Host
Rabbit
Reactivity
Human
Clonality
Polyclonal
Specificity
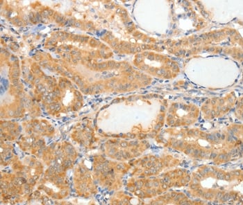
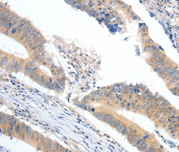
The antibody detects endogenous levels of total APOB protein.
Purity/Purification
Antigen affinity purification.
Form/Format
Rabbit IgG in pH7.3 PBS, 0.05% NaN3, 50% Glycerol.
Concentration
0.5 mg/ml (varies by lot)
Sequence
IALDDAKINFNEKLSQLQTY
Applicable Applications for anti-APOB antibody
IHC (Immunohistochemistry)
Immunogen Type
Peptide
Immunogen Description
Synthetic peptide corresponding to a region derived from internal residues of human apolipoprotein B (including Ag(x) antigen)
Target Name
APOB
Preparation and Storage
Store at -20 degree C
Related Product Information for anti-APOB antibody
This gene product is the main apolipoprotein of chylomicrons and low density lipoproteins. It occurs in plasma as two main isoforms, apoB-48 and apoB-100: the former is synthesized exclusively in the gut and the latter in the liver. The intestinal and the hepatic forms of apoB are encoded by a single gene from a single, very long mRNA. The two isoforms share a common N-terminal sequence. The shorter apoB-48 protein is produced after RNA editing of the apoB-100 transcript at residue 2180 (CAA->UAA), resulting in the creation of a stop codon, and early translation termination. Mutations in this gene or its regulatory region cause hypobetalipoproteinemia, normotriglyceridemic hypobetalipoproteinemia, and hypercholesterolemia due to ligand-defective apoB, diseases affecting plasma cholesterol and apoB levels.
Product Categories/Family for anti-APOB antibody
NCBI and Uniprot Product Information
NCBI GI #
NCBI GeneID
NCBI Accession #
NCBI GenBank Nucleotide #
UniProt Accession #
Molecular Weight
515,605 Da
NCBI Official Full Name
apolipoprotein B-100
NCBI Official Synonym Full Names
apolipoprotein B
NCBI Official Symbol
APOB
NCBI Official Synonym Symbols
FLDB; LDLCQ4
NCBI Protein Information
apolipoprotein B-100
UniProt Protein Name
Apolipoprotein B-100
UniProt Gene Name
APOB
UniProt Synonym Gene Names
Apo B-100; Apo B-48
UniProt Entry Name
APOB_HUMAN
Customer Reviews
Loading reviews...
Share Your Experience
Similar Products
Product Notes
The APOB apob (Catalog #AAA307872) is an Antibody produced from Rabbit and is intended for research purposes only. The product is available for immediate purchase. The APOB Antibody reacts with Human and may cross-react with other species as described in the data sheet. AAA Biotech's APOB can be used in a range of immunoassay formats including, but not limited to, IHC (Immunohistochemistry). Researchers should empirically determine the suitability of the APOB apob for an application not listed in the data sheet. Researchers commonly develop new applications and it is an integral, important part of the investigative research process. The amino acid sequence is listed below: IALDDAKINF NEKLSQLQTY. It is sometimes possible for the material contained within the vial of "APOB, Polyclonal Antibody" to become dispersed throughout the inside of the vial, particularly around the seal of said vial, during shipment and storage. We always suggest centrifuging these vials to consolidate all of the liquid away from the lid and to the bottom of the vial prior to opening. Please be advised that certain products may require dry ice for shipping and that, if this is the case, an additional dry ice fee may also be required.Precautions
All products in the AAA Biotech catalog are strictly for research-use only, and are absolutely not suitable for use in any sort of medical, therapeutic, prophylactic, in-vivo, or diagnostic capacity. By purchasing a product from AAA Biotech, you are explicitly certifying that said products will be properly tested and used in line with industry standard. AAA Biotech and its authorized distribution partners reserve the right to refuse to fulfill any order if we have any indication that a purchaser may be intending to use a product outside of our accepted criteria.Disclaimer
Though we do strive to guarantee the information represented in this datasheet, AAA Biotech cannot be held responsible for any oversights or imprecisions. AAA Biotech reserves the right to adjust any aspect of this datasheet at any time and without notice. It is the responsibility of the customer to inform AAA Biotech of any product performance issues observed or experienced within 30 days of receipt of said product. To see additional details on this or any of our other policies, please see our Terms & Conditions page.Item has been added to Shopping Cart
If you are ready to order, navigate to Shopping Cart and get ready to checkout.
