Loading...

Skip to main content
Call us at +1-800-604-9114 for more information about our products or contact us online Need help? +1-800-604-9114 or contact us
product-image-AAA289434_WB11.jpg WB (Western Blot) (CCBP2 Antibody (A313) western blot analysis in Hela cell line lysates (35ug/lane).This demonstrates the CCBP2 antibody detected the CCBP2 protein (arrow).)

Rabbit anti-Human, mouse Chemokine Receptor D6 (CCBP2) Polyclonal Antibody | anti-ACKR2 antibody

Chemokine Receptor D6 (CCBP2) Antibody (C-term)

Average rating 0.0
No ratings yet
Gene Names
ACKR2; D6; hD6; CCR9; CCBP2; CCR10; CMKBR9
Reactivity
Human, mouse
Applications
Immunohistochemistry, ELISA, Western Blot
Purity
Purified Rabbit Polyclonal Antibody (Pab)
Synonyms
Chemokine Receptor D6 (CCBP2), Antibody; Chemokine Receptor D6 (CCBP2) Antibody (C-term); Atypical chemokine receptor 2; C-C chemokine receptor D6; Chemokine receptor CCR-10; Chemokine receptor CCR-9; Chemokine-binding protein 2; Chemokine-binding protein D6; ACKR2; CCBP2; CCR10; CMKBR9; D6; anti-ACKR2 antibody
Ordering
Host
Rabbit
Reactivity
Human, mouse
Clonality
Polyclonal
Isotype
Rabbit Ig
Specificity
This Chemokine Receptor D6 (CCBP2) antibody is generated from rabbits immunized with a KLH conjugated synthetic peptide between 298-328 amino acids from the C-terminal region of human Chemokine Receptor D6 (CCBP2).
Purity/Purification
Purified Rabbit Polyclonal Antibody (Pab)
Form/Format
Purified polyclonal antibody supplied in PBS with 0.09% (W/V) sodium azide. This antibody is prepared by Saturated Ammonium Sulfate (SAS) precipitation followed by dialysis against PBS.
Concentration
Vial Concentration: 2 (varies by lot)
Sequence Positions
298-328
Sequence Length
384
Applicable Applications for anti-ACKR2 antibody
IHC (Immunohistochemistry), ELISA, WB (Western Blot)
Antigen Type
Synthetic Peptide
Antigen Source
HUMAN
Preparation and Storage
Maintain refrigerated at 2-8 degree C for up to 6 months. For long term storage store at -20 degree C in small aliquots to prevent freeze-thaw cycles.

WB (Western Blot)

(CCBP2 Antibody (A313) western blot analysis in Hela cell line lysates (35ug/lane).This demonstrates the CCBP2 antibody detected the CCBP2 protein (arrow).)

product-image-AAA289434_WB11.jpg WB (Western Blot) (CCBP2 Antibody (A313) western blot analysis in Hela cell line lysates (35ug/lane).This demonstrates the CCBP2 antibody detected the CCBP2 protein (arrow).)

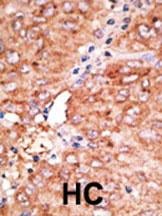
IHC (Immunohiostchemistry)

(Formalin-fixed and paraffin-embedded human cancer tissue reacted with the primary antibody, which was peroxidase-conjugated to the secondary antibody, followed by AEC staining. This data demonstrates the use of this antibody for immunohistochemistry; clinical relevance has not been evaluated. BC = breast carcinoma; HC = hepatocarcinoma.)

product-image-AAA289434_IHC13.jpg IHC (Immunohiostchemistry) (Formalin-fixed and paraffin-embedded human cancer tissue reacted with the primary antibody, which was peroxidase-conjugated to the secondary antibody, followed by AEC staining. This data demonstrates the use of this antibody for immunohistochemistry; clinical relevance has not been evaluated. BC = breast carcinoma; HC = hepatocarcinoma.)

WB (Western Blot)

(Western blot analysis of anti-CCBP2 Pab in mouse small intestine tissue lysate. CCBP2 (Arrow) was detected using purified Pab. Secondary HRP-anti-rabbit was used for signal visualization with chemiluminescence.)

product-image-AAA289434_WB15.jpg WB (Western Blot) (Western blot analysis of anti-CCBP2 Pab in mouse small intestine tissue lysate. CCBP2 (Arrow) was detected using purified Pab. Secondary HRP-anti-rabbit was used for signal visualization with chemiluminescence.)
Related Product Information for anti-ACKR2 antibody
CCBP2 is a beta chemokine receptor, which is predicted to be a seven transmembrane protein similar to G protein-coupled receptors. Chemokines and their receptor-mediated signal transduction are critical for the recruitment of effector immune cells to the inflammation site. This gene is expressed in a range of tissues and hemopoietic cells. The expression of this receptor in lymphatic endothelial cells and overexpression in vascular tumors suggested its function in chemokine-driven recirculation of leukocytes and possible chemokine effects on the development and growth of vascular tumors. This receptor appears to bind the majority of beta-chemokine family members; however, its specific function remains unknown. This gene is mapped to chromosome 3p21.3, a region that includes a cluster of chemokine receptor genes.
Product Categories/Family for anti-ACKR2 antibody
References
Kunkel, E.J., et al., J. Clin. Invest. 111(7):1001-1010 (2003).
Fra, A.M., et al., J. Immunol. 170(5):2279-2282 (2003).
Soler, D., et al., Blood 101(5):1677-1682 (2003).
Nibbs, R.J., et al., Am. J. Pathol. 158(3):867-877 (2001).
Bonini, J.A., et al., DNA Cell Biol. 16(10):1249-1256 (1997).

NCBI and Uniprot Product Information

NCBI GI #
NCBI GeneID
NCBI Accession #
NCBI GenBank Nucleotide #
UniProt Accession #
Molecular Weight
43443
NCBI Official Full Name
atypical chemokine receptor 2
NCBI Official Synonym Full Names
atypical chemokine receptor 2
NCBI Official Symbol
ACKR2
NCBI Official Synonym Symbols
D6; hD6; CCR9; CCBP2; CCR10; CMKBR9
NCBI Protein Information
atypical chemokine receptor 2
UniProt Protein Name
Atypical chemokine receptor 2
UniProt Gene Name
ACKR2
UniProt Synonym Gene Names
CCBP2; CCR10; CMKBR9; D6
UniProt Entry Name
ACKR2_HUMAN

Customer Reviews

View All Reviews

Loading reviews...

Share Your Experience

Rating

Similar Products

Product Notes

The ACKR2 ackr2 (Catalog #AAA289434) is an Antibody produced from Rabbit and is intended for research purposes only. The product is available for immediate purchase. The immunogen sequence is 298-328. The Chemokine Receptor D6 (CCBP2) Antibody (C-term) reacts with Human, mouse and may cross-react with other species as described in the data sheet. AAA Biotech's Chemokine Receptor D6 (CCBP2) can be used in a range of immunoassay formats including, but not limited to, IHC (Immunohistochemistry), ELISA, WB (Western Blot). Researchers should empirically determine the suitability of the ACKR2 ackr2 for an application not listed in the data sheet. Researchers commonly develop new applications and it is an integral, important part of the investigative research process. It is sometimes possible for the material contained within the vial of "Chemokine Receptor D6 (CCBP2), Polyclonal Antibody" to become dispersed throughout the inside of the vial, particularly around the seal of said vial, during shipment and storage. We always suggest centrifuging these vials to consolidate all of the liquid away from the lid and to the bottom of the vial prior to opening. Please be advised that certain products may require dry ice for shipping and that, if this is the case, an additional dry ice fee may also be required.

Precautions

All products in the AAA Biotech catalog are strictly for research-use only, and are absolutely not suitable for use in any sort of medical, therapeutic, prophylactic, in-vivo, or diagnostic capacity. By purchasing a product from AAA Biotech, you are explicitly certifying that said products will be properly tested and used in line with industry standard. AAA Biotech and its authorized distribution partners reserve the right to refuse to fulfill any order if we have any indication that a purchaser may be intending to use a product outside of our accepted criteria.

Disclaimer

Though we do strive to guarantee the information represented in this datasheet, AAA Biotech cannot be held responsible for any oversights or imprecisions. AAA Biotech reserves the right to adjust any aspect of this datasheet at any time and without notice. It is the responsibility of the customer to inform AAA Biotech of any product performance issues observed or experienced within 30 days of receipt of said product. To see additional details on this or any of our other policies, please see our Terms & Conditions page.

Item has been added to Shopping Cart

If you are ready to order, navigate to Shopping Cart and get ready to checkout.

Submit a Question

Please complete the form below and a representative will contact you as soon as possible.

Request more Information

Please complete the form below and a representative will contact you as soon as possible.

Request a Manual

Please complete the form below and a representative will contact you as soon as possible.

Request a Quote

Please complete the form below and a representative will contact you as soon as possible.