Rabbit anti-Mouse, Human APCS / Serum Amyloid P / SAP Polyclonal Antibody | anti-APCS antibody
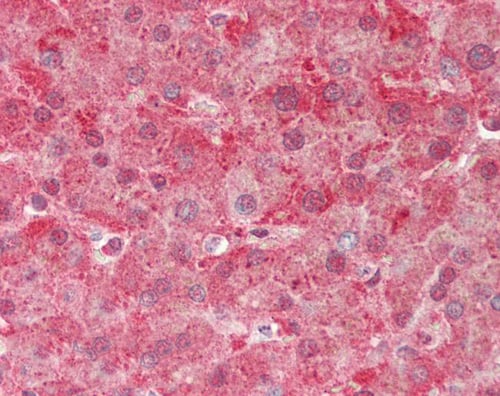
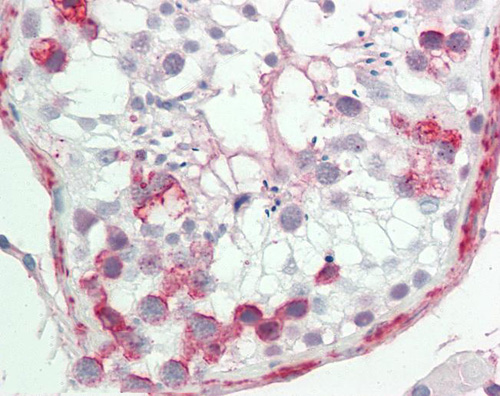
Anti-APCS / Serum Amyloid P / SAP Antibody IHC-plus
Gene Names
APCS; SAP; PTX2; HEL-S-92n
Reactivity
Mouse, Human
Applications
Western Blot, Immunohistochemistry
Purity
Affinity purified
Synonyms
APCS / Serum Amyloid P / SAP, Antibody; Anti-APCS / Serum Amyloid P / SAP Antibody IHC-plus; Rabbit Polyclonal (IgG) to Human APCS / Serum Amyloid P / SAP; Human APCS / Serum Amyloid P / SAP; 9.5S alpha-1-glycoprotein; Amyloid P component; serum; Pentaxin-related; PTX2; Serum Amyloid P; Serum amyloid P-component; anti-APCS antibody
Host
Rabbit
Reactivity
Mouse, Human
Clonality
Polyclonal
Isotype
IgG
Specificity
Human APCS / Serum Amyloid P / SAP
Purity/Purification
Affinity purified
Form/Format
PBS, pH 7.3, 0.02% sodium azide, 50% glycerol.
Concentration
1 mg/ml (varies by lot)
Sequence Length
223
Applicable Applications for anti-APCS antibody
WB (Western Blot), IHC (Immunohistochemistry)
Immunogen
APCS / Serum Amyloid P / SAP antibody was raised against recombinant human APCS.
Immunogen Description
Recombinant human APCS.
Immunogen Type
Recombinant protein
Target Species
Human
Preparation and Storage
Long term: -80 degree C
Short term: -20 degree C
Avoid freeze-thaw cycles.
Short term: -20 degree C
Avoid freeze-thaw cycles.
IF (Immunofluorescence)
(Immunofluorescence analysis of HeLa cells using APCS antibody. Blue: DAPI.)
Related Product Information for anti-APCS antibody
APCS Antibody, 9.5S alpha-1-glycoprotein Antibody, Amyloid P component, serum Antibody, Pentaxin-related Antibody, PTX2 Antibody, Serum Amyloid P Antibody, Serum amyloid P-component Antibody, SAP Antibody Description: APCS / Serum Amyloid P / SAP is a glycoprotein, belonging to the pentraxin family of proteins, which has a characteristic pentameric organization. These family members have considerable sequence homology which is thought to be the result of gene duplication. The binding of the encoded protein to proteins in the pathological amyloid cross-beta fold suggests its possible role as a chaperone. This protein is also thought to control the degradation of chromatin.
NCBI and Uniprot Product Information
NCBI GI #
NCBI GeneID
NCBI Accession #
NCBI GenBank Nucleotide #
UniProt Accession #
Molecular Weight
25,387 Da
NCBI Official Full Name
serum amyloid P-component
NCBI Official Synonym Full Names
amyloid P component, serum
NCBI Official Symbol
APCS
NCBI Official Synonym Symbols
SAP; PTX2; HEL-S-92n
NCBI Protein Information
serum amyloid P-component
UniProt Protein Name
Serum amyloid P-component
UniProt Gene Name
APCS
UniProt Synonym Gene Names
PTX2; SAP
UniProt Entry Name
SAMP_HUMAN
Customer Reviews
Loading reviews...
Share Your Experience
Similar Products
Product Notes
The APCS apcs (Catalog #AAA52616) is an Antibody produced from Rabbit and is intended for research purposes only. The product is available for immediate purchase. The Anti-APCS / Serum Amyloid P / SAP Antibody IHC-plus reacts with Mouse, Human and may cross-react with other species as described in the data sheet. AAA Biotech's APCS / Serum Amyloid P / SAP can be used in a range of immunoassay formats including, but not limited to, WB (Western Blot), IHC (Immunohistochemistry). Researchers should empirically determine the suitability of the APCS apcs for an application not listed in the data sheet. Researchers commonly develop new applications and it is an integral, important part of the investigative research process. It is sometimes possible for the material contained within the vial of "APCS / Serum Amyloid P / SAP, Polyclonal Antibody" to become dispersed throughout the inside of the vial, particularly around the seal of said vial, during shipment and storage. We always suggest centrifuging these vials to consolidate all of the liquid away from the lid and to the bottom of the vial prior to opening. Please be advised that certain products may require dry ice for shipping and that, if this is the case, an additional dry ice fee may also be required.Precautions
All products in the AAA Biotech catalog are strictly for research-use only, and are absolutely not suitable for use in any sort of medical, therapeutic, prophylactic, in-vivo, or diagnostic capacity. By purchasing a product from AAA Biotech, you are explicitly certifying that said products will be properly tested and used in line with industry standard. AAA Biotech and its authorized distribution partners reserve the right to refuse to fulfill any order if we have any indication that a purchaser may be intending to use a product outside of our accepted criteria.Disclaimer
Though we do strive to guarantee the information represented in this datasheet, AAA Biotech cannot be held responsible for any oversights or imprecisions. AAA Biotech reserves the right to adjust any aspect of this datasheet at any time and without notice. It is the responsibility of the customer to inform AAA Biotech of any product performance issues observed or experienced within 30 days of receipt of said product. To see additional details on this or any of our other policies, please see our Terms & Conditions page.Item has been added to Shopping Cart
If you are ready to order, navigate to Shopping Cart and get ready to checkout.
