Loading...

Skip to main content
Call us at +1-800-604-9114 for more information about our products or contact us online Need help? +1-800-604-9114 or contact us
product-image-AAA321526_WB10.jpg WB (Western Blot) (Western blot analysis of Phospho-B-RAF (Ser446) expression in various lysates)

Rabbit anti-Human, Mouse B-RAF Polyclonal Antibody | anti-B-RAF antibody

Phospho-B-RAF (Ser446) Antibody

Average rating 0.0
No ratings yet
Gene Names
BRAF; NS7; B-raf; BRAF1; RAFB1; B-RAF1
Reactivity
Human, Mouse
Applications
ELISA, Immunohistochemistry, Western Blot
Purity
From purified rabbit serum by affinity purification via sequential chromatography on phospho-and non-phospho-peptide affinity columns.
Synonyms
B-RAF, Antibody; Phospho-B-RAF (Ser446) Antibody; FLJ95109; 94 kDa B raf protein; B raf 1; B Raf proto oncogene serine threonine protein kinase; B Raf proto oncogene, serine/threonine kinase; B RAF1; B-Raf proto-oncogene serine/threonine-protein kinase (p94); BRAF 1; BRAF; BRAF_HUMAN; BRAF1; cRmil; MGC126806; MGC138284; Murine sarcoma viral (v-raf) oncogene homolog B1; Murine sarcoma viral v raf oncogene homolog B1; NS7; Oncogen BRAF; oncogene BRAF1; p94; Proto-oncogene B-Raf; Proto-oncogene c-Rmil; RAFB 1; RAFB1; RMIL; Serine/threonine-protein kinase B-raf; v raf murine sarcoma viral oncogene homolog B; v raf murine sarcoma viral oncogene homolog B1; v-Raf murine sarcoma viral oncogene homolog B1; anti-B-RAF antibody
Ordering
Host
Rabbit
Reactivity
Human, Mouse
Clonality
Polyclonal
Isotype
IgG
Specificity
Phospho-B-RAF (Ser446) antibody detects endogenous levels of B-RAF only when phosphorylated at Serine 446
Purity/Purification
From purified rabbit serum by affinity purification via sequential chromatography on phospho-and non-phospho-peptide affinity columns.
Form/Format
Liquid
Phosphate buffered saline, pH 7.4, 150mM NaCl, 0.02% sodium azide and 50% glycerol.
Concentration
1mg/ml (varies by lot)
Sequence Length
766
Applicable Applications for anti-B-RAF antibody
ELISA, IHC (Immunohistochemistry), WB (Western Blot)
Immunogen
A synthesized peptide derived from human B-RAF around the phosphorylation site of Serine 446
Subcellular Location
Nucleus. Cytoplasm. Cell Membrane. Colocalizes with RGS14 and RAF1 in both the cytoplasm and membranes.
Tissue Specificity
Brain and testis.
Predicted Cross Reactivity
Pig, Zebrafish, Bovine, Horse, Sheep, Rabbit, Dog, Chicken, Xenopus
Similarity
Pig (100%), Zebrafish (100%), Bovine (100%), Horse (100%), Sheep (100%), Rabbit (100%), Dog (100%), Chicken (100%), Xenopus (100%)
Conjugation
Unconjugated
Epitope
Phospho Ser446
Preparation and Storage
Store at -20 degree C. Stable for 12 months from date of receipt.

WB (Western Blot)

(Western blot analysis of Phospho-B-RAF (Ser446) expression in various lysates)

product-image-AAA321526_WB10.jpg WB (Western Blot) (Western blot analysis of Phospho-B-RAF (Ser446) expression in various lysates)

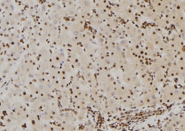
IHC (Immunohistochemisry)

(AAA321526 at 1/100 staining Human liver tissue by IHC-P. The sample was formaldehyde fixed and a heat mediated antigen retrieval step in citrate buffer was performed. The sample was then blocked and incubated with the antibody for 1.5 hours at 22 degree C. An HRP conjugated goat anti-rabbit antibody was used as the secondary.)

product-image-AAA321526_IHC11.jpg IHC (Immunohistochemisry) (AAA321526 at 1/100 staining Human liver tissue by IHC-P. The sample was formaldehyde fixed and a heat mediated antigen retrieval step in citrate buffer was performed. The sample was then blocked and incubated with the antibody for 1.5 hours at 22 degree C. An HRP conjugated goat anti-rabbit antibody was used as the secondary.)

WB (Western Blot)

(Western blot analysis of B-RAF phosphorylation expression in EGF treated 293 whole cell lysates, The lane on the left is treated with the antigen-specific peptide.)

product-image-AAA321526_WB13.jpg WB (Western Blot) (Western blot analysis of B-RAF phosphorylation expression in EGF treated 293 whole cell lysates, The lane on the left is treated with the antigen-specific peptide.)

IHC (Immunohistochemistry)

(AAA321526 at 1/100 staining human brain tissues sections by IHC-P. The tissue was formaldehyde fixed and a heat mediated antigen retrieval step in citrate buffer was performed. The tissue was then blocked and incubated with the antibody for 1.5 hours at 31 degree C)

product-image-AAA321526_IHC15.jpg IHC (Immunohistochemistry) (AAA321526 at 1/100 staining human brain tissues sections by IHC-P. The tissue was formaldehyde fixed and a heat mediated antigen retrieval step in citrate buffer was performed. The tissue was then blocked and incubated with the antibody for 1.5 hours at 31 degree C)
Related Product Information for anti-B-RAF antibody
Description: B-Raf is a tyrosine kinase-like kinase of the RAF family. Involved in the transduction of mitogenic signals from the cell membrane to the nucleus. May play a role in the postsynaptic responses of hippocampal neuron.
Function: Protein kinase involved in the transduction of mitogenic signals from the cell membrane to the nucleus. May play a role in the postsynaptic responses of hippocampal neuron. Phosphorylates MAP2K1, and thereby contributes to the MAP kinase signal transduction pathway.
Subunit Structure: Monomer. Homodimer. Heterodimerizes with RAF1, and the heterodimer possesses a highly increased kinase activity compared to the respective homodimers or monomers. Heterodimerization is mitogen-regulated and enhanced by 14-3-3 proteins. MAPK1/ERK2 activation can induce a negative feedback that promotes the dissociation of the heterodimer by phosphorylating BRAF at Thr-753. Found in a complex with at least BRAF, HRAS, MAP2K1, MAPK3 and RGS14. Interacts with RIT1. Interacts (via N-terminus) with RGS14 (via RBD domains); the interaction mediates the formation of a ternary complex with RAF1, a ternary complex inhibited by GNAI1 (By similarity). Interacts with DGKH (PubMed:19710016). Interacts with PRMT5 (PubMed:21917714). Interacts with KSR2 (PubMed:21441910). Interacts with AKAP13, MAP2K1 and KSR1. Identified in a complex with AKAP13, MAP2K1 and KSR1 (PubMed:21102438). Interacts with FNIP1 and FNIP2 (PubMed:27353360).
Post-translational Modifications: Phosphorylation at Ser-365 by SGK1 inhibits its activity. Methylation at Arg-671 decreases stability and kinase activity. Ubiquitinated by RNF149; which leads to proteasomal degradation. Polyubiquitinated at Lys-578 in response to EGF.
Similarity: Belongs to the protein kinase superfamily. TKL Ser/Thr protein kinase family. RAF subfamily.

NCBI and Uniprot Product Information

NCBI GI #
NCBI GeneID
673
NCBI Accession #
NCBI GenBank Nucleotide #
Molecular Weight
Observed: 110 kDa
Predicted: 85 kDa
NCBI Official Full Name
serine/threonine-protein kinase B-raf isoform 1
NCBI Official Synonym Full Names
B-Raf proto-oncogene, serine/threonine kinase
NCBI Official Symbol
BRAF
NCBI Official Synonym Symbols
NS7; B-raf; BRAF1; RAFB1; B-RAF1
NCBI Protein Information
serine/threonine-protein kinase B-raf
UniProt Protein Name
Serine/threonine-protein kinase B-raf
UniProt Gene Name
BRAF
UniProt Synonym Gene Names
BRAF1; RAFB1

Customer Reviews

View All Reviews

Loading reviews...

Share Your Experience

Rating

Similar Products

Product Notes

The B-RAF braf (Catalog #AAA321526) is an Antibody produced from Rabbit and is intended for research purposes only. The product is available for immediate purchase. The Phospho-B-RAF (Ser446) Antibody reacts with Human, Mouse and may cross-react with other species as described in the data sheet. AAA Biotech's B-RAF can be used in a range of immunoassay formats including, but not limited to, ELISA, IHC (Immunohistochemistry), WB (Western Blot). Researchers should empirically determine the suitability of the B-RAF braf for an application not listed in the data sheet. Researchers commonly develop new applications and it is an integral, important part of the investigative research process. It is sometimes possible for the material contained within the vial of "B-RAF, Polyclonal Antibody" to become dispersed throughout the inside of the vial, particularly around the seal of said vial, during shipment and storage. We always suggest centrifuging these vials to consolidate all of the liquid away from the lid and to the bottom of the vial prior to opening. Please be advised that certain products may require dry ice for shipping and that, if this is the case, an additional dry ice fee may also be required.

Precautions

All products in the AAA Biotech catalog are strictly for research-use only, and are absolutely not suitable for use in any sort of medical, therapeutic, prophylactic, in-vivo, or diagnostic capacity. By purchasing a product from AAA Biotech, you are explicitly certifying that said products will be properly tested and used in line with industry standard. AAA Biotech and its authorized distribution partners reserve the right to refuse to fulfill any order if we have any indication that a purchaser may be intending to use a product outside of our accepted criteria.

Disclaimer

Though we do strive to guarantee the information represented in this datasheet, AAA Biotech cannot be held responsible for any oversights or imprecisions. AAA Biotech reserves the right to adjust any aspect of this datasheet at any time and without notice. It is the responsibility of the customer to inform AAA Biotech of any product performance issues observed or experienced within 30 days of receipt of said product. To see additional details on this or any of our other policies, please see our Terms & Conditions page.

Item has been added to Shopping Cart

If you are ready to order, navigate to Shopping Cart and get ready to checkout.

Submit a Question

Please complete the form below and a representative will contact you as soon as possible.

Request more Information

Please complete the form below and a representative will contact you as soon as possible.

Request a Manual

Please complete the form below and a representative will contact you as soon as possible.

Request a Quote

Please complete the form below and a representative will contact you as soon as possible.