Rabbit anti-Human, Mouse ACOX2 Polyclonal Antibody | anti-ACOX2 antibody
ACOX2 Rabbit Polyclonal Antibody
Gene Names
ACOX2; BCOX; BRCOX; THCCox; BRCACOX
Reactivity
Human, Mouse
Applications
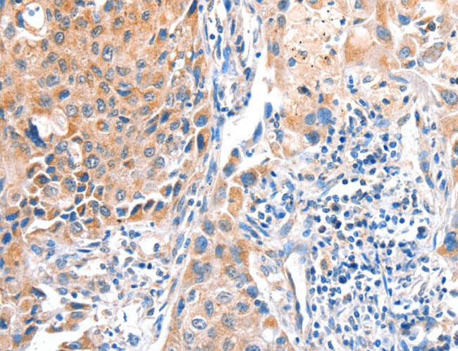
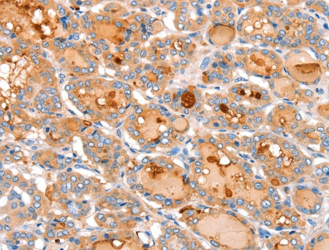
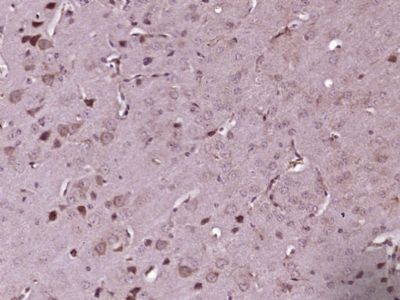
Immunohistochemistry, Western Blot
Purity
Affinity purification
Synonyms
ACOX2, Antibody; ACOX2 Rabbit Polyclonal Antibody; ACOX2; BCOX; BRCACOX; BRCOX; CBAS6; THCCox; anti-ACOX2 antibody
Host
Rabbit
Reactivity
Human, Mouse
Clonality
Polyclonal
Isotype
IgG
Purity/Purification
Affinity purification
Form/Format
Buffer: PBS with 0.02% sodium azide, 50% glycerol, pH7.3.
Applicable Applications for anti-ACOX2 antibody
IHC (Immunohistochemistry), WB (Western Blot)
Immunogen
Recombinant fusion protein of human ACOX2 (NP_003491.1).
Preparation and Storage
Store at -20 degree C. Avoid freeze/thaw cycles.
Related Product Information for anti-ACOX2 antibody
The product of this gene belongs to the acyl-CoA oxidase family. It encodes the branched-chain acyl-CoA oxidase which is involved in the degradation of long branched fatty acids and bile acid intermediates in peroxisomes. Deficiency of this enzyme results in the accumulation of branched fatty acids and bile acid intermediates, and may lead to Zellweger syndrome, severe mental retardation, and death in children.
Product Categories/Family for anti-ACOX2 antibody
NCBI and Uniprot Product Information
NCBI GI #
NCBI GeneID
NCBI Accession #
NCBI GenBank Nucleotide #
Molecular Weight
76,827 Da
NCBI Official Full Name
peroxisomal acyl-coenzyme A oxidase 2
NCBI Official Synonym Full Names
acyl-CoA oxidase 2, branched chain
NCBI Official Symbol
ACOX2
NCBI Official Synonym Symbols
BCOX; BRCOX; THCCox; BRCACOX
NCBI Protein Information
peroxisomal acyl-coenzyme A oxidase 2
UniProt Protein Name
Peroxisomal acyl-coenzyme A oxidase 2
UniProt Gene Name
ACOX2
UniProt Entry Name
ACOX2_HUMAN
Customer Reviews
Loading reviews...
Share Your Experience
Similar Products
Product Notes
The ACOX2 acox2 (Catalog #AAA313341) is an Antibody produced from Rabbit and is intended for research purposes only. The product is available for immediate purchase. The ACOX2 Rabbit Polyclonal Antibody reacts with Human, Mouse and may cross-react with other species as described in the data sheet. AAA Biotech's ACOX2 can be used in a range of immunoassay formats including, but not limited to, IHC (Immunohistochemistry), WB (Western Blot). Researchers should empirically determine the suitability of the ACOX2 acox2 for an application not listed in the data sheet. Researchers commonly develop new applications and it is an integral, important part of the investigative research process. It is sometimes possible for the material contained within the vial of "ACOX2, Polyclonal Antibody" to become dispersed throughout the inside of the vial, particularly around the seal of said vial, during shipment and storage. We always suggest centrifuging these vials to consolidate all of the liquid away from the lid and to the bottom of the vial prior to opening. Please be advised that certain products may require dry ice for shipping and that, if this is the case, an additional dry ice fee may also be required.Precautions
All products in the AAA Biotech catalog are strictly for research-use only, and are absolutely not suitable for use in any sort of medical, therapeutic, prophylactic, in-vivo, or diagnostic capacity. By purchasing a product from AAA Biotech, you are explicitly certifying that said products will be properly tested and used in line with industry standard. AAA Biotech and its authorized distribution partners reserve the right to refuse to fulfill any order if we have any indication that a purchaser may be intending to use a product outside of our accepted criteria.Disclaimer
Though we do strive to guarantee the information represented in this datasheet, AAA Biotech cannot be held responsible for any oversights or imprecisions. AAA Biotech reserves the right to adjust any aspect of this datasheet at any time and without notice. It is the responsibility of the customer to inform AAA Biotech of any product performance issues observed or experienced within 30 days of receipt of said product. To see additional details on this or any of our other policies, please see our Terms & Conditions page.Item has been added to Shopping Cart
If you are ready to order, navigate to Shopping Cart and get ready to checkout.
