Rabbit anti-Mouse CD118/LIF Receptor Alpha Polyclonal Antibody | anti-LIFR antibody
CD118/LIF Receptor Alpha Rabbit anti-Mouse Polyclonal Antibody
Gene Names
LIFR; SWS; SJS2; STWS; CD118; LIF-R
Reactivity
Mouse
Applications
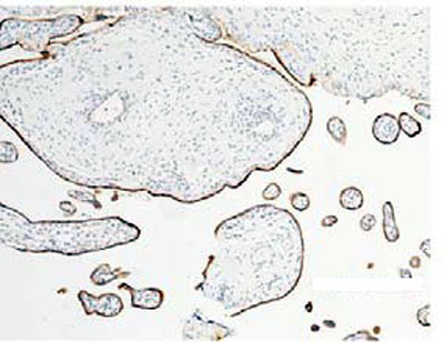
Immunohistochemistry, ELISA
Synonyms
CD118/LIF Receptor Alpha, Antibody; CD118/LIF Receptor Alpha Rabbit anti-Mouse Polyclonal Antibody; IHC-plus CD118/LIF Receptor Alpha Antibody; LIFR; CD118; CD118 antigen; LIF receptor; SJS2; STWS; Sws; LIF-R; anti-LIFR antibody
Host
Rabbit
Reactivity
Mouse
Clonality
Polyclonal
Specificity
Mouse LIFR/CD118
Form/Format
0.2um filtered solution in PBS
Applicable Applications for anti-LIFR antibody
IHC (Immunohistochemistry), ELISA
Target
Mouse CD118/LIF Receptor Alpha
Immunogen
Recombinant Mouse LIFR protein
Conjugation
Unconjugated
Preparation and Storage
Short term: store at 4 degree C. Long term: store at -20 degree C. Avoid freeze-thaw cycles.
Related Product Information for anti-LIFR antibody
LIF Receptor Alpha antibody is an unconjugated rabbit polyclonal antibody to mouse LIF Receptor Alpha (CD118). Validated for ELISA and IHC.
NCBI and Uniprot Product Information
NCBI GI #
NCBI GeneID
NCBI Accession #
NCBI GenBank Nucleotide #
Molecular Weight
– Da
NCBI Official Full Name
leukemia inhibitory factor receptor
NCBI Official Synonym Full Names
leukemia inhibitory factor receptor alpha
NCBI Official Symbol
LIFR
NCBI Official Synonym Symbols
SWS; SJS2; STWS; CD118; LIF-R
NCBI Protein Information
leukemia inhibitory factor receptor; LIF receptor; CD118 antigen
UniProt Protein Name
Leukemia inhibitory factor receptor
UniProt Gene Name
LIFR
UniProt Synonym Gene Names
LIF receptor; LIF-R
UniProt Entry Name
LIFR_HUMAN
Customer Reviews
Loading reviews...
Share Your Experience
Similar Products
Product Notes
The LIFR lifr (Catalog #AAA163266) is an Antibody produced from Rabbit and is intended for research purposes only. The product is available for immediate purchase. The CD118/LIF Receptor Alpha Rabbit anti-Mouse Polyclonal Antibody reacts with Mouse and may cross-react with other species as described in the data sheet. AAA Biotech's CD118/LIF Receptor Alpha can be used in a range of immunoassay formats including, but not limited to, IHC (Immunohistochemistry), ELISA. Researchers should empirically determine the suitability of the LIFR lifr for an application not listed in the data sheet. Researchers commonly develop new applications and it is an integral, important part of the investigative research process. It is sometimes possible for the material contained within the vial of "CD118/LIF Receptor Alpha, Polyclonal Antibody" to become dispersed throughout the inside of the vial, particularly around the seal of said vial, during shipment and storage. We always suggest centrifuging these vials to consolidate all of the liquid away from the lid and to the bottom of the vial prior to opening. Please be advised that certain products may require dry ice for shipping and that, if this is the case, an additional dry ice fee may also be required.Precautions
All products in the AAA Biotech catalog are strictly for research-use only, and are absolutely not suitable for use in any sort of medical, therapeutic, prophylactic, in-vivo, or diagnostic capacity. By purchasing a product from AAA Biotech, you are explicitly certifying that said products will be properly tested and used in line with industry standard. AAA Biotech and its authorized distribution partners reserve the right to refuse to fulfill any order if we have any indication that a purchaser may be intending to use a product outside of our accepted criteria.Disclaimer
Though we do strive to guarantee the information represented in this datasheet, AAA Biotech cannot be held responsible for any oversights or imprecisions. AAA Biotech reserves the right to adjust any aspect of this datasheet at any time and without notice. It is the responsibility of the customer to inform AAA Biotech of any product performance issues observed or experienced within 30 days of receipt of said product. To see additional details on this or any of our other policies, please see our Terms & Conditions page.Item has been added to Shopping Cart
If you are ready to order, navigate to Shopping Cart and get ready to checkout.
