Loading...

Skip to main content
Call us at +1-800-604-9114 for more information about our products or contact us online Need help? +1-800-604-9114 or contact us

Filters


Clonality

Type

Reactivity

Gene Name

Isotype

Host

Application

Clone

Polyclonal Antibodies

At AAA Biotech also known as AAA Bio or AAABio, we provide a broad range of purified polyclonal antibodies (pAbs) that are able to all be browsed online through our website. Due to their high specificity and strong binding affinity, these antibodies are ideal for wide swathes of research and experimental applications.


Our polyclonal antibodies can easily support your work, whether you use them for Western Blotting, Immunocytochemistry (with or without Immunofluorescence used in conjunction), Immunohistochemistry, Immunoprecipitation, and ELISA tests. We highly encourage you to browse our range of pAbs and choose the one that best suits your experimental model.


Viewing 4650-4700 of 96803 product results


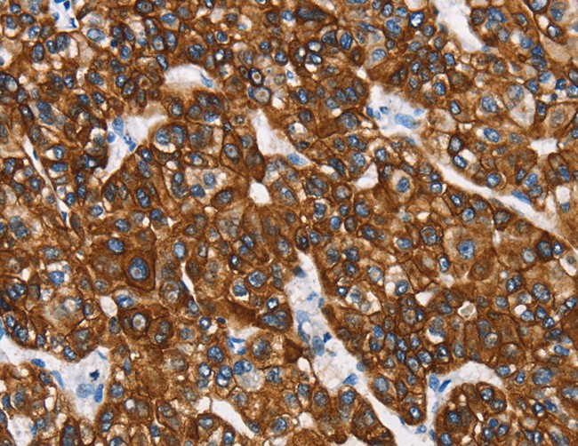
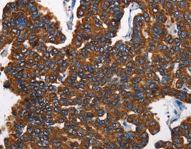
Rabbit Anti-GTF3C3/TFIII1C102 Polyclonal Antibody – Cat# AAA213899 – IHC (Immunohiostchemistry) IHC (Immunohiostchemistry) (Detection of human GTF3C3/TFIIIC102 by immunohistochemistry. Sample: FFPE section of human thyroid carcinoma. Antibody: Affinity purified rabbit anti-GTF3C3/TFIIIC102 (Cat. No. AAA213899) used at a dilution of 1:100. Detection: DAB)

GTF3C3/TFIII1C102, Polyclonal Antibody (Cat# AAA213899)

No reviews yet
Full Name
Rabbit anti-GTF3C3/TFIII1C102 IHC Antibody, affinity purified
Gene Names
GTF3C3; TFIIIC102; TFIIICgamma; TFiiiC2-102
Reactivity
Human
Applications
Immunohistochemistry
Purity
Antigen Affinity Purified
Pricing
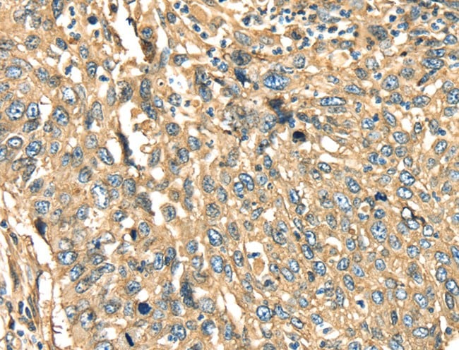
Rabbit Anti-GTF3C4/TFIII1C90 Polyclonal Antibody – Cat# AAA213900 – IHC (Immunohiostchemistry) IHC (Immunohiostchemistry) (Detection of human GTF3C4/TFIIIC90 by immunohistochemistry. Sample: FFPE section of human breast carcinoma. Antibody: Affinity purified rabbit anti-GTF3C4/TFIIIC90 (Cat. No. AAA213900) used at a dilution of 1:100. Detection: DAB)

GTF3C4/TFIII1C90, Polyclonal Antibody (Cat# AAA213900)

No reviews yet
Full Name
Rabbit anti-GTF3C4/TFIII1C90 IHC Antibody, affinity purified
Reactivity
Human
Applications
Immunohistochemistry
Purity
Antigen Affinity Purified
Pricing
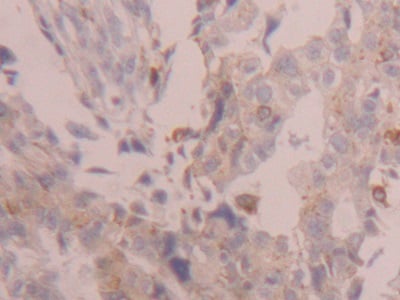
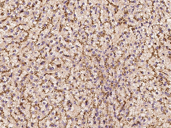
Rabbit Anti-GTF3C5/TFIII1C63 Polyclonal Antibody – Cat# AAA213901 – IHC (Immunohistochemisry) IHC (Immunohistochemisry) (Detection of human GTF3C5/TFIIIC63 by immunohistochemistry. Sample: FFPE section of human thyroid carcinoma. Antibody: Affinity purified rabbit anti-GTF3C5/TFIIIC63 (Cat. No. AAA213901) used at a dilution of 1:500. Detection: DAB)

GTF3C5/TFIII1C63, Polyclonal Antibody (Cat# AAA213901)

No reviews yet
Full Name
Rabbit anti-GTF3C5/TFIII1C63 IHC Antibody, affinity purified
Reactivity
Human
Applications
Immunohistochemistry
Purity
Antigen Affinity Purified
Pricing
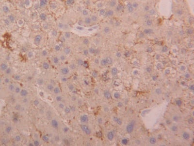
Rabbit Anti-DDX54 Polyclonal Antibody – Cat# AAA213905 – IHC (Immunohiostchemistry) IHC (Immunohiostchemistry) (Detection of human DDX54 by immunohistochemistry. Sample: FFPE section of human breast carcinoma. Antibody: Affinity purified rabbit anti-DDX54 (Cat. No. AAA213905) used at a dilution of 1:250. Detection: DAB)

DDX54, Polyclonal Antibody (Cat# AAA213905)

No reviews yet
Full Name
Rabbit anti-DDX54 IHC Antibody, affinity purified
Reactivity
Human
Applications
Immunohistochemistry
Purity
Antigen Affinity Purified
Pricing
Rabbit Anti-BRF1 Polyclonal Antibody – Cat# AAA213912 – IHC (Immunohiostchemistry) IHC (Immunohiostchemistry) (Detection of human BRF1 by immunohistochemistry. Sample: FFPE section of human prostate carcinoma. Antibody: Affinity purified rabbit anti-BRF1 (Cat. No. AAA213912) used at a dilution of 1:100. Detection: DAB)

BRF1, Polyclonal Antibody (Cat# AAA213912)

No reviews yet
Full Name
Rabbit anti-BRF1 IHC Antibody, Affinity Purified
Gene Names
BRF1; BRF; CFDS; hBRF; BRF-1; GTF3B; TAF3C; TAF3B2; TF3B90; TAFIII90; TFIIIB90; HEL-S-76p
Reactivity
Human
Applications
Immunohistochemistry
Purity
Antigen Affinity Purified
Pricing
Rabbit Anti-DEK Polyclonal Antibody – Cat# AAA213916 – IHC (Immunohiostchemistry) IHC (Immunohiostchemistry) (Detection of human DEK by immunohistochemistry. Sample: FFPE section of human prostate carcinoma. Antibody: Affinity purified rabbit anti-DEK (Cat. No. AAA213916) used at a dilution of 1:250. Detection: DAB)

DEK, Polyclonal Antibody (Cat# AAA213916)

No reviews yet
Full Name
Rabbit anti-DEK IHC Antibody, Affinity Purified
Gene Names
DEK; D6S231E
Reactivity
Human
Applications
Immunohistochemistry
Purity
Antigen Affinity Purified
Pricing
Rabbit Anti-PARP1 Polyclonal Antibody – Cat# AAA213919 – IHC (Immunohistochemisry) IHC (Immunohistochemisry) (Detection of human PARP1 by immunohistochemistry. Sample: FFPE section of human breast carcinoma. Antibody: Affinity purified rabbit anti-PARP1 (Cat. No. AAA213919) used at a dilution of 1:100. Detection: Red-fluorescent goat anti-rabbit IgG highly cross-adsorbed Antibody used at a dilution of 1:100.)

PARP1, Polyclonal Antibody (Cat# AAA213919)

No reviews yet
Full Name
Rabbit anti-PARP1 IHC Antibody, Affinity Purified
Reactivity
Human
Applications
Immunohistochemistry, Immunohistochemistry
Purity
Antigen Affinity Purified
Pricing
Rabbit Anti-HDAC7 Polyclonal Antibody – Cat# AAA213923 – IHC (Immunohistochemistry) IHC (Immunohistochemistry) (Detection of human HDAC7 by immunohistochemistry. Sample: FFPE section of human ovarian carcinoma. Antibody: Affinity purified rabbit anti-HDAC7 (Cat. No. AAA213923) used at a dilution of 1:100. Detection: DAB)

HDAC7, Polyclonal Antibody (Cat# AAA213923)

No reviews yet
Full Name
Rabbit anti-HDAC7 IHC Antibody, Affinity Purified
Reactivity
Human, Mouse
Applications
Immunohistochemistry
Purity
Antigen Affinity Purified
Pricing
Rabbit Anti-CDC25C Polyclonal Antibody – Cat# AAA213926 – IHC (Immunohistochemisry) IHC (Immunohistochemisry) (Detection of human CDC25c by immunohistochemistry. Sample: FFPE section of human seminoma. Antibody: Affinity purified rabbit anti-CDC25c (Cat. No. AAA213926) used at a dilution of 1:250. Detection: DAB)

CDC25c, Polyclonal Antibody (Cat# AAA213926)

No reviews yet
Full Name
Rabbit anti-CDC25c IHC Antibody, Affinity Purified
Gene Names
CDC25C; CDC25; PPP1R60
Reactivity
Human, Mouse
Applications
Immunohistochemistry
Purity
Antigen Affinity Purified
Pricing
Rabbit Anti-RanBP3 Polyclonal Antibody – Cat# AAA213933 – IHC (Immunohistochemisry) IHC (Immunohistochemisry) (Detection of human RanBP3 by immunohistochemistry. Sample: FFPE section of human colon carcinoma. Antibody: Affinity purified rabbit anti-RanBP3 (Cat. No. AAA213933) used at a dilution of 1:100. Detection: Red-fluorescent goat anti-rabbit IgG highly cross-adsorbed Antibody Hilyte Plus 555 used at a dilution of 1:100.)

RanBP3, Polyclonal Antibody (Cat# AAA213933)

No reviews yet
Full Name
Rabbit anti-RanBP3 IHC Antibody, Affinity Purified
Reactivity
Human, Mouse
Applications
Immunohistochemistry, Immunohistochemistry
Purity
Antigen Affinity Purified
Pricing
Rabbit Anti-ZC3H11A Polyclonal Antibody – Cat# AAA213934 – IHC (Immunohiostchemistry) IHC (Immunohiostchemistry) (Detection of human ZC3H11A by immunohistochemistry. Sample: FFPE section of human ovarian carcinoma. Antibody: Affinity purified rabbit anti-ZC3H11A (Cat. No. AAA213934) used at a dilution of 1:100. Detection: DAB)

ZC3H11A, Polyclonal Antibody (Cat# AAA213934)

No reviews yet
Full Name
Rabbit anti-ZC3H11A IHC Antibody, Affinity Purified
Gene Names
ZC3H11A; ZC3HDC11A
Reactivity
Human
Applications
Immunohistochemistry
Purity
Antigen Affinity Purified
Pricing
Rabbit Anti-ZHX3 Polyclonal Antibody – Cat# AAA213935 – IHC (Immunohistochemisry) IHC (Immunohistochemisry) (Detection of human ZHX3 by immunohistochemistry. Sample: FFPE section of human prostate carcinoma. Antibody: Affinity purified rabbit anti-ZHX3 (Cat. No. AAA213935) used at a dilution of 1:100. Detection: Detection: Red-fluorescent goat anti-rabbit IgG highly cross-adsorbed Antibody used at a dilution of 1:100.)

ZHX3, Polyclonal Antibody (Cat# AAA213935)

No reviews yet
Full Name
Rabbit anti-ZHX3 IHC Antibody, Affinity Purified
Gene Names
ZHX3; TIX1
Reactivity
Human
Applications
Immunohistochemistry, Immunohistochemistry
Purity
Antigen Affinity Purified
Pricing
Rabbit Anti-FASN Polyclonal Antibody – Cat# AAA213940 – IHC (Immunohistochemisry) IHC (Immunohistochemisry) (Detection of human FASN by IHC-IF. Sample: FFPE section of human breast carcinoma. Antibody: Affinity purified rabbit anti-FASN (Cat. No. AAA213940) used at a dilution of 1:100. Detection: Red-fluorescent goat anti-rabbit IgG highly cross-adsorbed Antibody Hilyte Plus 555 used at a dilution of 1:100.)

FASN, Polyclonal Antibody (Cat# AAA213940)

No reviews yet
Full Name
Rabbit anti-FASN IHC Antibody, Affinity Purified
Gene Names
FASN; FAS; OA-519; SDR27X1
Reactivity
Human, Mouse
Applications
Immunohistochemistry, Immunohistochemistry
Purity
Antigen Affinity Purified
Pricing
Rabbit Anti-TAF6 Polyclonal Antibody – Cat# AAA213944 – IHC (Immunohiostchemistry) IHC (Immunohiostchemistry) (Detection of human TAF6 by immunohistochemistry. Sample: FFPE section of human prostate carcinoma. Antibody: Affinity purified rabbit anti-TAF6 (Cat. No. AAA213944) used at a dilution of 1:250. Detection: DAB)

TAF6, Polyclonal Antibody (Cat# AAA213944)

No reviews yet
Full Name
Rabbit anti-TAF6 IHC Antibody, Affinity Purified
Gene Names
TAF6; TAF2E; TAFII70; TAFII80; TAFII85; MGC:8964; TAFII-70; TAFII-80; TAF(II)70; TAF(II)80
Reactivity
Human
Applications
Immunohistochemistry
Purity
Antigen Affinity Purified
Pricing
Rabbit Anti-USP5/IsoT Polyclonal Antibody – Cat# AAA213946 – IHC (Immunohistochemisry) IHC (Immunohistochemisry) (Detection of human USP5/IsoT by IHC-IF. Sample: FFPE section of human colon carcinoma. Antibody: Affinity purified rabbit anti-USP5/IsoT (Cat. No. AAA213946) used at a dilution of 1:100. Detection: Red-fluorescent goat anti-rabbit IgG highly cross-adsorbed Antibody Hilyte Plus 555 used at a dilution of 1:100.)

USP5/IsoT, Polyclonal Antibody (Cat# AAA213946)

No reviews yet
Full Name
Rabbit anti-USP5/IsoT IHC Antibody, Affinity Purified
Reactivity
Human
Applications
Immunohistochemistry, Immunohistochemistry
Purity
Antigen Affinity Purified
Pricing
Rabbit Anti-CENP-F Polyclonal Antibody – Cat# AAA213947 – IHC (Immunohistochemistry) IHC (Immunohistochemistry) (Detection of human CENP-F/Mitosin by IHC-IF. Sample: FFPE section of human ewing sarcoma. Antibody: Affinity purified rabbit anti-CENP-F/Mitosin (Cat. No. AAA213947) used at a dilution of 1:100. Detection: Red-fluorescent goat anti-rabbit IgG highly cross-adsorbed Antibody Hilyte Plus 555 used at a dilution of 1:100.)

CENP-F/Mitosin, Polyclonal Antibody (Cat# AAA213947)

No reviews yet
Full Name
Rabbit anti-CENP-F/Mitosin IHC Antibody, Affinity Purified
Gene Names
CENPF; CENF; hcp-1; PRO1779
Reactivity
Human
Applications
Immunohistochemistry, Immunohistochemistry
Purity
Antigen Affinity Purified
Pricing
Rabbit Anti-SF3b145/SAP145 Polyclonal Antibody – Cat# AAA213949 – IHC (Immunohistochemisry) IHC (Immunohistochemisry) (Detection of human SF3b145/SAP145 by IHC-IF. Sample: FFPE section of human stomach carcinoma. Antibody: Affinity purified rabbit anti-SF3b145/SAP145 (Cat. No. AAA213949) used at a dilution of 1:100. Detection: Red-fluorescent goat anti-rabbit IgG highly cross-adsorbed Antibody used at a dilution of 1:100.)

SF3b145/SAP145, Polyclonal Antibody (Cat# AAA213949)

No reviews yet
Full Name
Rabbit anti-SF3b145/SAP145 IHC Antibody, Affinity Purified
Gene Names
SF3B2; Cus1; SF3b1; SAP145; SF3B145; SF3b150
Reactivity
Human, Mouse
Applications
Immunohistochemistry, Immunohistochemistry
Purity
Antigen Affinity Purified
Pricing
Rabbit Anti-KPNA4 Polyclonal Antibody – Cat# AAA213953 – IHC (Immunohistochemistry) IHC (Immunohistochemistry) (Detection of human KPNA4 by IHC-IF. Sample: FFPE section of human ovarian tumor. Antibody: Affinity purified rabbit anti-KPNA4 (Cat. No. AAA213953) used at a dilution of 1:100. Detection: Red-fluorescent goat anti-rabbit IgG highly cross-adsorbed Antibody used at a dilution of 1:100.)

KPNA4, Polyclonal Antibody (Cat# AAA213953)

No reviews yet
Full Name
Rabbit anti-KPNA4 IHC Antibody, Affinity Purified
Gene Names
KPNA4; QIP1; SRP3; IPOA3
Reactivity
Human, Mouse
Applications
Immunohistochemistry, Immunohistochemistry
Purity
Antigen Affinity Purified
Pricing
Rabbit Anti-TDP1 Polyclonal Antibody – Cat# AAA213954 – IHC (Immunohiostchemistry) IHC (Immunohiostchemistry) (Detection of human TDP1 by immunohistochemistry. Sample: FFPE section of human ovarian tumor. Antibody: Affinity purified rabbit anti-TDP1 (Cat. No. AAA213954) used at a dilution of 1:250. Detection: DAB)

TDP1, Polyclonal Antibody (Cat# AAA213954)

No reviews yet
Full Name
Rabbit anti-TDP1 IHC Antibody, Affinity Purified
Reactivity
Human
Applications
Immunohistochemistry
Purity
Antigen Affinity Purified
Pricing
Rabbit Anti-FOXK1 Polyclonal Antibody – Cat# AAA213961 – IHC (Immunohiostchemistry) IHC (Immunohiostchemistry) (Detection of human FOXK1 by immunohistochemistry. Sample: FFPE section of human colon carcinoma. Antibody: Affinity purified rabbit anti-FOXK1 (Cat. No. AAA213961) used at a dilution of 1:500. Detection: DAB)

FOXK1, Polyclonal Antibody (Cat# AAA213961)

No reviews yet
Full Name
Rabbit anti-FOXK1 IHC Antibody, Affinity Purified
Gene Names
FOXK1; FOXK1L
Reactivity
Human, Mouse
Applications
Immunohistochemistry
Purity
Antigen Affinity Purified
Pricing
Rabbit Anti-FEN1 Polyclonal Antibody – Cat# AAA213962 – IHC (Immunohiostchemistry) IHC (Immunohiostchemistry) (Detection of human Fen1 by immunohistochemistry. Sample: FFPE section of human small cell lung cancer. Antibody: Affinity purified rabbit anti-Fen1 (Cat. No. AAA213962) used at a dilution of 1:250. Detection: DAB)

Fen1, Polyclonal Antibody (Cat# AAA213962)

No reviews yet
Full Name
Rabbit anti-Fen1 IHC Antibody, Affinity Purified
Gene Names
FEN1; MF1; RAD2; FEN-1
Reactivity
Human
Applications
Immunohistochemistry
Purity
Antigen Affinity Purified
Pricing
Rabbit Anti-PHF8 Polyclonal Antibody – Cat# AAA213967 – IHC (Immunohiostchemistry) IHC (Immunohiostchemistry) (Detection of mouse PHF8 by immunohistochemistry. Sample: FFPE section of mouse teratoma. Antibody: Affinity purified rabbit anti-PHF8 (Cat. No. AAA213967) used at a dilution of 1:100. Detection: DAB)

PHF8, Polyclonal Antibody (Cat# AAA213967)

No reviews yet
Full Name
Rabbit anti-PHF8 IHC Antibody, Affinity Purified
Reactivity
Human, Mouse
Applications
Immunohistochemistry
Purity
Antigen Affinity Purified
Pricing
Rabbit Anti-SFN Polyclonal Antibody – Cat# AAA213968 – IHC (Immunohistochemistry) IHC (Immunohistochemistry) (Detection of human 14-3-3 Sigma by IHC-IF. Sample: FFPE section of human breast carcinoma. Antibody: Affinity purified rabbit anti-14-3-3 Sigma (Cat. No. AAA213968) used at a dilution of 1:100. Detection: Red-fluorescent goat anti-rabbit IgG highly cross-adsorbed Antibody Hilyte Plus 555 used at a dilution of 1:100.)

14-3-3 Sigma, Polyclonal Antibody (Cat# AAA213968)

No reviews yet
Full Name
Rabbit anti-14-3-3 Sigma IHC Antibody, Affinity Purified
Gene Names
SFN; YWHAS
Reactivity
Human
Applications
Immunohistochemistry, Immunohistochemistry
Purity
Antigen Affinity Purified
Pricing
Rabbit Anti-NUP50 Polyclonal Antibody – Cat# AAA213970 – IHC (Immunohistochemisry) IHC (Immunohistochemisry) (Detection of human NUP50 by immunohistochemistry. Sample: FFPE section of human breast carcinoma. Antibody: Affinity purified rabbit anti-NUP50 (Cat. No. AAA213970) used at a dilution of 1:500. Detection: DAB)

NUP50, Polyclonal Antibody (Cat# AAA213970)

No reviews yet
Full Name
Rabbit anti-NUP50 IHC Antibody, Affinity Purified
Gene Names
NUP50; NPAP60; NPAP60L
Reactivity
Human, Mouse
Applications
Immunohistochemistry
Purity
Antigen Affinity Purified
Pricing
Rabbit Anti-IRS2 Polyclonal Antibody – Cat# AAA213972 – IHC (Immunohiostchemistry) IHC (Immunohiostchemistry) (Detection of human IRS2 by immunohistochemistry. Sample: FFPE section of human testicular seminoma. Antibody: Affinity purified rabbit anti-IRS2 (Cat. No. AAA213972) used at a dilution of 1:100. Detection: Red-fluorescent goat anti-rabbit IgG highly cross-adsorbed Antibody used at a dilution of 1:100.)

IRS2, Polyclonal Antibody (Cat# AAA213972)

No reviews yet
Full Name
Rabbit anti-IRS2 IHC Antibody, Affinity Purified
Gene Names
IRS2; IRS-2
Reactivity
Human
Applications
Immunohistochemistry, Immunohistochemistry
Purity
Antigen Affinity Purified
Pricing

TIF1 Alpha/TRIM24, Polyclonal Antibody (Cat# AAA213826)

No reviews yet
Full Name
Rabbit anti-TIF1 Alpha/TRIM24 IHC Antibody, Affinity Purified
Gene Names
TRIM24; PTC6; TF1A; TIF1; RNF82; TIF1A; hTIF1; TIF1ALPHA
Reactivity
Human, Mouse
Applications
Immunohistochemistry
Purity
Antigen Affinity Purified
Pricing
Rabbit Anti-UBCH7 Polyclonal Antibody – Cat# AAA213830 – IHC (Immunohiostchemistry) IHC (Immunohiostchemistry) (Detection of human UBCH7 by immunohistochemistry. Sample: FFPE section of human cervix. Antibody: Affinity purified rabbit anti-UBCH7 (Cat. No. AAA213830) used at a dilution of 1:500. Detection: DAB)

UBCH7, Polyclonal Antibody (Cat# AAA213830)

No reviews yet
Full Name
Rabbit anti-UBCH7 IHC Antibody, Affinity Purified
Gene Names
UBE2L3; E2-F1; L-UBC; UBCH7; UbcM4; UBE2L3
Reactivity
Human
Applications
Immunohistochemistry
Purity
Antigen Affinity Purified
Pricing
Rabbit Anti-DDX5 Polyclonal Antibody – Cat# AAA213836 – IHC (Immunohiostchemistry) IHC (Immunohiostchemistry) (Detection of mouse DDX5 by immunohistochemistry. Sample: FFPE section of mouse teratoma. Antibody: Affinity purified rabbit anti-DDX5 (Cat. No. AAA213836) used at a dilution of 1:100. Detection: DAB)

DDX5, Polyclonal Antibody (Cat# AAA213836)

No reviews yet
Full Name
Rabbit anti-DDX5 IHC Antibody, Affinity Purified
Gene Names
DDX5; p68; HLR1; G17P1; HUMP68
Reactivity
Human, Mouse
Applications
Immunohistochemistry
Purity
Antigen Affinity Purified
Pricing
Rabbit Anti-PPM1G Polyclonal Antibody – Cat# AAA213840 – IHC (Immunohiostchemistry) IHC (Immunohiostchemistry) (Detection of mouse PPM1G by immunohistochemistry. Sample: FFPE section of mouse squamous cell carcinoma. Antibody: Affinity purified rabbit anti-PPM1G (Cat. No. AAA213840) used at a dilution of 1:100. Detection: DAB)

PPM1G, Polyclonal Antibody (Cat# AAA213840)

No reviews yet
Full Name
Rabbit anti-PPM1G IHC Antibody, Affinity Purified
Gene Names
PPM1G; PP2CG; PPP2CG; PP2CGAMMA
Reactivity
Human, Mouse
Applications
Immunohistochemistry
Purity
Antigen Affinity Purified
Pricing
Rabbit Anti-HMG2A Polyclonal Antibody – Cat# AAA213848 – IHC (Immunohiostchemistry) IHC (Immunohiostchemistry) (Detection of mouse HMG2a by immunohistochemistry. Sample: FFPE section of mouse teratoma. Antibody: Affinity purified rabbit anti-HMG2a (Cat. No. AAA213848) used at a dilution of 1:250. Detection: DAB)

HMG2a, Polyclonal Antibody (Cat# AAA213848)

No reviews yet
Full Name
Rabbit anti-HMG2a IHC Antibody, Affinity Purified
Gene Names
HMGB3; HMG4; HMG-4; HMG2A; HMG-2a
Reactivity
Human, Mouse
Applications
Immunohistochemistry
Purity
Antigen Affinity Purified
Pricing
Rabbit Anti-FOX2/RBM9 Polyclonal Antibody – Cat# AAA213860 – IHC (Immunohiostchemistry) IHC (Immunohiostchemistry) (Detection of mouse FOX2/RBM9 by immunohistochemistry. Sample: FFPE section of mouse teratoma. Antibody: Affinity purified rabbit anti-FOX2/RBM9 (Cat. No. AAA213860) used at a dilution of 1:250. Detection: DAB)

FOX2/RBM9, Polyclonal Antibody (Cat# AAA213860)

No reviews yet
Full Name
Rabbit anti-FOX2/RBM9 IHC Antibody, Affinity Purified
Gene Names
RBFOX2; RTA; fxh; FOX2; RBM9; Fox-2; HNRBP2; HRNBP2; dJ106I20.3
Reactivity
Human, Mouse
Applications
Immunohistochemistry
Purity
Antigen Affinity Purified
Pricing
Rabbit Anti-ACINUS/ACN1 Polyclonal Antibody – Cat# AAA213870 – IHC (Immunohiostchemistry) IHC (Immunohiostchemistry) (Detection of human ACINUS/ACN1 by immunohistochemistry. Sample: FFPE section of human stomach adenocarcinoma. Antibody: Affinity purified rabbit anti-ACINUS/ACN1 (Cat. No. AAA213870) used at a dilution of 1:250. Detection: DAB)

ACINUS/ACN1, Polyclonal Antibody (Cat# AAA213870)

No reviews yet
Full Name
Rabbit anti-ACINUS/ACN1 IHC Antibody, Affinity Purified
Gene Names
ACIN1; ACN; ACINUS; fSAP152
Reactivity
Human
Applications
Immunohistochemistry
Purity
Antigen Affinity Purified
Pricing
Rabbit Anti-Cul3 Polyclonal Antibody – Cat# AAA213875 – IHC (Immunohiostchemistry) IHC (Immunohiostchemistry) (Detection of human Cul3 by immunohistochemistry. Sample: FFPE section of human colon carcinoma. Antibody: Affinity purified rabbit anti-Cul3 (Cat. No. AAA213875) used at a dilution of 1:250. Detection: DAB)

Cul3, Polyclonal Antibody (Cat# AAA213875)

No reviews yet
Full Name
Rabbit anti-Cul3 IHC Antibody, Affinity Purified
Gene Names
CUL3; CUL-3; PHA2E
Reactivity
Human
Applications
Immunohistochemistry
Purity
Antigen Affinity Purified
Pricing
Rabbit Anti-FLNA Polyclonal Antibody – Cat# AAA213879 – IHC (Immunohistochemistry) IHC (Immunohistochemistry) (Detection of human Filamin by immunohistochemistry. Sample: FFPE section of human colon carcinoma. Antibody: Affinity purified rabbit anti-Filamin (Cat. No. AAA213879) used at a dilution of 1:100. Detection: Red-fluorescent Alexa Fluor 555 goat anti-rabbit IgG (Invitrogen) used at a dilution of 1:500.)

Filamin A, Polyclonal Antibody (Cat# AAA213879)

No reviews yet
Full Name
Rabbit anti-Filamin A IHC Antibody, Affinity Purified
Gene Names
FLNA; FLN; FMD; MNS; OPD; ABPX; CSBS; CVD1; FLN1; NHBP; OPD1; OPD2; XLVD; XMVD; FLN-A; ABP-280
Reactivity
Human
Applications
Immunohistochemistry, Immunohistochemistry
Purity
Antigen Affinity Purified
Pricing
Rabbit Anti-ATRX Polyclonal Antibody – Cat# AAA213887 – IHC (Immunohiostchemistry) IHC (Immunohiostchemistry) (Detection of human ATRX by immunohistochemistry. Sample: FFPE section of human basal cell carcinoma. Antibody: Affinity purified rabbit anti-ATRX (Cat. No. AAA213887) used at a dilution of 1:250. Detection: DAB)

ATRX, Polyclonal Antibody (Cat# AAA213887)

No reviews yet
Full Name
Rabbit anti-ATRX IHC Antibody, Affinity Purified
Gene Names
ATRX; JMS; SHS; XH2; XNP; ATR2; SFM1; RAD54; MRXHF1; RAD54L; ZNF-HX
Reactivity
Human
Applications
Immunohistochemistry
Purity
Antigen Affinity Purified
Pricing
Rabbit Anti-AMPKalpha1 Polyclonal Antibody – Cat# AAA213720 – IHC (Immunohiostchemistry) IHC (Immunohiostchemistry) (Detection of mouse AMPK alpha 1 by immunohistochemistry. Samples: FFPE section of mouse heart. Antibody: Affinity purified rabbit anti-AMPK alpha 1 (Cat. No. AAA213720) used at a dilution of 1:250. Detection: DAB)

AMPK alpha 1, Polyclonal Antibody (Cat# AAA213720)

No reviews yet
Full Name
Rabbit anti-AMPK alpha 1 IHC Antibody, Affinity Purified
Gene Names
PRKAA1; AMPK; AMPKa1
Reactivity
Human, Mouse
Applications
Immunohistochemistry
Purity
Antigen Affinity Purified
Pricing
Rabbit Anti-EGFR Polyclonal Antibody – Cat# AAA213723 – IHC (Immunohistochemisry) IHC (Immunohistochemisry) (Detection of human EGFR by immunohistochemistry. Sample: FFPE section of human placenta. Antibody: Affinity purified rabbit anti-EGFR (Cat. No. AAA213723-T) used at a dilution of 1:100. Detection: Red-fluorescent goat anti-rabbit IgG highly cross-adsorbed Antibody)

EGFR, Polyclonal Antibody (Cat# AAA213723)

No reviews yet
Full Name
Rabbit anti-EGFR IHC Antibody, Affinity Purified
Gene Names
EGFR; ERBB; HER1; mENA; ERBB1; PIG61; NISBD2
Reactivity
Human, Mouse
Applications
Immunohistochemistry, Immunohistochemistry
Purity
Antigen Affinity Purified
Pricing
Rabbit Anti-PELP1/MNAR Polyclonal Antibody – Cat# AAA213729 – IHC (Immunohiostchemistry) IHC (Immunohiostchemistry) (Detection of mouse PELP1/MNAR by immunohistochemistry. Sample: FFPE section of mouse ovary. Antibody: Affinity purified rabbit anti-PELP1/MNAR (Cat. No. AAA213729) used at a dilution of 1:100. Detection: DAB)

PELP1/MNAR, Polyclonal Antibody (Cat# AAA213729)

No reviews yet
Full Name
Rabbit anti-PELP1/MNAR IHC Antibody, Affinity Purified
Reactivity
Human, Mouse
Applications
Immunohistochemistry
Purity
Antigen Affinity Purified
Pricing
Rabbit Anti-SMC1 Polyclonal Antibody – Cat# AAA213733 – IHC (Immunohiostchemistry) IHC (Immunohiostchemistry) (Detection of human SMC1 by immunohistochemistry. Sample: FFPE section of human breast. Antibody: Affinity purified rabbit anti-SMC1 (Cat. No. AAA213733) used at a dilution of 1:500. Detection: DAB)

SMC1, Polyclonal Antibody (Cat# AAA213733)

No reviews yet
Full Name
Rabbit anti-SMC1 IHC Antibody, Affinity Purified
Gene Names
SMC1A; SMC1; SMCB; CDLS2; SB1.8; SMC1L1; DXS423E; SMC1alpha
Reactivity
Human, Mouse
Applications
Immunohistochemistry
Purity
Antigen Affinity Purified
Pricing
Rabbit Anti-ASC2 Polyclonal Antibody – Cat# AAA213735 – IHC (Immunohiostchemistry) IHC (Immunohiostchemistry) (Detection of human ASC2 by immunohistochemistry. Sample: FFPE section of human stomach adenocarcinoma. Antibody: Affinity purified rabbit anti-ASC2 (Cat. No. AAA213735) used at a dilution of 1:100. Detection: DAB)

ASC2, Polyclonal Antibody (Cat# AAA213735)

No reviews yet
Full Name
Rabbit anti-ASC2 IHC Antibody, Affinity Purified
Reactivity
Human
Applications
Immunohistochemistry
Purity
Antigen Affinity Purified
Pricing
Rabbit Anti-ErbB2 Polyclonal Antibody – Cat# AAA213744 – IHC (Immunohistochemistry) IHC (Immunohistochemistry) (Detection of human ErbB2 by immunohistochemistry. Sample: FFPE section of human breast carcinoma. Antibody: Affinity purified rabbit anti-ErbB2 (Cat. No. AAA213744) used at a dilution of 1:100. Detection: Red-fluorescent goat anti-rabbit IgG highly cross-adsorbed Antibody.)

ErbB2, Polyclonal Antibody (Cat# AAA213744)

No reviews yet
Full Name
Rabbit anti-ErbB2 IHC Antibody, Affinity Purified
Gene Names
ERBB2; NEU; NGL; HER2; TKR1; CD340; HER-2; MLN 19; HER-2/neu
Reactivity
Human
Applications
Immunohistochemistry, Immunohistochemistry
Purity
Antigen Affinity Purified
Pricing
Goat Anti-MCM4 Polyclonal Antibody – Cat# AAA213748 – IHC (Immunohiostchemistry) IHC (Immunohiostchemistry) (Detection of human MCM4 by immunohistochemistry. Sample: FFPE section of human small cell lung carcinoma. Antibody: Affinity purified goat anti-MCM4 (Cat. No. AAA213748) used at a dilution of 1:250. Detection: DAB)

MCM4, Polyclonal Antibody (Cat# AAA213748)

No reviews yet
Full Name
Goat anti-MCM4 IHC Antibody, Affinity Purified
Gene Names
MCM4; NKCD; CDC21; CDC54; NKGCD; hCdc21; P1-CDC21
Reactivity
Human
Applications
Immunohistochemistry
Purity
Antigen Affinity Purified
Pricing
Rabbit Anti-CARM1 Polyclonal Antibody – Cat# AAA213753 – IHC (Immunohiostchemistry) IHC (Immunohiostchemistry) (Detection of human CARM1 by immunohistochemistry. Sample: FFPE section of prostate adenocarcinoma used at a dilution of 1:500. Antibody: Affinity purified rabbit anti-CARM1 (Cat. No. AAA213753). Detection: DAB)

CARM1, Polyclonal Antibody (Cat# AAA213753)

No reviews yet
Full Name
Rabbit anti-CARM1 IHC Antibody, Affinity Purified
Gene Names
CARM1; PRMT4
Reactivity
Human
Applications
Immunohistochemistry
Purity
Antigen Affinity Purified
Pricing
Rabbit Anti-SMC3 Polyclonal Antibody – Cat# AAA213757 – IHC (Immunohiostchemistry) IHC (Immunohiostchemistry) (Detection of mouse SMC3 by immunohistochemistry. Sample: FFPE section of mouse squamous cell carcinoma. Antibody: Affinity purified rabbit anti-SMC3 (Cat. No. AAA213757) used at a dilution of 1:250. Detection: DAB)

SMC3, Polyclonal Antibody (Cat# AAA213757)

No reviews yet
Full Name
Rabbit anti-SMC3 IHC Antibody, Affinity Purified
Gene Names
SMC3; BAM; BMH; HCAP; CDLS3; CSPG6; SMC3L1
Reactivity
Human, Mouse
Applications
Immunohistochemistry
Purity
Antigen Affinity Purified
Pricing
Rabbit Anti-HDAC2 Polyclonal Antibody – Cat# AAA213759 – IHC (Immunohistochemistry) IHC (Immunohistochemistry) (Detection of human HDAC2 by immunohistochemistry. Sample: FFPE section of human breast carcinoma. Antibody: Affinity purified rabbit anti-HDAC2 (Cat. No. AAA213759) used at a dilution of 1:100. Detection: Red-fluorescent Alexa Fluor 555 goat anti-rabbit IgG (Invitrogen) used at a dilution of 1:500.)

HDAC2, Polyclonal Antibody (Cat# AAA213759)

No reviews yet
Full Name
Rabbit anti-HDAC2 IHC Antibody, Affinity Purified
Reactivity
Human, Mouse
Applications
Immunohistochemistry, Immunohistochemistry
Purity
Antigen Affinity Purified
Pricing
Rabbit Anti-FUS Polyclonal Antibody – Cat# AAA213772 – IHC (Immunohiostchemistry) IHC (Immunohiostchemistry) (Detection of mouse FUS by immunohistochemistry. Sample: FFPE section of mouse renal cell carcinoma. Antibody: Affinity purified rabbit anti-FUS (Cat. No. AAA213772-2) used at a dilution of 1:100. Detection: DAB)

FUS, Polyclonal Antibody (Cat# AAA213772)

No reviews yet
Full Name
Rabbit anti-FUS IHC Antibody, Affinity Purified
Gene Names
FUS; TLS; ALS6; ETM4; FUS1; POMP75; HNRNPP2
Reactivity
Human, Mouse
Applications
Immunohistochemistry
Purity
Antigen Affinity Purified
Pricing
Rabbit Anti-RAD50 Polyclonal Antibody – Cat# AAA213774 – IHC (Immunohiostchemistry) IHC (Immunohiostchemistry) (Detection of mouse Rad50 by immunohistochemistry. Sample: FFPE section of mouse squamous cell carcinoma. Antibody: Affinity purified rabbit anti-Rad50 (Cat. No. AAA213774) used at a dilution of 1:250. Detection: DAB)

Rad50, Polyclonal Antibody (Cat# AAA213774)

No reviews yet
Full Name
Rabbit anti-Rad50 IHC Antibody, Affinity Purified
Gene Names
RAD50; NBSLD; RAD502; hRad50
Reactivity
Human, Mouse
Applications
Immunohistochemistry
Purity
Antigen Affinity Purified
Pricing
Rabbit Anti-BTF Polyclonal Antibody – Cat# AAA213778 – IHC (Immunohiostchemistry) IHC (Immunohiostchemistry) (Detection of human BTF by immunohistochemistry. Sample: FFPE section of human skin basal cell carcinoma. Antibody: Affinity purified rabbit anti-BTF (Cat. No. AAA213778) used at a dilution of 1:250. Detection: DAB staining using anti-rabbit IHC antibody (Cat. No. at a dilution of 1:100.)

BTF, Polyclonal Antibody (Cat# AAA213778)

No reviews yet
Full Name
Rabbit anti-BTF IHC Antibody, Affinity Purified
Gene Names
BCLAF1; BTF; bK211L9.1
Reactivity
Human
Applications
Immunohistochemistry
Purity
Antigen Affinity Purified
Pricing
Rabbit Anti-EWS Polyclonal Antibody – Cat# AAA213783 – IHC (Immunohiostchemistry) IHC (Immunohiostchemistry) (Detection of human EWS by immunohistochemistry. Sample: FFPE section of human breast adenocarcinoma. Antibody: Affinity purified rabbit anti-EWS (Cat. No. AAA213783) used at a dilution of 1:250. Detection: DAB staining using anti-rabbit IHC antibody (Cat. No. at a dilution of 1:100.)

EWS, Polyclonal Antibody (Cat# AAA213783)

No reviews yet
Full Name
Rabbit anti-EWS IHC Antibody, Affinity Purified
Gene Names
EWSR1; EWS; bK984G1.4
Reactivity
Human
Applications
Immunohistochemistry
Purity
Antigen Affinity Purified
Pricing
Rabbit Anti-CCAR1 Polyclonal Antibody – Cat# AAA213787 – IHC (Immunohiostchemistry) IHC (Immunohiostchemistry) (Detection of human CCAR1 by immunohistochemistry. Sample: FFPE section of human skin basal cell carcinoma. Antibody: Affinity purified rabbit anti-CCAR1 (Cat. No. AAA213787) used at a dilution of 1:250. Detection: DAB staining using anti-rabbit IHC antibody (Cat. No. at a dilution of 1:100.)

CCAR1, Polyclonal Antibody (Cat# AAA213787)

No reviews yet
Full Name
Rabbit anti-CCAR1 IHC Antibody, Affinity Purified
Reactivity
Human, Mouse
Applications
Immunohistochemistry
Purity
Antigen Affinity Purified
Pricing

What are Polyclonal Antibodies?


Polyclonal antibodies are antibodies that come from multiple B cell clones of a host animal. The typical hosts used for the majority of polyclonal antibody production are rabbits, goats, sheep, and donkeys. These polyclonal antibodies, once having identified their target, will bind to different epitopes located at different regions or sequences on the same protein/antigen. This ability to bind multiple epitopes is what makes polyclonal antibodies highly sensitive, as explained in our detailed guide on polyclonal antibodies and why they matter.


As a result, they are ideal at locating and binding to the target, even if the target is in very low concentrations (due to many different antibodies being able to bind to the same target molecule, which allows for significant amplification of a downstream signal).


Polyclonal antibodies are typically produced by injecting an antigen into a host animal, which causes the animal’s immune system to attack the foreign antigen by mass generating antibodies against it. After a period of time, serum is collected from the animal and purified using physicochemical fractionation, class-specific affinity purification, and/or antigen-affinity purification.


Key Uses of Polyclonal Antibodies


  • Western Blotting: This method is used to find specific proteins in biological samples after separating them by size.

  • Immunohistochemistry: IHC helps visualize the location of proteins in tissue sections using various staining techniques.

  • ELISA: (Enzyme-Linked Immunosorbent Assay) is typically used to identify specific protein quantities in a sample. ELISAs can be either “Quantitative” or “Qualitative”.

  • Flow Cytometry: technique that identifies and measures the specific protein on the surface or inside the cells in a fluid suspension.

  • Immunoprecipitation: IP isolates and studies a specific protein from a complex mixture using antibodies.


Why Buy Polyclonal Antibodies from AAA Biotech?


1. Ideal for Various Applications


Our antibodies are generally going to be validated for use in multiple types of assays, including ELISA, Western Blotting, Immunohistochemistry, Immunoprecipitation, amongst others. They are ideal for a wide range of research applications.


2. Rigorous Quality Control


All of the antibodies in our catalog undergo strict quality testing to ensure specificity, sensitivity, and consistent performance. We are confident in the ability of our antibodies to provide you with accurate results.


3. Wide Assortment of Antibodies


Antibodies in our catalog can be found for both common and exotic species, and these antibodies are also available in both conjugated and recombinant forms to suit many diverse experimental needs.


4. Highly Purified


Our antibodies are available in purified forms with over 85% purity, as confirmed by SDS-PAGE. They are also available with tags such as His, Flag, GST, or MBP. We cater to customers worldwide.


FAQ


1. How are polyclonal antibodies produced?


Traditionally, polyclonal antibodies are produced by injecting an antigen into a host animal (such as a rabbit or goat), which then triggers an immune response from the host animal. The animal’s B cells produce antibodies that will recognize different parts of the injected antigen. These antibodies are then collected from the animal’s blood and purified for use.


2. How do polyclonal antibodies differ from monoclonal antibodies?


Polyclonal antibodies are a mix of antibodies that bind to different locations (epitopes) of the same antigen, while monoclonal antibodies are identical and bind to just one specific epitope. This makes polyclonal antibodies more versatile and better at detecting proteins that may be present in low quantities or in altered/modified forms.


3. How should I store polyclonal antibodies?


Polyclonal antibodies should be stored at 4°C for short-term use (up to a few weeks) and at -20°C or -80°C for long-term storage. Avoid repeated freeze-thaw cycles by dividing them into small aliquots. Always check the datasheet for specific storage instructions.


Submit a Question

Please complete the form below and a representative will contact you as soon as possible.

Request more Information

Please complete the form below and a representative will contact you as soon as possible.

Request a Manual

Please complete the form below and a representative will contact you as soon as possible.

Request a Quote

Please complete the form below and a representative will contact you as soon as possible.