Loading...

Skip to main content
Call us at +1-800-604-9114 for more information about our products or contact us online Need help? +1-800-604-9114 or contact us

Filters


Clonality

Type

Reactivity

Gene Name

Isotype

Host

Application

Clone

Polyclonal Antibodies

At AAA Biotech also known as AAA Bio or AAABio, we provide a broad range of purified polyclonal antibodies (pAbs) that are able to all be browsed online through our website. Due to their high specificity and strong binding affinity, these antibodies are ideal for wide swathes of research and experimental applications.


Our polyclonal antibodies can easily support your work, whether you use them for Western Blotting, Immunocytochemistry (with or without Immunofluorescence used in conjunction), Immunohistochemistry, Immunoprecipitation, and ELISA tests. We highly encourage you to browse our range of pAbs and choose the one that best suits your experimental model.


Viewing 6050-6100 of 10000 product results


product-image-AAA326632_IHC13.jpg IHC (Immunohiostchemistry) (AAA326632 at 1/100 staining Human Melanoma tissue by IHC-P. The sample was formaldehyde fixed and a heat mediated antigen retrieval step in citrate buffer was performed. The sample was then blocked and incubated with the antibody for 1.5 hours at 22 degree C. An HRP conjugated goat anti-rabbit antibody was used as the secondary.)

ELSPBP1, Polyclonal Antibody (Cat# AAA326632)

Full Name
ELSPBP1 Antibody
Gene Names
ELSPBP1; E12; HE12; EL149; EDDM12
Reactivity
Human
Applications
Immunohistochemistry, Western Blot
Purity
The antiserum was purified by peptide affinity chromatography using SulfoLink Coupling Resin.
Pricing
product-image-AAA326636_IF13.jpg IF (Immunofluorescence) (AAA326636 staining Hela cells by IF/ICC. The sample were fixed with PFA and permeabilized in 0.1% Triton X-100, then blocked in 10% serum for 45 minutes at 25 degree C. The primary antibody was diluted at 1/200 and incubated with the sample for 1 hour at 37 degree C. An Alexa Fluor 594 conjugated goat anti-rabbit IgG (H+L) antibody, diluted at 1/600, was used as secondary antibody.)

CASP3, Polyclonal Antibody (Cat# AAA326636)

Full Name
CASP3 Antibody
Gene Names
CASP3; CPP32; SCA-1; CPP32B
Reactivity
Human, Mouse, Rat
Applications
Immunoprecipitation, Immunocytochemistry, Immunofluorescence, Western Blot
Purity
The antiserum was purified by peptide affinity chromatography using SulfoLink Coupling Resin.
Pricing
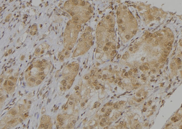
product-image-AAA326640_IHC10.jpg IHC (Immunohistochemistry) (AAA326640 at 1/100 staining Human cervical cancer tissue by IHC-P. The sample was formaldehyde fixed and a heat mediated antigen retrieval step in citrate buffer was performed. The sample was then blocked and incubated with the antibody for 1.5 hours at 22 degree C. An HRP conjugated goat anti-rabbit antibody was used as the secondary.)

CYP2E1, Polyclonal Antibody (Cat# AAA326640)

Full Name
CYP2E1 Antibody
Gene Names
CYP2E1; CPE1; CYP2E; P450-J; P450C2E
Reactivity
Human, Mouse, Rat
Applications
Immunocytochemistry, Immunofluorescence, Immunohistochemistry, Western Blot
Purity
The antiserum was purified by peptide affinity chromatography using SulfoLink Coupling Resin.
Pricing
product-image-AAA326649_IHC11.jpg IHC (Immunohistochemisry) (AAA326649 at 1/100 staining Human gastric tissue by IHC-P. The sample was formaldehyde fixed and a heat mediated antigen retrieval step in citrate buffer was performed. The sample was then blocked and incubated with the antibody for 1.5 hours at 22 degree C. An HRP conjugated goat anti-rabbit antibody was used as the secondary.)

IDH1, Polyclonal Antibody (Cat# AAA326649)

Full Name
IDH1 Antibody
Gene Names
IDH1; IDH; IDP; IDCD; IDPC; PICD; HEL-216; HEL-S-26
Reactivity
Human, Mouse, Rat
Applications
Immunohistochemistry, Western Blot
Purity
The antiserum was purified by peptide affinity chromatography using SulfoLink Coupling Resin.
Pricing
product-image-AAA326650_IF11.jpg IF (Immunofluorescence) (AAA326650 staining HT29 cells by IF/ICC. The sample were fixed with PFA and permeabilized in 0.1% Triton X-100, then blocked in 10% serum for 45 minutes at 25 degree C. The primary antibody was diluted at 1/200 and incubated with the sample for 1 hour at 37 degree C. An Alexa Fluor 594 conjugated goat anti-rabbit IgG (H+L) antibody, diluted at 1/600, was used as secondary antibody.)

IRF3, Polyclonal Antibody (Cat# AAA326650)

Full Name
IRF3 Antibody
Gene Names
IRF3; IIAE7
Reactivity
Human, Mouse, Rat
Applications
Immunocytochemistry, Immunofluorescence, Immunohistochemistry, Western Blot
Purity
The antiserum was purified by peptide affinity chromatography using SulfoLink Coupling Resin.
Pricing
product-image-AAA326655_IHC11.jpg IHC (Immunohistochemisry) (AAA326655 at 1/100 staining Human lymph tissue by IHC-P. The sample was formaldehyde fixed and a heat mediated antigen retrieval step in citrate buffer was performed. The sample was then blocked and incubated with the antibody for 1.5 hours at 22 degree C. An HRP conjugated goat anti-rabbit antibody was used as the secondary.)

LCK, Polyclonal Antibody (Cat# AAA326655)

Full Name
LCK Antibody
Gene Names
LCK; LSK; YT16; IMD22; p56lck; pp58lck
Reactivity
Human, Mouse, Rat
Applications
Immunocytochemistry, Immunofluorescence, Immunohistochemistry, Western Blot
Purity
The antiserum was purified by peptide affinity chromatography using SulfoLink Coupling Resin.
Pricing
product-image-AAA326662_IHC13.jpg IHC (Immunohiostchemistry) (AAA326662 at 1/100 staining Human lung tissue by IHC-P. The sample was formaldehyde fixed and a heat mediated antigen retrieval step in citrate buffer was performed. The sample was then blocked and incubated with the antibody for 1.5 hours at 22 degree C. An HRP conjugated goat anti-rabbit antibody was used as the secondary.)

PPP1CA, Polyclonal Antibody (Cat# AAA326662)

Full Name
PPP1CA Antibody
Gene Names
PPP1CA; PP1A; PP-1A; PPP1A; PP1alpha
Reactivity
Human, Mouse, Rat
Applications
Immunohistochemistry, Western Blot
Purity
The antiserum was purified by peptide affinity chromatography using SulfoLink Coupling Resin.
Pricing
product-image-AAA326664_IHC11.jpg IHC (Immunohistochemisry) (AAA326664 at 1/100 staining Mouse muscle tissue by IHC-P. The sample was formaldehyde fixed and a heat mediated antigen retrieval step in citrate buffer was performed. The sample was then blocked and incubated with the antibody for 1.5 hours at 22 degree C. An HRP conjugated goat anti-rabbit antibody was used as the secondary.)

MAP2K7, Polyclonal Antibody (Cat# AAA326664)

Full Name
MAP2K7 Antibody
Gene Names
MAP2K7; MEK; MKK7; JNKK2; MEK 7; MAPKK7; PRKMK7; SAPKK4; SAPKK-4
Reactivity
Human, Mouse, Rat, Monkey
Applications
Immunocytochemistry, Immunofluorescence, Immunohistochemistry, Western Blot
Purity
The antiserum was purified by peptide affinity chromatography using SulfoLink Coupling Resin.
Pricing
product-image-AAA326671_IHC10.jpg IHC (Immunohistochemistry) (AAA326671 at 1/100 staining Mouse testis tissue by IHC-P. The sample was formaldehyde fixed and a heat mediated antigen retrieval step in citrate buffer was performed. The sample was then blocked and incubated with the antibody for 1.5 hours at 22 degree C. An HRP conjugated goat anti-rabbit antibody was used as the secondary.)

UBE2I, Polyclonal Antibody (Cat# AAA326671)

Full Name
UBE2I Antibody
Gene Names
UBE2I; P18; UBC9; C358B7.1
Reactivity
Human, Mouse, Rat
Applications
Immunohistochemistry, Western Blot
Purity
The antiserum was purified by peptide affinity chromatography using SulfoLink Coupling Resin.
Pricing
product-image-AAA326678_IF11.jpg IF (Immunofluorescence) (AAA326678 staining A549 cells by IF/ICC. The sample were fixed with PFA and permeabilized in 0.1% Triton X-100, then blocked in 10% serum for 45 minutes at 25 degree C. The primary antibody was diluted at 1/200 and incubated with the sample for 1 hour at 37 degree C. An Alexa Fluor 594 conjugated goat anti-rabbit IgG (H+L) antibody, diluted at 1/600, was used as secondary antibody.)

DCTN2, Polyclonal Antibody (Cat# AAA326678)

Full Name
DCTN2 Antibody
Gene Names
DCTN2; RBP50; DCTN50; HEL-S-77; DYNAMITIN
Reactivity
Human, Mouse, Rat
Applications
Immunocytochemistry, Immunofluorescence, Immunohistochemistry, Western Blot
Purity
The antiserum was purified by peptide affinity chromatography using SulfoLink Coupling Resin.
Pricing
product-image-AAA326683_WB10.jpg WB (Western Blot) (Western blot analysis of extracts from Hela, using DNMT3L Antibody. The lane on the left was treated with blocking peptide.)

DNMT3L, Polyclonal Antibody (Cat# AAA326683)

Full Name
DNMT3L Antibody
Reactivity
Human, Mouse
Applications
Chromatin Immunoprecipitation, Immunoprecipitation, Immunocytochemistry, Immunofluorescence, Immunohistochemistry, Western Blot
Purity
Peptide affinity purification
Pricing
product-image-AAA326338_IF11.jpg IF (Immunofluorescence) (AAA326338 staining HuvEc by IF/ICC. The sample were fixed with PFA and permeabilized in 0.1% Triton X-100, then blocked in 10% serum for 45 minutes at 25 degree C. The primary antibody was diluted at 1/200 and incubated with the sample for 1 hour at 37 degree C. An Alexa Fluor 594 conjugated goat anti-rabbit IgG (H+L) Ab, diluted at 1/600, was used as the secondary antibody.)

SERPING1, Polyclonal Antibody (Cat# AAA326338)

Full Name
SERPING1 Antibody
Gene Names
SERPING1; C1IN; C1NH; HAE1; HAE2; C1INH
Reactivity
Human, Mouse, Rat
Applications
Immunocytochemistry, Immunofluorescence, Immunohistochemistry, Western Blot
Purity
The antiserum was purified by peptide affinity chromatography using SulfoLink Coupling Resin.
Pricing
product-image-AAA326344_IHC11.jpg IHC (Immunohistochemisry) (AAA326344 at 1/100 staining Human breast cancer tissue by IHC-P. The sample was formaldehyde fixed and a heat mediated antigen retrieval step in citrate buffer was performed. The sample was then blocked and incubated with the antibody for 1.5 hours at 22 degree C. An HRP conjugated goat anti-rabbit antibody was used as the secondary.)

MED1, Polyclonal Antibody (Cat# AAA326344)

Full Name
MED1 Antibody
Gene Names
MED1; PBP; CRSP1; RB18A; TRIP2; PPARBP; CRSP200; DRIP205; DRIP230; PPARGBP; TRAP220
Reactivity
Human, Mouse, Rat
Applications
Immunocytochemistry, Immunofluorescence, Immunohistochemistry, Western Blot
Purity
The antiserum was purified by peptide affinity chromatography using SulfoLink Coupling Resin.
Pricing
product-image-AAA326346_WB10.jpg WB (Western Blot) (Western blot analysis of extracts from mouse liver, rat liver, using ANXA5 Antibody.)

ANXA5, Polyclonal Antibody (Cat# AAA326346)

Full Name
ANXA5 Antibody
Gene Names
ANXA5; PP4; ANX5; ENX2; RPRGL3; HEL-S-7
Reactivity
Human, Mouse, Rat
Applications
Immunohistochemistry, Western Blot
Purity
The antiserum was purified by peptide affinity chromatography using SulfoLink Coupling Resin.
Pricing
product-image-AAA326353_IF10.jpg IF (Immunofluorescence) (AAA326353 staining HepG2  cells by IF/ICC. The sample were fixed with PFA and permeabilized in 0.1% Triton X-100, then blocked in 10% serum for 45 minutes at 25 degree C. The primary antibody was diluted at 1/200 and incubated with the sample for 1 hour at 37 degree C. An Alexa Fluor 594 conjugated goat anti-rabbit IgG (H+L) antibody, diluted at 1/600, was used as secondary antibody.)

LIG4, Polyclonal Antibody (Cat# AAA326353)

Full Name
LIG4 Antibody
Gene Names
LIG4; LIG4S
Reactivity
Human, Mouse, Rat
Applications
Immunocytochemistry, Immunofluorescence, Immunohistochemistry, Western Blot
Purity
The antiserum was purified by peptide affinity chromatography using SulfoLink Coupling Resin.
Pricing
product-image-AAA326356_IHC13.jpg IHC (Immunohiostchemistry) (AAA326356 at 1/100 staining Mouse liver tissue by IHC-P. The sample was formaldehyde fixed and a heat mediated antigen retrieval step in citrate buffer was performed. The sample was then blocked and incubated with the antibody for 1.5 hours at 22 degree C. An HRP conjugated goat anti-rabbit antibody was used as the secondary.)

MTTP, Polyclonal Antibody (Cat# AAA326356)

Full Name
MTTP Antibody
Gene Names
MTTP; ABL; MTP
Reactivity
Human, Mouse, Rat
Applications
Immunohistochemistry, Western Blot
Purity
The antiserum was purified by peptide affinity chromatography using SulfoLink Coupling Resin.
Pricing
product-image-AAA326358_IHC13.jpg IHC (Immunohiostchemistry) (AAA326358 at 1/100 staining Human liver cancer tissue by IHC-P. The sample was formaldehyde fixed and a heat mediated antigen retrieval step in citrate buffer was performed. The sample was then blocked and incubated with the antibody for 1.5 hours at 22 degree C. An HRP conjugated goat anti-rabbit antibody was used as the secondary.)

FCER1A, Polyclonal Antibody (Cat# AAA326358)

Full Name
FCER1A Antibody
Gene Names
FCER1A; FCE1A; FcERI
Reactivity
Human
Applications
Immunohistochemistry, Western Blot
Purity
The antiserum was purified by peptide affinity chromatography using SulfoLink Coupling Resin.
Pricing
product-image-AAA326359_WB10.jpg WB (Western Blot) (Western blot analysis of extracts from rat muscle, using CD3E Antibody.)

CD3E, Polyclonal Antibody (Cat# AAA326359)

Full Name
CD3E Antibody
Gene Names
CD3E; T3E; TCRE; IMD18
Reactivity
Human, Mouse, Rat
Applications
Immunocytochemistry, Immunofluorescence, Immunohistochemistry, Western Blot
Purity
The antiserum was purified by peptide affinity chromatography using SulfoLink Coupling Resin.
Pricing
product-image-AAA326360_IF11.jpg IF (Immunofluorescence) (AAA326360 staining MCF7 cells by IF/ICC. The sample were fixed with PFA and permeabilized in 0.1% Triton X-100, then blocked in 10% serum for 45 minutes at 25 degree C. The primary antibody was diluted at 1/200 and incubated with the sample for 1 hour at 37 degree C. An Alexa Fluor 594 conjugated goat anti-rabbit IgG (H+L) antibody, diluted at 1/600, was used as secondary antibody.)

POLR2E, Polyclonal Antibody (Cat# AAA326360)

Full Name
POLR2E Antibody
Gene Names
POLR2E; RPB5; XAP4; RPABC1; hRPB25; hsRPB5
Reactivity
Human, Mouse, Rat
Applications
Immunocytochemistry, Immunofluorescence, Immunohistochemistry, Western Blot
Purity
The antiserum was purified by peptide affinity chromatography using SulfoLink Coupling Resin.
Pricing
product-image-AAA326373_IF11.jpg IF (Immunofluorescence) (AAA326373 staining COLO205 cells by IF/ICC. The sample were fixed with PFA and permeabilized in 0.1% Triton X-100, then blocked in 10% serum for 45 minutes at 25 degree C. The primary antibody was diluted at 1/200 and incubated with the sample for 1 hour at 37 degree C. An Alexa Fluor 594 conjugated goat anti-rabbit IgG (H+L) antibody, diluted at 1/600, was used as secondary antibody.)

CCND2, Polyclonal Antibody (Cat# AAA326373)

Full Name
CCND2 Antibody
Gene Names
CCND2; MPPH3; KIAK0002
Reactivity
Human, Mouse, Rat
Applications
Immunocytochemistry, Immunofluorescence, Immunohistochemistry, Western Blot
Purity
The antiserum was purified by peptide affinity chromatography using SulfoLink Coupling Resin.
Pricing
product-image-AAA326377_IHC13.jpg IHC (Immunohiostchemistry) (AAA326377 at 1/100 staining Human lung tissue by IHC-P. The sample was formaldehyde fixed and a heat mediated antigen retrieval step in citrate buffer was performed. The sample was then blocked and incubated with the antibody for 1.5 hours at 22 degree C. An HRP conjugated goat anti-rabbit antibody was used as the secondary.)

MX1, Polyclonal Antibody (Cat# AAA326377)

Full Name
MX1 Antibody
Gene Names
MX1; MX; MxA; IFI78; IFI-78K
Reactivity
Human, Mouse, Rat
Applications
Immunohistochemistry, Western Blot
Purity
The antiserum was purified by peptide affinity chromatography using SulfoLink Coupling Resin.
Pricing
product-image-AAA326382_IHC13.jpg IHC (Immunohiostchemistry) (AAA326382 at 1/100 staining Human liver tissue by IHC-P. The sample was formaldehyde fixed and a heat mediated antigen retrieval step in citrate buffer was performed. The sample was then blocked and incubated with the antibody for 1.5 hours at 22 degree C. An HRP conjugated goat anti-rabbit antibody was used as the secondary.)

POLR2C, Polyclonal Antibody (Cat# AAA326382)

Full Name
POLR2C Antibody
Gene Names
POLR2C; RPB3; RPB31; hRPB33; hsRPB3
Reactivity
Human, Mouse, Rat
Applications
Immunohistochemistry, Western Blot
Purity
The antiserum was purified by peptide affinity chromatography using SulfoLink Coupling Resin.
Pricing
product-image-AAA326384_IHC13.jpg IHC (Immunohiostchemistry) (AAA326384 at 1/100 staining Human Melanoma tissue by IHC-P. The sample was formaldehyde fixed and a heat mediated antigen retrieval step in citrate buffer was performed. The sample was then blocked and incubated with the antibody for 1.5 hours at 22 degree C. An HRP conjugated goat anti-rabbit antibody was used as the secondary.)

TFF1, Polyclonal Antibody (Cat# AAA326384)

Full Name
TFF1 Antibody
Gene Names
TFF1; pS2; BCEI; HPS2; HP1.A; pNR-2; D21S21
Reactivity
Human, Mouse
Applications
Immunohistochemistry, Western Blot
Purity
The antiserum was purified by peptide affinity chromatography using SulfoLink Coupling Resin.
Pricing
product-image-AAA326387_IF11.jpg IF (Immunofluorescence) (AAA326387 staining HepG2  cells by IF/ICC. The sample were fixed with PFA and permeabilized in 0.1% Triton X-100, then blocked in 10% serum for 45 minutes at 25 degree C. The primary antibody was diluted at 1/200 and incubated with the sample for 1 hour at 37 degree C. An Alexa Fluor 594 conjugated goat anti-rabbit IgG (H+L) antibody, diluted at 1/600, was used as secondary antibody.)

GADD45A, Polyclonal Antibody (Cat# AAA326387)

Full Name
GADD45A Antibody
Gene Names
GADD45A; DDIT1; GADD45
Reactivity
Human, Mouse, Rat
Applications
Immunocytochemistry, Immunofluorescence, Immunohistochemistry, Western Blot
Purity
The antiserum was purified by peptide affinity chromatography using SulfoLink Coupling Resin.
Pricing
product-image-AAA326393_IHC13.jpg IHC (Immunohiostchemistry) (AAA326393 at 1/100 staining Rat spleen tissue by IHC-P. The sample was formaldehyde fixed and a heat mediated antigen retrieval step in citrate buffer was performed. The sample was then blocked and incubated with the antibody for 1.5 hours at 22 degree C. An HRP conjugated goat anti-rabbit antibody was used as the secondary.)

KLK1, Polyclonal Antibody (Cat# AAA326393)

Full Name
KLK1 Antibody
Gene Names
KLK1; hK1; KLKR; Klk6
Reactivity
Human, Mouse, Rat
Applications
Immunohistochemistry, Western Blot
Purity
The antiserum was purified by peptide affinity chromatography using SulfoLink Coupling Resin.
Pricing
product-image-AAA326400_IHC13.jpg IHC (Immunohiostchemistry) (AAA326400 at 1/100 staining Mouse muscle tissue by IHC-P. The sample was formaldehyde fixed and a heat mediated antigen retrieval step in citrate buffer was performed. The sample was then blocked and incubated with the antibody for 1.5 hours at 22 degree C. An HRP conjugated goat anti-rabbit antibody was used as the secondary.)

EIF6, Polyclonal Antibody (Cat# AAA326400)

Full Name
EIF6 Antibody
Gene Names
EIF6; CAB; EIF3A; eIF-6; p27BBP; ITGB4BP; b(2)gcn; p27(BBP)
Reactivity
Human, Mouse, Rat
Applications
Immunohistochemistry, Western Blot
Purity
The antiserum was purified by peptide affinity chromatography using SulfoLink Coupling Resin.
Pricing
product-image-AAA326403_IF10.jpg IF (Immunofluorescence) (AAA326403 staining HEPG2 cells by ICC/IF. The sample were fixed with PFA and permeabilized in 0.1% Triton X-100, then blocked in 10% serum for 45 minutes at 25 degree C. The primary antibody was diluted at 1/200 and incubated with the sample for 1 hour at 37 degree C. An Alexa Fluor 594 conjugated goat anti-rabbit IgG (H+L) antibody, diluted at 1/600 was used as secondary antibody.)

CXADR, Polyclonal Antibody (Cat# AAA326403)

Full Name
CXADR Antibody
Gene Names
CXADR; CAR; HCAR; CAR4/6
Reactivity
Human, Mouse, Rat
Applications
Immunocytochemistry, Immunofluorescence, Immunohistochemistry, Western Blot
Purity
The antiserum was purified by peptide affinity chromatography using SulfoLink Coupling Resin.
Pricing
product-image-AAA326317_WB10.jpg WB (Western Blot) (Western blot analysis of extracts of mouse spleen, using CD38 antibody. The lane on the left is treated with the antigen-specific peptide.)

CD38, Polyclonal Antibody (Cat# AAA326317)

Full Name
CD38 Antibody
Gene Names
CD38; ADPRC1; ADPRC 1
Reactivity
Human, Mouse, Rat
Applications
Immunocytochemistry, Immunofluorescence, Immunohistochemistry, Western Blot
Purity
The antiserum was purified by peptide affinity chromatography using SulfoLink Coupling Resin.
Pricing
product-image-AAA326320_WB11.jpg WB (Western Blot) (Western blot analysis of Mouse liver tissue lysates, using AKR1B1 Antibody. The lane on the left is treated with the antigen-specific peptide.)

AKR1B1, Polyclonal Antibody (Cat# AAA326320)

Full Name
AKR1B1 Antibody
Gene Names
AKR1B1; AR; ADR; ALR2; ALDR1
Reactivity
Human, Mouse, Rat
Applications
Immunocytochemistry, Immunofluorescence, Immunohistochemistry, Western Blot
Purity
The antiserum was purified by peptide affinity chromatography using SulfoLink Coupling Resin.
Pricing
product-image-AAA326321_WB10.jpg WB (Western Blot) (Western blot analysis of extracts of Schwann, using MPZ antibody. The lane on the left is treated with the antigen-specific peptide.)

MPZ, Polyclonal Antibody (Cat# AAA326321)

Full Name
MPZ Antibody
Gene Names
MPZ; P0; CHM; DSS; MPP; CMT1; CMT1B; CMT2I; CMT2J; CMT4E; CMTDI3; CMTDID; HMSNIB
Reactivity
Human, Mouse, Rat
Applications
Immunocytochemistry, Immunofluorescence, Immunohistochemistry, Western Blot
Purity
The antiserum was purified by peptide affinity chromatography using SulfoLink Coupling Resin.
Pricing
product-image-AAA326323_WB13.jpg WB (Western Blot) (Western blot analysis of extracts of BXPC-3, using CD59 antibody. The lane on the left is treated with the antigen-specific peptide.)

CD59, Polyclonal Antibody (Cat# AAA326323)

Full Name
CD59 Antibody
Gene Names
CD59; 1F5; EJ16; EJ30; EL32; G344; MIN1; MIN2; MIN3; MIRL; HRF20; MACIF; MEM43; MIC11; MSK21; 16.3A5; HRF-20; MAC-IP; p18-20
Reactivity
Human
Applications
Immunohistochemistry, Western Blot
Purity
The antiserum was purified by peptide affinity chromatography using SulfoLink Coupling Resin.
Pricing
product-image-AAA326328_WB11.jpg WB (Western Blot) (Western blot analysis of Hela whole cell lysates, using MAD2L1 Antibody. The lane on the left is treated with the antigen-specific peptide.)

MAD2L1, Polyclonal Antibody (Cat# AAA326328)

Full Name
MAD2L1 Antibody
Gene Names
MAD2L1; MAD2; HSMAD2
Reactivity
Human, Mouse, Rat
Applications
Immunocytochemistry, Immunofluorescence, Immunohistochemistry, Western Blot
Purity
The antiserum was purified by peptide affinity chromatography using SulfoLink Coupling Resin.
Pricing
product-image-AAA326084_IHC13.jpg IHC (Immunohiostchemistry) (AAA326084 at 1/100 staining Rat liver tissue by IHC-P. The sample was formaldehyde fixed and a heat mediated antigen retrieval step in citrate buffer was performed. The sample was then blocked and incubated with the antibody for 1.5 hours at 22 degree C. An HRP conjugated goat anti-rabbit antibody was used as the secondary.)

ARRB2, Polyclonal Antibody (Cat# AAA326084)

Full Name
ARRB2 Antibody
Gene Names
ARRB2; ARB2; ARR2; BARR2
Reactivity
Human, Mouse, Rat
Applications
Immunohistochemistry, Western Blot
Purity
The antiserum was purified by peptide affinity chromatography using SulfoLink Coupling Resin.
Pricing
product-image-AAA326087_WB13.jpg WB (Western Blot) (Western blot analysis of Mouse brain lysate, using FAAH Antibody. The lane on the left is treated with the antigen-specific peptide.)

FAAH, Polyclonal Antibody (Cat# AAA326087)

Full Name
FAAH Antibody
Gene Names
FAAH; PSAB; FAAH-1
Reactivity
Human, Mouse, Rat
Applications
Immunohistochemistry, Western Blot
Purity
The antiserum was purified by peptide affinity chromatography using SulfoLink Coupling Resin.
Pricing
product-image-AAA326090_IF10.jpg IF (Immunofluorescence) (AAA326090 staining Hela by IF/ICC. The sample were fixed with PFA and permeabilized in 0.1% Triton X-100, then blocked in 10% serum for 45 minutes at 25 degree C. The primary antibody was diluted at 1/200 and incubated with the sample for 1 hour at 37 degree C. An Alexa Fluor 594 conjugated goat anti-rabbit IgG (H+L) Ab, diluted at 1/600, was used as the secondary antibody.)

TACSTD1, Polyclonal Antibody (Cat# AAA326090)

Full Name
TACSTD1 Antibody
Gene Names
EPCAM; ESA; KSA; M4S1; MK-1; DIAR5; EGP-2; EGP40; KS1/4; MIC18; TROP1; EGP314; HNPCC8; TACSTD1
Reactivity
Human, Mouse, Rat
Applications
Immunocytochemistry, Immunofluorescence, Immunohistochemistry, Western Blot
Purity
The antiserum was purified by peptide affinity chromatography using SulfoLink Coupling Resin.
Pricing
product-image-AAA326095_WB11.jpg WB (Western Blot) (Western blot analysis of HepG2 cell lysate, using ISG15 Antibody. The lane on the left is treated with the antigen-specific peptide.)

ISG15, Polyclonal Antibody (Cat# AAA326095)

Full Name
ISG15 Antibody
Gene Names
ISG15; G1P2; IP17; UCRP; IFI15; IMD38; hUCRP
Reactivity
Human, Mouse, Rat
Applications
Immunohistochemistry, Western Blot
Purity
The antiserum was purified by peptide affinity chromatography using SulfoLink Coupling Resin.
Pricing
product-image-AAA326097_IHC10.jpg IHC (Immunohistochemistry) (AAA326097 at 1/100 staining Human kidney tissue by IHC-P. The sample was formaldehyde fixed and a heat mediated antigen retrieval step in citrate buffer was performed. The sample was then blocked and incubated with the antibody for 1.5 hours at 22 degree C. An HRP conjugated goat anti-rabbit antibody was used as the secondary.)

PML, Polyclonal Antibody (Cat# AAA326097)

Full Name
PML Antibody
Gene Names
PML; MYL; RNF71; PP8675; TRIM19
Reactivity
Human, Mouse, Rat
Applications
Immunocytochemistry, Immunofluorescence, Immunohistochemistry, Western Blot
Purity
The antiserum was purified by peptide affinity chromatography using SulfoLink Coupling Resin.
Pricing
product-image-AAA326100_WB13.jpg WB (Western Blot) (Western blot analysis of Hela whole cell lysates, using CDC42 Antibody. The lane on the left is treated with the antigen-specific peptide.)

CDC42, Polyclonal Antibody (Cat# AAA326100)

Full Name
CDC42 Antibody
Gene Names
CDC42; TKS; G25K; CDC42Hs
Reactivity
Human, Mouse, Rat
Applications
Immunohistochemistry, Western Blot
Purity
The antiserum was purified by peptide affinity chromatography using SulfoLink Coupling Resin.
Pricing
product-image-AAA326104_WB13.jpg WB (Western Blot) (Western blot analysis of 293T lysate using FIGF antibody. The lane on the left is treated with the antigen-specific peptide.)

FIGF, Polyclonal Antibody (Cat# AAA326104)

Full Name
FIGF Antibody
Gene Names
VEGFD; FIGF; VEGF-D
Reactivity
Human, Mouse, Rat
Applications
Immunohistochemistry, Western Blot
Purity
The antiserum was purified by peptide affinity chromatography using SulfoLink Coupling Resin.
Pricing
product-image-AAA326105_IHC11.jpg IHC (Immunohistochemisry) (AAA326105 at 1/100 staining human kidney tissue sections by IHC-P. The tissue was formaldehyde fixed and a heat mediated antigen retrieval step in citrate buffer was performed. The tissue was then blocked and incubated with the antibody for 1.5 hours at 22 degree C. An HRP conjugated goat anti-rabbit antibody was used as the secondary.)

PDGFB, Polyclonal Antibody (Cat# AAA326105)

Full Name
PDGFB Antibody
Gene Names
PDGFB; SIS; SSV; IBGC5; PDGF2; c-sis; PDGF-2
Reactivity
Human, Mouse, Rat
Applications
Immunocytochemistry, Immunofluorescence, Immunohistochemistry, Western Blot
Purity
The antiserum was purified by peptide affinity chromatography using SulfoLink Coupling Resin.
Pricing
product-image-AAA326106_WB13.jpg WB (Western Blot) (Western blot analysis of K562 lysate using FHIT antibody. The lane on the left is treated with the antigen-specific peptide.)

FHIT, Polyclonal Antibody (Cat# AAA326106)

Full Name
FHIT Antibody
Gene Names
FHIT; FRA3B; AP3Aase
Reactivity
Human, Mouse, Rat
Applications
Immunohistochemistry, Western Blot
Purity
The antiserum was purified by peptide affinity chromatography using SulfoLink Coupling Resin.
Pricing
product-image-AAA326110_IF10.jpg IF (Immunofluorescence) (AAA326110 staining 293 by IF/ICC. The sample were fixed with PFA and permeabilized in 0.1% Triton X-100, then blocked in 10% serum for 45 minutes at 25 degree C. The primary antibody was diluted at 1/200 and incubated with the sample for 1 hour at 37 degree C. An Alexa Fluor 594 conjugated goat anti-rabbit IgG (H+L) Ab, diluted at 1/600, was used as the secondary antibody.)

MMP3, Polyclonal Antibody (Cat# AAA326110)

Full Name
MMP3 Antibody
Gene Names
MMP3; SL-1; STMY; STR1; CHDS6; MMP-3; STMY1
Reactivity
Human, Mouse, Rat
Applications
Immunocytochemistry, Immunofluorescence, Immunohistochemistry, Western Blot
Purity
The antiserum was purified by peptide affinity chromatography using SulfoLink Coupling Resin.
Pricing
product-image-AAA326111_WB11.jpg WB (Western Blot) (Western blot analysis of 293T lysate using RASSF1 antibody. The lane on the left is treated with the antigen-specific peptide.)

RASSF1, Polyclonal Antibody (Cat# AAA326111)

Full Name
RASSF1 Antibody
Gene Names
RASSF1; 123F2; RDA32; NORE2A; RASSF1A; REH3P21
Reactivity
Human, Mouse, Rat
Applications
Immunohistochemistry, Western Blot
Purity
The antiserum was purified by peptide affinity chromatography using SulfoLink Coupling Resin.
Pricing
product-image-AAA326112_WB13.jpg WB (Western Blot) (Western blot analysis of 721_B lysate using LCN6 antibody. The lane on the left is treated with the antigen-specific peptide.)

LCN6, Polyclonal Antibody (Cat# AAA326112)

Full Name
LCN6 Antibody
Gene Names
LCN6; LCN5; hLcn5; UNQ643
Reactivity
Human, Mouse, Rat
Applications
Immunohistochemistry, Western Blot
Purity
The antiserum was purified by peptide affinity chromatography using SulfoLink Coupling Resin.
Pricing
product-image-AAA326117_WB13.jpg WB (Western Blot) (Western blot analysis of Mouse kidney lysate, using ATP6AP1 Antibody. The lane on the left is treated with the antigen-specific peptide.)

ATP6AP1, Polyclonal Antibody (Cat# AAA326117)

Full Name
ATP6AP1 Antibody
Gene Names
ATP6AP1; 16A; CF2; Ac45; XAP3; XAP-3; ATP6S1; VATPS1; ATP6IP1
Reactivity
Human, Mouse, Rat
Applications
Immunohistochemistry, Western Blot
Purity
The antiserum was purified by peptide affinity chromatography using SulfoLink Coupling Resin.
Pricing
product-image-AAA326118_IHC13.jpg IHC (Immunohiostchemistry) (AAA326118 at 1/100 staining Rat heart tissue by IHC-P. The sample was formaldehyde fixed and a heat mediated antigen retrieval step in citrate buffer was performed. The sample was then blocked and incubated with the antibody for 1.5 hours at 22 degree C. An HRP conjugated goat anti-rabbit antibody was used as the secondary.)

UGDH, Polyclonal Antibody (Cat# AAA326118)

Full Name
UGDH Antibody
Gene Names
UGDH; GDH; UGD; UDPGDH; UDP-GlcDH
Reactivity
Human, Mouse, Rat
Applications
Immunohistochemistry, Western Blot
Purity
The antiserum was purified by peptide affinity chromatography using SulfoLink Coupling Resin.
Pricing
product-image-AAA326121_WB13.jpg WB (Western Blot) (Western blot analysis of Jurkat using NET1 antibody. The lane on the left is treated with the antigen-specific peptide.)

NET1, Polyclonal Antibody (Cat# AAA326121)

Full Name
NET1 Antibody
Gene Names
NET1; NET1A; ARHGEF8
Reactivity
Human, Mouse, Rat
Applications
Immunohistochemistry, Western Blot
Purity
The antiserum was purified by peptide affinity chromatography using SulfoLink Coupling Resin.
Pricing
product-image-AAA326124_IHC13.png IHC (Immunohiostchemistry) (AAA326124 at 1/100 staining Rat liver tissue by IHC-P. The sample was formaldehyde fixed and a heat mediated antigen retrieval step in citrate buffer was performed. The sample was then blocked and incubated with the primary Ab at 4 degree C overnight. An HRP conjugated anti-Rabbit Ab was used as the secondary Ab.)

BHMT, Polyclonal Antibody (Cat# AAA326124)

Full Name
BHMT Antibody
Gene Names
BHMT; BHMT1; HEL-S-61p
Reactivity
Human, Mouse, Rat
Applications
Immunohistochemistry, Western Blot
Purity
The antiserum was purified by peptide affinity chromatography using SulfoLink Coupling Resin.
Pricing
product-image-AAA326128_WB13.jpg WB (Western Blot) (Western blot analysis of NB4 lysate using APOH antibody. The lane on the left is treated with the antigen-specific peptide.)

APOH, Polyclonal Antibody (Cat# AAA326128)

Full Name
APOH Antibody
Gene Names
APOH; BG; B2G1; B2GP1
Reactivity
Human, Mouse, Rat
Applications
Immunohistochemistry, Western Blot
Purity
The antiserum was purified by peptide affinity chromatography using SulfoLink Coupling Resin.
Pricing
product-image-AAA326143_IHC11.jpg IHC (Immunohistochemisry) (AAA326143 at 1/100 staining Mouse colon tissue by IHC-P. The sample was formaldehyde fixed and a heat mediated antigen retrieval step in citrate buffer was performed. The sample was then blocked and incubated with the antibody for 1.5 hours at 22 degree C. An HRP conjugated goat anti-rabbit antibody was used as the secondary.)

TNFSF13, Polyclonal Antibody (Cat# AAA326143)

Full Name
TNFSF13 Antibody
Gene Names
TNFSF13; APRIL; CD256; TALL2; ZTNF2; TALL-2; TNLG7B; TRDL-1; UNQ383/PRO715
Reactivity
Human, Mouse, Rat
Applications
Immunocytochemistry, Immunofluorescence, Immunohistochemistry, Western Blot
Purity
The antiserum was purified by peptide affinity chromatography using SulfoLink Coupling Resin.
Pricing

What are Polyclonal Antibodies?


Polyclonal antibodies are antibodies that come from multiple B cell clones of a host animal. The typical hosts used for the majority of polyclonal antibody production are rabbits, goats, sheep, and donkeys. These polyclonal antibodies, once having identified their target, will bind to different epitopes located at different regions or sequences on the same protein/antigen. As a result, they are ideal at locating and binding to the target, even if the target is in very low concentrations (due to many different antibodies being able to bind to the same target molecule, which allows for significant amplification of a downstream signal).


Polyclonal antibodies are typically produced by injecting an antigen into a host animal, which causes the animal’s immune system to attack the foreign antigen by mass generating antibodies against it. After a period of time, serum is collected from the animal and purified using physicochemical fractionation, class-specific affinity purification, and/or antigen-affinity purification.


Key Uses of Polyclonal Antibodies


  • Western Blotting: This method is used to find specific proteins in biological samples after separating them by size.

  • Immunohistochemistry: IHC helps visualize the location of proteins in tissue sections using various staining techniques.

  • ELISA: (Enzyme-Linked Immunosorbent Assay) is typically used to identify specific protein quantities in a sample. ELISAs can be either “Quantitative” or “Qualitative”.

  • Flow Cytometry: technique that identifies and measures the specific protein on the surface or inside the cells in a fluid suspension.

  • Immunoprecipitation: IP isolates and studies a specific protein from a complex mixture using antibodies.


Why Buy Polyclonal Antibodies from AAA Biotech?


1. Ideal for Various Applications


Our antibodies are generally going to be validated for use in multiple types of assays, including ELISA, Western Blotting, Immunohistochemistry, Immunoprecipitation, amongst others. They are ideal for a wide range of research applications.


2. Rigorous Quality Control


All of the antibodies in our catalog undergo strict quality testing to ensure specificity, sensitivity, and consistent performance. We are confident in the ability of our antibodies to provide you with accurate results.


3. Wide Assortment of Antibodies


Antibodies in are catalog can be found for both common and exotic species, and these antibodies are also available in both conjugated and recombinant forms to suit many diverse experimental needs.


4. Highly Purified


Our antibodies are available in purified forms with over 85% purity, as confirmed by SDS-PAGE. They are also available with tags such as His, Flag, GST, or MBP. We cater to customers worldwide.


FAQ


1. How are polyclonal antibodies produced?


Traditionally, polyclonal antibodies are produced by injecting an antigen into a host animal (such as a rabbit or goat), which then triggers an immune response from the host animal. The animal’s B cells produce antibodies that will recognize different parts of the injected antigen. These antibodies are then collected from the animal’s blood and purified for use.


2. How do polyclonal antibodies differ from monoclonal antibodies?


Polyclonal antibodies are a mix of antibodies that bind to different locations (epitopes) of the same antigen, while monoclonal antibodies are identical and bind to just one specific epitope. This makes polyclonal antibodies more versatile and better at detecting proteins that may be present in low quantities or in altered/modified forms.


3. How should I store polyclonal antibodies?


Polyclonal antibodies should be stored at 4°C for short-term use (up to a few weeks) and at -20°C or -80°C for long-term storage. Avoid repeated freeze-thaw cycles by dividing them into small aliquots. Always check the datasheet for specific storage instructions.


Submit a Question

Please complete the form below and a representative will contact you as soon as possible.

Request more Information

Please complete the form below and a representative will contact you as soon as possible.

Request a Manual

Please complete the form below and a representative will contact you as soon as possible.

Request a Quote

Please complete the form below and a representative will contact you as soon as possible.