Rabbit AurB Polyclonal Antibody | anti-AURKB antibody
AurB Antibody
Phosphate buffered saline, pH 7.4, 150mM NaCl, 0.02% sodium azide and 50% glycerol.
IF (Immunofluorescence)
(AAA322012 staining COS7 by IF/ICC. The sample were fixed with PFA and permeabilized in 0.1% Triton X-100, then blocked in 10% serum for 45 minutes at 25 degree C. The primary antibody was diluted at 1/200 and incubated with the sample for 1 hour at 37 degree C. An Alexa Fluor 594 conjugated goat anti-rabbit IgG (H+L) Ab, diluted at 1/600, was used as the secondary antibody.)
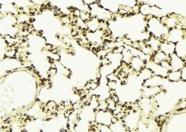
IHC (Immunohiostchemistry)
(AAA322012 at 1/100 staining Mouse lung tissue by IHC-P. The sample was formaldehyde fixed and a heat mediated antigen retrieval step in citrate buffer was performed. The sample was then blocked and incubated with the antibody for 1.5 hours at 22 degree C. An HRP conjugated goat anti-rabbit antibody was used as the secondary.)
Subunit Structure: Component of the chromosomal passenger complex (CPC) composed of at least BIRC5/survivin, CDCA8/borealin, INCENP, AURKB or AURKC; predominantly independent AURKB-and AURKC-containing complexes exist. Associates with RACGAP1 during M phase. Interacts with CDCA1, EVI5, JTB, NDC80, PSMA3, SEPT1, SIRT2 and TACC1. Interacts with SPDYC; this interaction may be required for proper localization of active, Thr-232-phosphorylated AURKB form during prometaphase and metaphase. Interacts with p53/TP53. Interacts (via the middle kinase domain) with NOC2L (via the N-and C-terminus domains). Interacts with TTC28. Interacts with RNF2/RING1B.
Post-translational Modifications: The phosphorylation of Thr-232 requires the binding to INCENP and occurs by means of an autophosphorylation mechanism. Thr-232 phosphorylation is indispensable for the AURKB kinase activity. Ubiquitinated by different BCR (BTB-CUL3-RBX1) E3 ubiquitin ligase complexes. Ubiquitinated by the BCR(KLHL9-KLHL13) E3 ubiquitin ligase complex, ubiquitination leads to removal from mitotic chromosomes and is required for cytokinesis. During anaphase, the BCR(KLHL21) E3 ubiquitin ligase complex recruits the CPC complex from chromosomes to the spindle midzone and mediates the ubiquitination of AURKB. Ubiquitination of AURKB by BCR(KLHL21) E3 ubiquitin ligase complex may not lead to its degradation by the proteasome.
Similarity: Belongs to the protein kinase superfamily. Ser/Thr protein kinase family. Aurora subfamily.
NCBI and Uniprot Product Information
Predicted: 40 kDa
Customer Reviews
Loading reviews...
Share Your Experience
Similar Products
Product Notes
The AURKB aurkb (Catalog #AAA322012) is an Antibody produced from Rabbit and is intended for research purposes only. The product is available for immediate purchase. The AurB Antibody reacts with Human, Mouse, Rat, Monkey and may cross-react with other species as described in the data sheet. AAA Biotech's AurB can be used in a range of immunoassay formats including, but not limited to, ELISA, ICC (Immunocytochemistry), IF (Immunofluorescence), IHC (Immunohistochemistry), WB (Western Blot). Researchers should empirically determine the suitability of the AURKB aurkb for an application not listed in the data sheet. Researchers commonly develop new applications and it is an integral, important part of the investigative research process. It is sometimes possible for the material contained within the vial of "AurB, Polyclonal Antibody" to become dispersed throughout the inside of the vial, particularly around the seal of said vial, during shipment and storage. We always suggest centrifuging these vials to consolidate all of the liquid away from the lid and to the bottom of the vial prior to opening. Please be advised that certain products may require dry ice for shipping and that, if this is the case, an additional dry ice fee may also be required.Precautions
All products in the AAA Biotech catalog are strictly for research-use only, and are absolutely not suitable for use in any sort of medical, therapeutic, prophylactic, in-vivo, or diagnostic capacity. By purchasing a product from AAA Biotech, you are explicitly certifying that said products will be properly tested and used in line with industry standard. AAA Biotech and its authorized distribution partners reserve the right to refuse to fulfill any order if we have any indication that a purchaser may be intending to use a product outside of our accepted criteria.Disclaimer
Though we do strive to guarantee the information represented in this datasheet, AAA Biotech cannot be held responsible for any oversights or imprecisions. AAA Biotech reserves the right to adjust any aspect of this datasheet at any time and without notice. It is the responsibility of the customer to inform AAA Biotech of any product performance issues observed or experienced within 30 days of receipt of said product. To see additional details on this or any of our other policies, please see our Terms & Conditions page.Item has been added to Shopping Cart
If you are ready to order, navigate to Shopping Cart and get ready to checkout.
