Rabbit Catenin-beta Polyclonal Antibody | anti-CTNNB1 antibody
Phospho-Catenin-beta (Ser37) Antibody
Phosphate buffered saline, pH 7.4, 150mM NaCl, 0.02% sodium azide and 50% glycerol.
WB (Western Blot)
(Western blot analysis of extracts of various tissue sample, using Phospho-Catenin-beta (Ser37) Antibody.)
WB (Western Blot)
(Western blot analysis of Catenin-beta phosphorylation expression in 293 whole cell lysates, The lane on the left is treated with the antigen-specific peptide.)
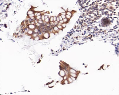
IHC (Immunohiostchemistry)
(AAA321593 at 1/200 staining human colon cancer tissue sections by IHC-P. The tissue was formaldehyde fixed and a heat mediated antigen retrieval step in citrate buffer was performed. The tissue was then blocked and incubated with the antibody for 1.5 hours at 22 degree C. An HRP conjugated goat anti-rabbit antibody was used as the secondary.)
IF (Immunofluorescence)
(AAA321593 staining SW626 by IF/ICC. The sample were fixed with PFA and permeabilized in 0.1% Triton X-100, then blocked in 10% serum for 45 minutes at 25 degree C. The primary antibody was diluted at 1/200 and incubated with the sample for 1 hour at 37 degree C. An Alexa Fluor 594 conjugated goat anti-rabbit IgG (H+L) Ab, diluted at 1/600, was used as the secondary antibody.)
Function: Key downstream component of the canonical Wnt signaling pathway. In the absence of Wnt, forms a complex with AXIN1, AXIN2, APC, CSNK1A1 and GSK3B that promotes phosphorylation on N-terminal Ser and Thr residues and ubiquitination of CTNNB1 via BTRC and its subsequent degradation by the proteasome. In the presence of Wnt ligand, CTNNB1 is not ubiquitinated and accumulates in the nucleus, where it acts as a coactivator for transcription factors of the TCF/LEF family, leading to activate Wnt responsive genes. Involved in the regulation of cell adhesion, as component of an E-cadherin:catenin adhesion complex. Acts as a negative regulator of centrosome cohesion. Involved in the CDK2/PTPN6/CTNNB1/CEACAM1 pathway of insulin internalization. Blocks anoikis of malignant kidney and intestinal epithelial cells and promotes their anchorage-independent growth by down-regulating DAPK2. Disrupts PML function and PML-NB formation by inhibiting RANBP2-mediated sumoylation of PML (PubMed:17524503, PubMed:18077326, PubMed:18086858, PubMed:18957423, PubMed:21262353, PubMed:22647378, PubMed:22699938, PubMed:22155184). Promotes neurogenesis by maintaining sympathetic neuroblasts within the cell cycle (By similarity).
Subunit Structure: Two separate complex-associated pools are found in the cytoplasm. The majority is present as component of an E-cadherin:catenin adhesion complex composed of at least E-cadherin/CDH1 and beta-catenin/CTNNB1, and possibly alpha-catenin/CTNNA1; the complex is located to adherens junctions. The stable association of CTNNA1 is controversial as CTNNA1 was shown not to bind to F-actin when assembled in the complex. Alternatively, the CTNNA1-containing complex may be linked to F-actin by other proteins such as LIMA1. Another cytoplasmic pool is part of a large complex containing AXIN1, AXIN2, APC, CSNK1A1 and GSK3B that promotes phosphorylation on N-terminal Ser and Thr residues and ubiquitination of CTNNB1 via BTRC and its subsequent degradation by the proteasome. Wnt-dependent activation of DVL antagonizes the action of GSK3B. When GSK3B activity is inhibited the complex dissociates, CTNNB1 is dephosphorylated and is no longer targeted for destruction. The stabilized protein translocates to the nucleus, where it binds TCF/LEF-1 family members, TBP, BCL9, BCL9L and possibly also RUVBL1 and CHD8. Binds CTNNBIP and EP300. CTNNB1 forms a ternary complex with LEF1 and EP300 that is disrupted by CTNNBIP1 binding. Interacts with TAX1BP3 (via the PDZ domain); this interaction inhibits the transcriptional activity of CTNNB1. Interacts with AJAP1, BAIAP1, CARM1, CTNNA3, CXADR and PCDH11Y. Binds SLC9A3R1. Interacts with GLIS2 and MUC1. Interacts with SLC30A9. Interacts with XIRP1. Interacts directly with AXIN1; the interaction is regulated by CDK2 phosphorylation of AXIN1. Interacts with SCRIB. Interacts with RAPGEF2. Interacts with PTPRU (via the cytoplasmic juxtamembrane domain). Interacts with EMD. Interacts with TNIK and TCF7L2. Interacts with SESTD1 and TRPC4. Interacts with CAV1. Interacts with TRPV4. The TRPV4 and CTNNB1 complex can interact with CDH1. Interacts with VCL. Interacts with PTPRJ. Interacts with PKT7 and CDK2. Interacts with FAT1 (via the cytoplasmic domain). Interacts with NANOS1 and NDRG2. Interacts with isoform 1 of NEK2. Interacts with both isoform 1 and isoform 2 of CDK5. Interacts with PTK6. Interacts with SOX7; this interaction may lead to proteasomal degradation of active CTNNB1 and thus inhibition of Wnt/beta-catenin-stimulated transcription. Identified in a complex with HINT1 and MITF. Interacts with FHIT. The CTNNB1 and TCF7L2/TCF4 complex interacts with PML (isoform PML-4). Interacts with FERMT2. Identified in a complex with TCF7L2/TCF4 and FERMT2. Interacts with RORA. May interact with P-cadherin/CDH3. Interacts with RNF220 (PubMed:25266658). Interacts with CTNND2 (PubMed:25807484). Interacts (via the C-terminal region) with CBY1 (PubMed:12712206, PubMed:16424001). The complex composed, at least, of APC, CTNNB1 and GSK3B interacts with JPT1; the interaction requires the inactive form of GSK3B (phosphorylated at 'Ser-9') (PubMed:25169422). Interacts with DLG5 (By similarity). Interacts with FAM53B; promoting translocation to the nucleus (PubMed:25183871). Interacts with TMEM170B (PubMed:29367600). Interacts with AHI1 (PubMed:21623382).
Post-translational Modifications: Phosphorylation at Ser-552 by AMPK promotes stabilizion of the protein, enhancing TCF/LEF-mediated transcription (By similarity). Phosphorylation by GSK3B requires prior phosphorylation of Ser-45 by another kinase. Phosphorylation proceeds then from Thr-41 to Ser-37 and Ser-33. Phosphorylated by NEK2. EGF stimulates tyrosine phosphorylation. Phosphorylation on Tyr-654 decreases CDH1 binding and enhances TBP binding. Phosphorylated on Ser-33 and Ser-37 by HIPK2 and GSK3B, this phosphorylation triggers proteasomal degradation (PubMed:25169422). Phosphorylation on Ser-191 and Ser-246 by CDK5. Phosphorylation by CDK2 regulates insulin internalization. Phosphorylation by PTK6 at Tyr-64, Tyr-142, Tyr-331 and/or Tyr-333 with the predominant site at Tyr-64 is not essential for inhibition of transcriptional activity. Ubiquitinated by the SCF(BTRC) E3 ligase complex when phosphorylated by GSK3B, leading to its degradation. Ubiquitinated by a E3 ubiquitin ligase complex containing UBE2D1, SIAH1, CACYBP/SIP, SKP1, APC and TBL1X, leading to its subsequent proteasomal degradation (By similarity). S-nitrosylation at Cys-619 within adherens junctions promotes VEGF-induced, NO-dependent endothelial cell permeability by disrupting interaction with E-cadherin, thus mediating disassembly adherens junctions. O-glycosylation at Ser-23 decreases nuclear localization and transcriptional activity, and increases localization to the plasma membrane and interaction with E-cadherin CDH1. Deacetylated at Lys-49 by SIRT1.
Similarity: Belongs to the beta-catenin family.
NCBI and Uniprot Product Information
Predicted: 86 kDa
Customer Reviews
Loading reviews...
Share Your Experience
Similar Products
Product Notes
The CTNNB1 ctnnb1 (Catalog #AAA321593) is an Antibody produced from Rabbit and is intended for research purposes only. The product is available for immediate purchase. The Phospho-Catenin-beta (Ser37) Antibody reacts with Human, Mouse, Rat and may cross-react with other species as described in the data sheet. AAA Biotech's Catenin-beta can be used in a range of immunoassay formats including, but not limited to, ELISA, ICC (Immunocytochemistry), IF (Immunofluorescence), IHC (Immunohistochemistry), WB (Western Blot). Researchers should empirically determine the suitability of the CTNNB1 ctnnb1 for an application not listed in the data sheet. Researchers commonly develop new applications and it is an integral, important part of the investigative research process. It is sometimes possible for the material contained within the vial of "Catenin-beta, Polyclonal Antibody" to become dispersed throughout the inside of the vial, particularly around the seal of said vial, during shipment and storage. We always suggest centrifuging these vials to consolidate all of the liquid away from the lid and to the bottom of the vial prior to opening. Please be advised that certain products may require dry ice for shipping and that, if this is the case, an additional dry ice fee may also be required.Precautions
All products in the AAA Biotech catalog are strictly for research-use only, and are absolutely not suitable for use in any sort of medical, therapeutic, prophylactic, in-vivo, or diagnostic capacity. By purchasing a product from AAA Biotech, you are explicitly certifying that said products will be properly tested and used in line with industry standard. AAA Biotech and its authorized distribution partners reserve the right to refuse to fulfill any order if we have any indication that a purchaser may be intending to use a product outside of our accepted criteria.Disclaimer
Though we do strive to guarantee the information represented in this datasheet, AAA Biotech cannot be held responsible for any oversights or imprecisions. AAA Biotech reserves the right to adjust any aspect of this datasheet at any time and without notice. It is the responsibility of the customer to inform AAA Biotech of any product performance issues observed or experienced within 30 days of receipt of said product. To see additional details on this or any of our other policies, please see our Terms & Conditions page.Item has been added to Shopping Cart
If you are ready to order, navigate to Shopping Cart and get ready to checkout.
