Loading...

Skip to main content
Call us at +1-800-604-9114 for more information about our products or contact us online Need help? +1-800-604-9114 or contact us

Filters


Clonality

Type

Reactivity

Gene Name

Isotype

Host

Application

Clone

Polyclonal Antibodies

At AAA Biotech also known as AAA Bio or AAABio, we provide a broad range of purified polyclonal antibodies (pAbs) that are able to all be browsed online through our website. Due to their high specificity and strong binding affinity, these antibodies are ideal for wide swathes of research and experimental applications.


Our polyclonal antibodies can easily support your work, whether you use them for Western Blotting, Immunocytochemistry (with or without Immunofluorescence used in conjunction), Immunohistochemistry, Immunoprecipitation, and ELISA tests. We highly encourage you to browse our range of pAbs and choose the one that best suits your experimental model.


Viewing 5700-5750 of 10000 product results


product-image-AAA105345_IF11.jpg IF (Immunofluorescence) (Immunofluorescent analysis of IKK gamma staining in HL60 cells. Formalin-fixed cells were permeabilized with 0.1% Triton X-100 in TBS for 5-10 minutes and blocked with 3% BSA-PBS for 30 minutes at room temperature. Cells were probed with the primary antibody in 3% BSA-PBS and incubated overnight at 4 °C in a humidified chamber. Cells were washed with PBST and incubated with a DyLight 594-conjugated secondary antibody (red) in PBS at room temperature in the dark.)

IKK gamma, Polyclonal Antibody (Cat# AAA105345)

Full Name
Anti-IKK gamma Antibody
Gene Names
IKBKG; IP; IP1; IP2; FIP3; IPD2; NEMO; FIP-3; Fip3p; IMD33; AMCBX1; ZC2HC9; IKK-gamma
Reactivity
Human, Mouse, Rat, Bovine, Rabbit
Applications
Immunocytochemistry, Immunofluorescence, Immunohistochemistry, Western Blot
Purity
The antibody was purified by immunogen affinity chromatography.
Pricing

protocadherin 1, Polyclonal Antibody (Cat# AAA81185)

Full Name
Rabbit anti-human protocadherin 1 polyclonal Antibody
Gene Names
PCDH1; PC42; PCDH42
Reactivity
Human, Mouse, Rat
Applications
Western Blot
Purity
Antigen Affinity Purified
Pricing

ectonucleotide pyrophosphatase/phosphodiesterase 1, Polyclonal Antibody (Cat# AAA81508)

Full Name
Rabbit anti-human ectonucleotide pyrophosphatase/phosphodiesterase 1 polyclonal Antibody
Gene Names
ENPP1; M6S1; NPP1; NPPS; PC-1; PCA1; ARHR2; COLED; PDNP1
Reactivity
Human, Mouse, Rat
Applications
Western Blot
Purity
Antigen Affinity purified
Pricing
product-image-AAA127869_FCM11.png FCM/FACS (Flow Cytometry) (Figure 3. Flow Cytometry analysis of MCF-7 cells using anti-PERM1 antibody (AAA127869).Overlay histogram showing MCF-7 cells stained with AAA127869 (Blue line). To facilitate intracellular staining, cells were fixed with 4% paraformaldehyde and permeabilized with permeabilization buffer. The cells were blocked with 10% normal goat serum. And then incubated with rabbit anti-PERM1 Antibody (AAA127869, 1ug/1x106 cells) for 30 min at 20 degree C. DyLight488 conjugated goat anti-rabbit IgG was used as secondary antibody for 30 minutes at 20 degree C. Isotype control antibody (Green line) was rabbit IgG (1ug/1x106) used under the same conditions. Unlabelled sample (Red line) was also used as a control.)

PERM1, Polyclonal Antibody (Cat# AAA127869)

Full Name
Anti-PERM1 Antibody Picoband
Gene Names
PERM1; C1orf170
Reactivity
Human
Applications
Western Blot, Immunofluorescence, Immunocytochemistry, Flow Cytometry
Purity
Immunogen affinity purified.
Pricing

KAPPA LIGHT CHAIN, Polyclonal Antibody (Cat# AAA50020)

Full Name
GOAT ANTI HUMAN KAPPA LIGHT CHAIN:HRP
Applications
Western Blot, Immunohistochemistry, Immunohistochemistry
Pricing
product-image-AAA50916_WB13.jpg WB (Western Blot) (Antibody (0.01 ug/ml) staining of Human Adipose lysate (35 ug protein in RIPA buffer). Primary incubation was 1 hour. Detected by chemiluminescence.)

PLIN1 / Perilipin, Polyclonal Antibody (Cat# AAA50916)

Full Name
Goat Polyclonal to Human PLIN1 / Perilipin
Gene Names
PLIN1; PERI; PLIN; FPLD4
Reactivity
Human, Monkey
Applications
Western Blot, Immunohistochemistry
Purity
Purified from goat serum by ammonium sulphate precipitation followed by antigen affinity chromatography using the immunizing peptide
Pricing
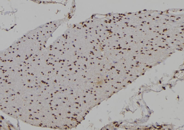
product-image-AAA51219_IHC11.jpg IHC (Immunohistochemisry) (Anti-5HT4 Receptor antibody IHC of human brain, medulla. Immunohistochemistry of formalin-fixed, paraffin-embedded tissue after heat-induced antigen retrieval.)

HTR4 / 5-HT4 Receptor, Polyclonal Antibody (Cat# AAA51219)

Full Name
Rabbit Polyclonal to Human HTR4 / 5-HT4 Receptor
Gene Names
HTR4; 5-HT4; 5-HT4R
Reactivity
Bat, Gibbon, Bovine, Dog, Gorilla, Horse, Human, Monkey, Pig, Rabbit
Predicted Reactivity: Mouse, Rat, Hamster (at least 90% immunogen sequence identity)
Applications
Immunohistochemistry
Purity
Immunoaffinity Purified
Pricing
product-image-AAA52606_WB11.jpg WB (Western Blot) (L1CAM Antibody western blot of mouse cerebellum tissue lysates (35 ug/lane). The L1CAM antibody detected the L1CAM protein (arrow).)

L1CAM, Polyclonal Antibody (Cat# AAA52606)

Full Name
Anti-L1CAM Antibody (aa1153-1182) IHC-plus
Gene Names
L1CAM; S10; HSAS; MASA; MIC5; SPG1; CAML1; CD171; HSAS1; N-CAML1; NCAM-L1; N-CAM-L1
Reactivity
Mouse, Human
Applications
Western Blot, Immunohistochemistry
Purity
Immunoaffinity purified
Pricing
product-image-AAA52387_WB13.jpg WB (Western Blot) (ARF4 antibody (0.5 ug/ml) staining of HeLa lysate (35 ug protein in RIPA buffer). Primary incubation was 1 hour. Detected by chemiluminescence.)

ARF4, Polyclonal Antibody (Cat# AAA52387)

Full Name
Goat Polyclonal to Human ARF4
Gene Names
ARF4; ARF2
Reactivity
Bat, Gibbon, Bovine, Chimpanzee, Chicken, Dog, Guinea pig, Gorilla, Hamster, Horse, Human, Monkey, Mouse, Orangutan, Rabbit, Rat, Sheep
Applications
Western Blot, Immunohistochemistry
Purity
Immunoaffinity Purified
Pricing
product-image-AAA326569_IHC11.jpg IHC (Immunohistochemisry) (AAA326569 at 1/100 staining Human lung tissue by IHC-P. The sample was formaldehyde fixed and a heat mediated antigen retrieval step in citrate buffer was performed. The sample was then blocked and incubated with the antibody for 1.5 hours at 22 degree C. An HRP conjugated goat anti-rabbit antibody was used as the secondary.)

HDAC2, Polyclonal Antibody (Cat# AAA326569)

Full Name
HDAC2 Antibody
Gene Names
HDAC2; HD2; RPD3; YAF1
Reactivity
Human, Mouse, Rat
Applications
Immunocytochemistry, Immunofluorescence, Immunohistochemistry, Western Blot
Purity
The antiserum was purified by peptide affinity chromatography using SulfoLink Coupling Resin.
Pricing
product-image-AAA326570_WB11.jpg WB (Western Blot) (Western blot analysis of Huvec whole cell lysates, using HNF4A Antibody. The lane on the left is treated with the antigen-specific peptide.)

HNF4A, Polyclonal Antibody (Cat# AAA326570)

Full Name
HNF4A Antibody
Gene Names
HNF4A; TCF; HNF4; MODY; FRTS4; MODY1; NR2A1; TCF14; HNF4a7; HNF4a8; HNF4a9; NR2A21; HNF4alpha
Reactivity
Human, Mouse, Rat
Applications
Immunocytochemistry, Immunofluorescence, Immunohistochemistry, Western Blot
Purity
The antiserum was purified by peptide affinity chromatography using SulfoLink Coupling Resin.
Pricing
product-image-AAA326606_WB11.jpg WB (Western Blot) (Western blot analysis of extracts of Raji, using SYK antibody. The lane on the left is treated with the antigen-specific peptide.)

SYK, Polyclonal Antibody (Cat# AAA326606)

Full Name
SYK Antibody
Gene Names
SYK; p72-Syk
Reactivity
Human, Mouse, Rat, Monkey
Applications
Immunocytochemistry, Immunofluorescence, Immunohistochemistry, Western Blot
Purity
The antiserum was purified by peptide affinity chromatography using SulfoLink Coupling Resin.
Pricing
product-image-AAA326703_IF13.jpg IF (Immunofluorescence) (AAA326703 staining Hela by IF/ICC. The sample were fixed with PFA and permeabilized in 0.1% Triton X-100, then blocked in 10% serum for 45 minutes at 25 degree C. The primary antibody was diluted at 1/200 and incubated with the sample for 1 hour at 37 degree C. An Alexa Fluor 594 conjugated goat anti-rabbit IgG (H+L) Ab, diluted at 1/600, was used as the secondary antibody.)

HIST2H4A, Polyclonal Antibody (Cat# AAA326703)

Full Name
HIST2H4A Antibody
Gene Names
HIST2H4B; H4/o
Reactivity
Human, Mouse, Rat
Applications
Chromatin immunoprecipitation, Immunoprecipitation, Immunocytochemistry, Immunofluorescence, Western Blot
Purity
The antiserum was purified by peptide affinity chromatography using SulfoLink Coupling Resin.
Pricing
product-image-AAA326705_IF13.jpg IF (Immunofluorescence) (AAA326705 staining Hela by IF/ICC. The sample were fixed with PFA and permeabilized in 0.1% Triton X-100, then blocked in 10% serum for 45 minutes at 25 degree C. The primary antibody was diluted at 1/200 and incubated with the sample for 1 hour at 37 degree C. An Alexa Fluor 594 conjugated goat anti-rabbit IgG (H+L) Ab, diluted at 1/600, was used as the secondary antibody.)

Histone H4R3me2a, Polyclonal Antibody (Cat# AAA326705)

Full Name
Histone H4R3me2a Antibody
Gene Names
HIST2H4B; H4/o
Reactivity
Human, Mouse, Rat
Applications
Chromatin immunoprecipitation, Immunoprecipitation, Immunocytochemistry, Immunofluorescence, Western Blot
Purity
The antiserum was purified by peptide affinity chromatography using SulfoLink Coupling Resin.
Pricing
product-image-AAA326707_IHC11.jpg IHC (Immunohistochemisry) (AAA326707 at 1/100 staining Human breast cancer tissue by IHC-P. The sample was formaldehyde fixed and a heat mediated antigen retrieval step in citrate buffer was performed. The sample was then blocked and incubated with the antibody for 1.5 hours at 22 degree C. An HRP conjugated goat anti-rabbit antibody was used as the secondary.)

HSPA8, Polyclonal Antibody (Cat# AAA326707)

Full Name
HSPA8 Antibody
Gene Names
HSPA8; LAP1; HSC54; HSC70; HSC71; HSP71; HSP73; LAP-1; NIP71; HEL-33; HSPA10; HEL-S-72p
Reactivity
Human, Mouse, Rat
Applications
Immunocytochemistry, Immunofluorescence, Immunohistochemistry, Western Blot
Purity
The antiserum was purified by peptide affinity chromatography using SulfoLink Coupling Resin.
Pricing
product-image-AAA326731_IF13.png IF (Immunofluorescence) (AAA326731 staining Hela cells by IF/ICC. The samples were fixed with PFA and permeabilized in 0.1% Triton X-100,then blocked in 10% serum for 45 minutes at 25°C. Samples were then incubated with primary Ab(AAA326731 1:200) and mouse anti-beta tubulin Ab( 1:200) for 1 hour at 37°C. An AlexaFluor594 conjugated goat anti-rabbit IgG(H+L) Ab(Red) and an AlexaFluor488 conjugated goat anti-mouse IgG(H+L) Ab(Green) were used as the secondary Ab. The nuclear counter stain is DAPI(blue).)

HNMT, Polyclonal Antibody (Cat# AAA326731)

Full Name
HNMT Antibody
Gene Names
HNMT; HMT; MRT51; HNMT-S1; HNMT-S2
Reactivity
Human, Mouse, Rat
Applications
Immunocytochemistry, Immunofluorescence, Immunohistochemistry, Western Blot
Purity
The antiserum was purified by peptide affinity chromatography using SulfoLink Coupling Resin.
Pricing
product-image-AAA326732_WB10.jpg WB (Western Blot) (Western blot analysis of NEDD9 expression in Rat brain lysate)

NEDD9, Polyclonal Antibody (Cat# AAA326732)

Full Name
NEDD9 Antibody
Gene Names
NEDD9; CAS2; CASL; HEF1; CAS-L; CASS2
Reactivity
Human, Mouse, Rat
Applications
Immunohistochemistry, Western Blot
Purity
Peptide affinity purification
Pricing
product-image-AAA326768_WB10.jpg WB (Western Blot) (Western blot analysis of Hela whole cell lysates, using SKP1 Antibody. The lane on the left is treated with the antigen-specific peptide.)

SKP1, Polyclonal Antibody (Cat# AAA326768)

Full Name
SKP1 Antibody
Gene Names
SKP1; OCP2; p19A; EMC19; SKP1A; OCP-II; TCEB1L
Reactivity
Human, Mouse, Rat
Applications
Immunocytochemistry, Immunofluorescence, Immunohistochemistry, Western Blot
Purity
The antiserum was purified by peptide affinity chromatography using SulfoLink Coupling Resin.
Pricing
product-image-AAA326421_IHC13.jpg IHC (Immunohiostchemistry) (AAA326421 at 1/100 staining Mouse liver tissue by IHC-P. The sample was formaldehyde fixed and a heat mediated antigen retrieval step in citrate buffer was performed. The sample was then blocked and incubated with the antibody for 1.5 hours at 22 degree C. An HRP conjugated goat anti-rabbit antibody was used as the secondary.)

AMBP, Polyclonal Antibody (Cat# AAA326421)

Full Name
AMBP Antibody
Gene Names
AMBP; A1M; HCP; ITI; UTI; EDC1; HI30; ITIL; IATIL; ITILC
Reactivity
Human, Mouse, Rat
Applications
Immunohistochemistry, Western Blot
Purity
The antiserum was purified by peptide affinity chromatography using SulfoLink Coupling Resin.
Pricing
product-image-AAA326427_IF11.jpg IF (Immunofluorescence) (AAA326427 staining HepG2  cells by IF/ICC. The sample were fixed with PFA and permeabilized in 0.1% Triton X-100, then blocked in 10% serum for 45 minutes at 25 degree C. The primary antibody was diluted at 1/200 and incubated with the sample for 1 hour at 37 degree C. An Alexa Fluor 594 conjugated goat anti-rabbit IgG (H+L) antibody, diluted at 1/600, was used as secondary antibody.)

HSPA1L, Polyclonal Antibody (Cat# AAA326427)

Full Name
HSPA1L Antibody
Gene Names
HSPA1L; HSP70T; hum70t; HSP70-1L; HSP70-HOM
Reactivity
Human, Mouse, Rat
Applications
Immunocytochemistry, Immunofluorescence, Immunohistochemistry, Western Blot
Purity
The antiserum was purified by peptide affinity chromatography using SulfoLink Coupling Resin.
Pricing
product-image-AAA326451_IF11.jpg IF (Immunofluorescence) (AAA326451 staining HepG2 cells by IF/ICC. The samples were fixed with PFA and permeabilized in 0.1% Triton X-100,then blocked in 10% serum for 45 minutes at 25°C. Samples were then incubated with primary Ab(AAA326451) and mouse anti-beta tubulin Ab for 1 hour at 37C. An AlexaFluor594 conjugated goat anti-rabbit IgG(H+L) Ab(Red) and an AlexaFluor488 conjugated goat anti-mouse IgG(H+L) Ab(Green) were used as the secondary antibody. The nuclear counter stain is DAPI (blue).)

HOXA9, Polyclonal Antibody (Cat# AAA326451)

Full Name
HOXA9 Antibody
Gene Names
HOXA9; HOX1; ABD-B; HOX1G; HOX1.7
Reactivity
Human, Mouse, Rat
Applications
Immunocytochemistry, Immunofluorescence, Immunohistochemistry, Western Blot
Purity
The antiserum was purified by peptide affinity chromatography using SulfoLink™ Coupling Resin (Thermo Fisher Scientific).
Pricing
product-image-AAA326482_IHC13.jpg IHC (Immunohiostchemistry) (AAA326482 at 1/100 staining Human gastric tissue by IHC-P. The sample was formaldehyde fixed and a heat mediated antigen retrieval step in citrate buffer was performed. The sample was then blocked and incubated with the antibody for 1.5 hours at 22 degree C. An HRP conjugated goat anti-rabbit antibody was used as the secondary.)

HIST2H2BE, Polyclonal Antibody (Cat# AAA326482)

Full Name
HIST2H2BE Antibody
Gene Names
HIST2H2BE; H2B; H2BQ; GL105; H2B.1; H2BFQ; H2BGL105
Reactivity
Human
Applications
Immunohistochemistry, Western Blot
Purity
The antiserum was purified by peptide affinity chromatography using SulfoLink Coupling Resin.
Pricing
product-image-AAA326791_WB13.jpg WB (Western Blot) (Western blot analysis of extracts of PC-3, using CLDN11 antibody. The lane on the left is treated with the antigen-specific peptide.)

CLDN11, Polyclonal Antibody (Cat# AAA326791)

Full Name
CLDN11 Antibody
Gene Names
CLDN11; OSP; OTM
Reactivity
Human, Mouse, Rat
Applications
Immunohistochemistry, Western Blot
Purity
The antiserum was purified by peptide affinity chromatography using SulfoLink Coupling Resin.
Pricing
product-image-AAA326819_IHC13.jpg IHC (Immunohiostchemistry) (AAA326819 at 1/100 staining Mouse muscle tissue by IHC-P. The sample was formaldehyde fixed and a heat mediated antigen retrieval step in citrate buffer was performed. The sample was then blocked and incubated with the antibody for 1.5 hours at 22 degree C. An HRP conjugated goat anti-rabbit antibody was used as the secondary.)

FBXO32, Polyclonal Antibody (Cat# AAA326819)

Full Name
FBXO32 Antibody
Gene Names
FBXO32; Fbx32; MAFbx
Reactivity
Human, Mouse, Rat
Applications
Immunohistochemistry, Western Blot
Purity
The antiserum was purified by peptide affinity chromatography using SulfoLink Coupling Resin.
Pricing
product-image-AAA326648_IHC13.jpg IHC (Immunohiostchemistry) (AAA326648 at 1/100 staining Human gastric tissue by IHC-P. The sample was formaldehyde fixed and a heat mediated antigen retrieval step in citrate buffer was performed. The sample was then blocked and incubated with the antibody for 1.5 hours at 22 degree C. An HRP conjugated goat anti-rabbit antibody was used as the secondary.)

HLA-DQA1, Polyclonal Antibody (Cat# AAA326648)

Full Name
HLA-DQA1 Antibody
Gene Names
HLA-DQA1; DQA1; DQ-A1; CELIAC1; HLA-DQA
Reactivity
Human, Mouse, Rat
Applications
Immunohistochemistry, Western Blot
Purity
The antiserum was purified by peptide affinity chromatography using SulfoLink Coupling Resin.
Pricing
product-image-AAA326688_IF11.jpg IF (Immunofluorescence) (AAA326688 staining HepG2 by IF/ICC. The sample were fixed with PFA and permeabilized in 0.1% Triton X-100, then blocked in 10% serum for 45 minutes at 25 degree C. The primary antibody was diluted at 1/200 and incubated with the sample for 1 hour at 37 degree C. An Alexa Fluor 594 conjugated goat anti-rabbit IgG (H+L) Ab, diluted at 1/600, was used as the secondary antibody.)

Histone H3K4me1, Polyclonal Antibody (Cat# AAA326688)

Full Name
Histone H3K4me1 Antibody
Gene Names
HIST3H3; H3t; H3.4; H3/g; H3FT
Reactivity
Human, Mouse
Applications
Immunocytochemistry, Immunofluorescence, Immunohistochemistry, Western Blot
Purity
The antiserum was purified by peptide affinity chromatography using SulfoLink Coupling Resin.
Pricing
product-image-AAA326694_IF11.jpg IF (Immunofluorescence) (AAA326694 staining HepG2 by IF/ICC. The sample were fixed with PFA and permeabilized in 0.1% Triton X-100, then blocked in 10% serum for 45 minutes at 25 degree C. The primary antibody was diluted at 1/200 and incubated with the sample for 1 hour at 37 degree C. An Alexa Fluor 594 conjugated goat anti-rabbit IgG (H+L) Ab, diluted at 1/600, was used as the secondary antibody.)

Histone H3K27me1, Polyclonal Antibody (Cat# AAA326694)

Full Name
Histone H3K27me1 Antibody
Gene Names
HIST3H3; H3t; H3.4; H3/g; H3FT
Reactivity
Human, Mouse
Applications
Immunocytochemistry, Immunofluorescence, Immunohistochemistry, Western Blot
Purity
The antiserum was purified by peptide affinity chromatography using SulfoLink Coupling Resin.
Pricing
product-image-AAA326695_IF11.jpg IF (Immunofluorescence) (AAA326695 staining HepG2 by IF/ICC. The sample were fixed with PFA and permeabilized in 0.1% Triton X-100, then blocked in 10% serum for 45 minutes at 25 degree C. The primary antibody was diluted at 1/200 and incubated with the sample for 1 hour at 37 degree C. An Alexa Fluor 594 conjugated goat anti-rabbit IgG (H+L) Ab, diluted at 1/600, was used as the secondary antibody.)

Histone H3K27me2, Polyclonal Antibody (Cat# AAA326695)

Full Name
Histone H3K27me2 Antibody
Gene Names
HIST3H3; H3t; H3.4; H3/g; H3FT
Reactivity
Human, Mouse, Rat
Applications
Immunoprecipitation, Immunocytochemistry, Immunofluorescence, Immunohistochemistry, Western Blot
Purity
The antiserum was purified by peptide affinity chromatography using SulfoLink Coupling Resin.
Pricing
product-image-AAA326696_IF11.jpg IF (Immunofluorescence) (AAA326696 staining HepG2 by IF/ICC. The sample were fixed with PFA and permeabilized in 0.1% Triton X-100, then blocked in 10% serum for 45 minutes at 25 degree C. The primary antibody was diluted at 1/200 and incubated with the sample for 1 hour at 37 degree C. An Alexa Fluor 594 conjugated goat anti-rabbit IgG (H+L) Ab, diluted at 1/600, was used as the secondary antibody.)

Histone H3K27me3, Polyclonal Antibody (Cat# AAA326696)

Full Name
Histone H3K27me3 Antibody
Gene Names
HIST3H3; H3t; H3.4; H3/g; H3FT
Reactivity
Human, Mouse, Rat
Applications
Chromatin Immunoprecipitation, Immunoprecipitation, Immunocytochemistry, Immunofluorescence, Immunohistochemistry, Western Blot
Purity
The antiserum was purified by peptide affinity chromatography using SulfoLink Coupling Resin.
Pricing
product-image-AAA326697_IF13.jpg IF (Immunofluorescence) (AAA326697 staining HepG2 by IF/ICC. The sample were fixed with PFA and permeabilized in 0.1% Triton X-100, then blocked in 10% serum for 45 minutes at 25 degree C. The primary antibody was diluted at 1/200 and incubated with the sample for 1 hour at 37 degree C. An Alexa Fluor 594 conjugated goat anti-rabbit IgG (H+L) Ab, diluted at 1/600, was used as the secondary antibody.)

Histone H3K36me1, Polyclonal Antibody (Cat# AAA326697)

Full Name
Histone H3K36me1 Antibody
Gene Names
HIST3H3; H3t; H3.4; H3/g; H3FT
Reactivity
Human, Mouse
Applications
Immunocytochemistry, Immunofluorescence, Western Blot
Purity
The antiserum was purified by peptide affinity chromatography using SulfoLink Coupling Resin.
Pricing
product-image-AAA326699_IF13.jpg IF (Immunofluorescence) (AAA326699 staining HepG2 by IF/ICC. The sample were fixed with PFA and permeabilized in 0.1% Triton X-100, then blocked in 10% serum for 45 minutes at 25 degree C. The primary antibody was diluted at 1/200 and incubated with the sample for 1 hour at 37 degree C. An Alexa Fluor 594 conjugated goat anti-rabbit IgG (H+L) Ab, diluted at 1/600, was used as the secondary antibody.)

Histone H3K36me3, Polyclonal Antibody (Cat# AAA326699)

Full Name
Histone H3K36me3 Antibody
Gene Names
HIST3H3; H3t; H3.4; H3/g; H3FT
Reactivity
Human, Mouse, Rat
Applications
Chromatin immunoprecipitation, Immunocytochemistry, Immunofluorescence, Western Blot
Purity
The antiserum was purified by peptide affinity chromatography using SulfoLink Coupling Resin.
Pricing
product-image-AAA326391_IF11.jpg IF (Immunofluorescence) (AAA326391 staining HepG2  cells by IF/ICC. The sample were fixed with PFA and permeabilized in 0.1% Triton X-100, then blocked in 10% serum for 45 minutes at 25 degree C. The primary antibody was diluted at 1/200 and incubated with the sample for 1 hour at 37 degree C. An Alexa Fluor 594 conjugated goat anti-rabbit IgG (H+L) antibody, diluted at 1/600, was used as secondary antibody.)

GABRA2, Polyclonal Antibody (Cat# AAA326391)

Full Name
GABRA2 Antibody
Reactivity
Human, Mouse, Rat
Applications
Immunocytochemistry, Immunofluorescence, Immunohistochemistry, Western Blot
Purity
The antiserum was purified by peptide affinity chromatography using SulfoLink Coupling Resin.
Pricing
product-image-AAA326396_IHC13.jpg IHC (Immunohiostchemistry) (AAA326396 at 1/100 staining Mouse lung tissue by IHC-P. The sample was formaldehyde fixed and a heat mediated antigen retrieval step in citrate buffer was performed. The sample was then blocked and incubated with the antibody for 1.5 hours at 22 degree C. An HRP conjugated goat anti-rabbit antibody was used as the secondary.)

ICOS, Polyclonal Antibody (Cat# AAA326396)

Full Name
ICOS Antibody
Gene Names
ICOS; AILIM; CD278; CVID1
Reactivity
Human, Mouse, Rat
Applications
Immunohistochemistry, Western Blot
Purity
The antiserum was purified by peptide affinity chromatography using SulfoLink Coupling Resin.
Pricing
product-image-AAA326253_IF11.jpg IF (Immunofluorescence) (AAA326253 staining 293 cells by IF/ICC. The sample were fixed with PFA and permeabilized in 0.1% Triton X-100, then blocked in 10% serum for 45 minutes at 25 degree C. The primary antibody was diluted at 1/200 and incubated with the sample for 1 hour at 37 degree C. An Alexa Fluor 594 conjugated goat anti-rabbit IgG (H+L) antibody, diluted at 1/600, was used as secondary antibody.)

BAD, Polyclonal Antibody (Cat# AAA326253)

Full Name
BAD Antibody
Gene Names
BAD; BBC2; BCL2L8
Reactivity
Human, Mouse, Rat
Applications
Immunocytochemistry, Immunofluorescence, Immunohistochemistry, Western Blot
Purity
The antiserum was purified by peptide affinity chromatography using SulfoLink Coupling Resin.
Pricing
product-image-AAA326495_WB13.jpg WB (Western Blot) (Western blot analysis of Hela cell lysate, using TFF3 Antibody. The lane on the left is treated with the antigen-specific peptide.)

TFF3, Polyclonal Antibody (Cat# AAA326495)

Full Name
TFF3 Antibody
Gene Names
TFF3; ITF; P1B; TFI
Reactivity
Human, Mouse
Applications
Immunocytochemistry, Immunofluorescence, Immunohistochemistry, Western Blot
Purity
The antiserum was purified by peptide affinity chromatography using SulfoLink Coupling Resin.
Pricing
product-image-AAA326517_IHC13.jpg IHC (Immunohiostchemistry) (AAA326517 at 1/100 staining Mouse brain tissue by IHC-P. The sample was formaldehyde fixed and a heat mediated antigen retrieval step in citrate buffer was performed. The sample was then blocked and incubated with the antibody for 1.5 hours at 22 degree C. An HRP conjugated goat anti-rabbit antibody was used as the secondary.)

CBLB, Polyclonal Antibody (Cat# AAA326517)

Full Name
CBLB Antibody
Gene Names
CBLB; Cbl-b; RNF56; Nbla00127
Reactivity
Human, Mouse, Rat
Applications
Immunohistochemistry, Western Blot
Purity
The antiserum was purified by peptide affinity chromatography using SulfoLink Coupling Resin.
Pricing
product-image-AAA326523_IHC13.jpg IHC (Immunohiostchemistry) (AAA326523 at 1/100 staining Mouse testis tissue by IHC-P. The sample was formaldehyde fixed and a heat mediated antigen retrieval step in citrate buffer was performed. The sample was then blocked and incubated with the antibody for 1.5 hours at 22 degree C. An HRP conjugated goat anti-rabbit antibody was used as the secondary.)

KPNA4, Polyclonal Antibody (Cat# AAA326523)

Full Name
KPNA4 Antibody
Gene Names
KPNA4; QIP1; SRP3; IPOA3
Reactivity
Human, Mouse, Rat
Applications
Immunohistochemistry, Western Blot
Purity
The antiserum was purified by peptide affinity chromatography using SulfoLink Coupling Resin.
Pricing
product-image-AAA326326_WB13.jpg WB (Western Blot) (Western blot analysis of extracts of HepG2, using KIR2DL1antibody. The lane on the left is treated with the antigen-specific peptide.)

KIR2DL1, Polyclonal Antibody (Cat# AAA326326)

Full Name
KIR2DL1 Antibody
Gene Names
KIR2DL1; NKAT; NKAT1; p58.1; CD158A; KIR221; NKAT-1; KIR-K64; KIR2DL3
Reactivity
Human
Applications
Immunohistochemistry, Western Blot
Purity
The antiserum was purified by peptide affinity chromatography using SulfoLink Coupling Resin.
Pricing
product-image-AAA326330_WB13.jpg WB (Western Blot) (Western blot analysis of Hepg2 whole cell lysates, using CEACAM1 Antibody. The lane on the left is treated with the antigen-specific peptide.)

CEACAM1, Polyclonal Antibody (Cat# AAA326330)

Full Name
CEACAM1 Antibody
Gene Names
CEACAM1; BGP; BGP1; BGPI
Reactivity
Human, Mouse
Applications
Immunohistochemistry, Western Blot
Purity
The antiserum was purified by peptide affinity chromatography using SulfoLink Coupling Resin (Thermo Fisher Scientific).
Pricing
product-image-AAA326993_IHC13.jpg IHC (Immunohiostchemistry) (AAA326993 at 1/100 staining Human liver cancer tissue by IHC-P. The sample was formaldehyde fixed and a heat mediated antigen retrieval step in citrate buffer was performed. The sample was then blocked and incubated with the antibody for 1.5 hours at 22 degree C. An HRP conjugated goat anti-rabbit antibody was used as the secondary.)

HFE2, Polyclonal Antibody (Cat# AAA326993)

Full Name
HFE2 Antibody
Gene Names
HJV; JH; HFE2; RGMC; HFE2A
Reactivity
Human, Mouse, Rat
Applications
Immunohistochemistry, Western Blot
Purity
The antiserum was purified by peptide affinity chromatography using SulfoLink Coupling Resin.
Pricing
product-image-AAA327010_WB11.jpg WB (Western Blot) (Western blot analysis of Mouse kidney lysate, using GFRA1 Antibody. The lane on the left is treated with the antigen-specific peptide.)

GFRA1, Polyclonal Antibody (Cat# AAA327010)

Full Name
GFRA1 Antibody
Gene Names
GFRA1; GDNFR; RET1L; RETL1; TRNR1; GDNFRA; GFR-ALPHA-1
Reactivity
Human, Mouse, Rat
Applications
Immunohistochemistry, Western Blot
Purity
The antiserum was purified by peptide affinity chromatography using SulfoLink Coupling Resin.
Pricing
product-image-AAA327015_IHC11.jpg IHC (Immunohistochemisry) (AAA327015 at 1/100 staining Mouse kidney tissue by IHC-P. The sample was formaldehyde fixed and a heat mediated antigen retrieval step in citrate buffer was performed. The sample was then blocked and incubated with the antibody for 1.5 hours at 22 degree C. An HRP conjugated goat anti-rabbit antibody was used as the secondary.)

RAD18, Polyclonal Antibody (Cat# AAA327015)

Full Name
RAD18 Antibody
Gene Names
RAD18; RNF73
Reactivity
Human, Mouse, Rat
Applications
Immunocytochemistry, Immunofluorescence, Immunohistochemistry, Western Blot
Purity
The antiserum was purified by peptide affinity chromatography using SulfoLink Coupling Resin.
Pricing
product-image-AAA326914_IHC10.jpg IHC (Immunohistochemistry) (AAA326914 at 1/100 staining Rat heart tissue by IHC-P. The sample was formaldehyde fixed and a heat mediated antigen retrieval step in citrate buffer was performed. The sample was then blocked and incubated with the antibody for 1.5 hours at 22 degree C. An HRP conjugated goat anti-rabbit antibody was used as the secondary.)

INA, Polyclonal Antibody (Cat# AAA326914)

Full Name
INA Antibody
Gene Names
INA; NEF5; NF-66; TXBP-1
Reactivity
Human, Mouse, Rat
Applications
Immunocytochemistry, Immunofluorescence, Immunohistochemistry, Western Blot
Purity
The antiserum was purified by peptide affinity chromatography using SulfoLink Coupling Resin.
Pricing
product-image-AAA327391_IF13.jpg IF (Immunofluorescence) (AAA327391 staining LOVO cells by IF/ICC. The sample were fixed with PFA and permeabilized in 0.1% Triton X-100, then blocked in 10% serum for 45 minutes at 25 degree C. The primary antibody was diluted at 1/200 and incubated with the sample for 1 hour at 37 degree C. An Alexa Fluor 594 conjugated goat anti-rabbit IgG (H+L) antibody, diluted at 1/600, was used as secondary antibody.)

HSPA14, Polyclonal Antibody (Cat# AAA327391)

Full Name
HSPA14 Antibody
Gene Names
HSPA14; HSP70-4; HSP70L1
Reactivity
Human
Applications
Immunocytochemistry, Immunofluorescence, Western Blot
Purity
The antiserum was purified by peptide affinity chromatography using SulfoLink Coupling Resin.
Pricing
product-image-AAA327119_IHC11.jpg IHC (Immunohistochemisry) (AAA327119 at 1/100 staining Human liver cancer tissue by IHC-P. The sample was formaldehyde fixed and a heat mediated antigen retrieval step in citrate buffer was performed. The sample was then blocked and incubated with the antibody for 1.5 hours at 22 degree C. An HRP conjugated goat anti-rabbit antibody was used as the secondary.)

LSP1, Polyclonal Antibody (Cat# AAA327119)

Full Name
LSP1 Antibody
Gene Names
LSP1; WP34; pp52
Reactivity
Human, Mouse, Rat
Applications
Immunocytochemistry, Immunofluorescence, Immunohistochemistry, Western Blot
Purity
The antiserum was purified by peptide affinity chromatography using SulfoLink Coupling Resin.
Pricing
product-image-AAA327131_IHC13.jpg IHC (Immunohiostchemistry) (AAA327131 at 1/100 staining Human melanoma tissue by IHC-P. The sample was formaldehyde fixed and a heat mediated antigen retrieval step in citrate buffer was performed. The sample was then blocked and incubated with the antibody for 1.5 hours at 22 degree C. An HRP conjugated goat anti-rabbit antibody was used as the secondary.)

FGG, Polyclonal Antibody (Cat# AAA327131)

Full Name
FGG Antibody
Reactivity
Human, Mouse, Rat
Applications
Immunohistochemistry, Western Blot
Purity
The antiserum was purified by peptide affinity chromatography using SulfoLink Coupling Resin.
Pricing
product-image-AAA327135_IHC13.jpg IHC (Immunohiostchemistry) (AAA327135 at 1/100 staining Human gastric tissue by IHC-P. The sample was formaldehyde fixed and a heat mediated antigen retrieval step in citrate buffer was performed. The sample was then blocked and incubated with the antibody for 1.5 hours at 22 degree C. An HRP conjugated goat anti-rabbit antibody was used as the secondary.)

HEXA, Polyclonal Antibody (Cat# AAA327135)

Full Name
HEXA Antibody
Gene Names
HEXA; TSD
Reactivity
Human, Mouse, Rat
Applications
Immunohistochemistry, Western Blot
Purity
The antiserum was purified by peptide affinity chromatography using SulfoLink Coupling Resin.
Pricing
product-image-AAA327137_WB11.jpg WB (Western Blot) (Western blot analysis of extracts from Hybridoma cells, using NLRP3 Antibody. The lane on the left was treated with blocking peptide Western blot analysis of extracts from Hybridoma cells, using NLRP3 Antibody. The lane on the left was treated with blocking peptide.)

NLRP3, Polyclonal Antibody (Cat# AAA327137)

Full Name
NLRP3 Antibody
Gene Names
NLRP3; AII; AVP; FCU; MWS; FCAS; KEFH; CIAS1; FCAS1; NALP3; C1orf7; CLR1.1; DFNA34; PYPAF1; AGTAVPRL
Reactivity
Human, Mouse, Rat
Applications
Immunocytochemistry, Immunofluorescence, Immunohistochemistry, Western Blot
Purity
Peptide affinty purification
Pricing
product-image-AAA327148_WB15.jpg WB (Western Blot) (Western blot analysis of Mouse liver tissue lysates, using HTR2B Antibody. The lane on the left is treated with the antigen-specific peptide.)

HTR2B, Polyclonal Antibody (Cat# AAA327148)

Full Name
HTR2B Antibody
Gene Names
HTR2B; 5-HT2B; 5-HT-2B; 5-HT(2B)
Reactivity
Human, Mouse, Rat
Applications
Immunocytochemistry, Immunofluorescence, Immunohistochemistry, Western Blot
Purity
Peptide affinity chromatography using SulfoLink Coupling Resin (Thermo Fisher Scientific).
Pricing
product-image-AAA327264_IHC13.jpg IHC (Immunohiostchemistry) (AAA327264 at 1/100 staining Human pancreas tissue by IHC-P. The sample was formaldehyde fixed and a heat mediated antigen retrieval step in citrate buffer was performed. The sample was then blocked and incubated with the antibody for 1.5 hours at 22 degree C. An HRP conjugated goat anti-rabbit antibody was used as the secondary.)

STXBP4, Polyclonal Antibody (Cat# AAA327264)

Full Name
STXBP4 Antibody
Gene Names
STXBP4; Synip
Reactivity
Human, Mouse
Applications
Immunohistochemistry, Western Blot
Purity
The antiserum was purified by peptide affinity chromatography using SulfoLink Coupling Resin.
Pricing

What are Polyclonal Antibodies?


Polyclonal antibodies are antibodies that come from multiple B cell clones of a host animal. The typical hosts used for the majority of polyclonal antibody production are rabbits, goats, sheep, and donkeys. These polyclonal antibodies, once having identified their target, will bind to different epitopes located at different regions or sequences on the same protein/antigen. As a result, they are ideal at locating and binding to the target, even if the target is in very low concentrations (due to many different antibodies being able to bind to the same target molecule, which allows for significant amplification of a downstream signal).


Polyclonal antibodies are typically produced by injecting an antigen into a host animal, which causes the animal’s immune system to attack the foreign antigen by mass generating antibodies against it. After a period of time, serum is collected from the animal and purified using physicochemical fractionation, class-specific affinity purification, and/or antigen-affinity purification.


Key Uses of Polyclonal Antibodies


  • Western Blotting: This method is used to find specific proteins in biological samples after separating them by size.

  • Immunohistochemistry: IHC helps visualize the location of proteins in tissue sections using various staining techniques.

  • ELISA: (Enzyme-Linked Immunosorbent Assay) is typically used to identify specific protein quantities in a sample. ELISAs can be either “Quantitative” or “Qualitative”.

  • Flow Cytometry: technique that identifies and measures the specific protein on the surface or inside the cells in a fluid suspension.

  • Immunoprecipitation: IP isolates and studies a specific protein from a complex mixture using antibodies.


Why Buy Polyclonal Antibodies from AAA Biotech?


1. Ideal for Various Applications


Our antibodies are generally going to be validated for use in multiple types of assays, including ELISA, Western Blotting, Immunohistochemistry, Immunoprecipitation, amongst others. They are ideal for a wide range of research applications.


2. Rigorous Quality Control


All of the antibodies in our catalog undergo strict quality testing to ensure specificity, sensitivity, and consistent performance. We are confident in the ability of our antibodies to provide you with accurate results.


3. Wide Assortment of Antibodies


Antibodies in are catalog can be found for both common and exotic species, and these antibodies are also available in both conjugated and recombinant forms to suit many diverse experimental needs.


4. Highly Purified


Our antibodies are available in purified forms with over 85% purity, as confirmed by SDS-PAGE. They are also available with tags such as His, Flag, GST, or MBP. We cater to customers worldwide.


FAQ


1. How are polyclonal antibodies produced?


Traditionally, polyclonal antibodies are produced by injecting an antigen into a host animal (such as a rabbit or goat), which then triggers an immune response from the host animal. The animal’s B cells produce antibodies that will recognize different parts of the injected antigen. These antibodies are then collected from the animal’s blood and purified for use.


2. How do polyclonal antibodies differ from monoclonal antibodies?


Polyclonal antibodies are a mix of antibodies that bind to different locations (epitopes) of the same antigen, while monoclonal antibodies are identical and bind to just one specific epitope. This makes polyclonal antibodies more versatile and better at detecting proteins that may be present in low quantities or in altered/modified forms.


3. How should I store polyclonal antibodies?


Polyclonal antibodies should be stored at 4°C for short-term use (up to a few weeks) and at -20°C or -80°C for long-term storage. Avoid repeated freeze-thaw cycles by dividing them into small aliquots. Always check the datasheet for specific storage instructions.


Submit a Question

Please complete the form below and a representative will contact you as soon as possible.

Request more Information

Please complete the form below and a representative will contact you as soon as possible.

Request a Manual

Please complete the form below and a representative will contact you as soon as possible.

Request a Quote

Please complete the form below and a representative will contact you as soon as possible.