Loading...

Skip to main content
Call us at +1-800-604-9114 for more information about our products or contact us online Need help? +1-800-604-9114 or contact us

Filters


Clonality

Type

Reactivity

Gene Name

Isotype

Host

Application

Clone

Polyclonal Antibodies

At AAA Biotech also known as AAA Bio or AAABio, we provide a broad range of purified polyclonal antibodies (pAbs) that are able to all be browsed online through our website. Due to their high specificity and strong binding affinity, these antibodies are ideal for wide swathes of research and experimental applications.


Our polyclonal antibodies can easily support your work, whether you use them for Western Blotting, Immunocytochemistry (with or without Immunofluorescence used in conjunction), Immunohistochemistry, Immunoprecipitation, and ELISA tests. We highly encourage you to browse our range of pAbs and choose the one that best suits your experimental model.


Viewing 5450-5500 of 10000 product results


product-image-AAA40335_IF11.jpg IF (Immunofluorescence) (Immunofluorescence of NOD5 in rat spleen tissue with NOD5 antibody at 20 μg/mL.)

NOD5, Polyclonal Antibody (Cat# AAA40335)

Full Name
NOD5 Antibody
Gene Names
NLRX1; NOD5; NOD9; NOD26; DLNB26; CLR11.3
Reactivity
Human, Mouse, Rat
Applications
Immunofluorescence, Immunohistochemistry, Western Blot
Purity
NOD5 Antibody is affinity chromatography purified via peptide column.
Pricing
product-image-AAA78366_IHC11.jpg IHC (Immunohistochemisry) (Fig: 3 Formalin-fixed, paraffin- embedded tissue sections stained for TRAF6 using at 1: 2000. Hematoxylin-eosin counterstain. A, mouse spleen. B, mouse thymus.)

TRAF-6, Polyclonal Antibody (Cat# AAA78366)

Full Name
Polyclonal Antibody to TRAF-6
Gene Names
TRAF6; RNF85; MGC:3310
Reactivity
Rat, Mouse, Human
Applications
Western Blot, Immunohistochemistry, Immunoprecipitation
Purity
Serum
Pricing
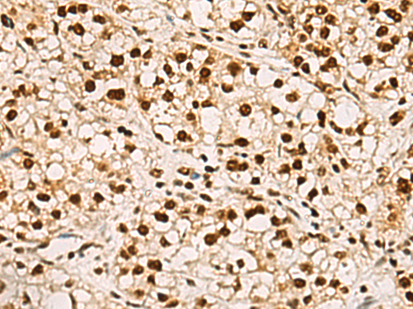
product-image-AAA176695_IHC13.png IHC (Immunohiostchemistry) (Immunohistochemistry of paraffin-embedded Human liver cancer tissue using ANKS6 Polyclonal Antibody at dilution of 1:55(×200))

ANKS6, Polyclonal Antibody (Cat# AAA176695)

Full Name
ANKS6 Polyclonal Antibody
Gene Names
ANKS6; PKDR1; SAMD6; NPHP16; ANKRD14
Reactivity
Human, Mouse, Rat
Applications
Immunohistochemistry
Purity
Antigen Affinity Purification
Pricing
product-image-AAA176706_IHC13.png IHC (Immunohiostchemistry) (Immunohistochemistry of paraffin-embedded Human prost ate cancer tissue using ELF5 Polyclonal Antibody at dilution of 1:75(×200))

ELF5, Polyclonal Antibody (Cat# AAA176706)

Full Name
ELF5 Polyclonal Antibody
Gene Names
ELF5; ESE2
Reactivity
Human, Mouse
Applications
Immunohistochemistry
Purity
Antigen Affinity Purification
Pricing
product-image-AAA177729_IHC11.jpg IHC (Immunohistochemisry) (Immunohistochemistry of paraffin-embedded Mouse spinal cord using SLC2A13 Polyclonal Antibody at dilution of 1:100 (40x lens).)

SLC2A13, Polyclonal Antibody (Cat# AAA177729)

Full Name
SLC2A13 Polyclonal Antibody
Gene Names
SLC2A13; HMIT
Reactivity
Human, Mouse, Rat
Applications
Immunohistochemistry
Purity
Affinity purification
Pricing
product-image-AAA127741_FCM11.jpg FCM/FACS (Flow Cytometry) (Figure 3. Flow Cytometry analysis of SH-SY5Y cells using anti-MBTD1 antibody (AAA127741).Overlay histogram showing SH-SY5Y cells stained with AAA127741 (Blue line). To facilitate intracellular staining, cells were fixed with 4% paraformaldehyde and permeabilized with permeabilization buffer. The cells were blocked with 10% normal goat serum. And then incubated with rabbit anti-MBTD1 Antibody (AAA127741, 1ug/1x106 cells) for 30 min at 20 degree C. DyLight488 conjugated goat anti-rabbit IgG was used as secondary antibody for 30 minutes at 20 degree C. Isotype control antibody (Green line) was rabbit IgG (1ug/1x106) used under the same conditions. Unlabelled sample without incubation with primary antibody and secondary antibody (Red line) was used as a blank control.)

MBTD1, Polyclonal Antibody (Cat# AAA127741)

Full Name
Anti-MBTD1 Antibody Picoband
Gene Names
MBTD1; SA49P01
Reactivity
Human
Applications
Flow Cytometry, Immunofluorescence, Immunocytochemistry, Western Blot
Purity
Immunogen affinity purified.
Pricing
product-image-AAA127551_FCM13.jpg FCM/FACS (Flow Cytometry) (Figure 2. Flow Cytometry analysis of HepG2 cells using anti-NGEF antibody (AAA127551).Overlay histogram showing HepG2 cells stained with AAA127551 (Blue line). The cells were fixed with 4% paraformaldehyde and blocked with 10% normal goat serum. And then incubated with rabbit anti-NGEF Antibody (AAA127551, 1ug/1x106 cells) for 30 min at 20 degree C. DyLight488 conjugated goat anti-rabbit IgG was used as secondary antibody for 30 minutes at 20 degree C. Isotype control antibody (Green line) was rabbit IgG (1ug/1x106) used under the same conditions. Unlabelled sample without incubation with primary antibody and secondary antibody (Red line) was used as a blank control.)

NGEF, Polyclonal Antibody (Cat# AAA127551)

Full Name
Anti-NGEF Antibody Picoband
Gene Names
NGEF; EPHEXIN; ARHGEF27
Reactivity
Human
Applications
Western Blot, Flow Cytometry
Purity
Immunogen affinity purified.
Pricing
product-image-AAA126273_FCM13.png FCM/FACS (Flow Cytometry) (Figure 2. Flow Cytometry analysis of C6 cells using anti-Claudin 2/CLDN2 antibody (AAA126273).Overlay histogram showing C6 cells stained with AAA126273 (Blue line). The cells were blocked with 10% normal goat serum. And then incubated with rabbit anti-Claudin 2/CLDN2 Antibody (AAA126273, 1 ug/1x10^6 cells) for 30 min at 20 degree C. DyLight488 conjugated goat anti-rabbit IgG was used as secondary antibody for 30 minutes at 20 degree C. Isotype control antibody (Green line) was rabbit IgG (1 ug/1x10^6) used under the same conditions. Unlabelled sample (Red line) was also used as a control.)

Claudin 2/CLDN2, Polyclonal Antibody (Cat# AAA126273)

Full Name
Anti-Claudin 2/CLDN2 Antibody Picoband
Reactivity
Human, Mouse, Rat
Applications
Western Blot, Flow Cytometry
Purity
Immunogen affinity purified.
Pricing
product-image-AAA126466_FCM11.png FCM/FACS (Flow Cytometry) (Figure 3. Flow Cytometry analysis of HL-60 cells using anti-Pleckstrin/PLEK antibody (AAA126466).Overlay histogram showing HL-60 cells stained with AAA126466 (Blue line). The cells were blocked with 10% normal goat serum. And then incubated with rabbit anti-Pleckstrin/PLEK Antibody (AAA126466, 1 ug/1x10^6 cells) for 30 min at 20 degree C. DyLight488 conjugated goat anti-rabbit IgG was used as secondary antibody for 30 minutes at 20 degree C. Isotype control antibody (Green line) was rabbit IgG (1 ug/1x10^6) used under the same conditions. Unlabelled sample (Red line) was also used as a control.)

Pleckstrin/PLEK, Polyclonal Antibody (Cat# AAA126466)

Full Name
Anti-Pleckstrin/PLEK Antibody Picoband
Gene Names
PLEK; P47
Reactivity
Human
Applications
Flow Cytometry, Immunohistochemistry, Western Blot
Purity
Immunogen affinity purified.
Pricing
product-image-AAA126205_IHC11.jpg IHC (Immunohistochemisry) (Figure 3. IHC analysis of Btc using anti-Btc antibody (AAA126205).Btc was detected in a paraffin-embedded section of mouse stomach tissue. Heat mediated antigen retrieval was performed in EDTA buffer (pH 8.0, epitope retrieval solution). The tissue section was blocked with 10% goat serum. The tissue section was then incubated with 2 ug/ml rabbit anti-Btc Antibody (AAA126205) overnight at 4 degree C. Biotinylated goat anti-rabbit IgG was used as secondary antibody and incubated for 30 minutes at 37 degree C. The tissue section was developed using Strepavidin-Biotin-Complex (SABC) with DAB as the chromogen.)

Btc, Polyclonal Antibody (Cat# AAA126205)

Full Name
Anti-Btc Antibody Picoband
Gene Names
Btc; Bcn
Reactivity
Mouse
Applications
Immunohistochemistry, Western Blot
Purity
Immunogen affinity purified.
Pricing
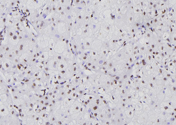
product-image-AAA176340_IHC13.png IHC (Immunohiostchemistry) (Immunohistochemistry of paraffin-embedded Human colorectal cancer tissue using CCNB1IP1 Polyclonal Antibody at dilution of 1:30(×200))

CCNB1IP1, Polyclonal Antibody (Cat# AAA176340)

Full Name
CCNB1IP1 Polyclonal Antibody
Gene Names
CCNB1IP1; HEI10; C14orf18
Reactivity
Human, Mouse
Applications
Immunohistochemistry
Purity
Antigen Affinity Purification
Pricing
product-image-AAA179550_IF11.jpg IF (Immunofluorescence) (Immunofluorescence analysis of human skin cells using FLG Polyclonal Antibody at dilution of 1:100 (40x lens). Blue: DAPI for nuclear staining.)

FLG, Polyclonal Antibody (Cat# AAA179550)

Full Name
FLG Polyclonal Antibody
Gene Names
FLI1; EWSR2; SIC-1
Reactivity
Human, Mouse, Rat
Applications
Immunofluorescence, Western Blot
Purity
Affinity purification
Pricing
product-image-AAA176120_IHC11.png IHC (Immunohistochemisry) (Immunohistochemistry of paraffin-embedded Human ovarian cancer tissue using PADI4 Polyclonal Antibody at dilution of 1:35(×200))

PADI4, Polyclonal Antibody (Cat# AAA176120)

Full Name
PADI4 Polyclonal Antibody
Gene Names
PADI4; PAD; PAD4; PDI4; PDI5; PADI5
Reactivity
Human
Applications
Immunohistochemistry, Western Blot
Purity
Antigen Affinity Purification
Pricing
product-image-AAA175838_IHC13.png IHC (Immunohiostchemistry) (Immunohistochemistry of paraffin-embedded Human liver cancer tissue using VAMP4 Polyclonal Antibody at dilution of 1:50(×200))

VAMP4, Polyclonal Antibody (Cat# AAA175838)

Full Name
VAMP4 Polyclonal Antibody
Gene Names
VAMP4; VAMP-4; VAMP24
Reactivity
Human, Mouse
Applications
Immunohistochemistry, Western Blot
Purity
Antigen Affinity Purification
Pricing
product-image-AAA302796_IHC13.jpg IHC (Immunohiostchemistry) (Immunohistochemical analysis of paraffin-embedded human breast carcinoma tissue using EGFR(Phospho-Tyr1172) Antibody (left) or the same antibody preincubated with blocking peptide(right).)

EGFR, Polyclonal Antibody (Cat# AAA302796)

Full Name
EGFR (Phospho-Tyr1172) Antibody
Gene Names
EGFR; ERBB; HER1; mENA; ERBB1; PIG61; NISBD2
Reactivity
Human, Mouse, Rat
Applications
Immunohistochemistry, Western Blot
Purity
Antibodies were produced by immunizing rabbits with synthetic phosphopeptide and KLH conjugates. Antibodies were purified by affinity-chromatography using epitope-specific phosphopeptide. Non-phospho specific antibodies were removed by chromatogramphy usi
Pricing
product-image-AAA302401_IHC13.gif IHC (Immunohiostchemistry) (Immunohistochemical staining of mouse spleen using caspase-4 antibody at 2 ug/mL.)

Caspase-4, Polyclonal Antibody (Cat# AAA302401)

Full Name
Caspase-4 Antibody
Gene Names
CASP4; TX; ICH-2; Mih1/TX; ICEREL-II; ICE(rel)II
Reactivity
Human, Mouse
Applications
Immunohistochemistry, Western Blot
Purity
Affinity chromatography purified via peptide column
Pricing
product-image-AAA303977_IHC13.jpg IHC (Immunohiostchemistry) (Immunohistochemistry analysis of paraffin-embedded human brain tissue using TCF3 antibody.)

TCF3, Polyclonal Antibody (Cat# AAA303977)

Full Name
TCF3 Antibody
Gene Names
TCF3; E2A; E47; ITF1; VDIR; TCF-3; bHLHb21
Reactivity
Human, Mouse, Rat
Applications
Immunohistochemistry, Western Blot
Purity
The antibody was affinity-purified from rabbit antiserum by affinity-chromatography using epitope-specific immunogen.
Pricing
product-image-AAA308197_IHC10.jpg IHC (Immunohistochemistry) (Immunohistochemical analysis of paraffin-embedded human kidney using CYCS antibody at dilution of 1:200 (200x lens).)

CYCS, Polyclonal Antibody (Cat# AAA308197)

Full Name
CYCS Antibody
Gene Names
CYCS; CYC; HCS; THC4
Reactivity
Human, Mouse, Rat
Applications
Immunohistochemistry, Western Blot
Purity
Antibodies were purified by affinity purification using immunogen.
Pricing
product-image-AAA310371_IHC13.jpg IHC (Immunohiostchemistry) (The image on the left is immunohistochemistry of paraffin-embedded Human esophagus cancer tissue using 46503(CISD1 Antibody) at dilution 1/20, on the right is treated with fusion protein. (Original magnification: x200))

CISD1, Polyclonal Antibody (Cat# AAA310371)

Full Name
CISD1 Antibody
Gene Names
CISD1; ZCD1; MDS029; C10orf70; mitoNEET
Reactivity
Human, Mouse
Applications
Immunohistochemistry, Western Blot
Purity
Antigen affinity purification
Pricing
product-image-AAA313892_IF13.jpg IF (Immunofluorescence) (Immunofluorescence analysis of L929 cells using AKT at dilution of 1:100. Blue: DAPI for nuclear staining.)

AKT, Polyclonal Antibody (Cat# AAA313892)

Full Name
AKT Rabbit Polyclonal Antibody
Gene Names
AKT1; AKT; PKB; RAC; CWS6; PRKBA; PKB-ALPHA; RAC-ALPHA
Reactivity
Human, Mouse, Rat
Applications
Immunofluorescence, Immunohistochemistry, Western Blot
Purity
Affinity purification
Pricing
product-image-AAA308639_IHC13.jpg IHC (Immunohiostchemistry) (Immunohistochemical analysis of paraffin-embeddedmousebrainusing at dilution of 1:50.)

Aspartate aminotransferase, Polyclonal Antibody (Cat# AAA308639)

Full Name
Aspartate aminotransferase, cytoplasmic Polyclonal Antibody
Gene Names
GOT1; AST1; cCAT; GIG18; cAspAT; ASTQTL1
Reactivity
Human
Applications
Immunohistochemistry, Western Blot
Purity
Caprylic Acid Ammonium Sulfate Precipitation purified
Pricing
product-image-AAA312099_FACS8.jpg FCM/FACS (Flow Cytometry) (Flow cytometric analysis of HUVEC cells with Dysferlin antibody at 1/100 dilution (red) compared with an unlabelled control (cells without incubation with primary antibody; black). Alexa Fluor 488-conjugated goat anti rabbit IgG was used as the secondary antibody.)

Dysferlin (DYSF), Polyclonal Antibody (Cat# AAA312099)

Full Name
Dysferlin (DYSF) Antibody
Gene Names
DYSF; MMD1; FER1L1; LGMD2B
Reactivity
Human
Applications
Flow Cytometry, Immunohistochemistry, Western Blot
Purity
Protein affinity purified
Pricing
product-image-AAA312107_FCM11.jpg FCM/FACS (Flow Cytometry) (Flow cytometric analysis of PC-3M cells with IL1 alpha antibody at 1/100 dilution (red) compared with an unlabelled control (cells without incubation with primary antibody; black). Alexa Fluor 488-conjugated goat anti-rabbit IgG was used as the secondary antibody.)

IL1 alpha, Polyclonal Antibody (Cat# AAA312107)

Full Name
IL1 alpha Antibody
Gene Names
IL1A; IL1; IL-1A; IL1F1; IL1-ALPHA
Reactivity
Human, Mouse
Applications
Western Blot, Flow Cytometry, Immunohistochemistry
Purity
Protein affinity purified
Pricing
product-image-AAA288973_WB13.jpg WB (Western Blot) (Mouse Cdk15 Antibody (N-term) western blot analysis in mouse heart tissue lysates (35ug/lane).This demonstrates the Cdk15 antibody detected the Cdk15 protein (arrow).)

Cdk15, Polyclonal Antibody (Cat# AAA288973)

Full Name
Mouse Cdk15 Antibody (N-term)
Gene Names
Cdk15; Pftk2; Als2cr7
Reactivity
Human, mouse
Applications
Western Blot
Purity
Peptide Affinity Purified Rabbit Polyclonal Antibody (Pab)
Pricing
product-image-AAA285184_IHC13.jpg IHC (Immunohiostchemistry) (C9orf156 Antibody (C-term) immunohistochemistry analysis in formalin fixed and paraffin embedded human skin carcinoma followed by peroxidase conjugation of the secondary antibody and DAB staining. This data demonstrates the use of the C9orf156 Antibody (C-term) for immunohistochemistry. Clinical relevance has not been evaluated.)

C9orf156, Polyclonal Antibody (Cat# AAA285184)

Full Name
C9orf156 Antibody (C-term)
Gene Names
C9orf156; NAP1; HSPC219
Reactivity
Human (Predicted Reactivity: Mouse, Rat)
Applications
Immunohistochemistry, Western Blot
Purity
Peptide Affinity Purified Rabbit Polyclonal Antibody (Pab)
Pricing
product-image-AAA288679_FCM11.jpg FCM/FACS (Flow Cytometry) (GSTA4 Antibody (N-term) flow cytometric analysis of HepG2 cells (bottom histogram) compared to a negative control cell (top histogram).FITC-conjugated goat-anti-rabbit secondary antibodies were used for the analysis.)

GSTA4, Polyclonal Antibody (Cat# AAA288679)

Full Name
GSTA4 Antibody (N-term)
Gene Names
GSTA4; GTA4; GSTA4-4
Reactivity
Human
Applications
Flow Cytometry, Immunohistochemistry, Western Blot
Purity
Peptide Affinity Purified Rabbit Polyclonal Antibody (Pab)
Pricing
product-image-AAA288588_FCM11.jpg FCM/FACS (Flow Cytometry) (PRUNE Antibody (C-term) flow cytometric analysis of Jurkat cells (right histogram) compared to a negative control cell (left histogram).FITC-conjugated goat-anti-rabbit secondary antibodies were used for the analysis.)

PRUNE, Polyclonal Antibody (Cat# AAA288588)

Full Name
PRUNE Antibody (C-term)
Gene Names
PRUNE; DRES17; HTCD37; DRES-17
Reactivity
Human
Applications
Flow Cytometry, Immunohistochemistry, Western Blot
Purity
Peptide Affinity Purified Rabbit Polyclonal Antibody (Pab)
Pricing
product-image-AAA288592_FCM11.jpg FCM/FACS (Flow Cytometry) (CCR1 Antibody (N-term) flow cytometric analysis of 293 cells (right histogram) compared to a negative control cell (left histogram).FITC-conjugated goat-anti-rabbit secondary antibodies were used for the analysis.)

CCR1, Polyclonal Antibody (Cat# AAA288592)

Full Name
CCR1 Antibody (N-term)
Gene Names
CCR1; CKR1; CD191; CKR-1; HM145; CMKBR1; MIP1aR; SCYAR1
Reactivity
Human
Applications
Flow Cytometry, Immunohistochemistry, Western Blot
Purity
Peptide Affinity Purified Rabbit Polyclonal Antibody (Pab)
Pricing
product-image-AAA212023_WB13.jpg WB (Western Blot) (Detection of human BAG3 by western blot and immunoprecipitation. Samples: Whole cell lysate (5, 15 and 50 ug for WB; 1 mg for IP, 20% of IP loaded) from HeLa cells. Antibodies: Affinity purified rabbit anti-BAG3 antibody AAA212023 used for WB at 0.04 ug/ml (A) and 0.4 ug/ml (B) and used for IP at 3 ug/mg lysate. BAG3 was also immunoprecipitated by rabbit anti-BAG3 antibody which recognizes a downstream epitope. Detection: Chemiluminescence with exposure times of 30 seconds (A) and 10 seconds (B).)

BAG3, Polyclonal Antibody (Cat# AAA212023)

Full Name
Rabbit anti-BAG3 Antibody, Affinity Purified
Gene Names
BAG3; BIS; BAG-3; CAIR-1
Reactivity
Human
Applications
Immunohistochemistry, Immunoprecipitation, Western Blot
Purity
Antigen Affinity Purified
Pricing
product-image-AAA326092_IF8.jpg IF (Immunofluorescence) (AAA326092 staining HeLa by IF/ICC. The sample were fixed with PFA and permeabilized in 0.1% Triton X-100, then blocked in 10% serum for 45 minutes at 25 degree C. The primary antibody was diluted at 1/200 and incubated with the sample for 1 hour at 37 degree C. An Alexa Fluor 594 conjugated goat anti-rabbit IgG (H+L) Ab, diluted at 1/600, was used as the secondary antibody.)

SERPINB5, Polyclonal Antibody (Cat# AAA326092)

Full Name
SERPINB5 Antibody
Gene Names
SERPINB5; PI5; maspin
Reactivity
Human, Mouse, Rat
Applications
Immunocytochemistry, Immunofluorescence, Immunohistochemistry, Western Blot
Purity
The antiserum was purified by peptide affinity chromatography using SulfoLink Coupling Resin.
Pricing
product-image-AAA326103_ICC11.jpg ICC (Immunocytochemistry) (AAA326103 staining Hela cells by IF/ICC. The samples were fixed with PFA and permeabilized in 0.1% Triton X-100,then blocked in 10% serum for 45 minutes at 25°C. Samples were then incubated with primary Ab(AAA326103 1:200) and mouse antibeta tubulin Ab for 1 hour at 37°C. An AlexaFluor594 conjugated goat anti-rabbit IgG(H+L) Ab(Red) and an AlexaFluor488 conjugated goat anti-mouse IgG(H+L) Ab(Green) were used as the secondary Ab.)

HGF, Polyclonal Antibody (Cat# AAA326103)

Full Name
HGF Antibody
Gene Names
HGF; SF; HGFB; HPTA; F-TCF; DFNB39
Reactivity
Human, Mouse, Rat
Purity
Peptide affintiy purification
Pricing
product-image-AAA326109_WB13.jpg WB (Western Blot) (Western blot analysis of Hela whole cell lysates, using CD86 Antibody. The lane on the left is treated with the antigen-specific peptide.)

CD86, Polyclonal Antibody (Cat# AAA326109)

Full Name
CD86 Antibody
Gene Names
CD86; B70; B7-2; B7.2; LAB72; CD28LG2
Reactivity
Human
Applications
Immunohistochemistry, Western Blot
Purity
The antiserum was purified by peptide affinity chromatography using SulfoLink Coupling Resin.
Pricing
product-image-AAA212967_WB13.jpg WB (Western Blot) (Detection of human Nucleobindin 1 by western blot. Samples: Whole cell lysate (50 ug) from HeLa, HEK293T, and Jurkat cells prepared using NETN lysis buffer. Antibody: Affinity purified rabbit anti-Nucleobindin 1 antibody AAA212967 (lot AAA212967-1) used for WB at 0.1 ug/ml. Detection: Chemiluminescence with an exposure time of 30 seconds.)

Nucleobindin 1/NUCB1, Polyclonal Antibody (Cat# AAA212967)

Full Name
Rabbit anti-Nucleobindin 1/NUCB1 Antibody, Affinity Purified
Gene Names
NUCB1; NUC; CALNUC
Reactivity
Human
Applications
Immunoprecipitation, Western Blot
Purity
Antigen Affinity Purified
Pricing
product-image-AAA326018_WB13.jpg WB (Western Blot) (Western blot analysis of A549 whole cell lysates, using TYMP Antibody. The lane on the left is treated with the antigen-specific peptide.)

TYMP, Polyclonal Antibody (Cat# AAA326018)

Full Name
TYMP Antibody
Gene Names
TYMP; TP; ECGF; ECGF1; MNGIE; MEDPS1; MTDPS1; PDECGF; hPD-ECGF
Reactivity
Human, Mouse, Rat
Applications
Immunohistochemistry, Western Blot
Purity
The antiserum was purified by peptide affinity chromatography using SulfoLink Coupling Resin.
Pricing
product-image-AAA326036_IHC13.jpg IHC (Immunohiostchemistry) (AAA326036 at 1/100 staining Mouse liver tissue by IHC-P. The sample was formaldehyde fixed and a heat mediated antigen retrieval step in citrate buffer was performed. The sample was then blocked and incubated with the antibody for 1.5 hours at 22 degree C. An HRP conjugated goat anti-rabbit antibody was used as the secondary.)

TTR, Polyclonal Antibody (Cat# AAA326036)

Full Name
TTR Antibody
Gene Names
TTR; CTS; ATTR; CTS1; PALB; TBPA; HEL111; HsT2651
Reactivity
Human, Mouse, Rat
Applications
Immunohistochemistry, Western Blot
Purity
The antiserum was purified by peptide affinity chromatography using SulfoLink Coupling Resin.
Pricing
product-image-AAA326161_WB13.jpg WB (Western Blot) (Western blot analysis of Hela whole cell lysates, using HFE Antibody. The lane on the left is treated with the antigen-specific peptide.)

HFE, Polyclonal Antibody (Cat# AAA326161)

Full Name
HFE Antibody
Gene Names
HFE; HH; HFE1; HLA-H; MVCD7; TFQTL2
Reactivity
Human, Mouse, Rat
Applications
Immunohistochemistry, Western Blot
Purity
The antiserum was purified by peptide affinity chromatography using SulfoLink Coupling Resin.
Pricing
product-image-AAA326215_WB13.jpg WB (Western Blot) (Western blot analysis of Jurkat whole cell lysate, using NFATC1 Antibody. The lane on the left is treated with the antigen-specific peptide.)

NFATC1, Polyclonal Antibody (Cat# AAA326215)

Full Name
NFATC1 Antibody
Gene Names
NFATC1; NFAT2; NFATc; NF-ATC; NF-ATc1.2
Reactivity
Human, Mouse, Rat
Applications
Immunohistochemistry, Western Blot
Purity
The antiserum was purified by peptide affinity chromatography using SulfoLink Coupling Resin.
Pricing
product-image-AAA326219_IF11.jpg IF (Immunofluorescence) (AAA326219 staining Hela cells by IF/ICC. The sample were fixed with PFA and permeabilized in 0.1% Triton X-100, then blocked in 10% serum for 45 minutes at 25 degree C. The primary antibody was diluted at 1/200 and incubated with the sample for 1 hour at 37 degree C. An Alexa Fluor 594 conjugated goat anti-rabbit IgG (H+L) antibody, diluted at 1/600, was used as secondary antibody.)

NOS3, Polyclonal Antibody (Cat# AAA326219)

Full Name
NOS3 Antibody
Gene Names
NOS3; eNOS; ECNOS
Reactivity
Human, Mouse, Rat
Applications
Immunocytochemistry, Immunofluorescence, Immunohistochemistry, Western Blot
Purity
The antiserum was purified by peptide affinity chromatography using SulfoLink Coupling Resin.
Pricing
product-image-AAA326329_WB11.jpg WB (Western Blot) (Western blot analysis of extracts of HeLa, using HNRNPK antibody. The lane on the left is treated with the antigen-specific peptide.)

HNRNPK, Polyclonal Antibody (Cat# AAA326329)

Full Name
HNRNPK Antibody
Gene Names
HNRNPK; AUKS; CSBP; TUNP; HNRPK
Reactivity
Human, Mouse, Rat
Applications
Immunocytochemistry, Immunofluorescence, Immunohistochemistry, Western Blot
Purity
The antiserum was purified by peptide affinity chromatography using SulfoLink Coupling Resin.
Pricing
product-image-AAA326311_WB13.jpg WB (Western Blot) (Western blot analysis of extracts of SGC7901, using CCL4 antibody. The lane on the left is treated with the antigen-specific peptide.)

CCL4, Polyclonal Antibody (Cat# AAA326311)

Full Name
CCL4 Antibody
Gene Names
CCL4; ACT2; G-26; HC21; LAG1; LAG-1; MIP1B; SCYA2; SCYA4; MIP1B1; AT744.1; MIP-1-beta
Reactivity
Human, Mouse, Rat
Applications
Immunohistochemistry, Western Blot
Purity
The antiserum was purified by peptide affinity chromatography using SulfoLink Coupling Resin.
Pricing
product-image-AAA326318_WB10.jpg WB (Western Blot) (Western blot analysis of extracts of K562, using POLB antibody. The lane on the left is treated with the antigen-specific peptide.)

POLB, Polyclonal Antibody (Cat# AAA326318)

Full Name
POLB Antibody
Reactivity
Human, Mouse, Rat
Applications
Immunocytochemistry, Immunofluorescence, Immunohistochemistry, Western Blot
Purity
The antiserum was purified by peptide affinity chromatography using SulfoLink Coupling Resin.
Pricing
product-image-AAA326562_IHC11.jpg IHC (Immunohistochemisry) (AAA326562 at 1/100 staining Rat brain tissue by IHC-P. The sample was formaldehyde fixed and a heat mediated antigen retrieval step in citrate buffer was performed. The sample was then blocked and incubated with the antibody for 1.5 hours at 22 degree C. An HRP conjugated goat anti-rabbit antibody was used as the secondary.)

FANCD2, Polyclonal Antibody (Cat# AAA326562)

Full Name
FANCD2 Antibody
Gene Names
FANCD2; FA4; FAD; FACD; FAD2; FA-D2; FANCD
Reactivity
Human, Mouse, Rat
Applications
Immunocytochemistry, Immunofluorescence, Immunohistochemistry, Western Blot
Purity
The antiserum was purified by peptide affinity chromatography using SulfoLink Coupling Resin.
Pricing
product-image-AAA326608_WB11.jpg WB (Western Blot) (Western blot analysis of extracts of fetal brain, using THY1 antibody. The lane on the left is treated with the antigen-specific peptide.)

THY1, Polyclonal Antibody (Cat# AAA326608)

Full Name
THY1 Antibody
Gene Names
THY1; CD90; CDw90
Reactivity
Human, Mouse, Rat
Applications
Immunocytochemistry, Immunofluorescence, Immunohistochemistry, Western Blot
Purity
The antiserum was purified by peptide affinity chromatography using SulfoLink Coupling Resin.
Pricing
product-image-AAA326611_WB13.jpg WB (Western Blot) (Western blot analysis of extracts of A549, using UBB antibody. The lane on the left is treated with the antigen-specific peptide.)

UBB, Polyclonal Antibody (Cat# AAA326611)

Full Name
UBB Antibody
Gene Names
UBB; HEL-S-50
Reactivity
Human, Mouse, Rat
Applications
Immunohistochemistry, Western Blot
Purity
The antiserum was purified by peptide affinity chromatography using SulfoLink Coupling Resin.
Pricing
product-image-AAA327160_IHC13.jpg IHC (Immunohiostchemistry) (AAA327160 at 1/100 staining Human prostate tissue by IHC-P. The sample was formaldehyde fixed and a heat mediated antigen retrieval step in citrate buffer was performed. The sample was then blocked and incubated with the antibody for 1.5 hours at 22 degree C. An HRP conjugated goat anti-rabbit antibody was used as the secondary.)

HPRT1, Polyclonal Antibody (Cat# AAA327160)

Full Name
HPRT1 Antibody
Gene Names
HPRT1; HPRT; HGPRT
Reactivity
Human, Mouse, Rat
Applications
Immunohistochemistry, Western Blot
Purity
The antiserum was purified by peptide affinity chromatography using SulfoLink Coupling Resin.
Pricing
product-image-AAA327236_WB13.jpg WB (Western Blot) (Western blot analysis of APG5L/ATG5 using HT-29 whole cell lysates)

APG5L/ATG5, Polyclonal Antibody (Cat# AAA327236)

Full Name
APG5L/ATG5 Antibody
Gene Names
ATG5; ASP; APG5; APG5L; hAPG5; SCAR25; APG5-LIKE
Reactivity
Human, Mouse, Rat
Applications
Immunohistochemistry, Western Blot
Purity
The antiserum was purified by peptide affinity chromatography using SulfoLink Coupling Resin.
Pricing
product-image-AAA327280_IF13.jpg IF (Immunofluorescence) (AAA327280 staining HepG2 by IF/ICC. The sample were fixed with PFA and permeabilized in 0.1% Triton X-100, then blocked in 10% serum for 45 minutes at 25 degree C. The primary antibody was diluted at 1/200 and incubated with the sample for 1 hour at 37 degree C. An Alexa Fluor 594 conjugated goat anti-rabbit IgG (H+L) Ab, diluted at 1/600, was used as the secondary antibody.)

CSF2RB, Polyclonal Antibody (Cat# AAA327280)

Full Name
CSF2RB Antibody
Gene Names
CSF2RB; CD131; IL3RB; IL5RB; SMDP5; CDw131; betaGMR
Reactivity
Human, Mouse
Applications
Immunocytochemistry, Immunofluorescence, Western Blot
Purity
Peptide affinity purification.
Pricing

HE4, Polyclonal Antibody (Cat# AAA327290)

Full Name
HE4 Antibody
Gene Names
WFDC2; HE4; WAP5; EDDM4; dJ461P17.6
Reactivity
Human
Applications
Western Blot
Purity
The antiserum was purified by peptide affinity chromatography using SulfoLink Coupling Resin (Thermo Fisher Scientific).
Pricing
product-image-AAA327292_IHC11.jpg IHC (Immunohistochemisry) (AAA327292 at 1/100 staining Human gastric tissue by IHC-P. The sample was formaldehyde fixed and a heat mediated antigen retrieval step in citrate buffer was performed. The sample was then blocked and incubated with the antibody for 1.5 hours at 22 degree C. An HRP conjugated goat anti-rabbit antibody was used as the secondary.)

ERG1, Polyclonal Antibody (Cat# AAA327292)

Full Name
ERG1 Antibody
Gene Names
ERG; p55; erg-3
Reactivity
Human, Mouse, Rat
Applications
Immunocytochemistry, Immunofluorescence, Immunohistochemistry, Western Blot
Purity
The antiserum was purified by peptide affinity chromatography using SulfoLink Coupling Resin.
Pricing
product-image-AAA327302_WB15.jpg WB (Western Blot) (Western blot analysis of NEDD4-2 using K562 whole lysates.)

NEDD4-2, Polyclonal Antibody (Cat# AAA327302)

Full Name
NEDD4-2 Antibody
Gene Names
NEDD4L; RSP5; PVNH7; NEDD4-2; NEDD4.2; hNEDD4-2
Reactivity
Human, Mouse
Applications
Western Blot
Purity
Peptide affinity purification
Pricing

What are Polyclonal Antibodies?


Polyclonal antibodies are antibodies that come from multiple B cell clones of a host animal. The typical hosts used for the majority of polyclonal antibody production are rabbits, goats, sheep, and donkeys. These polyclonal antibodies, once having identified their target, will bind to different epitopes located at different regions or sequences on the same protein/antigen. As a result, they are ideal at locating and binding to the target, even if the target is in very low concentrations (due to many different antibodies being able to bind to the same target molecule, which allows for significant amplification of a downstream signal).


Polyclonal antibodies are typically produced by injecting an antigen into a host animal, which causes the animal’s immune system to attack the foreign antigen by mass generating antibodies against it. After a period of time, serum is collected from the animal and purified using physicochemical fractionation, class-specific affinity purification, and/or antigen-affinity purification.


Key Uses of Polyclonal Antibodies


  • Western Blotting: This method is used to find specific proteins in biological samples after separating them by size.

  • Immunohistochemistry: IHC helps visualize the location of proteins in tissue sections using various staining techniques.

  • ELISA: (Enzyme-Linked Immunosorbent Assay) is typically used to identify specific protein quantities in a sample. ELISAs can be either “Quantitative” or “Qualitative”.

  • Flow Cytometry: technique that identifies and measures the specific protein on the surface or inside the cells in a fluid suspension.

  • Immunoprecipitation: IP isolates and studies a specific protein from a complex mixture using antibodies.


Why Buy Polyclonal Antibodies from AAA Biotech?


1. Ideal for Various Applications


Our antibodies are generally going to be validated for use in multiple types of assays, including ELISA, Western Blotting, Immunohistochemistry, Immunoprecipitation, amongst others. They are ideal for a wide range of research applications.


2. Rigorous Quality Control


All of the antibodies in our catalog undergo strict quality testing to ensure specificity, sensitivity, and consistent performance. We are confident in the ability of our antibodies to provide you with accurate results.


3. Wide Assortment of Antibodies


Antibodies in are catalog can be found for both common and exotic species, and these antibodies are also available in both conjugated and recombinant forms to suit many diverse experimental needs.


4. Highly Purified


Our antibodies are available in purified forms with over 85% purity, as confirmed by SDS-PAGE. They are also available with tags such as His, Flag, GST, or MBP. We cater to customers worldwide.


FAQ


1. How are polyclonal antibodies produced?


Traditionally, polyclonal antibodies are produced by injecting an antigen into a host animal (such as a rabbit or goat), which then triggers an immune response from the host animal. The animal’s B cells produce antibodies that will recognize different parts of the injected antigen. These antibodies are then collected from the animal’s blood and purified for use.


2. How do polyclonal antibodies differ from monoclonal antibodies?


Polyclonal antibodies are a mix of antibodies that bind to different locations (epitopes) of the same antigen, while monoclonal antibodies are identical and bind to just one specific epitope. This makes polyclonal antibodies more versatile and better at detecting proteins that may be present in low quantities or in altered/modified forms.


3. How should I store polyclonal antibodies?


Polyclonal antibodies should be stored at 4°C for short-term use (up to a few weeks) and at -20°C or -80°C for long-term storage. Avoid repeated freeze-thaw cycles by dividing them into small aliquots. Always check the datasheet for specific storage instructions.


Submit a Question

Please complete the form below and a representative will contact you as soon as possible.

Request more Information

Please complete the form below and a representative will contact you as soon as possible.

Request a Manual

Please complete the form below and a representative will contact you as soon as possible.

Request a Quote

Please complete the form below and a representative will contact you as soon as possible.