Rabbit CDH5 Polyclonal Antibody | anti-CDH5 antibody
CDH5 Polyclonal Antibody
Gene Names
CDH5; 7B4; CD144
Reactivity
Human, Mouse, Rat
Applications
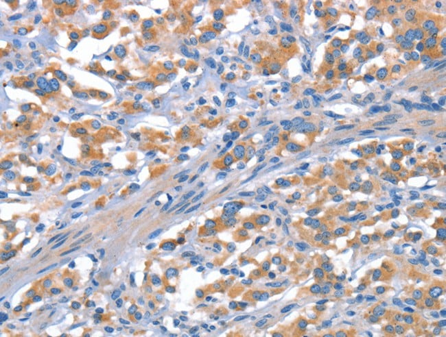
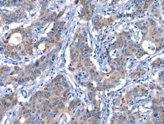
Immunohistochemistry, ELISA
Purity
Antigen affinity purification
Synonyms
CDH5, Antibody; CDH5 Polyclonal Antibody; 7B4; CD144; anti-CDH5 antibody
Host
Rabbit
Reactivity
Human, Mouse, Rat
Clonality
Polyclonal
Isotype
IgG
Purity/Purification
Antigen affinity purification
Concentration
2.1mg/mL (varies by lot)
Sequence Length
669
Applicable Applications for anti-CDH5 antibody
IHC (Immunohistochemistry), ELISA
Immunogen
Synthetic peptide of human CDH5
Buffer
PBS with 0.05% sodium azide, 50% glycerol, pH7.3
Preparation and Storage
Store at -20 degree C (regular) and -80 degree C (long term). Avoid freeze / thaw cycles.
Related Product Information for anti-CDH5 antibody
This gene is a classical cadherin from the cadherin superfamily and is located in a six-cadherin cluster in a region on the long arm of chromosome 16 that is involved in loss of heterozygosity events in breast and prostate cancer. The encoded protein is a calcium-dependent cell-cell adhesion glycoprotein comprised of five extracellular cadherin repeats, a transmembrane region and a highly conserved cytoplasmic tail. Functioning as a classic cadherin by imparting to cells the ability to adhere in a homophilic manner, the protein may play an important role in endothelial cell biology through control of the cohesion and organization of the intercellular junctions. An alternative splice variant has been described but its full length sequence has not been determined.
Product Categories/Family for anti-CDH5 antibody
NCBI and Uniprot Product Information
NCBI GI #
NCBI GeneID
Molecular Weight
74,499 Da
NCBI Official Full Name
CDH5 protein
NCBI Official Synonym Full Names
cadherin 5, type 2 (vascular endothelium)
NCBI Official Symbol
CDH5
NCBI Official Synonym Symbols
7B4; CD144
NCBI Protein Information
cadherin-5; 7B4 antigen; VE-cadherin; cadherin 5, type 2, VE-cadherin (vascular epithelium); cd144 antigen; endothelial-specific cadherin; vascular endothelial cadherin
UniProt Protein Name
Cadherin-5
UniProt Gene Name
CDH5
UniProt Synonym Gene Names
VE-cadherin
UniProt Entry Name
CADH5_HUMAN
Similar Products
Product Notes
The CDH5 cdh5 (Catalog #AAA168929) is an Antibody produced from Rabbit and is intended for research purposes only. The product is available for immediate purchase. The CDH5 Polyclonal Antibody reacts with Human, Mouse, Rat and may cross-react with other species as described in the data sheet. AAA Biotech's CDH5 can be used in a range of immunoassay formats including, but not limited to, IHC (Immunohistochemistry), ELISA. Researchers should empirically determine the suitability of the CDH5 cdh5 for an application not listed in the data sheet. Researchers commonly develop new applications and it is an integral, important part of the investigative research process. It is sometimes possible for the material contained within the vial of "CDH5, Polyclonal Antibody" to become dispersed throughout the inside of the vial, particularly around the seal of said vial, during shipment and storage. We always suggest centrifuging these vials to consolidate all of the liquid away from the lid and to the bottom of the vial prior to opening. Please be advised that certain products may require dry ice for shipping and that, if this is the case, an additional dry ice fee may also be required.Precautions
All products in the AAA Biotech catalog are strictly for research-use only, and are absolutely not suitable for use in any sort of medical, therapeutic, prophylactic, in-vivo, or diagnostic capacity. By purchasing a product from AAA Biotech, you are explicitly certifying that said products will be properly tested and used in line with industry standard. AAA Biotech and its authorized distribution partners reserve the right to refuse to fulfill any order if we have any indication that a purchaser may be intending to use a product outside of our accepted criteria.Disclaimer
Though we do strive to guarantee the information represented in this datasheet, AAA Biotech cannot be held responsible for any oversights or imprecisions. AAA Biotech reserves the right to adjust any aspect of this datasheet at any time and without notice. It is the responsibility of the customer to inform AAA Biotech of any product performance issues observed or experienced within 30 days of receipt of said product. To see additional details on this or any of our other policies, please see our Terms & Conditions page.Item has been added to Shopping Cart
If you are ready to order, navigate to Shopping Cart and get ready to checkout.
