Rabbit CHAT Polyclonal Antibody | anti-CHAT antibody
CHAT Polyclonal Antibody
Gene Names
CHAT; CMS6; CMS1A; CMS1A2; CHOACTASE
Reactivity
Human, Mouse, Rat
Applications
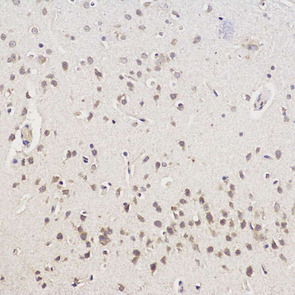
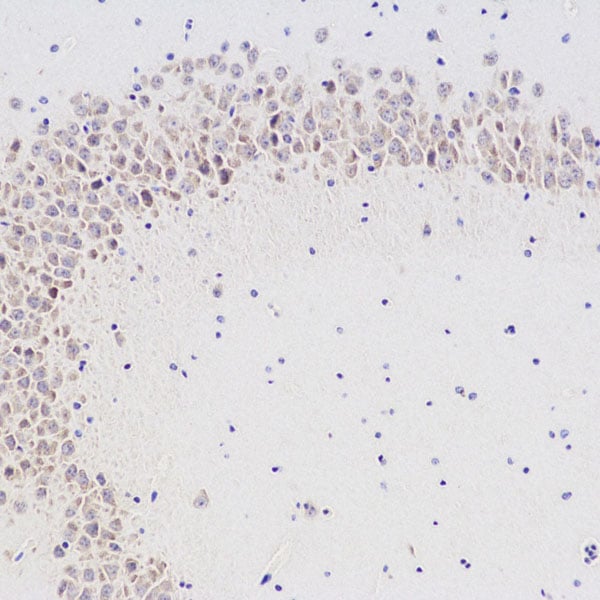
Immunohistochemistry
Purity
Affinity Purification
Synonyms
CHAT, Antibody; CHAT Polyclonal Antibody; Acetyl CoA choline O acetyltransferase; Acetyl CoA:choline O acetyltransferase; Chat; CHOACTase; Choline acetylase; choline acetyltransferase; Choline O acetyltransferase; Choline O-acetyltransferase; CLAT; CMS1A; CMS1A2; EC 2.3.1.6; OTTHUMP00000019583; OTTHUMP00000019584; anti-CHAT antibody
Host
Rabbit
Reactivity
Human, Mouse, Rat
Clonality
Polyclonal
Isotype
IgG
Purity/Purification
Affinity Purification
Form/Format
PBS with 0.02% sodium azide, 100 mug/ml BSA and 50% glycerol.
Concentration
350 mug/mL (varies by lot)
Sequence Length
666
Applicable Applications for anti-CHAT antibody
IHC (Immunohistochemistry)
Immunogen
KLH conjugated synthetic peptide corresponding to Mouse CHAT
Conjugation
Unconjugated
Preparation and Storage
Store at -20 degree C. Avoid freeze/thaw cycles.
Related Product Information for anti-CHAT antibody
This gene encodes an enzyme which catalyzes the biosynthesis of the neurotransmitter acetylcholine. This gene product is a characteristic feature of cholinergic neurons, and changes in these neurons may explain some of the symptoms of Alzheimer's disease. Polymorphisms in this gene have been associated with Alzheimer's disease and mild cognitive impairment. Mutations in this gene are associated with congenital myasthenic syndrome associated with episodic apnea. Multiple transcript variants encoding different isoforms have been found for this gene, and some of these variants have been shown to encode more than one isoform.
Product Categories/Family for anti-CHAT antibody
NCBI and Uniprot Product Information
NCBI GI #
NCBI GeneID
NCBI Accession #
NCBI GenBank Nucleotide #
Molecular Weight
74,361 Da
NCBI Official Full Name
choline O-acetyltransferase isoform 1
NCBI Official Synonym Full Names
choline O-acetyltransferase
NCBI Official Symbol
CHAT
NCBI Official Synonym Symbols
CMS6; CMS1A; CMS1A2; CHOACTASE
NCBI Protein Information
choline O-acetyltransferase
UniProt Protein Name
Choline O-acetyltransferase
UniProt Gene Name
CHAT
UniProt Synonym Gene Names
CHOACTase; ChAT; Choline acetylase
Customer Reviews
Loading reviews...
Share Your Experience
Similar Products
Product Notes
The CHAT chat (Catalog #AAA174367) is an Antibody produced from Rabbit and is intended for research purposes only. The product is available for immediate purchase. The CHAT Polyclonal Antibody reacts with Human, Mouse, Rat and may cross-react with other species as described in the data sheet. AAA Biotech's CHAT can be used in a range of immunoassay formats including, but not limited to, IHC (Immunohistochemistry). Researchers should empirically determine the suitability of the CHAT chat for an application not listed in the data sheet. Researchers commonly develop new applications and it is an integral, important part of the investigative research process. It is sometimes possible for the material contained within the vial of "CHAT, Polyclonal Antibody" to become dispersed throughout the inside of the vial, particularly around the seal of said vial, during shipment and storage. We always suggest centrifuging these vials to consolidate all of the liquid away from the lid and to the bottom of the vial prior to opening. Please be advised that certain products may require dry ice for shipping and that, if this is the case, an additional dry ice fee may also be required.Precautions
All products in the AAA Biotech catalog are strictly for research-use only, and are absolutely not suitable for use in any sort of medical, therapeutic, prophylactic, in-vivo, or diagnostic capacity. By purchasing a product from AAA Biotech, you are explicitly certifying that said products will be properly tested and used in line with industry standard. AAA Biotech and its authorized distribution partners reserve the right to refuse to fulfill any order if we have any indication that a purchaser may be intending to use a product outside of our accepted criteria.Disclaimer
Though we do strive to guarantee the information represented in this datasheet, AAA Biotech cannot be held responsible for any oversights or imprecisions. AAA Biotech reserves the right to adjust any aspect of this datasheet at any time and without notice. It is the responsibility of the customer to inform AAA Biotech of any product performance issues observed or experienced within 30 days of receipt of said product. To see additional details on this or any of our other policies, please see our Terms & Conditions page.Item has been added to Shopping Cart
If you are ready to order, navigate to Shopping Cart and get ready to checkout.
