclonal Antibody (Pab)
Pricing
product-image-AAA287625_IF13.jpg IF (Immunofluorescence) (Confocal immunofluorescent analysis of Phospho-TSC2-S1387 Antibody with hela cell followed by Alexa Fluor 488-conjugated goat anti-rabbit lgG (green). DAPI was used to stain the cell nuclear (blue).)

Phospho-TSC2 (S1387), Polyclonal Antibody (Cat# AAA287625)

No reviews yet
Full Name
Phospho-TSC2 (S1387) Antibody
Gene Names
TSC2; LAM; TSC4; PPP1R160
Reactivity
Human (Predicted Reactivity: Mouse, Rat)
Applications
Immunofluorescence, Dot Blot
Purity
Peptide Affinity Purified Rabbit Polyclonal Antibody (Pab)
Pricing
product-image-AAA288906_IHC13.jpg IHC (Immunohiostchemistry) (Formalin-fixed and paraffin-embedded human cancer tissue reacted with the primary antibody, which was peroxidase-conjugated to the secondary antibody, followed by AEC staining. This data demonstrates the use of this antibody for immunohistochemistry; clinical relevance has not been evaluated. BC = breast carcinoma; HC = hepatocarcinoma)

Bi-Phospho-YES1 (Y537)/Phospho-SRC (Y530), Polyclonal Antibody (Cat# AAA288906)

No reviews yet
Full Name
Bi-Phospho-YES1 (Y537)/Phospho-SRC (Y530) Antibody
Gene Names
SRC; ASV; SRC1; c-SRC; p60-Src
Reactivity
Human (Predicted Reactivity: Chicken, Zebrafish, Mouse, Rat)
Applications
Immunohistochemistry, Dot Blot
Purity
Peptide Affinity Purified Rabbit Polyclonal Antibody (Pab)
Pricing
product-image-AAA290456_ICC13.jpg ICC (Immunocytochemistry) (Immunofluorescent analysis of Phosphorylation of H2A.X at Serine 139 in 3T3 or Hydroxyurea-treated 3T3 cells using Phospho-Histone H2A.X (Ser139) mouse mAb (1:400).)

Histone H2A.X, Monoclonal Antibody (Cat# AAA290456)

No reviews yet
Full Name
Phospho-Histone H2A.X (Ser139) Antibody
Gene Names
H2AFX; H2AX; H2A.X; H2A/X
Reactivity
Human, Mouse
Applications
Immunocytochemistry, Western Blot
Pricing
product-image-AAA290167_IHC13.jpg IHC (Immunohiostchemistry) (Formalin-fixed and paraffin-embedded human cancer tissue reacted with the primary antibody, which was peroxidase-conjugated to the secondary antibody, followed by AEC staining. This data demonstrates the use of this antibody for immunohistochemistry; clinical relevance has not been evaluated. BC = breast carcinoma; HC = hepatocarcinoma.)

Phospho-p27Kip1 (T157), Polyclonal Antibody (Cat# AAA290167)

No reviews yet
Full Name
Phospho-p27Kip1 (T157) Antibody
Gene Names
CDKN1B; KIP1; MEN4; CDKN4; MEN1B; P27KIP1
Reactivity
Human
Applications
Immunohistochemistry, Dot Blot
Purity
Peptide Affinity Purified Rabbit Polyclonal Antibody (Pab)
Pricing
product-image-AAA290209_DB13.jpg DB (Dot Blot) (Dot blot analysis of Phospho-ERBB2-T1166 Antibody Phospho-specific Pab on nitrocellulose membrane. 50ng of Phospho-peptide or Non Phospho-peptide per dot were adsorbed. Antibody working concentrations are 0.6ug per ml.)

Phospho-ERBB2 (T1166), Polyclonal Antibody (Cat# AAA290209)

No reviews yet
Full Name
Phospho-ERBB2 (T1166) Antibody
Gene Names
ERBB2; NEU; NGL; HER2; TKR1; CD340; HER-2; MLN 19; HER-2/neu
Reactivity
Human
Applications
Dot Blot, Immunofluorescence
Purity
Peptide Affinity Purified Rabbit Polyclonal Antibody (Pab)
Pricing
product-image-AAA290512_ICC13.jpg ICC (Immunocytochemistry) (Immunofluorescent analysis of Phosphorylation of H2A.X at Serine 139 in 3T3 or Hydroxyurea-treated 3T3 cells using Phospho-Histone H2A.X (Ser139) mouse mAb (1:400).)

Histone H2A.X, Monoclonal Antibody (Cat# AAA290512)

No reviews yet
Full Name
Phospho-Histone H2A.X (Ser139) Antibody
Gene Names
H2AFX; H2AX; H2A.X; H2A/X
Reactivity
Mouse
Applications
Immunocytochemistry, Western Blot
Pricing
product-image-AAA290252_IHC11.jpg IHC (Immunohistochemisry) (Formalin-fixed and paraffin-embedded human cancer tissue reacted with the primary antibody, which was peroxidase-conjugated to the secondary antibody, followed by AEC staining. This data demonstrates the use of this antibody for immunohistochemistry; clinical relevance has not been evaluated. BC = breast carcinoma; HC = hepatocarcinoma.)

Phospho-Bid (S65), Polyclonal Antibody (Cat# AAA290252)

No reviews yet
Full Name
Phospho-Bid (S65) Antibody
Gene Names
BID; FP497
Reactivity
Human
Applications
Immunohistochemistry, Western Blot
Purity
Peptide Affinity Purified Rabbit Polyclonal Antibody (Pab)
Pricing
product-image-AAA286206_IHC13.jpg IHC (Immunohiostchemistry) (Formalin-fixed and paraffin-embedded human cancer tissue reacted with the primary antibody, which was peroxidase-conjugated to the secondary antibody, followed by AEC staining. This data demonstrates the use of this antibody for immunohistochemistry; clinical relevance has not been evaluated. BC = breast carcinoma; HC = hepatocarcinoma.)

Phospho-E2F1 (S337), Polyclonal Antibody (Cat# AAA286206)

No reviews yet
Full Name
Phospho-E2F1 (S337) Antibody
Gene Names
E2F1; RBP3; E2F-1; RBAP1; RBBP3
Reactivity
Human
Applications
Immunohistochemistry, Western Blot
Purity
Peptide Affinity Purified Rabbit Polyclonal Antibody (Pab)
Pricing
product-image-AAA286255_WB13.jpg WB (Western Blot) (Western blot analysis of extracts from A431 cells,untreated or treated with EGF using Phospho-EGFR(Tyr1068)(left) or EGFR antibody(right).)

Phospho-EGFR (Y1069), Polyclonal Antibody (Cat# AAA286255)

No reviews yet
Full Name
Phospho-EGFR (Y1069) Antibody
Gene Names
EGFR; ERBB; HER1; mENA; ERBB1; PIG61; NISBD2
Reactivity
Human
Applications
Dot Blot, Western Blot
Purity
Peptide Affinity Purified Rabbit Polyclonal Antibody (Pab)
Pricing
product-image-AAA286018_DB13.jpg DB (Dot Blot) (Dot blot analysis of Phospho-GATA6-pY271 Phospho-specific Pab on nitrocellulose membrane. 50ng of Phospho-peptide or Non Phospho-peptide per dot were adsorbed. Antibody working concentrations are 0.6ug per ml.)

Phospho-GATA6 (Y271), Polyclonal Antibody (Cat# AAA286018)

No reviews yet
Full Name
Phospho-GATA6 (Y271) Antibody
Reactivity
Human
Applications
Dot Blot, Immunofluorescence
Purity
Peptide Affinity Purified Rabbit Polyclonal Antibody (Pab)
Pricing
product-image-AAA287032_IHC13.jpg IHC (Immunohiostchemistry) (Formalin-fixed and paraffin-embedded human cancer tissue reacted with the primary antibody, which was peroxidase-conjugated to the secondary antibody, followed by AEC staining. This data demonstrates the use of this antibody for immunohistochemistry; clinical relevance has not been evaluated. BC = breast carcinoma; HC = hepatocarcinoma.)

Phospho-H3 (S10), Polyclonal Antibody (Cat# AAA287032)

No reviews yet
Full Name
Phospho-H3 (S10) Antibody
Gene Names
HIST1H3A; H3/A; H3FA
Reactivity
Human
Applications
Immunohistochemistry, Western Blot
Purity
Peptide Affinity Purified Rabbit Polyclonal Antibody (Pab)
Pricing
product-image-AAA287055_IF13.jpg IF (Immunofluorescence) (Confocal immunofluorescent analysis of Phospho-eNos-S1177 Antibody with HepG2 cell followed by Alexa Fluor 488-conjugated goat anti-rabbit lgG (green).DAPI was used to stain the cell nuclear (blue).)

Phospho-eNos (S1177), Polyclonal Antibody (Cat# AAA287055)

No reviews yet
Full Name
Phospho-eNos (S1177) Antibody
Gene Names
NOS3; eNOS; ECNOS
Reactivity
Human (Predicted Reactivity: Bovine, Mouse, Pig, Rat)
Applications
Immunofluorescence, Dot Blot
Purity
Purified Rabbit Polyclonal Antibody (Pab)
Pricing
product-image-AAA287474_IHC13.jpg IHC (Immunohiostchemistry) (Formalin-fixed and paraffin-embedded human cancer tissue reacted with the primary antibody, which was peroxidase-conjugated to the secondary antibody, followed by AEC staining. This data demonstrates the use of this antibody for immunohistochemistry; clinical relevance has not been evaluated. BC = breast carcinoma; HC = hepatocarcinoma.)

Phospho-Rb (S249), Polyclonal Antibody (Cat# AAA287474)

No reviews yet
Full Name
Phospho-Rb (S249) Antibody
Gene Names
RB1; RB; pRb; OSRC; pp110; p105-Rb; PPP1R130
Reactivity
Human
Applications
Immunohistochemistry, Western Blot
Purity
Purified Rabbit Polyclonal Antibody (Pab)
Pricing
product-image-AAA290004_WB10.jpg WB (Western Blot) (Western blot analysis of extracts from A431 cells,untreated or treated with EGF using Phospho-EGFR(Tyr1172)(left) or EGFR antibody(right).)

Phospho-EGFR (Y1172), Polyclonal Antibody (Cat# AAA290004)

No reviews yet
Full Name
Phospho-EGFR (Y1172) Antibody
Gene Names
EGFR; ERBB; HER1; mENA; ERBB1; PIG61; NISBD2
Reactivity
Human
Applications
Dot Blot, Western Blot
Purity
Peptide Affinity Purified Rabbit Polyclonal Antibody (Pab)
Pricing
product-image-AAA290053_IHC13.jpg IHC (Immunohiostchemistry) (Formalin-fixed and paraffin-embedded human cancer tissue reacted with the primary antibody, which was peroxidase-conjugated to the secondary antibody, followed by AEC staining. This data demonstrates the use of this antibody for immunohistochemistry; clinical relevance has not been evaluated. BC = breast carcinoma; HC = hepatocarcinoma.)

Phospho-CDC25A (S75), Polyclonal Antibody (Cat# AAA290053)

No reviews yet
Full Name
Phospho-CDC25A (S75) Antibody
Gene Names
CDC25A; CDC25A2
Reactivity
Human
Applications
Immunohistochemistry, Western Blot
Purity
Peptide Affinity Purified Rabbit Polyclonal Antibody (Pab)
Pricing
product-image-AAA290108_IHC13.jpg IHC (Immunohiostchemistry) (Formalin-fixed and paraffin-embedded human cancer tissue reacted with the primary antibody, which was peroxidase-conjugated to the secondary antibody, followed by DAB staining. This data demonstrates the use of this antibody for immunohistochemistry; clinical relevance has not been evaluated. BC = breast carcinoma; HC = hepatocarcinoma.)

Phospho-Rb (S788), Polyclonal Antibody (Cat# AAA290108)

No reviews yet
Full Name
Phospho-Rb (S788) Antibody
Gene Names
RB1; RB; pRb; OSRC; pp110; p105-Rb; PPP1R130
Reactivity
Human
Applications
Immunohistochemistry, Dot Blot
Purity
Peptide Affinity Purified Rabbit Polyclonal Antibody (Pab)
Pricing
product-image-AAA290976_DB13.jpg DB (Dot Blot) (Dot blot analysis of anti-INSR-pY1361 Pab on nitrocellulose membrane. 50ng of Phospho-peptide or Non Phospho-peptide per dot were adsorbed. Antibody working concentrations are 0.5ug per ml.)

Phospho-INSR, Polyclonal Antibody (Cat# AAA290976)

No reviews yet
Full Name
Phospho-INSR (Y1361) Antibody
Gene Names
INSR; HHF5; CD220
Reactivity
Human
Applications
Dot Blot, Immunohistochemistry
Pricing
product-image-AAA293774_AD11.jpg Application Data

Phospho-Akt, Monoclonal Antibody (Cat# AAA293774)

No reviews yet
Full Name
Phospho-Akt (S473) mouse Monoclonal Antibody (6F8)
Gene Names
AKT1; AKT; PKB; RAC; CWS6; PRKBA; PKB-ALPHA; RAC-ALPHA
Reactivity
Human
Applications
Western Blot
Pricing
product-image-AAA293775_AD13.jpg Application Data (Dilution: WB 1:1000-2000, IHC 1:100-200)

Phospho-Akt, Monoclonal Antibody (Cat# AAA293775)

No reviews yet
Full Name
Phospho-Akt (S473) mouse Monoclonal Antibody (7F9)
Gene Names
AKT1; AKT; PKB; RAC; CWS6; PRKBA; PKB-ALPHA; RAC-ALPHA
Reactivity
Human
Applications
Immunohistochemistry, Western Blot
Pricing
product-image-AAA293915_IHC13.jpg IHC (Immunohiostchemistry) (Dilution: Western Blot: 1/500 - 1/2000. Immunohistochemistry: 1/100 - 1/300. Immunofluorescence: 1/200 - 1/1000. ELISA: 1/10000. Not yet tested in other applications.)

MEK-1, Polyclonal Antibody (Cat# AAA293915)

No reviews yet
Full Name
MEK-1 (phospho Thr292) Polyclonal Antibody
Gene Names
MAP2K1; MEK1; MKK1; MAPKK1; PRKMK1
Reactivity
Human, Mouse, Rat
Applications
Immunofluorescence, Immunohistochemistry, Western Blot
Pricing
product-image-AAA293917_WB13.jpg WB (Western Blot) (Dilution: Western Blot: 1/500 - 1/2000. Immunohistochemistry: 1/100 - 1/300. ELISA: 1/5000. Not yet tested in other applications.)

MEK-4, Polyclonal Antibody (Cat# AAA293917)

No reviews yet
Full Name
MEK-4 (phospho Ser80) Polyclonal Antibody
Gene Names
MAP2K4; JNKK; MEK4; MKK4; SEK1; JNKK1; SERK1; MAPKK4; PRKMK4; SAPKK1; SAPKK-1
Reactivity
Human, Mouse, Rat
Applications
Immunohistochemistry, Western Blot
Pricing
product-image-AAA293922_WB10.jpg WB (Western Blot) (Dilution: IF: 1:50-200 WB 1:500-2000, IHC 1:50-300 IHC 1:50-300)

p53, Polyclonal Antibody (Cat# AAA293922)

No reviews yet
Full Name
p53 (phospho Thr18) Polyclonal Antibody
Gene Names
TP53; P53; BCC7; LFS1; TRP53
Reactivity
Human, Mouse, Rat
Applications
Immunofluorescence, Immunohistochemistry, Western Blot
Pricing
product-image-AAA293925_IHC13.jpg IHC (Immunohiostchemistry) (Dilution: Western Blot: 1/500 - 1/2000. Immunohistochemistry: 1/100 - 1/300. ELISA: 1/10000. Not yet tested in other applications.)

p70 S6 kinase alpha, Polyclonal Antibody (Cat# AAA293925)

No reviews yet
Full Name
p70 S6 kinase alpha (phospho Thr421) Polyclonal Antibody
Gene Names
RPS6KB1; S6K; PS6K; S6K1; STK14A; p70-S6K; p70 S6KA; p70-alpha; S6K-beta-1; p70(S6K)-alpha
Reactivity
Human, Mouse, Rat
Applications
Immunohistochemistry, Western Blot
Pricing
product-image-AAA293928_WB13.jpg WB (Western Blot) (Dilution: Western Blot: 1/500 - 1/2000. Immunohistochemistry: 1/100 - 1/300. Immunofluorescence: 1/200 - 1/1000. ELISA: 1/40000. Not yet tested in other applications.)

PKC, Polyclonal Antibody (Cat# AAA293928)

No reviews yet
Full Name
PKC (phospho Thr497) Polyclonal Antibody
Gene Names
PRKCA; AAG6; PKCA; PRKACA; PKC-alpha
Reactivity
Human, Mouse, Rat
Applications
Immunofluorescence, Immunohistochemistry, Western Blot
Pricing
product-image-AAA293931_WB13.jpg WB (Western Blot) (Dilution: Western Blot: 1/500 - 1/2000. Immunohistochemistry: 1/100 - 1/300. ELISA: 1/20000. Not yet tested in other applications.)

PR, Polyclonal Antibody (Cat# AAA293931)

No reviews yet
Full Name
PR (phospho Ser190) Polyclonal Antibody
Gene Names
PGR; PR; NR3C3
Reactivity
Human, Monkey
Applications
Immunohistochemistry, Western Blot
Pricing
product-image-AAA293932_WB13.jpg WB (Western Blot) (Dilution: Western Blot: 1/500 - 1/2000. Immunohistochemistry: 1/100 - 1/300. ELISA: 1/10000. Not yet tested in other applications.)

Pragmin, Polyclonal Antibody (Cat# AAA293932)

No reviews yet
Full Name
Pragmin (phospho Tyr413) Polyclonal Antibody
Gene Names
SGK223; PRAGMIN
Reactivity
Human, Mouse, Rat
Applications
Immunohistochemistry, Western Blot
Pricing
product-image-AAA293933_WB13.jpg WB (Western Blot) (Dilution: Western Blot: 1/500 - 1/2000. Immunohistochemistry: 1/100 - 1/300. Immunofluorescence: 1/200 - 1/1000. ELISA: 1/10000. Not yet tested in other applications.)

Rb, Polyclonal Antibody (Cat# AAA293933)

No reviews yet
Full Name
Rb (phospho Ser780) Polyclonal Antibody
Gene Names
RB1; RB; pRb; OSRC; pp110; p105-Rb
Reactivity
Human, Mouse, Rat
Applications
Immunofluorescence, Immunohistochemistry, Western Blot
Pricing
product-image-AAA293937_WB13.jpg WB (Western Blot) (Dilution: Western Blot: 1/500 - 1/2000. Immunohistochemistry: 1/100 - 1/300. ELISA: 1/10000. Not yet tested in other applications.)

Stat6, Polyclonal Antibody (Cat# AAA293937)

No reviews yet
Full Name
Stat6 (phospho Tyr641) Polyclonal Antibody
Gene Names
STAT6; STAT6B; STAT6C; D12S1644; IL-4-STAT
Reactivity
Human, Mouse, Rat
Applications
Immunohistochemistry, Western Blot
Pricing
product-image-AAA293942_WB10.jpg WB (Western Blot) (Dilution: Western Blot: 1/500 - 1/2000. Immunohistochemistry: 1/100 - 1/300. ELISA: 1/5000. Not yet tested in other applications.)

CaMKIIalpha/beta/delta, Polyclonal Antibody (Cat# AAA293942)

No reviews yet
Full Name
CaMKIIalpha/beta/delta (phospho Thr305) Polyclonal Antibody
Gene Names
CAMK2A; CAMKA
Reactivity
Human, Mouse, Rat
Applications
Immunohistochemistry, Western Blot
Pricing
product-image-AAA293943_WB13.jpg WB (Western Blot) (Dilution: Western Blot: 1/500 - 1/2000. ELISA: 1/20000. Not yet tested in other applications.)

HDAC2, Polyclonal Antibody (Cat# AAA293943)

No reviews yet
Full Name
HDAC2 (phospho Ser394) Polyclonal Antibody
Gene Names
HDAC2; HD2; RPD3; YAF1
Reactivity
Human, Mouse, Rat, Monkey
Applications
Western Blot
Pricing
product-image-AAA293945_WB13.jpg WB (Western Blot) (Dilution: Western Blot: 1/500 - 1/2000. Immunohistochemistry: 1/100 - 1/300. ELISA: 1/10000. Not yet tested in other applications.)

GSK3beta, Polyclonal Antibody (Cat# AAA293945)

No reviews yet
Full Name
GSK3beta (phospho Ser9) Polyclonal Antibody
Reactivity
Human, Mouse, Rat
Applications
Immunohistochemistry, Western Blot
Pricing
product-image-AAA293949_WB13.jpg WB (Western Blot) (Dilution: Western Blot: 1/500 - 1/2000. Immunohistochemistry: 1/100 - 1/300. ELISA: 1/10000. Not yet tested in other applications.)

Cyclin D1, Polyclonal Antibody (Cat# AAA293949)

No reviews yet
Full Name
Cyclin D1 (phospho Thr286) Polyclonal Antibody
Gene Names
CCND1; BCL1; PRAD1; U21B31; D11S287E
Reactivity
Human, Mouse, Rat
Applications
Immunohistochemistry, Western Blot
Pricing
product-image-AAA293959_WB11.jpg WB (Western Blot) (Dilution: Western Blot: 1/500 - 1/2000. ELISA: 1/20000. Not yet tested in other applications.)

Akt, Polyclonal Antibody (Cat# AAA293959)

No reviews yet
Full Name
Akt (phospho Tyr326) Polyclonal Antibody
Gene Names
AKT1; AKT; PKB; RAC; CWS6; PRKBA; PKB-ALPHA; RAC-ALPHA
Reactivity
Human, Mouse, Rat
Applications
Western Blot
Pricing
product-image-AAA293960_IHC13.jpg IHC (Immunohiostchemistry) (Dilution: Western Blot: 1/500 - 1/2000. Immunohistochemistry: 1/100 - 1/300. ELISA: 1/20000. Not yet tested in other applications.)

MCM4, Polyclonal Antibody (Cat# AAA293960)

No reviews yet
Full Name
MCM4 (phospho Ser54) Polyclonal Antibody
Gene Names
MCM4; NKCD; CDC21; CDC54; NKGCD; hCdc21; P1-CDC21
Reactivity
Human, Mouse, Monkey
Applications
Immunohistochemistry, Western Blot
Pricing

What Are Phospho Antibodies?


Protein phosphorylation is a process where a phosphate group is added to certain amino acid residues of a protein – usually serine (S), threonine (T), or tyrosine (Y) - by enzymes called kinases. This process is integral in controlling cellular signaling, cellular growth, and other biological functions.


Our catalog includes a wide range of phospho-specific antibodies that can accurately detect this important marker. They perform strongly in widely-used laboratory applications such as Western blot, flow cytometry, immunohistochemistry, and immunofluorescence microscopy. We value your trust in us and are committed to providing top-quality products and services. All of our antibodies are guaranteed to work for the applications and species indicated on our website & associated product pages.


What Are The Key Applications of Phospho Antibodies?


1. Western Blotting


One of the first steps a researcher can take in utilizing these phospho-specific antibodies, is to check if the antibody works using a technique referred to as “Western blot”. For those unfamiliar, Western Blot aids in showing whether the protein that the antibody recognizes is appearing at the correct/expected size. These phospho-specific antibodies should also be able to detect changes in the target protein’s phosphorylation (on/off state) when cells are stimulated in certain ways.


2. Staining of Fixed Cells (Immunocytochemistry)


Another routine use of these phospho-specific antibodies, is to test if the antibody is able to demonstrate similar performance when used on fixed cells (intact cells that have been preserved) as it did in the Western blot tests. It is an important aspect in many cases to confirm that the antibody works in actual intact cell samples. Ideally, the method used for cellular fixation should be the same as what is used in pathology labs (like using 10% formalin). To check if the antibody works well in tissue sections (FFPE), researchers will often test it on fixed cells that are processed similar to tissue samples.


3. Specificity Tests Using Peptides


In order to make sure that the antibody is only binding to the right target:


  • Laboratory technicians will mix the antibody with phospho-peptides (short segments of the protein containing the phosphate group modification).

  • If the antibody signal disappears, it is confirmation that it is binding to the correct phosphorylated location.

  • A more robust test is to use both the phosphorylated and non-phosphorylated (dephosphorylated) versions of the protein. The antibody should react only with the phosphorylated one.

  • Another method sometimes utilized is to treat the sample with an enzyme, such as alkaline phosphatase, that specifically removes phosphate groups. If the antibody signal disappears after this, it also confirms specificity.


4. Genetic Confirmation


As a final step, scientists can genetically manipulate the nucleotide sequence and alter the target protein by removing the exact site where phosphorylation happens. If the antibody no longer appears to detect the modified protein, it is strong evidence supporting the antibody being specific for that phosphorylated site.


Why Buy Phospho Antibodies Through Us?


  • The production laboratory adheres to strict and consistent protocols prior to releasing any of these phospho-specific antibodies:

  • Standard methods and proper controls in all tests to ensure high quality.

  • These antibodies are tested and validated in different cell types and species.

  • High quality control criterion to ensure each batch is consistent, so you will obtain reliable results every time.


FAQ


1. What Are Phospho-Specific Antibodies?


Phospho-specific antibodies are made to detect proteins only when they have a phosphate group linked to a specific amino acid residue. This empowers scientists understand if a protein is "turned on" or active, based on its phosphorylation state.


2. How to Detect Phosphorylated Proteins in a Western Blot?


To find out if a protein is phosphorylated using Western blot:


  • Use a phospho-specific antibody that binds only to the phosphorylated form of the protein.

  • You can also use a “regular” antibody for the same amino acid sequence of the protein that the phospho-specific antibody is binding to (but in this case, this antibody will not bind if there is a phosphate group present) in order to compare how much of it is phosphorylated versus how much is non-phosphorylated (or “total” protein, if the “normal” antibody’s epitopes are non-phospho-site-specific).


3. How to Choose the Best Antibody?


Here are some simple tips to help you pick the right antibody:


  • Know your target

  • Match your sample characteristics

  • Confirm the intended use is appropriate

  • Check “host” and “type”

  • Check the “quality” of the presented data/images

  • Appraise whether the available validation meets your needs


Submit a Question

Please complete the form below and a representative will contact you as soon as possible.

Request more Information

Please complete the form below and a representative will contact you as soon as possible.

Request a Manual

Please complete the form below and a representative will contact you as soon as possible.

Request a Quote

Please complete the form below and a representative will contact you as soon as possible.