Rabbit anti-Human, Mouse ASB6 Polyclonal Antibody | anti-ASB6 antibody
ASB6 Polyclonal Antibody
Reactivity
Human, Mouse
Applications
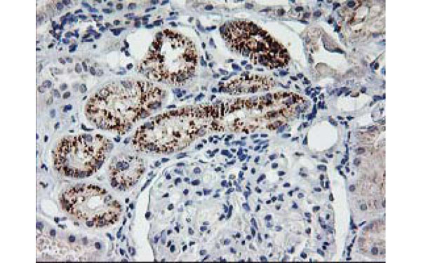
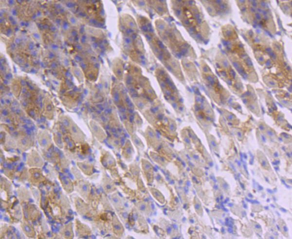
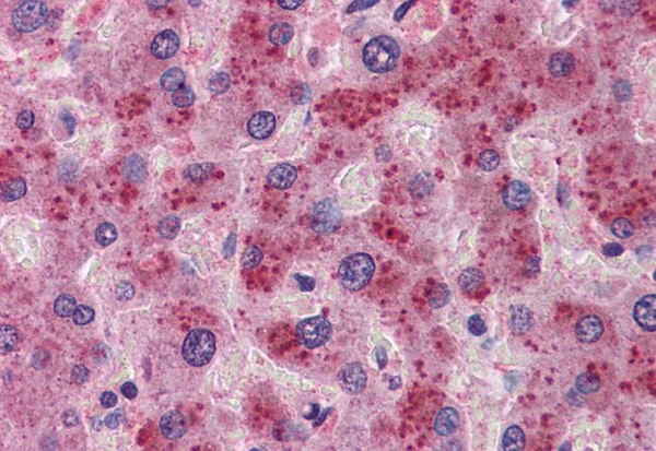
ELISA, Immunohistochemistry
Purity
Antigen affinity purification
Synonyms
ASB6, Antibody; ASB6 Polyclonal Antibody; Ankyrin repeat and SOCS box containing 6; Ankyrin repeat and SOCS box protein 6; ASB 6; ASB-6; ASB6; FLJ20548; MGC1024; anti-ASB6 antibody
Host
Rabbit
Reactivity
Human, Mouse
Clonality
Polyclonal
Isotype
IgG
Purity/Purification
Antigen affinity purification
Form/Format
PBS with 0.05% NaN3 and 40% Glycerol, pH7.4
Applicable Applications for anti-ASB6 antibody
ELISA, IHC (Immunohistochemistry)
Immunogen
Fusion protein of human ASB6
Note
Centrifuge before opening to ensure complete recovery of vial contents.
Preparation and Storage
Store at -20 degree C. Avoid freeze/thaw cycles.
Related Product Information for anti-ASB6 antibody
The protein encoded by this gene belongs to a family of ankyrin repeat proteins that, along with four other protein families, contain a C-terminal SOCS box motif. Growing evidence suggests that the SOCS box, similar to the F-box, acts as a bridge between specific substrate-binding domains and the more generic proteins that comprise a large family of E3 ubiquitin protein ligases. Alternatively spliced transcript variants have been identified for this gene.
Product Categories/Family for anti-ASB6 antibody
NCBI and Uniprot Product Information
NCBI GI #
NCBI GeneID
NCBI Accession #
NCBI GenBank Nucleotide #
UniProt Accession #
NCBI Official Full Name
ankyrin repeat and SOCS box protein 6 isoform 1
NCBI Official Synonym Full Names
ankyrin repeat and SOCS box containing 6
NCBI Official Symbol
ASB6
NCBI Protein Information
ankyrin repeat and SOCS box protein 6
UniProt Protein Name
Ankyrin repeat and SOCS box protein 6
UniProt Gene Name
ASB6
UniProt Synonym Gene Names
ASB-6
UniProt Entry Name
ASB6_HUMAN
Customer Reviews
Loading reviews...
Share Your Experience
Similar Products
Product Notes
The ASB6 asb6 (Catalog #AAA175449) is an Antibody produced from Rabbit and is intended for research purposes only. The product is available for immediate purchase. The ASB6 Polyclonal Antibody reacts with Human, Mouse and may cross-react with other species as described in the data sheet. AAA Biotech's ASB6 can be used in a range of immunoassay formats including, but not limited to, ELISA, IHC (Immunohistochemistry). Researchers should empirically determine the suitability of the ASB6 asb6 for an application not listed in the data sheet. Researchers commonly develop new applications and it is an integral, important part of the investigative research process. It is sometimes possible for the material contained within the vial of "ASB6, Polyclonal Antibody" to become dispersed throughout the inside of the vial, particularly around the seal of said vial, during shipment and storage. We always suggest centrifuging these vials to consolidate all of the liquid away from the lid and to the bottom of the vial prior to opening. Please be advised that certain products may require dry ice for shipping and that, if this is the case, an additional dry ice fee may also be required.Precautions
All products in the AAA Biotech catalog are strictly for research-use only, and are absolutely not suitable for use in any sort of medical, therapeutic, prophylactic, in-vivo, or diagnostic capacity. By purchasing a product from AAA Biotech, you are explicitly certifying that said products will be properly tested and used in line with industry standard. AAA Biotech and its authorized distribution partners reserve the right to refuse to fulfill any order if we have any indication that a purchaser may be intending to use a product outside of our accepted criteria.Disclaimer
Though we do strive to guarantee the information represented in this datasheet, AAA Biotech cannot be held responsible for any oversights or imprecisions. AAA Biotech reserves the right to adjust any aspect of this datasheet at any time and without notice. It is the responsibility of the customer to inform AAA Biotech of any product performance issues observed or experienced within 30 days of receipt of said product. To see additional details on this or any of our other policies, please see our Terms & Conditions page.Item has been added to Shopping Cart
If you are ready to order, navigate to Shopping Cart and get ready to checkout.
