Loading...

Skip to main content
Call us at +1-800-604-9114 for more information about our products or contact us online Need help? +1-800-604-9114 or contact us

Filters


Clonality

Type

Reactivity

Gene Name

Isotype

Host

Application

Clone

Polyclonal Antibodies

At AAA Biotech also known as AAA Bio or AAABio, we provide a broad range of purified polyclonal antibodies (pAbs) that are able to all be browsed online through our website. Due to their high specificity and strong binding affinity, these antibodies are ideal for wide swathes of research and experimental applications.


Our polyclonal antibodies can easily support your work, whether you use them for Western Blotting, Immunocytochemistry (with or without Immunofluorescence used in conjunction), Immunohistochemistry, Immunoprecipitation, and ELISA tests. We highly encourage you to browse our range of pAbs and choose the one that best suits your experimental model.


Viewing 5600-5650 of 10000 product results


product-image-AAA327082_IHC13.jpg IHC (Immunohiostchemistry) (AAA327082 at 1/100 staining Human gastric tissue by IHC-P. The sample was formaldehyde fixed and a heat mediated antigen retrieval step in citrate buffer was performed. The sample was then blocked and incubated with the antibody for 1.5 hours at 22 degree C. An HRP conjugated goat anti-rabbit antibody was used as the secondary.)

CTSA, Polyclonal Antibody (Cat# AAA327082)

Full Name
CTSA Antibody
Gene Names
CTSA; GSL; GLB2; NGBE; PPCA; PPGB
Reactivity
Human, Mouse, Rat
Applications
Immunohistochemistry, Western Blot
Purity
The antiserum was purified by peptide affinity chromatography using SulfoLink Coupling Resin.
Pricing
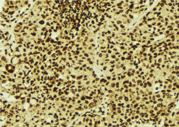
product-image-AAA327089_IHC13.jpg IHC (Immunohiostchemistry) (AAA327089 at 1/100 staining Human liver cancer tissue by IHC-P. The sample was formaldehyde fixed and a heat mediated antigen retrieval step in citrate buffer was performed. The sample was then blocked and incubated with the antibody for 1.5 hours at 22 degree C. An HRP conjugated goat anti-rabbit antibody was used as the secondary.)

GNAS, Polyclonal Antibody (Cat# AAA327089)

Full Name
GNAS Antibody
Gene Names
GNAS; AHO; GSA; GSP; POH; GPSA; NESP; SCG6; SgVI; GNAS1; PITA3; C20orf45
Reactivity
Human, Mouse, Rat
Applications
Immunohistochemistry, Western Blot
Purity
The antiserum was purified by peptide affinity chromatography using SulfoLink Coupling Resin.
Pricing
product-image-AAA326589_WB11.jpg WB (Western Blot) (Western blot analysis of Hela whole cell lysates, using PIN1 Antibody. The lane on the left is treated with the antigen-specific peptide.)

PIN1, Polyclonal Antibody (Cat# AAA326589)

Full Name
PIN1 Antibody
Gene Names
PIN1; DOD; UBL5
Reactivity
Human, Mouse, Rat
Applications
Immunocytochemistry, Immunofluorescence, Immunohistochemistry, Western Blot
Purity
The antiserum was purified by peptide affinity chromatography using SulfoLink Coupling Resin.
Pricing
product-image-AAA326592_WB13.jpg WB (Western Blot) (Western blot analysis of HepG2 cell lysate, using PPP4C Antibody. The lane on the left is treated with the antigen-specific peptide.)

PPP4C, Polyclonal Antibody (Cat# AAA326592)

Full Name
PPP4C Antibody
Gene Names
PPP4C; PP4; PPX; PP-X; PP4C; PPH3; PPP4
Reactivity
Human, Mouse, Rat
Applications
Immunohistochemistry, Western Blot
Purity
The antiserum was purified by peptide affinity chromatography using SulfoLink Coupling Resin.
Pricing
product-image-AAA326602_WB13.jpg WB (Western Blot) (Western blot analysis of A549 whole cell lysates, using UAP1 Antibody. The lane on the left is treated with the antigen-specific peptide.)

UAP1, Polyclonal Antibody (Cat# AAA326602)

Full Name
UAP1 Antibody
Gene Names
UAP1; AGX; AGX1; AGX2; SPAG2
Reactivity
Human, Mouse, Rat
Applications
Immunohistochemistry, Western Blot
Purity
The antiserum was purified by peptide affinity chromatography using SulfoLink Coupling Resin.
Pricing
product-image-AAA327272_IHC13.jpg IHC (Immunohiostchemistry) (AAA327272 at 1/100 staining Mouse lung tissue by IHC-P. The sample was formaldehyde fixed and a heat mediated antigen retrieval step in citrate buffer was performed. The sample was then blocked and incubated with the antibody for 1.5 hours at 22 degree C. An HRP conjugated goat anti-rabbit antibody was used as the secondary.)

IL15, Polyclonal Antibody (Cat# AAA327272)

Full Name
IL15 Antibody
Gene Names
IL15; IL-15
Reactivity
Human, Mouse
Applications
Immunohistochemistry, Western Blot
Purity
The antiserum was purified by peptide affinity chromatography using SulfoLink™ Coupling Resin (Thermo Fisher Scientific).
Pricing
product-image-AAA327276_WB13.jpg WB (Western Blot) (Western blot analysis of MAG using COLO205 whole lysates.)

MAG, Polyclonal Antibody (Cat# AAA327276)

Full Name
MAG Antibody
Gene Names
MAG; GMA; S-MAG; SPG75; SIGLEC4A; SIGLEC-4A
Reactivity
Human, Mouse
Applications
Immunohistochemistry, Western Blot
Purity
The antiserum was purified by peptide affinity chromatography using SulfoLink Coupling Resin.
Pricing
product-image-AAA327325_WB13.jpg WB (Western Blot) (Western blot analysis of ESRRA using LOVO whole lysates.)

ESRRA, Polyclonal Antibody (Cat# AAA327325)

Full Name
ESRRA Antibody
Gene Names
ESRRA; ERR1; ERRa; ESRL1; NR3B1; ERRalpha
Reactivity
Human, Mouse
Applications
Western Blot
Purity
The antiserum was purified by peptide affinity chromatography using SulfoLink Coupling Resin.
Pricing
product-image-AAA326324_WB11.jpg WB (Western Blot) (Western blot analysis of extracts of Jurkat, using F12 antibody. The lane on the left is treated with the antigen-specific peptide.)

F12, Polyclonal Antibody (Cat# AAA326324)

Full Name
F12 Antibody
Gene Names
F12; HAF; HAE3; HAEX
Reactivity
Human, Rat
Applications
Immunocytochemistry, Immunofluorescence, Immunohistochemistry, Western Blot
Purity
The antiserum was purified by peptide affinity chromatography using SulfoLink Coupling Resin.
Pricing

GAPDH, Polyclonal Antibody (Cat# AAA49920)

Full Name
GOAT ANTI HUMAN GAPDH (C-TERMINAL)
Gene Names
GAPDH; G3PD; GAPD; HEL-S-162eP
Reactivity
Reacts with: Mouse, Pig, Rat
Based on sequence similarity, is expected to react with: Dog
N.B. Antibody reactivity and working conditions may vary between species.
Applications
Western Blot, Immunohistochemistry
Pricing
product-image-AAA52461_WB13.jpg WB (Western Blot) (Western blot of extracts from 293 cells, using LMTK3 Antibody. The lane on the right is treated with the synthesized peptide.)

LMTK3, Polyclonal Antibody (Cat# AAA52461)

Full Name
Rabbit Polyclonal (IgG) to Human LMTK3
Gene Names
LMTK3; LMR3; TYKLM3; PPP1R101
Reactivity
Human, Mouse
Applications
Western Blot, Immunohistochemistry
Purity
Immunoaffinity Purified
Pricing
product-image-AAA52324_WB11.jpg WB (Western Blot) (Staining (1 ug/ml) of HeLa lysate (RIPA buffer, 35 ug total protein per lane). Primary incubated for 1 hour. Detected using chemiluminescence.)

PYCARD / ASC, Polyclonal Antibody (Cat# AAA52324)

Full Name
Goat Polyclonal to Human PYCARD / ASC
Gene Names
PYCARD; ASC; TMS; TMS1; CARD5; TMS-1
Reactivity
Human
Applications
Peptide ELISA, Western Blot, Immunohistochemistry, Immunohistochemistry
Purity
Purified from goat serum by ammonium sulphate precipitation followed by antigen affinity chromatography using the immunizing peptide.
Pricing
product-image-AAA50776_IHC13.jpg IHC (Immunohiostchemistry) (Anti-Collagen VI antibody IHC of human breast. Immunohistochemistry of formalin-fixed, paraffin-embedded tissue after heat-induced antigen retrieval. Antibody concentration 5 ug/ml.)

Collagen VI, Polyclonal Antibody (Cat# AAA50776)

Full Name
Rabbit Polyclonal to Human Collagen VI
Reactivity
Bovine, Human
Applications
Immunoprecipitation, Western Blot, Immunofluorescence, Immunohistochemistry
Purity
Immunoaffinity Purified
Pricing

Lipopolysaccharide (LPS), Polyclonal Antibody (Cat# AAA146272)

Full Name
HRP-Linked Polyclonal Antibody to Lipopolysaccharide (LPS)
Reactivity
General
Applications
Immunohistochemistry, Immunoprecipitation, Immunocytochemistry, Chemiluminescence Immunoassay
Purity
Antigen-specific Affinity Chromatography
Pricing
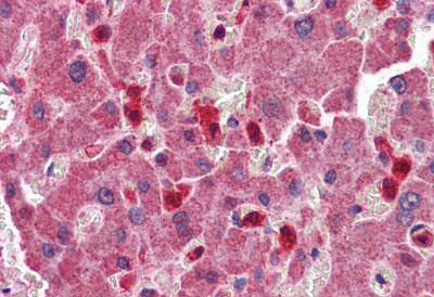
product-image-AAA131553_IHC11.jpg IHC (Immunohistochemisry) (DAB staining on IHC-P;Samples: Human Kidney Tissue;Primary Ab: 20ug/ml Rabbit Anti-Human ANGPTL1 AntibodySecond Ab: 2ug/mL HRP-Linked Caprine Anti-Rabbit IgG Polyclonal Antibody (Catalog: ))

Angiopoietin Like Protein 1 (ANGPTL1), Polyclonal Antibody (Cat# AAA131553)

Full Name
Polyclonal Antibody to Angiopoietin Like Protein 1 (ANGPTL1)
Gene Names
ANGPTL1; ANG3; ARP1; AngY; ANGPT3; UNQ162; dJ595C2.2
Reactivity
Human, Mouse, Rat, Rabbit, Goat
Applications
Immunoprecipitation, Immunocytochemistry, Immunohistochemistry, Western Blot
Purity
Antigen-specific affinity chromatography followed by Protein A affinity chromatography
Pricing
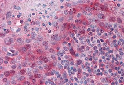
product-image-AAA132638_IHC13.jpg IHC (Immunohiostchemistry) (DABstainingonIHC-P.Samples:HumanTissue))

Adenosine Kinase (ADK), Polyclonal Antibody (Cat# AAA132638)

Full Name
Polyclonal Antibody to Adenosine Kinase (ADK)
Gene Names
ADK; AK
Reactivity
Human, Pig
Applications
Western Blot, Immunohistochemistry, Immunocytochemistry
Purity
Affinity Chromatography
Pricing
product-image-AAA132700_IHC13.jpg IHC (Immunohiostchemistry) (DAB staining on fromalin fixed paraffin-embedded Spleen tissue))

Sialic Acid Binding Ig Like Lectin 5 (SIGLEC5), Polyclonal Antibody (Cat# AAA132700)

Full Name
Polyclonal Antibody to Sialic Acid Binding Ig Like Lectin 5 (SIGLEC5)
Gene Names
SIGLEC5; CD170; OBBP2; CD33L2; OB-BP2; SIGLEC-5
Reactivity
Human, Pig
Applications
Western Blot, Immunohistochemistry, Immunocytochemistry
Purity
Affinity Chromatography
Pricing
product-image-AAA133260_IHC13.jpg IHC (Immunohiostchemistry) (DABstainingonIHC-P.Samples:MouseTissue))

Interleukin 34 (IL34), Polyclonal Antibody (Cat# AAA133260)

Full Name
Polyclonal Antibody to Interleukin 34 (IL34)
Gene Names
Il34; AI593503; 2010004A03Rik
Reactivity
Mouse, Rat
Applications
Western Blot, Immunohistochemistry, Immunocytochemistry
Purity
Affinity Chromatography
Pricing

Hepatocyte Growth Factor Activator (HGFAC), Polyclonal Antibody (Cat# AAA133445)

Full Name
Biotin-Linked Antibody to Hepatocyte Growth Factor Activator (HGFAC)
Gene Names
HGFAC; HGFA
Reactivity
Mouse, Rat
Applications
Western Blot, Immunohistochemistry
Purity
Affinity Chromatography
Pricing
product-image-AAA162665_IHC11.jpg IHC (Immunohistochemisry) (AML1/RUNX1 Antibody-Human Testis: Formalin-Fixed, Paraffin-Embedded (FFPE))

AML1/RUNX1, Polyclonal Antibody (Cat# AAA162665)

Full Name
AML1/RUNX1 Rabbit anti-Human Polyclonal (aa150-250) Antibody
Gene Names
RUNX1; AML1; CBFA2; EVI-1; AMLCR1; PEBP2aB; AML1-EVI-1
Reactivity
Mouse, Rat, Human
Applications
Western Blot, Immunoprecipitation, Immunohistochemistry, Immunohistochemistry, Immunofluorescence, Immunocytochemistry
Purity
Affinity purified
Pricing
product-image-AAA61655_IHC11.jpg IHC (Immunohistochemisry) ((5ug/ml) staining of paraffin embedded Human Heart. Steamed antigen retrieval with citrate buffer pH 6, AP-staining.)

NDUFA7, Polyclonal Antibody (Cat# AAA61655)

Full Name
Goat anti-NDUFA7 Antibody
Gene Names
NDUFA7; B14.5a; CI-B14.5a
Reactivity
Tested: Human, Mouse, Rat, Pig; Expected from sequence similarity: Human, Mouse, Rat, Pig, Cow
Applications
Immunohistochemistry, Western Blot, Peptide ELISA
Purity
Purified from goat serum by ammonium sulphate precipitation followed by antigen affinity chromatography using the immunizing peptide.
Pricing
product-image-AAA61489_IHC13.jpg IHC (Immunohiostchemistry) (AAA61489 Negative Control showing staining of paraffin embedded Human Retina, with no primary antibody.)

ARMS2, Polyclonal Antibody (Cat# AAA61489)

Full Name
Goat anti-ARMS2 Antibody
Gene Names
ARMS2; ARMD8
Reactivity
Tested: Human (Expected from sequence similarity: Human)
Applications
Immunohistochemistry, Western Blot, Peptide ELISA
Purity
Purified from goat serum by ammonium sulphate precipitation followed by antigen affinity chromatography using the immunizing peptide.
Pricing
product-image-AAA61514_IHC13.jpg IHC (Immunohiostchemistry) ((3.75ug/ml) staining of paraffin embedded Human Spleen. Steamed antigen retrieval with citrate buffer pH 6, AP-staining.)

SNAP23, Polyclonal Antibody (Cat# AAA61514)

Full Name
Goat anti-SNAP23 Antibody
Gene Names
SNAP23; SNAP-23; SNAP23A; SNAP23B; HsT17016
Reactivity
Tested: Human
Expected from sequence similarity: Human, Mouse, Rat, Cow
Applications
Immunohistochemistry, Western Blot, Peptide ELISA
Purity
Purified from goat serum by ammonium sulphate precipitation followed by antigen affinity chromatography using the immunizing peptide.
Pricing
product-image-AAA61691_WB13.jpg WB (Western Blot) ((0.5ug/ml) staining of Mouse (A+C) and Rat (B+D) Skeletal Muscle (A+B) and Heart (C+D) lysates (35ug protein in RIPA buffer). Primary incubation was 1 hour. Detected by chemiluminescence.)

EEF1A2, Polyclonal Antibody (Cat# AAA61691)

Full Name
Goat anti-EEF1A2 Antibody
Gene Names
EEF1A2; HS1; STN; EF1A; STNL; MRD38; EEF1AL; EIEE33; EF-1-alpha-2
Reactivity
Tested: Human. Mouse, Rat; Expected from sequence similarity: Human, Mouse, Rat, Dog, Cow
Applications
Western Blot, Peptide ELISA
Purity
Purified from goat serum by ammonium sulphate precipitation followed by antigen affinity chromatography using the immunizing peptide.
Pricing
product-image-AAA60994_IHC13.jpg IHC (Immunohiostchemistry) ((2.5ug/ml) staining of paraffin embedded Human Cerebellum. Steamed antigen retrieval with citrate buffer pH 6, AP-staining.)

Dynactin, Polyclonal Antibody (Cat# AAA60994)

Full Name
Goat anti-Dynactin Antibody
Gene Names
DCTN1; P135; DP-150; DAP-150
Reactivity
Tested: Human, Mouse; Expected from sequence similarity: Human, Mouse, Rat
Applications
Immunocytochemistry, Immunohistochemistry, Western Blot, Peptide ELISA
Purity
Purified from goat serum by ammonium sulphate precipitation followed by antigen affinity chromatography using the immunizing peptide.
Pricing
product-image-AAA61332_WB15.jpg WB (Western Blot) ((1ug/ml) staining of Human Placenta lysate (35ug protein in RIPA buffer). Primary incubation was 1 hour. Detected by chemiluminescence.)

FTH1, Polyclonal Antibody (Cat# AAA61332)

Full Name
Goat anti-FTH1 Antibody
Gene Names
FTH1; FHC; FTH; HFE5; PLIF; FTHL6; PIG15
Reactivity
Tested: Human; Expected from sequence similarity: Human, Dog
Applications
Immunohistochemistry, Western Blot, Peptide ELISA
Purity
Purified from goat serum by ammonium sulphate precipitation followed by antigen affinity chromatography using the immunizing peptide.
Pricing
product-image-AAA60097_DB13.jpg DB (Dot Blot) (Histone H2AK119ub antibody tested by Dot blot. Lane 1: unmodified Histone H2A. Lane 2: ubiquityl-lysine 119 H2A. Peptides were spotted on membrane and probed with antibody at a dilution of 1:1000.)

Histone H2AK119ub, Polyclonal Antibody (Cat# AAA60097)

Full Name
Histone H2AK119ub antibody (pAb)
Gene Names
HIST2H2AC; H2A; H2A/q; H2AFQ; H2A-GL101
Reactivity
Human, Wide Range Predicted
Applications
Western Blot, Dot Blot
Purity
Affinity Purified
Pricing
product-image-AAA119638_IHC11.jpg IHC (Immunohistochemisry) (Immunohistochemistry of paraffin-embedded human kidney using AAA119638 at dilution 1:100)

TMOD3, Polyclonal Antibody (Cat# AAA119638)

Full Name
Rabbit anti-human TMOD3 polyclonal Antibody
Gene Names
TMOD3; UTMOD
Reactivity
Human
Applications
Immunohistochemistry, Western Blot
Purity
Antigen Affinity Purified
Pricing
product-image-AAA313874_IHC13.jpg IHC (Immunohiostchemistry) (Immunohistochemistry of paraffin-embedded human esophageal cancer using NUDT21 Rabbit pAb.)

NUDT21, Polyclonal Antibody (Cat# AAA313874)

Full Name
NUDT21 Rabbit Polyclonal Antibody
Gene Names
NUDT21; CPSF5; CFIM25
Reactivity
Human, Mouse, Rat
Applications
Immunohistochemistry, Western Blot
Purity
Affinity purification
Pricing
product-image-AAA289042_FCM11.jpg FCM/FACS (Flow Cytometry) (HEMK1 Antibody (C-term) flow cytometric analysis of A549 cells (right histogram) compared to a negative control cell (left histogram).FITC-conjugated goat-anti-rabbit secondary antibodies were used for the analysis.)

HEMK1, Polyclonal Antibody (Cat# AAA289042)

Full Name
HEMK1 Antibody (C-term)
Gene Names
HEMK1; HEMK; MTQ1
Reactivity
Human
Applications
Flow Cytometry, Immunohistochemistry, Western Blot
Purity
Peptide Affinity Purified Rabbit Polyclonal Antibody (Pab)
Pricing
product-image-AAA288433_WB13.jpg WB (Western Blot) (POMP Antibody (C-term) western blot analysis in WiDr cell line lysates (35ug/lane).This demonstrates the POMP antibody detected the POMP protein (arrow).)

POMP, Polyclonal Antibody (Cat# AAA288433)

Full Name
POMP Antibody (C-term)
Gene Names
POMP; UMP1; HSPC014; C13orf12; PNAS-110
Reactivity
Human, mouse
Applications
Western Blot
Purity
Peptide Affinity Purified Rabbit Polyclonal Antibody (Pab)
Pricing
product-image-AAA313745_IHC11.jpg IHC (Immunohistochemisry) (Immunohistochemistry of paraffin-embedded human colon carcinoma using TRIM16 at dilution of 1:100 (40x lens).)

TRIM16, Polyclonal Antibody (Cat# AAA313745)

Full Name
TRIM16 Rabbit Polyclonal Antibody
Gene Names
TRIM16; EBBP
Reactivity
Human, Mouse, Rat
Applications
Immunofluorescence, Immunohistochemistry, Western Blot
Purity
Affinity purification
Pricing
product-image-AAA313217_IHC8.jpg IHC (Immunohistochemistry) (Immunohistochemistry of paraffin-embedded mouse testis using KLHL9 at dilution of 1:100 (40x lens).)

KLHL9, Polyclonal Antibody (Cat# AAA313217)

Full Name
KLHL9 Rabbit Polyclonal Antibody
Gene Names
KLHL9; RP11-380P16.6
Reactivity
Human, Mouse, Rat
Applications
Immunohistochemistry, Western Blot
Purity
Affinity purification
Pricing
product-image-AAA302310_WB13.jpg WB (Western Blot) (Western Blot analysis of L929 cells using Mucin 13 Polyclonal Antibody)

Mucin 13, Polyclonal Antibody (Cat# AAA302310)

Full Name
Mucin 13 Polyclonal Antibody
Gene Names
MUC13; DRCC1; MUC-13
Reactivity
Human
Applications
Immunofluorescence, Immunohistochemistry, Western Blot
Purity
The antibody was affinity-purified from rabbit antiserum by affinity-chromatography using epitope-specific immunogen.
Pricing
product-image-AAA302995_IHC13.gif IHC (Immunohiostchemistry) (Immunohistochemistry of ELOVL6 in human brain with ELOVL6 antibody at 5 ug/mL.)

ELOVL6, Polyclonal Antibody (Cat# AAA302995)

Full Name
ELOVL6 Antibody
Gene Names
ELOVL6; FAE; LCE; FACE
Reactivity
Human, Mouse, Rat
Applications
Immunohistochemistry, Western Blot
Purity
Affinity chromatography purified via peptide column
Pricing
product-image-AAA304930_IHC13.jpg IHC (Immunohiostchemistry) (Immunohistochemistry analysis of paraffin-embedded human brain tissue using TAF15 antibody.)

TAF15, Polyclonal Antibody (Cat# AAA304930)

Full Name
TAF15 Antibody
Gene Names
TAF15; Npl3; RBP56; TAF2N; TAFII68
Reactivity
Human, Mouse
Applications
Immunohistochemistry, Western Blot
Purity
The antibody was affinity-purified from rabbit antiserum by affinity-chromatography using epitope-specific immunogen.
Pricing
product-image-AAA305631_IF11.jpg IF (Immunofluorescence) (Immunofluorescence analysis of paraformaldehyde-fixed A431, using TRIM32 antibody at 1: 500 dilution.)

TRIM32, Polyclonal Antibody (Cat# AAA305631)

Full Name
TRIM32 antibody
Gene Names
TRIM32; HT2A; BBS11; TATIP; LGMD2H
Reactivity
Human
Applications
Immunofluorescence, Immunohistochemistry, Western Blot
Purity
Purified by antigen-affinity chromatography.
Pricing
product-image-AAA305646_IHC13.jpg IHC (Immunohiostchemistry) (Immunohistochemical analysis of paraffin-embedded Human cervical cancer tissue using at dilution 1/20.)

TFF1, Polyclonal Antibody (Cat# AAA305646)

Full Name
TFF1 Antibody
Gene Names
TFF1; pS2; BCEI; HPS2; HP1.A; pNR-2; D21S21
Reactivity
Human, Mouse
Applications
Immunohistochemistry, Western Blot
Purity
Antigen affinity purification.
Pricing
product-image-AAA305962_WB13.jpg WB (Western Blot) (Western Blot analysis of Jurkat 293 HELA A549 cells using Actinin-a1/2/3/4 Polyclonal Antibody)

Actinin-alpha1/2/3/4, Polyclonal Antibody (Cat# AAA305962)

Full Name
Actinin-alpha1/2/3/4 Polyclonal Antibody
Gene Names
ACTN1; BDPLT15
Reactivity
Human, Mouse, Rat
Applications
Immunohistochemistry, Western Blot
Purity
The antibody was affinity-purified from rabbit antiserum by affinity-chromatography using epitope-specific immunogen.
Pricing
product-image-AAA305440_IHC13.jpg IHC (Immunohiostchemistry) (Immunohistochemistry analysis of paraffin-embedded human breast carcinoma tissue using Fas antibody.)

FAS, Polyclonal Antibody (Cat# AAA305440)

Full Name
FAS Antibody
Gene Names
FAS; APT1; CD95; FAS1; APO-1; FASTM; ALPS1A; TNFRSF6
Reactivity
Human
Applications
Immunohistochemistry, Western Blot
Purity
The antibody was affinity-purified from rabbit antiserum by affinity-chromatography using epitope-specific immunogen.
Pricing
product-image-AAA307090_IHC13.jpg IHC (Immunohiostchemistry) (Immunohistochemical analysis of paraffin-embedded rat kidney using SPARC antibody at dilution of 1:100 (200x lens).)

SPARC, Polyclonal Antibody (Cat# AAA307090)

Full Name
SPARC Antibody
Gene Names
SPARC; ON; BM-40
Reactivity
Human, Mouse, Rat
Applications
Immunohistochemistry, Western Blot
Purity
Antibodies were purified by affinity purification using immunogen.
Pricing
product-image-AAA308570_IHC13.jpg IHC (Immunohiostchemistry) (Immunohistochemical analysis of paraffin-emdedded human placenta using at dilution of 1:100.)

Keratin, Polyclonal Antibody (Cat# AAA308570)

Full Name
Keratin, type I cytoskeletal 18 Polyclonal Antibody
Gene Names
KRT18; K18; CK-18; CYK18
Reactivity
Human
Applications
Immunohistochemistry, Western Blot
Purity
Caprylic Acid Ammonium Sulfate Precipitation purified
Pricing
product-image-AAA303738_IF11.jpg IF (Immunofluorescence) (Immunofluorescence staining of methanol-fixed Hela cells using p90RSK(Phospho-Thr348) Antibody.)

p90RSK, Polyclonal Antibody (Cat# AAA303738)

Full Name
p90RSK (Phospho-Thr348) Antibody
Gene Names
RPS6KA1; RSK; HU-1; RSK1; p90Rsk; MAPKAPK1A
Reactivity
Human, Mouse, Rat
Applications
Immunofluorescence, Immunohistochemistry, Western Blot
Purity
Antibodies were produced by immunizing rabbits with synthetic phosphopeptide and KLH conjugates. Antibodies were purified by affinity-chromatography using epitope-specific phosphopeptide. Non-phospho specific antibodies were removed by chromatogramphy usi
Pricing
product-image-AAA318361_WB13.jpg WB (Western Blot) (Western blot analysis of lysates from Jurkat cells treated with Ca+ 40nM 30', using MYOD (Phospho-Ser200) Antibody.)

MYOD, Polyclonal Antibody (Cat# AAA318361)

Full Name
MYOD (Phospho-Ser200) Antibody
Gene Names
MYOD1; PUM; MYF3; MYOD; bHLHc1
Reactivity
Human, Mouse, Rat
Applications
Western Blot
Purity
Purified from rabbit antiserum by affinity-chromatography using phospho peptide. The antibody against non-phospho peptide was removed by chromatography using corresponding non-phospho peptide.
Pricing
product-image-AAA318132_WB13.jpg WB (Western Blot) (Western blot analysis of lysates from COLO205 cells, using MSHR Antibody. The lane on the right is blocked with the synthesized peptide.)

MSHR, Polyclonal Antibody (Cat# AAA318132)

Full Name
MSHR Antibody
Gene Names
MC1R; CMM5; MSH-R; SHEP2
Reactivity
Human
Applications
Immunofluorescence, Western Blot
Purity
Purified from rabbit antiserum by affinity-chromatography using immunogen.
Pricing
product-image-AAA326013_IF11.jpg IF (Immunofluorescence) (AAA326013 staining HeLa cells by IF/ICC. The sample were fixed with PFA and permeabilized in 0.1% Triton X-100, then blocked in 10% serum for 45 minutes at 25 degree C. The primary antibody was diluted at 1/200 and incubated with the sample for 1 hour at 37 degree C. An Alexa Fluor 594 conjugated goat anti-rabbit IgG (H+L) antibody, diluted at 1/600, was used as secondary antibody.)

HSP90AB1, Polyclonal Antibody (Cat# AAA326013)

Full Name
HSP90AB1 Antibody
Gene Names
HSP90AB1; HSP84; HSPC2; HSPCB; D6S182; HSP90B
Reactivity
Human, Mouse, Rat
Applications
Immunocytochemistry, Immunofluorescence, Immunohistochemistry, Western Blot
Purity
The antiserum was purified by peptide affinity chromatography using SulfoLink Coupling Resin.
Pricing
product-image-AAA326016_WB13.jpg WB (Western Blot) (Western blot analysis of A549 lysate using MAGED1 antibody. The lane on the left is treated with the antigen-specific peptide.)

MAGED1, Polyclonal Antibody (Cat# AAA326016)

Full Name
MAGED1 Antibody
Gene Names
MAGED1; NRAGE; DLXIN-1
Reactivity
Human, Mouse, Rat
Applications
Immunohistochemistry, Western Blot
Purity
The antiserum was purified by peptide affinity chromatography using SulfoLink Coupling Resin.
Pricing
product-image-AAA326055_IHC13.jpg IHC (Immunohiostchemistry) (AAA326055 at 1/100 staining Mouse muscle tissue by IHC-P. The sample was formaldehyde fixed and a heat mediated antigen retrieval step in citrate buffer was performed. The sample was then blocked and incubated with the antibody for 1.5 hours at 22 degree C. An HRP conjugated goat anti-rabbit antibody was used as the secondary.)

TCF4, Polyclonal Antibody (Cat# AAA326055)

Full Name
TCF4 Antibody
Gene Names
TCF4; E2-2; ITF2; PTHS; SEF2; FECD3; ITF-2; SEF-2; TCF-4; SEF2-1; SEF2-1A; SEF2-1B; SEF2-1D; bHLHb19
Reactivity
Human, Mouse, Rat
Applications
Immunohistochemistry, Western Blot
Purity
The antiserum was purified by peptide affinity chromatography using SulfoLink Coupling Resin.
Pricing
product-image-AAA326058_IHC11.jpg IHC (Immunohistochemisry) (AAA326058 at 1/100 staining Human liver cancer by IHC-P. Thesample was formaldehyde fixed and a heat mediated antigenretrieval step in citrate buffer was performed. The sample wasthen blocked and incubated with the primary antibody at 4°Covernight. An HRP conjugated anti-Rabbit antibody was usedas the secondary antibody.)

FTH1, Polyclonal Antibody (Cat# AAA326058)

Full Name
FTH1 Antibody
Gene Names
FTH1; FHC; FTH; HFE5; PLIF; FTHL6; PIG15
Reactivity
Human, Mouse, Rat
Applications
Immunocytochemistry, Immunofluorescence, Immunohistochemistry, Western Blot
Purity
Peptide affinity purification
Pricing
product-image-AAA326075_IHC10.jpg IHC (Immunohistochemistry) (AAA326075 at 1/100 staining Rat kidney tissue by IHC-P. The sample was formaldehyde fixed and a heat mediated antigen retrieval step in citrate buffer was performed. The sample was then blocked and incubated with the antibody for 1.5 hours at 22 degree C. An HRP conjugated goat anti-rabbit antibody was used as the secondary.)

HNRNPA2B1, Polyclonal Antibody (Cat# AAA326075)

Full Name
HNRNPA2B1 Antibody
Gene Names
HNRNPA2B1; RNPA2; HNRPA2; HNRPB1; SNRPB1; HNRNPA2; HNRNPB1; IBMPFD2; HNRPA2B1
Reactivity
Human, Mouse, Rat
Applications
Immunocytochemistry, Immunofluorescence, Immunohistochemistry, Western Blot
Purity
The antiserum was purified by peptide affinity chromatography using SulfoLink Coupling Resin.
Pricing

What are Polyclonal Antibodies?


Polyclonal antibodies are antibodies that come from multiple B cell clones of a host animal. The typical hosts used for the majority of polyclonal antibody production are rabbits, goats, sheep, and donkeys. These polyclonal antibodies, once having identified their target, will bind to different epitopes located at different regions or sequences on the same protein/antigen. As a result, they are ideal at locating and binding to the target, even if the target is in very low concentrations (due to many different antibodies being able to bind to the same target molecule, which allows for significant amplification of a downstream signal).


Polyclonal antibodies are typically produced by injecting an antigen into a host animal, which causes the animal’s immune system to attack the foreign antigen by mass generating antibodies against it. After a period of time, serum is collected from the animal and purified using physicochemical fractionation, class-specific affinity purification, and/or antigen-affinity purification.


Key Uses of Polyclonal Antibodies


  • Western Blotting: This method is used to find specific proteins in biological samples after separating them by size.

  • Immunohistochemistry: IHC helps visualize the location of proteins in tissue sections using various staining techniques.

  • ELISA: (Enzyme-Linked Immunosorbent Assay) is typically used to identify specific protein quantities in a sample. ELISAs can be either “Quantitative” or “Qualitative”.

  • Flow Cytometry: technique that identifies and measures the specific protein on the surface or inside the cells in a fluid suspension.

  • Immunoprecipitation: IP isolates and studies a specific protein from a complex mixture using antibodies.


Why Buy Polyclonal Antibodies from AAA Biotech?


1. Ideal for Various Applications


Our antibodies are generally going to be validated for use in multiple types of assays, including ELISA, Western Blotting, Immunohistochemistry, Immunoprecipitation, amongst others. They are ideal for a wide range of research applications.


2. Rigorous Quality Control


All of the antibodies in our catalog undergo strict quality testing to ensure specificity, sensitivity, and consistent performance. We are confident in the ability of our antibodies to provide you with accurate results.


3. Wide Assortment of Antibodies


Antibodies in are catalog can be found for both common and exotic species, and these antibodies are also available in both conjugated and recombinant forms to suit many diverse experimental needs.


4. Highly Purified


Our antibodies are available in purified forms with over 85% purity, as confirmed by SDS-PAGE. They are also available with tags such as His, Flag, GST, or MBP. We cater to customers worldwide.


FAQ


1. How are polyclonal antibodies produced?


Traditionally, polyclonal antibodies are produced by injecting an antigen into a host animal (such as a rabbit or goat), which then triggers an immune response from the host animal. The animal’s B cells produce antibodies that will recognize different parts of the injected antigen. These antibodies are then collected from the animal’s blood and purified for use.


2. How do polyclonal antibodies differ from monoclonal antibodies?


Polyclonal antibodies are a mix of antibodies that bind to different locations (epitopes) of the same antigen, while monoclonal antibodies are identical and bind to just one specific epitope. This makes polyclonal antibodies more versatile and better at detecting proteins that may be present in low quantities or in altered/modified forms.


3. How should I store polyclonal antibodies?


Polyclonal antibodies should be stored at 4°C for short-term use (up to a few weeks) and at -20°C or -80°C for long-term storage. Avoid repeated freeze-thaw cycles by dividing them into small aliquots. Always check the datasheet for specific storage instructions.


Submit a Question

Please complete the form below and a representative will contact you as soon as possible.

Request more Information

Please complete the form below and a representative will contact you as soon as possible.

Request a Manual

Please complete the form below and a representative will contact you as soon as possible.

Request a Quote

Please complete the form below and a representative will contact you as soon as possible.