anti-Human CD19 Polyclonal Antibody | anti-CD19 antibody
Anti-CD19 Antibody
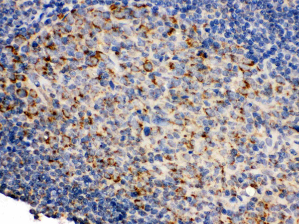
IHC (Immunohiostchemistry)
(Anti-CD19 Picoband antibody, AAA46235, IHC(P)IHC(P): Human Tonsil Tissue)
WB (Western Blot)
(Anti-CD19 Picoband antibody, AAA46235, Western blottingAll lanes: Anti CD19 (AAA46235) at 0.5ug/mlLane 1: RAJI Whole Cell Lysate at 40ugLane 2: A549 Whole Cell Lysate at 40ugLane 3: MCF-7 Whole Cell Lysate at 40ugLane 4: SW620 Whole Cell Lysate at 40ugPredicted bind size: 90KDObserved bind size: 90KD)
Background: B-lymphocyte antigen CD19, also known as CD19 (Cluster of Differentiation 19), is a protein that in humans is encoded by the CD19 gene. It is found on the surface of B-cells, a type of white blood cell. Lymphocytes proliferate and differentiate in response to various concentrations of different antigens. The ability of the B cell to respond in a specific, yet sensitive manner to the various antigens is achieved with the use of low-affinity antigen receptors. The CD19 gene encodes a cell surface molecule that assembles with the antigen receptor of B lymphocytes in order to decrease the threshold for antigen receptor-dependent stimulation.
NCBI and Uniprot Product Information
Customer Reviews
Loading reviews...
Share Your Experience
Similar Products
Product Notes
The CD19 cd19 (Catalog #AAA46235) is an Antibody and is intended for research purposes only. The product is available for immediate purchase. The Anti-CD19 Antibody reacts with Human and may cross-react with other species as described in the data sheet. AAA Biotech's CD19 can be used in a range of immunoassay formats including, but not limited to, IHC (Immunohistochemistry), WB (Western Blot). Researchers should empirically determine the suitability of the CD19 cd19 for an application not listed in the data sheet. Researchers commonly develop new applications and it is an integral, important part of the investigative research process. It is sometimes possible for the material contained within the vial of "CD19, Polyclonal Antibody" to become dispersed throughout the inside of the vial, particularly around the seal of said vial, during shipment and storage. We always suggest centrifuging these vials to consolidate all of the liquid away from the lid and to the bottom of the vial prior to opening. Please be advised that certain products may require dry ice for shipping and that, if this is the case, an additional dry ice fee may also be required.Precautions
All products in the AAA Biotech catalog are strictly for research-use only, and are absolutely not suitable for use in any sort of medical, therapeutic, prophylactic, in-vivo, or diagnostic capacity. By purchasing a product from AAA Biotech, you are explicitly certifying that said products will be properly tested and used in line with industry standard. AAA Biotech and its authorized distribution partners reserve the right to refuse to fulfill any order if we have any indication that a purchaser may be intending to use a product outside of our accepted criteria.Disclaimer
Though we do strive to guarantee the information represented in this datasheet, AAA Biotech cannot be held responsible for any oversights or imprecisions. AAA Biotech reserves the right to adjust any aspect of this datasheet at any time and without notice. It is the responsibility of the customer to inform AAA Biotech of any product performance issues observed or experienced within 30 days of receipt of said product. To see additional details on this or any of our other policies, please see our Terms & Conditions page.Item has been added to Shopping Cart
If you are ready to order, navigate to Shopping Cart and get ready to checkout.
