Loading...

Skip to main content
Call us at +1-800-604-9114 for more information about our products or contact us online Need help? +1-800-604-9114 or contact us

Filters


Clonality

Type

Reactivity

Gene Name

Isotype

Host

Application

Clone

Polyclonal Antibodies

At AAA Biotech also known as AAA Bio or AAABio, we provide a broad range of purified polyclonal antibodies (pAbs) that are able to all be browsed online through our website. Due to their high specificity and strong binding affinity, these antibodies are ideal for wide swathes of research and experimental applications.


Our polyclonal antibodies can easily support your work, whether you use them for Western Blotting, Immunocytochemistry (with or without Immunofluorescence used in conjunction), Immunohistochemistry, Immunoprecipitation, and ELISA tests. We highly encourage you to browse our range of pAbs and choose the one that best suits your experimental model.


Viewing 7050-7100 of 96803 product results


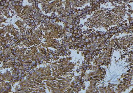
Rabbit Anti-PARP3 Polyclonal Antibody – Cat# AAA239254 – IHC (Immunohiostchemistry) IHC (Immunohiostchemistry) (The image on the left is immunohistochemistry of paraffin-embedded Human thyroid cancer tissue using AAA239254(PARP3 Antibody) at dilution 1/25, on the right is treated with fusion protein. (Original magnification: ×200))

PARP3, Polyclonal Antibody (Cat# AAA239254)

No reviews yet
Full Name
PARP3 Antibody
Gene Names
PARP3; IRT1; ARTD3; ADPRT3; ADPRTL2; ADPRTL3; PADPRT-3
Reactivity
Human
Applications
Immunohistochemistry
Purity
Antigen Affinity Purification
Pricing
Rabbit Anti-PARP11 Polyclonal Antibody – Cat# AAA239255 – IHC (Immunohiostchemistry) IHC (Immunohiostchemistry) (The image on the left is immunohistochemistry of paraffin-embedded Human lung cancer tissue using AAA239255(PARP11 Antibody) at dilution 1/30, on the right is treated with fusion protein. (Original magnification: ×200))

PARP11, Polyclonal Antibody (Cat# AAA239255)

No reviews yet
Full Name
PARP11 Antibody
Gene Names
PARP11; ARTD11; MIB006; C12orf6
Reactivity
Human, Mouse
Applications
Immunohistochemistry
Purity
Antigen Affinity Purification
Pricing
Rabbit Anti-SCGB2A1 Polyclonal Antibody – Cat# AAA239258 – IHC (Immunohiostchemistry) IHC (Immunohiostchemistry) (The image on the left is immunohistochemistry of paraffin-embedded Human breast cancer tissue using AAA239258(SCGB2A1 Antibody) at dilution 1/20, on the right is treated with fusion protein. (Original magnification: ×200))

SCGB2A1, Polyclonal Antibody (Cat# AAA239258)

No reviews yet
Full Name
SCGB2A1 Antibody
Gene Names
SCGB2A1; LPHC; LPNC; MGB2; UGB3
Reactivity
Human
Applications
Immunohistochemistry
Purity
Antigen Affinity Purification
Pricing
Rabbit Anti-PDLIM1 Polyclonal Antibody – Cat# AAA239259 – SDS-PAGE SDS-PAGE (Gel: 8%SDS-PAGE, Lysate: 40 ug, Lane: A172 cells, Primary antibody: AAA239259(PDLIM1 Antibody) at dilution 1/400, Secondary antibody: Goat anti rabbit IgG at 1/8000 dilution, Exposure time: 10 seconds)

PDLIM1, Polyclonal Antibody (Cat# AAA239259)

No reviews yet
Full Name
PDLIM1 Antibody
Gene Names
PDLIM1; CLIM1; CLP36; CLP-36; hCLIM1
Reactivity
Human, Mouse, Rat
Applications
Immunohistochemistry, Western Blot
Purity
Antigen Affinity Purification
Pricing
Rabbit Anti-PDLIM2 Polyclonal Antibody – Cat# AAA239260 – SDS-PAGE SDS-PAGE (Gel: 8%SDS-PAGE, Lysate: 40 ug, Lane: Mouse liver tissue, Primary antibody: AAA239260(PDLIM2 Antibody) at dilution 1/250, Secondary antibody: Goat anti rabbit IgG at 1/8000 dilution, Exposure time: 3 minutes)

PDLIM2, Polyclonal Antibody (Cat# AAA239260)

No reviews yet
Full Name
PDLIM2 Antibody
Gene Names
PDLIM2; SLIM; MYSTIQUE
Reactivity
Human, Mouse
Applications
Immunohistochemistry, Western Blot
Purity
Antigen Affinity Purification
Pricing
Rabbit Anti-PDLIM7 Polyclonal Antibody – Cat# AAA239262 – IHC (Immunohiostchemistry) IHC (Immunohiostchemistry) (The image on the left is immunohistochemistry of paraffin-embedded Human liver cancer tissue using AAA239262(PDLIM7 Antibody) at dilution 1/20, on the right is treated with fusion protein. (Original magnification: ×200))

PDLIM7, Polyclonal Antibody (Cat# AAA239262)

No reviews yet
Full Name
PDLIM7 Antibody
Gene Names
PDLIM7; LMP1; LMP3
Reactivity
Human, Mouse, Rat
Applications
Immunohistochemistry
Purity
Antigen Affinity Purification
Pricing
Rabbit Anti-PEA15 Polyclonal Antibody – Cat# AAA239263 – IHC (Immunohiostchemistry) IHC (Immunohiostchemistry) (The image on the left is immunohistochemistry of paraffin-embedded Human prostate cancer tissue using AAA239263(PEA15 Antibody) at dilution 1/25, on the right is treated with fusion protein. (Original magnification: ×200))

PEA15, Polyclonal Antibody (Cat# AAA239263)

No reviews yet
Full Name
PEA15 Antibody
Gene Names
PEA15; PED; MAT1; HMAT1; MAT1H; PEA-15; HUMMAT1H
Reactivity
Human, Mouse, Rat
Applications
Immunohistochemistry
Purity
Antigen Affinity Purification
Pricing
Rabbit Anti-PEF1 Polyclonal Antibody – Cat# AAA239265 – SDS-PAGE SDS-PAGE (Gel: 8%SDS-PAGE, Lysate: 40 ug, Lane 1-4: Jurkat cells, hela cells, 293T cells, human thyroid cancer tissue, Primary antibody: AAA239265(PEF1 Antibody) at dilution 1/200, Secondary antibody: Goat anti rabbit IgG at 1/8000 dilution, Exposure time: 20 seconds)

PEF1, Polyclonal Antibody (Cat# AAA239265)

No reviews yet
Full Name
PEF1 Antibody
Gene Names
PEF1; ABP32; PEF1A
Reactivity
Human, Mouse, Rat
Applications
Immunohistochemistry, Western Blot
Purity
Antigen Affinity Purification
Pricing
Rabbit Anti-MSMB Polyclonal Antibody – Cat# AAA239267 – SDS-PAGE SDS-PAGE (Gel: 10%SDS-PAGE, Lysate: 40 ug, Lane: Human prostate tissue, Primary antibody: AAA239267(MSMB Antibody) at dilution 1/200, Secondary antibody: Goat anti rabbit IgG at 1/8000 dilution, Exposure time: 1 second)

MSMB, Polyclonal Antibody (Cat# AAA239267)

No reviews yet
Full Name
MSMB Antibody
Gene Names
MSMB; MSP; PSP; IGBF; MSPB; PN44; PRPS; HPC13; PSP57; PSP94; PSP-94
Reactivity
Human
Applications
Immunohistochemistry, Western Blot
Purity
Antigen Affinity Purification
Pricing
Rabbit Anti-RPLP1 Polyclonal Antibody – Cat# AAA239360 – SDS-PAGE SDS-PAGE (Gel: 12%SDS-PAGE, Lysate: 40 ug, Lane 1-2: K562 cells, hepg2 cells, Primary antibody: AAA239360(RPLP1 Antibody) at dilution 1/400, Secondary antibody: Goat anti rabbit IgG at 1/8000 dilution, Exposure time: 2 minutes)

RPLP1, Polyclonal Antibody (Cat# AAA239360)

No reviews yet
Full Name
RPLP1 Antibody
Gene Names
RPLP1; P1; LP1; RPP1
Reactivity
Human, Mouse, Rat
Applications
Immunohistochemistry, Western Blot
Purity
Antigen Affinity Purification
Pricing
Rabbit Anti-RPS6KA1 Polyclonal Antibody – Cat# AAA239364 – SDS-PAGE SDS-PAGE (Gel: 6%SDS-PAGE, Lysate: 40 ug, Lane: K562 cells, Primary antibody: AAA239364(RPS6KA1 Antibody) at dilution 1/400, Secondary antibody: Goat anti rabbit IgG at 1/8000 dilution, Exposure time: 5 seconds)

RPS6KA1, Polyclonal Antibody (Cat# AAA239364)

No reviews yet
Full Name
RPS6KA1 Antibody
Gene Names
RPS6KA1; RSK; HU-1; RSK1; MAPKAPK1A
Reactivity
Human, Mouse, Rat
Applications
Immunohistochemistry, Western Blot
Purity
Antigen Affinity Purification
Pricing
Rabbit Anti-S100A11 Polyclonal Antibody – Cat# AAA239370 – SDS-PAGE SDS-PAGE (Gel: 12%SDS-PAGE, Lysate: 40 ug, Lane 1-2: Hepg2 cells, A549 cells, Primary antibody: AAA239370(S100A11 Antibody) at dilution 1/600, Secondary antibody: Goat anti rabbit IgG at 1/8000 dilution, Exposure time: 1 seconds)

S100A11, Polyclonal Antibody (Cat# AAA239370)

No reviews yet
Full Name
S100A11 Antibody
Gene Names
S100A11; MLN70; S100C; HEL-S-43
Reactivity
Human, Mouse, Rat
Applications
Immunohistochemistry, Western Blot
Purity
Antigen Affinity Purification
Pricing
Rabbit Anti-S100A14 Polyclonal Antibody – Cat# AAA239372 – IHC (Immunohiostchemistry) IHC (Immunohiostchemistry) (The image on the left is immunohistochemistry of paraffin-embedded Human esophagus cancer tissue using AAA239372(S100A14 Antibody) at dilution 1/30, on the right is treated with fusion protein. (Original magnification: ×200))

S100A14, Polyclonal Antibody (Cat# AAA239372)

No reviews yet
Full Name
S100A14 Antibody
Gene Names
S100A14; BCMP84; S100A15
Reactivity
Human, Mouse
Applications
Immunohistochemistry
Purity
Antigen Affinity Purification
Pricing
Rabbit Anti-SAMD3 Polyclonal Antibody – Cat# AAA239374 – IHC (Immunohiostchemistry) IHC (Immunohiostchemistry) (The image on the left is immunohistochemistry of paraffin-embedded Human esophagus cancer tissue using AAA239374(SAMD3 Antibody) at dilution 1/30, on the right is treated with fusion protein. (Original magnification: ×200))

SAMD3, Polyclonal Antibody (Cat# AAA239374)

No reviews yet
Full Name
SAMD3 Antibody
Reactivity
Human
Applications
Immunohistochemistry
Purity
Antigen Affinity Purification
Pricing
Rabbit Anti-MAPK12 Polyclonal Antibody – Cat# AAA239378 – SDS-PAGE SDS-PAGE (Gel: 8%SDS-PAGE, Lysate: 40 ug, Lane 1-4: Mouse muscle tissue, Jurkat cells, K562 cells, A431 cells, Primary antibody: AAA239378(MAPK12 Antibody) at dilution 1/350, Secondary antibody: Goat anti rabbit IgG at 1/8000 dilution, Exposure time: 30 seconds)

MAPK12, Polyclonal Antibody (Cat# AAA239378)

No reviews yet
Full Name
MAPK12 Antibody
Gene Names
MAPK12; ERK3; ERK6; SAPK3; PRKM12; SAPK-3; P38GAMMA
Reactivity
Human, Mouse, Rat
Applications
Immunohistochemistry, Western Blot
Purity
Antigen Affinity Purification
Pricing
Rabbit Anti-SDF4 Polyclonal Antibody – Cat# AAA239384 – IHC (Immunohiostchemistry) IHC (Immunohiostchemistry) (The image on the left is immunohistochemistry of paraffin-embedded Human thyroid cancer tissue using AAA239384(SDF4 Antibody) at dilution 1/40, on the right is treated with fusion protein. (Original magnification: ×200))

SDF4, Polyclonal Antibody (Cat# AAA239384)

No reviews yet
Full Name
SDF4 Antibody
Gene Names
SDF4; Cab45; SDF-4
Reactivity
Human, Mouse, Rat
Applications
Immunohistochemistry
Purity
Antigen Affinity Purification
Pricing
Rabbit Anti-SDHA Polyclonal Antibody – Cat# AAA239385 – SDS-PAGE SDS-PAGE (Gel: 8%SDS-PAGE,Lysate: 40 ug,Lane 1-2: Mouse heart tissue, Mouse brain tissue,Primary antibody: AAA239385(SDHA Antibody) at dilution 1/600 dilution,Secondary antibody: Goat anti rabbit IgG at 1/8000 dilution,Exposure time: 5 seconds)

SDHA, Polyclonal Antibody (Cat# AAA239385)

No reviews yet
Full Name
SDHA Antibody
Gene Names
SDHA; FP; PGL5; SDH1; SDH2; SDHF; CMD1GG
Reactivity
Human, Mouse, Rat
Applications
Immunohistochemistry, Western Blot
Purity
Antigen Affinity Purification
Pricing
Rabbit Anti-DHCR24 Polyclonal Antibody – Cat# AAA239388 – SDS-PAGE SDS-PAGE (Gel: 8%SDS-PAGE,Lysate: 40 ug,Lane 1-2: Jurkat cells, HepG2 cells,Primary antibody: AAA239388(DHCR24 Antibody) at dilution 1/600 dilution,Secondary antibody: Goat anti rabbit IgG at 1/8000 dilution,Exposure time: 2 minutes)

DHCR24, Polyclonal Antibody (Cat# AAA239388)

No reviews yet
Full Name
DHCR24 Antibody
Gene Names
DHCR24; DCE; SELADIN1; Nbla03646; seladin-1
Reactivity
Human, Mouse, Rat
Applications
Immunohistochemistry, Western Blot
Purity
Antigen Affinity Purification
Pricing
Rabbit Anti-SEMA4F Polyclonal Antibody – Cat# AAA239391 – IHC (Immunohiostchemistry) IHC (Immunohiostchemistry) (The image on the left is immunohistochemistry of paraffin-embedded Human brain tissue using AAA239391(SEMA4F Antibody) at dilution 1/35, on the right is treated with fusion protein. (Original magnification: ×200))

SEMA4F, Polyclonal Antibody (Cat# AAA239391)

No reviews yet
Full Name
SEMA4F Antibody
Gene Names
SEMA4F; S4F; SEMAM; SEMAW; M-SEMA; PRO2353; m-Sema-M
Reactivity
Human, Mouse, Rat
Applications
Immunohistochemistry
Purity
Antigen Affinity Purification
Pricing
Rabbit Anti-SEMA4F Polyclonal Antibody – Cat# AAA239392 – IHC (Immunohiostchemistry) IHC (Immunohiostchemistry) (The image on the left is immunohistochemistry of paraffin-embedded Human prostate cancer tissue using AAA239392(SEMA4F Antibody) at dilution 1/30, on the right is treated with fusion protein. (Original magnification: ×200))

SEMA4F, Polyclonal Antibody (Cat# AAA239392)

No reviews yet
Full Name
SEMA4F Antibody
Gene Names
SEMA4F; S4F; SEMAM; SEMAW; M-SEMA; PRO2353; m-Sema-M
Reactivity
Human, Mouse, Rat
Applications
Immunohistochemistry
Purity
Antigen Affinity Purification
Pricing
Rabbit Anti-SENP8 Polyclonal Antibody – Cat# AAA239395 – SDS-PAGE SDS-PAGE (Gel: 12%SDS-PAGE,Lysate: 40 ug,Lane 1-6: 293T cells, Hela cells, Lovo cells, Raji cells, HUEVC cells, Mouse spleen tissue,Primary antibody: AAA239395(SENP8 Antibody) at dilution 1/600 dilution,Secondary antibody: Goat anti rabbit IgG at 1/8000 dilution,Exposure time: 20 seconds)

SENP8, Polyclonal Antibody (Cat# AAA239395)

No reviews yet
Full Name
SENP8 Antibody
Gene Names
SENP8; DEN1; NEDP1; PRSC2
Reactivity
Human, Mouse, Rat
Applications
Immunohistochemistry, Western Blot
Purity
Antigen Affinity Purification
Pricing
Rabbit Anti-SENP2 Polyclonal Antibody – Cat# AAA239398 – IHC (Immunohiostchemistry) IHC (Immunohiostchemistry) (The image on the left is immunohistochemistry of paraffin-embedded Human breast cancer tissue using AAA239398(SENP2 Antibody) at dilution 1/20, on the right is treated with fusion protein. (Original magnification: ×200))

SENP2, Polyclonal Antibody (Cat# AAA239398)

No reviews yet
Full Name
SENP2 Antibody
Gene Names
SENP2; AXAM2; SMT3IP2
Reactivity
Human, Mouse, Rat
Applications
Immunohistochemistry
Purity
Antigen Affinity Purification
Pricing
Rabbit Anti-SEPT2 Polyclonal Antibody – Cat# AAA239399 – SDS-PAGE SDS-PAGE (Gel: 8%SDS-PAGE,Lysate: 40 ug,,Primary antibody: AAA239399(SEPT2 Antibody) at dilution 1/400 dilution,Secondary antibody: Goat anti rabbit IgG at 1/8000 dilution,Exposure time: 10S)

SEPT2, Polyclonal Antibody (Cat# AAA239399)

No reviews yet
Full Name
SEPT2 Antibody
Gene Names
SEPT2; DIFF6; NEDD5; Pnutl3; hNedd5
Reactivity
Human, Mouse, Rat
Applications
Immunohistochemistry, Western Blot
Purity
Antigen Affinity Purification
Pricing
Rabbit Anti-SERPINB8 Polyclonal Antibody – Cat# AAA239402 – SDS-PAGE SDS-PAGE (Gel: 8%SDS-PAGE,Lysate: 40 ug,,Primary antibody: AAA239402(SERPINB8 Antibody) at dilution 1/400 dilution,Secondary antibody: Goat anti rabbit IgG at 1/8000 dilution,Exposure time: 15 seconds)

SERPINB8, Polyclonal Antibody (Cat# AAA239402)

No reviews yet
Full Name
SERPINB8 Antibody
Gene Names
SERPINB8; PI8; CAP2
Reactivity
Human
Applications
Immunohistochemistry, Western Blot
Purity
Antigen Affinity Purification
Pricing
Rabbit Anti-DNAJA3 Polyclonal Antibody – Cat# AAA239403 – IHC (Immunohiostchemistry) IHC (Immunohiostchemistry) (The image on the left is immunohistochemistry of paraffin-embedded Human esophagus cancer tissue using AAA239403(DNAJA3 Antibody) at dilution 1/30, on the right is treated with fusion protein. (Original magnification: ×200))

DNAJA3, Polyclonal Antibody (Cat# AAA239403)

No reviews yet
Full Name
DNAJA3 Antibody
Gene Names
DNAJA3; TID1; HCA57; hTID-1
Reactivity
Human, Mouse
Applications
Immunohistochemistry
Purity
Antigen Affinity Purification
Pricing
Rabbit Anti-SERPINB11 Polyclonal Antibody – Cat# AAA239404 – SDS-PAGE SDS-PAGE (Gel: 8%SDS-PAGE,Lysate: 40 ug,,Primary antibody: AAA239404(SERPINB11 Antibody) at dilution 1/400 dilution,Secondary antibody: Goat anti rabbit IgG at 1/8000 dilution,Exposure time: 30 seconds)

SERPINB11, Polyclonal Antibody (Cat# AAA239404)

No reviews yet
Full Name
SERPINB11 Antibody
Gene Names
SERPINB11; EPIPIN; SERPIN11
Reactivity
Human, Mouse
Applications
Immunohistochemistry, Western Blot
Purity
Antigen Affinity Purification
Pricing
Rabbit Anti-SH3KBP1 Polyclonal Antibody – Cat# AAA239406 – SDS-PAGE SDS-PAGE (Gel: 8%SDS-PAGE,Lysate: 40 ug,,Primary antibody: AAA239406(SH3KBP1 Antibody) at dilution 1/800 dilution,Secondary antibody: Goat anti rabbit IgG at 1/8000 dilution,Exposure time: 30 seconds)

SH3KBP1, Polyclonal Antibody (Cat# AAA239406)

No reviews yet
Full Name
SH3KBP1 Antibody
Gene Names
SH3KBP1; HSB1; CIN85; GIG10; HSB-1; MIG18; CD2BP3
Reactivity
Human, Mouse, Rat
Applications
Immunohistochemistry, Western Blot
Purity
Antigen Affinity Purification
Pricing
Rabbit Anti-SIGLEC12 Polyclonal Antibody – Cat# AAA239409 – SDS-PAGE SDS-PAGE (Gel: 8%SDS-PAGE,Lysate: 40 ug,,Primary antibody: AAA239409(SIGLEC12 Antibody) at dilution 1/500 dilution,Secondary antibody: Goat anti rabbit IgG at 1/8000 dilution,Exposure time: 30 seconds)

SIGLEC12, Polyclonal Antibody (Cat# AAA239409)

No reviews yet
Full Name
SIGLEC12 Antibody
Gene Names
SIGLEC12; S2V; SLG; SIGLECL1; Siglec-XII
Reactivity
Human, Mouse
Applications
Immunohistochemistry, Western Blot
Purity
Antigen Affinity Purification
Pricing
Rabbit Anti-SRPK1 Polyclonal Antibody – Cat# AAA239412 – IHC (Immunohiostchemistry) IHC (Immunohiostchemistry) (The image on the left is immunohistochemistry of paraffin-embedded Human breast cancer tissue using AAA239412(SRPK1 Antibody) at dilution 1/35, on the right is treated with fusion protein. (Original magnification: ×200))

SRPK1, Polyclonal Antibody (Cat# AAA239412)

No reviews yet
Full Name
SRPK1 Antibody
Gene Names
SRPK1; SFRSK1
Reactivity
Human, Mouse
Applications
Immunohistochemistry
Purity
Antigen Affinity Purification
Pricing
Rabbit Anti-SLC25A13 Polyclonal Antibody – Cat# AAA239417 – SDS-PAGE SDS-PAGE (Gel: 8%SDS-PAGE, Lysate: 40 ug, Lane 1-2: Mouse liver tissue, hepg2 cells, Primary antibody: AAA239417(SLC25A13 Antibody) at dilution 1/450, Secondary antibody: Goat anti rabbit IgG at 1/8000 dilution, Exposure time: 20 seconds)

SLC25A13, Polyclonal Antibody (Cat# AAA239417)

No reviews yet
Full Name
SLC25A13 Antibody
Gene Names
SLC25A13; CTLN2; CITRIN; ARALAR2
Reactivity
Human, Mouse
Applications
Immunohistochemistry, Western Blot
Purity
Antigen Affinity Purification
Pricing
Rabbit Anti-SLC25A1 Polyclonal Antibody – Cat# AAA239418 – IHC (Immunohiostchemistry) IHC (Immunohiostchemistry) (The image on the left is immunohistochemistry of paraffin-embedded Human liver cancer tissue using AAA239418(SLC25A1 Antibody) at dilution 1/25, on the right is treated with fusion protein. (Original magnification: ×200))

SLC25A1, Polyclonal Antibody (Cat# AAA239418)

No reviews yet
Full Name
SLC25A1 Antibody
Gene Names
SLC25A1; CTP; SEA; D2L2AD; SLC20A3
Reactivity
Human, Mouse, Rat
Applications
Immunohistochemistry
Purity
Antigen Affinity Purification
Pricing
Rabbit Anti-SLC27A2 Polyclonal Antibody – Cat# AAA239419 – IHC (Immunohiostchemistry) IHC (Immunohiostchemistry) (The image on the left is immunohistochemistry of paraffin-embedded Human esophagus cancer tissue using AAA239419(SLC27A2 Antibody) at dilution 1/20, on the right is treated with fusion protein. (Original magnification: ×200))

SLC27A2, Polyclonal Antibody (Cat# AAA239419)

No reviews yet
Full Name
SLC27A2 Antibody
Gene Names
SLC27A2; VLCS; FATP2; VLACS; ACSVL1; FACVL1; hFACVL1; HsT17226
Reactivity
Human, Mouse, Rat
Applications
Immunohistochemistry
Purity
Antigen Affinity Purification
Pricing
Rabbit Anti-SMARCB1 Polyclonal Antibody – Cat# AAA239427 – SDS-PAGE SDS-PAGE (Gel: 8%SDS-PAGE, Lysate: 40 ug, Lane 1-3: Hepg2 cells, K562 cells, Jurkat cells, Primary antibody: AAA239427(SMARCB1 Antibody) at dilution 1/400, Secondary antibody: Goat anti rabbit IgG at 1/8000 dilution, Exposure time: 10 seconds)

SMARCB1, Polyclonal Antibody (Cat# AAA239427)

No reviews yet
Full Name
SMARCB1 Antibody
Gene Names
SMARCB1; RDT; INI1; SNF5; Snr1; BAF47; MRD15; RTPS1; Sfh1p; hSNFS; SNF5L1
Reactivity
Human, Mouse
Applications
Immunohistochemistry, Western Blot
Purity
Antigen Affinity Purification
Pricing
Rabbit Anti-SMARCB1 Polyclonal Antibody – Cat# AAA239428 – SDS-PAGE SDS-PAGE (Gel: 8%SDS-PAGE, Lysate: 40 ug, Lane 1-3: Jurkat cells, K562 cells, hepg2 cells, Primary antibody: AAA239428(SMARCB1 Antibody) at dilution 1/450, Secondary antibody: Goat anti rabbit IgG at 1/8000 dilution, Exposure time: 10 seconds)

SMARCB1, Polyclonal Antibody (Cat# AAA239428)

No reviews yet
Full Name
SMARCB1 Antibody
Gene Names
SMARCB1; RDT; INI1; SNF5; Snr1; BAF47; MRD15; RTPS1; Sfh1p; hSNFS; SNF5L1
Reactivity
Human, Mouse
Applications
Immunohistochemistry, Western Blot
Purity
Antigen Affinity Purification
Pricing
Rabbit Anti-SNX27 Polyclonal Antibody – Cat# AAA239431 – IHC (Immunohiostchemistry) IHC (Immunohiostchemistry) (The image on the left is immunohistochemistry of paraffin-embedded Human esophagus cancer tissue using AAA239431(SNX27 Antibody) at dilution 1/20, on the right is treated with fusion protein. (Original magnification: ×200))

SNX27, Polyclonal Antibody (Cat# AAA239431)

No reviews yet
Full Name
SNX27 Antibody
Gene Names
SNX27; MRT1; MY014
Reactivity
Human, Mouse, Rat
Applications
Immunohistochemistry
Purity
Antigen Affinity Purification
Pricing
Rabbit Anti-SNX11 Polyclonal Antibody – Cat# AAA239432 – IHC (Immunohiostchemistry) IHC (Immunohiostchemistry) (The image on the left is immunohistochemistry of paraffin-embedded Human esophagus cancer tissue using AAA239432(SNX11 Antibody) at dilution 1/30, on the right is treated with fusion protein. (Original magnification: ×200))

SNX11, Polyclonal Antibody (Cat# AAA239432)

No reviews yet
Full Name
SNX11 Antibody
Reactivity
Human, Mouse
Applications
Immunohistochemistry
Purity
Antigen Affinity Purification
Pricing
Rabbit Anti-SNX8 Polyclonal Antibody – Cat# AAA239435 – IHC (Immunohiostchemistry) IHC (Immunohiostchemistry) (The image on the left is immunohistochemistry of paraffin-embedded Human breast cancer tissue using AAA239435(SNX8 Antibody) at dilution 1/30, on the right is treated with fusion protein. (Original magnification: ×200))

SNX8, Polyclonal Antibody (Cat# AAA239435)

No reviews yet
Full Name
SNX8 Antibody
Gene Names
SNX8; Mvp1
Reactivity
Human, Mouse
Applications
Immunohistochemistry
Purity
Antigen Affinity Purification
Pricing
Rabbit Anti-SSBP1 Polyclonal Antibody – Cat# AAA239439 – IHC (Immunohiostchemistry) IHC (Immunohiostchemistry) (The image on the left is immunohistochemistry of paraffin-embedded Human esophagus cancer tissue using AAA239439(SSBP1 Antibody) at dilution 1/20, on the right is treated with fusion protein. (Original magnification: ×200))

SSBP1, Polyclonal Antibody (Cat# AAA239439)

No reviews yet
Full Name
SSBP1 Antibody
Gene Names
SSBP1; SSBP; mtSSB; Mt-SSB; SOSS-B1
Reactivity
Human, Mouse, Rat
Applications
Immunohistochemistry
Purity
Antigen Affinity Purification
Pricing
Rabbit Anti-SULT1B1 Polyclonal Antibody – Cat# AAA239453 – SDS-PAGE SDS-PAGE (Gel: 8%SDS-PAGE, Lysate: 40 ug, Lane: Human fetal intestines tissue, Primary antibody: AAA239453(SULT1B1 Antibody) at dilution 1/800, Secondary antibody: Goat anti rabbit IgG at 1/8000 dilution, Exposure time: 3 seconds)

SULT1B1, Polyclonal Antibody (Cat# AAA239453)

No reviews yet
Full Name
SULT1B1 Antibody
Gene Names
SULT1B1; ST1B1; ST1B2; SULT1B2
Reactivity
Human
Applications
Immunohistochemistry, Western Blot
Purity
Antigen Affinity Purification
Pricing
Rabbit Anti-SULT2A1 Polyclonal Antibody – Cat# AAA239455 – SDS-PAGE SDS-PAGE (Gel: 8%SDS-PAGE, Lysate: 40 ug, Lane: Human fetal liver tissue, Primary antibody: AAA239455(SULT2A1 Antibody) at dilution 1/650, Secondary antibody: Goat anti rabbit IgG at 1/8000 dilution, Exposure time: 1 second)

SULT2A1, Polyclonal Antibody (Cat# AAA239455)

No reviews yet
Full Name
SULT2A1 Antibody
Gene Names
SULT2A1; HST; ST2; STD; hSTa; DHEAS; ST2A1; ST2A3; DHEA-ST
Reactivity
Human
Applications
Immunohistochemistry, Western Blot
Purity
Antigen Affinity Purification
Pricing
Rabbit Anti-MED22 Polyclonal Antibody – Cat# AAA239457 – SDS-PAGE SDS-PAGE (Gel: 12%SDS-PAGE, Lysate: 40 ug, Lane: Mouse liver tissue, Primary antibody: AAA239457(MED22 Antibody) at dilution 1/800, Secondary antibody: Goat anti rabbit IgG at 1/8000 dilution, Exposure time: 15 seconds)

MED22, Polyclonal Antibody (Cat# AAA239457)

No reviews yet
Full Name
MED22 Antibody
Gene Names
MED22; MED24; SURF5; surf-5
Reactivity
Human, Mouse, Rat
Applications
Immunohistochemistry, Western Blot
Purity
Antigen Affinity Purification
Pricing
Rabbit Anti-ARMC10 Polyclonal Antibody – Cat# AAA239458 – IHC (Immunohiostchemistry) IHC (Immunohiostchemistry) (The image on the left is immunohistochemistry of paraffin-embedded Human lung cancer tissue using AAA239458(ARMC10 Antibody) at dilution 1/30, on the right is treated with fusion protein. (Original magnification: ×200))

ARMC10, Polyclonal Antibody (Cat# AAA239458)

No reviews yet
Full Name
ARMC10 Antibody
Gene Names
ARMC10; SVH; PNAS112; PNAS-112; PSEC0198
Reactivity
Human
Applications
Immunohistochemistry
Purity
Antigen Affinity Purification
Pricing
Rabbit Anti-STX7 Polyclonal Antibody – Cat# AAA239460 – IHC (Immunohiostchemistry) IHC (Immunohiostchemistry) (The image on the left is immunohistochemistry of paraffin-embedded Human breast cancer tissue using AAA239460(STX7 Antibody) at dilution 1/25, on the right is treated with fusion protein. (Original magnification: ×200))

STX7, Polyclonal Antibody (Cat# AAA239460)

No reviews yet
Full Name
STX7 Antibody
Reactivity
Human, Mouse, Rat
Applications
Immunohistochemistry
Purity
Antigen Affinity Purification
Pricing
Rabbit Anti-STX8 Polyclonal Antibody – Cat# AAA239461 – SDS-PAGE SDS-PAGE (Gel: 12%SDS-PAGE,Lysate: 40 ug,,Primary antibody: AAA239461(STX8 Antibody) at dilution 1/500 dilution,Secondary antibody: Goat anti rabbit IgG at 1/8000 dilution,Exposure time: 5seconds)

STX8, Polyclonal Antibody (Cat# AAA239461)

No reviews yet
Full Name
STX8 Antibody
Gene Names
STX8; CARB
Reactivity
Human, Mouse, Rat
Applications
Immunohistochemistry, Western Blot
Purity
Antigen Affinity Purification
Pricing
Rabbit Anti-STX16 Polyclonal Antibody – Cat# AAA239463 – SDS-PAGE SDS-PAGE (Gel: 8%SDS-PAGE, Lysate: 40 ug, Lane 1-2: Hela cells, hepg2 cells, Primary antibody: AAA239463(STX16 Antibody) at dilution 1/400, Secondary antibody: Goat anti rabbit IgG at 1/8000 dilution, Exposure time: 5 seconds)

STX16, Polyclonal Antibody (Cat# AAA239463)

No reviews yet
Full Name
STX16 Antibody
Gene Names
STX16; SYN16
Reactivity
Human, Mouse
Applications
Immunohistochemistry, Western Blot
Purity
Antigen Affinity Purification
Pricing
Rabbit Anti-STX18 Polyclonal Antibody – Cat# AAA239465 – SDS-PAGE SDS-PAGE (Gel: 8%SDS-PAGE, Lysate: 40 ug, Lane 1-3: Hepg2 cells, TM4 cells, Raw264.7 cells, Primary antibody: AAA239465(STX18 Antibody) at dilution 1/300, Secondary antibody: Goat anti rabbit IgG at 1/8000 dilution, Exposure time: 20 seconds)

STX18, Polyclonal Antibody (Cat# AAA239465)

No reviews yet
Full Name
STX18 Antibody
Gene Names
STX18; Ufe1
Reactivity
Human, Mouse, Rat
Applications
Immunohistochemistry, Western Blot
Purity
Antigen Affinity Purification
Pricing
Rabbit Anti-STX10 Polyclonal Antibody – Cat# AAA239467 – SDS-PAGE SDS-PAGE (Gel: 12%SDS-PAGE, Lysate: 40 ug, Lane 1-3: Hela cells, lovo cells, A431 cells, Primary antibody: AAA239467(STX10 Antibody) at dilution 1/800, Secondary antibody: Goat anti rabbit IgG at 1/8000 dilution, Exposure time: 5 seconds)

STX10, Polyclonal Antibody (Cat# AAA239467)

No reviews yet
Full Name
STX10 Antibody
Gene Names
STX10; SYN10; hsyn10
Reactivity
Human
Applications
Immunohistochemistry, Western Blot
Purity
Antigen Affinity Purification
Pricing
Rabbit Anti-STX10 Polyclonal Antibody – Cat# AAA239468 – SDS-PAGE SDS-PAGE (Gel: 12%SDS-PAGE, Lysate: 40 ug, Lane 1-4: A375 cells, A431 cells, lovo cells, hela cells, Primary antibody: AAA239468(STX10 Antibody) at dilution 1/800, Secondary antibody: Goat anti rabbit IgG at 1/8000 dilution, Exposure time: 5 seconds)

STX10, Polyclonal Antibody (Cat# AAA239468)

No reviews yet
Full Name
STX10 Antibody
Gene Names
STX10; SYN10; hsyn10
Reactivity
Human
Applications
Immunohistochemistry, Western Blot
Purity
Antigen Affinity Purification
Pricing
Rabbit Anti-STX19 Polyclonal Antibody – Cat# AAA239471 – SDS-PAGE SDS-PAGE (Gel: 10%SDS-PAGE, Lysate: 80 ug, Lane: 231 cell, Primary antibody: AAA239471(STX19 Antibody) at dilution 1/800 dilution, Secondary antibody: Goat anti rabbit IgG at 1/8000 dilution, Exposure time: 10 seconds)

STX19, Polyclonal Antibody (Cat# AAA239471)

No reviews yet
Full Name
STX19 Antibody
Reactivity
Human, Mouse
Applications
Immunohistochemistry, Western Blot
Purity
Antigen Affinity Purification
Pricing
Rabbit Anti-TAF12 Polyclonal Antibody – Cat# AAA239473 – IHC (Immunohiostchemistry) IHC (Immunohiostchemistry) (The image on the left is immunohistochemistry of paraffin-embedded Human ovarian cancer tissue using AAA239473(TAF12 Antibody) at dilution 1/30, on the right is treated with fusion protein. (Original magnification: ×200))

TAF12, Polyclonal Antibody (Cat# AAA239473)

No reviews yet
Full Name
TAF12 Antibody
Gene Names
TAF12; TAF2J; TAFII20
Reactivity
Human, Mouse
Applications
Immunohistochemistry
Purity
Antigen Affinity Purification
Pricing

What are Polyclonal Antibodies?


Polyclonal antibodies are antibodies that come from multiple B cell clones of a host animal. The typical hosts used for the majority of polyclonal antibody production are rabbits, goats, sheep, and donkeys. These polyclonal antibodies, once having identified their target, will bind to different epitopes located at different regions or sequences on the same protein/antigen. This ability to bind multiple epitopes is what makes polyclonal antibodies highly sensitive, as explained in our detailed guide on polyclonal antibodies and why they matter.


As a result, they are ideal at locating and binding to the target, even if the target is in very low concentrations (due to many different antibodies being able to bind to the same target molecule, which allows for significant amplification of a downstream signal).


Polyclonal antibodies are typically produced by injecting an antigen into a host animal, which causes the animal’s immune system to attack the foreign antigen by mass generating antibodies against it. After a period of time, serum is collected from the animal and purified using physicochemical fractionation, class-specific affinity purification, and/or antigen-affinity purification.


Key Uses of Polyclonal Antibodies


  • Western Blotting: This method is used to find specific proteins in biological samples after separating them by size.

  • Immunohistochemistry: IHC helps visualize the location of proteins in tissue sections using various staining techniques.

  • ELISA: (Enzyme-Linked Immunosorbent Assay) is typically used to identify specific protein quantities in a sample. ELISAs can be either “Quantitative” or “Qualitative”.

  • Flow Cytometry: technique that identifies and measures the specific protein on the surface or inside the cells in a fluid suspension.

  • Immunoprecipitation: IP isolates and studies a specific protein from a complex mixture using antibodies.


Why Buy Polyclonal Antibodies from AAA Biotech?


1. Ideal for Various Applications


Our antibodies are generally going to be validated for use in multiple types of assays, including ELISA, Western Blotting, Immunohistochemistry, Immunoprecipitation, amongst others. They are ideal for a wide range of research applications.


2. Rigorous Quality Control


All of the antibodies in our catalog undergo strict quality testing to ensure specificity, sensitivity, and consistent performance. We are confident in the ability of our antibodies to provide you with accurate results.


3. Wide Assortment of Antibodies


Antibodies in our catalog can be found for both common and exotic species, and these antibodies are also available in both conjugated and recombinant forms to suit many diverse experimental needs.


4. Highly Purified


Our antibodies are available in purified forms with over 85% purity, as confirmed by SDS-PAGE. They are also available with tags such as His, Flag, GST, or MBP. We cater to customers worldwide.


FAQ


1. How are polyclonal antibodies produced?


Traditionally, polyclonal antibodies are produced by injecting an antigen into a host animal (such as a rabbit or goat), which then triggers an immune response from the host animal. The animal’s B cells produce antibodies that will recognize different parts of the injected antigen. These antibodies are then collected from the animal’s blood and purified for use.


2. How do polyclonal antibodies differ from monoclonal antibodies?


Polyclonal antibodies are a mix of antibodies that bind to different locations (epitopes) of the same antigen, while monoclonal antibodies are identical and bind to just one specific epitope. This makes polyclonal antibodies more versatile and better at detecting proteins that may be present in low quantities or in altered/modified forms.


3. How should I store polyclonal antibodies?


Polyclonal antibodies should be stored at 4°C for short-term use (up to a few weeks) and at -20°C or -80°C for long-term storage. Avoid repeated freeze-thaw cycles by dividing them into small aliquots. Always check the datasheet for specific storage instructions.


Submit a Question

Please complete the form below and a representative will contact you as soon as possible.

Request more Information

Please complete the form below and a representative will contact you as soon as possible.

Request a Manual

Please complete the form below and a representative will contact you as soon as possible.

Request a Quote

Please complete the form below and a representative will contact you as soon as possible.