Rabbit CAPNS1 Polyclonal Antibody | anti-CAPNS1 antibody
CAPNS1 Polyclonal Antibody
Gene Names
CAPNS1; CANP; CDPS; CSS1; CANPS; CAPN4; CALPAIN4
Reactivity
Human, Mouse, Rat
Applications
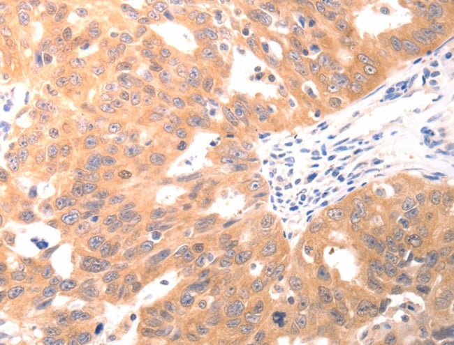
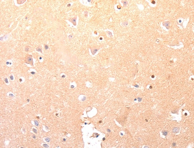
Immunohistochemistry, Western Blot, ELISA
Purity
Antigen affinity purification
Synonyms
CAPNS1, Antibody; CAPNS1 Polyclonal Antibody; 30K, CANP, CDPS, CSS1, CANPS, CAPN4, CALPAIN4; anti-CAPNS1 antibody
Host
Rabbit
Reactivity
Human, Mouse, Rat
Clonality
Polyclonal
Isotype
IgG
Purity/Purification
Antigen affinity purification
Concentration
2mg/mL (varies by lot)
Sequence Length
268
Applicable Applications for anti-CAPNS1 antibody
IHC (Immunohistochemistry), WB (Western Blot), ELISA
Immunogen
Recombinant protein of human CAPNS1
Buffer
PBS with 0.05% sodium azide, 50% glycerol, pH7.3
Preparation and Storage
Store at -20 degree C (regular) and -80 degree C (long term). Avoid freeze / thaw cycles.
Related Product Information for anti-CAPNS1 antibody
Calpains are a ubiquitous, well-conserved family of calcium-dependent, cysteine proteases. Calpain families have been implicated in neurodegenerative processes, as their activation can be triggered by calcium influx and oxidative stress. Calpain I and II are heterodimeric with distinct large subunits associated with common small subunits, all of which are encoded by different genes. This gene encodes a small subunit common to both calpain I and II and is associated with myotonic dystrophy. Two transcript variants encoding the same protein have been identified for this gene.
Product Categories/Family for anti-CAPNS1 antibody
NCBI and Uniprot Product Information
NCBI GI #
NCBI GeneID
Molecular Weight
28,316 Da
NCBI Official Full Name
CAPNS1 protein
NCBI Official Synonym Full Names
calpain, small subunit 1
NCBI Official Symbol
CAPNS1
NCBI Official Synonym Symbols
CANP; CDPS; CSS1; CANPS; CAPN4; CALPAIN4
NCBI Protein Information
calpain small subunit 1; CANP small subunit; calcium-activated neutral proteinase small subunit; calcium-dependent protease small subunit 1; calcium-dependent protease, small subunit; calpain 4, small subunit (30K); calpain regulatory subunit; calpain, small polypeptide
UniProt Protein Name
Calpain small subunit 1
UniProt Gene Name
CAPNS1
UniProt Synonym Gene Names
CAPN4; CAPNS; CSS1; CANP small subunit; CDPS
UniProt Entry Name
CPNS1_HUMAN
Similar Products
Product Notes
The CAPNS1 capns1 (Catalog #AAA168123) is an Antibody produced from Rabbit and is intended for research purposes only. The product is available for immediate purchase. The CAPNS1 Polyclonal Antibody reacts with Human, Mouse, Rat and may cross-react with other species as described in the data sheet. AAA Biotech's CAPNS1 can be used in a range of immunoassay formats including, but not limited to, IHC (Immunohistochemistry), WB (Western Blot), ELISA. Researchers should empirically determine the suitability of the CAPNS1 capns1 for an application not listed in the data sheet. Researchers commonly develop new applications and it is an integral, important part of the investigative research process. It is sometimes possible for the material contained within the vial of "CAPNS1, Polyclonal Antibody" to become dispersed throughout the inside of the vial, particularly around the seal of said vial, during shipment and storage. We always suggest centrifuging these vials to consolidate all of the liquid away from the lid and to the bottom of the vial prior to opening. Please be advised that certain products may require dry ice for shipping and that, if this is the case, an additional dry ice fee may also be required.Precautions
All products in the AAA Biotech catalog are strictly for research-use only, and are absolutely not suitable for use in any sort of medical, therapeutic, prophylactic, in-vivo, or diagnostic capacity. By purchasing a product from AAA Biotech, you are explicitly certifying that said products will be properly tested and used in line with industry standard. AAA Biotech and its authorized distribution partners reserve the right to refuse to fulfill any order if we have any indication that a purchaser may be intending to use a product outside of our accepted criteria.Disclaimer
Though we do strive to guarantee the information represented in this datasheet, AAA Biotech cannot be held responsible for any oversights or imprecisions. AAA Biotech reserves the right to adjust any aspect of this datasheet at any time and without notice. It is the responsibility of the customer to inform AAA Biotech of any product performance issues observed or experienced within 30 days of receipt of said product. To see additional details on this or any of our other policies, please see our Terms & Conditions page.Item has been added to Shopping Cart
If you are ready to order, navigate to Shopping Cart and get ready to checkout.
