Rabbit CD36 Polyclonal Antibody | anti-CD36 antibody
CD36 Rabbit anti-Human Polyclonal Antibody
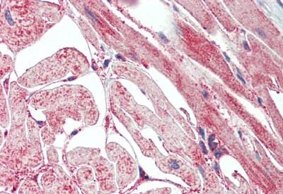
IHC (Immunohistochemistry)
(CD36 Antibody-Human Heart: Formalin-Fixed, Paraffin-Embedded (FFPE), at a dilution of 1:200.)
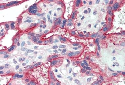
IHC (Immunohistochemistry)
(CD36 Antibody-Human Placenta: Formalin-Fixed, Paraffin-Embedded (FFPE), at a dilution of 1:200.)
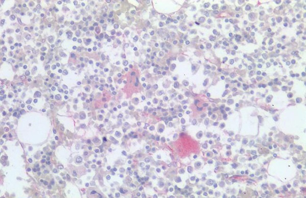
IHC (Immunohistochemisry)
(CD36 Antibody-Human Bone Marrow, Megakaryocytes: Formalin-Fixed, Paraffin-Embedded (FFPE))
WB (Western Blot)
(CD36 Antibody-Western blot analysis of extracts of RAW264.7 cells lines, using CD36 antibody.)
WB (Western Blot)
(CD36 Antibody-Western blot analysis of extracts of various cell lines, using CD36 antibody at 1:3000 dilution. The secondary antibody used was an HRP Goat Anti-Rabbit IgG (H+L) at 1:10000 dilution. Lysates were loaded 25ug per lane and 3% nonfat dry milk in TBST was used for blocking. An ECL Kit was used for detection and the exposure time was 90s.)
CD36 (also known as platelet glycoprotein 4) is a multifunctional membrane-bound glycoprotein receptor for a broad range of ligands. It is a scavenger receptor for proteins such as thrombospondin, collagen, fibronectin, and amyloid-beta as well as oxidized phospholipids, apoptotic cells, and microbial pathogens, acting to internalize receptor-ligand complexes. It is implicated in platelet disorders, atherosclerosis, thrombosis, and Alzheimer disease. CD36 is found on mononuclear phagocytes, platelets, adipocytes, megakaryocytes, erythroid precursors, myocytes, hepatocytes, endothelial cells, and some epithelia. It has also been reported to be expressed in some diseased tissues such as the brain in Alzheimer disease, leukemias, myxoid liposarcoma, and squamous intraepithelial lesions of the cervix.
NCBI and Uniprot Product Information
Similar Products
Product Notes
The CD36 cd36 (Catalog #AAA162824) is an Antibody produced from Rabbit and is intended for research purposes only. The product is available for immediate purchase. The CD36 Rabbit anti-Human Polyclonal Antibody reacts with Mouse, Rat, Human and may cross-react with other species as described in the data sheet. AAA Biotech's CD36 can be used in a range of immunoassay formats including, but not limited to, WB (Western Blot), IHC (Immunohistochemistry), IHC (Immunohistochemistry). Researchers should empirically determine the suitability of the CD36 cd36 for an application not listed in the data sheet. Researchers commonly develop new applications and it is an integral, important part of the investigative research process. It is sometimes possible for the material contained within the vial of "CD36, Polyclonal Antibody" to become dispersed throughout the inside of the vial, particularly around the seal of said vial, during shipment and storage. We always suggest centrifuging these vials to consolidate all of the liquid away from the lid and to the bottom of the vial prior to opening. Please be advised that certain products may require dry ice for shipping and that, if this is the case, an additional dry ice fee may also be required.Precautions
All products in the AAA Biotech catalog are strictly for research-use only, and are absolutely not suitable for use in any sort of medical, therapeutic, prophylactic, in-vivo, or diagnostic capacity. By purchasing a product from AAA Biotech, you are explicitly certifying that said products will be properly tested and used in line with industry standard. AAA Biotech and its authorized distribution partners reserve the right to refuse to fulfill any order if we have any indication that a purchaser may be intending to use a product outside of our accepted criteria.Disclaimer
Though we do strive to guarantee the information represented in this datasheet, AAA Biotech cannot be held responsible for any oversights or imprecisions. AAA Biotech reserves the right to adjust any aspect of this datasheet at any time and without notice. It is the responsibility of the customer to inform AAA Biotech of any product performance issues observed or experienced within 30 days of receipt of said product. To see additional details on this or any of our other policies, please see our Terms & Conditions page.Item has been added to Shopping Cart
If you are ready to order, navigate to Shopping Cart and get ready to checkout.
