Rabbit CBL Polyclonal Antibody | anti-CBL antibody
Anti-CBL Antibody Picoband
Each vial contains 4 mg Trehalose, 0.9 mg NaCl, 0.2 mg Na2HPO4.
FCM/FACS (Flow Cytometry)
(Figure 3. Flow Cytometry analysis of U87 cells using anti-CBL antibody (AAA125965).Overlay histogram showing U87 cells stained with AAA125965 (Blue line). The cells were blocked with 10% normal goat serum. And then incubated with rabbit anti-CBL Antibody (AAA125965, 1 ug/1x10^6 cells) for 30 min at 20 degree C. DyLight488 conjugated goat anti-rabbit IgG was used as secondary antibody for 30 minutes at 20 degree C. Isotype control antibody (Green line) was rabbit IgG (1 ug/1x10^6) used under the same conditions. Unlabelled sample (Red line) was also used as a control.)
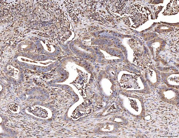
IHC (Immunohiostchemistry)
(Figure 2. IHC analysis of CBL using anti-CBL antibody (AAA125965).CBL was detected in a paraffin-embedded section of human colorectal cancer tissue. Heat mediated antigen retrieval was performed in EDTA buffer (pH 8.0, epitope retrieval solution). The tissue section was blocked with 10% goat serum. The tissue section was then incubated with 2 ug/ml rabbit anti-CBL Antibody (AAA125965) overnight at 4 degree C. Peroxidase Conjugated Goat Anti-rabbit IgG was used as secondary antibody and incubated for 30 minutes at 37 degree C. The tissue section was developed using HRP Conjugated Rabbit IgG Super Vision Assay Kit with DAB as the chromogen.)
WB (Western Blot)
(Figure 1. Western blot analysis of CBL using anti-CBL antibody (AAA125965).Electrophoresis was performed on a 5-20% SDS-PAGE gel at 70V (Stacking gel)/90V (Resolving gel) for 2-3 hours. The sample well of each lane was loaded with 30 ug of sample under reducing conditions.Lane 1: human HL-60 whole cell lysates,Lane 2: human K562 whole cell lysates,Lane 3: human A549 whole cell lysates,Lane 4: human Raji whole cell lysates,Lane 5: human CCRF-CEM whole cell lysates,Lane 6: human Daudi whole cell lysates,Lane 7: human MCF-7 whole cell lysates,Lane 8: human Hela whole cell lysates,Lane 9: rat testis tissue lysates,Lane 10: mouse Ana-1 whole cell lysates.After electrophoresis, proteins were transferred to a nitrocellulose membrane at 150 mA for 50-90 minutes. Blocked the membrane with 5% non-fat milk/TBS for 1.5 hour at RT. The membrane was incubated with rabbit anti-CBL antigen affinity purified polyclonal antibody (#AAA125965) at 0.5 ug/mL overnight at 4 degree C, then washed with TBS-0.1%Tween 3 times with 5 minutes each and probed with a goat anti-rabbit IgG-HRP secondary antibody at a dilution of 1:5000 for 1.5 hour at RT. The signal is developed using an Enhanced Chemiluminescent detection (ECL) kit with Tanon 5200 system. A specific band was detected for CBL at approximately 120 kDa. The expected band size for CBL is at 120 kDa.)
NCBI and Uniprot Product Information
Customer Reviews
Loading reviews...
Share Your Experience
Similar Products
Product Notes
The CBL cbl (Catalog #AAA125965) is an Antibody produced from Rabbit and is intended for research purposes only. The product is available for immediate purchase. The Anti-CBL Antibody Picoband reacts with Human, Mouse, Rat and may cross-react with other species as described in the data sheet. AAA Biotech's CBL can be used in a range of immunoassay formats including, but not limited to, ELISA, FCM/FACS (Flow Cytometry), IHC (Immunohistochemistry), WB (Western Blot). Researchers should empirically determine the suitability of the CBL cbl for an application not listed in the data sheet. Researchers commonly develop new applications and it is an integral, important part of the investigative research process. It is sometimes possible for the material contained within the vial of "CBL, Polyclonal Antibody" to become dispersed throughout the inside of the vial, particularly around the seal of said vial, during shipment and storage. We always suggest centrifuging these vials to consolidate all of the liquid away from the lid and to the bottom of the vial prior to opening. Please be advised that certain products may require dry ice for shipping and that, if this is the case, an additional dry ice fee may also be required.Precautions
All products in the AAA Biotech catalog are strictly for research-use only, and are absolutely not suitable for use in any sort of medical, therapeutic, prophylactic, in-vivo, or diagnostic capacity. By purchasing a product from AAA Biotech, you are explicitly certifying that said products will be properly tested and used in line with industry standard. AAA Biotech and its authorized distribution partners reserve the right to refuse to fulfill any order if we have any indication that a purchaser may be intending to use a product outside of our accepted criteria.Disclaimer
Though we do strive to guarantee the information represented in this datasheet, AAA Biotech cannot be held responsible for any oversights or imprecisions. AAA Biotech reserves the right to adjust any aspect of this datasheet at any time and without notice. It is the responsibility of the customer to inform AAA Biotech of any product performance issues observed or experienced within 30 days of receipt of said product. To see additional details on this or any of our other policies, please see our Terms & Conditions page.Item has been added to Shopping Cart
If you are ready to order, navigate to Shopping Cart and get ready to checkout.
