Loading...

Skip to main content
Call us at +1-800-604-9114 for more information about our products or contact us online Need help? +1-800-604-9114 or contact us
product-image-AAA316608_WB13.jpg WB (Western Blot) (Western blot analysis of lysates from 293 cells treated with EGF 200ng/ml 30', using B-RAF (Phospho-Ser446) Antibody. The lane on the right is blocked with the phospho peptide.)

Rabbit anti-Human, Mouse B-RAF Polyclonal Antibody | anti-B-RAF antibody

B-RAF (Phospho-Ser446) Antibody

Average rating 0.0
No ratings yet
Gene Names
BRAF; NS7; B-raf; BRAF1; RAFB1; B-RAF1
Reactivity
Human, Mouse
Applications
ELISA, Immunohistochemistry, Western Blot
Purity
Purified from rabbit antiserum by affinity-chromatography using phospho peptide. The antibody against non-phospho peptide was removed by chromatography using corresponding non-phospho peptide.
Synonyms
B-RAF, Antibody; B-RAF (Phospho-Ser446) Antibody; B-RAF; B-RAF proto-oncogene serine/threonine-protein kinase; B-Raf proto-oncogene serine/threonine-protein kinase; BRAF; BRAF1; c-RMIL; kinase B-Raf; p94; RAFB1; RMIL; RMIL serine/threonine-protein kinase; v-Raf murine sarcoma viral oncogene homolog B1; anti-B-RAF antibody
Ordering
Host
Rabbit
Reactivity
Human, Mouse
Clonality
Polyclonal
Specificity
B-RAF (Phospho-Ser446) Antibody detects endogenous levels of B-RAF only when phosphorylated at Ser446.
Purity/Purification
Purified from rabbit antiserum by affinity-chromatography using phospho peptide. The antibody against non-phospho peptide was removed by chromatography using corresponding non-phospho peptide.
Form/Format
Rabbit IgG in phosphate buffered saline (without Mg2+ and Ca2+), pH 7.4, 150mM NaCl, 0.02% sodium azide and 50% glycerol.
Concentration
1 mg/ml (varies by lot)
Sequence Length
766
Applicable Applications for anti-B-RAF antibody
ELISA, IHC (Immunohistochemistry), WB (Western Blot)
Target Modification
Phospho
Modification Sites
H:S446; M:S483
Immunogen
The antiserum was produced against synthesized peptide derived from human B-RAF around the phosphorylation site of Ser446.
Immunogen Range
411-460
Preparation and Storage
Stable at -20 degree C for at least 1 year.

WB (Western Blot)

(Western blot analysis of lysates from 293 cells treated with EGF 200ng/ml 30', using B-RAF (Phospho-Ser446) Antibody. The lane on the right is blocked with the phospho peptide.)

product-image-AAA316608_WB13.jpg WB (Western Blot) (Western blot analysis of lysates from 293 cells treated with EGF 200ng/ml 30', using B-RAF (Phospho-Ser446) Antibody. The lane on the right is blocked with the phospho peptide.)

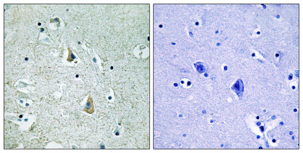
IHC (Immunohistochemistry)

(Immunohistochemistry analysis of paraffin-embedded human brain, using B-RAF (Phospho-Ser446) Antibody. The picture on the right is blocked with the phospho peptide.)

product-image-AAA316608_IHC15.jpg IHC (Immunohistochemistry) (Immunohistochemistry analysis of paraffin-embedded human brain, using B-RAF (Phospho-Ser446) Antibody. The picture on the right is blocked with the phospho peptide.)

NCBI and Uniprot Product Information

NCBI GI #
NCBI GeneID
673
NCBI Accession #
NCBI GenBank Nucleotide #
Molecular Weight
84 kDa
NCBI Official Full Name
serine/threonine-protein kinase B-raf isoform 1
NCBI Official Synonym Full Names
B-Raf proto-oncogene, serine/threonine kinase
NCBI Official Symbol
BRAF
NCBI Official Synonym Symbols
NS7; B-raf; BRAF1; RAFB1; B-RAF1
NCBI Protein Information
serine/threonine-protein kinase B-raf
UniProt Protein Name
Serine/threonine-protein kinase B-raf
UniProt Gene Name
BRAF
UniProt Synonym Gene Names
BRAF1; RAFB1

Customer Reviews

View All Reviews

Loading reviews...

Share Your Experience

Rating

Similar Products

Product Notes

The B-RAF braf (Catalog #AAA316608) is an Antibody produced from Rabbit and is intended for research purposes only. The product is available for immediate purchase. The B-RAF (Phospho-Ser446) Antibody reacts with Human, Mouse and may cross-react with other species as described in the data sheet. AAA Biotech's B-RAF can be used in a range of immunoassay formats including, but not limited to, ELISA, IHC (Immunohistochemistry), WB (Western Blot). Researchers should empirically determine the suitability of the B-RAF braf for an application not listed in the data sheet. Researchers commonly develop new applications and it is an integral, important part of the investigative research process. It is sometimes possible for the material contained within the vial of "B-RAF, Polyclonal Antibody" to become dispersed throughout the inside of the vial, particularly around the seal of said vial, during shipment and storage. We always suggest centrifuging these vials to consolidate all of the liquid away from the lid and to the bottom of the vial prior to opening. Please be advised that certain products may require dry ice for shipping and that, if this is the case, an additional dry ice fee may also be required.

Precautions

All products in the AAA Biotech catalog are strictly for research-use only, and are absolutely not suitable for use in any sort of medical, therapeutic, prophylactic, in-vivo, or diagnostic capacity. By purchasing a product from AAA Biotech, you are explicitly certifying that said products will be properly tested and used in line with industry standard. AAA Biotech and its authorized distribution partners reserve the right to refuse to fulfill any order if we have any indication that a purchaser may be intending to use a product outside of our accepted criteria.

Disclaimer

Though we do strive to guarantee the information represented in this datasheet, AAA Biotech cannot be held responsible for any oversights or imprecisions. AAA Biotech reserves the right to adjust any aspect of this datasheet at any time and without notice. It is the responsibility of the customer to inform AAA Biotech of any product performance issues observed or experienced within 30 days of receipt of said product. To see additional details on this or any of our other policies, please see our Terms & Conditions page.

Item has been added to Shopping Cart

If you are ready to order, navigate to Shopping Cart and get ready to checkout.

Submit a Question

Please complete the form below and a representative will contact you as soon as possible.

Request more Information

Please complete the form below and a representative will contact you as soon as possible.

Request a Manual

Please complete the form below and a representative will contact you as soon as possible.

Request a Quote

Please complete the form below and a representative will contact you as soon as possible.