Rabbit CCR7 Polyclonal Antibody | anti-CCR7 antibody
CCR7 Polyclonal Antibody
Gene Names
CCR7; BLR2; EBI1; CCR-7; CD197; CDw197; CMKBR7; CC-CKR-7
Reactivity
Human, Mouse, Rat
Applications
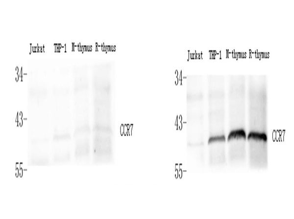
Western Blot
Purity
Affinity Purification
Synonyms
CCR7, Antibody; CCR7 Polyclonal Antibody; BLR 2; BLR2; C C chemokine receptor type 7; C C CKR 7; C-C chemokine receptor type 7; C-C CKR-7; CC chemokine receptor 7; CC chemokine receptor type 7; CC CKR 7; CC-CKR-7; CCCKR7; CCR 7; CCR-7; Ccr7; CCR7; CD 197; CD197; CD197 antigen; CDw197; Chemokine (C C motif) receptor 7; Chemokine (C C) receptor 7; Chemokine C C motif receptor 7; Chemokine C C receptor 7; Chemokine receptor 7; Chemokine receptor 7-like protein; CMKBR7; EBI 1; EBI1; Ebi1h; EBV Induced G Protein Coupled Receptor 1; EBV-induced G-protein coupled receptor 1; Epstein Barr virus induced G protein coupled receptor; Epstein Barr virus induced gene 1; Epstein-Barr virus-induced G-protein coupled receptor 1; EVI 1; EVI1; Lymphocyte Specific G Protein Coupled Peptide Receptor; MGC108519; MIP 3 beta receptor; MIP-3 beta receptor; MIP3 Beta Receptor; anti-CCR7 antibody
Host
Rabbit
Reactivity
Human, Mouse, Rat
Clonality
Polyclonal
Isotype
IgG
Purity/Purification
Affinity Purification
Form/Format
PBS with 0.02% sodium azide, 100 mug/ml BSA and 50% glycerol.
Concentration
0.9 mg/mL (varies by lot)
Sequence Length
378
Applicable Applications for anti-CCR7 antibody
WB (Western Blot)
Immunogen
KLH conjugated synthetic peptide corresponding to Mouse CCR7
Conjugation
Unconjugated
Preparation and Storage
Store at -20 degree C. Avoid freeze/thaw cycles.
Related Product Information for anti-CCR7 antibody
The protein encoded by this gene is a member of the G protein-coupled receptor family. This receptor was identified as a gene induced by the Epstein-Barr virus (EBV), and is thought to be a mediator of EBV effects on B lymphocytes. This receptor is expressed in various lymphoid tissues and activates B and T lymphocytes. It has been shown to control the migration of memory T cells to inflamed tissues, as well as stimulate dendritic cell maturation. The chemokine (C-C motif) ligand 19 (CCL19/ECL) has been reported to be a specific ligand of this receptor.
Product Categories/Family for anti-CCR7 antibody
NCBI and Uniprot Product Information
NCBI GI #
NCBI GeneID
NCBI Accession #
NCBI GenBank Nucleotide #
Molecular Weight
Calculated: 43kDa
Observed: 48kDa
Observed: 48kDa
NCBI Official Full Name
C-C chemokine receptor type 7 isoform b
NCBI Official Synonym Full Names
C-C motif chemokine receptor 7
NCBI Official Symbol
CCR7
NCBI Official Synonym Symbols
BLR2; EBI1; CCR-7; CD197; CDw197; CMKBR7; CC-CKR-7
NCBI Protein Information
C-C chemokine receptor type 7
UniProt Protein Name
C-C chemokine receptor type 7
UniProt Gene Name
CCR7
UniProt Synonym Gene Names
CMKBR7; EBI1; EVI1; C-C CKR-7; CC-CKR-7; CCR-7; EBI1; EBV-induced G-protein coupled receptor 1
Customer Reviews
Loading reviews...
Share Your Experience
Similar Products
Product Notes
The CCR7 ccr7 (Catalog #AAA174559) is an Antibody produced from Rabbit and is intended for research purposes only. The product is available for immediate purchase. The CCR7 Polyclonal Antibody reacts with Human, Mouse, Rat and may cross-react with other species as described in the data sheet. AAA Biotech's CCR7 can be used in a range of immunoassay formats including, but not limited to, WB (Western Blot). Researchers should empirically determine the suitability of the CCR7 ccr7 for an application not listed in the data sheet. Researchers commonly develop new applications and it is an integral, important part of the investigative research process. It is sometimes possible for the material contained within the vial of "CCR7, Polyclonal Antibody" to become dispersed throughout the inside of the vial, particularly around the seal of said vial, during shipment and storage. We always suggest centrifuging these vials to consolidate all of the liquid away from the lid and to the bottom of the vial prior to opening. Please be advised that certain products may require dry ice for shipping and that, if this is the case, an additional dry ice fee may also be required.Precautions
All products in the AAA Biotech catalog are strictly for research-use only, and are absolutely not suitable for use in any sort of medical, therapeutic, prophylactic, in-vivo, or diagnostic capacity. By purchasing a product from AAA Biotech, you are explicitly certifying that said products will be properly tested and used in line with industry standard. AAA Biotech and its authorized distribution partners reserve the right to refuse to fulfill any order if we have any indication that a purchaser may be intending to use a product outside of our accepted criteria.Disclaimer
Though we do strive to guarantee the information represented in this datasheet, AAA Biotech cannot be held responsible for any oversights or imprecisions. AAA Biotech reserves the right to adjust any aspect of this datasheet at any time and without notice. It is the responsibility of the customer to inform AAA Biotech of any product performance issues observed or experienced within 30 days of receipt of said product. To see additional details on this or any of our other policies, please see our Terms & Conditions page.Item has been added to Shopping Cart
If you are ready to order, navigate to Shopping Cart and get ready to checkout.
