Rabbit anti-Mouse CD5 Polyclonal Antibody | anti-Cd5 antibody
Anti-CD5 Antibody
Gene Names
Cd5; Ly-1; Ly-A; Ly-12; Lyt-1
Reactivity
Mouse
Applications
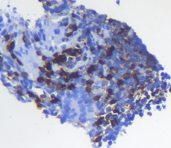
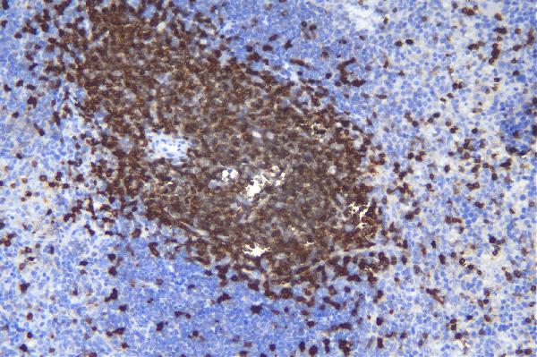
ELISA, Immunohistochemistry, Western Blot
Purity
Immunogen affinity purified.
Synonyms
CD5, Antibody; Anti-CD5 Antibody; T-cell surface glycoprotein CD5; Lymphocyte antigen 1; Ly-1; Lyt-1; CD5; Cd5; Ly-1 ; anti-Cd5 antibody
Host
Rabbit
Reactivity
Mouse
Clonality
Polyclonal
Isotype
IgG
Specificity
No cross reactivity with other proteins.
Purity/Purification
Immunogen affinity purified.
Form/Format
Lyophilized
Each vial contains 4mg Trehalose, 0.9mg NaCl, 0.2mg Na2HPO4, 0.05mg NaN3.
Each vial contains 4mg Trehalose, 0.9mg NaCl, 0.2mg Na2HPO4, 0.05mg NaN3.
Sequence Length
494
Applicable Applications for anti-Cd5 antibody
ELISA (Direct ELISA), IHC (Immunohistochemistry), WB (Western Blot)
Immunogen
E Coli-derived mouse CD5 recombinant protein (Position: Q24-L494).
Reconstitution
Add 0.2ml of distilled water will yield a concentration of 500ug/ml.
Preparation and Storage
Store at -20 degree C for one year. After reconstitution, at 4 degree C for one month. It can also be aliquotted and stored frozen store at -20 degree C for a longer time. Avoid repeated freezing and thawing.
Related Product Information for anti-Cd5 antibody
Description: Rabbit IgG polyclonal antibody for CD5 detection. Tested with WB, IHC-P, Direct ELISA in Mouse.
Background: CD5 is a member of the scavenger receptor cysteine-rich (SRCR) superfamily. Members of this family are secreted or membrane-anchored proteins mainly found in cells associated with the immune system. In humans, the gene is located on the long arm of chromosome 11. This protein is a type-I transmembrane glycoprotein found on the surface of thymocytes, T lymphocytes and a subset of B lymphocytes. The encoded protein contains three SRCR domains and may act as a receptor to regulate T-cell proliferation. Alternative splicing results in multiple transcript variants encoding different isoforms.
Background: CD5 is a member of the scavenger receptor cysteine-rich (SRCR) superfamily. Members of this family are secreted or membrane-anchored proteins mainly found in cells associated with the immune system. In humans, the gene is located on the long arm of chromosome 11. This protein is a type-I transmembrane glycoprotein found on the surface of thymocytes, T lymphocytes and a subset of B lymphocytes. The encoded protein contains three SRCR domains and may act as a receptor to regulate T-cell proliferation. Alternative splicing results in multiple transcript variants encoding different isoforms.
References
1. Lundell, A.-C., Johansen, S., Adlerberth, I., Wold, A. E., Hesselmar, B., Rudin, A. High proportion of CD5+ B cells in infants predicts development of allergic disease. J. Immun. 193: 510-518, 2014.
2. Zhang, C., Xin, H., Zhang, W., Yazaki, P. J., Zhang, Z., Le, K., Li, W., Lee, H., Kwak, L., Forman, S., Jove, R., Yu, H. CD5 binds to interleukin-6 and induces a feed-forward loop with the transcription factor STAT3 in B cells to promote cancer. Immunity 44: 913-923, 2016.
2. Zhang, C., Xin, H., Zhang, W., Yazaki, P. J., Zhang, Z., Le, K., Li, W., Lee, H., Kwak, L., Forman, S., Jove, R., Yu, H. CD5 binds to interleukin-6 and induces a feed-forward loop with the transcription factor STAT3 in B cells to promote cancer. Immunity 44: 913-923, 2016.
NCBI and Uniprot Product Information
NCBI GI #
NCBI GeneID
NCBI Accession #
NCBI GenBank Nucleotide #
UniProt Accession #
NCBI Official Full Name
T-cell surface glycoprotein CD5
NCBI Official Synonym Full Names
CD5 antigen
NCBI Official Symbol
Cd5
NCBI Official Synonym Symbols
Ly-1; Ly-A; Ly-12; Lyt-1
NCBI Protein Information
T-cell surface glycoprotein CD5
UniProt Protein Name
T-cell surface glycoprotein CD5
UniProt Gene Name
Cd5
UniProt Synonym Gene Names
Ly-1; Ly-1; Lyt-1
UniProt Entry Name
CD5_MOUSE
Customer Reviews
Loading reviews...
Share Your Experience
Similar Products
Product Notes
The Cd5 cd5 (Catalog #AAA125401) is an Antibody produced from Rabbit and is intended for research purposes only. The product is available for immediate purchase. The Anti-CD5 Antibody reacts with Mouse and may cross-react with other species as described in the data sheet. AAA Biotech's CD5 can be used in a range of immunoassay formats including, but not limited to, ELISA (Direct ELISA), IHC (Immunohistochemistry), WB (Western Blot). Researchers should empirically determine the suitability of the Cd5 cd5 for an application not listed in the data sheet. Researchers commonly develop new applications and it is an integral, important part of the investigative research process. It is sometimes possible for the material contained within the vial of "CD5, Polyclonal Antibody" to become dispersed throughout the inside of the vial, particularly around the seal of said vial, during shipment and storage. We always suggest centrifuging these vials to consolidate all of the liquid away from the lid and to the bottom of the vial prior to opening. Please be advised that certain products may require dry ice for shipping and that, if this is the case, an additional dry ice fee may also be required.Precautions
All products in the AAA Biotech catalog are strictly for research-use only, and are absolutely not suitable for use in any sort of medical, therapeutic, prophylactic, in-vivo, or diagnostic capacity. By purchasing a product from AAA Biotech, you are explicitly certifying that said products will be properly tested and used in line with industry standard. AAA Biotech and its authorized distribution partners reserve the right to refuse to fulfill any order if we have any indication that a purchaser may be intending to use a product outside of our accepted criteria.Disclaimer
Though we do strive to guarantee the information represented in this datasheet, AAA Biotech cannot be held responsible for any oversights or imprecisions. AAA Biotech reserves the right to adjust any aspect of this datasheet at any time and without notice. It is the responsibility of the customer to inform AAA Biotech of any product performance issues observed or experienced within 30 days of receipt of said product. To see additional details on this or any of our other policies, please see our Terms & Conditions page.Item has been added to Shopping Cart
If you are ready to order, navigate to Shopping Cart and get ready to checkout.
