Loading...

Skip to main content
Call us at +1-800-604-9114 for more information about our products or contact us online Need help? +1-800-604-9114 or contact us

Filters


Clonality

Type

Reactivity

Gene Name

Isotype

Host

Application

Clone

Polyclonal Antibodies

At AAA Biotech also known as AAA Bio or AAABio, we provide a broad range of purified polyclonal antibodies (pAbs) that are able to all be browsed online through our website. Due to their high specificity and strong binding affinity, these antibodies are ideal for wide swathes of research and experimental applications.


Our polyclonal antibodies can easily support your work, whether you use them for Western Blotting, Immunocytochemistry (with or without Immunofluorescence used in conjunction), Immunohistochemistry, Immunoprecipitation, and ELISA tests. We highly encourage you to browse our range of pAbs and choose the one that best suits your experimental model.


Viewing 7150-7200 of 10000 product results


product-image-AAA127465_FCM11.png FCM/FACS (Flow Cytometry) (Figure 3. Flow Cytometry analysis of RT4 cells using anti-PRELP antibody (AAA127465).Overlay histogram showing RT4 cells stained with AAA127465 (Blue line). The cells were fixed with 4% paraformaldehyde and blocked with 10% normal goat serum. And then incubated with rabbit anti-PRELP Antibody (AAA127465, 1ug/1x106 cells) for 30 min at 20 degree C. DyLight488 conjugated goat anti-rabbit IgG was used as secondary antibody for 30 minutes at 20 degree C. Isotype control antibody (Green line) was rabbit IgG (1ug/1x106) used under the same conditions. Unlabelled sample (Red line) was also used as a control.)

PRELP, Polyclonal Antibody (Cat# AAA127465)

Full Name
Anti-PRELP Antibody Picoband
Gene Names
PRELP; MST161; SLRR2A; MSTP161
Reactivity
Human, Mouse, Rat
Applications
Flow Cytometry, Western Blot
Purity
Immunogen affinity purified.
Pricing
product-image-AAA127522_FACS8.png FCM/FACS (Flow Cytometry) (Figure 5. Flow Cytometry analysis of RT4 cells using anti-LYPD3 antibody (AAA127522).Overlay histogram showing RT4 cells stained with AAA127522 (Blue line). The cells were fixed with 4% paraformaldehyde and blocked with 10% normal goat serum. And then incubated with rabbit anti-LYPD3 Antibody (AAA127522, 1ug/1x106 cells) for 30 min at 20 degree C. DyLight488 conjugated goat anti-rabbit IgG was used as secondary antibody for 30 minutes at 20 degree C. Isotype control antibody (Green line) was rabbit IgG (1ug/1x106) used under the same conditions. Unlabelled sample (Red line) was also used as a control.)

LYPD3, Polyclonal Antibody (Cat# AAA127522)

Full Name
Anti-LYPD3 Antibody Picoband
Gene Names
LYPD3; C4.4A
Reactivity
Human, Mouse, Rat
Applications
Flow Cytometry, Western Blot, Immunohistochemistry, Immunofluorescence
Purity
Immunogen affinity purified.
Pricing
product-image-AAA126333_FCM10.jpg FCM/FACS (Flow Cytometry) (Figure 4. Flow Cytometry analysis of RT4 cells using anti-ARL1 antibody (AAA126333).Overlay histogram showing RT4 cells stained with AAA126333 (Blue line). The cells were blocked with 10% normal goat serum. And then incubated with rabbit anti-ARL1 Antibody (AAA126333, 1 ug/1x10^6 cells) for 30 min at 20 degree C. DyLight488 conjugated goat anti-rabbit IgG was used as secondary antibody for 30 minutes at 20 degree C. Isotype control antibody (Green line) was rabbit IgG (1 ug/1x10^6) used under the same conditions. Unlabelled sample (Red line) was also used as a control.)

ARL1, Polyclonal Antibody (Cat# AAA126333)

Full Name
Anti-ARL1 Antibody Picoband
Gene Names
ARL1; ARFL1
Reactivity
Human
Applications
Flow Cytometry, Immunohistochemistry, Western Blot
Purity
Immunogen affinity purified.
Pricing
product-image-AAA126482_FCM13.jpg FCM/FACS (Flow Cytometry) (Figure 2. Flow Cytometry analysis of 293T cells using anti-TRIM3 antibody (AAA126482).Overlay histogram showing 293T cells stained with AAA126482 (Blue line). The cells were blocked with 10% normal goat serum. And then incubated with rabbit anti-TRIM3 Antibody (AAA126482, 1 ug/1x10^6 cells) for 30 min at 20 degree C. DyLight488 conjugated goat anti-rabbit IgG was used as secondary antibody for 30 minutes at 20 degree C. Isotype control antibody (Green line) was rabbit IgG (1 ug/1x10^6) used under the same conditions. Unlabelled sample (Red line) was also used as a control.)

TRIM3, Polyclonal Antibody (Cat# AAA126482)

Full Name
Anti-TRIM3 Antibody Picoband
Gene Names
TRIM3; BERP; HAC1; RNF22; RNF97
Reactivity
Human, Mouse, Rat
Applications
Flow Cytometry, Western Blot
Purity
Immunogen affinity purified.
Pricing
product-image-AAA179099_IF11.jpg IF (Immunofluorescence) (Immunofluorescence analysis of L929 cells using SEMA4A Polyclonal Antibody at dilution of 1:100. Blue: DAPI for nuclear staining.)

SEMA4A, Polyclonal Antibody (Cat# AAA179099)

Full Name
SEMA4A Polyclonal Antibody
Gene Names
SEMA4A; RP35; SEMB; SEMAB; CORD10; RP11-54H19.2
Reactivity
Human, Mouse, Rat
Applications
Immunofluorescence, Western Blot
Purity
Affinity purification
Pricing
product-image-AAA118544_IHC8.jpg IHC (Immunohistochemistry) (IHC image of AAA118544 diluted at 1:1200 and staining in paraffin-embedded human placenta tissue performed on a Leica BondTM system. After dewaxing and hydration, antigen retrieval was mediated by high pressure in a citrate buffer (pH 6.0). Section was blocked with 10% normal goat serum 30min at RT. Then primary antibody (1% BSA) was incubated at 4°C overnight. The primary is detected by a biotinylated secondary antibody and visualized using an HRP conjugated SP system.)

Protein argonaute-2, Polyclonal Antibody (Cat# AAA118544)

Full Name
Rabbit anti-human Protein argonaute-2 polyclonal Antibody
Gene Names
AGO2; Q10; EIF2C2
Reactivity
Human, Mouse
Applications
Chromatin immunoprecipitation, Immunohistochemistry, Western Blot
Purity
>95%, Protein G purified
Pricing
product-image-AAA127065_FCM13.png FCM/FACS (Flow Cytometry) (Figure 2. Flow Cytometry analysis of C2C12 cells using anti-Bim/Bcl2l11 antibody (AAA127065).Overlay histogram showing C2C12 cells stained with AAA127065 (Blue line). To facilitate intracellular staining, cells were fixed with 4% paraformaldehyde and permeabilized with permeabilization buffer. The cells were blocked with 10% normal goat serum. And then incubated with rabbit anti-Bim/Bcl2l11 Antibody (AAA127065, 1ug/1x106 cells) for 30 min at 20 degree C. DyLight488 conjugated goat anti-rabbit IgG was used as secondary antibody for 30 minutes at 20 degree C. Isotype control antibody (Green line) was rabbit IgG (1ug/1x106) used under the same conditions. Unlabelled sample (Red line) was also used as a control.)

Bim/Bcl2l11, Polyclonal Antibody (Cat# AAA127065)

Full Name
Anti-Bim/Bcl2l11 Antibody Picoband
Gene Names
Bcl2l11; Bim; Bod; bcl2-L-11; 1500006F24Rik
Reactivity
Mouse
Applications
Flow Cytometry, Western Blot
Purity
Immunogen affinity purified.
Pricing
product-image-AAA126529_FACS8.jpg FCM/FACS (Flow Cytometry) (Figure 5. Flow Cytometry analysis of U2OS cells using anti-MSY2/YBOX2/YBX2 antibody (AAA126529).Overlay histogram showing U2OS cells stained with AAA126529 (Blue line). The cells were blocked with 10% normal goat serum. And then incubated with rabbit anti-MSY2/YBOX2/YBX2 Antibody (AAA126529, 1 ug/1x10^6 cells) for 30 min at 20 degree C. DyLight488 conjugated goat anti-rabbit IgG was used as secondary antibody for 30 minutes at 20 degree C. Isotype control antibody (Green line) was rabbit IgG (1 ug/1x10^6) used under the same conditions. Unlabelled sample (Red line) was also used as a control.)

MSY2/YBOX2/YBX2, Polyclonal Antibody (Cat# AAA126529)

Full Name
Anti-MSY2/YBOX2/YBX2 Antibody Picoband
Gene Names
YBX2; DBPC; MSY2; CSDA3; CONTRIN
Reactivity
Human, Mouse, Rat
Applications
Flow Cytometry, Immunohistochemistry, Western Blot
Purity
Immunogen affinity purified.
Pricing
product-image-AAA179206_IHC13.jpg IHC (Immunohiostchemistry) (Immunohistochemistry of paraffin-embedded human esophageal cancer using TRRAP Polyclonal Antibody at dilution of 1:100 (40x lens).Perform microwave antigen retrieval with 10 mM PBS buffer pH 7.2 before commencing with IHC staining protocol.)

TRRAP, Polyclonal Antibody (Cat# AAA179206)

Full Name
TRRAP Polyclonal Antibody
Gene Names
TRRAP; Tra1; TR-AP; PAF400; STAF40; PAF350/400
Reactivity
Human, Rat
Applications
Immunohistochemistry, Western Blot
Purity
Affinity purification
Pricing
product-image-AAA179279_IF13.jpg IF (Immunofluorescence) (Immunofluorescence analysis of NIH/3T3 cells using MGRN1 Polyclonal Antibody at dilution of 1:100 (40x lens). Blue: DAPI for nuclear staining.)

MGRN1, Polyclonal Antibody (Cat# AAA179279)

Full Name
MGRN1 Polyclonal Antibody
Gene Names
MGRN1; RNF156
Reactivity
Mouse, Rat
Applications
Immunofluorescence, Western Blot
Purity
Affinity purification
Pricing
product-image-AAA175825_IHC13.png IHC (Immunohiostchemistry) (Immunohistochemistry of paraffin-embedded Human tonsil tissue using ATP1B2 Polyclonal Antibody at dilution of 1:25(×200))

ATP1B2, Polyclonal Antibody (Cat# AAA175825)

Full Name
ATP1B2 Polyclonal Antibody
Gene Names
ATP1B2; AMOG
Reactivity
Human, Mouse, Rat
Applications
Immunohistochemistry, Western Blot
Purity
Antigen Affinity Purification
Pricing
product-image-AAA175508_IHC11.png IHC (Immunohistochemisry) (Immunohistochemistry of paraffin-embedded Human cervical cancer tissue using RHAG Polyclonal Antibody at dilution of 1:130(×200))

RHAG, Polyclonal Antibody (Cat# AAA175508)

Full Name
RHAG Polyclonal Antibody
Gene Names
RHAG; OHS; RH2; OHST; RHNR; Rh50; CD241; RH50A; Rh50GP; SLC42A1
Reactivity
Human, Mouse
Applications
Immunohistochemistry, Western Blot
Purity
Antigen Affinity Purification
Pricing
product-image-AAA127906_FCM11.png FCM/FACS (Flow Cytometry) (Figure 3. Flow Cytometry analysis of 293T cells using anti-PYROXD1 antibody (AAA127906).Overlay histogram showing 293T cells stained with AAA127906 (Blue line). To facilitate intracellular staining, cells were fixed with 4% paraformaldehyde and permeabilized with permeabilization buffer. The cells were blocked with 10% normal goat serum. And then incubated with rabbit anti-PYROXD1 Antibody (AAA127906, 1ug/1x106 cells) for 30 min at 20 degree C. DyLight488 conjugated goat anti-rabbit IgG was used as secondary antibody for 30 minutes at 20 degree C. Isotype control antibody (Green line) was rabbit IgG (1ug/1x106) used under the same conditions. Unlabelled sample (Red line) was also used as a control.)

PYROXD1, Polyclonal Antibody (Cat# AAA127906)

Full Name
Anti-PYROXD1 Antibody Picoband
Reactivity
Human, Mouse, Rat
Applications
Flow Cytometry, Immunofluorescence, Immunocytochemistry, Western Blot
Purity
Immunogen affinity purified.
Pricing

wac, Polyclonal Antibody (Cat# AAA244165)

Full Name
Rabbit anti-Enterobacteria phage T4 (Bacteriophage T4) wac Polyclonal antibody
Reactivity
Enterobacteria phage T4 (Bacteriophage T4)
Applications
Western Blot
Purity
Protein A/G
Pricing
product-image-AAA244162_WB15.jpg WB (Western Blot) (Western BlotPositive WB detected in: recombinant proteinAll lanes:Alpha-conotoxin VxXXC Antibody at 1:1000Secondary Goat polyclonal to rabbit IgG at 1/50000 dilutionPredicted band size: 22 kDaObserved band size: 22 kDa)

Alpha-conotoxin VxXXC, Polyclonal Antibody (Cat# AAA244162)

Full Name
Rabbit anti-Conus vexillum (DYKDDDDK cone) Alpha-conotoxin VxXXC Polyclonal Antibody
Reactivity
Conus vexillum (DYKDDDDK cone)
Applications
Western Blot
Purity
>95%, Protein G purified
Pricing
product-image-AAA256328_IP11.png IP (Immunoprecipitation) (RALY was immunoprecipitated using:Lane A:0.5 mg Jurkat Whole Cell Lysate4 uL anti-RALY rabbit polyclonal antibody and 60 ug of Immunomagnetic beads Protein A/G.Primary antibody:Anti-RALY rabbit polyclonal antibody,at 1:100 dilutionSecondary antibody:Goat Anti-Rabbit IgG (H+L)/HRP at 1/10000 dilutionDeveloped using the ECL technique.Performed under reducing conditions.Predicted band size: 32 kDaObserved band size :40 kDa)

RALY, Polyclonal Antibody (Cat# AAA256328)

Full Name
Anti-RALY Antibody, Rabbit Polyclonal
Reactivity
Human
Applications
Immunoprecipitation, Immunofluorescence, Immunocytochemistry, Western Blot
Purity
Protein A & Antigen Affinity
Pricing
product-image-AAA256103_IP13.png IP (Immunoprecipitation) (IDH1 was immunoprecipitated using:Lane A:0.5 mg HepG2 HeLa Whole Cell Lysate4 uL anti-IDH1 rabbit polyclonal antibody and 60 ug of Immunomagnetic beads Protein A/G.Primary antibody:Anti-IDH1 rabbit polyclonal antibody,at 1:100 dilutionSecondary antibody:Clean-Blot IP Detection Reagent (HRP) at 1:1000dilutionDeveloped using the ECL technique.Performed under reducing conditions.Predicted band size: 46 kDaObserved band size :46 kDa)

Isocitrate dehydrogenase/IDH1, Polyclonal Antibody (Cat# AAA256103)

Full Name
Anti-Isocitrate dehydrogenase/IDH1 Antibody, Rabbit Polyclonal
Reactivity
Human
Applications
Immunoprecipitation, Western Blot
Purity
Protein A & Antigen Affinity
Pricing
product-image-AAA306579_IHC13.jpg IHC (Immunohiostchemistry) (Immunohistochemical analysis of paraffin-embedded Human ovarian cancer tissue using at dilution 1/40.)

TRAF3, Polyclonal Antibody (Cat# AAA306579)

Full Name
TRAF3 Antibody
Gene Names
TRAF3; CAP1; LAP1; CAP-1; CRAF1; IIAE5; CD40bp
Reactivity
Human
Applications
Immunohistochemistry, Western Blot
Purity
Antigen affinity purification.
Pricing
product-image-AAA307817_IHC13.jpg IHC (Immunohiostchemistry) (Immunohistochemical analysis of paraffin-embedded Cal27 Xenograft, using SSRP1 antibody at 1: 100 dilution.)

SSRP1, Polyclonal Antibody (Cat# AAA307817)

Full Name
SSRP1 antibody
Gene Names
SSRP1; FACT; T160; FACT80
Reactivity
Human
Applications
Immunohistochemistry, Western Blot
Purity
Purified by antigen-affinity chromatography.
Pricing
product-image-AAA313286_IF13.jpg IF (Immunofluorescence) (Immunofluorescence analysis of HeLa cells using HRAS at dilution of 1:100 (40x lens). Blue: DAPI for nuclear staining.)

HRAS, Polyclonal Antibody (Cat# AAA313286)

Full Name
HRAS Rabbit Polyclonal Antibody
Gene Names
HRAS; CTLO; HAMSV; HRAS1; K-RAS; N-RAS; RASH1; C-H-RAS; H-RASIDX; C-BAS/HAS; C-HA-RAS1
Reactivity
Human, Mouse, Rat
Applications
Immunofluorescence, Western Blot
Purity
Affinity purification
Pricing
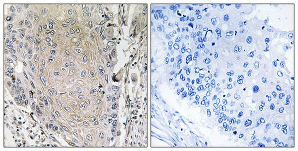
product-image-AAA310253_IHC13.jpg IHC (Immunohiostchemistry) (The image on the left is immunohistochemistry of paraffin-embedded Human liver cancer tissue using 46314(ASS1 Antibody) at dilution 1/35, on the right is treated with fusion protein. (Original magnification: x200))

ASS1, Polyclonal Antibody (Cat# AAA310253)

Full Name
ASS1 Antibody
Gene Names
ASS1; ASS; CTLN1
Reactivity
Human
Applications
Immunohistochemistry, Western Blot
Purity
Antigen affinity purification
Pricing
product-image-AAA311320_IHC11.jpg IHC (Immunohistochemisry) (Immunohistochemistry of paraffin-embedded mouse lung using APOBEC3F antibody.)

APOBEC3F, Polyclonal Antibody (Cat# AAA311320)

Full Name
APOBEC3F Polyclonal Antibody
Gene Names
APOBEC3F; A3F; KA6; ARP8; BK150C2.4.MRNA
Reactivity
Human, Mouse, Rat
Applications
Immunohistochemistry, Western Blot
Purity
Affinity purification
Pricing
product-image-AAA288022_WB15.jpg WB (Western Blot) (Western blot analysis of anti-JHDM1a/FBXL11 Antibody (C-term) (AAA288022) pre-incubated with(right lane) and without(left lane) blocking peptide in Jurkat cell line lysate. JHDM1a(arrow) was detected using the purified Pab.)

JHDM1a/FBXL11, Polyclonal Antibody (Cat# AAA288022)

Full Name
JHDM1a/FBXL11 Antibody (C-term)
Gene Names
KDM2A; FBL7; CXXC8; FBL11; FBXL11; JHDM1A; LILINA
Reactivity
Human (Predicted Reactivity: Mouse)
Applications
Western Blot
Purity
Purified Rabbit Polyclonal Antibody (Pab)
Pricing
product-image-AAA288055_IF10.jpg IF (Immunofluorescence) (Confocal immunofluorescent analysis of TSHB Antibody (Center) with MDA-MB231 cell followed by Alexa Fluor 488-conjugated goat anti-rabbit lgG (green). DAPI was used to stain the cell nuclear (blue).)

TSHB, Polyclonal Antibody (Cat# AAA288055)

Full Name
TSHB Antibody (Center)
Gene Names
TSHB; TSH-B; TSH-BETA
Reactivity
Human (Predicted Reactivity: Mouse)
Applications
Immunofluorescence, Flow Cytometry, Immunohistochemistry, Western Blot
Purity
Peptide Affinity Purified Rabbit Polyclonal Antibody (Pab)
Pricing
product-image-AAA289201_IHC11.jpg IHC (Immunohistochemisry) (Immunohistochemical analysis of paraffin-embedded human lung carcinoma tissue using Synuclein gamma Antibody.)

Synuclein gamma, Polyclonal Antibody (Cat# AAA289201)

Full Name
Synuclein gamma Antibody
Gene Names
SNCG; SR; BCSG1
Reactivity
Human
Applications
Immunohistochemistry, Western Blot
Purity
Purified Rabbit Polyclonal Antibody (Pab)
Pricing
product-image-AAA288993_FCM10.jpg FCM/FACS (Flow Cytometry) (CAMSAP1 Antibody (N-term) flow cytometric analysis of MDA-MB435 cells (right histogram) compared to a negative control cell (left histogram).FITC-conjugated goat-anti-rabbit secondary antibodies were used for the analysis.)

CAMSAP1, Polyclonal Antibody (Cat# AAA288993)

Full Name
CAMSAP1 Antibody (N-term)
Gene Names
CAMSAP1; PRO2405; bA100C15.1
Reactivity
Human, mouse
Applications
Western Blot, Flow Cytometry, Immunohistochemistry
Purity
Peptide Affinity Purified Rabbit Polyclonal Antibody (Pab)
Pricing
product-image-AAA289019_FCM11.jpg FCM/FACS (Flow Cytometry) (DCL-1 Antibody (Center) flow cytometry analysis of HepG2 cells (bottom histogram) compared to a negative control cell (top histogram). FITC-conjugated goat-anti-rabbit secondary antibodies were used for the analysis.)

DCL-1, Polyclonal Antibody (Cat# AAA289019)

Full Name
DCL-1 Antibody (Center)
Gene Names
CD302; DCL1; DCL-1; BIMLEC; CLEC13A
Reactivity
Human, mouse
Applications
Flow Cytometry, Immunohistochemistry, Western Blot
Purity
Peptide Affinity Purified Rabbit Polyclonal Antibody (Pab)
Pricing
product-image-AAA288708_IHC13.jpg IHC (Immunohiostchemistry) (Formalin-fixed and paraffin-embedded human cancer tissue reacted with the primary antibody, which was peroxidase-conjugated to the secondary antibody, followed by AEC staining. This data demonstrates the use of this antibody for immunohistochemistry; clinical relevance has not been evaluated. BC = breast carcinoma; HC = hepatocarcinoma.)

Phospho-FGFR (Y766), Polyclonal Antibody (Cat# AAA288708)

Full Name
Phospho-FGFR (Y766) Antibody
Gene Names
FGFR1; CEK; FLG; HH2; OGD; FLT2; KAL2; BFGFR; CD331; FGFBR; FLT-2; HBGFR; N-SAM; FGFR-1; HRTFDS; bFGF-R-1
Reactivity
Human, mouse (Predicted Reactivity: Chicken, Rat, Zebrafish)
Applications
Immunohistochemistry, Western Blot
Purity
Peptide Affinity Purified Rabbit Polyclonal Antibody (Pab)
Pricing
product-image-AAA288773_FCM10.jpg FCM/FACS (Flow Cytometry) (BGN Antibody (Center) flow cytometric analysis of A375 cells (right histogram) compared to a negative control cell (left histogram).FITC-conjugated goat-anti-rabbit secondary antibodies were used for the analysis.)

BGN, Polyclonal Antibody (Cat# AAA288773)

Full Name
BGN Antibody (Center)
Gene Names
BGN; PGI; DSPG1; PG-S1; SLRR1A
Reactivity
Human
(Predicted Reactivity: Sheep, Horse, Bovine, Mouse, Rat)
Applications
Flow Cytometry, Immunohistochemistry, Western Blot
Purity
Purified Rabbit Polyclonal Antibody (Pab)
Pricing
product-image-AAA288504_WB15.jpg WB (Western Blot) (RNASE9 Antibody (C-term) western blot analysis in A2058 cell line lysates (35ug/lane).This demonstrates the RNASE9 antibody detected the RNASE9 protein (arrow).)

RNASE9, Polyclonal Antibody (Cat# AAA288504)

Full Name
RNASE9 Antibody (C-term)
Gene Names
RNASE9; RAK1; h461; HEL128
Reactivity
Human
Applications
Western Blot
Purity
Peptide Affinity Purified Rabbit Polyclonal Antibody (Pab)
Pricing
product-image-AAA288519_WB13.jpg WB (Western Blot) (All lanes : Anti-ITGA7 Antibody (C-term) at 1:8000 dilutionLane 1: A431 whole cell lysatesLane 2: SW480 whole cell lysatesLysates/proteins at 20 ug per lane.SecondaryGoat Anti-Rabbit IgG, (H+L), Peroxidase conjugated at 1/10000 dilutionPredicted band size : 129 kDaBlocking/Dilution buffer: 5% NFDM/TBST.)

ITGA7, Polyclonal Antibody (Cat# AAA288519)

Full Name
ITGA7 Antibody (C-term)
Reactivity
Human
Applications
Western Blot
Purity
Purified Rabbit Polyclonal Antibody (Pab)
Pricing
product-image-AAA288620_FCM11.jpg FCM/FACS (Flow Cytometry) (Flow cytometric analysis of MDA-231 cells using NUP62 Antibody (C-term E507)(bottom histogram) compared to a negative control cell (top histogram). FITC-conjugated goat-anti-rabbit secondary antibodies were used for the analysis.)

NUP62, Polyclonal Antibody (Cat# AAA288620)

Full Name
NUP62 Antibody (C-term E507)
Gene Names
NUP62; p62; IBSN; SNDI
Reactivity
Human
Applications
Flow Cytometry, Immunohistochemistry, Western Blot
Purity
Purified Rabbit Polyclonal Antibody (Pab)
Pricing
product-image-AAA288183_IHC13.jpg IHC (Immunohiostchemistry) (Immunohistochemistry analysis of paraffin-embedded human lung carcinoma tissue using CBLN3 antibody.)

CBLN3, Polyclonal Antibody (Cat# AAA288183)

Full Name
CBLN3 Antibody
Gene Names
CBLN3; PRO1486
Reactivity
Human, mouse
Applications
Immunohistochemistry
Purity
Purified Rabbit Polyclonal Antibody (Pab)
Pricing
product-image-AAA288258_FCM11.jpg FCM/FACS (Flow Cytometry) (CEA Antibody (Center) flow cytometric analysis of 293 cells (right histogram) compared to a negative control cell (left histogram).FITC-conjugated goat-anti-rabbit secondary antibodies were used for the analysis.)

CEA, Polyclonal Antibody (Cat# AAA288258)

Full Name
CEA Antibody (Center)
Gene Names
CEACAM5; CEA; CD66e
Reactivity
Human
Applications
Flow Cytometry, Immunohistochemistry, Western Blot
Purity
Purified Rabbit Polyclonal Antibody (Pab)
Pricing
product-image-AAA289956_FCM13.jpg FCM/FACS (Flow Cytometry) (POLD1 Antibody (Center) flow cytometry analysis of Jurkatcells (bottom histogram) compared to a negative control cell (top histogram).FITC-conjugated goat-anti-rabbit secondary antibodies were used for the analysis.)

POLD1, Polyclonal Antibody (Cat# AAA289956)

Full Name
POLD1 Antibody (Center)
Gene Names
POLD1; CDC2; MDPL; POLD; CRCS10
Reactivity
Human (Predicted Reactivity: Mouse)
Applications
Flow Cytometry, Western Blot
Purity
Purified Rabbit Polyclonal Antibody (Pab)
Pricing
product-image-AAA289704_FCM11.jpg FCM/FACS (Flow Cytometry) (Flow cytometric analysis of hela cells using PPP2R2B Antibody (Center)(bottom histogram) compared to a negative control cell (top histogram). FITC-conjugated goat-anti-rabbit secondary antibodies were used for the analysis.)

PPP2R2B, Polyclonal Antibody (Cat# AAA289704)

Full Name
PPP2R2B Antibody (Center)
Gene Names
PPP2R2B; PR52B; SCA12; B55BETA; PR55BETA; PP2ABBETA; PP2APR55B; PR2ABBETA; PR55-BETA; PP2AB55BETA; PR2AB55BETA; PP2APR55BETA; PR2APR55BETA
Reactivity
Human (Predicted Reactivity: Bovine, Monkey, Mouse, Pig, Rabbit, Rat, Xenopus)
Applications
Flow Cytometry, Immunohistochemistry, Western Blot
Purity
Peptide Affinity Purified Rabbit Polyclonal Antibody (Pab)
Pricing
product-image-AAA289745_WB13.jpg WB (Western Blot) (Western blot analysis of CKB (arrow) using rabbit polyclonal CKB Antibody (N5). 293 cell lysates (2 ug/lane) either nontransfected (Lane 1) or transiently transfected (Lane 2) with the CKB gene.)

CKB, Polyclonal Antibody (Cat# AAA289745)

Full Name
CKB Antibody (N-term)
Gene Names
CKB; BCK; B-CK; CKBB; HEL-211; HEL-S-29
Reactivity
Human, mouse
Applications
Western Blot
Purity
Purified Rabbit Polyclonal Antibody (Pab)
Pricing
product-image-AAA289895_WB13.jpg WB (Western Blot) (Western blot analysis of lysates from SH-SY5Y,U-937 cell line and mouse brain tissue lysate(from left to right), using ANP32E Antibody(N-term) (AAA289895). AP20559a was diluted at 1:1000 at each lane. A goat anti-rabbit IgG H&L(HRP) at 1:5000 dilution was.)

ANP32E, Polyclonal Antibody (Cat# AAA289895)

Full Name
ANP32E Antibody (N-term)
Gene Names
ANP32E; LANPL; LANP-L
Reactivity
Human, mouse (Predicted Reactivity: Rat)
Applications
Immunofluorescence, Western Blot
Purity
This antibody is purified through a protein A column, followed by peptide affinity purification.
Pricing
product-image-AAA289574_IHC13.jpg IHC (Immunohiostchemistry) (BTG3 Antibody (Center) immunohistochemistry analysis in formalin fixed and paraffin embedded human heart tissue followed by peroxidase conjugation of the secondary antibody and DAB staining.This data demonstrates the use of BTG3 Antibody (Center) for immunohistochemistry. Clinical relevance has not been evaluated.)

BTG3, Polyclonal Antibody (Cat# AAA289574)

Full Name
BTG3 Antibody (Center)
Gene Names
BTG3; ANA; TOB5; TOFA; TOB55
Reactivity
Human
Applications
Western Blot, Immunohistochemistry
Purity
Peptide Affinity Purified Rabbit Polyclonal Antibody (Pab)
Pricing
product-image-AAA325121_WB11.jpg WB (Western Blot) (Western blot analysis of extracts from HepG2 cells, using PLK3 antibody.The lane on the left is treated with the antigen-specific peptide.)

PLK3, Polyclonal Antibody (Cat# AAA325121)

Full Name
PLK3 Antibody
Gene Names
PLK3; CNK; FNK; PRK; PLK-3
Reactivity
Human, Mouse, Rat
Applications
Immunocytochemistry, Immunofluorescence, Western Blot
Purity
The antiserum was purified by peptide affinity chromatography using SulfoLink Coupling Resin.
Pricing
product-image-AAA325124_IF11.jpg IF (Immunofluorescence) (AAA325124 staining Hela by IF/ICC. The sample were fixed with PFA and permeabilized in 0.1% Triton X-100, then blocked in 10% serum for 45 minutes at 25 degree C. The primary antibody was diluted at 1/200 and incubated with the sample for 1 hour at 37 degree C. An Alexa Fluor 594 conjugated goat anti-rabbit IgG (H+L) Ab, diluted at 1/600, was used as the secondary antibody.)

PRKY, Polyclonal Antibody (Cat# AAA325124)

Full Name
PRKY Antibody
Gene Names
PRKY; PRKYP; PRKXP3
Reactivity
Human
Applications
Immunocytochemistry, Immunofluorescence, Western Blot
Purity
The antiserum was purified by peptide affinity chromatography using SulfoLink Coupling Resin.
Pricing
product-image-AAA325200_WB13.jpg WB (Western Blot) (Western blot analysis of extracts from Jurkat cells, using TBX18 antibody.The lane on the left is treated with the antigen-specific peptide.)

TBX18, Polyclonal Antibody (Cat# AAA325200)

Full Name
TBX18 Antibody
Gene Names
TBX18; CAKUT2
Reactivity
Human, Mouse, Rat
Applications
Immunocytochemistry, Immunofluorescence, Western Blot
Purity
The antiserum was purified by peptide affinity chromatography using SulfoLink Coupling Resin.
Pricing
product-image-AAA325232_IHC10.jpg IHC (Immunohistochemistry) (AAA325232 at 1/100 staining Rat muscle tissue by IHC-P. The sample was formaldehyde fixed and a heat mediated antigen retrieval step in citrate buffer was performed. The sample was then blocked and incubated with the primary antibody at 4°C overnight. An HRP conjugated anti-Rabbit antibody was used as the secondary antibody.)

USP30, Polyclonal Antibody (Cat# AAA325232)

Full Name
USP30 Antibody
Reactivity
Human, Mouse, Rat
Applications
Immunohistochemistry, Immunocytochemistry, Immunofluorescence, Western Blot
Purity
The antiserum was purified by peptide affinity chromatography using SulfoLink Coupling Resin.
Pricing
product-image-AAA324729_IF13.jpg IF (Immunofluorescence) (AAA324729 staining HepG2 by IF/ICC. The sample were fixed with PFA and permeabilized in 0.1% Triton X-100, then blocked in 10% serum for 45 minutes at 25 degree C. The primary antibody was diluted at 1/200 and incubated with the sample for 1 hour at 37 degree C. An Alexa Fluor 594 conjugated goat anti-rabbit IgG (H+L) Ab, diluted at 1/600, was used as the secondary antibody.)

FOXD4/L2/L3/L4/L5/L6, Polyclonal Antibody (Cat# AAA324729)

Full Name
FOXD4/L2/L3/L4/L5/L6 Antibody
Gene Names
FOXD4; FKHL9; FOXD4A; FREAC5; FREAC-5
Reactivity
Human
Applications
Immunocytochemistry, Immunofluorescence, Western Blot
Purity
The antiserum was purified by peptide affinity chromatography using SulfoLink Coupling Resin.
Pricing
product-image-AAA325612_IF13.jpg IF (Immunofluorescence) (AAA325612 staining Hela by IF/ICC. The sample were fixed with PFA and permeabilized in 0.1% Triton X-100, then blocked in 10% serum for 45 minutes at 25 degree C. The primary antibody was diluted at 1/200 and incubated with the sample for 1 hour at 37 degree C. An Alexa Fluor 594 conjugated goat anti-rabbit IgG (H+L) Ab, diluted at 1/600, was used as the secondary antibody.)

OR10J6, Polyclonal Antibody (Cat# AAA325612)

Full Name
OR10J6 Antibody
Gene Names
OR10J6P; OR10J6
Reactivity
Human
Applications
Immunocytochemistry, Immunofluorescence, Western Blot
Purity
The antiserum was purified by peptide affinity chromatography using SulfoLink Coupling Resin.
Pricing
product-image-AAA325635_WB13.jpg WB (Western Blot) (Western blot analysis of extracts from HeLa cells, using OR52N4 antibody.)

OR52N4, Polyclonal Antibody (Cat# AAA325635)

Full Name
OR52N4 Antibody
Gene Names
OR52N4; OR11-64
Reactivity
Human
Applications
Immunocytochemistry, Immunofluorescence, Western Blot
Purity
The antiserum was purified by peptide affinity chromatography using SulfoLink Coupling Resin.
Pricing
product-image-AAA324915_IHC11.jpg IHC (Immunohistochemisry) (AAA324915 at 1/100 staining Rat colon tissue by IHC-P. The sample was formaldehyde fixed and a heat mediated antigen retrieval step in citrate buffer was performed. The sample was then blocked and incubated with the primary antibody at 4°C overnight. An HRP conjugated anti-Rabbit antibody was used as the secondary antibody.)

NCOA4, Polyclonal Antibody (Cat# AAA324915)

Full Name
NCOA4 Antibody
Gene Names
NCOA4; RFG; ELE1; PTC3; ARA70
Reactivity
Human, Mouse, Rat
Applications
Immunocytochemistry, Immunofluorescence, Immunohistochemistry, Western Blot
Purity
Peptide affinity purification
Pricing
product-image-AAA325657_WB13.jpg WB (Western Blot) (Western blot analysis of extracts from A549 cells using OR10V1 antibody.)

OR10V1, Polyclonal Antibody (Cat# AAA325657)

Full Name
OR10V1 Antibody
Gene Names
OR10V1; OR11-256
Reactivity
Human
Applications
Immunocytochemistry, Immunofluorescence, Western Blot
Purity
The antiserum was purified by peptide affinity chromatography using SulfoLink Coupling Resin.
Pricing
product-image-AAA325675_WB13.jpg WB (Western Blot) (Western blot analysis of extracts from MCF-7 cells, using OR2H2 antibody.)

OR2H2, Polyclonal Antibody (Cat# AAA325675)

Full Name
OR2H2 Antibody
Gene Names
OR2H2; FAT11; OLFR2; OR2H3; OLFR42B; hs6M1-12; dJ271M21.2
Reactivity
Human
Applications
Immunocytochemistry, Immunofluorescence, Western Blot
Purity
The antiserum was purified by peptide affinity chromatography using SulfoLink Coupling Resin.
Pricing
product-image-AAA211676_WB11.jpg WB (Western Blot) (Detection of human EML4 by western blot. Samples: Whole cell lysate (50, 15 ug) from HeLa cells prepared using NETN lysis buffer. Antibody: Affinity purified rabbit anti-EML4 antibody AAA211676 (lot AAA211676-2) used for WB at 0.04 ug/ml. Detection: Chemiluminescence with an exposure time of 30 seconds.)

EML4, Polyclonal Antibody (Cat# AAA211676)

Full Name
Rabbit anti-EML4 Antibody, Affinity Purified
Reactivity
Human
Applications
Immunohistochemistry, Immunoprecipitation, Western Blot
Purity
Antigen Affinity Purified
Pricing

What are Polyclonal Antibodies?


Polyclonal antibodies are antibodies that come from multiple B cell clones of a host animal. The typical hosts used for the majority of polyclonal antibody production are rabbits, goats, sheep, and donkeys. These polyclonal antibodies, once having identified their target, will bind to different epitopes located at different regions or sequences on the same protein/antigen. As a result, they are ideal at locating and binding to the target, even if the target is in very low concentrations (due to many different antibodies being able to bind to the same target molecule, which allows for significant amplification of a downstream signal).


Polyclonal antibodies are typically produced by injecting an antigen into a host animal, which causes the animal’s immune system to attack the foreign antigen by mass generating antibodies against it. After a period of time, serum is collected from the animal and purified using physicochemical fractionation, class-specific affinity purification, and/or antigen-affinity purification.


Key Uses of Polyclonal Antibodies


  • Western Blotting: This method is used to find specific proteins in biological samples after separating them by size.

  • Immunohistochemistry: IHC helps visualize the location of proteins in tissue sections using various staining techniques.

  • ELISA: (Enzyme-Linked Immunosorbent Assay) is typically used to identify specific protein quantities in a sample. ELISAs can be either “Quantitative” or “Qualitative”.

  • Flow Cytometry: technique that identifies and measures the specific protein on the surface or inside the cells in a fluid suspension.

  • Immunoprecipitation: IP isolates and studies a specific protein from a complex mixture using antibodies.


Why Buy Polyclonal Antibodies from AAA Biotech?


1. Ideal for Various Applications


Our antibodies are generally going to be validated for use in multiple types of assays, including ELISA, Western Blotting, Immunohistochemistry, Immunoprecipitation, amongst others. They are ideal for a wide range of research applications.


2. Rigorous Quality Control


All of the antibodies in our catalog undergo strict quality testing to ensure specificity, sensitivity, and consistent performance. We are confident in the ability of our antibodies to provide you with accurate results.


3. Wide Assortment of Antibodies


Antibodies in are catalog can be found for both common and exotic species, and these antibodies are also available in both conjugated and recombinant forms to suit many diverse experimental needs.


4. Highly Purified


Our antibodies are available in purified forms with over 85% purity, as confirmed by SDS-PAGE. They are also available with tags such as His, Flag, GST, or MBP. We cater to customers worldwide.


FAQ


1. How are polyclonal antibodies produced?


Traditionally, polyclonal antibodies are produced by injecting an antigen into a host animal (such as a rabbit or goat), which then triggers an immune response from the host animal. The animal’s B cells produce antibodies that will recognize different parts of the injected antigen. These antibodies are then collected from the animal’s blood and purified for use.


2. How do polyclonal antibodies differ from monoclonal antibodies?


Polyclonal antibodies are a mix of antibodies that bind to different locations (epitopes) of the same antigen, while monoclonal antibodies are identical and bind to just one specific epitope. This makes polyclonal antibodies more versatile and better at detecting proteins that may be present in low quantities or in altered/modified forms.


3. How should I store polyclonal antibodies?


Polyclonal antibodies should be stored at 4°C for short-term use (up to a few weeks) and at -20°C or -80°C for long-term storage. Avoid repeated freeze-thaw cycles by dividing them into small aliquots. Always check the datasheet for specific storage instructions.


Submit a Question

Please complete the form below and a representative will contact you as soon as possible.

Request more Information

Please complete the form below and a representative will contact you as soon as possible.

Request a Manual

Please complete the form below and a representative will contact you as soon as possible.

Request a Quote

Please complete the form below and a representative will contact you as soon as possible.