Loading...

Skip to main content
Call us at +1-800-604-9114 for more information about our products or contact us online Need help? +1-800-604-9114 or contact us

Filters


Clonality

Type

Reactivity

Gene Name

Isotype

Host

Application

Clone

Polyclonal Antibodies

At AAA Biotech also known as AAA Bio or AAABio, we provide a broad range of purified polyclonal antibodies (pAbs) that are able to all be browsed online through our website. Due to their high specificity and strong binding affinity, these antibodies are ideal for wide swathes of research and experimental applications.


Our polyclonal antibodies can easily support your work, whether you use them for Western Blotting, Immunocytochemistry (with or without Immunofluorescence used in conjunction), Immunohistochemistry, Immunoprecipitation, and ELISA tests. We highly encourage you to browse our range of pAbs and choose the one that best suits your experimental model.


Viewing 5800-5850 of 10000 product results


product-image-AAA61675_WB13.jpg WB (Western Blot) (AAA61675 (1ug/ml) staining of Mouse Liver lysate (35ug protein in RIPA buffer). Primary incubation was 1 hour. Detected by chemiluminescence.)

Lamin B1, Polyclonal Antibody (Cat# AAA61675)

Full Name
Goat anti-Lamin B1 (aa526-537) Antibody
Gene Names
LMNB1; LMN; ADLD; LMN2; LMNB
Reactivity
Tested: Human, Mouse; Expected from sequence similarity: Human, Mouse, Dog, Pig, Cow
Applications
Western Blot, Peptide ELISA
Purity
Purified from goat serum by ammonium sulphate precipitation followed by antigen affinity chromatography using the immunizing peptide.
Pricing
product-image-AAA173360_IHC13.png IHC (Immunohiostchemistry) (Immunohistochemistry of paraffin-embedded Human thyroid cancer using PKM Polyclonal Antibody at dilution of 1/25)

PKM, Polyclonal Antibody (Cat# AAA173360)

Full Name
PKM Polyclonal Antibody
Gene Names
PKM; PK3; TCB; OIP3; PKM2; CTHBP; THBP1; HEL-S-30
Reactivity
Human, Mouse, Rat
Applications
Immunohistochemistry, Western Blot
Purity
Antigen Affinity Purification
Pricing
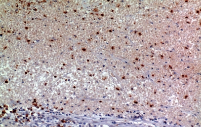
product-image-AAA173814_IHC11.jpg IHC (Immunohistochemisry) (Immunohistochemistry of paraffin-embedded Mouse brain tissue using Synuclein-alpha Polyclonal Antibody at dilution of 1:200.)

Synuclein-alpha, Polyclonal Antibody (Cat# AAA173814)

Full Name
Synuclein-alpha Polyclonal Antibody
Gene Names
SNCA; PD1; NACP; PARK1; PARK4
Reactivity
Human, Mouse, Rat
Applications
Immunohistochemistry, Western Blot
Purity
Affinity Purification
Pricing
product-image-AAA51219_IHC11.jpg IHC (Immunohistochemisry) (Anti-5HT4 Receptor antibody IHC of human brain, medulla. Immunohistochemistry of formalin-fixed, paraffin-embedded tissue after heat-induced antigen retrieval.)

HTR4 / 5-HT4 Receptor, Polyclonal Antibody (Cat# AAA51219)

Full Name
Rabbit Polyclonal to Human HTR4 / 5-HT4 Receptor
Gene Names
HTR4; 5-HT4; 5-HT4R
Reactivity
Bat, Gibbon, Bovine, Dog, Gorilla, Horse, Human, Monkey, Pig, Rabbit
Predicted Reactivity: Mouse, Rat, Hamster (at least 90% immunogen sequence identity)
Applications
Immunohistochemistry
Purity
Immunoaffinity Purified
Pricing
product-image-AAA59943_DB13.jpg DB (Dot Blot) (Histone H3 dimethyl Lys36 antibody (pAb) tested by dot blot analysis. Dot blot analysis was used to confirm the specificity of Histone H3 dimethyl Lys36 antibody for dimethyl Lys36 histone H3. Methylated peptides corresponding to the immunogen and related sequences derived from histone H3 were spotted onto PVDF and probed with Histone H3 dimethyl Lys36 antibody at 1 ug/ml. The amount of peptide (picomoles) spotted is indicated next to each row. Top panel: Lane 1: unmodified Lys4. Lane 2: monomethyl Lys4. Lane 3: dimethyl Lys4. Lane 4: trimethyl Lys4. Lane 5: unmodified Lys9, 14, 18. Lane 6: monomethyl Lys9. Lane 7: dimethyl Lys9. Lane 8: trimethyl Lys9. Lane 9: dimethyl Lys14. Lane 10: monomethyl Lys18. Lane 11: dimethyl Lys18. Lane 12: trimethyl Lys18. Bottom panel: Lane 1: Unmodified Lys23. Lane 2: Monomethyl Lys23. Lane 3: Dimethyl Lys23. Lane 4: Trimethyl Lys23. Lane 5: unmodified Lys27. Lane 6: monomethyl Lys27. Lane 7: dimethyl Lys27. Lane 8: trimethyl Lys27. Lane 9: unmodified Lys36. Lane 10: monomethyl Lys36. Lane 11: dimethyl Lys36. Lane 12: trimethyl Lys36.)

Histone H3K36me2, Polyclonal Antibody (Cat# AAA59943)

Full Name
Histone H3K36me2 antibody (pAb)
Reactivity
Budding Yeast, Human, Wide Range Predicted
Applications
Western Blot, Dot Blot
Purity
Protein A Chromatography
Pricing
product-image-AAA59980_WB13.jpg WB (Western Blot) (ETO / RUNX1T1 antibody (pAb) tested by Western Blot: K-562 nuclear extract (20 ug per lane) probed with the ETO / RUNX1T1 antibody (pAb) at a dilution of 1:500.)

ETO/RUNX1T1, Polyclonal Antibody (Cat# AAA59980)

Full Name
ETO/RUNX1T1 antibody (pAb)
Reactivity
Human
Applications
Western Blot, Immunoprecipitation
Purity
Affinity Purified
Pricing
product-image-AAA59808_DB8.jpg DB (Dot Blot) (Histone H3K4me3 antibody (pAb) tested by dot blot analysis. Dot blot was used to confirm specificity of Histone H3K4me3 antibody. Peptides corresponding to regions around major sites of histone H3 methylation (lysine 4, lysine 9, lysine 27) were spotted onto PVDF and probed with antibody at a dilution of 1:500. The amount of peptide (in picomoles) spotted is indicated next to each row. Top panel - Lane 1: unmodified H3K4. Lane 2: H3K4me1. Lane 3: H3K4me2. Lane 4: H3K4me3. Lane 5: unmodified H3K9. Lane 6: H3K9me1. Lane 7: H3K9me2. Lane 8: H3K9me3. Lane 9: unmodified H3K79. Lane 10: H3K79me1. Lane 11: H3K79me2. Lane 12: H3K79me3. Bottom panel - Lane 1: unmodified H3K23. Lane 2: H3K23me1. Lane 3: H3K23me3. Lane 4: H3K23me3. Lane 5: unmodified H3K27. Lane 6: H3K27me1. Lane 7: H3K27me2. Lane 8: H3K27me3. Lane 9: unmodified H3K36. Lane 10: H3K36me1. Lane 11: H3K36me2. Lane 12: H3K36me3.)

Histone H3K4me3, Polyclonal Antibody (Cat# AAA59808)

Full Name
Histone H3K4me3 antibody (pAb)
Reactivity
Budding Yeast, Human, Mouse, Wide Range Predicted
Applications
Western Blot, Immunohistochemistry, Immunofluorescence, Immunocytochemistry, Dot Blot, Chromatin immunoprecipitation, Chromatin immunoprecipitation
Pricing
product-image-AAA50916_WB13.jpg WB (Western Blot) (Antibody (0.01 ug/ml) staining of Human Adipose lysate (35 ug protein in RIPA buffer). Primary incubation was 1 hour. Detected by chemiluminescence.)

PLIN1 / Perilipin, Polyclonal Antibody (Cat# AAA50916)

Full Name
Goat Polyclonal to Human PLIN1 / Perilipin
Gene Names
PLIN1; PERI; PLIN; FPLD4
Reactivity
Human, Monkey
Applications
Western Blot, Immunohistochemistry
Purity
Purified from goat serum by ammonium sulphate precipitation followed by antigen affinity chromatography using the immunizing peptide
Pricing

KAPPA LIGHT CHAIN, Polyclonal Antibody (Cat# AAA50020)

Full Name
GOAT ANTI HUMAN KAPPA LIGHT CHAIN:HRP
Applications
Western Blot, Immunohistochemistry, Immunohistochemistry
Pricing
product-image-AAA61087_IHC13.jpg IHC (Immunohiostchemistry) ((3.8ug/ml) staining of paraffin embedded Human Kidney. Steamed antigen retrieval with citrate buffer pH 6, AP-staining.)

TCF3/ITF1, Polyclonal Antibody (Cat# AAA61087)

Full Name
Goat anti-TCF3/ITF1 Antibody
Gene Names
TCF3; E2A; E47; AGM8; ITF1; VDIR; TCF-3; bHLHb21
Reactivity
Tested: Human; Expected from sequence similarity: Human
Applications
Immunohistochemistry, Western Blot, Peptide ELISA
Purity
Purified from goat serum by ammonium sulphate precipitation followed by antigen affinity chromatography using the immunizing peptide.
Pricing
product-image-AAA61110_WB13.jpg WB (Western Blot) (Staining (0.5ug/ml) of Jurkat lysate (RIPA buffer, 30ug total protein per lane). Primary incubated for 1 hour. Detected by western blot using chemiluminescence.)

GRAP2/GRID/Grf40, Polyclonal Antibody (Cat# AAA61110)

Full Name
Goat anti-GRAP2/GRID/Grf40 Antibody
Gene Names
GRAP2; P38; GADS; GRID; GRPL; GrbX; Mona; GRB2L; GRBLG; Grf40; GRAP-2
Reactivity
Tested: Human; Expected from sequence similarity: Human, Mouse, Rat, Dog, Pig, Cow
Applications
Western Blot, Peptide ELISA
Purity
Purified from goat serum by ammonium sulphate precipitation followed by antigen affinity chromatography using the immunizing peptide.
Pricing
product-image-AAA61564_WB15.jpg WB (Western Blot) ((1ug/ml) staining of Mouse Skeletal Muscle lysate (35ug protein in RIPA buffer). Primary incubation was 1 hour. Detected by chemiluminescence.)

Integrin alpha 11, Polyclonal Antibody (Cat# AAA61564)

Full Name
Goat anti-Integrin alpha 11 (mouse) Antibody
Gene Names
Itga11; 4732459H24Rik
Reactivity
Tested: Mouse; Expected from sequence similarity: Mouse, Rat
Applications
Western Blot, Peptide ELISA
Purity
Purified from goat serum by ammonium sulphate precipitation followed by antigen affinity chromatography using the immunizing peptide.
Pricing
product-image-AAA46027_IHC13.jpg IHC (Immunohiostchemistry) (Anti-p63 Picoband antibody, AAA46027-2.JPGIHC(P): Human Oesophagus Squama Cancer Tissue)

Tumor protein 63, Polyclonal Antibody (Cat# AAA46027)

Full Name
Anti-p63 Antibody
Gene Names
TP63; AIS; KET; LMS; NBP; RHS; p40; p51; p63; EEC3; OFC8; p73H; p73L; SHFM4; TP53L; TP73L; p53CP; TP53CP; B(p51A); B(p51B)
Reactivity
Human. No cross reactivity with other proteins.
Applications
Immunohistochemistry, Western Blot
Purity
Immunogen affinity purified.
Pricing
product-image-AAA37642_WB15.jpg WB (Western Blot) (Western blot analysis of extracts of Mouse lung, using PIKFYVE antibody (AAA37642) at 1:500 dilution.Secondary antibody: HRP Goat Anti-Rabbit IgG (H+L) at 1:10000 dilution.Lysates/proteins: 25?g per lane.Blocking buffer: 3% nonfat dry milk in TBST.Detection: ECL Basic Kit.Exposure time: 180s.)

PIKFYVE, Polyclonal Antibody (Cat# AAA37642)

Full Name
PIKFYVE Polyclonal Antibody
Gene Names
PIKFYVE; CFD; FAB1; HEL37; PIP5K; PIP5K3; ZFYVE29
Reactivity
Human, Mouse
Applications
Immunofluorescence, Immunohistochemistry, Western Blot
Purity
Affinity Purification
Pricing
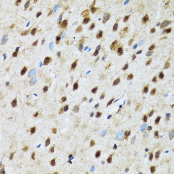
product-image-AAA40848_IHC13.jpg IHC (Immunohiostchemistry) (Immunohistochemistry of BCLAF1 in mouse brain tissue with BCLAF1 antibody at 5 μg/mL.)

BCLAF1, Polyclonal Antibody (Cat# AAA40848)

Full Name
BCLAF1 Antibody
Gene Names
BCLAF1; BTF; bK211L9.1
Reactivity
Human, Mouse, Rat
Applications
Immunohistochemistry, Western Blot
Purity
Affinity chromatography purified via peptide column.
Pricing

Cathepsin B, Polyclonal Antibody (Cat# AAA75001)

Full Name
Cathepsin B antibody
Gene Names
CTSB; APPS; CPSB
Reactivity
Human
Applications
Western Blot
Pricing
product-image-AAA60885_IHC13.jpg IHC (Immunohiostchemistry) ((2ug/ml) staining of paraffin embedded Human Liver. Steamed antigen retrieval with citrate buffer pH 6, HRP-staining.)

CLPP, Polyclonal Antibody (Cat# AAA60885)

Full Name
Goat anti-CLPP Antibody
Gene Names
CLPP; DFNB81; PRLTS3
Reactivity
Tested: Human; Expected from sequence similarity: Human
Applications
Immunohistochemistry, Western Blot, Peptide ELISA
Purity
Purified from goat serum by ammonium sulphate precipitation followed by antigen affinity chromatography using the immunizing peptide.
Pricing
product-image-AAA60905_FCM13.jpg FCM/FACS (Flow Cytometry) (AAA60905 Flow cytometric analysis of paraformaldehyde fixed U937 cells (blue line), permeabilized with 0.5%Triton.Primary incubation 1hr (10ug/ml) followed by Alexa Fluor 488 secondary antibody (1ug/ml).IgG control: Unimmunized goat IgG (black line) followed by Alexa Fluor 488 secondary antibody.)

VDR, Polyclonal Antibody (Cat# AAA60905)

Full Name
Goat anti-VDR Antibody
Gene Names
VDR; NR1I1; PPP1R163
Reactivity
Tested: Human, Mouse, Rat
Expected from sequence similarity: Human, Mouse, Rat, Dog
Applications
Western Blot, Peptide ELISA
Purity
Purified from goat serum by ammonium sulphate precipitation followed by antigen affinity chromatography using the immunizing peptide.
Pricing
product-image-AAA60930_WB15.jpg WB (Western Blot) (Staining (0.5ug/ml) of A431 lysate (RIPA buffer, 35ug total protein per lane). Primary incubated for 1 hour. Detected by western blot using chemiluminescence.)

Annexin A2, Polyclonal Antibody (Cat# AAA60930)

Full Name
Goat anti-Annexin A2 Antibody
Gene Names
ANXA2; P36; ANX2; LIP2; LPC2; CAL1H; LPC2D; ANX2L4; PAP-IV; HEL-S-270
Reactivity
Tested: Human, Mouse; Expected from sequence similarity: Human, Mouse, Rat, Cow, Pig
Applications
Western Blot, Peptide ELISA
Purity
Purified from goat serum by ammonium sulphate precipitation followed by antigen affinity chromatography using the immunizing peptide.
Pricing
product-image-AAA76869_IF13.jpg IF (Immunofluorescence) (Affinity Purified Chicken anti-Campylobacter Jejuni (202)-Reacts with Hippurate hydrolase.)

Campylobacter Jejuni, Polyclonal Antibody (Cat# AAA76869)

Full Name
Anti-Campylobacter Jejuni Antibody-Affinity Purified
Reactivity
Campylobacter jejuni
Applications
Western Blot, Immunohistochemistry, Immunofluorescence
Purity
Antigen Affinity Purified
Pricing

keratin 81, Polyclonal Antibody (Cat# AAA81205)

Full Name
Rabbit anti-human keratin 81 polyclonal Antibody
Reactivity
Human, Mouse, Rat
Applications
Immunohistochemistry, Western Blot
Purity
Antigen Affinity Purified
Pricing
product-image-AAA177459_IF8.jpg IF (Immunofluorescence) (Immunofluorescence analysis of Raw264.7 cells using Complement Factor B Polyclonal Antibody at dilution of 1:100 (40x lens). Blue: DAPI for nuclear staining.)

Complement Factor B, Polyclonal Antibody (Cat# AAA177459)

Full Name
Complement Factor B Polyclonal Antibody
Gene Names
CFB; BF; FB; BFD; GBG; CFAB; PBF2; AHUS4; FBI12; H2-Bf
Reactivity
Human, Mouse, Rat
Applications
Immunofluorescence, Immunohistochemistry, Western Blot
Purity
Affinity purification
Pricing
product-image-AAA117888_IHC13.jpg IHC (Immunohiostchemistry) (Immunohistochemistry of paraffin-embedded human kidney using AAA117888 at dilution 1:100)

Interferon alpha-14, Polyclonal Antibody (Cat# AAA117888)

Full Name
Rabbit anti-human Interferon alpha-14 polyclonal Antibody
Gene Names
IFNA14; LEIF2H; IFN-alphaH
Reactivity
Human, Mouse
Applications
Immunohistochemistry, Western Blot
Purity
>95%, Protein G purified
Pricing
product-image-AAA176885_IHC13.png IHC (Immunohiostchemistry) (Immunohistochemistry of paraffin-embedded Human thyroid cancer tissue using LGALS9 Polyclonal Antibody at dilution of 1:30(×200))

LGALS9, Polyclonal Antibody (Cat# AAA176885)

Full Name
LGALS9 Polyclonal Antibody
Gene Names
LGALS9; HUAT; LGALS9A
Reactivity
Human, Mouse, Rat
Applications
Immunohistochemistry
Purity
Antigen Affinity Purification
Pricing
product-image-AAA176195_IHC13.png IHC (Immunohiostchemistry) (Immunohistochemistry of paraffin-embedded Human colorectal cancer tissue using NUDT6 Polyclonal Antibody at dilution of 1:30(×200))

NUDT6, Polyclonal Antibody (Cat# AAA176195)

Full Name
NUDT6 Polyclonal Antibody
Gene Names
NUDT6; GFG1; GFG-1; ASFGF2; FGF-AS; FGF2AS
Reactivity
Human, Mouse, Rat
Applications
Immunohistochemistry
Purity
Antigen Affinity Purification
Pricing
product-image-AAA127869_FCM11.png FCM/FACS (Flow Cytometry) (Figure 3. Flow Cytometry analysis of MCF-7 cells using anti-PERM1 antibody (AAA127869).Overlay histogram showing MCF-7 cells stained with AAA127869 (Blue line). To facilitate intracellular staining, cells were fixed with 4% paraformaldehyde and permeabilized with permeabilization buffer. The cells were blocked with 10% normal goat serum. And then incubated with rabbit anti-PERM1 Antibody (AAA127869, 1ug/1x106 cells) for 30 min at 20 degree C. DyLight488 conjugated goat anti-rabbit IgG was used as secondary antibody for 30 minutes at 20 degree C. Isotype control antibody (Green line) was rabbit IgG (1ug/1x106) used under the same conditions. Unlabelled sample (Red line) was also used as a control.)

PERM1, Polyclonal Antibody (Cat# AAA127869)

Full Name
Anti-PERM1 Antibody Picoband
Gene Names
PERM1; C1orf170
Reactivity
Human
Applications
Western Blot, Immunofluorescence, Immunocytochemistry, Flow Cytometry
Purity
Immunogen affinity purified.
Pricing
product-image-AAA303563_IF13.jpg IF (Immunofluorescence) (Immunofluorescence analysis of HeLa cell using UPF1 antibody. Blue: DAPI for nuclear staining.)

UPF1, Polyclonal Antibody (Cat# AAA303563)

Full Name
UPF1 Antibody
Gene Names
UPF1; HUPF1; NORF1; RENT1; smg-2; pNORF1
Reactivity
Human
Applications
Immunofluorescence, Immunohistochemistry, Western Blot
Purity
Antibodies were purified by affinity purification using immunogen.
Pricing
product-image-AAA302246_IHC13.jpg IHC (Immunohiostchemistry) (Immunohistochemical analysis of paraffin-embedded human breast carcinoma tissue using Arrestin 1 (Phospho-Ser412) antibody (left)or the same antibody preincubated with blocking peptide (right).)

Arrestin 1, Polyclonal Antibody (Cat# AAA302246)

Full Name
Arrestin 1 (Phospho-Ser412) Antibody
Gene Names
ARRB1; ARB1; ARR1
Reactivity
Human
Applications
Immunohistochemistry, Western Blot
Purity
Antibodies were produced by immunizing rabbits with synthetic phosphopeptide and KLH conjugates. Antibodies were purified by affinity-chromatography using epitope-specific phosphopeptide. Non-phospho specific antibodies were removed by chromatogramphy usi
Pricing
product-image-AAA302258_AD13.jpg Application Data (BLM antibody, N-term detects BLM protein at nucleus by immunofluorescent analysis.Sample: HeLa cells were fixed in 4% paraformaldehyde at RT for 15 min.Green: BLM protein stained by BLM antibody, N-term () diluted at 1:500.Blue: Hoechst 33342 staining.)

BLM, Polyclonal Antibody (Cat# AAA302258)

Full Name
BLM Antibody
Gene Names
BLM; BS; RECQ2; RECQL2; RECQL3
Reactivity
Human
Applications
Western Blot, Immunofluorescence
Purity
Antibodies were purified by antigen-affinity chromatography.
Pricing
product-image-AAA256653_IF13.png IF (Immunofluorescence) (Immunofluorescence staining of TATDN1 in HeLa cells. Cells were fixed with 4% PFA, permeabilzed with 0.1% Triton X-100 in PBS,blocked with 10% serum, and incubated with rabbit anti-Human TATDN1 polyclonal antibody (dilution ratio 1:200) at 4 degree C overnight. Then cells were stained with the Alexa Fluor488-conjugated Goat Anti-rabbit IgG secondary antibody (green). Positive staining was localized to Nucleus.)

TATDN1, Polyclonal Antibody (Cat# AAA256653)

Full Name
Anti-TATDN1 Antibody, Rabbit Polyclonal
Reactivity
Human
Applications
Immunofluorescence, Immunocytochemistry, Immunohistochemistry
Purity
Protein A & Antigen Affinity
Pricing
product-image-AAA256655_IP13.png IP (Immunoprecipitation) (THOC7 was immunoprecipitated using:Lane A:0.5 mg Jurkat HeLa Whole Cell Lysate4 uL anti-THOC7 rabbit polyclonal antibody and 60 ug of Immunomagnetic beads Protein A/G.Primary antibody:Anti-THOC7 rabbit polyclonal antibody,at 1:100 dilutionSecondary antibody:Goat Anti-Rabbit IgG (H+L)/HRP at 1/10000 dilutionDeveloped using the ECL technique.Performed under reducing conditions.Predicted band size: 25 kDaObserved band size :24 kDa)

THOC7, Polyclonal Antibody (Cat# AAA256655)

Full Name
Anti-THOC7 Antibody, Rabbit Polyclonal
Reactivity
Human
Applications
Immunoprecipitation, Western Blot
Purity
Protein A & Antigen Affinity
Pricing
product-image-AAA256580_IF13.png IF (Immunofluorescence) (Immunofluorescence staining of ZNF24 in U251MG cells. Cells were fixed with 4% PFA, permeabilzed with 0.1% Triton X-100 in PBS,blocked with 10% serum, and incubated with rabbit anti-Human ZNF24 polyclonal antibody (dilution ratio 1:200) at 4 degree C overnight. Then cells were stained with the Alexa Fluor488-conjugated Goat Anti-rabbit IgG secondary antibody (green). Positive staining was localized to Nucleus.)

ZNF24, Polyclonal Antibody (Cat# AAA256580)

Full Name
Anti-ZNF24 Antibody, Rabbit Polyclonal
Reactivity
Human
Applications
Immunofluorescence, Immunocytochemistry, Western Blot
Purity
Protein A & Antigen Affinity
Pricing
product-image-AAA256144_IHC13.png IHC (Immunohiostchemistry) (Immunochemical staining of human TNK2 in human skeletal muscle with rabbit polyclonal antibody at 1:100 dilution, formalin-fixed paraffin embedded sections.)

ACK1, Polyclonal Antibody (Cat# AAA256144)

Full Name
Anti-ACK1 Antibody, Rabbit Polyclonal
Reactivity
Human
Applications
Immunohistochemistry
Purity
Protein A & Antigen Affinity
Pricing
product-image-AAA306689_IHC13.jpg IHC (Immunohiostchemistry) (Immunohistochemical analysis of paraffin-embedded NCIN87 xenograft, using DDT antibody at 1: 100 dilution.)

DDT, Polyclonal Antibody (Cat# AAA306689)

Full Name
DDT antibody
Gene Names
DDT; DDCT
Reactivity
Human
Applications
Immunohistochemistry, Western Blot
Purity
Purified by antigen-affinity chromatography.
Pricing
product-image-AAA306899_IHC13.jpg IHC (Immunohiostchemistry) (Immunohistochemical analysis of paraffin-embedded MCF7 xenograft, using TMED2 antibody at 1: 500 dilution.)

TMED2, Polyclonal Antibody (Cat# AAA306899)

Full Name
TMED2 antibody
Gene Names
TMED2; p24; P24A; RNP24
Reactivity
Human
Applications
Immunohistochemistry, Western Blot
Purity
Purified by antigen-affinity chromatography.
Pricing
product-image-AAA308293_IHC13.jpg IHC (Immunohiostchemistry) (Immunohistochemistry of KLRA2 in mouse spleen tissue with KLRA2 antibody at 2.5 ug/mL.)

KLRA2, Polyclonal Antibody (Cat# AAA308293)

Full Name
KLRA2 Antibody
Reactivity
Mouse, Rat
Applications
Immunohistochemistry, Western Blot
Purity
Affinity chromatography purified via peptide column
Pricing
product-image-AAA313210_IHC13.jpg IHC (Immunohiostchemistry) (Immunohistochemistry of paraffin-embedded human liver damage using MUC16 at dilution of 1:100 (40x lens).)

MUC16, Polyclonal Antibody (Cat# AAA313210)

Full Name
MUC16 Rabbit Polyclonal Antibody
Gene Names
MUC16; CA125
Reactivity
Human, Mouse, Rat
Applications
Immunohistochemistry, Western Blot
Purity
Affinity purification
Pricing
product-image-AAA312864_IF10.jpg IF (Immunofluorescence) (Immunofluorescence analysis of U2OS cells using PSMD13 antibody . Blue: DAPI for nuclear staining.)

PSMD13, Polyclonal Antibody (Cat# AAA312864)

Full Name
PSMD13 Polyclonal Antibody
Gene Names
PSMD13; S11; Rpn9; p40.5; HSPC027
Reactivity
Human, Mouse, Rat
Applications
Immunofluorescence, Immunohistochemistry, Western Blot
Purity
Affinity purification
Pricing
product-image-AAA312906_WB10.jpg WB (Western Blot) (Western blot analysis of extracts of various cell lines, using SMO antibodyat 1:1000 dilution.)

SMO, Polyclonal Antibody (Cat# AAA312906)

Full Name
SMO Polyclonal Antibody
Gene Names
SMO; Gx; SMOH; FZD11
Reactivity
Human, Mouse, Rat
Applications
Immunofluorescence, Immunohistochemistry, Western Blot
Purity
Affinity purification
Pricing
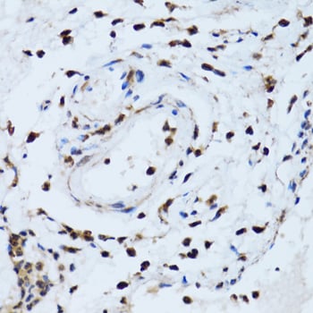
product-image-AAA311474_IHC13.jpg IHC (Immunohiostchemistry) (Immunohistochemistry of paraffin-embedded rat brain using METTL13 antibody.)

METTL13, Polyclonal Antibody (Cat# AAA311474)

Full Name
METTL13 Polyclonal Antibody
Gene Names
EEF1AKNMT; feat; DFNM1; CGI-01; DFNB26; DFNB26M; METTL13; KIAA0859; 5630401D24Rik
Reactivity
Human, Mouse, Rat
Applications
Immunohistochemistry, Western Blot
Purity
Affinity purification
Pricing
product-image-AAA307231_AD13.jpg Application Data

ARHGAP26, Polyclonal Antibody (Cat# AAA307231)

Full Name
ARHGAP26 Antibody
Gene Names
ARHGAP26; GRAF; GRAF1; OPHN1L; OPHN1L1
Reactivity
Human, Mouse, Rat
Applications
Immunohistochemistry, Western Blot
Purity
Affinity purified
Pricing
product-image-AAA308482_IHC13.jpg IHC (Immunohiostchemistry) (Immunohistochemical analysis of paraffin-embedded Human prostate cancer tissue using at dilution 1/25.)

RHEBL1, Polyclonal Antibody (Cat# AAA308482)

Full Name
RHEBL1 Antibody
Gene Names
RHEBL1; RHEBL1c
Reactivity
Human
Applications
Immunohistochemistry
Purity
Antigen Affinity Purification
Pricing
product-image-AAA286719_FCM11.jpg FCM/FACS (Flow Cytometry) (IL10 Antibody (Center) flow cytometry analysis of Jurkat cells (bottom histogram) compared to a negative control cell (top histogram).FITC-conjugated goat-anti-rabbit secondary antibodies were used for the analysis.)

IL10, Polyclonal Antibody (Cat# AAA286719)

Full Name
IL10 Antibody (Center)
Gene Names
IL10; CSIF; TGIF; GVHDS; IL-10; IL10A
Reactivity
Human (Predicted Reactivity: EBV, Monkey)
Applications
Flow Cytometry, Immunohistochemistry, Western Blot
Purity
Peptide Affinity Purified Rabbit Polyclonal Antibody (Pab)
Pricing
product-image-AAA288044_IHC11.jpg IHC (Immunohistochemisry) (Formalin-fixed and paraffin-embedded human cancer tissue reacted with the primary antibody, which was peroxidase-conjugated to the secondary antibody, followed by AEC staining. This data demonstrates the use of this antibody for immunohistochemistry; clinical relevance has not been evaluated. BC = breast carcinoma; HC = hepatocarcinoma.)

SIGLEC9, Polyclonal Antibody (Cat# AAA288044)

Full Name
SIGLEC9 Antibody (C-term)
Gene Names
SIGLEC9; CD329; CDw329; FOAP-9; siglec-9; OBBP-LIKE
Reactivity
Human, mouse
Applications
Immunohistochemistry, Western Blot
Purity
Purified Rabbit Polyclonal Antibody (Pab)
Pricing
product-image-AAA288068_IF13.jpg IF (Immunofluorescence) (Confocal immunofluorescent analysis of CYP4A11 (4A22) Antibody (C-term) with NCI-H460 cell followed by Alexa Fluor 488-conjugated goat anti-rabbit lgG (green).DAPI was used to stain the cell nuclear (blue).)

CYP4A11 (4A22), Polyclonal Antibody (Cat# AAA288068)

Full Name
CYP4A11 (4A22) Antibody (C-term)
Gene Names
CYP4A11; CP4Y; CYP4A2; CYP4AII
Reactivity
Human
Applications
Western Blot, Immunofluorescence
Purity
Purified Rabbit Polyclonal Antibody (Pab)
Pricing
product-image-AAA287509_WB11.jpg WB (Western Blot) (ITGA5 Antibody (Center) western blot analysis in human uterine tumor and mouse bladder tissue lysates (35ug/lane).This demonstrates the ITGA5 antibody detected the ITGA5 protein (arrow).)

ITGA5, Polyclonal Antibody (Cat# AAA287509)

Full Name
ITGA5 Antibody (Center)
Gene Names
ITGA5; FNRA; CD49e; VLA-5; VLA5A
Reactivity
Human (Predicted Reactivity: Mouse)
Applications
Immunohistochemistry, Western Blot
Purity
Peptide Affinity Purified Rabbit Polyclonal Antibody (Pab)
Pricing
product-image-AAA288655_IHC11.jpg IHC (Immunohistochemisry) (Formalin-fixed and paraffin-embedded human breast carcinoma tissue reacted with COT Antibody (C-term) , which was peroxidase-conjugated to the secondary antibody, followed by DAB staining. This data demonstrates the use of this antibody for immunohistochemistry; clinical relevance has not been evaluated.)

COT (MAP3K8/MEKK8), Polyclonal Antibody (Cat# AAA288655)

Full Name
COT (MAP3K8/MEKK8) Antibody (C-term)
Gene Names
MAP3K8; COT; EST; ESTF; TPL2; AURA2; MEKK8; Tpl-2; c-COT
Reactivity
Human (Predicted Reactivity: Mouse, Rat)
Applications
Immunohistochemistry, Western Blot
Purity
Purified Rabbit Polyclonal Antibody (Pab)
Pricing
product-image-AAA288353_IHC13.jpg IHC (Immunohiostchemistry) (CDKN2C Antibody (C-term) immunohistochemistry analysis in formalin fixed and paraffin embedded human skeletal muscle followed by peroxidase conjugation of the secondary antibody and DAB staining. This data demonstrates the use of the CDKN2C Antibody (C-term) for immunohistochemistry. Clinical relevance has not been evaluated.)

CDKN2C, Polyclonal Antibody (Cat# AAA288353)

Full Name
CDKN2C Antibody (C-term)
Gene Names
CDKN2C; p18; INK4C; p18-INK4C
Reactivity
Human
Applications
Immunohistochemistry, Western Blot
Purity
Peptide Affinity Purified Rabbit Polyclonal Antibody (Pab)
Pricing
product-image-AAA288376_FCM11.jpg FCM/FACS (Flow Cytometry) (GPAA1 Antibody (N-term) flow cytometric analysis of U251 cells (right histogram) compared to a negative control cell (left histogram).FITC-conjugated goat-anti-rabbit secondary antibodies were used for the analysis.)

GPAA1, Polyclonal Antibody (Cat# AAA288376)

Full Name
GPAA1 Antibody (N-term)
Gene Names
GPAA1; GAA1; hGAA1
Reactivity
Human
Applications
Flow Cytometry, Immunohistochemistry, Western Blot
Purity
Peptide Affinity Purified Rabbit Polyclonal Antibody (Pab)
Pricing
product-image-AAA288193_IF11.jpg IF (Immunofluorescence) (Confocal immunofluorescent analysis of FIBG Antibody (C-term) with MDA-MB231 cell followed by Alexa Fluor 488-conjugated goat anti-rabbit lgG (green).DAPI was used to stain the cell nuclear (blue).)

FIBG, Polyclonal Antibody (Cat# AAA288193)

Full Name
FIBG Antibody (C-term)
Reactivity
Human
Applications
Immunofluorescence, Immunohistochemistry, Western Blot
Purity
Purified Rabbit Polyclonal Antibody (Pab)
Pricing

What are Polyclonal Antibodies?


Polyclonal antibodies are antibodies that come from multiple B cell clones of a host animal. The typical hosts used for the majority of polyclonal antibody production are rabbits, goats, sheep, and donkeys. These polyclonal antibodies, once having identified their target, will bind to different epitopes located at different regions or sequences on the same protein/antigen. As a result, they are ideal at locating and binding to the target, even if the target is in very low concentrations (due to many different antibodies being able to bind to the same target molecule, which allows for significant amplification of a downstream signal).


Polyclonal antibodies are typically produced by injecting an antigen into a host animal, which causes the animal’s immune system to attack the foreign antigen by mass generating antibodies against it. After a period of time, serum is collected from the animal and purified using physicochemical fractionation, class-specific affinity purification, and/or antigen-affinity purification.


Key Uses of Polyclonal Antibodies


  • Western Blotting: This method is used to find specific proteins in biological samples after separating them by size.

  • Immunohistochemistry: IHC helps visualize the location of proteins in tissue sections using various staining techniques.

  • ELISA: (Enzyme-Linked Immunosorbent Assay) is typically used to identify specific protein quantities in a sample. ELISAs can be either “Quantitative” or “Qualitative”.

  • Flow Cytometry: technique that identifies and measures the specific protein on the surface or inside the cells in a fluid suspension.

  • Immunoprecipitation: IP isolates and studies a specific protein from a complex mixture using antibodies.


Why Buy Polyclonal Antibodies from AAA Biotech?


1. Ideal for Various Applications


Our antibodies are generally going to be validated for use in multiple types of assays, including ELISA, Western Blotting, Immunohistochemistry, Immunoprecipitation, amongst others. They are ideal for a wide range of research applications.


2. Rigorous Quality Control


All of the antibodies in our catalog undergo strict quality testing to ensure specificity, sensitivity, and consistent performance. We are confident in the ability of our antibodies to provide you with accurate results.


3. Wide Assortment of Antibodies


Antibodies in are catalog can be found for both common and exotic species, and these antibodies are also available in both conjugated and recombinant forms to suit many diverse experimental needs.


4. Highly Purified


Our antibodies are available in purified forms with over 85% purity, as confirmed by SDS-PAGE. They are also available with tags such as His, Flag, GST, or MBP. We cater to customers worldwide.


FAQ


1. How are polyclonal antibodies produced?


Traditionally, polyclonal antibodies are produced by injecting an antigen into a host animal (such as a rabbit or goat), which then triggers an immune response from the host animal. The animal’s B cells produce antibodies that will recognize different parts of the injected antigen. These antibodies are then collected from the animal’s blood and purified for use.


2. How do polyclonal antibodies differ from monoclonal antibodies?


Polyclonal antibodies are a mix of antibodies that bind to different locations (epitopes) of the same antigen, while monoclonal antibodies are identical and bind to just one specific epitope. This makes polyclonal antibodies more versatile and better at detecting proteins that may be present in low quantities or in altered/modified forms.


3. How should I store polyclonal antibodies?


Polyclonal antibodies should be stored at 4°C for short-term use (up to a few weeks) and at -20°C or -80°C for long-term storage. Avoid repeated freeze-thaw cycles by dividing them into small aliquots. Always check the datasheet for specific storage instructions.


Submit a Question

Please complete the form below and a representative will contact you as soon as possible.

Request more Information

Please complete the form below and a representative will contact you as soon as possible.

Request a Manual

Please complete the form below and a representative will contact you as soon as possible.

Request a Quote

Please complete the form below and a representative will contact you as soon as possible.