Loading...

Skip to main content
Call us at +1-800-604-9114 for more information about our products or contact us online Need help? +1-800-604-9114 or contact us

Filters


Clonality

Type

Reactivity

Gene Name

Isotype

Host

Application

Clone

Polyclonal Antibodies

At AAA Biotech also known as AAA Bio or AAABio, we provide a broad range of purified polyclonal antibodies (pAbs) that are able to all be browsed online through our website. Due to their high specificity and strong binding affinity, these antibodies are ideal for wide swathes of research and experimental applications.


Our polyclonal antibodies can easily support your work, whether you use them for Western Blotting, Immunocytochemistry (with or without Immunofluorescence used in conjunction), Immunohistochemistry, Immunoprecipitation, and ELISA tests. We highly encourage you to browse our range of pAbs and choose the one that best suits your experimental model.


Viewing 7000-7050 of 10000 product results


product-image-AAA327439_WB11.jpg WB (Western Blot) (Western blot analysis of CD53 using COLO205 whole cell lysates)

CD53, Polyclonal Antibody (Cat# AAA327439)

Full Name
CD53 Antibody
Gene Names
CD53; MOX44; TSPAN25
Reactivity
Human, Mouse, Rat
Applications
Western Blot
Purity
The antiserum was purified by peptide affinity chromatography using SulfoLink Coupling Resin.
Pricing
product-image-AAA327449_IHC13.jpg IHC (Immunohiostchemistry) (AAA327449 at 1/100 staining Rat colon tissue by IHC-P. The sample was formaldehyde fixed and a heat mediated antigen retrieval step in citrate buffer was performed. The sample was then blocked and incubated with the antibody for 1.5 hours at 22 degree C. An HRP conjugated goat anti-rabbit antibody was used as the secondary.)

TMOD2, Polyclonal Antibody (Cat# AAA327449)

Full Name
TMOD2 Antibody
Gene Names
TMOD2; NTMOD; N-TMOD
Reactivity
Human, Rat
Applications
Immunohistochemistry, Western Blot
Purity
The antiserum was purified by peptide affinity chromatography using SulfoLink Coupling Resin.
Pricing
product-image-AAA327329_IHC13.jpg IHC (Immunohiostchemistry) (AAA327329 at 1/100 staining Rat brain tissue by IHC-P. The sample was formaldehyde fixed and a heat mediated antigen retrieval step in citrate buffer was performed. The sample was then blocked and incubated with the antibody for 1.5 hours at 22 degree C. An HRP conjugated goat anti-rabbit antibody was used as the secondary.)

KRT6A, Polyclonal Antibody (Cat# AAA327329)

Full Name
KRT6A Antibody
Gene Names
KRT6A; K6A; K6C; K6D; PC3; CK6A; CK6C; CK6D; CK-6C; CK-6E; KRT6C; KRT6D
Reactivity
Human, Mouse, Rat
Applications
Immunohistochemistry, Western Blot
Purity
The antiserum was purified by peptide affinity chromatography using SulfoLink Coupling Resin.
Pricing
product-image-AAA318184_WB13.jpg WB (Western Blot) (Western blot analysis of lysates from MCF-7, HUVEC, HeLa, and HepG2 cells, using OR2T3/2T34 Antibody. The lane on the right is blocked with the synthesized peptide.)

OR2T3/2T34, Polyclonal Antibody (Cat# AAA318184)

Full Name
OR2T3/2T34 Antibody
Reactivity
Human
Applications
Immunofluorescence, Western Blot
Purity
Purified from rabbit antiserum by affinity-chromatography using immunogen.
Pricing
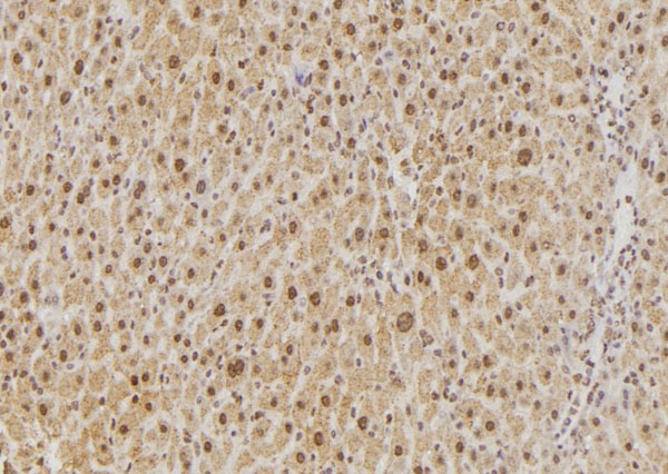
product-image-AAA323545_IHC13.jpg IHC (Immunohiostchemistry) (AAA323545 at 1/100 staining Human liver cancer tissue by IHC-P. The sample was formaldehyde fixed and a heat mediated antigen retrieval step in citrate buffer was performed. The sample was then blocked and incubated with the antibody for 1.5 hours at 22 degree C. An HRP conjugated goat anti-rabbit antibody was used as the secondary.)

HTR3E, Polyclonal Antibody (Cat# AAA323545)

Full Name
HTR3E Antibody
Gene Names
HTR3E; 5-HT3E; 5-HT3-E; 5-HT3c1
Reactivity
Human
Applications
Immunohistochemistry, Western Blot
Purity
The antiserum was purified by peptide affinity chromatography using SulfoLink Coupling Resin.
Pricing
product-image-AAA323601_IHC13.jpg IHC (Immunohiostchemistry) (AAA323601 at 1/100 staining Human liver cancer tissue by IHC-P. The sample was formaldehyde fixed and a heat mediated antigen retrieval step in citrate buffer was performed. The sample was then blocked and incubated with the antibody for 1.5 hours at 22 degree C. An HRP conjugated goat anti-rabbit antibody was used as the secondary.)

GPR161, Polyclonal Antibody (Cat# AAA323601)

Full Name
GPR161 Antibody
Gene Names
GPR161; RE2
Reactivity
Human
Applications
Immunohistochemistry, Western Blot
Purity
The antiserum was purified by peptide affinity chromatography using SulfoLink Coupling Resin.
Pricing
product-image-AAA326167_IF11.jpg IF (Immunofluorescence) (AAA326167 staining Hela cells by IF/ICC. The samples were fixed with PFA and permeabilized in 0.1% Triton X-100,then blocked in 10% serum for 45 minutes at 25°C. Samples were then incubated with primary Ab(AAA326167 1:200) and mouse anti-beta tubulin Ab( 1:200) for 1 hour at 37°C. An AlexaFluor594 conjugated goat anti-rabbit IgG(H+L) Ab(Red) and an AlexaFluor488 conjugated goat anti-mouse IgG(H+L) Ab(Green) were used as the secondary Ab. The nuclear counter stain is DAPI(blue).)

CETP, Polyclonal Antibody (Cat# AAA326167)

Full Name
CETP Antibody
Gene Names
CETP; BPIFF; HDLCQ10
Reactivity
Human, Mouse
Applications
Immunofluorescence, Immunocytochemistry, Immunohistochemistry, Western Blot
Purity
The antiserum was purified by peptide affinity chromatography using SulfoLink Coupling Resin (Thermo Fisher Scientific).
Pricing
product-image-AAA326169_WB13.jpg WB (Western Blot) (Western blot analysis of extracts of mouse liver, using ALB antibody. The lane on the left is treated with the antigen-specific peptide.)

ALB, Polyclonal Antibody (Cat# AAA326169)

Full Name
ALB Antibody
Gene Names
ALB; HSA; PRO0883; PRO0903; PRO1341
Reactivity
Human, Mouse, Rat
Applications
Immunohistochemistry, Western Blot
Purity
The antiserum was purified by peptide affinity chromatography using SulfoLink Coupling Resin.
Pricing
product-image-AAA326170_WB10.jpg WB (Western Blot) (Western blot analysis of extracts of SW480, using F8 antibody. The lane on the left is treated with the antigen-specific peptide.)

F8, Polyclonal Antibody (Cat# AAA326170)

Full Name
F8 Antibody
Gene Names
F8; AHF; F8B; F8C; HEMA; FVIII; DXS1253E
Reactivity
Human, Mouse, Rat
Applications
Immunocytochemistry, Immunofluorescence, Immunohistochemistry, Western Blot
Purity
The antiserum was purified by peptide affinity chromatography using SulfoLink Coupling Resin.
Pricing
product-image-AAA326171_WB11.jpg WB (Western Blot) (Western blot analysis of K562 whole cell lysates, using CYP17A1 Antibody. The lane on the left is treated with the antigen-specific peptide.)

CYP17A1, Polyclonal Antibody (Cat# AAA326171)

Full Name
CYP17A1 Antibody
Gene Names
CYP17A1; CPT7; CYP17; S17AH; P450C17
Reactivity
Human, Mouse, Rat
Applications
Immunocytochemistry, Immunofluorescence, Immunohistochemistry, Western Blot
Purity
The antiserum was purified by peptide affinity chromatography using SulfoLink Coupling Resin.
Pricing
product-image-AAA326173_IF11.jpg IF (Immunofluorescence) (AAA326173 staining RAW264.7 by IF/ICC. The sample were fixed with PFA and permeabilized in 0.1% Triton X-100, then blocked in 10% serum for 45 minutes at 25 degree C. The primary antibody was diluted at 1/200 and incubated with the sample for 1 hour at 37 degree C. An Alexa Fluor 594 conjugated goat anti-rabbit IgG (H+L) Ab, diluted at 1/600, was used as the secondary antibody.)

F3, Polyclonal Antibody (Cat# AAA326173)

Full Name
F3 Antibody
Gene Names
F3; TF; TFA; CD142
Reactivity
Human, Mouse
Applications
Immunocytochemistry, Immunofluorescence, Immunohistochemistry, Western Blot
Purity
The antiserum was purified by peptide affinity chromatography using SulfoLink Coupling Resin (Thermo Fisher Scientific)
Pricing
product-image-AAA326176_WB11.jpg WB (Western Blot) (Western blot analysis of extracts from Hela and 293, using MIF Antibody.)

MIF, Polyclonal Antibody (Cat# AAA326176)

Full Name
MIF Antibody
Gene Names
MIF; GIF; GLIF; MMIF
Reactivity
Human, Mouse, Rat
Applications
Immunohistochemistry, Western Blot
Purity
The antiserum was purified by peptide affinity chromatography using SulfoLink Coupling Resin.
Pricing
product-image-AAA326177_WB13.jpg WB (Western Blot) (Western blot analysis of extracts of mouse lung, using AGER antibody. The lane on the left is treated with the antigen-specific peptide.)

AGER, Polyclonal Antibody (Cat# AAA326177)

Full Name
AGER Antibody
Gene Names
AGER; RAGE; SCARJ1
Reactivity
Human, Mouse, Rat
Applications
Immunohistochemistry, Western Blot
Purity
The antiserum was purified by peptide affinity chromatography using SulfoLink Coupling Resin.
Pricing
product-image-AAA326182_WB11.jpg WB (Western Blot) (Western blot analysis of extracts of mouse kidneytissue, using CBS antibody. The lane on the left is treated with the antigen-specific peptide.)

CBS, Polyclonal Antibody (Cat# AAA326182)

Full Name
CBS Antibody
Gene Names
CBS; CBSL; HIP4
Reactivity
Human, Mouse, Rat
Applications
Immunohistochemistry, Western Blot
Purity
The antiserum was purified by peptide affinity chromatography using SulfoLink Coupling Resin.
Pricing
product-image-AAA326192_IF10.jpg IF (Immunofluorescence) (AAA326192 staining HeLa cells by IF/ICC. The sample were fixed with PFA and permeabilized in 0.1% Triton X-100, then blocked in 10% serum for 45 minutes at 25 degree C. The primary antibody was diluted at 1/200 and incubated with the sample for 1 hour at 37 degree C. An Alexa Fluor 594 conjugated goat anti-rabbit IgG (H+L) antibody, diluted at 1/600, was used as secondary antibody.)

CLU, Polyclonal Antibody (Cat# AAA326192)

Full Name
CLU Antibody
Gene Names
CLU; CLI; AAG4; APOJ; CLU1; CLU2; KUB1; SGP2; APO-J; SGP-2; SP-40; TRPM2; TRPM-2; NA1/NA2
Reactivity
Human, Mouse, Rat
Applications
Immunocytochemistry, Immunofluorescence, Immunohistochemistry, Western Blot
Purity
The antiserum was purified by peptide affinity chromatography using SulfoLink Coupling Resin.
Pricing
product-image-AAA326194_WB11.jpg WB (Western Blot) (Western blot analysis of Hela whole cell lysates, using p21 Cip1 Antibody. The lane on the left is treated with the antigen-specific peptide.)

p21 Cip1, Polyclonal Antibody (Cat# AAA326194)

Full Name
p21 Cip1 Antibody
Gene Names
CDKN1A; P21; CIP1; SDI1; WAF1; CAP20; CDKN1; MDA-6; p21CIP1
Reactivity
Human, Mouse, Rat
Applications
Immunocytochemistry, Immunofluorescence, Immunohistochemistry, Western Blot
Purity
The antiserum was purified by peptide affinity chromatography using SulfoLink Coupling Resin.
Pricing
product-image-AAA326200_IHC11.png IHC (Immunohistochemisry) (AAA326200 at 1/200 staining Rat brain tissue sections by IHC-P.)

NPY, Polyclonal Antibody (Cat# AAA326200)

Full Name
NPY Antibody
Gene Names
NPY; PYY4
Reactivity
Human, Mouse, Rat
Applications
Immunocytochemistry, Immunofluorescence, Immunohistochemistry, Western Blot
Purity
The antiserum was purified by peptide affinity chromatography using SulfoLink Coupling Resin.
Pricing
product-image-AAA326201_WB11.jpg WB (Western Blot) (Western blot analysis of extracts of PC-3, using TIMP3 antibody. The lane on the left is treated with the antigen-specific peptide.)

TIMP3, Polyclonal Antibody (Cat# AAA326201)

Full Name
TIMP3 Antibody
Gene Names
TIMP3; SFD; K222; K222TA2; HSMRK222
Reactivity
Human, Mouse, Rat
Applications
Immunocytochemistry, Immunofluorescence, Immunohistochemistry, Western Blot
Purity
The antiserum was purified by peptide affinity chromatography using SulfoLink Coupling Resin.
Pricing
product-image-AAA326221_WB11.jpg WB (Western Blot) (Western blot analysis of Hela whole cell lysates, using BIRC5 Antibody. The lane on the left is treated with the antigen-specific peptide.)

BIRC5, Polyclonal Antibody (Cat# AAA326221)

Full Name
BIRC5 Antibody
Gene Names
BIRC5; API4; EPR-1
Reactivity
Human, Mouse, Rat
Applications
Immunocytochemistry, Immunofluorescence, Immunohistochemistry, Western Blot
Purity
The antiserum was purified by peptide affinity chromatography using SulfoLink Coupling Resin.
Pricing
product-image-AAA326223_IF11.jpg IF (Immunofluorescence) (AAA326223 staining A549 by IF/ICC. The sample were fixed with PFA and permeabilized in 0.1% Triton X-100, then blocked in 10% serum for 45 minutes at 25 degree C. The primary antibody was diluted at 1/200 and incubated with the sample for 1 hour at 37 degree C. An Alexa Fluor 594 conjugated goat anti-rabbit IgG (H+L) Ab, diluted at 1/600, was used as the secondary antibody.)

TIMP2, Polyclonal Antibody (Cat# AAA326223)

Full Name
TIMP2 Antibody
Gene Names
TIMP2; DDC8; CSC-21K
Reactivity
Human, Mouse, Rat
Applications
Immunocytochemistry, Immunofluorescence, Immunohistochemistry, Western Blot
Purity
The antiserum was purified by peptide affinity chromatography using SulfoLink Coupling Resin (Thermo Fisher Scientific)
Pricing
product-image-AAA326225_WB11.jpg WB (Western Blot) (Western blot analysis of extracts of NCI-H460, using CST3 antibody. The lane on the left is treated with the antigen-specific peptide.)

CST3, Polyclonal Antibody (Cat# AAA326225)

Full Name
CST3 Antibody
Gene Names
CST3; ARMD11; HEL-S-2
Reactivity
Human, Mouse, Rat, Monkey
Applications
Immunocytochemistry, Immunofluorescence, Immunohistochemistry, Western Blot
Purity
The antiserum was purified by peptide affinity chromatography using SulfoLink Coupling Resin.
Pricing
product-image-AAA326226_WB11.jpg WB (Western Blot) (Western blot analysis of Hela whole cell lysates, using B2M Antibody. The lane on the left is treated with the antigen-specific peptide.)

B2M, Polyclonal Antibody (Cat# AAA326226)

Full Name
B2M Antibody
Gene Names
B2M; IMD43
Reactivity
Human, Mouse, Rat
Applications
Immunohistochemistry, Western Blot
Purity
The antiserum was purified by peptide affinity chromatography using SulfoLink Coupling Resin.
Pricing
product-image-AAA326236_WB13.jpg WB (Western Blot) (Western blot analysis of extracts of A2058, using ANXA2 antibody. The lane on the left is treated with the antigen-specific peptide.)

ANXA2, Polyclonal Antibody (Cat# AAA326236)

Full Name
ANXA2 Antibody
Gene Names
ANXA2; P36; ANX2; LIP2; LPC2; CAL1H; LPC2D; ANX2L4; PAP-IV; HEL-S-270
Reactivity
Human, Mouse, Rat
Applications
Immunohistochemistry, Western Blot
Purity
The antiserum was purified by peptide affinity chromatography using SulfoLink Coupling Resin.
Pricing
product-image-AAA326239_IHC15.jpg IHC (Immunohistochemistry) (AAA326239 at 1/100 staining Rat brain tissue by IHC-P. The sample was formaldehyde fixed and a heat mediated antigen retrieval step in citrate buffer was performed. The sample was then blocked and incubated with the primary Ab at 4°C overnight. An HRP conjugated anti-Rabbit Ab was used as the secondary Ab.)

IFNB1, Polyclonal Antibody (Cat# AAA326239)

Full Name
IFNB1 Antibody
Gene Names
IFNB1; IFB; IFF; IFNB; IFN-beta
Reactivity
Human, Mouse, Rat
Applications
Immunohistochemistry, Western Blot
Purity
The antiserum was purified by peptide affinity chromatography using SulfoLinkTM Coupling Resin (Thermo Fisher Scientific).
Pricing
product-image-AAA326079_WB13.jpg WB (Western Blot) (Western blot analysis of brain lysate usingSMPD2 antibody. The lane on the left is treated with the antigen-specific peptide.)

SMPD2, Polyclonal Antibody (Cat# AAA326079)

Full Name
SMPD2 Antibody
Gene Names
SMPD2; ISC1; NSMASE; NSMASE1
Reactivity
Human, Mouse, Rat
Applications
Immunohistochemistry, Western Blot
Purity
The antiserum was purified by peptide affinity chromatography using SulfoLink Coupling Resin.
Pricing
product-image-AAA326082_WB13.jpg WB (Western Blot) (Western blot analysis of Mouse brain lysate, using STUB1 Antibody. The lane on the left is treated with the antigen-specific peptide.)

STUB1, Polyclonal Antibody (Cat# AAA326082)

Full Name
STUB1 Antibody
Gene Names
STUB1; CHIP; UBOX1; SCAR16; HSPABP2; NY-CO-7; SDCCAG7
Reactivity
Human, Mouse, Rat
Applications
Immunohistochemistry, Western Blot
Purity
The antiserum was purified by peptide affinity chromatography using SulfoLink Coupling Resin.
Pricing
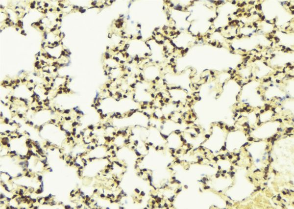
product-image-AAA326088_IHC13.jpg IHC (Immunohiostchemistry) (AAA326088 at 1/100 staining Rat lung tissue by IHC-P. The sample was formaldehyde fixed and a heat mediated antigen retrieval step in citrate buffer was performed. The sample was then blocked and incubated with the antibody for 1.5 hours at 22 degree C. An HRP conjugated goat anti-rabbit antibody was used as the secondary.)

FEN1, Polyclonal Antibody (Cat# AAA326088)

Full Name
FEN1 Antibody
Gene Names
FEN1; MF1; RAD2; FEN-1
Reactivity
Human, Mouse, Rat
Applications
Immunohistochemistry, Western Blot
Purity
The antiserum was purified by peptide affinity chromatography using SulfoLink Coupling Resin.
Pricing
product-image-AAA326098_WB11.jpg WB (Western Blot) (Western blot analysis of A431 lysate using CALM1 antibody. The lane on the left is treated with the antigen-specific peptide.)

CALM1, Polyclonal Antibody (Cat# AAA326098)

Full Name
CALM1 Antibody
Gene Names
CALM3; CaM; CALM; CAM1; CAM2; CAMB; PHKD; PHKD3; CaMIII; HEL-S-72
Reactivity
Human, Mouse, Rat
Applications
Immunocytochemistry, Immunofluorescence, Immunohistochemistry, Western Blot
Purity
The antiserum was purified by peptide affinity chromatography using SulfoLink Coupling Resin.
Pricing
product-image-AAA326107_IF11.jpg IF (Immunofluorescence) (AAA326107 staining Hela cells by IF/ICC. The samples were fixed with PFA and permeabilized in 0.1% Triton X-100,then blocked in 10% serum for 45 minutes at 25°C. Samples were then incubated with primary Ab(AAA326107) and mouse anti-beta tubulin Ab for 1 hour at 37°C. An AlexaFluor594 conjugated goat anti-rabbit IgG(H+L) Ab(Red) and an AlexaFluor488 conjugated goat anti-mouse IgG(H+L) Ab(Green) were used as the secondary Ab. The nuclear counter stain is DAPI (blue).)

FCGR1A, Polyclonal Antibody (Cat# AAA326107)

Full Name
FCGR1A Antibody
Gene Names
FCGR1A; CD64; FCRI; CD64A; IGFR1
Reactivity
Human, Mouse, Rat
Applications
Immunofluorescence, Immunohistochemistry, Western Blot
Purity
Peptide Affinity Purification
Pricing
product-image-AAA326113_WB13.jpg WB (Western Blot) (Western blot analysis of BxPC-3 lysate using SCRN2 antibody. The lane on the left is treated with the antigen-specific peptide.)

SCRN2, Polyclonal Antibody (Cat# AAA326113)

Full Name
SCRN2 Antibody
Gene Names
SCRN2; Ses2
Reactivity
Human, Mouse, Rat
Applications
Immunohistochemistry, Western Blot
Purity
The antiserum was purified by peptide affinity chromatography using SulfoLink Coupling Resin.
Pricing
product-image-AAA326115_WB13.jpg WB (Western Blot) (Western blot analysis of Hela whole cell lysates, using GSTM2 Antibody. The lane on the left is treated with the antigen-specific peptide.)

GSTM2, Polyclonal Antibody (Cat# AAA326115)

Full Name
GSTM2 Antibody
Gene Names
GSTM2; GST4; GSTM; GTHMUS; GSTM2-2
Reactivity
Human, Mouse, Rat
Applications
Immunohistochemistry, Western Blot
Purity
The antiserum was purified by peptide affinity chromatography using SulfoLink Coupling Resin.
Pricing
product-image-AAA326119_WB13.jpg WB (Western Blot) (Western blot analysis of 293T whole cell lysates, using ECI1 Antibody. The lane on the left is treated with the antigen-specific peptide.)

ECI1, Polyclonal Antibody (Cat# AAA326119)

Full Name
ECI1 Antibody
Gene Names
ECI1; DCI
Reactivity
Human, Mouse, Rat
Applications
Immunohistochemistry, Western Blot
Purity
The antiserum was purified by peptide affinity chromatography using SulfoLink Coupling Resin.
Pricing
product-image-AAA326125_WB13.jpg WB (Western Blot) (Western blot analysis of HeLa lysate using SRPX antibody. The lane on the left is treated with the antigen-specific peptide.)

SRPX, Polyclonal Antibody (Cat# AAA326125)

Full Name
SRPX Antibody
Gene Names
SRPX; DRS; ETX1; SRPX1; HEL-S-83p
Reactivity
Human, Mouse, Rat
Applications
Immunohistochemistry, Western Blot
Purity
The antiserum was purified by peptide affinity chromatography using SulfoLink Coupling Resin.
Pricing
product-image-AAA326127_WB11.jpg WB (Western Blot) (Western blot analysis of Jurkat lysate using STIP1 antibody. The lane on the left is treated with the antigen-specific peptide.)

STIP1, Polyclonal Antibody (Cat# AAA326127)

Full Name
STIP1 Antibody
Gene Names
STIP1; HOP; P60; STI1; STI1L; HEL-S-94n; IEF-SSP-3521
Reactivity
Human, Mouse, Rat
Applications
Immunohistochemistry, Western Blot
Purity
The antiserum was purified by peptide affinity chromatography using SulfoLink Coupling Resin.
Pricing
product-image-AAA326129_WB13.jpg WB (Western Blot) (Western blot analysis of Hepg2 whole cell lysates, using ITPA Antibody. The lane on the left is treated with the antigen-specific peptide.)

ITPA, Polyclonal Antibody (Cat# AAA326129)

Full Name
ITPA Antibody
Gene Names
ITPA; My049; ITPase; NTPase; C20orf37; dJ794I6.3; HLC14-06-P
Reactivity
Human, Mouse, Rat
Applications
Immunohistochemistry, Western Blot
Purity
The antiserum was purified by peptide affinity chromatography using SulfoLink Coupling Resin.
Pricing
product-image-AAA326130_WB13.jpg WB (Western Blot) (Western blot analysis of 721_B lysate using SELENBP1 antibody. The lane on the left is treated with the antigen-specific peptide.)

SELENBP1, Polyclonal Antibody (Cat# AAA326130)

Full Name
SELENBP1 Antibody
Gene Names
SELENBP1; MTO; LPSB; SP56; hSBP; EHMTO; SBP56; HEL-S-134P
Reactivity
Human, Mouse, Rat
Applications
Immunohistochemistry, Western Blot
Purity
The antiserum was purified by peptide affinity chromatography using SulfoLink Coupling Resin.
Pricing
product-image-AAA326133_WB11.jpg WB (Western Blot) (Western blot analysis of extracts of Rat liver using ALDH2 antibody. The lane on the left is treated with the antigen-specific peptide.)

ALDH2, Polyclonal Antibody (Cat# AAA326133)

Full Name
ALDH2 Antibody
Gene Names
ALDH2; ALDM; ALDHI; ALDH-E2
Reactivity
Human, Mouse, Rat
Applications
Immunohistochemistry, Western Blot
Purity
The antiserum was purified by peptide affinity chromatography using SulfoLink Coupling Resin.
Pricing
product-image-AAA326139_WB13.jpg WB (Western Blot) (Western blot analysis of K562 whole cell lysates, using GYPC Antibody. The lane on the left is treated with the antigen-specific peptide.)

GYPC, Polyclonal Antibody (Cat# AAA326139)

Full Name
GYPC Antibody
Gene Names
GYPC; GE; GPC; GPD; GYPD; CD236; PAS-2; CD236R; PAS-2'; GE:GPC:GPD:GYPD
Reactivity
Human, Mouse, Rat
Applications
Immunohistochemistry, Western Blot
Purity
The antiserum was purified by peptide affinity chromatography using SulfoLink Coupling Resin.
Pricing
product-image-AAA326151_WB11.jpg WB (Western Blot) (Western blot analysis of NOD1 expression in Rat brain lysate)

NOD1, Polyclonal Antibody (Cat# AAA326151)

Full Name
NOD1 Antibody
Gene Names
NOD1; CARD4; NLRC1; CLR7.1
Reactivity
Human, Mouse, Rat
Applications
Immunohistochemistry, Western Blot
Purity
The antiserum was purified by peptide affinity chromatography using SulfoLink Coupling Resin.
Pricing
product-image-AAA326005_WB13.jpg WB (Western Blot) (Western blot analysis of NIH-3T3 cell lysate, using NUAK2 Antibody. The lane on the left is treated with the antigen-specific peptide.)

NUAK2, Polyclonal Antibody (Cat# AAA326005)

Full Name
NUAK2 Antibody
Gene Names
NUAK2; SNARK
Reactivity
Human, Mouse, Rat
Applications
Immunohistochemistry, Western Blot
Purity
The antiserum was purified by peptide affinity chromatography using SulfoLink Coupling Resin.
Pricing
product-image-AAA326008_WB13.jpg WB (Western Blot) (Western blot analysis of PC-3 lysate using FAM3B antibody. The lane on the left is treated with the antigen-specific peptide.)

FAM3B, Polyclonal Antibody (Cat# AAA326008)

Full Name
FAM3B Antibody
Gene Names
FAM3B; 2-21; ORF9; PANDER; PRED44; C21orf11; C21orf76
Reactivity
Human, Mouse, Rat
Applications
Immunohistochemistry, Western Blot
Purity
The antiserum was purified by peptide affinity chromatography using SulfoLink Coupling Resin.
Pricing
product-image-AAA326014_WB13.jpg WB (Western Blot) (Western blot analysis of Jurkat using PPP1CB antibody. The lane on the left is treated with the antigen-specific peptide.)

PPP1CB, Polyclonal Antibody (Cat# AAA326014)

Full Name
PPP1CB Antibody
Gene Names
PPP1CB; PP1B; NSLH2; PP-1B; PPP1CD; PP1beta; HEL-S-80p
Reactivity
Human, Mouse, Rat
Applications
Immunohistochemistry, Western Blot
Purity
The antiserum was purified by peptide affinity chromatography using SulfoLink Coupling Resin.
Pricing
product-image-AAA326019_WB11.jpg WB (Western Blot) (Western blot analysis of 293 using TNFRSF1B antibody. The lane on the left is treated with the antigen-specific peptide.)

TNFRSF1B, Polyclonal Antibody (Cat# AAA326019)

Full Name
TNFRSF1B Antibody
Gene Names
TNFRSF1B; p75; TBPII; TNFBR; TNFR2; CD120b; TNFR1B; TNFR80; TNF-R75; p75TNFR; TNF-R-II
Reactivity
Human, Mouse, Rat
Applications
Immunocytochemistry, Immunofluorescence, Immunohistochemistry, Western Blot
Purity
The antiserum was purified by peptide affinity chromatography using SulfoLink Coupling Resin.
Pricing
product-image-AAA326021_IF15.png IF (Immunofluorescence) (AAA326021 staining A549 cells by IF/ICC. The samples were fixed with PFA and permeabilized in 0.1% Triton X-100,then blocked in 10% serum for 45 minutes at 25 degree . Samples were then incubated with primary Ab(AAA326021) and mouse anti-beta tubulin Ab for 1 hour at 37 degree . An AlexaFluor594 conjugated goat anti-rabbit IgG(H+L) Ab(Red) and an AlexaFluor488 conjugated goat anti-mouse IgG(H+L) Ab(Green) were used as the secondary Ab. The nuclear counter stain is DAPI (blue).)

ATP2A2, Polyclonal Antibody (Cat# AAA326021)

Full Name
ATP2A2 Antibody
Gene Names
ATP2A2; DD; DAR; ATP2B; SERCA2
Reactivity
Human, Mouse, Rat
Applications
Immunofluorescence, Immunohistochemistry, Western Blot
Purity
The antiserum was purified by peptide affinity chromatography using SulfoLink Coupling Resin.
Pricing
product-image-AAA326022_WB11.jpg WB (Western Blot) (Western blot analysis of Hela whole cell lysates, using CBX5 Antibody. The lane on the left is treated with the antigen-specific peptide.)

CBX5, Polyclonal Antibody (Cat# AAA326022)

Full Name
CBX5 Antibody
Gene Names
CBX5; HP1; HP1A; HEL25
Reactivity
Human, Mouse, Rat
Applications
Immunohistochemistry, Western Blot
Purity
The antiserum was purified by peptide affinity chromatography using SulfoLink Coupling Resin.
Pricing
product-image-AAA326028_WB11.jpg WB (Western Blot) (Western blot analysis of K562 whole cell lysates, using ARHGEF7 Antibody. The lane on the left is treated with the antigen-specific peptide.)

ARHGEF7, Polyclonal Antibody (Cat# AAA326028)

Full Name
ARHGEF7 Antibody
Gene Names
ARHGEF7; P50; P85; PAK3; PIXB; COOL1; P50BP; COOL-1; P85SPR; BETA-PIX; P85COOL1; Nbla10314
Reactivity
Human, Mouse, Rat
Applications
Immunohistochemistry, Western Blot
Purity
The antiserum was purified by peptide affinity chromatography using SulfoLink Coupling Resin.
Pricing
product-image-AAA326029_IHC13.jpg IHC (Immunohiostchemistry) (AAA326029 at 1/100 staining Mouse colon tissue by IHC-P. The sample was formaldehyde fixed and a heat mediated antigen retrieval step in citrate buffer was performed. The sample was then blocked and incubated with the antibody for 1.5 hours at 22 degree C. An HRP conjugated goat anti-rabbit antibody was used as the secondary.)

BCL2L13, Polyclonal Antibody (Cat# AAA326029)

Full Name
BCL2L13 Antibody
Gene Names
BCL2L13; MIL1; BCL-RAMBO; Bcl2-L-13
Reactivity
Human, Mouse, Rat
Applications
Immunohistochemistry, Western Blot
Purity
The antiserum was purified by peptide affinity chromatography using SulfoLink Coupling Resin.
Pricing
product-image-AAA326031_IF11.jpg IF (Immunofluorescence) (AAA326031 staining HeLa cells by ICC/IF. Cells were fixed with PFA and permeabilized in 0.1% saponin prior to blocking in 10% serum for 45 minutes at 37 degree C. The primary antibody was diluted 1/200 and incubated with the sample for 1 hour at 37 degree C. A Alexa Fluor 594 conjugated goat polyclonal to rabbit IgG (H+L), diluted 1/600 was used as secondary antibody.)

CYR61, Polyclonal Antibody (Cat# AAA326031)

Full Name
CYR61 Antibody
Gene Names
CCN1; GIG1; CYR61; IGFBP10
Reactivity
Human
Applications
Immunocytochemistry, Immunofluorescence, Immunohistochemistry, Western Blot
Purity
The antiserum was purified by peptide affinity chromatography using SulfoLink Coupling Resin.
Pricing
product-image-AAA326041_IF13.jpg IF (Immunofluorescence) (AAA326041 staining HeLa cells by ICC/IF. Cells were fixed with PFA and permeabilized in 0.1% saponin prior to blocking in 10% serum for 45 minutes at 37 degree C. The primary antibody was diluted 1/200 and incubated with the sample for 1 hour at 37 degree C. A Alexa Fluor 594 conjugated goat polyclonal to rabbit IgG (H+L), diluted 1/600 was used as secondary antibody.)

TNNT2, Polyclonal Antibody (Cat# AAA326041)

Full Name
TNNT2 Antibody
Gene Names
TNNT2; CMH2; RCM3; TnTC; cTnT; CMD1D; CMPD2; LVNC6
Reactivity
Human, Mouse, Rat
Applications
Immunocytochemistry, Immunofluorescence, Immunohistochemistry, Western Blot
Purity
The antiserum was purified by peptide affinity chromatography using SulfoLink Coupling Resin.
Pricing
product-image-AAA326048_WB11.jpg WB (Western Blot) (Western blot analysis of DCX expression in Rat spleen lysate)

DCX, Polyclonal Antibody (Cat# AAA326048)

Full Name
DCX Antibody
Gene Names
DCX; DC; DBCN; LISX; SCLH; XLIS
Reactivity
Human, Mouse, Rat
Applications
Immunohistochemistry, Western Blot
Purity
The antiserum was purified by peptide affinity chromatography using SulfoLink Coupling Resin.
Pricing

What are Polyclonal Antibodies?


Polyclonal antibodies are antibodies that come from multiple B cell clones of a host animal. The typical hosts used for the majority of polyclonal antibody production are rabbits, goats, sheep, and donkeys. These polyclonal antibodies, once having identified their target, will bind to different epitopes located at different regions or sequences on the same protein/antigen. As a result, they are ideal at locating and binding to the target, even if the target is in very low concentrations (due to many different antibodies being able to bind to the same target molecule, which allows for significant amplification of a downstream signal).


Polyclonal antibodies are typically produced by injecting an antigen into a host animal, which causes the animal’s immune system to attack the foreign antigen by mass generating antibodies against it. After a period of time, serum is collected from the animal and purified using physicochemical fractionation, class-specific affinity purification, and/or antigen-affinity purification.


Key Uses of Polyclonal Antibodies


  • Western Blotting: This method is used to find specific proteins in biological samples after separating them by size.

  • Immunohistochemistry: IHC helps visualize the location of proteins in tissue sections using various staining techniques.

  • ELISA: (Enzyme-Linked Immunosorbent Assay) is typically used to identify specific protein quantities in a sample. ELISAs can be either “Quantitative” or “Qualitative”.

  • Flow Cytometry: technique that identifies and measures the specific protein on the surface or inside the cells in a fluid suspension.

  • Immunoprecipitation: IP isolates and studies a specific protein from a complex mixture using antibodies.


Why Buy Polyclonal Antibodies from AAA Biotech?


1. Ideal for Various Applications


Our antibodies are generally going to be validated for use in multiple types of assays, including ELISA, Western Blotting, Immunohistochemistry, Immunoprecipitation, amongst others. They are ideal for a wide range of research applications.


2. Rigorous Quality Control


All of the antibodies in our catalog undergo strict quality testing to ensure specificity, sensitivity, and consistent performance. We are confident in the ability of our antibodies to provide you with accurate results.


3. Wide Assortment of Antibodies


Antibodies in are catalog can be found for both common and exotic species, and these antibodies are also available in both conjugated and recombinant forms to suit many diverse experimental needs.


4. Highly Purified


Our antibodies are available in purified forms with over 85% purity, as confirmed by SDS-PAGE. They are also available with tags such as His, Flag, GST, or MBP. We cater to customers worldwide.


FAQ


1. How are polyclonal antibodies produced?


Traditionally, polyclonal antibodies are produced by injecting an antigen into a host animal (such as a rabbit or goat), which then triggers an immune response from the host animal. The animal’s B cells produce antibodies that will recognize different parts of the injected antigen. These antibodies are then collected from the animal’s blood and purified for use.


2. How do polyclonal antibodies differ from monoclonal antibodies?


Polyclonal antibodies are a mix of antibodies that bind to different locations (epitopes) of the same antigen, while monoclonal antibodies are identical and bind to just one specific epitope. This makes polyclonal antibodies more versatile and better at detecting proteins that may be present in low quantities or in altered/modified forms.


3. How should I store polyclonal antibodies?


Polyclonal antibodies should be stored at 4°C for short-term use (up to a few weeks) and at -20°C or -80°C for long-term storage. Avoid repeated freeze-thaw cycles by dividing them into small aliquots. Always check the datasheet for specific storage instructions.


Submit a Question

Please complete the form below and a representative will contact you as soon as possible.

Request more Information

Please complete the form below and a representative will contact you as soon as possible.

Request a Manual

Please complete the form below and a representative will contact you as soon as possible.

Request a Quote

Please complete the form below and a representative will contact you as soon as possible.