Loading...

Skip to main content
Call us at +1-800-604-9114 for more information about our products or contact us online Need help? +1-800-604-9114 or contact us

Filters


Clonality

Type

Reactivity

Gene Name

Isotype

Host

Application

Clone

Polyclonal Antibodies

At AAA Biotech also known as AAA Bio or AAABio, we provide a broad range of purified polyclonal antibodies (pAbs) that are able to all be browsed online through our website. Due to their high specificity and strong binding affinity, these antibodies are ideal for wide swathes of research and experimental applications.


Our polyclonal antibodies can easily support your work, whether you use them for Western Blotting, Immunocytochemistry (with or without Immunofluorescence used in conjunction), Immunohistochemistry, Immunoprecipitation, and ELISA tests. We highly encourage you to browse our range of pAbs and choose the one that best suits your experimental model.


Viewing 5400-5450 of 10000 product results


product-image-AAA242897_WB11.jpg WB (Western Blot) (Western blot analysis of extracts from Colo cells, HepG2 cells and 293 cells using AOS1 antibody. The lane on the left is treated with synthesized peptide.)

SAE1, Polyclonal Antibody (Cat# AAA242897)

Full Name
SAE1 Antibody
Gene Names
SAE1; AOS1; SUA1; UBLE1A; HSPC140
Reactivity
Human, Mouse, Rat
Applications
Immunofluorescence, Western Blot
Purity
Affinity-purified from rabbit antiserum by affinity-chromatography using epitope-specific immunogen.
Pricing
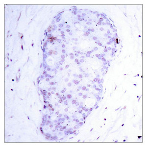
product-image-AAA242609_IHC13.jpg IHC (Immunohiostchemistry) (Immunohistochemistry analysis of paraffin-embedded human brain tissue, using CHSY1 antibody.)

CHSY1, Polyclonal Antibody (Cat# AAA242609)

Full Name
CHSY1 Antibody
Gene Names
CHSY1; CHSY; CSS1; TPBS; ChSy-1
Reactivity
Human
Applications
Immunohistochemistry, Western Blot
Purity
Affinity-purified from rabbit antiserum by affinity-chromatography using epitope-specific immunogen.
Pricing
product-image-AAA243174_IHC13.jpg IHC (Immunohiostchemistry) (Immunohistochemical analysis of paraffin-embedded human breast carcinoma tissue using NF-κB p105(phospho-Ser907) antibody.)

NFKB1, Polyclonal Antibody (Cat# AAA243174)

Full Name
Phospho-NFKB1 (Ser907) Antibody
Gene Names
NFKB1; p50; KBF1; p105; EBP-1; NF-kB1; NFKB-p50; NFkappaB; NF-kappaB; NFKB-p105; NF-kappa-B
Reactivity
Human
Applications
Immunohistochemistry, Western Blot
Purity
Antibodies were produced by immunizing rabbits with synthetic phosphopeptide and KLH conjugates. Antibodies were purified by affinity-chromatography using epitope-specific phosphopeptide. Non-phospho specific antibodies were removed by chromatography usin
Pricing

RECB, Polyclonal Antibody (Cat# AAA244210)

Full Name
Rabbit anti-Escherichia coli (strain K12) RECB Polyclonal Antibody
Gene Names
recB; ECK2816; ior; JW2788; rorA
Reactivity
E Coli (strain K12)
Applications
Western Blot
Purity
Protein A/G
Pricing
product-image-AAA317082_WB11.jpg WB (Western Blot) (Western blot analysis of lysates from LOVO cells, using SAPK/JNK Antibody. The lane on the right is blocked with the synthesized peptide.)

SAPK/JNK, Polyclonal Antibody (Cat# AAA317082)

Full Name
SAPK/JNK Antibody
Gene Names
MAPK8; JNK; JNK1; PRKM8; SAPK1; JNK-46; JNK1A2; SAPK1c; JNK21B1/2
Reactivity
Human, Mouse, Rat
Applications
Immunofluorescence, Immunohistochemistry, Western Blot
Purity
Purified from rabbit antiserum by affinity-chromatography using immunogen.
Pricing
product-image-AAA318018_WB13.jpg WB (Western Blot) (Western blot analysis of lysates from HT-29, 293, and HeLa cells, using HTR2B Antibody. The lane on the right is blocked with the synthesized peptide.)

HTR2B, Polyclonal Antibody (Cat# AAA318018)

Full Name
HTR2B Antibody
Gene Names
HTR2B; 5-HT2B; 5-HT-2B; 5-HT(2B)
Reactivity
Human
Applications
Immunofluorescence, Western Blot
Purity
Purified from rabbit antiserum by affinity-chromatography using immunogen.
Pricing
product-image-AAA318663_WB13.png WB (Western Blot) (Western blot analysis of HEPG2 823 293T AD293 HELA using SR-1D antibody. Antibody was diluted at 1:500. Secondary antibody was diluted at 1:20000)

SR-1D, Polyclonal Antibody (Cat# AAA318663)

Full Name
SR-1D Rabbit Polyclonal Antibody
Gene Names
HTR1D; HTRL; RDC4; HT1DA; 5-HT1D; HTR1DA
Reactivity
Human, Mouse, Rat
Applications
Immunofluorescence, Immunohistochemistry, Western Blot
Purity
The antibody was affinity-purified from rabbit antiserum by affinity-chromatography using epitope-specific immunogen.
Pricing
product-image-AAA318061_WB13.jpg WB (Western Blot) (Western blot analysis of lysates from K562 cells, using GPR119 Antibody. The lane on the right is blocked with the synthesized peptide.)

GPR119, Polyclonal Antibody (Cat# AAA318061)

Full Name
GPR119 Antibody
Gene Names
GPR119; GPCR2
Reactivity
Human
Applications
Immunofluorescence, Western Blot
Purity
Purified from rabbit antiserum by affinity-chromatography using immunogen.
Pricing
product-image-AAA318082_WB13.jpg WB (Western Blot) (Western blot analysis of lysates from COS7 cells, using EDG4 Antibody. The lane on the right is blocked with the synthesized peptide.)

EDG4, Polyclonal Antibody (Cat# AAA318082)

Full Name
EDG4 Antibody
Gene Names
LPAR2; EDG4; LPA2; EDG-4; LPA-2
Reactivity
Human, Mouse
Applications
Immunofluorescence, Western Blot
Purity
Purified from rabbit antiserum by affinity-chromatography using immunogen.
Pricing
product-image-AAA318295_WB13.jpg WB (Western Blot) (Western blot analysis of lysates from COS7 cells treated with UV 15', using Catenin-beta (Phospho-Tyr489) Antibody.)

Catenin-beta, Polyclonal Antibody (Cat# AAA318295)

Full Name
Catenin-beta (Phospho-Tyr489) Antibody
Gene Names
CTNNB1; EVR7; CTNNB; MRD19; armadillo
Reactivity
Human, Mouse, Rat
Applications
Immunohistochemistry, Western Blot
Purity
Purified from rabbit antiserum by affinity-chromatography using phospho peptide. The antibody against non-phospho peptide was removed by chromatography using corresponding non-phospho peptide.
Pricing
product-image-AAA318197_WB13.jpg WB (Western Blot) (Western blot analysis of lysates from HeLa cells, using OR4F4 Antibody. The lane on the right is blocked with the synthesized peptide.)

OR4F4, Polyclonal Antibody (Cat# AAA318197)

Full Name
OR4F4 Antibody
Gene Names
OR4F4; OR4F18; OLA-7501
Reactivity
Human
Applications
Immunofluorescence, Western Blot
Purity
Purified from rabbit antiserum by affinity-chromatography using immunogen.
Pricing
product-image-AAA303851_IF8.jpg IF (Immunofluorescence) (Immunofluorescence analysis of HeLa cell using NAMPT antibody.)

NAMPT, Polyclonal Antibody (Cat# AAA303851)

Full Name
NAMPT Antibody
Gene Names
NAMPT; VF; PBEF; PBEF1; VISFATIN; 1110035O14Rik
Reactivity
Human, Mouse, Rat
Applications
Immunofluorescence, Immunohistochemistry, Western Blot
Purity
Antibodies were purified by affinity purification using immunogen.
Pricing
product-image-AAA308011_IHC13.jpg IHC (Immunohiostchemistry) (Immunohistochemical analysis of paraffin-embedded human breast carcinoma tissue using Integrin b3(Phospho-Tyr773) Antibody (left) or the same antibody preincubated with blocking peptide(right).)

Integrin beta3, Polyclonal Antibody (Cat# AAA308011)

Full Name
Integrin beta3 (Phospho-Tyr773) Antibody
Gene Names
ITGB3; GT; CD61; GP3A; BDPLT2; GPIIIa; BDPLT16
Reactivity
Human, Mouse, Rat
Applications
Immunohistochemistry, Western Blot
Purity
Antibodies were produced by immunizing rabbits with synthetic phosphopeptide and KLH conjugates. Antibodies were purified by affinity-chromatography using epitope-specific phosphopeptide. Non-phospho specific antibodies were removed by chromatogramphy usi
Pricing
product-image-AAA289526_FCM13.jpg FCM/FACS (Flow Cytometry) (OC90 Antibody (Center) flow cytometric analysis of K562 cells (right histogram) compared to a negative control cell (left histogram).FITC-conjugated goat-anti-rabbit secondary antibodies were used for the analysis.)

OC90, Polyclonal Antibody (Cat# AAA289526)

Full Name
OC90 Antibody (Center)
Gene Names
OC90; PLA2L
Reactivity
Human
Applications
Flow Cytometry, Western Blot
Purity
Peptide Affinity Purified Rabbit Polyclonal Antibody (Pab)
Pricing
product-image-AAA289195_WB13.jpg WB (Western Blot) (Aurora-C Antibody (C-term) western blot analysis in HepG2 cell line lysates (35ug/lane).This demonstrates the Aurora-C antibody detected the Aurora-C protein (arrow).)

Aurora-C, Polyclonal Antibody (Cat# AAA289195)

Full Name
Aurora-C Antibody (N-term G11)
Gene Names
AURKC; AIE2; AIK3; ARK3; AurC; SPGF5; STK13; HEL-S-90; aurora-C
Reactivity
Human
Applications
Western Blot
Purity
Purified Rabbit Polyclonal Antibody (Pab)
Pricing
product-image-AAA309045_IHC13.jpg IHC (Immunohiostchemistry) (Immunohistochemical analysis of paraffin-embedded human colorectal carcinoma using at dilution of 1:100.)

Glutamate carboxypeptidase 2, Polyclonal Antibody (Cat# AAA309045)

Full Name
Glutamate carboxypeptidase 2 Polyclonal Antibody
Gene Names
FOLH1; PSM; FGCP; FOLH; GCP2; PSMA; mGCP; GCPII; NAALAD1; NAALAdase
Reactivity
Human
Applications
Immunohistochemistry, Western Blot
Purity
Caprylic Acid Ammonium Sulfate Precipitation purified
Pricing
product-image-AAA286544_FCM11.jpg FCM/FACS (Flow Cytometry) (Flow cytometric analysis of hela cells using EIF3H Antibody (C-term)(bottom histogram) compared to a negative control cell (top histogram). FITC-conjugated goat-anti-rabbit secondary antibodies were used for the analysis.)

EIF3H, Polyclonal Antibody (Cat# AAA286544)

Full Name
EIF3H Antibody (C-term)
Gene Names
EIF3H; EIF3S3; eIF3-p40; eIF3-gamma
Reactivity
Human, mouse (Predicted Reactivity: Bovine, Chicken, Xenopus)
Applications
Western Blot, Flow Cytometry, Immunohistochemistry
Purity
Purified Rabbit Polyclonal Antibody (Pab)
Pricing
product-image-AAA163139_IHC10.jpg IHC (Immunohistochemistry) (CD47 Antibody-Human Colon: Formalin-Fixed, Paraffin-Embedded (FFPE))

CD47, Polyclonal Antibody (Cat# AAA163139)

Full Name
CD47 Rabbit anti-Human Polyclonal Antibody
Gene Names
CD47; IAP; OA3; MER6
Reactivity
Human
Applications
Immunohistochemistry
Purity
Immunoaffinity purified
Pricing
product-image-AAA326746_WB11.jpg WB (Western Blot) (Western blot analysis of Hela whole cell lysates, using HMMR Antibody. The lane on the left is treated with the antigen-specific peptide.)

HMMR, Polyclonal Antibody (Cat# AAA326746)

Full Name
HMMR Antibody
Gene Names
HMMR; CD168; IHABP; RHAMM
Reactivity
Human, Mouse, Rat
Applications
Immunocytochemistry, Immunofluorescence, Immunohistochemistry, Western Blot
Purity
The antiserum was purified by peptide affinity chromatography using SulfoLink Coupling Resin.
Pricing
product-image-AAA327114_IHC13.jpg IHC (Immunohiostchemistry) (AAA327114 at 1/100 staining Human melanoma tissue by IHC-P. The sample was formaldehyde fixed and a heat mediated antigen retrieval step in citrate buffer was performed. The sample was then blocked and incubated with the antibody for 1.5 hours at 22 degree C. An HRP conjugated goat anti-rabbit antibody was used as the secondary.)

HPX, Polyclonal Antibody (Cat# AAA327114)

Full Name
HPX Antibody
Gene Names
HPX; HX
Reactivity
Human
Applications
Immunohistochemistry, Western Blot
Purity
The antiserum was purified by peptide affinity chromatography using SulfoLink Coupling Resin.
Pricing
product-image-AAA326687_IF11.jpg IF (Immunofluorescence) (AAA326687 staining HepG2 by IF/ICC. The sample were fixed with PFA and permeabilized in 0.1% Triton X-100, then blocked in 10% serum for 45 minutes at 25 degree C. The primary antibody was diluted at 1/200 and incubated with the sample for 1 hour at 37 degree C. An Alexa Fluor 594 conjugated goat anti-rabbit IgG (H+L) Ab, diluted at 1/600, was used as the secondary antibody.)

Histone H3, Polyclonal Antibody (Cat# AAA326687)

Full Name
Histone H3 Antibody
Gene Names
HIST3H3; H3t; H3.4; H3/g; H3FT
Reactivity
Human, Mouse, Rat
Applications
Chromatin Immunoprecipitation, Immunoprecipitation, Immunocytochemistry, Immunofluorescence, Immunohistochemistry, Western Blot
Purity
The antiserum was purified by peptide affinity chromatography using SulfoLink Coupling Resin.
Pricing
product-image-AAA324076_IF10.jpg IF (Immunofluorescence) (AAA324076 staining HepG2 cells by IF/ICC. The sample were fixed with PFA and permeabilized in 0.1% Triton X-100, then blocked in 10% serum for 45 minutes at 25 degree C. The primary antibody was diluted at 1/200 and incubated with the sample for 1 hour at 37 degree C. An Alexa Fluor 594 conjugated goat anti-rabbit IgG (H+L) antibody, diluted at 1/600, was used as secondary antibody.)

TAF15, Polyclonal Antibody (Cat# AAA324076)

Full Name
TAF15 Antibody
Gene Names
TAF15; Npl3; RBP56; TAF2N; TAFII68
Reactivity
Human, Mouse, Rat
Applications
Immunocytochemistry, Immunofluorescence, Immunohistochemistry, Western Blot
Purity
The antiserum was purified by peptide affinity chromatography using SulfoLink Coupling Resin.
Pricing
product-image-AAA326285_WB11.jpg WB (Western Blot) (Western blot analysis of extracts from mouse muscle, mouse spleen, using HMGCR Antibody.)

HMGCR, Polyclonal Antibody (Cat# AAA326285)

Full Name
HMGCR Antibody
Gene Names
HMGCR; LDLCQ3
Reactivity
Human, Mouse, Rat
Applications
Immunohistochemistry, Western Blot
Purity
The antiserum was purified by peptide affinity chromatography using SulfoLink Coupling Resin.
Pricing
product-image-AAA322279_IF13.jpg IF (Immunofluorescence) (AAA322279 staining K562 by IF/ICC. The sample were fixed with PFA and permeabilized in 0.1% Triton X-100, then blocked in 10% serum for 45 minutes at 25 degree C. The primary antibody was diluted at 1/200 and incubated with the sample for 1 hour at 37 degree C. An Alexa Fluor 594 conjugated goat anti-rabbit IgG (H+L) Ab, diluted at 1/600, was used as the secondary antibody.)

eNOS, Polyclonal Antibody (Cat# AAA322279)

Full Name
eNOS Antibody
Gene Names
NOS3; eNOS; ECNOS
Reactivity
Human, Mouse, Rat
Applications
Immunocytochemistry, Immunofluorescence, Western Blot
Purity
The antiserum was purified by peptide affinity chromatography using SulfoLink Coupling Resin.
Pricing
product-image-AAA324911_IHC11.jpg IHC (Immunohistochemisry) (AAA324911 at 1/100 staining Mouse spleen tissue by IHC-P. The sample was formaldehyde fixed and a heat mediated antigen retrieval step in citrate buffer was performed. The sample was then blocked and incubated with the antibody for 1.5 hours at 22 degree C. An HRP conjugated goat anti-rabbit antibody was used as the secondary.)

NUMA1, Polyclonal Antibody (Cat# AAA324911)

Full Name
NUMA1 Antibody
Gene Names
NUMA1; NUMA; NMP-22
Reactivity
Human, Mouse
Applications
Immunocytochemistry, Immunofluorescence, Immunohistochemistry, Western Blot
Purity
The antiserum was purified by peptide affinity chromatography using SulfoLink Coupling Resin.
Pricing
product-image-AAA307183_IHC13.gif IHC (Immunohiostchemistry) (Immunohistochemistry of KLHL1 in rat brain tissue with KLHL1 antibody at 10 ug/mL.)

KLHL1, Polyclonal Antibody (Cat# AAA307183)

Full Name
KLHL1 Antibody
Applications
Immunohistochemistry, Western Blot
Purity
immunoaffinity purified
Pricing
product-image-AAA303198_WB11.jpg WB (Western Blot) (Western blot analysis of extract from MDA-MB-435 cells untreated or treated with TNF-alpha (20ng/ml, 5min) using NF-kappaB p100(phospho-Ser870) antibody ().)

NFkappaB-p100/p52, Polyclonal Antibody (Cat# AAA303198)

Full Name
NFkappaB-p100/p52(Phospho-Ser870) Antibody
Gene Names
NFKB2; p52; p100; H2TF1; LYT10; CVID10; LYT-10; NF-kB2
Reactivity
Human, Mouse, Rat
Applications
Immunofluorescence, Immunohistochemistry, Western Blot
Purity
Antibodies were produced by immunizing rabbits with synthetic phosphopeptide and KLH conjugates. Antibodies were purified by affinity-chromatography using epitope-specific phosphopeptide. Non-phospho specific antibodies were removed by chromatogramphy usi
Pricing
product-image-AAA304663_IHC13.jpg IHC (Immunohiostchemistry) (Immunohistochemical analysis of paraffin-embedded Human gastric cancer tissue using at dilution 1/30.)

PPARA, Polyclonal Antibody (Cat# AAA304663)

Full Name
PPARA Antibody
Gene Names
PPARA; PPAR; NR1C1; hPPAR; PPARalpha
Reactivity
Human, Mouse, Rat
Applications
Immunohistochemistry, Western Blot
Purity
Antigen affinity purification.
Pricing
product-image-AAA310914_IHC13.jpg IHC (Immunohiostchemistry) (Immunohistochemical analysis of LEKTI staining in human breast carcinoma formalin fixed paraffin embedded tissue section. The section was then incubated with the antibody at room temperature and detected using an HRP conjugated compact polymer system. DAB was used as the chromogen. The section was then counterstained with haematoxylin and mounted with DPX.)

LEKTI, Polyclonal Antibody (Cat# AAA310914)

Full Name
LEKTI Antibody
Gene Names
SPINK5; NS; NETS; LEKTI; LETKI; VAKTI
Reactivity
Human, Mouse
Applications
Immunohistochemistry, Western Blot
Purity
Immunogen affinity chromatography
Pricing
product-image-AAA288614_IHC13.jpg IHC (Immunohiostchemistry) (Formalin-fixed and paraffin-embedded human cancer tissue reacted with the primary antibody, which was peroxidase-conjugated to the secondary antibody, followed by AEC staining. This data demonstrates the use of this antibody for immunohistochemistry; clinical relevance has not been evaluated. BC = breast carcinoma; HC = hepatocarcinoma.)

Phospho-DAXX (S213), Polyclonal Antibody (Cat# AAA288614)

Full Name
Phospho-DAXX (S213) Antibody
Gene Names
DAXX; DAP6; EAP1; BING2
Reactivity
Human (Predicted Reactivity: Mouse, Rat)
Applications
Immunohistochemistry, Western Blot
Purity
Peptide Affinity Purified Rabbit Polyclonal Antibody (Pab)
Pricing
product-image-AAA288472_FCM11.jpg FCM/FACS (Flow Cytometry) (CYP26A1 Antibody (C-term) flow cytometric analysis of NIH-3T3 cells (right histogram) compared to a negative control cell (left histogram).FITC-conjugated goat-anti-rabbit secondary antibodies were used for the analysis.)

CYP26A1, Polyclonal Antibody (Cat# AAA288472)

Full Name
CYP26A1 Antibody (C-term)
Gene Names
CYP26A1; CP26; CYP26; P450RAI; P450RAI1
Reactivity
Human, mouse
Applications
Western Blot, Flow Cytometry, Immunohistochemistry
Purity
Purified Rabbit Polyclonal Antibody (Pab)
Pricing
product-image-AAA304759_WB13.jpg WB (Western Blot) (Western Blot analysis of NIH-3T3 cells using Mucin 1 Polyclonal Antibody)

Mucin 1, Polyclonal Antibody (Cat# AAA304759)

Full Name
Mucin 1 Polyclonal Antibody
Gene Names
MUC1; EMA; MCD; PEM; PUM; KL-6; MAM6; MCKD; PEMT; CD227; H23AG; MCKD1; MUC-1; ADMCKD; ADMCKD1; CA 15-3; MUC-1/X; MUC1/ZD; MUC-1/SEC
Reactivity
Human, Mouse, Rat
Applications
Western Blot
Purity
The antibody was affinity-purified from rabbit antiserum by affinity-chromatography using epitope-specific immunogen.
Pricing
product-image-AAA305903_IHC13.jpg IHC (Immunohiostchemistry) (Immunohistochemical analysis of paraffin-embedded Human cervical cancer tissue using at dilution 1/30.)

SRF, Polyclonal Antibody (Cat# AAA305903)

Full Name
SRF Antibody
Gene Names
SRF; MCM1
Reactivity
Human
Applications
Immunohistochemistry, Western Blot
Purity
Antigen affinity purification.
Pricing
product-image-AAA289694_IHC13.jpg IHC (Immunohiostchemistry) (TRUB1 Antibody (Center) immunohistochemistry analysis in formalin fixed and paraffin embedded human liver tissue followed by peroxidase conjugation of the secondary antibody and DAB staining.This data demonstrates the use of TRUB1 Antibody (Center) for immunohistochemistry. Clinical relevance has not been evaluated.)

TRUB1, Polyclonal Antibody (Cat# AAA289694)

Full Name
TRUB1 Antibody (Center)
Gene Names
TRUB1; PUS4
Reactivity
Human
Applications
Immunohistochemistry, Western Blot
Purity
Peptide Affinity Purified Rabbit Polyclonal Antibody (Pab)
Pricing
product-image-AAA132922_IHC11.jpg IHC (Immunohistochemisry) (DAB staining on IHC-P; Samples: Human Liver Tissue))

Pentraxin 3, Long (PTX3), Polyclonal Antibody (Cat# AAA132922)

Full Name
Polyclonal Antibody to Pentraxin 3, Long (PTX3)
Gene Names
PTX3; TSG-14; TNFAIP5
Reactivity
Human
Applications
Western Blot, Immunohistochemistry, Immunocytochemistry
Purity
Affinity Chromatography
Pricing
product-image-AAA132982_IHC13.jpg IHC (Immunohiostchemistry) (DABstainingonIHC-P.Samples:RatTissue))

Beta-Site APP Cleaving Enzyme 1 (bACE1), Polyclonal Antibody (Cat# AAA132982)

Full Name
Polyclonal Antibody to Beta-Site APP Cleaving Enzyme 1 (bACE1)
Gene Names
Bace1; Bace
Reactivity
Rat, Human, Mouse
Applications
Western Blot, Immunohistochemistry, Immunocytochemistry
Purity
Affinity Chromatography
Pricing
product-image-AAA135448_IHC13.jpg IHC (Immunohiostchemistry) (DAB staining on fromalin fixed paraffin-embedded Liver tissue))

Large Multifunctional Peptidase 7 (LMP7), Polyclonal Antibody (Cat# AAA135448)

Full Name
Polyclonal Antibody to Large Multifunctional Peptidase 7 (LMP7)
Gene Names
Psmb8; Lmp7; Lmp-7
Reactivity
Mouse
Applications
Western Blot, Immunohistochemistry, Immunocytochemistry
Purity
Affinity Chromatography
Pricing
product-image-AAA130774_IHC11.jpg IHC (Immunohistochemisry) (DAB staining on IHC-P. Samples: Human Tissue))

Periplakin (PPL), Polyclonal Antibody (Cat# AAA130774)

Full Name
Polyclonal Antibody to Periplakin (PPL)
Reactivity
Human, Mouse, Pig
Applications
Western Blot, Immunohistochemistry, Immunocytochemistry
Purity
Affinity Chromatography
Pricing
product-image-AAA135022_IHC10.jpg IHC (Immunohistochemistry) (DAB staining on IHC-P; Samples: Mouse Brain Tissue))

Topoisomerase II Beta (TOP2b), Polyclonal Antibody (Cat# AAA135022)

Full Name
Polyclonal Antibody to Topoisomerase II Beta (TOP2b)
Gene Names
Top2b; Top-2; D230016L12Rik
Reactivity
Mouse
Applications
Western Blot, Immunohistochemistry, Immunocytochemistry
Purity
Affinity Chromatography
Pricing
product-image-AAA168846_IHC13.jpg IHC (Immunohiostchemistry) (Immunohistochemistry of paraffin-embedded Human tonsil tissue using COX16 Polyclonal Antibody at dilution 1:50)

COX16, Polyclonal Antibody (Cat# AAA168846)

Full Name
COX16 Polyclonal Antibody
Gene Names
COX16; HSPC203; C14orf112
Reactivity
Human, Mouse, Rat
Applications
Immunohistochemistry
Purity
Antigen affinity purification
Pricing
product-image-AAA133605_IHC11.jpg IHC (Immunohistochemisry) (DAB staining on IHC-P. Samples: Mouse Tissue))

Prostaglandin Endoperoxide Synthase 2 (PTGS2), Polyclonal Antibody (Cat# AAA133605)

Full Name
Polyclonal Antibody to Prostaglandin Endoperoxide Synthase 2 (PTGS2)
Gene Names
Ptgs2; COX2; Cox-2; PES-2; PHS-2; Pghs2; TIS10; PGHS-2; PHS II; gripghs
Reactivity
Mouse, Human, Rat
Applications
Western Blot, Immunohistochemistry, Immunocytochemistry
Purity
Affinity Chromatography
Pricing
product-image-AAA52022_IHC10.jpg IHC (Immunohistochemistry) (Anti-MTNR1B / MT2 antibody IHC of human eye. Immunohistochemistry of formalin-fixed, paraffin-embedded tissue after heat-induced antigen retrieval.)

MTNR1B / MT2, Polyclonal Antibody (Cat# AAA52022)

Full Name
Rabbit Polyclonal to Human MTNR1B / MT2
Gene Names
MTNR1B; MT2; FGQTL2; MEL-1B-R
Reactivity
Gorilla, Human
Predicted Reactivity: Monkey (at least 90% immunogen sequence identity)
Applications
Immunohistochemistry
Purity
Immunoaffinity Purified
Pricing
product-image-AAA52600_FCM11.jpg FCM/FACS (Flow Cytometry) (CLDN8 Antibody flow cytometry of 293 cells (right histogram) compared to a negative control cell (left histogram). FITC-conjugated goat-anti-rabbit secondary antibodies were used for the analysis.)

CLDN8 / Claudin 8, Polyclonal Antibody (Cat# AAA52600)

Full Name
Anti-CLDN8 / Claudin 8 Antibody (aa140-166) IHC-plus
Gene Names
CLDN8; HEL-S-79
Reactivity
Human
Applications
Flow Cytometry, Western Blot, Immunohistochemistry
Purity
Immunoaffinity purified
Pricing
product-image-AAA174076_IHC8.jpg IHC (Immunohistochemistry) (Immunohistochemistry of paraffin-embedded Human breast using BRCA2 Polyclonal Antibody at dilution of 1:100)

BRCA2, Polyclonal Antibody (Cat# AAA174076)

Full Name
BRCA2 Polyclonal Antibody
Reactivity
Human, Rat
Applications
Immunofluorescence, Immunohistochemistry, Western Blot
Purity
Antigen Affinity Purification
Pricing
product-image-AAA50737_WB13.jpg WB (Western Blot) (Anti-DNAPKcs Antibody - Western Blot. Western blot of Affinity Purified anti-DNAPKcs antibody shows detection of a 460 kD band corresponding to human DNAPKcs in various preparations. Lane 1: Fus1 untreated, Lane 2: Fus1 IR (20Gy, 4h), Lane 3: Fus1 DNAPK inhibitor + IR, Lane 4: MO59J (DNAPK-) untreated, Lane 5: MO59J IR, Lane 6: Fus1 untreated, Lane 7: Fus1 IR (20Gy, 4h), Lane 8: Fus1 DNAPK inhibitor + IR, Lane 9: MO59J untreated, Lane 10: MO59J IR. Lanes 1-5 are nuclear extract whereas lanes 6-10 are whole cell lysates. MO59J is a cell line that lacks DNA-PKcs. FUS1 is the matched cell line complemented with a chromosomal fragment containing the DNA-PKcs gene. Approximately 20 ug of lysate was run on SDS-PAGE and transferred onto nitrocellulose, followed by reaction with a 1:1000 dilution of anti-DNAPKcs antibody. Detection occurred using a 1:5000 dilution of HRP-labeled Goat anti-Rabbit IgG for 1 hour at room temperature. A chemiluminescence system was used for signal detection (Roche) using a 1 min exposure time.)

PRKDC / DNA-PKcs, Polyclonal Antibody (Cat# AAA50737)

Full Name
Rabbit Polyclonal to Human PRKDC / DNA-PKcs
Gene Names
PRKDC; HYRC; p350; DNAPK; DNPK1; HYRC1; IMD26; XRCC7; DNA-PKcs
Reactivity
Chimpanzee, Human
Applications
Western Blot, Immunohistochemistry
Purity
Immunoaffinity Purified
Pricing
product-image-AAA50985_WB11.jpg WB (Western Blot) (Western blot of Slitrk2 in rat brain tissue lysate with Slitrk2 antibody at (A) 1 and (B) 2 ug/ml.)

SLITRK2, Polyclonal Antibody (Cat# AAA50985)

Full Name
Rabbit Polyclonal to Human SLITRK2
Gene Names
SLITRK2; CXorf2; SLITL1
Reactivity
Human, Mouse, Rat
Applications
Western Blot, Immunohistochemistry
Purity
Immunoaffinity Purified
Pricing
product-image-AAA51062_WB13.jpg WB (Western Blot) (Antibody (0.3 ug/ml) staining of Human Colon lysate (35 ug protein in RIPA buffer). Primary incubation was 1 hour. Detected by chemiluminescence.)

HTR3A / 5-HT3A Receptor, Polyclonal Antibody (Cat# AAA51062)

Full Name
Goat Polyclonal to Human HTR3A / 5-HT3A Receptor
Gene Names
HTR3A; HTR3; 5HT3R; 5-HT-3; 5-HT3A; 5-HT3R
Reactivity
Chimpanzee, Gorilla, Human
Predicted Reactivity: Orangutan (at least 90% immunogen sequence identity)
Applications
Western Blot, Immunohistochemistry
Purity
Immunoaffinity Purified
Pricing
product-image-AAA36943_IF13.jpg IF (Immunofluorescence) (Immunofluorescence analysis of HepG2 cells using FCGR2A antibody. Blue: DAPI for nuclear staining.)

FCGR2A, Polyclonal Antibody (Cat# AAA36943)

Full Name
FCGR2A Polyclonal Antibody
Gene Names
FCGR2A; CD32; FCG2; FcGR; CD32A; CDw32; FCGR2; IGFR2; FCGR2A1
Reactivity
Human
Applications
Immunofluorescence, Immunohistochemistry, Western Blot
Purity
Affinity Purification
Pricing
product-image-AAA45479_IHC11.jpg IHC (Immunohistochemisry) (Anti-Annexin IV antibody, AAA45479, IHC(P)IHC(P): Rat Pancreas Tissue)

Annexin IV, Polyclonal Antibody (Cat# AAA45479)

Full Name
Anti-Annexin IV antibody
Gene Names
ANXA4; ANX4; PIG28; ZAP36; HEL-S-274
Reactivity
Human, Mouse, Rat
Applications
Immunohistochemistry, Western Blot
Purity
Immunogen affinity purified.
Pricing
product-image-AAA46343_IHC13.jpg IHC (Immunohiostchemistry) (Anti- Oncostatin M Picoband antibody, AAA46343, IHC(P)IHC(P): Human Intestinal Cancer Tissue)

Oncostatin M, Polyclonal Antibody (Cat# AAA46343)

Full Name
Anti-Oncostatin M Antibody
Reactivity
Human
Applications
Immunohistochemistry, Western Blot
Purity
Immunogen Affinity Purified
Pricing

What are Polyclonal Antibodies?


Polyclonal antibodies are antibodies that come from multiple B cell clones of a host animal. The typical hosts used for the majority of polyclonal antibody production are rabbits, goats, sheep, and donkeys. These polyclonal antibodies, once having identified their target, will bind to different epitopes located at different regions or sequences on the same protein/antigen. As a result, they are ideal at locating and binding to the target, even if the target is in very low concentrations (due to many different antibodies being able to bind to the same target molecule, which allows for significant amplification of a downstream signal).


Polyclonal antibodies are typically produced by injecting an antigen into a host animal, which causes the animal’s immune system to attack the foreign antigen by mass generating antibodies against it. After a period of time, serum is collected from the animal and purified using physicochemical fractionation, class-specific affinity purification, and/or antigen-affinity purification.


Key Uses of Polyclonal Antibodies


  • Western Blotting: This method is used to find specific proteins in biological samples after separating them by size.

  • Immunohistochemistry: IHC helps visualize the location of proteins in tissue sections using various staining techniques.

  • ELISA: (Enzyme-Linked Immunosorbent Assay) is typically used to identify specific protein quantities in a sample. ELISAs can be either “Quantitative” or “Qualitative”.

  • Flow Cytometry: technique that identifies and measures the specific protein on the surface or inside the cells in a fluid suspension.

  • Immunoprecipitation: IP isolates and studies a specific protein from a complex mixture using antibodies.


Why Buy Polyclonal Antibodies from AAA Biotech?


1. Ideal for Various Applications


Our antibodies are generally going to be validated for use in multiple types of assays, including ELISA, Western Blotting, Immunohistochemistry, Immunoprecipitation, amongst others. They are ideal for a wide range of research applications.


2. Rigorous Quality Control


All of the antibodies in our catalog undergo strict quality testing to ensure specificity, sensitivity, and consistent performance. We are confident in the ability of our antibodies to provide you with accurate results.


3. Wide Assortment of Antibodies


Antibodies in are catalog can be found for both common and exotic species, and these antibodies are also available in both conjugated and recombinant forms to suit many diverse experimental needs.


4. Highly Purified


Our antibodies are available in purified forms with over 85% purity, as confirmed by SDS-PAGE. They are also available with tags such as His, Flag, GST, or MBP. We cater to customers worldwide.


FAQ


1. How are polyclonal antibodies produced?


Traditionally, polyclonal antibodies are produced by injecting an antigen into a host animal (such as a rabbit or goat), which then triggers an immune response from the host animal. The animal’s B cells produce antibodies that will recognize different parts of the injected antigen. These antibodies are then collected from the animal’s blood and purified for use.


2. How do polyclonal antibodies differ from monoclonal antibodies?


Polyclonal antibodies are a mix of antibodies that bind to different locations (epitopes) of the same antigen, while monoclonal antibodies are identical and bind to just one specific epitope. This makes polyclonal antibodies more versatile and better at detecting proteins that may be present in low quantities or in altered/modified forms.


3. How should I store polyclonal antibodies?


Polyclonal antibodies should be stored at 4°C for short-term use (up to a few weeks) and at -20°C or -80°C for long-term storage. Avoid repeated freeze-thaw cycles by dividing them into small aliquots. Always check the datasheet for specific storage instructions.


Submit a Question

Please complete the form below and a representative will contact you as soon as possible.

Request more Information

Please complete the form below and a representative will contact you as soon as possible.

Request a Manual

Please complete the form below and a representative will contact you as soon as possible.

Request a Quote

Please complete the form below and a representative will contact you as soon as possible.