Goat beta-Catenin Polyclonal Antibody | anti-beta-Catenin antibody
Catenin beta 1 Polyclonal Antibody
IF: 1:50-1:250
IHC-P 1:250-1:1000
IHC (Immunohistochemistry)
(IHC of mouse retina using anti-CTNNB1 antibody and FFPE tissue after heat-induced antigen retrieval. Anti-CTNNB1 Ab at 1:500/DAB detection.)
IF (Immunofluorescence)
(Confocal immunofluorescence – anti-Catenin beta1 Ab in BEAS-2B cells at 1/250 dilution; cells were fixed with 4% of PFA;)
IHC (Immunohistochemistry)
(IHC of mouse lung using anti-CTNNB1 antibody and FFPE tissue after heat-induced antigen retrieval. Anti-CTNNB1 Ab at 1:500/DAB detection.)
IHC (Immunohistchemistry)
(IHC of mouse brain using anti-CTNNB1 antibody and FFPE tissue after heat-induced antigen retrieval. Anti-CTNNB1 Ab at 1:500/DAB detection.)
IHC (Immunohistochemistry)
(IHC of mouse liver using anti-CTNNB1 antibody and FFPE tissue after heat-induced antigen retrieval. Anti-CTNNB1 Ab at 1:500/DAB detection.)
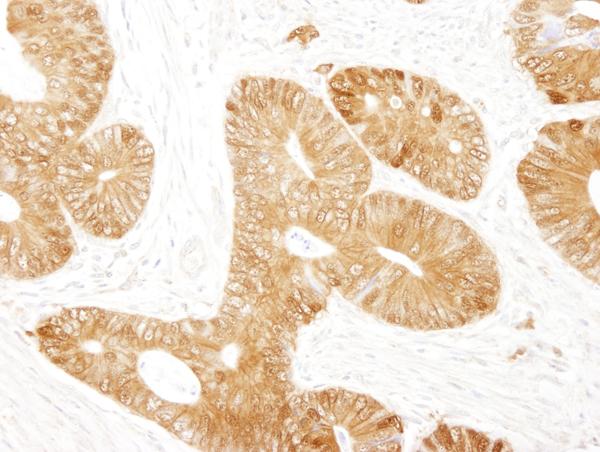
IHC (Immunohistochemistry)
(IHC of mouse intestine using anti-CTNNB1 antibody and FFPE tissue after heat-induced antigen retrieval. Anti-CTNNB1 Ab at 1:500/DAB detection.)
IF (Immunofluorescence)
(Confocal immunofluorescence – anti-Catenin beta1 Ab in BEAS-2B cells at 1/250 dilution; cells were fixed with 4% of PFA;)
WB (Western Blot)
(Anti-beta-Catenin Ab at 1/1,000 dilution; lysate at 100 µg per lane; Rabbit polyclonal to goat IgG (HRP) at 1/10,000 dilution;)
Goat polyclonal antibody to Catenin (cadherin-associated protein), beta 1. Beta Catenin is a 88 kDa protein and is a key downstream effector in the Wnt signalling pathway. It is involved in early embryonic development and tumorigenesis. Beta Catenin is part of a complex of proteins that constitute adherens junctions, necessary for the creation and maintenance of epithelial cell layers by regulating cell growth and adhesion between cells. This protein anchors the actin cytoskeleton and may be responsible for transmitting the contact inhibition signal that causes cells to stop dividing once the epithelial sheet is complete.
NCBI and Uniprot Product Information
Customer Reviews
Loading reviews...
Share Your Experience
Similar Products
Product Notes
The beta-Catenin ctnnb1 (Catalog #AAA13863) is an Antibody produced from Goat and is intended for research purposes only. The product is available for immediate purchase. The Catenin beta 1 Polyclonal Antibody reacts with Human, rat, mouse, canine, and monkey proteins. and may cross-react with other species as described in the data sheet. AAA Biotech's beta-Catenin can be used in a range of immunoassay formats including, but not limited to, IF (Immunofluorescence), WB (Western Blot), IHC (Immunohistochemistry). WB: 1:500-1:2,000 IF: 1:50-1:250 IHC-P 1:250-1:1000. Researchers should empirically determine the suitability of the beta-Catenin ctnnb1 for an application not listed in the data sheet. Researchers commonly develop new applications and it is an integral, important part of the investigative research process. It is sometimes possible for the material contained within the vial of "beta-Catenin, Polyclonal Antibody" to become dispersed throughout the inside of the vial, particularly around the seal of said vial, during shipment and storage. We always suggest centrifuging these vials to consolidate all of the liquid away from the lid and to the bottom of the vial prior to opening. Please be advised that certain products may require dry ice for shipping and that, if this is the case, an additional dry ice fee may also be required.Precautions
All products in the AAA Biotech catalog are strictly for research-use only, and are absolutely not suitable for use in any sort of medical, therapeutic, prophylactic, in-vivo, or diagnostic capacity. By purchasing a product from AAA Biotech, you are explicitly certifying that said products will be properly tested and used in line with industry standard. AAA Biotech and its authorized distribution partners reserve the right to refuse to fulfill any order if we have any indication that a purchaser may be intending to use a product outside of our accepted criteria.Disclaimer
Though we do strive to guarantee the information represented in this datasheet, AAA Biotech cannot be held responsible for any oversights or imprecisions. AAA Biotech reserves the right to adjust any aspect of this datasheet at any time and without notice. It is the responsibility of the customer to inform AAA Biotech of any product performance issues observed or experienced within 30 days of receipt of said product. To see additional details on this or any of our other policies, please see our Terms & Conditions page.Item has been added to Shopping Cart
If you are ready to order, navigate to Shopping Cart and get ready to checkout.
